返回

海藻糖对实验性干眼病鼠结膜上皮细胞的影响

阅读量:2105
DOI:10.3978/j.issn.1000-4432.2019.06.12
发布日期:2024-12-08
作者:
陆宇杰 ,吴克虎 ,吴晓阳
展开更多

关键词

海藻糖
干眼
结膜
细胞调亡

摘要

目的:评价海藻糖滴眼液对摘除眶内眶外泪腺的实验性大鼠干眼的疗效。方法:SD 大鼠 30 只,随机分成正常组、对照组、实验组,每组 10 只(20 只眼)。正常组不给予处置,实验组和对照组通过摘除大鼠主泪腺制作干眼动物模型。对照组和实验组于造模完成术后 1 周后分别给予生理盐水、海藻糖滴眼液点双眼,每天 4 次,治疗共 4 周。分别于造模术前和造模术后 1、2、3、5 周进行基础泪液分泌试验(Shirmer I test),角膜上皮荧光染色评分检测;造模 5 周后将大鼠处死,采用免疫组织化学方法对结膜上皮细胞中 Bcl-2 和 Bax 凋亡基因蛋白表达进行检测,观察干眼动物模型结膜上皮细胞凋亡与眼表干眼病变及组织损伤的关系。结果:基础泪液分泌试验结果显示,对照组和实验组除术后第 5 周比较差异有统计学意义外(P < 0.05),其余时间点差异无统计学意义(P > 0.05),术后各时间点与正常组比较差异均有统计学意义(P < 0.05)。造模术后第 1 周,对照组和实验组角膜荧光染色评分明显高于正常组;术后第 2 周后,对照组和实验组评分差异无统计学意义(P > 0.05),随着时间的延长,术后第 3 周和第 5 周,两组评分差异均有统计学意义(P < 0.05),且实验组评分小于对照组。结膜上皮细胞免疫组织化学检测结果显示:正常组结膜上皮细胞 Bax 蛋白阳性表达的细胞数较对照组和实验组少,与对照组比较,差异有统计学意义(P < 0.05),与实验组比较差异无统计学意义(P > 0.05);正常组可见大量 Bcl-2 蛋白阳性表达,且多于实验组,差异无统计学意义(P > 0.05),多于对照组,差异有统计学意义(P < 0.05);对照组结膜上皮细胞中可见大量 Bax 蛋白阳性表达于细胞质,呈棕黄色颗粒,实验组中 Bax 蛋白阳性表达相对于对照组明显较少,两者差异有统计学意义(P < 0.05);实验组结膜上皮细胞中可见大量 Bcl-2 蛋白阳性表达,对照组 Bcl-2 蛋白表达相对于实验组明显减少,差异有统计学意义(P < 0.05)。结论:海藻糖滴眼液可以减少角膜表层上皮脱落,对结膜上皮细胞有一定的保护作用,可以拮抗结膜上皮细胞的凋亡,从而增强角结膜上皮屏障功能,改善由干燥引起的眼表上皮的损伤。海藻糖溶液可用于眼表上皮疾病的潜在临床应用,为治疗眼表疾病如干眼症提供治疗选择。

全文

      干眼是眼科门诊目前常见的疾病之一,已成为除屈光不正以外最常见的眼部疾病。2017 年国际泪膜和眼表协会干眼工作组[1]重新定义干眼为以泪膜稳态失衡为主要特征并伴有眼部不适症状的多因素眼表疾病。泪膜不稳定、泪液渗透压力升高、炎症反应与损伤,同时神经感觉异常,是其最重要的病理生理机制。同时报告了全球的干眼发病率为 5.5%~50%[2],目前我国的干眼发病率为 21%~30%。结膜上皮细胞在眼表疾病抵御中发挥重要作用,其分泌的黏蛋白异常可导致干眼发生。海藻糖是一种抗高渗作用的生物保护剂,在干眼症治疗、角膜保存等方面有较大研究进展。Matsuo 等[3]进行的角膜上皮细胞存活试验证明海藻糖能有效抑制在体外干燥环境中培养的角膜上皮细胞的死亡。本研究拟用海藻糖滴眼液作用于泪液分泌不足型干眼大鼠眼表,采用免疫组织化学方法检测大鼠结膜上皮组织中凋亡基因蛋白的表达情况,推测结膜上皮细胞凋亡与眼表干眼病变及组织损伤的关系,探讨海藻糖治疗干眼症的作用机制,为该病治疗提供理论依据。

