Chronic Lymphocytic Leukemia with Acute Dacryocystitis as the Initial Symptom: A Case Report and Review of Literature
Views:1687
DOI:10.12419/24092912
Publication Date:2025-09-28
Author(s):
WU Shiqi ,MO Ya
View More '%20fill='white'%20fill-opacity='0.01'/%3e%3cmask%20id='mask0_3477_29692'%20style='mask-type:luminance'%20maskUnits='userSpaceOnUse'%20x='0'%20y='0'%20width='16'%20height='16'%3e%3crect%20id='&%23232;&%23146;&%23153;&%23231;&%23137;&%23136;_2'%20x='16'%20width='16'%20height='16'%20transform='rotate(90%2016%200)'%20fill='white'/%3e%3c/mask%3e%3cg%20mask='url(%23mask0_3477_29692)'%3e%3cpath%20id='&%23232;&%23183;&%23175;&%23229;&%23190;&%23132;'%20d='M14%205L8%2011L2%205'%20stroke='%23333333'%20stroke-width='1.5'%20stroke-linecap='round'%20stroke-linejoin='round'/%3e%3c/g%3e%3c/g%3e%3c/svg%3e)
Keywords
acute dacryocystitis
leukemia
lacrimal apparatus diseases
Abstract
Acute dacryocystitis often results from the acute attack exacerbation of chronic dacryocystitis. Typical symptoms include those of chronic dacryocystitis, such as persistent tearing, increased abnormal secretions, as well secondary manifestations of acute dacryocystitis like redness, swelling, heat and pain in the lacrimal sac area, which are predominantly unilateral. Chronic lymphocytic leukemia (CLL) is a malignant blood disorder originating from hematopoietic tissue. On the surface, these two diseases do not appear to be directly related in terms of pathophysiology. This study reported a case of CLL presenting with acute dacryocystitis as the initial symptom. The patient exhibited signs of acute dacryocystitis in both eyes, and was subsequently diagnosed with CLL following a systemic examination. Meanwhile, a review of the relevant literature revealed similar reports. However, in one instance, acute dacryocystitis in children with leukemia appeared as the first sign of acute leukemia itself, while in another, acute dacryocystitis was diagnosed as CLL by pathological biopsy after dacryocystectomy. At present, there have been no report of significant remission of acute dacryocystitis following conservative treatment for CLL. The occurrence of this condition may be related to the changes in lacrimal drainage-associated lymphoid tissue (LDALT). As a part of the mucosal immune system, LDALT can guide CLL cells to migrate and colonize within it, thereby disrupting the local immune microenvironment, interfering with the immune balance of the lacrimal passage, inhibiting the function of normal immune cells, promoting abnormal lymphocyte proliferation in the nasolacrimal duct, and ultimately leading to impaired drainage of the lacrimal passage system. Additionally, the systemic immunosuppressive state induced by CLL reduces the body’s overall anti-infective capacity, increasing the risk of dacryocystal infection and ultimately contributing to the onset and progression of acute dacryocystitis. Through a comprehensive analysis of the potential pathogenesis of this case, we aim to explore its implications for clinical diagnosis and treatment.
Article
文章亮点
1. 关键发现
• 慢性淋巴细胞白血病可导致成人双眼泪囊炎。2. 已知与发现
• 已知:1)急性泪囊炎在小儿白血病患者中可作为首发体征出现,国外有一例急性泪囊炎患者行泪囊摘除后确诊为慢性淋巴细胞白血病。2)苯丁酸氮芥治疗慢性淋巴细胞白血病(chronic lymphocytic leukemia, CLL),但未明确其对合并泪囊炎的 CLL 有缓解急性泪囊炎疗效。• 发现:1)首例双侧急性泪囊炎首发的 CLL;2)苯丁酸氮芥可同步缓解 CLL 与急性泪囊炎。
3. 意义与改变
• 患者既往无流泪、异常分泌物增多等慢性泪囊炎病史,双眼若同时出现急性泪囊炎表现,则应及时排查有无全身疾病的可能。急性泪囊炎常在慢性泪囊炎基础上因细菌毒力太强或全身抵抗力下降时急性发作,但患者既往无流泪、异常分泌物增多等慢性泪囊炎症状,短期内双眼若同时出现急性泪囊炎表现,则应及时排查有无全身疾病的可能,本病例将报道一例以急性泪囊炎为首发症状的慢性淋巴细胞白血病患者,本病例报告遵循《赫尔辛基宣言》,且已获得患者的知情同意。
1 病例资料
患者男性,63岁,因“双眼泪囊区红肿伴眼部碜涩疼痛1个月”于2023年8月21日入院。患者1个月前无明显诱因出现双眼流泪流脓,泪囊区皮肤红肿(图1),伴眼痒及干涩不适,曾于外院治疗症状未见缓解(具体不详),遂收入我院。
图1 患者入院时眼部外观
Figure 1 Patient's ocular appearance upon admission

患者入院时可见双眼溢泪伴泪囊区明显红肿,右眼为甚。
The patient exhibited epiphora in both eyes accompanied by redness and swelling in the Lacrimal sac area, with the right eye being more severe.
