剥脱性青光眼2例
阅读量:9841
DOI:10.3978/j.issn.1000-4432.2020.03.09
发布日期:2022-09-29
作者:
王伟伟 ,任敏子 ,尹铁梅 ,李刚 ,刘建荣
展开更多 '%20fill='white'%20fill-opacity='0.01'/%3e%3cmask%20id='mask0_3477_29692'%20style='mask-type:luminance'%20maskUnits='userSpaceOnUse'%20x='0'%20y='0'%20width='16'%20height='16'%3e%3crect%20id='&%23232;&%23146;&%23153;&%23231;&%23137;&%23136;_2'%20x='16'%20width='16'%20height='16'%20transform='rotate(90%2016%200)'%20fill='white'/%3e%3c/mask%3e%3cg%20mask='url(%23mask0_3477_29692)'%3e%3cpath%20id='&%23232;&%23183;&%23175;&%23229;&%23190;&%23132;'%20d='M14%205L8%2011L2%205'%20stroke='%23333333'%20stroke-width='1.5'%20stroke-linecap='round'%20stroke-linejoin='round'/%3e%3c/g%3e%3c/g%3e%3c/svg%3e)
关键词
青光眼
剥脱综合征
房角
摘要
剥脱性青光眼是剥脱综合征继发的一类青光眼,临床上少见。本文报告2例患者,患眼瞳孔缘可见灰白色碎屑样物质沉积,散大瞳孔后可见晶状体前囊周边部混浊带,房角镜下可见Sampaolesi线。认识其临床特征,将有助于提高其诊治率。
全文
剥脱综合征(exfoliation syndrome,XFS)是一种以纤维样细胞外物质在眼部及全身多种组织中沉积为特征的年龄相关性疾病。XFS患者中约22%~50%会出现青光眼,我们把这一类继发性青光眼称之为剥脱性青光眼(exfoliation glaucoma,XFG),临床上较为少见。这类青光眼大多数房角开放,部分患者由于悬韧带异常晶状体前移导致房角关闭。本文报告2例患者如下。
1 临床资料
1.1 病例 1
患者,男,60岁,因右眼胀痛伴视力下降4个月,于西安市第四医院眼科就诊。眼部检查:右眼视力0.5,左眼视力0.8,右眼眼压50.3 mmHg(1 mmHg=0.133 kPa),左眼眼压14.6 mmHg。右眼结膜轻度充血,角膜未见水肿,角膜后沉着物(-),前房深度正常,房水闪辉(+),虹膜纹理清晰,瞳孔圆,直径约4 mm,对光反射迟钝,瞳孔缘可见灰白色碎屑样物质沉积(图 1),晶状体轻度混浊,散大瞳孔后可见晶状体前囊周边部环状灰白色颗粒混浊带(图 2),眼底视盘边界清,色淡白,杯盘比(C/D)约0.8,视网膜平伏,黄斑中心凹反光不清。左眼检查未见明显异常。患者既往体健。房角镜检查:双眼宽角,右眼房角可见较多大小不等色素颗粒沉着,跨越Schwalbe线,形成Sampaolesi线,色素III级,左眼色素I~II级(图 3)。Humphrey视野:右眼管状视野,左眼未见异常(图 4)。光学相干断层扫描(optical coherence tomography,OCT)检查:右眼视盘周围视网膜视神经纤维层厚度明显变薄(图 5)。诊断:1 )右眼剥脱性青光眼,2 )双眼年龄相关性白内障。给予右眼溴莫尼定滴眼液3次/ d、布林佐胺滴眼液3次/ d、噻吗洛尔滴眼液2次/ d联合甘露醇注射液静脉滴注降眼压治疗,完善术前检查排除手术禁忌证后,局部麻醉下行右眼复合式小梁切除术。术后第1天右眼视力0.4,眼压11.5 mmHg,上方结膜滤过泡隆起弥散,角膜透明,角膜后沉着物(-),前房中深,房水闪辉(+),瞳孔圆,直径4 mm,对光反射迟钝,瞳孔缘可见灰白色碎屑,虹膜周切口通畅,晶状体轻度混浊,眼底检查同前。术后1周右眼视力0.5,眼压15.8 mmHg;术后3个月,右眼视力0.5,眼压波动于15~18 mmHg,应用噻吗洛尔滴眼液,眼压波动于10~12 mmHg,滤过泡平坦,余检查大致同前。

图1 病例1:散瞳前可见瞳孔缘灰白色碎屑样物质沉积
Figure 1 Case 1: deposits of white material on the pupillary border of the iris before pupillary dilation

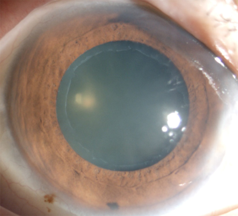
图2 病例1:散瞳后可见晶状体前囊周边部环状灰白色颗粒样混浊带
Figure 2 Case 1: deposits of white material as a granular peripheral zone on the anterior lens surface after pupillary dilation

图3 病例1的房角镜下图像
Figure 3 Gonioscopic image of case 1
房角呈宽角,小梁网上较多色素沉着,部分色素越过Schwalble线,形成Sampaolesi线(箭头)。
Angle of the chamber is wide, and there is a lot of pigmentation in the trabecular meshwork; part of the pigmentation crosses the Schwalble line and forms the Sampaolesi line (arrows).

