返回

内源性念珠菌性眼内炎误诊1例

阅读量:8940
DOI:10.3978/j.issn.1000-4432.2019.12.05
发布日期:2022-09-26
作者:
刘慧琳 ,潘超 ,李璟 ,程建宏
展开更多

关键词

内源性眼内炎
念珠菌
误诊

摘要

临床上内源性真菌性眼内炎比较少见,其早期临床表现因类似于葡萄膜炎等常见眼病常常被误诊。武汉爱尔眼科医院汉口医院收治了1例49岁女性患者,首诊为葡萄膜炎,后前房穿刺送检确诊为内源性念珠菌性眼内炎。

全文

    真菌性眼内炎是真菌感染引起的眼内容物及其邻近组织的炎症反应,该病起病隐匿、病程较长,早期常因症状不典型而被漏诊或误诊,耽误治疗。抗真菌药的全身不良反应和局部刺激性较重,部分患者存在用药不规范、疗程不足易导致复发,且真菌性眼内炎对眼内组织及视功能损伤严重,视力预后差。因此,内源性真菌性眼内炎的早期诊断、及时治疗显得尤为关键。武汉爱尔眼科医院汉口医院收治了1例内源性念珠菌性眼内炎患者,现报告如下。

1 临床资料

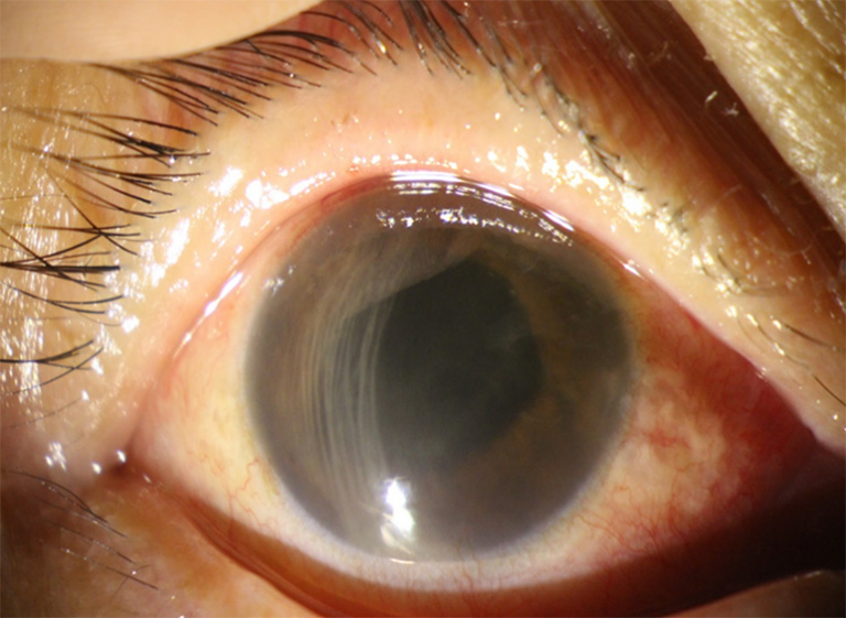
    患者,女性,49岁,因“双眼反复眼红眼痛、视力下降3年,右眼视物不见2个月余”于2019年6月28日收入院。患者于3年前开始出现无明显原因双眼视力下降,伴眼红、眼痛等不适,于当地医院就诊,予以全身抗生素治疗(具体不详),略好转后停止治疗,间断发作数次,近2个月右眼逐渐视物不见,遂来武汉爱尔眼科医院汉口医院就诊。检查:(视 力)右眼光感(光定位不准确,红绿色觉不敏感);左眼0.3,矫正0.4;右眼眼压9.3 mmHg(1 mmHg=0.133 kPa),左眼眼压11 mmHg,右眼结膜混合充血(++),角膜透明,前房深,房闪(++),虹膜瞳孔处可见新生血管,瞳孔后粘,对光反射消失,晶体轻度混浊,眼底不入。左眼角膜透明,前房深,房闪(+),瞳孔圆,对光反射迟钝,晶状体轻度混浊,玻璃体混浊,眼底网膜平伏。拟诊:考虑右眼葡萄膜炎,需进一步确认葡萄膜炎为感染性还是非感染性。既往史:患者全身情况一般,体型偏瘦,糜烂性胃炎病史1年,手术史:2017年行子宫息肉切除术。辅助检查:B超:右眼重度玻璃体混浊(考虑炎性可能),球壁回声增厚,左眼轻度玻璃体混浊。入院后予以局部激素及非甾体抗炎治疗10 d无效,辅助检查:眼眶CT未见明显异常;血常规、血糖、肝肾功能、电解质未见明显异常;单纯疱疹病毒I型IgG阳性反应。和患者沟通,可行右眼玻璃体切除探查术,明确病因。2019年7月8日行右眼白内障摘除+玻璃体切除+剥膜+硅油填充术,术中见:玻璃体前段以灰白色浓稠混浊为主,后段陈旧性积血表现,睫状体平坦部及中周部网膜表面见白色菌落样物,部分位于网膜下,全网膜血管闭锁,可见出血灶。术后追问病史:患者长期口腔溃疡,以约7次/年的频率复发,且长期使用全身抗生素。