返回

睫状体无色素上皮腺瘤1例及文献复习

阅读量:7893
DOI:10.3978/j.issn.1000-4432.2022.11.21
发布日期:2023-01-06
作者:
孙涛 ,唐雪峰
展开更多

关键词

睫状体无色素上皮腺瘤
无色素上皮细胞
腺瘤
临床病理特征
鉴别诊断

摘要

报道1例睫状体无色素上皮腺瘤(adenoma of nonpigmented ciliary epithelium,ANPCE)并进行相关文献复习。患者主要症状为左眼视力逐渐下降3个月,视物不清半个月。经眼部检查及左眼超声生物显微镜(ultrasound biomicroscopy,UBM)检查显示左眼虹膜周边隆起,边界清晰。予虹膜睫状体肿物切除术并行常规病理检查:光镜下肿瘤组织由分化好的上皮细胞组成,排列成腺泡状及条索状,细胞间可见红染无结构的基底膜样物;免疫组织化学表达:S-100(+)、Vimentin(+)、EMA(+)、CKpan(+)、Melan-A(+);最终病理诊断ANPCE。手术后截至随访日期,术后3个月无疾病进展。

全文

    睫状体无色素上皮腺瘤(adenoma of nonpigmented ciliary epithelium,ANPCE)是一种起源于睫状体无色素上皮层的良性增生而形成的后天获得性肿瘤,罕见。自Shields等[1]于1983年第1次报告至今,全球文献报道不足5 0例[2]。为了提高对ANPCE的认识,本文现报道1例ANPCE,并结合文献总结学习该肿瘤的临床病理学特征、免疫表型及诊断要点。

1 临床资料

    患者男,60岁,主要表现为左眼视力逐渐下降3个月,视物不清半个月。3个月前患者无明显诱因出现左眼视力逐渐下降,无眼红、眼痛、眼胀,无畏光、流泪,无虹视、视物变形、视物重影等不适,未予治疗。半月前患者自觉视力下降明显,视物不清,于“爱尔麦格眼科医院”就诊,行眼部检查后未处理,后患者就诊于“爱尔眼科医院”以“左眼虹膜肿物”收住入院治疗。患者视力:右眼裸眼:1.0,矫正视力:+0.50DS/?0.50DC×80°→1.0;左眼裸眼:手动/20 cm,矫正视力:矫正无助;眼
压:右眼非接触眼压计(non-contact tonometer,NCT)17 mmHg(1 mmHg=0.133 kPa),左眼NCT 16 mmHg。右眼:眼睑起闭自如,角膜透明,上皮光滑,KP(?),中央前房深度正常,周边前房>1/2角膜厚度(corneal thickness,CT),房水清,虹膜纹理清晰,无前后粘连,瞳孔圆,居中,直径约3 mm;左眼:眼睑启闭自如,未见内外翻,未见倒睫、结膜充血、水肿;巩膜无黄染、压痛或结节,角膜透明,上皮光滑,KP(?),中央前房深度正常,周边前房>1/2CT,房水清,6点处见虹膜周
边隆起,散瞳后可见粘连晶状体,前节照相无法穿过,直接间接对光反射灵敏,晶状体混浊(C5,图1 ),玻璃体窥不进,眼底窥不进。左眼B超显示左眼晶状体回声增强,玻璃体腔内可见点状絮状弱回声(图2)。左眼超声生物显微镜(ultrasound
biomicroscopy,UBM)显示虹膜根部向前膨隆与角巩膜缘相贴,局部方向虹膜后见中等回声隆起(图3 )。临床诊断:左眼虹膜睫状体肿物,左眼并发性白内障。于2021年12月23日行“虹膜睫状体肿物切除术,左眼白内障超声乳化抽吸术”,术中左眼6点位睫状体部可见大小约3 mm灰黄圆形隆起,表面光滑,部分与晶状体轻微粘连,易剥离。手术中切除的肿瘤组织(图4)行常规病理检查:苏木精-伊红(hematoxylin-eosin,HE)染色可见肿瘤低倍镜为边界清楚的结节状,细胞呈腺腔样排列,部分为条索状,瘤细胞细胞质嗜酸性,淡染,未见色素颗粒(图5);部分间质黏液样变性,瘤细胞间见均匀红染的基底膜样物(图6)。高倍镜下瘤细胞胞核呈圆形或卵圆形,染色质分布均匀,偶可见小核仁,未见核分裂。过碘酸雪夫(periodic acid-SchiffPAS)染色瘤细胞间基底膜样物为阳性( 图 7 ) 。免疫表型:肿瘤细胞表达 S-100 、Vimentin、CK8/18、EMA、CKpan、Melan-A,Ki-67标记指数为5%,而GFAP、CEA、P63、HMB-45均为阴性(图8~10)。病理诊断:左眼ANPCE。手术后查体:右眼远视力1.0,左眼远视力0.06;右眼矫正视力:+0.5ODS→1.0,左眼矫正视力:矫正无助;右眼眼压:13 mmHg,左眼眼压:6 mmHg;术眼结膜充血水肿(++),角膜后弾力层褶皱明显减轻,前房深度可,瞳孔竖椭圆形,直接对光反射消失,晶体缺如。截至随访日期,术后3个月无疾病进展。