The patient exhibited epiphora in both eyes accompanied by redness and swelling in the Lacrimal sac area, with the right eye being more severe.
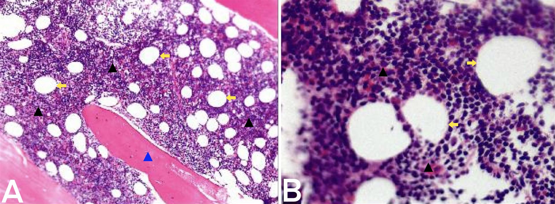
图2 骨髓活检结果(苏木精-伊红染色)
Figure 2 Bone marrow biopsy results (Hematoxylin eosin stain)

(A)骨髓增生明显活跃(黑色三角形),约占造血容量的80%(黄色箭头代表脂肪细胞)。在骨小梁(蓝色三角形)间及小梁旁,淋巴细胞呈弥漫性分布(放大40倍)。(B)淋巴细胞表现为胞体小,胞质少,核圆形或椭圆形,染色质聚集,未见核仁等特征(放大400倍)。
(A) Bone marrow hyperplasia is obviously active (black triangle), accounting for about 80% of hematopoietic capacity (yellow arrow represents adipocytes). Lymphocytes were diffusely distributed between trabeculae (blue triangle) and near trabeculae (enlarged×40). (B) Lymphocytes were characterized by small cell bodies, few cytoplasm, round or oval nuclei, chromatin aggregation, and no nucleolus (enlarged×400).
(A) Bone marrow hyperplasia is obviously active (black triangle), accounting for about 80% of hematopoietic capacity (yellow arrow represents adipocytes). Lymphocytes were diffusely distributed between trabeculae (blue triangle) and near trabeculae (enlarged×40). (B) Lymphocytes were characterized by small cell bodies, few cytoplasm, round or oval nuclei, chromatin aggregation, and no nucleolus (enlarged×400).
图3 骨髓涂片特征(瑞氏染色,放大1 000倍)
Figure 3 Characteristics of bone marrow smear (Wright-Giemsa stain, enlarged×1 000)

(A-D)有核细胞增生明显活跃,这可以从晚幼红细胞(红色箭头)和原始淋巴细胞(黄色箭头)的存在得到证明。 淋巴细胞的异常增生,主要是成熟的淋巴细胞(黑色箭头),占中性粒细胞绝对计数的85%。其胞体大小不均,多偏小,圆形或椭圆形,胞浆少,淡蓝色,无颗粒,胞核多为圆形,可见核凹陷、核切迹,核仁染色质呈块状。此外,还观察到有涂抹细胞(蓝色箭头)。
(A-D) The proliferation of nucleated cells is obviously active, which can be proved by the existence of late immature red blood cells (red arrow) and primitive lymphocytes (yellow arrow). Abnormal proliferation of lymphocytes, mainly mature lymphocytes (black arrow), accounting for 85% of the absolute number of neutrophils. The cell bodies are uneven in size, mostly small, round or oval, with few cytoplasm, light blue, and no granules. The nuclei are mostly round, with nuclear pits, nuclear incisions, and massive chromatin. In addition, smeared cells (blue arrow) were also observed.
