返回

混合型永存胚胎血管1例

阅读量:8177
DOI:10.3978/j.issn.1000-4432.2022.07.04
发布日期:2022-12-01
作者:
吴倩妮 ,陈睛晶
展开更多

关键词

永存胚胎血管
永存原始玻璃体增生症
先天性白内障
罕见眼病
病例报告

摘要

永存胚胎血管(persistent fetal vasculature,PFV),也称永存原始玻璃体增生症( persistent hyperplastic primary vitreous,PHPV),是一种先天性眼病,多发现于婴幼儿时期。因大多数患儿单眼发病、症状隐匿,且易被误诊为单纯的先天性白内障,常常延误手术治疗的最佳时机。因此,正确的诊断和适宜治疗方式的选择对于患儿视功能的预后尤为重要。本文报道了1例6岁6个月的男性患儿,诊断为混合型PFV,眼部特征表现为先天性白内障和黄斑区结构错位。

全文

    永存胚胎血管(persistent fetal vasculature,PFV)是由于胚胎时期的玻璃体血管网未按正常生长发育程序进行退化而导致的先天性眼部发育异常,既往也称之为永存原始玻璃体增生症(persistent hyperplastic primary vitreous,PHPV),是单侧先天性白内障最常见的病因之一,双眼发病少见,并少有遗传性PFV的报道[1-4]。笔者团队收治1例单眼混合型PFV的患者,现报告如下。

1 临床资料

    患者男,6岁6个月,因自出生以来右眼斜视,于2021年8月1 9日至中山大学中山眼科中心就诊。裸眼视力:右眼0.025,左眼0.63,最佳矫正视力右眼0.07,左眼0.9。眼压:右眼10 mmHg(1 mmHg=0.133 kPa),左眼13 mmHg。右眼内斜15度,结膜无充血,角膜透明,前房深度正常,晶状体后囊下混浊,偏鼻侧可见一处约2 mm×2 mm大小的白色致密短带,向玻璃体延伸,可见止端。通过虹膜后照法,发现在鼻侧偏下存在Mitterndorf点(图1)。玻璃体透明,眼底检查隐约见条索状物。左眼眼前段及眼底检查未见明显异常。进一步行双眼Pentacam检查(图2),评估双眼眼前段发育情况,角膜散光:右眼1.9 D,左眼1.0 D;中央角膜厚度:右眼568 μm,左眼558 μm;中央前房深度:右眼3.04 mm,左眼3.11 mm;晶状体厚度:右眼3 660 mm,左眼3 710 mm;眼轴:右眼22.51 mm,左眼22.98 mm;右眼晶体后囊下混浊,并见1个较短的条索状物向玻璃体腔延伸,可见止端。
20230210144706_9019.png

图1 右眼眼前段照相
Figure 1 Anterior segment images of the right eye
(A,B)右眼晶体后囊下混浊(黄色星号区域),鼻下方可见白色致密混浊向玻璃体延伸,可见止端(红色箭头所示);(C)虹膜后照法见Mitterndorf点(红色箭头所示)。
(A,B) Posterior capsular opacities (yellow asterisk) of right eye; in the inferonasal of posterior capsule, a white circular opacity tissue extends to the vitreous cavity with obvious terminal (red arrow); (C) Mitterndorf dot is observed under retro-illumination view (red arrow).

20230210144812_9363.png

图2 双眼Pentacam结果
Figure 2 Pentacam outcomes in both eyes
(A)右眼晶状体中央区后囊下混浊(黄色星号标记),鼻侧可见致密短带状条索状物指向玻璃体腔,可见止端(红色箭头所示);(B)右眼未见明显异常。
(A) Posterior subcapsular opacification of the central region of the lens of the right eye, and on the nasal side, a compact short strip of cord pointing to the vitreous cavity with a stop (red arrow); (B) There is no significant abnormality in the left eye.