1 对象与方法

1.1 实验动物

      健康成年 SD 大鼠 30 只,由湖北省疾控实验动物中心提供,体重(180±10)g,雌雄各半。按随机数字表法分为正常组、实验组、对照组,每组 10 只鼠(20 只眼),取双侧眼。实验过程中对动物处置符合 2006 年科学技术部发布的《关于善待实验动物的指导性意见》。

1.2 干眼动物模型制作

      小鼠腹腔注射 3% 戊巴比妥钠 0.8 mL 进行全身麻醉。剪除双眼颞侧及耳后长毛,暴露皮面,消毒铺巾。左侧:左耳下方约 1 cm 处沿皮纹做横行切口 1.5 cm,暴露皮下见一微黄色圆形腺体(眶外泪腺),分离周边包膜将其完整摘除。生理盐水冲洗局部,4 号线皮针间断缝合皮肤切口。左眼外侧 1 cm 处作纵行切口 1 cm。暴露皮下见一白色质硬膜,切开见下方一三角形腺体(眶内泪腺),鼻侧有伴行血管,下方有大量脂肪组织,上方有肌肉覆盖,分离周围组织,将其完整摘除。生理盐水冲洗,4 号线间断缝合。右侧同前。切口局部碘伏消毒,表面涂红霉素眼膏预防感染[4]

1.3 治疗及眼表检查

      海藻糖滴眼液由 Laboratories Thea 公司提供,浓度 30 mg/mL,无防腐剂。正常组不给予处置,实验组和对照组通过摘除大鼠眶内眶外泪腺制作干眼动物模型。对照组和实验组于造模术后 1 周后分别给予生理盐水、海藻糖滴眼液点双眼,每天 4 次,给予治疗共 4 周。于造模手术前和术后 1、2、3、5 周行基础泪液分泌试验(滤纸条宽度改为 2.5 mm,方法同临床)、角膜上皮荧光素染色检测(方法同临床,评分将角膜分为 4 个象限,每个象限规定无染色为 0,有染色则分轻、中、重 3 级,共 0~12 分,1 分为染色少于 5 个点,3 分为出现块状染色或者丝状物,2 分介于两者之间)[5]。其中,术后 1 周时测得泪液值和角膜评分值是在进行治疗之前完成。三组动物均由同一人检查,每次检查时间、地点、照明亮度、湿度及温度均相同。动物模型喂养 1 周后,与正常组比较,角膜干燥无光泽,荧光素染色呈点状染色,泪液浸湿试纸长度较实验前明显变短,视为干眼模型成功。

1.4 干眼模型凋亡基因蛋白表达

      1.4.1 实验方法

      实验组和对照组于造模术后 5 周将大鼠以空气栓塞致死,取其结膜,并取正常组作为对照组。经 4% 多聚甲醛固定,常规石蜡包埋,做 4 μm 连续切片。主要试剂及配制:Bax 小鼠 IgG2b 单抗、Bcl-2 小鼠 IgG1 单抗、SP 试剂盒[含内源性过氧化物酶阻断剂(A)、封闭用正常山羊血清工作液(B)、生物素标记羊抗小鼠 IgG(C)、辣根酶标记链酶卵白素工作液(D)]、防脱片剂 APES,DAB 显色剂(均购自北京中山生物技术有限公司),具体实验方法根据试剂说明书操作。

      1.4.2 阳性结果判断和定量测定

      采用计算机显微图像分析仪 Nikon ALPHAPHOT-2 YS2-H 双目显微镜及照相系统,正常组、实验组和对照组动物各随机选取 5 个不重叠的视野下的 1 000 个结膜上皮细胞,所选取图片均事先估测染色合格读取 Bax 和 Bcl-2 染色阳性(胞质中出现棕黄色颗粒)的细胞数,每组取其平均值。阳性细胞数越大,说明阳性反应程度越高。