(A-D) The proliferation of nucleated cells is obviously active, which can be proved by the existence of late immature red blood cells (red arrow) and primitive lymphocytes (yellow arrow). Abnormal proliferation of lymphocytes, mainly mature lymphocytes (black arrow), accounting for 85% of the absolute number of neutrophils. The cell bodies are uneven in size, mostly small, round or oval, with few cytoplasm, light blue, and no granules. The nuclei are mostly round, with nuclear pits, nuclear incisions, and massive chromatin. In addition, smeared cells (blue arrow) were also observed.
图4 流式细胞检测结果
Figure 4 Flow cytometry results

(A - I)不同标志物组合的流式散点图,检测到约91.68%的异常B淋巴细胞,其免疫表型为CD5(+)、CD19(+)、CD20(部分+)、CD23(+)、CD10(-)、CD22(-)、FMC7(-),RMH-CLL积分为5分,符合CLL的免疫表型诊断标准。
(A - I) are the flow scatter diagram of different marker combinations. About 91.68% of abnormal B lymphocytes were detected by flow cytometry, and their immunophenotypes were CD5 (+), CD19 (+), CD20 (partial+), CD23 (+), CD10 (-), CD22 (-), fmc7 (-). The RMH-CLL score was 5 points, which met the immunophenotypic diagnostic criteria of CLL.
(A - I) are the flow scatter diagram of different marker combinations. About 91.68% of abnormal B lymphocytes were detected by flow cytometry, and their immunophenotypes were CD5 (+), CD19 (+), CD20 (partial+), CD23 (+), CD10 (-), CD22 (-), fmc7 (-). The RMH-CLL score was 5 points, which met the immunophenotypic diagnostic criteria of CLL.
图5 患者使用苯丁酸氮芥片治疗前后的白细胞计数
Figure 5 White blood cell count of the patient before and after treatment with nitrogen mustard phenylbutyrate tablets

治疗后白细胞计数呈逐步下降趋势,与患者泪囊症状缓解呈高度同步性。
After treatment, the white blood cell count showed a gradual downward trend, which was highly synchronized with the relief of patient's lacrimal sac symptoms.
After treatment, the white blood cell count showed a gradual downward trend, which was highly synchronized with the relief of patient's lacrimal sac symptoms.
2 讨论
急性泪囊炎是眼科急诊常见病,好发于中老年女性,多因原发鼻泪道阻塞导致流泪、流脓,常见致病菌为金黄色葡萄球菌、溶血性链球菌或白念珠菌[1-2]。典型发病部位为内眦韧带下方,炎症进展可累及上下眼睑及颜面部[3-4]。慢性淋巴细胞白血病(chronic lymphocytic leukemia, CLL)是原发于造血组织的成熟B细胞克隆增殖性恶性肿瘤,主要患病人群为中老年,以淋巴细胞在外周血、骨髓、脾脏和淋巴结聚集为特征[5-6]。CLL是一种慢性疾病,病情发展缓慢,患者可能在数年甚至数十年内未出现明显症状[7]。随着病情发展,CLL患者可出现疲劳、体重减轻、盗汗、发热、易感染(如频繁感冒、呼吸道感染等)、贫血(表现为面色苍白、乏力、气促等)、淋巴结肿大(常见于颈部、腋窝、腹股沟等部位)、肝脾肿大等症状[8-9]。
