原发性玻璃体视网膜淋巴瘤:个案报告及1942至2016年文献回顾
阅读量:2496
DOI:doi: 10.3978/j.issn.1000-4432.2017.10.03
发布日期:2024-12-05
作者:
Yujuan Wang ,Dik S. Cheung ,Chi-Chao Chan
展开更多 '%20fill='white'%20fill-opacity='0.01'/%3e%3cmask%20id='mask0_3477_29692'%20style='mask-type:luminance'%20maskUnits='userSpaceOnUse'%20x='0'%20y='0'%20width='16'%20height='16'%3e%3crect%20id='&%23232;&%23146;&%23153;&%23231;&%23137;&%23136;_2'%20x='16'%20width='16'%20height='16'%20transform='rotate(90%2016%200)'%20fill='white'/%3e%3c/mask%3e%3cg%20mask='url(%23mask0_3477_29692)'%3e%3cpath%20id='&%23232;&%23183;&%23175;&%23229;&%23190;&%23132;'%20d='M14%205L8%2011L2%205'%20stroke='%23333333'%20stroke-width='1.5'%20stroke-linecap='round'%20stroke-linejoin='round'/%3e%3c/g%3e%3c/g%3e%3c/svg%3e)
关键词
诊断与治疗
原发性玻璃体视网膜淋巴瘤
临床特征
摘要
原发性玻璃体视网膜淋巴瘤(primary vitreoretinal lymphoma, PVRL)作为原发性中枢神经系统淋巴瘤(primary central nervous system lymphoma,PCNSL)的一个亚型,是一种罕见的致命性眼部恶性肿瘤。多数PVRL会伪装成慢性后葡萄膜炎,这使得临床诊断具有挑战性。玻璃体细胞、视网膜下液和影像学检查对临床诊断至关重要。而对恶性细胞的细胞学检查与组织病理学诊断是PVRL诊断的金标准。此外,免疫球蛋白重链(immunoglobulin heavy chain, IgH)或T细胞受体(Tcell receptor, TCR)基因重排的分子生物学检测、细胞标志物的免疫表型检测、以及细胞因子检测如IL-10的表达升高均可作为辅助诊断工具。目前PVRL的治疗主要包括局部放射及玻璃体腔内注射化疗药物(甲氨蝶呤和利妥昔单抗),根据眼外组织是否受累决定是否联合全身化疗。对伴随PCNSL的患者,在全身大剂量甲氨蝶呤联合利妥昔单抗治疗的基础上,考虑联合局部治疗、全脑放疗和/或自体干细胞移植。尽管PVRL对初始治疗反应良好,但因其复发率高,常出现CNS受累,使PVRL的生存期预后较差。因此建立一个包含眼科医师、眼科病理学家、神经肿瘤学家以及血液肿瘤学家在内的专业团队来优化患者的治疗方案显得尤为重要。
全文
1 原发性玻璃体视网膜淋巴瘤的历史与分类
1924年,一篇干细胞淋巴瘤累及眼睑的个案报道被发表[1]。其后陆续有淋巴肉瘤或淋巴瘤的病例报告发表,然而,所有病例只累及眼睑和眼眶[2]。直到1951年,一名27岁的白人男性被确诊为第1例眼内网状细胞肉瘤,有趣的是,这名患者行眼球摘除术后不久又被确诊为睾丸淋巴肉瘤[3]。1968年,Vogel等[4]首次报道了6例组织学确诊的累及视网膜的眼内网状细胞肉瘤。此后,全球有关这种眼内恶性肿瘤的罕见病例与病例报道相继发表[5-10]。20世纪80年代,网状细胞肉瘤被定义为原发性中枢神经系统淋巴瘤(primary central ner vous system
lymphoma,PCNSL)的一个亚型,并被命名为原发性眼内淋巴瘤(primar y intraocular lymphoma,PIOL),即任何起源于眼组织的淋巴瘤[11]。由于该淋巴瘤起源于视网膜/玻璃体与脉络膜的特征,2009年提出用原发性玻璃体视网膜淋巴瘤(primary
vitreoretinal lymphoma,PVRL)取代PIOL[12-13]。
为进一步了解PVRL,Henr y Rappaport [14] 于1966年提出淋巴瘤的第1个临床相关的大体分型。 根据细胞形态,Rappaport将淋巴瘤分为霍奇金氏病、淋巴肉瘤和网状细胞肉瘤,而在早期PVRL属于网状细胞肉瘤。1982年,美国国立卫生研究 院癌症研究所运用工作分类法划分出非霍奇金淋巴瘤,从而取代Rappaport分类。1994年,国际淋巴瘤研究小组提出修订版的欧洲-美国淋巴肿瘤分类(Revised European-American Classification of Lymphoid Neoplasms,REAL) [15],引起WHO对淋巴瘤分类的又一轮讨论。作为淋巴瘤分类的主流体系,发表于2001年的WHO造血与淋巴组织肿瘤分 类分别于2008年与2016年更新与修订,其代表世界范围内对肿瘤诊断的共识,被病理学家与临床医生所采纳[16-18]。弥漫性大B细胞淋巴瘤(diffuse large B-cell lymphoma,DLBCL)是非霍奇金淋巴瘤最常见的亚型,在PVRL与PCNSL中占大多数[13,18-19];然而,仅有少数PVRL是T细胞或自然杀伤(natural killer,NK)细胞来源的。根据基因表达分析的结果,DLBCL可进一步分为生发中心型(germinal center B-cell-like,GCB)与激活B细胞型(activated B-cell-like,ABC)两种亚型[18-20]。由于GCB与ABC两种亚型在体细胞突变、细胞内信号通路异常激活、药理活性与临床预后存在差异[21-22],2016年修订版的WHO分类明确区分了这2种亚型[18]。
CSF或眼内液的细胞因子检测结果显示PVRL中多种细胞因子表达升高。玻璃体液穿刺术或玻璃体切除术中收集稀释或未稀释的玻璃体已成为临床上诊断PVRL的主要手段。IL-10是首个被发 现的促进B淋巴细胞生长与分化的细胞因子,在PVRL中B淋巴瘤细胞释放大量的IL- 10。相反,IL-6可由多种细胞产生,如炎症细胞、特定的眼内固有细胞,被认为是炎性疾病的标志物[46]。对 稀释的玻璃体标本进行检测时,IL -6常作为内标与IL-10同时进行检测。既往研究[47-49] 表明:IL-10表达升高,且IL -10/IL -6的比值>1,将有助于诊断PVRL。Wolf等[49] 对35例PVRL患者与64例葡萄 膜炎患者的玻璃体标本进行分析,结果显示PVRL组IL-10/IL-6为5.23,而葡萄膜炎组为0.23。以IL10/IL -6>1为诊断标准,其准确率为74.7%,灵敏度为0.74,特异度为0.75。Cassoux等[50] 比较51例PVRL患者与108例葡萄膜炎患者(其中74例病因明确,34例为特发性葡萄膜炎)的房水与玻璃体标本。以房水中IL-10 >50 pg/mL为诊断标准,房水标本检测的灵敏度为0.89,特异度为0.93,而若以玻璃体中IL -10 >400 pg/mL为诊断标准,玻璃体标本检测的灵敏度可达0.99,特异度为0.80。 因此,该研究认为可以将房水中IL-10浓度的检测作为快速筛选PVRL的方法。日本学者对30例患者(22例PVRL患者与8例病毒性视网膜炎患者)玻璃体中IL-10与IL-6的浓度进行检测,结果显示22例PVRL患者玻璃体中IL-10与IL-6的平均浓度分别为(4 187±1 696),(617±377) pg/mL。而10例病毒性视网膜炎患者玻璃体中IL - 10与IL - 6的平均浓度分别为 (181 ± 75) , ( 6 7 0 5 ± 3 0 5 3 ) pg / mL 。81.5 % ( 18 / 22 ) 的PVRL患者符合细胞因子检测的诊断标准,即
IL- 10 浓度 > 100 pg / mL ,IL - 10 / IL - 6 > 1,而对照组则无一例符合[51]。Fisson等[52] 对PVRL患者与葡萄膜炎患者中辅助T细胞1型与2型细胞亚群(Th1/Th2)进行分析,结果显示IL-10/IL-6与IL-10/IFNγ的组合不仅有助于PVRL与葡萄膜炎的鉴别诊断,也可用于PVRL病情的监测与疗效的评价。因此,对细胞因子进行组合分析将会进一步提升该检测手段在PVRL诊断中的价值。
