返回

原发性眼附属器MALT淋巴瘤的临床类型与个体化治疗

阅读量:10204
DOI:10.3978/j.issn.1000-4432.2021.08.05
发布日期:2023-06-13
作者:
朱豫
展开更多

关键词

原发性眼附属器黏膜相关淋巴组织淋巴瘤
临床类型
个体化治疗

摘要

黏膜相关淋巴组织(mucosa-associated lymphoid tissue lymphomas,MALT)淋巴瘤是原发性眼附属器淋巴瘤(primary ocular adnexal lymphoma,POAL)中最常见的病理类型。目前,原发性眼附属器黏膜相关淋巴组织淋巴瘤(primary ocular adnexal mucosa-associated lymphoid tissue lymphoma,POAML)的临床类型和临床表现尚未被眼科医师熟练掌握,临床治疗亦无共识和指南。本文根据POAML起源位置,重点介绍各临床类型的早中期临床表现,以及针对各临床类型和病变范围的个体化治疗方法。

全文

眼部淋巴增殖性病变有三种基本类型,即淋巴瘤、非典型性淋巴组织增生和反应性淋巴组织增生[1]。反应性淋巴组织增生认为是炎症性病变,可根据组织细胞学特征、免疫组织化学和分子克隆技术与淋巴瘤相鉴别,非典型性淋巴细胞增生是介于两者之间的过度类型[2]。原发性眼附属器淋巴瘤(primary ocular adnexal lymphoma,POAL)可为B细胞、T细胞和N K细胞起源,但以B细胞为主占所有POAL90%以上[3]。 在B细胞起源的POAL中,又以黏膜相关淋巴组织(mucosa-associated lymphoid tissue lymphomas,MALT)淋巴瘤为最多、其次是弥漫大B细胞淋巴瘤、滤泡性淋巴瘤、套细胞淋巴瘤和浆细胞淋巴瘤。欧美国家报道,原发性眼附属器MALT淋巴瘤(primary ocular adnexal mucosa-associated lymphoid tissue lymphoma,POAML)占所有POAL的35%~80%,而在中国、韩国和日本,MALT淋巴瘤占POAL的80%~90%,是POAL的最常见病理类型[2-5]。本文主要就POAML原发部位、临床类型和临床表现特征、影像学特征,以及诊断程序和个体化治疗进行讨论。

1 原发性眼附属器MALT淋巴瘤起源部位

    解剖和组织学上,眼睑、结膜、泪囊、眶隔前泪腺组织有淋巴管和淋巴组织,而眶内并无淋巴组织结构[6]。一般认为,眼附属器淋巴瘤的发病与感染和免疫反应有关,常见的感染因素包括衣原体、病毒等[7]。原发于眶内的淋巴瘤,一般认为是眶内慢性炎症,淋巴细胞浸润,进一步发展而成[8]
但就目前报道来看,POAL可发生于眼睑、结膜、泪腺、泪囊、眶软组织和眼外肌[8]。POAML的主要临床表现是不断增大的肿块、眼球突出和肿胀。根据原发部位不同,早期有一些部位特异性表现。

2 POAML原发部位和临床类型

文献[8-10]报道,POAML好发部位依次是眼眶44%~46%、结膜26%、泪腺21%~29%和眼睑8%~9%,少数可原发于眼外肌和泪囊区。根据POAML的不同起源部位,其早、中期临床表现和影像学特征,可分为如下临床类型。而随着病变蔓延,可使眼眶较大范围受累,不能分辨起源部位。

2.1 眼睑型

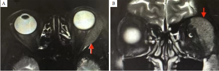
原发于眶隔前组织的眼睑淋巴瘤少见。一般为中老年人,表现为无痛性眼睑肿胀和肿块,病变可为结节状、条索状或眼睑弥漫增厚,可出现在上睑、下睑或上下睑同时发生(图1),以上睑多见[11-12],可为单个或多个病灶,亦可双眼同时或先后发生。影像学检查多可发现眼睑弥漫性增厚、或条形及团块状病变。眼睑型MALT淋巴瘤合并眼外淋巴瘤的发生率最高,故预后较差[11,13]
20230619102308_3634.png

图1 眼睑原发性 MALT 淋巴瘤增强 MRI
Figure 1 Enhanced MRI of primary MALT lymphoma of eyelid
(A)左上睑内上方占位; (B)左下睑占位病变中度强化。箭头示病变部位。
(A) An occupying lesion in the upper left eyelid; (B) Moderately enhanced left lower eyelid mass lesions. Arrows indicate the lession.