在临床实践中,急性泪囊炎和 CLL 单独发病的诊疗已有较为成熟的体系,但当二者合并出现时,情况则变得更为复杂。目前,急性泪囊炎合并CLL的相关临床报道十分少见,且大多为国外20世纪的病例报告。与本例中的老年男性患者有所不同,Wirostko等[10]发现,急性泪囊炎在小儿白血病患者中可作为首发体征出现,在进行化学治疗后泪道相关的症状也有减轻。Mishra等[11]报道了1例印度患者,因左眼急性泪囊炎入院,在泪囊炎的治疗过程中确诊为CLL。该患者进行了泪囊切除术以及泪囊活组织检查(活检),明确了组织学特征与泪道黏膜淋巴细胞浸润情况的一致性,从病理层面进一步证实了急性泪囊炎和 CLL 之间存在相关性。Karesh等[12]在对泪囊淋巴瘤继发泪囊炎的患者统计研究后指出,在泪囊鼻腔吻合术的诊疗过程中,泪囊活检具有至关重要的诊断价值。即便泪囊黏膜在外观上没有明显的肿瘤受累迹象,当患者同时出现泪道症状和潜在的血液系统恶性肿瘤(如 CLL)时,进行泪囊活检对于准确诊断疾病、制定合理的治疗方案尤为关键。上述已报道的病例均为单眼发病,且主要通过手术获取组织活检样本后完成疾病确诊,缺乏关于CLL保守治疗后急性泪囊炎症状缓解的报道。本例中双眼泪囊炎的出现是首次记录,并且通过对该病例的治疗观察发现,对 CLL 进行有效的全身治疗后,急性泪囊炎的症状能够得到显著缓解,这为两种疾病的关联性研究提供了新的临床证据。
通过对以往文献的梳理可以发现,急性泪囊炎合并 CLL 的发病机制尚不明确,且本病例存在双眼泪囊炎等独特表现。因此,深入探究其发病机制对于理解这一罕见疾病组合具有重要意义。Knop等[13]在2001年提出泪道引流相关淋巴组织(lacrimal drainage-associated lymphoid tissue, LDALT)的概念,我们推测本病的发病机制与LDALT相关。LDALT作为黏膜免疫系统的一部分,具有独特的免疫微环境。研究表明,CLL细胞表面存在多种趋化因子受体,如CXC趋化因子受体4(CXC chemokine receptor 4, CXCR4)、CC趋化因子受体7(CC chemokine receptor 7, CCR7)等[14-15]。在机体免疫稳态失衡的情况下,LDALT分泌的趋化因子,如CXC趋化因子配体12(CXC chemokine ligand 12, CXCL12)等,会与CLL细胞表面的CXCR4特异性结合,引导CLL细胞向LDALT迁移并定植。一旦CLL细胞在LDALT定植,会破坏局部的免疫微环境。正常情况下,LDALT中的免疫细胞通过相互协作维持泪道的免疫平衡,而CLL细胞的浸润可能会干扰这一平衡。CLL细胞可以分泌细胞因子,如转化生长因子-β(transforming growth factor-β, TGF-β)、白细胞介素- 6(interleukin-6, IL-6)等[16-17]。这些细胞因子一方面抑制正常免疫细胞的功能,使免疫细胞对病原体的清除能力下降;另一方面,促进LDALT内淋巴细胞的异常增殖,导致鼻泪管淋巴细胞增生,引发泪道系统引流不畅。同时,CLL细胞还可能通过与LDALT中的细胞直接接触,影响细胞间的信号传导,进一步促进自身的存活和增殖,加重泪道阻塞和炎症反应。此外,CLL所致的全身免疫抑制状态,也使得机体整体抗感染能力降低,增加了泪囊感染的风险,最终导致急性泪囊炎的发生和发展。
鉴于上述发病机制与CLL细胞在LDALT的异常活动密切相关,针对CLL的治疗有望改善急性泪囊炎的症状。该患者使用了苯丁酸氮芥片。该药物对淋巴组织有较高的选择性抑制作用,使淋巴组织迅速、明显地萎缩。其作用机制主要是通过修饰和交联DNA来有效抑制DNA复制过程,从而抑制细胞增殖,发挥显著的抗肿瘤作用[18-20]。患者在口服苯丁酸氮芥片后,泪囊区的红肿基本消退,流脓症状也不再出现。同时,患者的血象改善与眼部症状缓解呈现出高度的同步性,这一现象为化学治疗直接作用于 CLL、间接调控急性泪囊炎的病情发展提供了有力的临床证据。然而,目前苯丁酸氮芥片在CLL合并急性泪囊炎治疗中的具体应用方案,如最佳用药剂量、用药疗程以及联合其他药物治疗的效果等方面,仍有待进一步深入研究。未来的研究可以开展大规模的临床试验,对比不同治疗方案下患者的治疗效果、不良反应发生率以及长期预后情况,为临床治疗提供更具针对性和有效性的用药指导。
本病例的治疗过程不仅让我们对苯丁酸氮芥片在急性泪囊炎合并CLL治疗中的应用有了初步认识,更为急性泪囊炎诊疗提供了新视角。CLL作为成人白血病中较为常见的类型[21],早期诊断和治疗对提高患者的生存率和生活质量具有重要意义。然而,由于CLL早期症状不典型,病情发展缓慢,容易误诊漏诊[22]。当急性泪囊炎患者出现一些不寻常的特征时,如无慢性病史、短期内双眼发病、血象异常或常规治疗无效,临床医生需警惕全身性疾病。虽然在本病例中患者暂未出现发热及体质量减轻等典型的全身症状,但在临床诊疗过程中,对于疑似CLL的患者,密切关注其体温变化及其他全身症状是十分必要的。对于全身情况允许进行手术的患者,手术中应取泪囊壁进行活检,通过组织病理学检查进一步明确诊断,避免误诊和漏诊的发生,从而为患者制定更加精准有效的治疗方案。
综上所述,CLL合并双侧急性泪囊炎临床较为罕见,一旦发现急性泪囊炎合并CLL应积极治疗全身性疾病。在控制全身病后急性泪囊炎如无缓解再考虑手术治疗。期望本病例的报道能为临床急性泪囊炎的诊疗提供一定参考。
声明
在论文撰写中无使用生成式人工智能。论文撰写中的所有内容均由作者独立完成,并对出版物的真实性和准确性承担全部责任。利益冲突
所有作者均声明不存在利益冲突。开放获取声明