图1 前节照相无法穿过,晶状体混浊(C5)
Figure 1 The front segment cannot be practicable, lens opaqueness (C5)

20230106095857_3608.jpg

20230106095934_5071.jpg

图2 左眼B超影像显示左眼晶状体回声增强,玻璃体腔内可见点状絮状弱回声
Figure 2 B-ultrasound images of the left eye show enhanced lens echo in the left eye, dotted flocculent weak echo in the vitreous cavity

20230106100057_1035.jpg

图3 左眼UBM显示虹膜根部向前膨隆与角巩膜缘相贴,局部方向虹膜后见中等回声隆起大小3.77 mm × 3.29 mm
Figure 3 UBM of the left eye had an anterior bulge in the iris root attached to the angular scleral rim, and a moderate echo bulge of 3.77 mm × 3.29 mm was observed following the local direction of the iris


20230106100150_4529.jpg

图4 切除肿瘤大体:灰黄色,结节状,表面光滑
Figure 4 Raw excised tumor: gray yellow, nodular, smooth surface

20230106100252_7079.jpg
图5 低倍镜下细胞呈腺腔样排列,未见色素颗粒(HE,×100)
Figure 5 The tumor cells are arranged in glandular luminal and no pigment granules were seen (HE, ×100)
20230106100400_4640.jpg

图6 瘤体细胞细胞质嗜酸性,淡染,核分裂不易见,瘤细胞间见均匀红染的基底膜样物(HE,×200)
Figure 6 The tumor cell cytoplasm is eosinophilic, pale, nuclear division is not readily visible, and uniform samples of red-stained basal membrane are visible between the tumor cells (HE, ×200)

20230106100605_4778.jpg

图7 基底膜样物PAS染色阳性(×100)
Figure 7 Basal membrane-like staining was positive for PAS (×100)

20230106100718_8426.jpg

图8 瘤细胞未表达HMB-45(IHC SP法,×400)
Figure 8 HMB-45 was not expressed in the tumor cells (IHCSP method, ×400)
IHC SP, 免疫组织化学链霉菌抗生物素蛋白-过氧化物酶连结。
IHC SP, immunohistochemistry streptavidin-perosidase.

20230106100827_5905.jpg

图9 瘤细胞表达Melan-A(IHC SP法,×100)
Figure 9 Tumor cells expressing Melan-A (IHC SP method, ×100)
IHC SP, 免疫组织化学链霉菌抗生物素蛋白-过氧化物酶连结。
IHC SP, immunohistochemistry streptavidin-perosidase.

20230106100950_1821.jpg

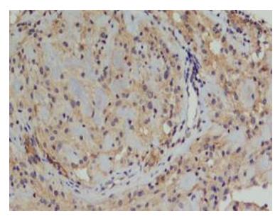
图10 瘤细胞表达(IHC SP法,×400)
Figure 10 Tumor cells expressing (IHC SP method, ×400)
IHC SP, 免疫组织化学链霉菌抗生物素蛋白-过氧化物酶连结。
IHC SP, immunohistochemistry streptavidin-perosidase.