1.5 统计学处理

      采用 SPSS 20.0 统计学软件进行数据分析。本研究检测指标的数据资料经检验呈正态分布,以均数±标准差(±s)表示。采用完全随机分组实验设计,正常组、对照组、实验组眼基础泪液分泌量、角膜荧光素钠染色评分和凋亡细胞计数总体差异比较采用单因素方差分析。采用双尾检测法,P < 0.05 为差异有统计学意义。

2 结果

2.1 实验动物数量

      参加实验的 30 只大鼠,除对照组 1 只大鼠在制作干眼模型死亡外,其余动物模型均进入结果分析。

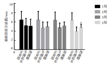
2.2 基础泪液分泌实验

      各时间点基础泪液分泌结果见图 1。试验结果显示:造模术后各时间点实验组和对照组的泪液分泌量较正常组 [(6.4±1.3) mm] 明显减少,差异均有统计学意义(P < 0.05)。用药 28 d,即术后第 5 周后,海藻糖实验组 [(4.8±0.8) mm] 较生理盐水对照组 [(3.9±0.9) mm] 泪液分泌量增加,两组相比差异有统计学意义(P < 0.05),其余时间点差异均无统计学意义(P > 0.05)。

2.3 角膜荧光染色评分

      实验开始前,各组评分均为 0 分。造模术后 1 周,对照组(6.3±0.9)和实验组(6.4±1.1)角膜荧光素染色评分明显高于正常组;给药 7 d,即术后 2 周后,对照组(7.2±1.3)和实验组(6.8±1.1)评分差异无统计学意义(P > 0.05)。随着时间的延长,术后第 3 周和第 5 周,对照组(7.8±1.2;9.2±1.5)和实验组(7.2±0.9;6.7±1.2)评分差异均有统计学意义(P < 0.05,图 2),且实验组评分小于对照组。术后第 5 周,正常组大鼠角膜有细微点染,实验组角膜上皮荧光染色评分有一定程度增加,角膜呈局部点片状染色(图 3A),对照组评分显著增加,角膜大范围出现弥漫性粗点状染色,局部呈片状染色(图 3B)。

图 1 基础泪液分泌值比较
Figure 1 Comparison of basic tear secretion values
生理盐水 vs 海藻糖,*P < 0.05;术后各时间正常组 vs 生理盐水或海藻糖组,*P < 0.05。
Normal saline vs trehalose, *P < 0.05; Normal vs normal saline or trehalose group at each postoperative time, *P < 0.05.
图 2 角膜上皮荧光染色评分
Figure 2 Fluorescent staining score of corneal epithelium
术后第 3、5 周,生理盐水 vs 海藻糖组,*P < 0.05。
Three, 5 weeks after the operation, normal saline vs trehalose group, *P < 0.05.