PVRL中不仅有IL -10蛋白的高表达,也存在IL-10基因的突变。Ramkumar等[53] 对27例PVRL者、59例PCNSL患者和98例正常对照组的研究表明IL-10-1082 A的等位基因与PCNSL患者中IL-10转录水平的上调显著相关,也与PVRL患者中IL-10/ IL -6的高比值相关。IL -10水平的升高与PVRL及PCNSL的疾病严重程度密切相关,因此该研究具有重要的临床意义。Tuo等[54]对17例PVRL患者与12例葡萄膜炎患者的玻璃体标本进行了168种人类成熟小分子核糖核酸(miRNAs)测序,发现葡萄膜炎患者玻璃体中miRNA-155含量显著高于PVRL患者,这将有助于PVRL与葡萄膜炎的鉴别诊断。
本课题组收集了214例伪装综合征患者的227个样本,对细胞学检查、分子生物学以及细胞因子检测的诊断价值进行比较。总体而言,对PVRL的诊断,分子生物学(0.995)优于细胞学检查(0.89)与细胞因子检测(0.875),但细胞学检查具有较高的特异性(0.99)与阳性检出率(0.99),而细胞因子检测则具有较高的灵敏度(0.88) [55]。由于单一检测手段无法保证PVRL诊断的准确性,因此建议采用多种检测手段明确诊断。英国神经肿瘤学会、国际PCNSL联合会PVRL分会携同美国国家综合癌症网络的专家一致建议将细胞学检查、免疫学检测与基因重排检测作为PVRL的诊断方法[26]。
PVRL作为眼内罕见的恶性肿瘤,需要与许多眼内疾病进行鉴别诊断,如炎性疾病(如后葡萄膜炎、中间葡萄膜炎或全葡萄膜炎、多灶性脉络膜炎、白塞病)、感染性疾病(如结核、巨细胞病毒性视网膜炎、眼内炎)、其他肿瘤(如转移癌、无色素性黑色素瘤)等。而作为PCNSL的一个亚型,PVRL需要一个规范化的诊断流程。对疑似PVRL的患者,首先进行头颅MRI与腰穿排除CSF受累。如CSF中可见淋巴瘤,即可确诊为PCNSL;如CSF检查为阴性,则进行眼内液的检测(前房穿刺或诊断性玻切)。如房水检测为阳性,即可确诊PVRL;如检测结果为阴性,则建议重新进行房水与玻璃体标本的取样。对于多次检测结果均为阴性,但高度怀疑PVRL的患者,如诊断性玻切失败,必要时可行网膜/网膜下组织活检或者行眼球摘除术[23,25,43,56-57] 。
单眼受累的PVRL患者应进行眼局部治疗,如外放射治疗(external-beam radiotherapy,EBRT)和玻璃体腔内注射化疗药物(甲氨蝶呤和/或利妥昔单抗) [32,58]。常规EBRT对原发性病变有效,总剂量30~45 Gy,分15~25次完成[59-61]。由于放射性视网膜病变或视神经萎缩会造成不逆的视力损害,EBRT不可作为复发性PVRL患者的常规重复治疗[58]。对于双眼受累的患者,如无法耐受玻璃体腔内化疗药物注射,EBRT仍可作为首选的治疗方案。 由于血-眼屏障阻碍了系统性化疗药物进入眼内,因此,玻璃体腔注射化疗药物能够获得较好疗效,且复发率较低。甲氨蝶呤玻璃体腔注射 较全身用药具有更长效的肿瘤抑制作用,因此被 推荐为PVRL的一线治疗[62] 。0.4 mg/0.1 mL甲氨 蝶呤玻璃体腔注射可用于治疗原发肿瘤与复发性PVRL。对PVRL并发PCNSL的患者可联合玻璃体 腔利妥昔单抗注射、系统性化疗或EBRT[62-65]。Frenkel等对26例(44眼)PVRL患者进行玻璃体腔甲 氨蝶呤注射,1周2次,连续注射4周,改1周1次, 连续注射8周,改1月1次,连续注射9周,共进行25次注射。随访10年的结果显示玻璃体腔甲氨 蝶呤注射6.4次后可以达到临床缓解,95%的患眼 接受不超过13次注射即可使肿瘤细胞消退。玻璃 体腔注射甲氨蝶呤最常见的并发症为角膜上皮病变,常发生于第3次注射以后,随着注药时间间隔 的延长可自行消退[65-66]。6个月重复注射未见明显角膜上皮损伤[67]。既往曾有玻璃体腔注射甲氨蝶呤耐药的病例报告,可能是由于细胞内药物累积功能的下降所致[68-69]。
为进一步了解PVRL,Henr y Rappaport [14] 于1966年提出淋巴瘤的第1个临床相关的大体分型。 根据细胞形态,Rappaport将淋巴瘤分为霍奇金氏病、淋巴肉瘤和网状细胞肉瘤,而在早期PVRL属于网状细胞肉瘤。1982年,美国国立卫生研究 院癌症研究所运用工作分类法划分出非霍奇金淋巴瘤,从而取代Rappaport分类。1994年,国际淋巴瘤研究小组提出修订版的欧洲-美国淋巴肿瘤分类(Revised European-American Classification of Lymphoid Neoplasms,REAL) [15],引起WHO对淋巴瘤分类的又一轮讨论。作为淋巴瘤分类的主流体系,发表于2001年的WHO造血与淋巴组织肿瘤分 类分别于2008年与2016年更新与修订,其代表世界范围内对肿瘤诊断的共识,被病理学家与临床医生所采纳[16-18]。弥漫性大B细胞淋巴瘤(diffuse large B-cell lymphoma,DLBCL)是非霍奇金淋巴瘤最常见的亚型,在PVRL与PCNSL中占大多数[13,18-19];然而,仅有少数PVRL是T细胞或自然杀伤(natural killer,NK)细胞来源的。根据基因表达分析的结果,DLBCL可进一步分为生发中心型(germinal center B-cell-like,GCB)与激活B细胞型(activated B-cell-like,ABC)两种亚型[18-20]。由于GCB与ABC两种亚型在体细胞突变、细胞内信号通路异常激活、药理活性与临床预后存在差异[21-22],2016年修订版的WHO分类明确区分了这2种亚型[18]。
2 眼内淋巴瘤的亚型
根据肿瘤的位置与临床特征,眼内淋巴瘤可分为原发性PVRL、原发性葡萄膜淋巴瘤、继发
性眼内淋巴瘤和血管内淋巴瘤。与原发性葡萄膜淋巴瘤和继发性眼内淋巴瘤相比,PVRL更易累及视网膜,其可累及玻璃体、视网膜、网膜下以及视神经。原发性脉络膜/葡萄膜结外边缘带淋巴瘤(extranodal marginal zone lymphoma,EMZL)与黏膜相关淋巴组织淋巴瘤(mucosa - associated
lymphoid tissue,MALT)较少见,主要累及葡萄膜,属于低度恶性B细胞淋巴瘤。继发性眼内淋巴瘤指系统性淋巴瘤的转移,主要经血行转移至葡萄膜,尤其是血运丰富的脉络膜。然而,也可能转移到视网膜,称为全身转移性视网膜淋巴瘤(systemic metastatic retinal lymphoma,SMRL)。SMRL的诊断需要有明确的系统性淋巴瘤病史(尤其是来自鼻咽、睾丸或皮肤),同时在玻璃体和/或视网膜中发现淋巴瘤细胞。分子生物学检测比玻璃体细胞因子检测更利于SMRL的诊断[23] 。血管内淋巴瘤是全身性结外非霍奇金淋巴瘤中极为罕见的一种类型,主要表现为大B淋巴瘤细胞在小血管管腔内的增殖与聚集,目前仅有为数不多的病例报告[24] 。
并非所有玻璃体视网膜受累的淋巴瘤均为PVRL,因此,对于PVRL的明确诊断、全身评估与眼科检查同样重要。Salomao 等对梅奥诊所55例患者的55份玻璃体样本进行回顾性分析以排除恶性 肿瘤。其中13例确诊为淋巴瘤,3例(5%)合并系统性淋巴瘤不伴CNS受累(2例DLBCL,1例低度恶性B细胞淋巴瘤与睾丸淋巴瘤)[25]。该研究指出尽管PVRL患者全身受累的情况极其罕见,但对于表现为PVRL的所有患者应进行全身情况的评估,尤其是CNS的检查。
并非所有玻璃体视网膜受累的淋巴瘤均为PVRL,因此,对于PVRL的明确诊断、全身评估与眼科检查同样重要。Salomao 等对梅奥诊所55例患者的55份玻璃体样本进行回顾性分析以排除恶性 肿瘤。其中13例确诊为淋巴瘤,3例(5%)合并系统性淋巴瘤不伴CNS受累(2例DLBCL,1例低度恶性B细胞淋巴瘤与睾丸淋巴瘤)[25]。该研究指出尽管PVRL患者全身受累的情况极其罕见,但对于表现为PVRL的所有患者应进行全身情况的评估,尤其是CNS的检查。
3 PVRL个案报告
以下个案报告对PVRL的临床特征、诊断、治疗以及预后进行了系统性回顾与解析。患者为华人女性,49岁,主诉“右眼视力下降伴眼红、眼痛”。于2016年2月28日就诊于当地医院,视力右眼0.3 (20/67),左眼1.0 (20/20),双眼眼压正常。体格检查:右眼结膜充血、玻璃体混浊、浆液性视网膜脱离,左眼未见明显异常。诊断为Vogt小柳-原田病(Vogt-Koyanagi-Harada