本文适用于知识共享许可协议(Creative Commons),允许第三方用户按照署名(BY)-非商业性使用(NC)-禁止演绎(ND)(CC BY-NC-ND)的方式共享,即允许第三方对本刊发表的文章进行复制、发行、展览、表演、放映、广播或通过信息网络向公众传播,但在这些过程中必须保留作者署名、仅限于非商业性目的、不得进行演绎创作。Funding
No Fund Information
References
1. Pietris J, Tong JY, Selva D. Primary dacryocystorhinostomy for acute
dacryocystitis: a systematic review[ J]. Semin Ophthalmol, 2024: 1-9. DOI:10.1080/08820538.2024.2344714.
2. Avdagic E, Phelps PO. Nasolacrimal duct obstruction as an important
cause of Epiphora[ J]. Dis Mon, 2020, 66(10): 101043. DOI:10.1016/
j.disamonth.2020.101043.
3. Chong KK , Abdulla HA A , Ali MJ. An update on endoscopic
mechanical and powered dacryocystorhinostomy in acute dacryocystitis
and lacrimal abscess[ J]. Ann Anat, 2020, 227: 151408. DOI:10.1016/
j.aanat.2019.07.009.
4. Ali MJ, Joshi SD, Naik MN, et al. Clinical profile and management
outcome of acute dacryocystitis: two decades of experience in a tertiary
eye care center[ J]. Semin Ophthalmol, 2015, 30(2): 118-123. DOI:10.
3109/08820538.2013.833269.
5. Expert group for the compilation and approval of the guidelines for
the diagnosis and treatment of chronic lymphocytic leukemia/small
lymphocytic lymphoma in China Chinese guidelines for the diagnosis
and treatment of chronic lymphocytic leukemia/small lymphocytic
lymphoma (2022 Edition) [EB/OL]. (2022-09-21)[2025-09-15].
http://www.szsdsrmyy.com/
6. Diop F, Moia R, Favini C, et al. Biological and clinical implications of
BIRC3 mutations in chronic lymphocytic leukemia[ J]. Haematologica,
2020, 105(2): 448-456. DOI:10.3324/haematol.2019.219550.
7. L e w i s R I , Vo m Ste i n A F, Ha l l e k M . Ta r ge t i ng t h e t u m o r
microenvironment for treating double-refractory chronic lymphocytic
leukemia[ J]. Blood, 2024, 144(6): 601-614. DOI:10.1182/
blood.2023022861.
8. Ranaweera Arachchige T, Mendiburu C, Martin A, et al. Clinical and
biological characterization of involvement of nasal-associated lymphoid
tissues in chronic lymphocytic leukemia[ J]. Am J Hematol, 2024,
99(8): 1628-1631. DOI:10.1002/ajh.27357.
9. Wierda WG, Brown J, Abramson JS, et al. Chronic lymphocytic
leukemia/small lymphocytic lymphoma, version 2.2024, NCCN
clinical practice guidelines in oncology[ J]. J Natl Compr Canc Netw,
2024, 22(3): 175-204. DOI:10.6004/jnccn.2024.0018.
10. Wirostko WJ, Garcia GH, Cory S, et al. Acute dacryocystitis as a
presenting sign of pediatric leukemia[ J]. Am J Ophthalmol, 1999,
127(6): 734-736. DOI:10.1016/s0002-9394(99)00023-9.