2.4 免疫组织化学染色结果

      术后第 5 周将大鼠空气栓塞处死进行免疫组织化学检测,结膜上皮细胞 Bax 和 Bcl-2 基因蛋白表达的细胞数情况见图 4, 图 5 。正常组(301.1±132.3)结膜上皮细胞 Bax 蛋白阳性表达的细胞数较对照组(499.3±212.5)和实验组(378.4±153.3)少,且正常组与对照组表达细胞数比较差异有统计学意义(P < 0.05,图 6),与实验组比较差异无统计学意义(P > 0.05);正常组可见大量 Bcl-2 蛋白阳性表达(354.8±104.6),且多于实验组(303.4±143.7),差异无统计学意义(P > 0.05),多于对照组(206.1±101.3),差异有统计学意义(P < 0.05,图 7),呈棕黄色颗粒主要表达在细胞质。对照组结膜上皮细胞中见大量 Bax 蛋白阳性表达于细胞质,呈棕黄色颗粒,实验组中 Bax 蛋白表达相对于对照组明显较少(图 4),两者差异有统计学意义(P < 0.05);实验组结膜上皮细胞中可见大量 Bcl-2 蛋白表达,对照组中 Bcl-2 蛋白表达数相对于实验组明显减少,差异有统计学意义(P < 0.05,图 5)。
图 3 角膜荧光染色
Figure 3 Fluorescent staining of the cornea
喂养 5 周后,(A)海藻糖组:角膜上皮荧光素染色呈阳性;(B)生理盐水组:角膜上皮荧光素染色较实验组增多。
After 5 weeks of feeding, (A) fluorescent staining of corneal epithelium was positive in trehalose group; (B) normal saline group: fluorescein staining of corneal epithelium increased compared with the experimental group.
图 4 眼表凋亡相关基因 Bax 表达的比较
Figure 4 Comparison of expression of apoptosis-related gene Bax in ocular surface
生理盐水组 vs 海藻糖组,*P < 0.05。
Normal saline group vs trehalose group, *P < 0.05.
图 5 眼表凋亡相关基因 Bcl-2 表达的比较
Figure 5 Comparison of expression of apoptosis-related gene Bcl-2 in ocular surface
生理盐水组 vs 海藻糖组,*P < 0.05。
Normal saline group vs trehalose group, *P < 0.05.
图 6 Bax 蛋白阳性表达细胞数比较 (IHC,×200)
Figure 6 Comparison of positive expression cell number of Bax protein (IHC,×200)
(A) 正常组:结膜上皮中Bax蛋白阳性表达明显较少,阳性细胞质呈棕黄色颗粒;(B) 对照组:结膜上皮中Bax蛋白阳性表达明显增多;(C) 实验组:结膜上皮中Bax蛋白阳性表达相对生理盐水组减少。
(A) Normal group: the positive expression of Bax protein in conjunctival epithelium was significantly less, and the positive cytoplasm was brown-yellow granules; (B) Control group: positive expression of Bax protein in conjunctival epithelium increased significantly; (C) Experimental group: the positive expression of Bax protein in conjunctival epithelium decreased compared with that in normal saline group

图 7 Bcl-2 蛋白阳性表达细胞数比较达 (IHC,×200)
Figure 7 Comparison of positive expression cell number of Bcl-2 protein (IHC,×200)
(A) 正常组:结膜上皮中均可见大量 Bcl-2蛋白阳性表达,呈棕黄色颗粒主要表达在细胞质;(B) 对照组:结膜上皮中 Bcl-2蛋白阳性表达明显减少;(C) 实验组:结膜上皮中 Bcl-2蛋白阳性表达相对于生理盐水组增加。
(A) Normal group: a large amount of Bcl-2 protein was positively expressed in conjunctival epithelium, and the brown-yellow granules were mainly expressed in cytoplasm; (B) Control group: the positive expression of Bcl-2 protein in conjunctival epithelium was significantly reduced; (C) Experimental group: compared with normal saline group, the positive expression of Bcl-2 protein in conjunctival epithelium increased.

3 讨论

干眼是眼科门诊常见的疾病之一,是以泪膜稳态失衡为主要特征并伴有眼部不适的多因素眼表疾病。较严重者眼睛会出现红肿、充血及角质化,角膜上皮剥脱而有丝状物黏附,日久则可造成角结膜病变影响视力[3,6]。由于瘢痕或继发感染引起的严重干眼病是一种潜在的致盲疾病[7]。调查结果[1]显示:近几年美国平均每年用于治疗干眼的费用约为 38.4 亿美元,平均每位干眼患者每年在干眼治疗上的花费超过 500 美元,而在英国则达到 270~1 100 美元。干眼的治疗原则为改善患者眼部不适和保护患者视功能,Craig [9]基于干眼严重程度的分级提出治疗建议。目前临床上缺乏有效防治干眼的药物,探索新的药物仍然具有重要的临床意义。干眼症与泪液含水量减少和泪液脂质、黏蛋白异常有关,眼表水合不全,导致泪膜高渗透,最终出现不适。高渗透压会诱发眼表炎症反应,引起角膜上皮屏障破坏。已发现干眼结膜上皮促细胞凋亡蛋白如 FASCD40 表达与干眼严重程度呈正相关。虽尚未确定细胞凋亡是干眼的结果或原因,越来越多的研究[6]表明:细胞凋亡在角结膜炎中发挥重要作用,抑制细胞凋亡是治疗干眼症的一个重要方向。