2 讨论

    ANPCE是一种来源于睫状体无色素上皮层肿瘤,由于睫状体的解剖位置隐匿于虹膜后,临床上很难检查并早期发现其占位性病变,往往不能明确诊断,比较依赖组织学病理活检。睫状体上皮层一共分为2层细胞:又称为视网膜睫状体部,由外向内为色素上皮层及无色素上皮层,胚胎时期色素上皮层起源于视杯外层细胞,为视网膜色素上皮层的延续,无色素上皮层起源于视杯内层细胞系视网膜神经上皮层的延续,因此睫状体无色素上皮又称为睫状神经上皮。而在临床上由睫状体无色素上皮发生的肿瘤少见,结合文献总结学习ANPCE的临床、病理及免疫表型特征、诊断及鉴别诊断。复习文献及本文报道的ANPCE患者共4 7例,表1为总结该肿瘤的临床特点。有相对完整资料的患者共3 0例,年龄24~79岁(平 均40.20岁);90%(27/30)
发病年龄在3 0岁以上。文献报道可统计数据:男1 8例,女1 8例,共计3 6例,男:女= 1 : 1;所有患者均为单眼发病,其中右眼2 1例,左眼1 5例 ,右 眼:左 眼=1.4 : 1。临床表现多为视力进行性下降,无其他眼部不适,仅部分患者因眼部炎症或
继发青光眼时可出现眼胀、眼痛等症状。肿瘤初期因体积较小通常无任何临床症状,多数患者因肿瘤长大引起压迫症状或出现并发性白内障引起视力下降就诊,部分肿瘤患者可出现视网膜脱落,临床上常常因无法确定肿瘤发生的确切部位和实际大小而引起漏诊、误诊。对于肿瘤累及范围较小,未引起视网膜脱离的肿瘤可以采用板层巩膜睫状体肿瘤切除术,不仅可以保留患眼,并且可以挽救视力。对于累及范围广,或者患眼已经丧失视功能且持续性高眼压无法用药物控制者,则可考虑眼球摘除术[2]

表1 ANPCE的临床特征
Table 1 Clinical features of ANPCE

20230106101227_7703.jpg

续表1

20230106103754_6740.jpg
    文献[19]报道大部分病理与周围组织界限清楚,仅有1例表面不光滑,本例光滑边界清晰。ANPCE多为圆形或卵圆形,颜色为白色、灰白色或灰黄色实性肿物,个别病例可见灰褐色或棕色[21],其原因为肿瘤组织刺激睫色素上皮层反应性增生;组织学上ANPCE边界清晰,瘤细胞由分化较好的立方状或低柱状上皮构成,细胞内无黑色素,可排列成小腺管或者条索状,瘤细胞间为疏松的纤维组织,可见均匀红染的基底膜样物质,其PAS染色呈阳性;细胞核小,呈圆形、卵圆形,核仁不明显,低增殖活性,Ki-67通常小于10%[14]。免疫表型:肿瘤细胞表达S-100、Vimentin、NSE、EMA、C K,不表达HMB-45、CEA、P63。文献中报道部分病例表达Melan-A[14]、Desmin[3]、P53[7]、GFAP[26]。本例为Melan-A阳性病例。
    
睫状体无色素上皮发生的肿瘤可分为先天性和获得性2种,其中先天性肿瘤叫做睫状体髓上皮瘤,其起源于原始髓上皮(视杯内层细胞),而ANPCE为获得性肿瘤,其起源于成熟后的睫状体无色素上皮层,由睫状体的无色素上皮层增生形成。因睫状体无色素上皮层在胚胎发育时期,起源于原始髓上皮组织,它与神经视网膜层相延续,即原始神经上皮组织,因此细胞可以表达相关的神经免疫标志物S-100、NSE等。在病理诊断 中ANPCE需要与睫状体无色素上皮腺癌、黑色素瘤、睫状体色素上皮腺瘤、Fuchs腺瘤等进行鉴别:1 )睫状体无色素上皮腺癌。临床上难以与ANPCE进行鉴别,需病理活检才能确诊;组织学形态上睫状体无色上皮腺癌通常呈浸润性生长,极易侵犯周围组织,排列杂乱,肿瘤细胞多形性,异型较明显,核仁及核分裂易见[21], 与ANPCE相比虽然二者免疫表型相同,但睫状体无色素上皮腺癌Ki-67指数明显升高加上生长方式、组织形态与细胞学特征二者可相互鉴别。2 )黑色素瘤。睫状体部黑色素瘤其发生部位通常为睫状体基质中的黑色素细胞,大体多为睫状体区半球形、近似球形的棕色或棕黑色实性肿物,黑色素瘤形态上分为梭形细胞型、上皮细胞型和混合型,细胞异型明显,镜下细胞细胞质内可见黑色素颗粒[4],若为无色素性黑色素瘤,在诊断困难时可行免疫标记进行鉴别,鉴于黑色素瘤和ANPCE都可能S-100蛋白、NSE和Melan-A阳性,免疫组织化学鉴别诊断应依靠HMB-45而不是Melan-A[14]3 )睫状体色素上皮腺瘤。其发生于睫状体色素上皮层细胞,临床表现为暗棕色或深黑色圆球形隆起,形态学上细胞为低柱状或立方状,无明显异型,呈腺管状、条索状或小片状排列,细胞内可见粗大的黑色素颗粒,脱色素处理后,细胞质内可见界限清楚的空泡,胞核常被挤到细胞质的一侧。免疫标记与ANPCE极为相似,鉴别诊断主要依靠组织学形态。4)Fuchs腺瘤。常无临床症状,因尸检或其他疾病检查时偶然发现[27],大体上为白色小凸起直径较小,为0.5~2 mm,组织学特点为无色素上皮细胞不规则条索状增生。