disease,VKH),予局部激素及口服环孢素A治疗。2016年3月31日,患者右眼视力进一步下降,眼红、眼痛症状加重,眼内压(intraocular pressure,IOP)升高至45~55 mmHg(1 mmHg=0.133 kPa),B超提示网膜下液增加。头颅MRI未见明显异常。由于患者右眼视力进一步下降、高眼压无法控制、网膜下液不断加重,遂于2016年4月转诊于中山大学中山眼科中心。
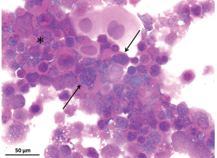
患者就诊时视力右眼0.1 (20 / 200) ,左眼1.0(20/20),眼压右眼50 mmHg,左眼15 mmHg。右眼结膜中度充血,角膜轻度水肿,瞳孔收缩伴虹膜后粘连(图1A)。玻璃体中度混浊,大面积脉络膜脱离,眼底窥不清。超声生物显微镜(ultrasound biomicroscopy,UBM)提示前房角关闭(图1B)。左眼角膜、前房、瞳孔均未见明显异常,晶体轻混(图1C),眼底后极部(图2A)及颞侧周边(图2B)散在多灶性网膜下黄色斑点,上方网膜周边部可见大片黄橘色的网膜下渗出,周边多个小的浸润灶(图2C)。FA荧光血管造影中期可见轻度渗漏与视网膜色素上皮(retinal pigment epithelium,RPE)颗粒样改变(图2D),上方网膜周边可见大面积低荧光区域、RPE层可见多处高荧光(图2E),与眼底镜下所见网膜下黄色病灶相符。ICG晚期可见相应病变区域呈弱荧光(图2F)。光学相干断层扫描(optic coherence tomography,OCT)显示光感受器内节/外节(inner/outer segments,IS/OS)层与RPE/ Bruch膜复合体轻度不规则(图3)。继续予抗炎与抗青光眼治疗,双眼状况仍未有改善。2016年6月,右眼视力降为光感,对患者行右眼诊断性玻璃体切除术,玻璃体标本的细胞学检查结果发现非典型性大淋巴样细胞(图4)。患者头颅MRI轴位T2加 权像(T2W)提示右侧筛窦扩大、增厚(图5A),鼻窦活检确诊为DLBCL来源。MRI还提示右侧胼胝体存在脑部病变(图5B)。患者左眼自始至终未出现症状。因患者PVRL并发PCNSL,目前正在接受局部与全身化疗。

图4 PVRL患者玻璃体标本的细胞学检查。可见非典型性大淋巴样细胞(箭头所示),细胞核大、核仁明显、嗜碱性胞浆减少。同时可见坏死细胞(星号所示)与淋巴细胞
(HE,×400)
患者就诊时视力右眼0.1 (20 / 200) ,左眼1.0(20/20),眼压右眼50 mmHg,左眼15 mmHg。右眼结膜中度充血,角膜轻度水肿,瞳孔收缩伴虹膜后粘连(图1A)。玻璃体中度混浊,大面积脉络膜脱离,眼底窥不清。超声生物显微镜(ultrasound biomicroscopy,UBM)提示前房角关闭(图1B)。左眼角膜、前房、瞳孔均未见明显异常,晶体轻混(图1C),眼底后极部(图2A)及颞侧周边(图2B)散在多灶性网膜下黄色斑点,上方网膜周边部可见大片黄橘色的网膜下渗出,周边多个小的浸润灶(图2C)。FA荧光血管造影中期可见轻度渗漏与视网膜色素上皮(retinal pigment epithelium,RPE)颗粒样改变(图2D),上方网膜周边可见大面积低荧光区域、RPE层可见多处高荧光(图2E),与眼底镜下所见网膜下黄色病灶相符。ICG晚期可见相应病变区域呈弱荧光(图2F)。光学相干断层扫描(optic coherence tomography,OCT)显示光感受器内节/外节(inner/outer segments,IS/OS)层与RPE/ Bruch膜复合体轻度不规则(图3)。继续予抗炎与抗青光眼治疗,双眼状况仍未有改善。2016年6月,右眼视力降为光感,对患者行右眼诊断性玻璃体切除术,玻璃体标本的细胞学检查结果发现非典型性大淋巴样细胞(图4)。患者头颅MRI轴位T2加 权像(T2W)提示右侧筛窦扩大、增厚(图5A),鼻窦活检确诊为DLBCL来源。MRI还提示右侧胼胝体存在脑部病变(图5B)。患者左眼自始至终未出现症状。因患者PVRL并发PCNSL,目前正在接受局部与全身化疗。
图1 PVRL患者裂隙灯检查与UBM检查
(A)右眼中度结膜充血,角膜轻水肿,KP(–),前房略浅,房角窄,瞳孔收缩、虹膜后粘连,晶体轻混;(B)右眼UBM显示房角关闭,虹膜未见明显异常;(C)左眼晶体轻混,余前节未见明显异常。

图2 PVRL患者左眼眼底相与FFA检查
(A)后极部散在网膜下黄色斑点;(B)颞侧周边网膜散在网膜下黄色斑点;(C)上方周边网膜可见大片融合的边界不清的网膜下黄色病灶;(D)造影中期可见部分网膜血管的轻微渗漏以及弥漫的RPE颗粒样改变;(E)造影晚期可见(C)中的大片病灶呈低荧光,为淋巴瘤沉积区域,(C)中的小片病灶因RPE萎缩呈多处高荧光窗样缺损;(F)ICG晚期可见所有网膜下病灶均呈低荧光改变。
图3 PVRL患者左眼自发荧光与OCT检查
(A)后极部可见多个高荧光点;(B)黄斑区OCT可见光感受器IS/OS层连续性中断,RPE-Bruch膜复合体信号轻度增强。
图5 PVRL患者头颅MRI
(A)轴位T2加权像(T2W)低平面扫描可见右侧筛窦扩大、变形、壁增厚(红圈所示);(B)T2W可见右侧胼胝体局灶性高密度影(红圈所示)。
4 PVRL 的临床特征
PVRL作为PCNSL的亚型,好发于60岁左右的人群[13,26]。其常伪装成后葡萄膜炎,对抗炎治疗反应差[13,27]。多数PVRL表现为玻璃体混浊、视网膜或网膜下渗出。PVRL的特征性表现为玻璃体混浊、大量片状和/或团状玻璃体细胞[27]。尽管患者有中至重度的玻璃体混浊,但视力往往比预期要好。PVRL最具特征性的表现为黄白色或黄橘色的网膜下渗出,随时间推移,可增大、融合(图2A-2C) [27]。还可伴随其他异常,如出血、视网膜血管炎、视神经浸润
和/或浆液性视网膜脱离[6,28]。除后段受累外,部分患者最初可表现为前节受累,包括角膜水肿、前房积脓、瞳孔变形和/或虹膜炎[29]。临床表现和
眼科影像学检查,如眼底自发荧光、FA及OCT,
常可发现PVRL的典型特征。
眼底自发荧光常可发现早期RPE异常。PVRL细胞可位于RPE层或RPE上,表现为多灶性点状低
荧光或高荧光(图3A)。低荧光区域提示PVRL细胞位于RPE上或RPE萎缩。FA可用于明确PVRL渗出的范围与RPE的萎缩程度(图2D,2E)。PVRL常表现为高荧光窗样缺损和低荧光圆形病灶[30-31]。FA早期和晚期可见100 μm左右的圆形高荧光或低荧光团[32]。RPE异常常表现为颗粒样改变、荧光遮蔽
和晚期着染[30-31]。PVRL患者也可合并脉络膜荧光异常[33]。ICG虽不像FA可用于PVRL的明确诊断,但可表现为圆形的低荧光斑点,可在造影晚期消退(图2F) [33]。OCT表现为外层视网膜的结节状高反射信号,约50%的PVRL患者可出现椭圆体带的异常(图3B) [34]。病理学研究证实网膜下结节状高反射信号为PVRL的沉积物,位于RPE与Bruch膜之间[32]。OCT可用于发现疾病早期微小的黄斑病变以及治疗后的跟踪随访[34]。为了进行鉴别诊断、排除CNS或其他系统受累,应进行全身评估,根据患者的不同情况进行头颅CT/MRI检查、骨髓活检、睾丸超声或全身PET/PET-CT检查。
5 PVRL的诊断
PVRL的诊断应进行全面的病史采集与完善的辅助检查。细胞学检查与组织病理学检查是诊断PVRL的金标准。 临床标本包括脑脊液(cerebrospinal fluid,CSF)、房水、玻璃体、网膜下液和/或脉络膜组织均可进行组织病理学分析。通常建议行诊断性玻璃体切除术中进行玻璃体标本采集[13,35]。也可经外部或玻璃体手术进行网膜、
网膜下或脉络膜的活检,尤其是对于诊断性玻璃切片结果为阴性的患者。细胞学检查较为直观,可见特征性的非典型性大淋巴样细胞,细胞核大而不规则,核仁明显,嗜碱性细胞质减少(图4) [27]。
然而,标本中的非典型性淋巴样细胞常混有反应性淋巴细胞、变性或坏死的细胞和碎片,加之非典型性淋巴样细胞十分脆弱,这就使得细胞学诊断格外困难[36]。因此,所有活检标本均应合理取样、及时处理。此外,组织学的诊断还需要细胞病理学家和/或眼科病理学家的帮助。
虽然细胞学检查能够识别PVRL肿瘤细胞,但对淋巴瘤细胞来源的进一步分类则依赖于免疫组 织化学的免疫分型、流式细胞分析以及PCR的分子生物学检测。单克隆性是B细胞淋巴瘤与T细胞淋巴瘤特有增殖机制的结果,因此免疫组织化学可见B细胞标志物(如CD19,CD20,CD22,限制性κ和λ轻链)与T细胞标志物(如CD3和CD30)的阳性表达。目前,流式细胞分析较传统免疫组织化学染色更为常用,但两者都可以对PVRL进行分类[37-38]。