2.2 结膜型

结膜MALT淋巴瘤较为多见,占眼附属器淋巴瘤的25%~30%[14-16]。发病年龄较其他类型更为年轻,平均4 0岁左右,女性约为男性的2倍。病变部位均位于眼表,可为单眼和双眼,双眼约占25%~40%[14-16]。病变可局限于球结膜某一部位,亦可涉及穹窿结膜、睑结膜和泪阜结膜。此型合并全身或眼外病变发生率最低,预后最好[11-16]
患者早期仅有异物感和干涩感。结膜型病变早中期表现可分三个亚型:球结膜局限型、球结膜弥漫浸润型、穹窿或/和泪阜结膜弥漫浸润型。
球结膜局限型多可见球结膜下“鲜红色”或“鲑鱼样”隆起病变(图2A),可伴有眼睑轻度肿胀,病变向后蔓延可涉及肌止点和眼外肌,位于眼球上部者可有不同程度上睑下垂。结膜局限型影像学表现为局部眼睑和结膜增厚,病变紧贴眼前部巩膜,在矢状位上可呈三角形或“泪滴状”。
球结膜弥漫病变型,多见于眼球上部,可见球结膜弥漫浸润增厚,病变包绕眼球前部并可向后蔓延(图2B)。
穹窿和泪阜结膜弥漫浸润型,病变以穹窿结膜增厚为主、可涉及球结膜、睑结膜以及泪阜(图2C)。
20230619102430_7703.png

图2 结膜原发性 MALT 淋巴瘤外观像
Figure 2 Primary MALT lymphoma of the conjunctiva
(A)右眼下方球结膜和穹窿病变型;(B)右眼上方球结膜下弥漫浸润型;(C)右眼上方结膜穹窿病变型。箭头示病变部位。
(A) The inferior bulbar conjunctival and fornix lesions of the right eye; (B) Diffffuse infiltration under the upper bulbar conjunctiva of the right eye; (C) The upper conjunctival fornix lesion of the right eye. Arrows indicate the lession.

2.3 泪腺型

原发于泪腺的MALT淋巴瘤,可一侧或双侧发病,约15%为双侧[3-5,13,17-18]。患者临床表现是上睑外侧肿胀隆起,上睑中外侧触及质地柔软肿大的泪腺。影像学表现为泪腺炎症样肿大,范围多以外直肌及上直肌为界,较少突破肌锥内间隙,病变在轴位上呈“杏仁样”(图3A),冠状位上呈“月牙形或半月形”改变(图3B)。
部分患者可合并耳前和颌下淋巴结肿大,亦可合并血清IgG4升高。
20230619102530_7858.png

图3 泪腺区原发性 MALT淋巴瘤MRI
Figure 3 MRI shows the primary MALT lymphoma of lacrimal gland
(A)轴位MRI示左泪腺肿大向后蔓延,T2WI等信号;(B)冠状位MRI示泪腺呈半月形肿大,T2WI等信号。箭头示病变部位。
(A) Axial MRI shows left lacrimal gland enlargement spreading backward, T2WI isosignal; (B) Coronal MRI shows half-moon enlargement of lacrimal glands, T2WI isosignal. Arrows indicate the lession.

2.4 泪囊型

原发于泪囊和鼻泪管的淋巴瘤罕见,最常见的病理类型为MALT淋巴瘤和弥漫大B淋巴瘤。常见症状是溢泪、泪囊区肿胀、泪囊区肿块和泪囊炎症;体征是泪囊区可触及肿块和冲洗显示泪囊阻塞[19-20]。CT显示泪囊区或/和鼻泪管高密度占位、合并鼻泪管扩张增粗;MRI显示泪囊和鼻泪管病变T1WI和T2WI均为等信号(图4)。原发性泪道MALT淋巴瘤亦可见于儿童[21],临床应予重视。
20230619102640_9581.png

图4 泪囊和鼻泪管原发性MALT淋巴瘤的MRI表现
Figure 4 MRI findings of Primary MALT lymphoma in the dacryocyst and duct
(A)T1WI显示右泪囊区等信号占位;(B)T2WI显示右鼻泪管增宽,占位病变呈等信号。箭头示病变部位。
(A) Axial MRI shows the mass with isosignal in T1WI in the lacrimal sac area; (B) Coronal MRI shows the mass with isosignal in T2WI in the lacrimal duct. Arrows indicate the lession.