图4 Humphrey视野(例1):右眼管状视野
Figure 4 Humphrey Perimeter (Case 1): tubular visual field in the right eye

图5 OCT(例1):右眼视盘周围视网膜视神经纤维层厚度明显变薄
Figure 5 OCT (Case 1): thickness of peripapillary retinal nerve fiber layer decrease in the right eye
1.2 病例 2
患者,女,61岁,因右眼视力下降、胀痛反复发作6个月,于西安市第四医院眼科就诊。眼部检查:右眼视力0.6,左眼视力0.4,右眼眼压31 mmHg,左眼眼压13 mmHg。右眼结膜轻度充血,角膜透明,角膜后沉着物(-),前房深度正常,房水闪辉(-),瞳孔圆,直径约4 mm,对光反射略迟钝,瞳孔缘可见灰白色碎屑样沉着物(图6) ,晶状体皮质轻度混浊,散大瞳孔后可见晶状体前囊周边部锯齿状颗粒样物质沉积(图7) 。眼底:视网膜平伏,视盘边界清晰,色淡白,杯盘比为0.8。左眼检查未见明显异常(图6)。既往患高血压病30余年、糖尿病10余年,口服药物控制血压、血糖稳定。房角镜检查:双眼宽角,右眼色素III~IV级,可见Sampaolesi线(图8),左眼色素II级。Humphrey视野:右眼管状视野(图9)。OCT检查:右眼视盘周围视网膜神经纤维层厚度明显变薄(图10)。诊断:1 )右眼剥脱性青光眼,2 )高血压病,3)2型糖尿病。治疗:给予右眼噻吗洛尔滴眼液2次/ d、溴莫尼定滴眼液3次/ d、布林佐胺滴眼液3次/ d降眼压治疗,完善术前检查后,在局部浸润麻醉下行右眼复合式小梁切除术。术后第1天,右眼视力0.6,眼 压7.0 mmHg,右眼结膜轻度充血,上方滤过泡隆起弥散,角膜透明,角膜后沉着物(+), 前房深度正常,上方虹膜周切口通畅,瞳孔圆,直径约4 mm,对光反应迟钝,瞳孔缘可见灰白色碎屑样沉着物,晶状体皮质轻度混浊,眼底检查同前。随访至术后半年,患者眼压波动于10.2~13.2 mmHg。

图6 病例2散瞳前图像
Figure 6 Images before pupillary dilation of case 2
(A)右眼瞳孔直径4 mm,瞳孔缘可见灰白色碎屑样沉着物;(B)左眼瞳孔直径3 mm。
(A) Pupil diameter 4 mm, and deposits of white material on the pupillary border of the iris on the right eye; (B) Pupil diameter 3 mm of the left eye.

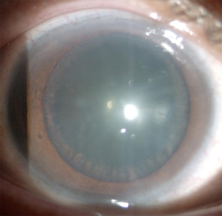
图7 病例2:散瞳后晶状体前囊周边部锯齿状颗粒样物质沉积
Figure 7 Case 2: deposits of material as a granular peripheral zone on the anterior lens surface after pupillary dilation

图8 病例2的房角镜下图像
Figure 8 Gonioscopic image of case 2
房角为宽角,小梁网上较多色素沉着,可见Sampaolesi线 (箭头)。
Angle of the chamber is wide, and there is a lot of pigmentation on the trabecular meshwork, and the Sampaolesi line (arrow) can be seen.
图9 Humphrey视野(例2):右眼管状视野
Figure 9 Humphrey Perimeter (Case 2): tubular visual field in the right eye