在正常B细胞的发育过程中,免疫球蛋白基因经过复杂的重排过程产生出不同的抗体编码序列。因此,B细胞的多细胞株包含免疫球蛋白重链(immunoglobulin heavy chain,IgH)的基因重排。相反,PVRL中癌变B细胞的细胞株来源于单个细胞,使得每个肿瘤细胞都有相同的独特的基因重排[39-42]。IgH基因的互补决定区3(CDR3)是B细胞淋巴瘤的高变区[41,43-44]。同样,TCR基因重排常见于TCRγ区,是T细胞淋巴瘤克隆性扩增的分子标志。因此,B细胞淋巴瘤的IgH基因重排与T细胞淋巴瘤的TCR基因重排是PVRL的特征性表现,通过PCR检测技术可对分子生物学诊断进行补充,并对肿瘤来源进行进一步分型。为提高分子生物学诊断的准确性与特异性,对PVRL细胞进行基因重排检测时,首先要对非典型性淋巴样细胞进行显微切割[44-45],否则,可能出现假阴性结果。虽然细胞学检查能够识别PVRL肿瘤细胞,但对淋巴瘤细胞来源的进一步分类则依赖于免疫组 织化学的免疫分型、流式细胞分析以及PCR的分子生物学检测。单克隆性是B细胞淋巴瘤与T细胞淋巴瘤特有增殖机制的结果,因此免疫组织化学可见B细胞标志物(如CD19,CD20,CD22,限制性κ和λ轻链)与T细胞标志物(如CD3和CD30)的阳性表达。目前,流式细胞分析较传统免疫组织化学染色更为常用,但两者都可以对PVRL进行分类[37-38]。
CSF或眼内液的细胞因子检测结果显示PVRL中多种细胞因子表达升高。玻璃体液穿刺术或玻璃体切除术中收集稀释或未稀释的玻璃体已成为临床上诊断PVRL的主要手段。IL-10是首个被发 现的促进B淋巴细胞生长与分化的细胞因子,在PVRL中B淋巴瘤细胞释放大量的IL- 10。相反,IL-6可由多种细胞产生,如炎症细胞、特定的眼内固有细胞,被认为是炎性疾病的标志物[46]。对 稀释的玻璃体标本进行检测时,IL -6常作为内标与IL-10同时进行检测。既往研究[47-49] 表明:IL-10表达升高,且IL -10/IL -6的比值>1,将有助于诊断PVRL。Wolf等[49] 对35例PVRL患者与64例葡萄 膜炎患者的玻璃体标本进行分析,结果显示PVRL组IL-10/IL-6为5.23,而葡萄膜炎组为0.23。以IL10/IL -6>1为诊断标准,其准确率为74.7%,灵敏度为0.74,特异度为0.75。Cassoux等[50] 比较51例PVRL患者与108例葡萄膜炎患者(其中74例病因明确,34例为特发性葡萄膜炎)的房水与玻璃体标本。以房水中IL-10 >50 pg/mL为诊断标准,房水标本检测的灵敏度为0.89,特异度为0.93,而若以玻璃体中IL -10 >400 pg/mL为诊断标准,玻璃体标本检测的灵敏度可达0.99,特异度为0.80。 因此,该研究认为可以将房水中IL-10浓度的检测作为快速筛选PVRL的方法。日本学者对30例患者(22例PVRL患者与8例病毒性视网膜炎患者)玻璃体中IL-10与IL-6的浓度进行检测,结果显示22例PVRL患者玻璃体中IL-10与IL-6的平均浓度分别为(4 187±1 696),(617±377) pg/mL。而10例病毒性视网膜炎患者玻璃体中IL - 10与IL - 6的平均浓度分别为 (181 ± 75) , ( 6 7 0 5 ± 3 0 5 3 ) pg / mL 。81.5 % ( 18 / 22 ) 的PVRL患者符合细胞因子检测的诊断标准,即
IL- 10 浓度 > 100 pg / mL ,IL - 10 / IL - 6 > 1,而对照组则无一例符合[51]。Fisson等[52] 对PVRL患者与葡萄膜炎患者中辅助T细胞1型与2型细胞亚群(Th1/Th2)进行分析,结果显示IL-10/IL-6与IL-10/IFNγ的组合不仅有助于PVRL与葡萄膜炎的鉴别诊断,也可用于PVRL病情的监测与疗效的评价。因此,对细胞因子进行组合分析将会进一步提升该检测手段在PVRL诊断中的价值。
PVRL中不仅有IL -10蛋白的高表达,也存在IL-10基因的突变。Ramkumar等[53] 对27例PVRL者、59例PCNSL患者和98例正常对照组的研究表明IL-10-1082 A的等位基因与PCNSL患者中IL-10转录水平的上调显著相关,也与PVRL患者中IL-10/ IL -6的高比值相关。IL -10水平的升高与PVRL及PCNSL的疾病严重程度密切相关,因此该研究具有重要的临床意义。Tuo等[54]对17例PVRL患者与12例葡萄膜炎患者的玻璃体标本进行了168种人类成熟小分子核糖核酸(miRNAs)测序,发现葡萄膜炎患者玻璃体中miRNA-155含量显著高于PVRL患者,这将有助于PVRL与葡萄膜炎的鉴别诊断。
本课题组收集了214例伪装综合征患者的227个样本,对细胞学检查、分子生物学以及细胞因子检测的诊断价值进行比较。总体而言,对PVRL的诊断,分子生物学(0.995)优于细胞学检查(0.89)与细胞因子检测(0.875),但细胞学检查具有较高的特异性(0.99)与阳性检出率(0.99),而细胞因子检测则具有较高的灵敏度(0.88) [55]。由于单一检测手段无法保证PVRL诊断的准确性,因此建议采用多种检测手段明确诊断。英国神经肿瘤学会、国际PCNSL联合会PVRL分会携同美国国家综合癌症网络的专家一致建议将细胞学检查、免疫学检测与基因重排检测作为PVRL的诊断方法[26]。
PVRL作为眼内罕见的恶性肿瘤,需要与许多眼内疾病进行鉴别诊断,如炎性疾病(如后葡萄膜炎、中间葡萄膜炎或全葡萄膜炎、多灶性脉络膜炎、白塞病)、感染性疾病(如结核、巨细胞病毒性视网膜炎、眼内炎)、其他肿瘤(如转移癌、无色素性黑色素瘤)等。而作为PCNSL的一个亚型,PVRL需要一个规范化的诊断流程。对疑似PVRL的患者,首先进行头颅MRI与腰穿排除CSF受累。如CSF中可见淋巴瘤,即可确诊为PCNSL;如CSF检查为阴性,则进行眼内液的检测(前房穿刺或诊断性玻切)。如房水检测为阳性,即可确诊PVRL;如检测结果为阴性,则建议重新进行房水与玻璃体标本的取样。对于多次检测结果均为阴性,但高度怀疑PVRL的患者,如诊断性玻切失败,必要时可行网膜/网膜下组织活检或者行眼球摘除术[23,25,43,56-57] 。
6 PVRL的治疗
因PVRL极其罕见,目前尚无标准化治疗方案。和其他恶性肿瘤一样,PVRL的治疗包括单独放疗或联合放疗、局部或全身化疗以及自体造血干细胞移植(autologous stem cell transplantation,ASCT)。2001年国际PCNSL联合会提出一套PVRL的最佳治疗方案。若病变累及CNS需进行全身系统性治疗,若病变只局限于眼部则进行局部治疗,并对患者进行密切随访,同时眼科医师应与 神经病理学家建立密切合作关系[32]。单眼受累的PVRL患者应进行眼局部治疗,如外放射治疗(external-beam radiotherapy,EBRT)和玻璃体腔内注射化疗药物(甲氨蝶呤和/或利妥昔单抗) [32,58]。常规EBRT对原发性病变有效,总剂量30~45 Gy,分15~25次完成[59-61]。由于放射性视网膜病变或视神经萎缩会造成不逆的视力损害,EBRT不可作为复发性PVRL患者的常规重复治疗[58]。对于双眼受累的患者,如无法耐受玻璃体腔内化疗药物注射,EBRT仍可作为首选的治疗方案。 由于血-眼屏障阻碍了系统性化疗药物进入眼内,因此,玻璃体腔注射化疗药物能够获得较好疗效,且复发率较低。甲氨蝶呤玻璃体腔注射 较全身用药具有更长效的肿瘤抑制作用,因此被 推荐为PVRL的一线治疗[62] 。0.4 mg/0.1 mL甲氨 蝶呤玻璃体腔注射可用于治疗原发肿瘤与复发性PVRL。对PVRL并发PCNSL的患者可联合玻璃体 腔利妥昔单抗注射、系统性化疗或EBRT[62-65]。Frenkel等对26例(44眼)PVRL患者进行玻璃体腔甲 氨蝶呤注射,1周2次,连续注射4周,改1周1次, 连续注射8周,改1月1次,连续注射9周,共进行25次注射。随访10年的结果显示玻璃体腔甲氨 蝶呤注射6.4次后可以达到临床缓解,95%的患眼 接受不超过13次注射即可使肿瘤细胞消退。玻璃 体腔注射甲氨蝶呤最常见的并发症为角膜上皮病变,常发生于第3次注射以后,随着注药时间间隔 的延长可自行消退[65-66]。6个月重复注射未见明显角膜上皮损伤[67]。既往曾有玻璃体腔注射甲氨蝶呤耐药的病例报告,可能是由于细胞内药物累积功能的下降所致[68-69]。