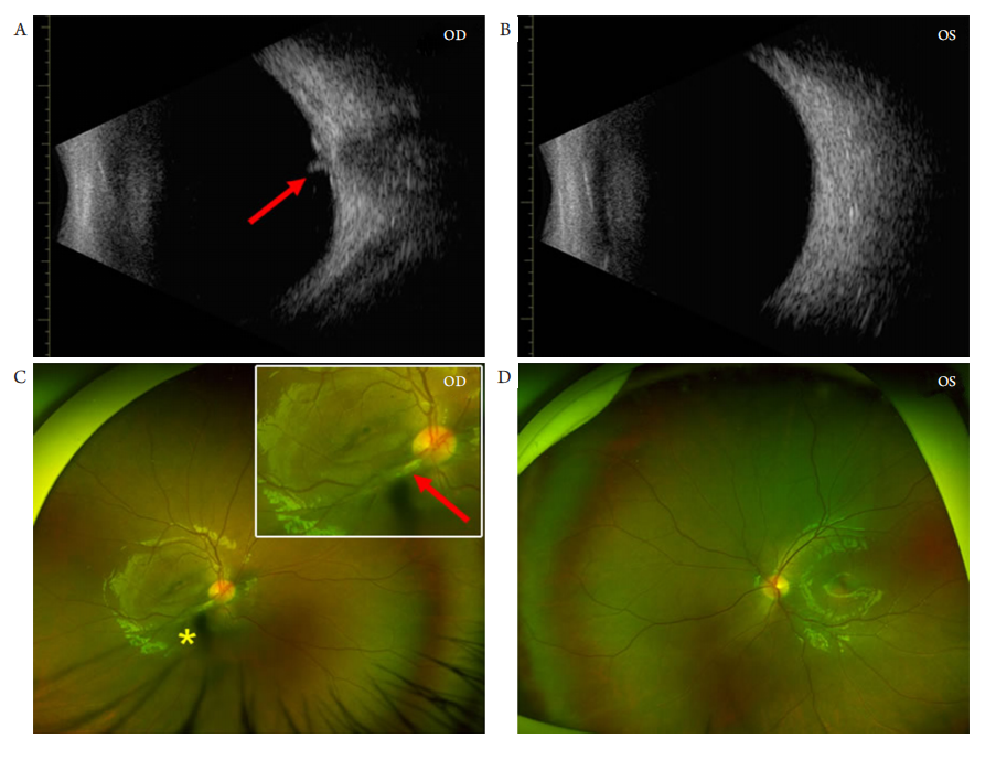
    为进一步评估患儿眼底情况,我们首先做了动态 B 超检查,确定其右眼晶状体后囊与视网膜之间无明显相互连接的长条带状回声,但视乳头附近存在局限的短条索状物声像;超广角激光扫描眼底成像(scanning laser ophthalmoscope , SLO) 显示右眼视盘前有短带状病变并贴附于视盘颞侧,符合Bergmeister乳头特征,并且牵拉黄斑区,黄斑区结构紊乱不清 ( 图 3 ) 。为进一步明确眼底,尤其是黄斑区视网膜结构,我们对其双眼眼底结构进行视网膜光学相干断层扫描(optical coherence tomography,OCT)检 查(图4 ),发现右眼视盘前存在短带膜状物,并部分贴附于黄斑侧,牵拉黄斑结构形成错位紊乱。
20230210144922_9465.png

图3 双眼B超和SLO结果
Figure 3 B-mode ultrasonography and ultra-wide-field SLO results of both eyes
(A)右眼B超示:视乳头前短带形膜状物声像(红色箭头所示),后极部颞侧球壁增厚声像;(B)左眼B超检查未见明显异常;(C)右眼SLO示:隐约见晶状体后囊下短蒂状混浊呈黑影(黄色星号),视盘前短条索形膜状物偏向颞侧(红色箭头),黄斑区结构紊乱;(D)左眼眼底未见明显异常。
(A) B-mode ultrasonography of right eye reveals a short tubular membrane adheres to the optic disk (red arrow) and temporal eyeball wall is thickening; (B) There is no obvious abnormality in the B-mode ultrasonography of left eye; (C) In SLO images of right eye: the posterior capsular opacities present a dark shadow (yellow asterisk), and the short tubular membrane adheres to the temporal optic disk, accompanied with macular structure disorders; (D) There is no obvious abnormality in the SLO image of left eye.