2.5 原发眼肌型

原发于眼外肌的MALT淋巴瘤少见[22],早期即可出现复视和上睑下垂,继之出现眼球突出或移位,检查可见眼睑轻度肿胀、受累肌止点处结膜充血肥厚、眼球和眼睑运动受限。影像学检查受累眼外肌多为全长弥漫肥厚。眼肌型MALT淋巴瘤可见于各条眼外肌,但以上直肌和提上睑肌受累多见(图5)。
眼眶型MALT淋巴瘤可累及单条或多条眼外肌,应与原发眼肌型病变区别[22-23]
20230619102916_6307.png

图5 原发性眼外肌型MALT淋巴瘤
Figure 5 Primary MALT lymphoma of the extraocular muscle
(A)外观像:显示左眼睑稍肿胀;(B)T2WI 矢状位图片:显示上直肌和提上睑肌全长肥厚,中等偏低信号;(C)压脂强化矢状位片:显示病变区明显强化。箭头示病变部位。
(A) Slight swelling of the upper left eyelid; (B) Sagittal T2WI image showing full-length hypertrophy of the superior rectus and the elevator palpebrae superioris with hypointensity; (C) Sagittal image with fat suppression and enhancement showing significant enhancement in the lesion area. Arrows indicate the lession.

2.6 眼眶型

眼眶型MALT淋巴瘤原发于眶内非特定部位。根据临床检查时病变范围可分为眶前部型、眼球周围型、眶后部型和眼眶弥漫浸润几个亚型。文献[3-5,24-26]报道:眼眶型以发生在眶上半部为多,下半部较少;眼眶型的共性临床表现特征为眼球突出、眼球移位和复视,眶前部者可触及肿物、后部者可有眶压和球后阻力增高;部分患者可有眼球运动障碍和视力下降;影像学表现多为边界不清的铸造样改变,少数可为边界清楚的局限性病变,亦可包绕眼球生长,可蔓延至肌锥内外,但较少引起眶壁病变[24-26]
眼眶前段型:病变起源于眼球周围间隙、深度尚未超过眼球后极部、未进入肌锥内、不包绕眼球后极部的病变。患者早期可有眼睑肿胀,部分患者有可见局限性眼睑隆起,并可于眼睑或眶前部触及条形或结节状病变。影像学表现为眼球周围边界清楚的局限性肿物、或与眼球壁前中部呈“铸造状”弥漫性浸润病变,可累及眼外肌(图6A)。
眼球周围型:在眶前部型的基础上,病变向后包绕眼球后极部,可涉及多条眼外肌,故有眼睑肿胀、眼球突出、眼球移位,眼球运动受限和复视等。影像学可见眼球周围以及包绕眼球后极部的占位病变(图6B)。
眼眶后段型:起源于眼球后肌锥内外的病变,临床表现以眼球突出和球后阻力增高为主,影像学特征是眼球后部或肌锥内外“铸造样”病变(图6C)。
眶弥漫浸润型:涉及眼睑、眼球周围以及球后肌锥内外的弥漫性占位病变,可以是眼附属器淋巴瘤任一类型的晚期弥漫浸润(图6D)。此型多有眼球明显突出和移位、眼球运动受限、视力可受影响、并可涉及泪器。眶弥漫浸润型淋巴瘤合并全身病变的概率增高。
20230619103057_3190.png

图6 眼眶MALT淋巴瘤的亚型
Figure 6 Subtypes of orbital MALT lymphoma
(A)眶前段型:冠状 CT 示左眶内上方边界清楚的占位病变;(B)眼球周围型:轴位CT显示左眼球周围高密度占位病变;(C)眶后段型:冠状MRI显示右侧肌锥内包绕视神经的占位病变;(D)眶弥漫病变型:轴位MRI显示包绕肌锥内外的全眶型占位病变,眼球高度突出。箭头示病变部位。
(A) Anterior orbital type: coronal CT shows a well-defined occupying lesion in the upper-inferior part of the left orbit; (B) Periocular type: axial CT showed high density mass lesion around the left eye; (C) Posterior orbital segment type: coronal MRI shows a mass lesion surrounding the optic nerve in the right muscle cone; (D) Diffffuse orbital lesion type: Axial MRI shows a total orbital mass lesion inside and outside the cones, with the protruded eyeball. Arrows indicate the lession.