玻璃体腔甲氨蝶呤注射联合全身大剂量甲氨蝶呤可有效治疗PVRL[70-71]。Akiyama等[70]回顾性分析10例PVRL患者初始治疗的疗效,首先对患者进行玻璃体腔甲氨蝶呤注射,每周1次,直至眼部病变完全消退,再对患者进行5轮全身大剂量甲氨蝶呤化疗(3.5 g/m2
),隔1周1次。分析结果显示所有患者的眼部病变均完全消退,其玻璃体内IL-10的浓度迅速下降。其中4例患者发展为CNS淋巴瘤,中位随访时间为29.5个月时,无PCNSL的平均生存时间为58.3个月,而单次玻璃体腔甲氨蝶呤注射后的2年生存时间为37.5个月。利妥昔单抗是基因合成的人源单克隆抗体,可与造血细胞和成熟B细胞表达的B淋巴细胞特异性抗原CD20相结合[72-73]。1997年被批准用于治疗B细胞淋巴瘤和白血病,可明显改善PCNSL患者
的预后,并降低高危患者CNS的复发率[74] 。由于利妥昔单抗的中枢神经系统渗透性较差,因此首选鞘内注射。对PCNSL患者可联合局部或全身甲氨蝶呤治疗或EBRT。鉴于多数PVRL/PCNSL都是CD20阳性的DLBCL,利妥昔单抗越来越多地被用于PVRL的局部化疗。利妥昔单抗1 mg/0.1 mL局部注射可有效治疗PVRL,且无眼内毒性[75]。Hashida等[76] 对13例(20眼)PVRL女性患者进行每周玻璃体腔利妥昔单抗注射治疗,虽然是很有效的替代治疗,但仍有55%的患眼复发角膜上皮毒性反应。玻璃体腔注射利妥昔单抗治疗常见的并发症包括一过性的高眼压与虹膜睫状体炎。
由于利妥昔单抗单独治疗的复发率可高达50%,因此常联合其他局部或全身系统性化疗。利妥昔单抗联合大剂量甲氨蝶呤治疗已被约翰霍普金斯大学列为治疗新发PCNSL患者的规范化治疗方案[77]。对免疫功能正常的新发PCNSL患者,联合治疗不仅可以提高完全缓解率,还能够延长总生存时间与无进展生存时间[78]。研究[79-81] 认为以利妥昔单抗为主的眼内化疗可使大部分PVRL患者的肿瘤消退。Larkin等[81]对34例(48眼)PVRL患者进行利妥昔单抗单独治疗,平均注射次数为3.5次,其中新发病例占68.8%,进展病例占29.9%,维持治疗占2.1%。其中19眼(39.6%)接受玻璃体腔利妥昔单抗联合甲氨蝶呤注射治疗。平均注射3次后,31眼完全好转,11眼部分好转,7眼出现复发。尽管25%的患眼出现利妥昔单抗相关的并发症,但仅有2眼(4.2%)视力下降2行。联合治疗取得不错的疗效。
双侧PVRL不伴有PCNSL的病例虽应考虑全身系统性治疗,但局部化疗仍应作为首选治疗[32,58]。除大剂量甲氨蝶呤,CHOP方案(环磷酰胺、阿霉素、长春新碱、泼尼松)和利妥昔单抗也可用于DLBCL的治疗。目前,对于PVRL不伴CNS受累的患者是否进行全身化疗尚存在争议。对单纯性PVRL患者进行全身系统性化疗并不能预防CNS受累,反而可能增加严重的不良反应[82]。PVRL患者接受局部治疗或全身系统性治疗进展为CNS的几率相近。但有研究表明预防性全身系统性治疗,尤其是大剂量甲氨蝶呤治疗,相较于局部治疗可显著延长CNS受累的发生时间[83]。因此,对于全身系统性化疗的有效性与安全性需进行进一步的研究[82]。对于PVRL合并CNS受累的患者,局部治疗的同时可联合大剂量甲氨蝶呤(或全身利妥昔单抗)治疗。对于系统性治疗失败且无法耐受更激进的治疗(如ASCT)的患者可进行全脑放疗联合眼部放疗[32]。部分神经病理学家[13]认为眼部与CNS同时受累的淋巴瘤不应进行局部治疗。在B细胞受体(BCR)复杂信号通路的启动过程中,Bruton氏酪 氨酸激酶(Bruton’s tyrosine kinase,BTK)聚集于细胞膜,激活其他激酶[84]。随后细胞内Ca 2+ 浓度升高,激活NF-κB,它参与细胞增殖、存活、分化 和凋亡等多种细胞活动[85]。此外,BTK在趋化因子受体与整合素信号通路中也发挥重要作用,它参与趋化因子介导的B细胞归巢与黏附[86]。Davis等[84]研究表明DLBCL的ABC亚型中活化的BCR信号通路参与维持细胞存活。作为BCR信号通路中关键的效应分子,BTK对恶性B细胞的生存与增殖也同样重要,因此,BTK抑制剂可能成为一种治疗药物。依鲁替尼是一种口服的选择性BTK抑制剂[86],它可与位于BTK中ATP结合盒边缘上的半胱氨酸残基-Cys481形成共价键。依鲁替尼可有效抑制细胞周期与细胞增殖,作用于BCR和趋化因子,从而调控干扰素介导的细胞黏附,将肿瘤细胞从被保护的小环镜中带入大循环中,从而使淋巴瘤消退[87]。BTK表达于非T细胞造血细胞系,因此BTK对T细胞并无毒性作用。依鲁替尼的药物吸收与消除较快,半衰期为2~3 h,因此每日1次的口服剂量更为安全[88]。这种较短的药物作用时 间大大缩短脱靶效应的持续时间,此外,长期服用依鲁替尼的患者并不会降低其血浆中免疫球蛋白的水平[88]。Wilson等[89]对38例存在BCR突变的ABC淋巴瘤患者进行依鲁替尼治疗,超过半数的患者对治疗反应良好,尤其是对存在髓样分化初始反应88(MYD88)蛋白突变的患者。MYD88是一 种通用的衔接蛋白,可用于几乎所有的Toll样受体(TLRs,TLR3除外),从而激活转录因子NF-κB。MYD88突变除见于DLBCL的ABC亚型,还可见于PVRL。Bonzheim等[90] 对29例PVRL患者的玻璃体标本进行分析,发现其中20例存在MYD88 L265P 突变。PVRL是DLBCL的一种,且MYD88突变率较高,因此,依鲁替尼将有望用于PVRL的治疗。
由于利妥昔单抗单独治疗的复发率可高达50%,因此常联合其他局部或全身系统性化疗。利妥昔单抗联合大剂量甲氨蝶呤治疗已被约翰霍普金斯大学列为治疗新发PCNSL患者的规范化治疗方案[77]。对免疫功能正常的新发PCNSL患者,联合治疗不仅可以提高完全缓解率,还能够延长总生存时间与无进展生存时间[78]。研究[79-81] 认为以利妥昔单抗为主的眼内化疗可使大部分PVRL患者的肿瘤消退。Larkin等[81]对34例(48眼)PVRL患者进行利妥昔单抗单独治疗,平均注射次数为3.5次,其中新发病例占68.8%,进展病例占29.9%,维持治疗占2.1%。其中19眼(39.6%)接受玻璃体腔利妥昔单抗联合甲氨蝶呤注射治疗。平均注射3次后,31眼完全好转,11眼部分好转,7眼出现复发。尽管25%的患眼出现利妥昔单抗相关的并发症,但仅有2眼(4.2%)视力下降2行。联合治疗取得不错的疗效。
双侧PVRL不伴有PCNSL的病例虽应考虑全身系统性治疗,但局部化疗仍应作为首选治疗[32,58]。除大剂量甲氨蝶呤,CHOP方案(环磷酰胺、阿霉素、长春新碱、泼尼松)和利妥昔单抗也可用于DLBCL的治疗。目前,对于PVRL不伴CNS受累的患者是否进行全身化疗尚存在争议。对单纯性PVRL患者进行全身系统性化疗并不能预防CNS受累,反而可能增加严重的不良反应[82]。PVRL患者接受局部治疗或全身系统性治疗进展为CNS的几率相近。但有研究表明预防性全身系统性治疗,尤其是大剂量甲氨蝶呤治疗,相较于局部治疗可显著延长CNS受累的发生时间[83]。因此,对于全身系统性化疗的有效性与安全性需进行进一步的研究[82]。对于PVRL合并CNS受累的患者,局部治疗的同时可联合大剂量甲氨蝶呤(或全身利妥昔单抗)治疗。对于系统性治疗失败且无法耐受更激进的治疗(如ASCT)的患者可进行全脑放疗联合眼部放疗[32]。部分神经病理学家[13]认为眼部与CNS同时受累的淋巴瘤不应进行局部治疗。在B细胞受体(BCR)复杂信号通路的启动过程中,Bruton氏酪 氨酸激酶(Bruton’s tyrosine kinase,BTK)聚集于细胞膜,激活其他激酶[84]。随后细胞内Ca 2+ 浓度升高,激活NF-κB,它参与细胞增殖、存活、分化 和凋亡等多种细胞活动[85]。此外,BTK在趋化因子受体与整合素信号通路中也发挥重要作用,它参与趋化因子介导的B细胞归巢与黏附[86]。Davis等[84]研究表明DLBCL的ABC亚型中活化的BCR信号通路参与维持细胞存活。作为BCR信号通路中关键的效应分子,BTK对恶性B细胞的生存与增殖也同样重要,因此,BTK抑制剂可能成为一种治疗药物。依鲁替尼是一种口服的选择性BTK抑制剂[86],它可与位于BTK中ATP结合盒边缘上的半胱氨酸残基-Cys481形成共价键。依鲁替尼可有效抑制细胞周期与细胞增殖,作用于BCR和趋化因子,从而调控干扰素介导的细胞黏附,将肿瘤细胞从被保护的小环镜中带入大循环中,从而使淋巴瘤消退[87]。BTK表达于非T细胞造血细胞系,因此BTK对T细胞并无毒性作用。依鲁替尼的药物吸收与消除较快,半衰期为2~3 h,因此每日1次的口服剂量更为安全[88]。这种较短的药物作用时 间大大缩短脱靶效应的持续时间,此外,长期服用依鲁替尼的患者并不会降低其血浆中免疫球蛋白的水平[88]。Wilson等[89]对38例存在BCR突变的ABC淋巴瘤患者进行依鲁替尼治疗,超过半数的患者对治疗反应良好,尤其是对存在髓样分化初始反应88(MYD88)蛋白突变的患者。MYD88是一 种通用的衔接蛋白,可用于几乎所有的Toll样受体(TLRs,TLR3除外),从而激活转录因子NF-κB。MYD88突变除见于DLBCL的ABC亚型,还可见于PVRL。Bonzheim等[90] 对29例PVRL患者的玻璃体标本进行分析,发现其中20例存在MYD88 L265P 突变。PVRL是DLBCL的一种,且MYD88突变率较高,因此,依鲁替尼将有望用于PVRL的治疗。