患者眼部未曾受外伤或行手术史,排除外源性感染可能,拟诊:右眼内源性真菌性眼内炎?术中取玻璃体组织真菌培养(沙保氏葡萄糖琼脂肉汤培养基),结果阴性。据文献[1]报道,虽有20%~30%的眼内炎眼内液微生物培养阴性,但并不能排除诊断。由于未确诊真菌感染,术后治疗以局部非甾体抗炎为主,术后第4天右眼出现前房积脓,积脓部位随体位变化而变化(图1),2019年7月12日右眼前房穿刺抽液外院送检,行高通量测序检测,2019年7月14日送检结果回报:白色念珠菌阳性,检测数据(reads)11 612,覆盖率97.3%,提示念珠菌阳性。明确诊断:右眼内源性念珠菌性眼内炎。治疗:局部1%伏立康唑点眼及全身氟康唑静滴。2019年7月15日行右眼前房灌洗(氟康唑)+前房注药(两性霉素B脂质体)+玻璃体注药(两性霉素B脂质体)。术后1~3 d体格检查:眼压(35~25 mmHg)波动,角膜水肿,内皮层皱褶,前房浅,可见大量渗出膜。2019年7月19日行右眼前房+玻璃体注药术(两性霉素B脂质体),术中再次前房抽液外院送检,行高通量测序检测,结果汇报:白色念珠菌阳性,检测数据(reads)22,覆盖率95.8%,提示念珠菌载量降低,抗真菌治疗有效,继续抗真菌治疗。术后第6天体格检查:右眼结膜充血(++),角膜水肿,内皮层皱褶,下方可见KP(++),前房渗出较前明显减轻,眼底模糊可见。在真菌性眼内炎的治疗中,糖皮质激素的应用尚存在争议。有学者[2]认为:在抗真菌治疗有效的情况下,局部糖皮质激素的应用可有效减轻过度炎症引起的眼部组织破坏作用。请示上级医生会诊:加用0.02%氟米龙滴眼液每天2次,右眼炎症反应慢慢减轻。2019年7月31日患者病情稳定,建议患者出院随访,出院体格检查:右眼视力(手动)/眼前,眼压12 mmHg,结膜充血(+),角膜水肿,内皮层皱褶,下方KP(+),下方玻璃体可见黄白色团状物(两性霉素B脂质体药团),眼底视盘苍白,血管闭锁白线化,周边网膜可见出血灶(图2 )。左眼角膜透明,前房深,瞳孔药物性散大,晶体混浊,玻璃体混浊,眼底网膜平伏。院外继续抗真菌治疗及后期眼底激光治疗。出院1个月后进行随访,患者情况稳定未复发。2个 月后复诊,患者出现双眼视力下降,查体双眼底出现白色菌落样病灶,考虑患者全身抵抗力较差,加上眼内抗真菌药物浓度降低,病情复发,部分真菌性眼内炎患者存在用药不规范、疗程不足易导致复发的情况,建议患者双眼玻璃体腔再次注射抗真菌药物,患者放弃眼科治疗和随诊。
20230203100117_3502.png
图1 泥沙样前房积脓,随体位变化而变化
Figure 1 Sud-like anterior chamber empyema, changes with body position
20230203100155_8572.png
图2 出院时眼底检查
Figure 2 Fundus examination upon discharge