20230210145028_0065.png

图4 双眼OCT结果
Figure 4 OCT scanning results
OCT结果示:(A)右眼黄斑结构错位;(B)左眼OCT结果未见明显异常。黄斑区OCT密集扫描结果示:(C)视乳头前短条索状结构(红色箭头);(D)条索膜状物牵拉黄斑结构,导致黄斑错位(红色箭头)。
OCT scanning indicates (A) the disorders of macular structure in right eye and (B) the normal structure of posterior segments in left eye. Macular intensive scanning with OCT reveals (C) the short tubular membrane adheres to optic disk in the right eye (red arrow), leading to (D) the abnormal macular structure.

2 讨论

    在正常情况下,原始玻璃体血管系统应该在出生前完全退化,全部或部分未退化会导致PFV的发生,对患儿视功能及其眼部发育造成终身影响,早期正确的诊断和适宜的治疗方式对患儿视力的恢复具有重要意义。由于胚胎血管未完全退化过程中的异常表现可累及眼部从前至后的多个节段,临床表现复杂多样,再加上大多数婴幼儿难以配合检查,对正确、全面的诊断与病情评估造成一定困难[5-7]。Goldberg等[8]根据未完全退化的玻璃体血管系统导致眼部发育异常的部位,将PFV分为3种:单纯前部、单纯后部和前后部混合型。单纯前部PFV是指晶状体前后残存未退化的玻璃体血管,临床表现为瞳孔残膜、以后囊下或后极部混浊为特征的先天性白内障、晶状体前后纤维样增殖膜,持续性晶状体后纤维血管鞘,可同时伴有浅前房、睫状突延长、继发性闭角型青光眼;单纯后部PFV病变主要累及玻璃体和视网膜,其特征为视网膜增殖膜、镰状视网膜皱襞、帐篷样或蒂状视网膜脱离等眼底病变;前后混合型较为多见,主要表现为永存玻璃体动脉,即未退化的玻璃体动脉前端连于晶状体后部,后端连于视盘,呈条带状[9]。值得注意的是,现有观点提出将晶状体前的血管异常,如瞳孔残膜、虹膜玻璃体血管及晶状体前纤维血管膜等,归类为前前部PFV。这种新型四分类更有助于理解胚胎血管未完全退化过程中形成PFV的根本原因,并指导正确选择手术治疗方式。我们建议根据PFV的4种分型特征(前前部、前部、后部和混合型),利用不同的检查仪器的优势来逐一排查眼前段至眼后段眼部血管发育的异常。
    本文报告1例黄斑异常患儿主要表现为右眼PFV,通过裂隙灯检查可以发现其右眼晶状体仅存在后囊下的局限性混浊,Pentacam检查排除了角膜曲率、眼轴和眼前段结构等相关参数的发育异常,并可以较清晰地观察到晶状体后囊膜有1处致密的短带状条索状物,指向玻璃体腔,可见止端,未见与玻璃体相连的明显血管存在。通过眼底彩照与B超检查也并未发现有明显的永存玻璃体动脉牵拉晶体后囊与视网膜。为进一步探究该患儿视力低下的原因,我们通过OCT密集扫描确认:因不完全退化的原始玻璃体动脉附着于视盘前形成Bergmeister乳头,该病理结构紧密黏附于黄斑区域,形成牵拉导致黄斑结构错位。