ASCT用于PCNSL的治疗原则为在CNS达到药物的有效浓度,并减少化疗药物的耐药性[91-92]。对于PCNSL患者,ASCT是一种安全有效的治疗方式[92-93]。在过去的15年,ASCT逐步成为巩固强化化疗的一部分[91,94]。Langner-Lemercier等[95]对563例PCNSL患者进行了一线治疗,其中256例为复发或难治性病例。接受巩固化疗(强化治疗联合ASCT)与补救治疗的患者相较于从未接受过巩固化疗或补救治疗的患者生存期更长。而对晚期复发
的患者进行巩固强化化疗联合ASCT治疗也可在一定程度上延长其生存期。
7 PVRL的预后
PVRL预后极差,总体生存率与无进展生存率较低。眼部或CNS单独受累的患者预后较好,PVRL并发PCNSL的患者预后较差[71,96]。单纯PVRL患者的5年生存率明显高于CNS受累的患者[71,82] 。但有无CNS受累并不影响完全缓解时间[71]。Kreher等[96] 的研究表明PCNSL并发PVRL的患者中位无进展生存期较短,为3.5个月,而不合并PVRL的
患者中位无进展生存期为8.3个月。因此,PCNSL合并眼部病变是总生存期与无进展生存期预后差
的一个独立因素[96]。局部治疗虽可控制PCNSL患者的眼部病变,但并不能够提高患者的总生存
率。Grimm等[97] 对来自7个国家16个中心的221例PCNSL患者进行回顾性分析,结果表明接受眼局部治疗的患者中位无进展生存期更长,为19个月,而未接受眼局部治疗的患者中位无进展生存期为15个月。而初始治疗方案的选择并不影响患者的总生存率。
8 结语
PVRL是一种罕见的眼部恶性肿瘤,在美国,其发病率约为百万分之一。80%的患者可发展为致命性的PCNSL。PVRL常伪装为后葡萄膜炎,因此PVRL的诊断需要全面的病史采集、眼底检查、影像学检查与组织病理学检查,必要时可行免疫组织化学、流式细胞分析、细胞因子检测及分子生物学检测。此外,还应建立一个包含眼科医师、
眼科病理学家、神经肿瘤学家以及血液肿瘤学家在内的专业团队来优化患者的治疗方案。
基金
暂无基金信息
参考文献
1. Gall EA, Mallory TB. Malignant lymphoma: a clinico-pathologic survey of 618 cases[J]. Am J Pathol, 1942, 18(3): 381-429.
2. Stansbury FC. Lymphosarcoma of the eyelid, report of case, with death in 40 days[J]. Arch Ophthal, 1948, 39(5): 518-530.
3. Cooper EL, Riker JL. Malignant lymphoma of the uveal tract[J]. Am J Ophthalmol, 1951, 34(8): 1153-1158.
4. Vogel MH, Font RL, Zimmerman LE, et al. Reticulum cell sarcoma of the retina and uvea. Report of six cases and review of the literature[J]. Am J Ophthalmol, 1968, 66(2): 205-215.
5. Merle-Béral H, Davi F, Cassoux N, et al. Biological diagnosis of primary intraocular lymphoma[J]. Br J Haematol, 2004, 124(4): 469-473.
6. Coupland SE, Anastassiou G, Bornfeld N, et al. Primary intraocular lymphoma of T-cell type: report of a case and review of the literature[J]. Graefes Arch Clin Exp Ophthalmol, 2005, 243(3): 189-197.
7. Wallace DJ, Altemare CR, Shen DF, et al. Primary testicular and intraocular lymphomas: two case reports and a review of the literature[J]. Surv Ophthalmol, 2006, 51(1): 41-50.
8. Vosganian GS, Boisot S, Hartmann KI, et al. Primary intraocular lymphoma: a review[J]. J Neurooncol, 2011, 105(2): 127-134.
9. Coupland SE, Dodson A, Liu H, et al. Intraocular collision tumour: case report and literature review[J]. Graefes Arch Clin Exp Ophthalmol, 2013, 251(5): 1383-1388.
10. Merle H, Hage R, Meniane JC, et al. Retinal manifestations in adult T-cell leukemia/lymphoma related to infection by the human T-cell lymphotropic virus type- 1[J]. Retina, 2016, 36(7): 1364-1371.
11. Char DH, Ljung BM, Miller T, et al. Primary intraocular lymphoma (ocular reticulum cell sarcoma) diagnosis and management[J]. Ophthalmology, 1988, 95(5): 625-630.
12. Coupland SE, Chan CC, Smith J. Pathophysiology of retinal lymphoma[J]. Ocul Immunol Inffamm, 2009, 17(4): 227-237.
13. Chan CC, Sen HN. Current concepts in diagnosing and managing primary vitreoretinal (intraocular) lymphoma[J]. Discov Med 2013, 15(84): 93-100
14. Rappaport H. Tumors of the Hematopoietic System. Atlas of Tumor Pathology[M]. Washington, DC., USA: Armed Forces Institute of Pathology, 1966.
15. Harris NL, Jaffe ES, Stein H, et al. A revised European- American classiffcation of lymphoid neoplasms: a proposal from the International Lymphoma Study Group[J]. Blood, 1994, 84(5): 1361-1392.