3 原发性眼附属器MALT淋巴瘤的影像学特征

MALT淋巴瘤可为弥漫浸润、亦可为边界清楚的占位病变,除结膜型病变可直接看到病变范围外,大多数患者需要影像诊断明确病变范围。常用的影像学诊断方法包括CT、MRI和超声。

3.1 CT检查

眼眶CT轴位、冠状位和矢状位成像,可以从3个层面显示病变涉及的范围和大小。POAML在眼眶软组织窗位上是CT值为50~56 Hu的高密度病变,多呈匍匐铸造样生长[24]

3.2 MRI检查

MRI是影像学检查POAML的金标准,特征是T1WI为中等信号并可中度强化、T2WI中等或中等偏高信号[24-26]。病程较长、病变内部有纤维化者,T1WI和T2WI均可为中等偏低信号。

3.3 超声检查

POAML在B型超声上多为极低回声病变,部分患者内部回声可欠均匀。彩色多普勒超声(color Doppler flow imaging,CDFI)部分有丰富血流信号、部分仅见少许血流信号[26]。具备以上影像学特征的眶区占位病变,应进行病理学检查。

4 POAML的病理学诊断

无论何种类型的眼眶占位病变,最终确诊均需病理学检查,尤其是淋巴瘤。POAML由于临床和影像学均无明显的特异性表现,故确诊至少需要病理和免疫组织化学,部分患者需要分子克隆检查[27-28]

4.1 组织病理学检查

MALT淋巴瘤的大体病理改变是鱼肉样病变;光学显微镜下为弥漫性小淋巴细胞浸润。主要特征是:中心细胞样、小淋巴细胞样、单核样细胞在滤泡边缘区向外弥漫增生,形成“边缘区细胞”,细胞异形性明显;正常的淋巴滤泡中有淋巴瘤细胞侵入或生发中心萎缩,中心细胞样细胞浸润,形成“滤泡植入”;3个及以上的淋巴瘤细胞浸润至上皮内,上皮细胞被破坏、发生嗜酸性变,形成“淋巴上皮病变”[27-30]

4.2 免疫组织化学检查

POAML免疫组织化学特征是[28-30]:CD20+、CD79a+;CD3、CD5、CD10、CD23、Bcl-6和CyclinD1(–);Ki-67+,5%~10%。

4.3 分子病理

MALT淋巴瘤的IgH基因单克隆性重排阳性率在60%以上[28-29],阳性者可以确定为MALT淋巴瘤。

5 全身排查

所有眼部首发占位病变患者,病检确定为MALT淋巴瘤,均应到血液科和淋巴瘤专进行全面检查,是否为继发病变或合并病变。
排查内容:全身表浅淋巴结检查;血常规、淋巴细胞亚群、血清乳酸脱氢酶和β微球蛋白检查;胸腹部CT和骨髓检查[8,9,31]。近期有报道PET-CT检查对有无全身其他病灶存在有重要价值[32]
如以上检查排除全身病变存在,可诊断为POAML,以局部治疗为主。如果是全身病的一部分,则应当在淋巴肿瘤专科或血液科全身治疗为主。