泪液是由眼眶外泪腺和眶内泪腺分泌,同时包含由结膜杯状细胞和睑板腺分泌的成分,共同组成泪膜。泪膜自外至内由脂质层、水样层和黏蛋白层构成。眼表黏蛋白是泪膜的重要组成部分,具有清除、润滑、抗菌、抗黏附[10]、眼表屏障、感受渗透压以及信号转导等功能。这些黏蛋白带有水溶性及脂溶性,能降低泪膜表面张力。2017 年国际泪膜与眼表协会[2]将干眼分为水样液缺乏型、蒸发过强型及混合型,水样液缺乏型干眼由泪液分泌障碍引起,蒸发过强型由暴露眼球表面的水分过量蒸发损失引起,混合型为上述两者共同引起。干眼炎性反应和组织损伤是一种恶性循环,其发展到一定程度均会同时具有水液缺乏和蒸发过强的特征。液生成不足型干眼动物模型常有自身免疫性介导、摘除泪腺、阻断神经、药物因素如阿托品介导[4]。手术摘除泪腺是建立泪液分泌不足型干眼动物模型常用方法,病程维持时间较长,可达 周以上,由于疾病程度轻,该模型适合用来估算各种人工泪液对眼表的作用[11]。结膜损害往往早于角膜出现,因为结膜富含血管、淋巴组织,在干眼炎症中扮演重要角色。结膜上皮细胞(包括杯状细胞及非杯状细胞)分泌的黏蛋白是泪膜的主体结构[12]。杯状细胞是插入到结膜上皮细胞间的特化细胞,在维持眼表健康、保持清晰视力及防御感染方面有重要作用。结膜上皮细胞作为眼表防御系统的一部分,不仅维持眼表稳定,其细胞间隙还可发挥免疫作用及药物转运。泪膜不稳定是干眼核心机制之一,结膜上皮细胞分泌的黏蛋白是泪膜重要成分,在干眼中发挥重要作用。当结膜上皮受损时,泪膜中黏蛋白将会出现质或量异常,导致泪膜异常,进而发生干眼。

海藻糖是由两个葡萄糖分子通过半缩醛羟基结合而成的非还原性双糖,广泛存在于细菌、藻类、酵母、低等植物,尤其在霉菌、蘑菇等真菌中含量高达干重的 20%[13]。它是一种具有独特抗脱水、抗冷冻、抗高渗保护作用的非特异性生物保护剂,在干眼治疗、角膜保存等方面有较大研究,是一种有效的预防、治疗干眼症的潜在药物[14]。研究[6]表明:海藻糖是细胞暴露于干燥环境中存活的关键因素,作为对长期干燥的应激,海藻糖不断累积产生,赋予生物体长时间几乎完全脱水并随后恢复活力的能力,具有这种特征的称为脱水生物,其作用机制仍不明,可能与海藻糖作为“水替代品”或重新排列细胞内水结构有关。海藻糖抑制角膜和结膜上皮细胞中促炎细胞因子的诱导和基质金属蛋白酶的表达,加入透明质酸盐后,海藻糖的作用增强,成为具有润滑和保水性质的糖胺聚糖多糖[15]Chiambaretta[16]比较了含有海藻糖和透明质酸的新滴眼液和仅含有透明质酸的滴眼液在干眼患者中的疗效,发现前者不良事件少于后者。当用海藻糖处理受伤的角膜时,角膜炎症,瘢痕形成和新血管形成等被抑制[14]。海藻糖可减少细胞凋亡并降低眼表面氧化、炎症和蛋白水解活性。在紫外线照射的角膜中,海藻糖抑制了射线引起的光损伤[17],减少了角膜内皮炎症,抑制了新生血管形成。Matsuo [3]进行的角膜上皮细胞存活率试验证明:海藻糖可显著降低角膜上皮细胞在干燥环境中的病死率,在随后评价海藻糖用于治疗干眼的临床试验都取得了良好的效果。同时海藻糖作为一种渗透保护剂可保护眼表细胞免于高渗透压损伤[18]