16. WHO. WHO classiffcation of tumours of haematopoietic and lymphoid tissues[J]. 4th ed. Lyon: IARC Press, 2008.
17. Campo E, Swerdlow SH, Harris NL, et al. TTe 2008 WHO classiffcation of lymphoid neoplasms and beyond: evolving concepts and practical applications[J]. Blood, 2011, 117(19): 5019-5032.
18. Swerdlow SH, Campo E, Pileri SA, et al. TTe 2016 revision of the World Health Organization classiffcation of lymphoid neoplasms[J]. Blood, 2016, 127(20): 2375-2390.
19. Alizadeh AA, Eisen MB, Davis RE, et al. Distinct types of diffuse large B-cell lymphoma identified by gene expression profiling[J]. Nature, 2000, 403(6769): 503-511.
20. Dunleavy K, Wilson WH. Appropriate management of molecular subtypes of diffuse large B-cell lymphoma[J]. Oncology (Williston Park), 2014, 28(4): 326-334.
21. Young RM, Shaffer AL, 3rd, Phelan JD, et al. B-cell receptor signaling in diffuse large B-cell lymphoma[J]. Semin Hematol, 2015, 52(2): 77-85.
22. Roschewski M, Staudt LM, Wilson WH. Diffuse large B-cell lymphoma-treatment approaches in the molecular era[J]. Nat Rev Clin Oncol, 2014, 11(1): 12-23.
23. Cao X, Shen D, Callanan DG, et al. Diagnosis of systemic metastatic retinal lymphoma[J]. Acta Ophthalmol, 2011, 89(2):e149-54.
24. Fonkem E, Lok E, Robison D, et al. TTe natural history of intravascular lymphomatosis[J]. Cancer Med, 2014, 3(4): 1010-1024.
25. Salomão DR, Pulido JS, Johnston PB, et al. Vitreoretinal presentation of secondary large B-cell lymphoma in patients with systemic lymphoma[J]. JAMA Ophthalmol, 2013, 131(9): 1151-1158.
26. Davis JL. Intraocular lymphoma: a clinical perspective. Eye (Lond) 2013, 27(2): 153-162.
27. Chan CC, Gonzales JA. Primary intraocular lymphoma[M]. World Scientiffc Publishing Co. Pte. Ltd., 2007.
28. Cochereau I, Hannouche D, Geoffray C, et al. Ocular involvement in Epstein-Barr virus-associated T-cell lymphoma[J]. Am J Ophthalmol, 1996, 121(3): 322-324.
29. Rajagopal R, Harbour JW. Diagnostic testing and treatment choices in primary vitreoretinal lymphoma[J]. Retina, 2011, 31(3): 435-440.
30. Velez G, Chan CC, Csaky KG. Fluorescein angiographic findings in primary intraocular lymphoma[J]. Retina, 2002, 22(1): 37-43
31. Whitcup SM, de Smet MD, Rubin BI, et al. Intraocular lymphoma. Clinical and histopathologic diagnosis[J]. Ophthalmology, 1993, 100(9): 1399-1406.
32. Chan CC, Rubenstein JL, Coupland SE, et al. Primary vitreoretinal lymphoma: a report from an International Primary Central Nervous System Lymphoma Collaborative Group symposium[J]. Oncologist, 2011, 16(11): 1589-1599.
33. Fardeau C, Lee CP, Merle-Beral H, et al. Retinal fluorescein, indocyanine green angiography, and optic coherence tomography in non-Hodgkin primary intraocular lymphoma[J]. Am J Ophthalmol, 2009, 147(5): 886-894.
34. Keino H, Okada AA, Watanabe T, et al. Spectral-domain Optical Coherence Tomography Patterns in Intraocular Lymphoma. Ocul Immunol Inffamm, 2016, 24(3): 268-273.
35. White VA, Gascoyne RD, Paton KE. Use of the polymerase chain reaction to detect B- and T-cell gene rearrangements in vitreous specimens from patients with intraocular lymphoma[J]. Arch Ophthalmol, 1999, 117(6): 761-765.
36. Davis JL, Solomon D, Nussenblatt RB, et al. Immunocytochemical staining of vitreous cells. Indications, techniques, and results[J]. Ophthalmology, 1992, 99(2): 250-256.
37. Raparia K, Chang CC, Chevez-Barrios P. Intraocular lymphoma: diagnostic approach and immunophenotypic findings in vitrectomy specimens[J]. Arch Pathol Lab Med, 2009, 133(8): 1233-1237.
38. Sharara N, Holden JT, Wojno TH, et al. Ocular adnexal lymphoid proliferations: clinical, histologic, ffow cytometric, and molecular analysis of forty-three cases[J]. Ophthalmology, 2003, 110(6): 1245-1254.
39. French DL, Laskov R, Scharff MD. TTe role of somatic hypermutation in the generation of antibody diversity[J]. Science, 1989, 244(4909): 1152-1157.
40. Chan CC. Molecular pathology of primary intraocular lymphoma[J]. Trans Am Ophthalmol Soc, 2003, 101: 275-92.
41. Chan CC, Buggage RR, Nussenblatt RB. Intraocular lymphoma[J]. Curr Opin Ophthalmol, 2002, 13(6): 411-418.
42. Diaz-Cano S. PCR-based alternative for diagnosis of immunoglobulin heavy chain gene rearrangement: principles, practice, and polemics[J]. Diagn Mol Pathol, 1996, 5(1): 3-9.
43. Levy-Clarke GA, Chan CC, Nussenblatt RB. Diagnosis and management of primary intraocular lymphoma[J]. Hematol Oncol Clin North Am, 2005, 19(4): 739-749.
44. Shen DF, Zhuang Z, LeHoang P, et al. Utility of microdissection and polymerase chain reaction for the detection of immunoglobulin gene rearrangement and translocation in primary intraocular lymphoma[J]. Ophthalmology, 1998, 105(9): 1664-1669.
45. Chan CC, Shen D, Nussenblatt RB, et al. Detection of molecular changes in primary intraocular lymphoma by microdissection and polymerase chain reaction[J]. Diagn Mol Pathol, 1998, 7(1): 63-64.
46. Murray PI, Hoekzema R, van Haren MA, et al. Aqueous humor interleukin-6 levels in uveitis[J]. Invest Ophthalmol Vis Sci, 1990, 31(5): 917-920.
47. Chan CC, Whitcup SM, Solomon D, et al. Interleukin-10 in the vitreous of patients with primary intraocular lymphoma[J]. Am J Ophthalmol, 1995, 120(5): 671-673.
48. Whitcup SM, Stark-Vancs V, Wittes RE, et al. Association of interleukin 10 in the vitreous and cerebrospinal ffuid and primary central nervous system lymphoma[J]. Arch Ophthalmol, 1997, 115(9): 1157-1160.
49. Wolf LA, Reed GF, Buggage RR, et al. Vitreous cytokine levels[J]. Ophthalmology, 2003, 110(8): 1671-1672.
50. Cassoux N, Giron A, Bodaghi B, et al. IL-10 measurement in aqueous humor for screening patients with suspicion of primary intraocular lymphoma[J]. Invest Ophthalmol Vis Sci, 2007, 48(7): 3253-3259.
51. Sugita S, Takase H, Sugamoto Y, et al. Diagnosis of intraocular lymphoma by polymerase chain reaction analysis and cytokine proffling of the vitreous ffuid[J]. Jpn J Ophthalmol, 2009, 53(3): 209-214.
52. Fisson S, Ouakrim H, Touitou V, et al. Cytokine profile in human eyes: contribution of a new cytokine combination for differential diagnosis between intraocular lymphoma or uveitis[J]. PLoS One, 2013, 8(2): e52385.
53. Ramkumar HL, Shen DF, Tuo J, et al. IL-10 -1082 SNP and IL-10 in primary CNS and vitreoretinal lymphomas[J]. Graefes Arch Clin Exp Ophthalmol, 2012, 250(10): 1541-1548.
54. Tuo J, Shen D, Yang HH, et al. Distinct microRNA-155 expression in the vitreous of patients with primary vitreoretinal lymphoma and uveitis[J]. Am J Ophthalmol, 2014, 157(3): 728-734.
55. Wang Y, Shen D, Wang VM, et al. Molecular biomarkers for the diagnosis of primary vitreoretinal lymphoma[J]. Int J Mol Sci, 2011, 12(9): 5684-5697.
56. Chan CC, Wallace DJ. Intraocular lymphoma: update on diagnosis and management[J]. Cancer Control, 2004, 11(5): 285-295.
57. Nussenblatt RB, Chan CC, Wilson WH, et al. International Central Nervous System and Ocular Lymphoma Workshop: recommendations for the future[J]. Ocul Immunol Inffamm, 2006, 14(3): 139-144.
58. Pe'er J, Hochberg FH, Foster CS. Clinical review: treatment of vitreoretinal lymphoma[J]. Ocul Immunol Inffamm, 2009, 17(5): 299-306.