6 POAML的临床分型分期与个体化治疗

POAML的治疗,目前尚无指南和共识。一般认为,MALT淋巴瘤是一种惰性肿瘤,恶性程度较低。根据AnnArbor分期,仅局限于眼附属器的淋巴瘤均属于IE期。IE期POAML临床分型的意义,在于进行个体化治疗。
一般认为,POAML局部放射治疗有最好的(100%)控制率,复发率不超过15%。但有较多的并发症,包括早期的眼表刺激症状,晚期的白内障、干眼综合征、干眼所致的角膜溃疡、眶脂肪萎缩、视神经病变、视网膜缺血性病变和新生血管性青光眼[13,33-37]。化疗常用CHOP方案,但不良反应较多,效果不确定,认为化疗无效者还可行放射治疗[38-39]
局部注射利妥昔单抗治疗眼睑型、结膜型、泪腺型、眶前部型和眼球周围型淋巴瘤显示出良好的治疗效果[40-42],但有待于进一步和大范围的应用观察,不良反应和复发率也需要长期观察。局部注射治疗的方法是利妥昔单抗局部浸润注射到肿瘤区域,1~3周注射1次,直至病变消失。优点是简便易行、用药量小、可有效控制局部病变,且没有放疗的并发症。
建议针对不同部位和范围的POAML,进行个体化治疗。眼眶起源MALT淋巴瘤的进一步分型,也是为了个体化治疗。认为在个体化治疗方案中:眼睑型、结膜型、泪腺型、泪囊型、眶前部型可以大部分切除肿瘤病变,残余病变可以采用局部注射利妥昔单抗或局部放疗来治疗;眼球周围型、眼眶弥漫浸润型可部分切除病变,剩余部分可采用放射治疗或/和局部注射利妥昔单抗治疗;眼肌型、眶后段型病变,由于涉及眼外肌、眶内重要血管和神经,不能进行病变切除,建议病检确诊后,给予放疗、局部注射利妥昔单抗、必要时加用免疫化疗。

7 POAML随访观察

由于POAML治疗局部控制后,可能局部复发,也可能出现眼外病变,以及转化为其他类型淋巴瘤,故需要长期随访观察[13,37]
随访时除局部检查外,需要全身指标检测,一般2年内3个月一次,2年后6个月一次。
眼部检查包括双眼突度测量、眼位和眼球运动情况、触诊有无新发肿块、眶压和球后阻力等;CT或MRI检查眼球周围或眶后段有无新发病变,近期6个月一次,远期每年一次。
全身检测包括耳前、耳后、颌下和颈部淋巴结以及全身表浅淋巴结有无肿大;血清乳酸脱氢酶和β微球蛋白水平有无增高(二者均为非特异性指标,但全身有淋巴瘤活动性病变者会有明显升高);怀疑全身病变者应进行PET-CT检查,以及血液科或淋巴瘤专科会诊。

开放获取声明

本文适用于知识共享许可协议(Creative Commons),允许第三方用户按照署名(BY)-非商业性使用(NC)-禁止演绎(ND)(CC BY-NC-ND)的方式共享,即允许第三方对本刊发表的文章进行复制、发行、展览、表演、放映、广播或通过信息网络向公众传播,但在这些过程中必须保留作者署名、仅限于非商业性目的、不得进行演绎创作。详情请访问:https://creativecommons.org/licenses/by-nc-nd/4.0/。