L i [19]发现海藻糖可降低干眼模型小鼠眼表炎症因子表达。Chen [20]发现海藻糖溶液在恢复小鼠角膜表面细胞完整性方面相对于自体血清更有效。Hill-Bator [21]在体外干燥环境中培养人角膜上皮细胞,与市售干眼制剂相比,海藻糖对其保护效果最佳。上述结果均证明海藻糖在干眼症中的潜在治疗功效。为增加眼表水性液体,常规干眼用药为无防腐剂的人工泪液和包含生长因子的自体血清。无论严重程度如何,人工泪液频繁使用仍是干眼广泛接受的治疗。干眼眼表促炎因子多,市售许多干眼用药可防止水液流失,促进伤口愈合。然而作用机制通常与其保水能力有关,如基于透明质酸制剂。人工泪液极少具有抗炎功能。除海藻糖外,只有乙酰透明质酸除保水外,还具有一定的抗炎效果。目前干眼治疗的挑战是通过包含更有效的活性成分或载体剂来改善泪膜,优化眼部保湿并防止眼表上皮损伤。由于海藻糖的抗脱水性质,该分子被视作干眼潜在治疗药物,然而海藻糖对于干燥环境中眼表上皮细胞影响的更广泛表征尚未得到很好的研究。手术摘除泪腺是建立泪液分泌不足型干眼动物模型常用方法,且大鼠遗传成分和环境易被控制,笔者以此为依据用海藻糖滴眼液作用于摘除眶内眶外泪腺大鼠干眼模型,采用免疫组织化学方法推测结膜上皮细胞凋亡蛋白表达与眼表干眼组织损伤的关系,探讨海藻糖治疗干眼症的作用机制,为该病治疗提供理论依据。

本研究结果显示:造模术后各时间点实验组和对照组泪液分泌量较正常组明显减少,差异均有统计学意义。用药 28 d后,海藻糖实验组较生理盐水对照组泪液分泌量增加,两组相比差异有统计学意义,其余时间点两组比较差异均无统计学意义,提示海藻糖溶液对大鼠泪液缺乏型干眼可提供一定的润滑和眼表水合作用。研究[11]表明:通过手术将犬、猫、兔及鼠的主泪腺摘除后并不能立即引起明显的眼表干眼症状和体征,这可能与泪腺不能干净摘除和泪液的代偿性产生有关,并且完全去除腺体的难度较大,结果变异也较大。这也是为何术后第 12周对照组和实验组泪液分泌量差异无统计学意义的原因。术后第 周,正常组大鼠角膜在裂隙灯下光滑、有光泽,荧光素染色阴性,实验组荧光色染色评分一定程度增加,角膜呈弥漫性点状染色,对照组评分显著增加,角膜大范围出现弥漫性粗点状染色,局部呈片状染色。造模术后 周,对照组和实验组染色评分明显高于正常组;给药 7 d,即术后 2周后,除对照组和实验组评分差异无统计学意义外,术后第 周和第 周,两组评分差异均有统计学意义,且实验组评分小于对照组,荧光素钠染色可确定角膜上皮是否完整,提示海藻糖有助于减少角膜表层上皮的脱落,保护角膜上皮渗透屏障。

周杨等[22]对摘除主泪腺干眼动物模型的眼表组织进行研究发现:角结膜上皮及睑板腺腺泡细胞中凋亡基因 Bcl-2 和 Bax 蛋白表达高于正常组。泪腺细胞和角结膜细胞凋亡与干眼发生有重要关系。细胞凋亡是一种基本生物学现象,受基因调控,分为内外源性途径,内源性途径主要通过 p53Bcl-2家族凋亡信号启动。Bcl-2 家族成员 BaxBcl-2 在调亡中起重要的调节作用。研究[23]证实:Bcl-2 基因产物具有明显抑制细胞凋亡的作用,而 Bax 蛋白可促进细胞凋亡。Bcl-2 可以与 Bax 结合形成 Bcl-2/Bax 异二聚体,阻止Bax插入线粒体外膜,保护细胞免受凋亡损害。Bcl-2 和 Bax 在组织细胞中常协同表达,Bcl-2/Bax 比值增大时促进细胞存活,反之则死亡。