59. Hormigo A, Abrey L, Heinemann MH, et al. Ocular presentation of primary central nervous system lymphoma: diagnosis and treatment[J]. Br J Haematol, 2004, 126(2): 202-208.
60. Isobe K, Ejima Y, Tokumaru S, et al. Treatment of primary intraocular lymphoma with radiation therapy: a multi-institutional survey in Japan[J]. Leuk Lymphoma, 2006, 47(9): 1800-1805
61. Teckie S, Yahalom J. Primary intraocular lymphoma: treatment outcomes with ocular radiation therapy alone[J]. Leuk Lymphoma, 2014, 55(4): 795-801.
62. de Smet MD, Vancs VS, Kohler D, et al. Intravitreal chemotherapy for the treatment of recurrent intraocular lymphoma[J]. Br J Ophthalmol, 1999, 83(4): 448-451.
63. Taoka K, Yamamoto G, Kaburaki T, et al. Treatment of primary intraocular lymphoma with rituximab, high dose methotrexate, procarbazine, and vincristine chemotherapy, reduced whole-brain radiotherapy, and local ocular therapy[J]. Br J Haematol, 2012, 157(2): 252-254.
64. Raja H, Snyder MR, Johnston PB, et al. Effect of intravitreal methotrexate and rituximab on interleukin-10 levels in aqueous humor of treated eyes with vitreoretinal lymphoma[J]. PLoS One, 2013, 8(6): e65627.
65. Wang JK, Yang CM, Lin CP, et al. An Asian patient with intraocular lymphoma treated by intravitreal methotrexate[J]. Jpn J Ophthalmol, 2006, 50(5): 474-478.
66. Frenkel S, Hendler K, Siegal T, et al. Intravitreal methotrexate for treating vitreoretinal lymphoma: 10 years of experience[J]. Br J Ophthalmol, 2008, 92(3): 383-388.
67. Ghasemi Falavarjani K, Golabi S, Hadavandkhani A. Effect of intravitreal injection of methotrexate on human corneal endothelial cells[J]. Cornea, 2016, 35(2): 217-219.
68. Sen HN, Chan CC, Byrnes G, et al. Intravitreal methotrexate resistance in a patient with primary intraocular lymphoma[J]. Ocul Immunol Inffamm, 2008, 16(1): 29-33.
69. Venkatesh P, Gogia V, Khanduja S, et al. Therapeutic vitrectomy for vitreal recurrence of intraocular lymphoma resistant to intravitreal methotrexate post systemic chemotherapy[J]. J Cancer Res TTer, 2015, 11(3): 668.
70. Akiyama H, Takase H, Kubo F, et al. High-dose methotrexate following intravitreal methotrexate administration in preventing central nervous system involvement of primary intraocular lymphoma[J]. Cancer Sci, 2016, 107(10): 1458-1464.
71. Ma WL, Hou HA, Hsu YJ, et al. Clinical outcomes of primary intraocular lymphoma patients treated with front-line systemic highdose methotrexate and intravitreal methotrexate injection[J]. Ann Hematol, 2016, 95(4): 593-601.
72. Li H, Zhang G, Jiang C, et al. Suppression of Rituximab-resistant B-cell lymphoma with a novel multi-component anti-CD20 mAb nanocluster[J]. Oncotarget, 2015, 6(27): 24192-24204.
73. Jaeger U, Trneny M, Melzer H, et al. Rituximab maintenance for patients with aggressive B-cell lymphoma in first remission: results of the randomized NHL13 trial[J]. Haematologica, 2015, 100(7): 955-963.
74. Maloney DG, Grillo-Lopez AJ, Bodkin DJ, et al. IDEC-C2B8: results of a phase I multiple-dose trial in patients with relapsed non-Hodgkin's lymphoma[J]. J Clin Oncol, 1997, 15(10): 3266-3274
75. Kitzmann AS, Pulido JS, Mohney BG, et al. Intraocular use of rituximab[J]. Eye (Lond) , 2007, 21(12): 1524-1527.
76. Hashida N, Ohguro N, Nishida K. Efficacy and complications of intravitreal rituximab injection for treating primary vitreoretinal lymphoma[J]. Transl Vis Sci Technol 2012, 1(3): 1.
77. Taylor RP, Lindorfer MA. Drug insight: the mechanism of action of rituximab in autoimmune disease--the immune complex decoy hypothesis[J]. Nat Clin Pract Rheumatol, 2007, 3(2): 86-95
78. Holdhoff M, Ambady P, Abdelaziz A, et al. High-dose methotrexate with or without rituximab in newly diagnosed primary CNS lymphoma[J]. Neurology, 2014, 83(3): 235-239.
79. Itty S, Olson JH, O'Connell DJ, et al. Treatment of primary intraocular lymphoma (PIOL) has involved systemic, intravitreal or intrathecal chemotherapy and/or radiotherapy[J]. Retina, 2009, 29(3): 415-416.
80. Yeh S, Wilson DJ. Combination intravitreal rituximab and methotrexate for massive subretinal lymphoma[J]. Eye (Lond) , 2010, 24(10): 1625-1627.
81. Larkin KL, Saboo US, Comer GM, et al. Use of intravitreal rituximab for treatment of vitreoretinal lymphoma[J]. Br J Ophthalmol, 2014, 98(1): 99-103.
82. Riemens A, Bromberg J, Touitou V, et al. Treatment strategies in primary vitreoretinal lymphoma: a 17-center European collaborative study[J]. JAMA Ophthalmol, 2015, 133(2): 191-197.
83. Hashida N, Nakai K, Saitoh N, et al. Association between ocular findings and preventive therapy with onset of central nervous system involvement in patients with primary vitreoretinal lymphoma[J]. Graefes Arch Clin Exp Ophthalmol, 2014, 252(4): 687-693.
84. Davis RE, Ngo VN, Lenz G, et al. Chronic active B-cell-receptor signalling in diffuse large B-cell lymphoma[J]. Nature, 2010, 463(7277): 88-92.
85. Wu J, Liu C, Tsui ST, et al. Second-generation inhibitors of Bruton tyrosine kinase[J]. J Hematol Oncol, 2016, 9(1): 80.
86. Ponader S, Burger JA. Bruton's tyrosine kinase: from X-linked agammaglobulinemi a toward targeted therapy for B- cell malignancies[J]. J Clin Oncol, 2014, 32(17): 1830-1839.
87. de Rooij MF, Kuil A, Kraan W, et al. Ibrutinib and idelalisib target B cell receptor- but not CXCL12/CXCR4- controlled integrin-mediated adhesion in Waldenstrom macroglobulinemia[J]. Haematologica, 2016, 101(3): e111-e115.
88. Advani RH, Buggy JJ, Sharman JP, et al. Bruton tyrosine kinase inhibitor ibrutinib (PCI-32765) has signiffcant activity in patients with relapsed/refractory B-cell malignancies[J]. J Clin Oncol, 2013, 31(1): 88-94.
89. Wilson WH, Young RM, Schmitz R, et al. Targeting B cell receptor signaling with ibrutinib in diffuse large B cell lymphoma[J]. Nat Med, 2015, 21(8): 922-926.
90. Bonzheim I, Giese S, Deuter C, et al. High frequency of MYD88 mutations in vitreoretinal B-cell lymphoma: a valuable tool to improve diagnostic yield of vitreous aspirates[J]. Blood, 2015, 126(1): 76-79.
91. Rubenstein JL, Gupta NK, Mannis GN, et al. How I treat CNS lymphomas[J]. Blood, 2013, 122(14): 2318-2330.
92. Schorb E, Finke J, Ferreri AJ, et al. High-dose chemotherapy and autologous stem cell transplant compared with conventional chemotherapy for consolidation in newly diagnosed primary CNS lymphoma--a randomized phase III trial (MATRix)[J]. BMC Cancer, 2016, 16: 282
93. Cho H, Chang JH, Kim YR, et al. TTe role of upfront autologous stem cell transplantation in high-risk younger patients with primary central nervous system lymphoma[J]. Br J Haematol, 2016, 174(3): 444-453.
94. Kamio T, Yokohama A, Hayashi T, et al. Relapsed primary intraocular lymphoma treated with intravitreal methotrexate and high-dose chemotherapy followed by autologous stem cell rescue[J]. Rinsho Ketsueki, 2014, 55(2): 244-248.
95. Langner-Lemercier S, Houillier C, Soussain C, et al. Primary CNS lymphoma at first relapse/progression: characteristics, management, and outcome of 256 patients from the French LOC network[J]. Neuro Oncol, 2016, 18(9): 1297-1303.
96. Kreher S, Strehlow F, Martus P, et al. Prognostic impact of intraocular involvement in primary CNS lymphoma: experience from the G-PCNSL-SG1 trial[J]. Ann Hematol, 2015, 94(3): 409-414.
97. Grimm SA, McCannel CA, Omuro AM, et al. Primary CNS lymphoma with intraocular involvement: International PCNSL Collaborative Group Report[J]. Neurology, 2008, 71(17): 1355-1360.