基金

暂无基金信息

参考文献

1. 宋国祥. 眼眶病学[M]. 2版. 北京: 人民卫生出版社, 2012: 269- 291.
SONG GX. Disease of the orbit[M]. 2nd edition. Beijing: People’s Medical Publishing House, 2012: 269-291.
2. 毕颖文, 陈荣家, 侯英勇, 等. 眼部原发性黏膜相关淋巴组织结 外边缘区B细胞淋巴瘤的临床病理分析[ J]. 中华病理学杂志, 2007, 36(6): 414-415.
BI YW, CHEN RJ, HOU YX, et al. Primary MALT lymphoma of orbit: a clinicopathological study of 77 cases[ J]. Chinese Journal of Pathology, 2007, 36(6): 414-415.
3. 何为民, 罗清礼, 夏瑞南. 114例眼附属器淋巴增生性病变的病 理分析[ J]. 中国实用眼科杂志, 2001, 19(1): 68-70.
HE WM, LUO QL, XIA RN. Histopathological studies of 114 cases of ocular adnexal lymphatic hyperplasia[ J]. Chinese Journal of Practical Ophthalmology, 2001, 19(1): 68-70.
4. 游启生, 李彬, 周小鸽, 等. 112例眼附属器淋巴增生性病变临床 组织病理学初步分析[ J]. 中华眼科杂志, 2005, 41(10): 871-876.
YOU QS, LI B, ZHOU XG, et al. Clinical and pathological features of 112 cases with ocular adnexal lymphoproliferative lesions[ J]. Chinese Journal of Ophthalmology, 2005, 41(10): 871-876.
5. Ferry JA, Fung CY, Zukerberg L, et al. Lymphoma of the ocular adnexa: A study of 353 cases[ J]. Am J Surg Pathol, 2007, 31(2): 170-184.
6. 李美玉, 王宁利. 眼解剖与临床[M]. 北京: 北京大学医学出版社, 2003.
LI MY, WANG NL. Anatomy and Clinic of the Eye[M]. Beijing: Peking University Medical Press, 2003.
7. 张子璐. 原发性眼部淋巴瘤的临床分析及治疗预后[D]. 青岛: 青岛大学, 2017.
ZHANG ZL. Clinical analysis and prognosis of primary ocular lymphoma[D]. Qingdao: Qingdao University, 2017.
8. Ponzoni M, Govi S, Licata G, et al. A reappraisal of the diagnostic and therapeutic management of uncommon histologies of primary ocular adnexal lymphoma[ J]. Oncologist, 2013, 18(7): 876-884.
9. Stefanovic A, Lossos IS. Extranodal marginal zone lymphoma of the ocular adnexa[ J]. Blood, 2009, 114(3): 501-510.
10. Zschoche M, Zimpfer A, Scheef BO, et al. Histopathological features and Ann Arbor stage in periocular lymphoma[ J]. In Vivo, 2020, 34(4): 1965-1974.
11. Knowles DM, Jakobiec FA, McNally L, et al. Lymphoid hyperplasia and malignant lymphoma occurring in the ocular adnexa (orbit, conjunctiva, and eyelids): a prospective multiparametric analysis of 108 cases during 1977 to 1987[ J]. Hum Pathol, 1990, 21(9): 959-973.
12. 蒋萍, 单景军, 李宗敏, 等. 眼睑黏膜相关性淋巴组织结外边缘 区B细胞淋巴瘤二例并文献复习[ J]. 白血病·淋巴瘤, 2018, 27(3): 181-183.
JIANG P, SHAN JJ, LI ZM, et al. Eyelid mucosaassociated lymphoid tissue extranodal marginal zone B-cell lymphoma: report of two cases and review of literature[ J]. Journal of Leukemia and Lymphoma, 2018, 27(3): 181-183.
13. Desai A, Joag MG, Lekakis L, et al. Long-term course of patients with primary ocular adnexal MALT lymphoma: a large single-institution cohort study[ J]. Blood, 2017, 129(3): 324-332.
14. Nam SW, Woo KI, Kim YD. Characteristics of primary extranodal marginal zone B-cell lymphoma in Korea: conjunctiva versus other ocular adnexa[ J]. Br J Ophthalmol, 2018, 102(4): 502-508.
15. Govi S, Resti AG, Modorati G, et al. Marginal zone B-cell lymphoma of the conjunctiva[ J]. Expert Rev Ophthalmol, 2010, 5(2): 177-188.
16. 居红格, 谢建兰, 郭新建, 等. 眼结膜黏膜相关淋巴组织边缘带B 细胞淋巴瘤临床病理分析[ J]. 临床与病理学杂志, 2014, 30(8): 840-843.