本研究中,正常组结膜上皮细胞 Bax 蛋白表达的细胞数较对照组和实验组少,可见大量 Bcl-2 蛋白阳性表达,且多于实验组和对照组,阳性细胞质含棕黄色颗粒,说明经用药后的干眼模型鼠眼表存在细胞凋亡,本研究为干眼眼表上皮疾病发病机制与细胞凋亡之间的相关性提供了一定的理论依据。对照组可见大量Bax蛋白阳性表达,实验组中 Bax 蛋白阳性表达相对于对照组少,两者差异有统计学意义;实验组结膜上皮细胞中可见大量 Bcl-2 蛋白表达,细胞质呈棕黄色,对照组中 Bcl-2 蛋白阳性表达相对实验组减少,差异有统计学意义。泪膜不稳定是干眼核心机制之一,结膜上皮细胞分泌的黏蛋白是泪膜重要成分,在干眼中发挥重要作用。海藻糖组 Bax 蛋白表达相对生理盐水组明显减少,Bcl-2 蛋白表达相对生理盐水组增加,比值增大表明海藻糖可抑制或减少 Bax 基因表达,保护或促进 Bcl-2 表达,本研究提示海藻糖溶液在抑制结膜上皮凋亡中相对生理盐水有优势,保护了结膜上皮细胞的生物活性,维持了泪液中黏蛋白的稳定。尽管造成海藻糖抗细胞凋亡的作用机制仍未明确,但可以确定的是,一定量的海藻糖可以保护蛋白质和细胞膜免于因干燥引起的失活或变性。

综上所述,海藻糖滴眼液对结膜上皮细胞有一定保护作用,可以拮抗结膜上皮细胞在干燥环境中的凋亡,减少角膜表层上皮脱落,从而增强角结膜上皮屏障功能,改善由于干燥引起的眼表上皮的损伤。本研究结果支持海藻糖溶液可用于眼表上皮疾病的潜在临床应用,为治疗眼表疾病如干眼症提供治疗选择。对海藻糖安全性研究结果及其作用机制的不断深入,为开发药用海藻糖滴眼液制剂奠定了良好基础。

基金

1. 湖北省教育厅科学技术研究计划重点项目 (D20112004)
This work was supported by Hubei Provincial Department of Education Science and Technology Research Program Key Project, China (D20112004)