    超声波检查联合彩色多普勒成像被广泛用于PFV的诊断,因为它可以提供眼轴长度、晶状体状态、玻璃体和视网膜的信息,尤其对于PFV合并白内障的患儿,眼部超声检查对于晶状体后部情况的评估尤为重要,是首选的检查方法。据报道[10-12],A型超声可以测定眼轴长度,B型超声有助于观察晶状体后囊膜与视网膜之间的Cloquet管的病变。有团队[2,13-15]利用B超联合彩色多普勒成像,根据PFV未退化的玻璃体动脉形态特征将其分为4种类型:I型、Y型、倒Y型和X型,这种分类策略对于手术方法的设计具有较强的实用性。先天性白内障的患者通过B超检查示玻璃体及眼底无明显异常,则可与PFV相鉴别。此外,外层渗出性视网膜病变(Coat’s病)患者的玻璃体一般无明显混浊,通过B超检查也可进一步排除诊断。家族性渗出性玻璃体视网膜病变(familial exudative vitreoretinopathy,FEVR)也可表现出晶状体后囊下混浊以及后囊膜与视盘相连的白色条索,但通常会伴随周边视网膜血管发育异常,可通过眼底荧光血管造影检查进一步鉴别诊断[16]。CT可以显示出PFV患者的眼部与眼眶的异常,并且可以通过观察是否存在眼内钙化和小眼球与视网膜母细胞瘤进行鉴别。MRI也可清楚地呈现出视网膜母细胞瘤的眼内肿瘤病灶及钙化沉着,从而进一步完善鉴别诊断[2,17-18]。OCT有助于进一步观察视网膜的病变,尤其对于未退化玻璃体动脉对视网膜的牵引、黄斑结构和后部玻璃体界面等的异常都可以较为清晰地展现,进而可对治疗方式及预后视力进行评估[19]。此外,有研究[20]报道了1例表现为晶状体后圆锥伴后囊色素沉着的罕见病例,利用卡西欧II(CASIA II)检查可以十分清晰地观察到其后囊膜无明显的纤维条索向玻璃体延伸,从而与混合型PFV相鉴别。
    对于PFV的治疗原则,目前尚未有统一的专家共识。现将本文报告的1例患儿的特征总结如下:1)PFV导致的眼部结构异常并未遮挡视轴中央区域,光线尚可进入眼内刺激视功能发育;2 )未退化的玻璃体动脉仅在晶状体后囊下形成局限性的残端,未牵拉晶状体和视网膜,造成眼轴缩短、视网膜脱离等并发症;3 )无浅前房、继发性青光眼等严重并发症;4)黄斑结构因Bergmeister乳头的牵拉形成错位,提示视功能预后不佳。
    根据上述PFV患儿的特征,笔者建议该患儿每日定时遮盖健侧眼进行弱视训练,并定期随访,视复查结果再考虑是否行眼底手术暴露折叠错位的黄斑,尽可能恢复正常结构。未来我们将不断加深对该病的了解,继续探索和完善各种类型PFV的诊断和治疗方式。

开放获取声明

    本文适用于知识共享许可协议 (Creative Commons),允许第三方用户按照署名(BY)-非商业性使用(NC)-禁止演绎(ND)(CC BY-NC-ND)的方式共享,即允许第三方对本刊发表的文章进行复制、发行、展览、表演、放映、广播或通过信息网络向公众传播,但在这些过程中必须保留作者署名、仅限于非商业性目的、不得进行演绎创作。详情请访问:https://creativecommons.org/licenses/by-nc-nd/4.0/

基金

1. 国家自然科学基金 (82171035)。This work was supported by the National Natural Science Foundation of China (82171035)