JU HG, XIE JL, GUO XJ, et al. Clinical and pathological features of conjunctiva mucosa associated lymphoid tissue marginal zone B cell lymphoma[ J]. Chinese Journal of Clinical and Experimental Pathology, 2014, 30(8): 840-843.
17. 许薇薇, 张卯年, 魏锐利. 眼附属器 MALT 淋巴瘤的临床分析[ J]. 中华眼科杂志, 2010, 46(4): 299-303.
XU WW, ZHANG MN, WEI RL, et al. Clinical analysis of ocular adnexal MALT ly mphoma[ J]. Chinese Journal of Ophthalmology, 2010, 46(4): 299-303.
18. 张程芳, 孙丰源, 武劲圆, 等. 原发性眼附属器MALT淋巴瘤的临 床分析[ J]. 中国实用眼科杂志, 2017, 35(8): 825-828.
ZHANG CF, SUN FY, WU JY, et al. Clinical analysis of ocular adnexal mucosa-associated lymphoid tissue lymphoma[ J]. Chinese Journal of Practical Ophthalmology, 2017, 35(8): 825-828.
19. Sj? LD, Ralfkiaer E, Juhl BR, et al. Primary lymphoma of the lacrimal sac: an EORTC ophthalmic oncology task force study[ J]. Br J Ophthalmol, 2006, 90(8): 1004-1009.
20. Sabundayo MS, Takahashi Y, Kakizaki H, et al. Lacrimal sac lymphoma: A series of Japanese patients[ J]. Eur J Ophthalmol, 2019, 29(6): 678-684.
21. Ucgul AY, Tarlan B, Gocun PU, et al. Primary mucosa-associated lymphoid tissue (MALT) lymphoma of the lacrimal drainage system in two pediatric patients[ J]. Eur J Ophthalmol, 2020, 30(3): NP18-NP23.
22. 马建民, 尹卫靖. 眼肿瘤与眼眶病病例精粹[M]. 北京: 人民卫生 出版社, 2016: 53-56.
MA JM, YIN WJ. Ocular tumor and orbital disease: case highlights[M]. Beijing: People’s Medical Publishing House, 2016: 53-56.
23. 郭鹏德, 燕飞, 张青, 等. 眼眶淋巴瘤累及眼外肌的MRI分析[ J]. 放射学实践, 2015, 30(3): 232-235.
GUO PD, YAN F, ZHANG Q, et al. Analysis of MRI features in lymphoma patients with extraocular muscle invasion[ J]. Radiology Practice, 2015, 30(3): 232-235.
24. 郭鹏德, 鲜军舫, 陈光利, 等. 眼部淋巴瘤临床表现、病理及 MRI/CT影像分析[ J]. 中华医学杂志, 2015, 95(11): 814-818.
GUO PD, XIAN JF, CHEN GuL, et al. Features of clinical presentation, pathology and magnetic resonance or computed tomography imaging for ocular lymphoma[ J]. National Medical Journal of China, 2015, 95(11): 814-818.
25. 苗焕民, 胡粟, Sanjeev Kumar PS, 等. 原发性眼附属器淋巴瘤的诊 断及鉴别诊断[ J]. 医学影像学杂志, 2018, 28(7): 1065-1068.
MIAO HM, HU S, SANJEEV KUMAR PS, et al. Diagnosis and differential diagnosis of primary ocular adnexal lymphoma[ J]. Journal of Medical Imaging, 2018, 28(7): 1065-1068.
26. 汪东, 张虹, 宋国祥. 眼眶淋巴瘤临床及影像学分析[ J]. 中国实 用眼科杂志, 2010, 28(6): 619-621.
WANG D , ZHANG H , SONG GX. Clinical and imaging analysis of orbital lymphoma[ J]. Chinese Journal of Practical Ophthalmology, 2010, 28(6): 619-621.
27. 林锦镛. 规范眼附属器淋巴瘤的病理诊断和分类[ J]. 中华眼科 杂志, 2012, 48(11): 965-967.
LIN JY. To pay attention to the pathological diagnosis and classification of ocular adnexal lymphoma[ J]. Chinese Journal of Ophthalmology, 2012, 48(11): 965-967.
28. 孙志刚, 李春梅, 李静, 等. MALT淋巴瘤57例临床病理及克隆性 分析[ J]. 诊断病理学杂志, 2015, 22(7): 394-398.
SUN ZG, LI CM, LI J, et al. Clinical pathology and clonality analysis in mucosa-associated lymphoid tissue lymphoma[ J]. Chinese Journal of Diagnostic Pathology, 2015, 22(7): 394-398.
29. 林海月, 王红霞, 陈昊. 黏膜相关淋巴组织淋巴瘤诊断进展[ J]. 临床与实验病理学杂志, 2017, 33(9): 1010-1013.
LIN HY, WANG HX, CHEN H. Progress in diagnosis of mucosa-associated lymphoid tissue lymphoma[ J]. Chinese Journal of Clinical and Experimental Pathology, 2017, 33(9): 1010-1013.