2 讨论

    内源性眼内炎在临床上并不多见,仅占全部眼内炎的2%~8%。其中50%由真菌引起,真菌中又以白念珠菌占首位,其次为曲霉菌[3]。内源性真菌性眼内炎属于血源播散性感染,可双眼发病,多伴有全身易感因素。如长期应用全身抗生素和免疫抑制剂(尤其是糖皮质激素)、糖尿病、器官移植、长期留置静脉导管、肾衰竭以及静脉注射毒品等都是本病的高危因素[4]。内源性真菌性眼内炎比较典型的临床表现为:不同程度的前房炎症反应,可合并虹膜睫状体炎;部分患者玻璃体可见串珠状、绒球样或团块状混浊;眼底可见一个或多个白色、边界清晰的脉络膜视网膜浸润病灶,直径多小于1 mm,常伴有病灶周围视网膜血管的血管鞘形成。大部分病例主要累及赤道后区域,严重病例可见前房积脓,且病程发展缓慢[5]。本病例患者眼前段症状与葡萄膜炎相似,瞳孔粘连,眼后段窥不入,早期误诊葡萄膜炎,在局部眼部激素治疗无效的情况下,结合患者长期使用全身抗生素,抵抗力低下,应考虑真菌性眼内炎可能性。真菌性眼内炎可严重损害视功能甚至致盲,全身的真菌感染还会危及生命,对具有上述易感因素、特别是经广谱抗生素和糖皮质激素治疗未见好转的“葡萄膜炎”可疑患者,早期正确诊断是有效治疗内源性真菌性眼内炎的前提。真菌性眼内炎的确诊则依赖于病原体的检测,真菌培养的阳性率较低,当培养阴性时,亦不能排除真菌性眼内炎可能性[1],取样标本可同时进行病理涂片,或微生物测序,最确切的方法是在取出的组织或眼内液中分离、培养出致病菌。对怀疑真菌性眼内炎的病例尽早抽取眼内液进行微生物学检查,其中阳性率最高的标本是玻璃体腔标本。真菌性眼内炎一经确诊,应尽早玻璃腔内注射抗真菌药物及全身使用抗真菌治疗,及时行玻璃体切除术,玻璃体切除术不但可以取样检测明确诊断,还可以有效清除大部分有活性的真菌、纤维蛋白、巨噬细胞和毒素,恢复屈光间质透明性,同时使真菌失去继续繁殖的温床[6]。真菌性眼内炎的预后一般较差,其视功能的最终恢复程度取决于真菌感染是否被控制,熟练掌握内源性眼内炎的易患因素,通过患者的病史和体征,早期诊断,及时治疗,减少漏诊误诊情况。

利益冲突

所有作者均声明不存在利益冲突。

开放获取声明

本文适用于知识共享许可协议(Creative Commons),允许第三方用户按照署名(BY)-非商业性使用(NC)-禁止演绎(ND)(CC BY-NC-ND)的方式共享,即允许第三方对本刊发表的文章进行复制、发行、展览、表演、放映、广播或通过信息网络向公众传播,但在这些过程中必须保留作者署名、仅限于非商业性目的、不得进行演绎创作。详情请访问:https://creativecommons.org/licenses/by-nc-nd/4.0/

基金

暂无基金信息

参考文献

1. Sjoholm-Gomez de Liano C, Soberon-Ventura VF, Salcedo-Villanueva G, et al. Sensitivity, specificity and predictive values of anterior chamber tap in cases of bacterial endophthalmitis[ J]. Eye Vis (Lond), 2017, 4: 18.
2. Coats ML, Peyman GA. Intravitreal corticosteroids in the treatment of exogenous fungal endophthalmitis[ J]. Retina, 1992, 12(1): 46-51.
3. Wong JS, Chan TK , L ee H M , et al . Endogenous bacter ial endophthalmitis: an east Asian experience and a reappraisal of a severe ocular affliction[ J]. Ophthalmology, 2000, 107(8): 1483-1491.
4. Chen YJ, Kuo HK, Wu PC, et al. A 10-year comparison of endogenous endophthalmitis outcomes: an east Asian experience with Klebsiella pneumoniae infection[ J]. Retina, 2004, 24(3): 383-390.
5. Nagao M, Saito T, Doi S, et al. Clinical characteristics and risk factors of ocular candidiasis[ J]. Diagn Microbiol Infect Dis, 2012, 73(2): 149-152.
6. Kim DY, Moon HI, Joe SG, et al. Recent clinical manifestation and prognosis of fungal endophthalmitis: a 7-year experience at a tertiary referral center in Korea[ J]. J Korean Med Sci, 2015, 30(7): 960-964.
7. Kim DY, Moon HI, Joe SG, et al. Recent clinical manifestation and prognosis of fungal endophthalmitis: a 7-year experience at a tertiary referral center in Korea[ J]. J Korean Med Sci, 2015, 30(7): 960-964.
8. Nagao M, Saito T, Doi S, et al. Clinical characteristics and risk factors of ocular candidiasis[ J]. Diagn Microbiol Infect Dis, 2012, 73(2): 149-152.
9. Chen YJ, Kuo HK, Wu PC, et al. A 10-year comparison of endogenous endophthalmitis outcomes: an east Asian experience with Klebsiella pneumoniae infection[ J]. Retina, 2004, 24(3): 383-390.
10. Wong JS, Chan TK , L ee H M , et al . Endogenous bacter ial endophthalmitis: an east Asian experience and a reappraisal of a severe ocular afflfflffliction[ J]. Ophthalmology, 2000, 107(8): 1483-1491.
11. Coats ML, Peyman GA. Intravitreal corticosteroids in the treatment of exogenous fungal endophthalmitis[ J]. Retina, 1992, 12(1): 46-51.
12. Sjoholm-Gomez de Liano C, Soberon-Ventura VF, Salcedo-Villanueva G, et al. Sensitivity, specificity and predictive values of anterior chamber tap in cases of bacterial endophthalmitis[ J]. Eye Vis (Lond), 2017, 4: 18.

相关文章