图10 OCT(Case 2):右眼视盘周围视网膜视神经纤维层厚度明显变薄
Figure 10 OCT (Case 2): thickness of peripapillary retinal nerve fiber layer decline in the right eye
2 讨论
研究[1]表明:XFS发病与基底膜损伤、自身免疫功能紊乱以及遗传因素相关,但确切的发生机制至今尚未明确。XFS多见于白种人,在黑种人及黄种人中较为罕见[2]。XFS好发于中老年人,40岁以下发病者较罕见。研究[3]表明:XFS的发病率与年龄增长具有明显的相关性,60岁人群的发病率小于1%,60岁以上人群的发病率可达10%~20%。XFS发病具有家族遗传性,目前研究[4]证明与LOXL1和CACNA1A基因有关。剥脱物质除来源于晶状体囊外,还来源于睫状体、小梁网、虹膜、结膜血管等组织。此病由异常的细胞合成异常的基底膜,从而产生剥脱物质随房水循环至眼部各组织[5]。
剥脱物质和色素颗粒阻塞小梁网和Schlemn管,房水流出阻力增加,这是XFG眼压升高的主要原因[6]。房角镜下可见小梁网不均匀色素颗粒沉积,色素可跨越Schwalbe线,形成波形砂粒状色素沉着,称为Sampaolesi线,是XFG的重要特征。若患者既往瞳孔缘无灰白色碎屑和其他剥脱征象,只要见到此线即提示XFS。由于XFS筛板结构和功能障碍,对于高眼压的耐受性下降,因此XFG患者视神经的损害往往比原发性开角型青光眼要重[6-7]。XFS患者悬韧带变性、松弛,晶状体前移,房角关闭,可导致继发性闭角型青光眼。
XFG双眼发病时间和程度可以不对称,双眼发病者的年龄比单眼患者高,在所有单眼患者的对侧眼球结膜中均可发现剥脱样纤维物质存在。灰白色头皮屑样剥脱物质可沉积在瞳孔缘、晶状体前囊、角膜内皮、虹膜、前房角、睫状体带和玻璃体前界膜等处[6]。虹膜改变是本病早期易于发现的体征,32%~39%的患眼中可见到瞳孔缘头皮屑样剥脱物质沉着。晶状体前囊剥脱物质分布典型者表现为3个区域:1)中央盘(瞳孔区),为半透明绒毛状的中央盘形,出现率为80%,散瞳后尤为明显,可暴露盘形区的边缘部,呈薄片状;2 )中间透明带,位于中央盘形区与周边颗粒带之间,因剥脱物质被虹膜活动擦除而保持透明;3 )周边颗粒带,呈锯齿状或花边样灰白色颗粒样混浊环带,为本病的主要诊断依据。小梁网色素沉着增多早于瞳孔缘或晶状体前囊剥脱物质的出现。
本文报告的2例患者右眼瞳孔缘均可见典型灰白色碎屑样物质沉着,散瞳检查发现晶状体前囊周边颗粒带,房角镜检查小梁网广泛不均匀色素沉积,可见Sampaolesi线,患者眼压高,管状视野,故XFG诊断明确。治疗主要有药物、激光和手术。药物治疗同原发性开角型青光眼,但药物治疗效果相对较差[7]。散瞳可加重剥脱物质的数量及剥脱物质进入房角阻塞小梁网,所以慎用散瞳剂。氩激光小梁成形术早期降眼压效果理想,但术后炎症反应重,降眼压效果随时间逐渐下降,3~6年内降至35%~55%,远期效果较原发性开角型青光眼差。对于闭角型XFG患者,由于悬韧带异常晶状体前移,治疗上以摘除晶状体为主。XFG患者就诊时眼底及视野损害均较重,对降眼压药物反应差,病程进展快,多数患者需手术干预。本文2例患者就诊时已是晚期青光眼,眼压高,管状视野,因此选择手术治疗。
XFG需与真性囊膜剥脱综合征和色素性青光眼鉴别。真性囊膜剥脱综合征XFS和XFG在名称上容易混淆,临床体征完全不同,常有外伤、严重的色素膜炎或暴露在高温环境中的病史,眼部检查可见起自晶状体前囊膜的透明卷曲的囊膜,其游离缘漂浮于房水。色素性青光眼是伴有色素播散的一种开角型青光眼,色素播散到角膜、虹膜、前房角、晶状体悬韧带,在角膜后壁呈垂直纺锤形,即Krukenberg梭,是色素性青光眼的典型特征。此外,色素性青光眼房角色素颗粒均匀,无Sampaolesi线。认识XFG的典型体征和表现,做到早期诊断、合理治疗,对于保护患者的视功能和减少青光眼手术的并发症具有重要意义。
基金
1. 国家自然科学基金 (81500719);陕西省创新人才推进计划 (2018KJXX-091)。This work was supported by the National Natural Science Foundation (81500719) and Shaanxi Provincial Innovation Talents Promotion Plan (2018KJXX-091), China.
参考文献
1. Ghaffari Sharaf M, Damji KF, Unsworth LD. Recent advances in risk factors associated with ocular exfoliation syndrome[ J]. Acta Ophthalmol, 2020, 98(2): 113-120.
2. Dubey SK, Hejtmancik JF, Krishnadas SR, et al. Lysyl oxidase-like 1 gene in the reversal of promoter risk allele in pseudoexfoliation syndrome[ J]. JAMA Ophthalmol, 2014, 132(8): 949-955
3. Ye H , Jiang Y, Jing Q, etal . LOXL 1 hyper methylation in pseudoexfoliation syndrome in the uighur population[ J]. Invest Ophthalmol Vis Sci, 2015, 56(10): 5838-5843
4. Aung T, Ozaki M, Mizoguchi T, et al. A common variant mapping to CACNA1A is associated with susceptibility to exfoliation syndrome[ J]. Nat Genet, 2015, 47(4): 387-392
5. Ritch R. Ocular findings in exfoliation syndrome[ J]. J Glaucoma, 2018, 27(Suppl 1): S67-S71
6. Ozaki M. Mechanisms of glaucoma in exfoliation syndrome[ J]. J Glaucoma, 2018, 27(Suppl 1): S83-S86
7. Ritch R . Ocular and systemic manifestations of ex foliation syndrome[ J]. J Glaucoma, 2014, 23(8 Suppl 1): S1-S8