参考文献

1. Zou Y, Liu Z, Liu Y. Pigmented posterior lenticonus in unilateral development cataract[ J]. Am J Ophthalmol, 2022, 240: e3-e4.
2. De la Huerta I, Mesi O, Murphy B, et al. Spectral domain optical coherence tomography imaging of the macula and vitreomacular interface in persistent fetal vasculature syndrome with posterior involvement[ J]. Retina, 2019, 39(3): 581-586.
3. Sun MH, Kao LY, Kuo YH. Persistent hyperplastic primary vitreous:magnetic resonance imaging and clinical findings[ J]. Chang Gung Med J, 2003, 26(4): 269-276.
4. Goldberg MF, Mafee M. Computed tomography for diagnosis of persistent hyperplastic primary vitreous (PHPV)[ J]. Ophthalmology,1983, 90(5): 442-451.
5. Ranchod TM, Ho LY, Drenser KA, et al. Clinical presentation of familial exudative vitreoretinopathy[ J]. Ophthalmology, 2011, 118(10): 2070-2075.
6. Neudorfer M, Waisbourd M, Buzi S, et al. Color Doppler imaging of eyes with persistent fetal vasculature[ J]. Pediatr Radiol, 2012, 42(10):1229-1234.
7. Perrimon N, Bernfield M. Specificities of heparan sulphate proteoglycans in developmental processes[ J]. Nature, 2000, 404(6779): 725-728.
8. Hu A, Yuan M, Liu F, et al. Ultrasonographic feature of persistent hyperplastic primary vitreous[ J]. Eye Sci, 2014, 29(2): 100-103.
9. Galal AH, Kotoury AI, Azzab AA. Bilateral persistent hyperplastic primary vitreous: an Egyptian family supporting a rare autosomal dominant inheritance[ J]. Genet Couns, 2006, 17(4): 441-447.
10. Mackeen LD, Nischal KK , Lam WC, et al. High-frequenc y ultrasonography findings in persistent hyperplastic primary vitreous[ J]. J AAPOS, 2000, 4(4): 217-224.
11. Azcarate PM, Grace SF, Shi W, et al. B-scan echography in cases of confirmed persistent fetal vasculature[ J]. J Pediatr Ophthalmol Strabismus, 2016, 53(4): 252-253.
12. Hu A, Pei X, Ding X, et al. Combined persistent fetal vasculature: a classification based on high-resolution B-mode ultrasound and color Doppler imaging[ J]. Ophthalmology, 2016, 123(1): 19-25.
13. Goldberg MF. Persistent fetal vasculature (PFV): an integrated interpretation of signs and symptoms associated with persistent hyperplastic primary vitreous (PHPV). LIV Edward Jackson Memorial Lecture[ J]. Am J Ophthalmol, 1997, 124(5): 587-626.
14. Tartarella MB, Takahagi RU, Braga AP, et al. Persistent fetal vasculature: ocular features, management of cataract and outcomes[ J]. Arq Bras Oftalmol, 2013, 76(3): 185-188.
15. Sisk RA , Berrocal AM, Feuer WJ, et al. Visual and anatomic outcomes with or without surgery in persistent fetal vasculature[ J]. Ophthalmology, 2010, 117(11): 2178-83.e1-2.
16. Khandwala N, Besirli C, Bohnsack BL. Outcomes and surgical management of persistent fetal vasculature[ J]. BMJ Open Ophthalmol, 2021, 6(1): e000656.
17. Sanghvi DA , Sanghvi CA , Purandare NC. Bilateral persistent hyperplastic primary vitreous[ J]. Australas Radiol, 2005, 49(1): 72-74.
18. Ding X. Surgery of congenital cataracts associated with persistent fetal vasculature[M]//Liu Y. Pediatric lens diseases. Singapore: Springer Nature, 2016: 255-269.
19. Chen C, Xiao H, Ding X. Persistent fetal vasculature[ J]. Asia Pac J Ophthalmol (Phila), 2019, 8(1): 86-95.
20. Anteby I, Cohen E, Karshai I, et al. Unilateral persistent hyperplastic primary vitreous: course and outcome[J]. J AAPOS, 2002, 6(2): 92-99.

相关文章