参考文献

1. Stapleton F, Alves M, Bunya VY, et al. TFOS DEWS II epidemiology report[J]. Ocul Surf, 2017, 15(3): 334-365.
2. 刘祖国, 王华. 关注干眼慢性疾病管理体系的建设[J]. 中华眼科杂志, 2018, 54(2): 81-83.
LIU Zuguo, WANG Hua. Paying attention to the construction of dry eye chronic disease management system[J]. Chinese Journal of Ophthalmology, 2018, 54(2): 81-83.
3. Matsuo T. Trehalose versus hyaluronan or cellulose in eyedrops for the treatment of dry eye[J]. Jpn J Ophthalmol, 2004, 48(4): 321-327.
4. 胡锦东, 刘新泉. 干眼动物模型研究进展[J]. 山东大学耳鼻喉眼学报, 2017, 31(4): 109-113.
HU Jindong, LIU Xinquan. Research progress of dry eye animal model[J]. Journal of Otolaryngology and Ophthalmology of Shandong University, 2017, 31(4): 109-113.
5. Aonso AA, Monroy D, Stern ME, et al. Correlation of tear fluorescein clearance and Schirmer test scores with ocular irritation symptoms[J]. Ophthalmology, 1999, 106(4): 803-810.
6. 刘祖国, 杨文照. 加强干眼的临床研究[J]. 中华眼科杂志, 2013, 49(10): 865-868.
LIU Zuguo, YANG Wenzhao. Strengthening clinical research of dry eyes[J]. Chinese Journal of Ophthalmology, 2013, 49(10): 865-868.
7. Deswal J, Arya SK, Raj A, et al. A case of bilateral corneal perforation in a patient with severe dry eye[J]. J Clin Diagn Res, 2017, 11(4): ND01-ND02.
8. Waduthantri S, Yong SS, Tan CH, et al. Cost of dry eye treatment in an Asian clinic setting[J]. PLoS One, 2012, 7(6): e37711.
9. Craig JP, Nichols KK, Akpek EK, et al. TFOS DEWS II definition and classification report[J]. Ocul Surf, 2017, 15(3): 276-283.
10. Montés-Micó R, Cerviño A, Ferrer-Blasco T, et al. The tear film and the optical quality of the eye[J]. Ocul Surf, 2010, 8(4): 185-192.
11. 王未琢. 干眼动物模型与干眼药物研发[J]. 中华实验眼科杂志, 2018, 36(12): 956-961.
WA NG Weiz huo. Dr y eye animal model and dry eye drug development[J]. Chinese Journal of Experimental Ophthalmology, 2018, 36(12): 956-961.
12. Ablamowicz AF, Nichols JJ. Ocular surface membrane-associated mucins[J]. Ocul Surf, 2016, 14(3): 331-341.
13. Ozek D, Kemer OE. Effect of the bioprotectant agent trehalose on corneal epithelial healing after corneal cross-linking for keratoconus[J]. Arq Bras Oftalmol, 2018, 81(6): 505-509.
14. Cejka C, Kubinova S, Cejková J. Trehalose in ophthalmology[J]. Histol Histopathol, 2019, 34(6): 611-618.
15. Pinto-Bonilla JC, Del Olmo-Jimeno A, Llovet-Osuna F, et al. A randomized crossover study comparing trehalose/hyaluronate eyedrops and standard treatment: patient satisfaction in the treatment of dry eye syndrome[J]. Ther Clin Risk Manag, 2015, 11: 595-603.
16. Chiambaretta F, Doan S, Labetoulle M, et al. A randomized, controlled study of the efficacy and safety of a new eyedrop formulation for moderate to severe dry eye syndrome[J]. Eur J Ophthalmol, 2017, 27(1): 1-9.
17. Cejková J, Cejka C, Luyckx J. Trehalose treatment accelerates the healing of UVB-irradiated corneas. Comparative immunohistochemical studies on corneal cr yostat sections and corneal impression cytology[J]. Histol Histopathol, 2012, 27(8): 1029-1040.
18. Baudouin C, Aragona P, Messmer EM, et al. Role of hyperosmolarity in the pathogenesis and management of dry eye disease: proceedings of the OCEAN group meeting[J]. Ocul Surf, 2013, 11(4): 246-258.
19. Li J, Roubeix C, Wang Y, et al. Therapeutic efficacy of trehalose eye drops for treatment of murine dry eye induced by an intelligently controlled environmental system[J]. Mol Vis, 2012, 18: 317-329.
20. Chen W, Zhang X, Liu M, et al. Trehalose protects against ocular surface disorders in experimental murine dry eye through suppression of apoptosis[J]. Exp Eye Res, 2009, 89(3): 311-318.
21. Hill-Bator A, Misiuk-Hojło M, Marycz K, et al. Trehalose-based eye drops preserve viability and functionality of cultured human corneal epithelial cells during desiccation[J]. Biomed Res Int, 2014, 2014: 292139.
22. 周杨, 王传富, 姜涛. 摘除主泪腺干眼病鼠泪液功能变化与凋亡相关基因蛋白的表达[J]. 中华眼科杂志, 2007, 43(1): 18-22.
ZHOU Yang, WANG Chuanfu, JIANG Tao. Excision of tear function changes and expression of apoptosis-related gene proteins in the main lacrimal gland dry eye rats[J]. Chinese Journal of Ophthalmology, 2007, 43(1): 18-22.
23. Zernii EY, Gancharova OS, Tiulina VV, et al. Mitochondria-targeted antioxidant SKQ1 protects cornea from oxidative damage induced by ultraviolet irradiation and mechanical injury[J]. BMC Ophthalmol, 2018, 18(1): 336.

施引文献

1. 本文引用:陆宇杰, 吴克虎, 吴晓阳. 海藻糖对实验性干眼病鼠结膜上皮细胞的影响[J]. 眼科学报, 2019, 34(3): 141-149. doi: 10.3978/j.issn.1000-4432.2019.06.12
Cite this article as: LU Yujie, WU Kehu, WU Xiaoyang. Effect of trehalose on conjunctival epithelial cells in a rat model of experimental dry eye[J]. Yan Ke Xue Bao, 2019, 34(3): 141-149. doi: 10.3978/j.issn.1000-4432.2019.06.12

相关文章