11. Mishra DK, Ali MJ, Bhargava A, et al. Acute dacryocystitis as a
presenting sign of chronic lymphocytic leukaemia[ J]. Clin Exp
Ophthalmol, 2016, 44(1): 67-69. DOI:10.1111/ceo.12579.
12. Karesh JW, Perman KI, Rodrigues MM. Dacryocystitis associated with
malignant lymphoma of the lacrimal sac[ J]. Ophthalmology, 1993,
100(5): 669-673. DOI:10.1016/s0161-6420(93)31590-3.
13. Knop E, Knop N. Lacrimal drainage-associated lymphoid tissue
(LDALT): a part of the human mucosal immune system[ J]. Invest
Ophthalmol Vis Sci, 2001, 42(3): 566-574.
14. Burger JA, Kipps TJ. CXCR4: a key receptor in the crosstalk between
tumor cells and their microenvironment[ J]. Blood, 2006, 107(5):
1761-1767. DOI:10.1182/blood-2005-08-3182.
15. Sallusto F, Lenig D, Förster R , et al. Two subsets of memory T
lymphocytes with distinct homing potentials and effector functions[ J].
Nature, 1999, 401(6754): 708-712. DOI:10.1038/44385.
16. Li Y, Shi Y, McCaw L, et al. Microenvironmental interleukin-6
suppresses toll-like receptor signaling in human leukemia cells through
miR-17/19A[ J]. Blood, 2015, 126(6): 766-778. DOI:10.1182/
blood-2014-12-618678.
17. Díez P, Juanes-Velasco P, García-Vaquero ML, et al. Tonic signaling of
the B-cell antigen-specific receptor is a common functional hallmark
in chronic lymphocytic leukemia cell phosphoproteomes at early
disease stages[ J]. Mol Oncol, 2025. DOI:10.1002/1878-0261.70032.
DOI:10.1002/1878-0261.70032.
18. Liang W, Fan Y, Liu Y, et al. ROS/pH dual-sensitive emodinchlorambucil co-loaded micelles enhance anti-tumor effect through
combining oxidative damage and chemotherapy[ J]. Int J Pharm, 2023,
647: 123537. DOI:10.1016/j.ijpharm.2023.123537.
19. Al-Adl M, Youssef MM, El-Sebaie A, et al. The role of polymorphic
cytochrome P450 gene (CYP2B6) in B-chronic lymphocytic leukemia
(B-CLL) incidence and outcome among Egyptian patients[ J]. Oncol
Res, 2024, 32(4): 785-797. DOI:10.32604/or.2024.047021.
20. Griggio V, Vitale C, Todaro M, et al. HIF-1α is over-expressed in
leukemic cells from TP53-disrupted patients and is a promising
therapeutic target in chronic lymphocytic leukemia[ J]. Haematologica,
2020, 105(4): 1042-1054. DOI:10.3324/haematol.2019.217430.
21. Song M, Graubard BI, Loftfield E, et al. White blood cell count,
neutrophil-to-lymphocyte ratio, and incident cancer in the UK
biobank[ J]. Cancer Epidemiol Biomarkers Prev, 2024, 33(6): 821-829.
DOI:10.1158/1055-9965.EPI-23-1145.
22. Robbertz AS, Weiss DM, Awan FT, et al. Identifying risk factors for
depression and anxiety symptoms in patients with chronic lymphocytic
leukemia[ J]. Support Care Cancer, 2020, 28(4): 1799-1807.
DOI:10.1007/s00520-019-04991-y.
Related Articles
ZHOU Xibin;TAO Hai;LIU Chuan;BAI Fang ;WANG Peng;WANG Lihua;WANG Fei,Endonasal endoscopic lower position
dacryocystorhinostomy combined with RT lacrimal stent
intubation for treating chronic dacryocystitis
YU Bo;WU Wenchan,Efficacy of endoscopic dacryocystorhinostomy combined
with bicanalicular silicone tube intubation for the
management of chronic dacryocystitis with small
lacrimal sacHUANG Weifeng;CHEN Rongxin;ZHAO Jing;LI Xingyi;JAING Aixin;YU Xinyue;LIANG Xuanwei,Efficacy of mucosal flap punctoplasty in the treatment of chronic canaliculitis