30. 赵桂秋. 眼附属器 MALT淋巴瘤的诊断与治疗[ J]. 中华眼科杂 志, 2020, 56(9): 716-720.
ZHAO GQ. Diagnosis and treatment of ocular adnexal MALT lymphoma[ J]. Chinese Journal of Ophthalmology, 2020, 56(9): 716-720.
31. Lim SH, Kang M, Son J, et al. Extranodal marginal zone B cell lymphoma of mucosa-associated lymphoid tissue type of the ocular adnexa: retrospective single institution review of 95 patients[ J]. Indian J Ophthalmol, 2011, 59(4): 273-277.
32. Thuro BA, Ning J, Peng SA, et al. Rates of positive findings on positron emission tomography and bone marrow biopsy in patients with ocular adnexal lymphoma[ J]. Ophthalmic Plast Reconstr Surg, 2017, 33(5): 355-360.
33. Shirota N, Nakayama H, Shiraishi S, et al. Target volume dose and clinical outcome in radiotherapy for primary marginal zone lymphoma of the ocular adnexa[ J]. Mol Clin Oncol, 2017, 6(6): 833-838.
34. Fukutsu K, Kase S, Ishijima K, et al. The clinical features of radiation cataract in patients with ocular adnexal mucosa-associated lymphoid tissue lymphoma[ J]. Radiat Oncol, 2018, 13(1): 95.
35. Park HH, Lee SW, Sung SY, et al. Treatment outcome and risk analysis for cataract after radiotherapy of localized ocular adnexal mucosaassociated lymphoid tissue (MALT) lymphoma[ J]. Radiat Oncol J, 2017, 35(3): 249-256.
36. 赵水喜, 苏丹, 徐阳, 等. IE期原发眼附属器黏膜相关淋巴组织 淋巴瘤的放疗效果分析[ J]. 中华放射肿瘤学杂志, 2019, 28(2): 108-112.
ZHAO SX, SU D, XU Y et al. Clinical efficacy of radiotherapy for stage IE primary ocular adnexal mucosa-associated lymphoid tissue lymphoma[ J]. Chinese Journal of Radiation Oncology, 2019, 28(2): 108-112.
37. Yen MT, Bilyk JR, Wladis EJ, et al. Treatments for ocular adnexal lymphoma: a report by the American academy of ophthalmology[ J]. Ophthalmology, 2018, 125(1): 127-136.
38. Kim S Y, Yang S W, Lee WS, et al. Frontline treatment w ith chemoimmunotherapy for limited-stage ocular adnexal MALT lymphoma with adverse factors: a phase II study[ J]. Oncotarget, 2017, 8(40): 68583-68590.
39. Ma WL, Yao M, Liao SL, et al. Chemotherapy alone is an alternative treatment in treating localized primary ocular adnexal lymphomas[ J]. Oncotarget, 2017, 8(46): 81329-81342.
40. Annibali O, Chiodi F, Sarlo C, et al. Rituximab as single agent in primary MALT lymphoma of the ocular adnexa[ J]. Biomed Res Int, 2015, 2015: 895105.
41. Crespo Robledo P, Vázquez Castillo MJ, et al. Intralesional rituximab in ocular adnexal lymphoma[ J]. Farm Hosp, 2014, 38(4): 386-387.
42. 杨锦鹏, 庞旭, 张珂, 等. 局部注射利妥昔单克隆抗体治疗原发 性眼附属器MALT淋巴瘤的初步观察[ J]. 中华眼科杂志, 2020, 56(11): 839-845.
YANG JP, PANG X, ZHANG K, et al. The preliminary observation of intralesional rituximab administration in primary ocular adnexal mucosa-associated lymphoid tissue lymphoma[ J]. Chinese Journal of Ophthalmology, 2020, 56(11): 839-845.

施引文献

1. 大型综合医院眼眶病专业门诊疾病谱分析及诊治经验. 李琰琰;张珂;王丽丽;朱豫.国际眼科杂志,2022
2. 大型综合医院眼眶病专业门诊疾病谱统计分析及诊治经验. 李琰琰.郑州大学,2022
3. 李琰琰. 大型综合医院眼眶病专业门诊疾病谱统计分析及诊治经验[D].郑州大学,2022.
4. 李琰琰,张珂,王丽丽等.大型综合医院眼眶病专业门诊疾病谱分析及诊治经验[J].国际眼科杂志,2022,22(7):1234-1238.

相关文章