开放获取声明

    本文适用于知识共享许可协议 (Creative Commons),允许第三方用户按照署名(BY)-非商业性使用(NC)-禁止演绎(ND)(CC BY-NC-ND)的方式共享,即允许第三方对本刊发表的文章进行复制、发行、展览、表演、放映、广播或通过信息网络向公众传播,但在这些过程中必须保留作者署名、仅限于非商业性目的、不得进行演绎创作。详情请访问:https://creativecommons.org/licenses/by-nc-nd/4.0/

基金

1. 重庆市自然科学基金面上项目 (cstc2019jcyj-msxmX0447)。This work was supported by the General Project of Chongqing Natural Science Foundation, China (cstc2019jcyj-msxmX0447)

参考文献

1. Nagarkatti-Gude N, Li Y, Huang D, et al. Optical coherence tomography angiography of a pigmented Fuchs’ adenoma (age-related hyperplasia of the nonpigmented ciliary body epithelium) masquerading as a ciliary body melanoma[ J]. Am J Ophthalmol Case Rep, 2018, 9: 72-74.
2. Bae JH, Kwon JE, Yang WI, et al. Adenoma of the nonpigmented ciliary epithelium presenting with recurrent iridocyclitis: unique expression of glial fibrillary acidic protein[ J]. Graefes Arch Clin Exp Ophthalmol, 2011, 249(11): 1747-1749.
3. Grossniklaus HE, Lim JI. Adenoma of the nonpigmented ciliary epithelium[ J]. Retina, 1994, 14(5): 452-456.
4. Shields JA, Eagle RC Jr, Shields CL. Adenoma of nonpigmented ciliary epithelium with smooth muscle differentiation[ J]. Arch Ophthalmol, 1999, 117(1): 117-119.
5. Cursiefen C, Schl?tzer-Schrehardt U, Holbach LM, et al. Adenoma of the nonpigmented ciliary epithelium mimicking a malignant melanoma of the iris[ J]. Arch Ophthalmol, 1999, 117(1): 113-116.
6. 李彬, 孙宪丽, 郑邦和, 等. 睫状体无色素上皮腺瘤临床特征及组 织病理学研究[ J]. 眼科, 2000, 9(3): 154-157.
LI B, SUN XL, ZHENG BH, et al. The analysis and study on clinical feature and histopathology of nonpigmented epithelium adenoma of ciliary body[ J]. Ophthalmology in China, 2000, 9(3): 154-157.
7. 毕颖文, 陈荣家. 60例睫状体占位性病变的临床病理统计分 析[ J]. 中国实用眼科杂志, 2005, 23(10): 1020-1024.
BI YW, CHEN RJ. Clinical and pathological analysis of 60 cases of ciliary body occupation[ J]. Chinese Journal of Practical Ophthalmology, 2005, 23(10): 1020-1024.
8. Suzuki J, Goto H, Usui M. Adenoma arising from nonpigmented ciliary epithelium concomitant with neovascularization of the optic disk and cystoid macular edema[ J]. Am J Ophthalmol, 2005, 139(1): 188-190.
9. 周燕, 陈芝清. 睫状体无色素上皮腺瘤手术切除一例[ J]. 中华眼 外伤职业眼病杂志, 2005, 27(12): 952-953.
ZHOU Y, CHEN ZQ. One surgical resection of unpigmented epithelial adenoma[ J]. Chinese Journal of Ocular Trauma and Occupational Eye Disease, 2005, 27(12): 952-953.
10. Elizalde J, Ubia S, Barraquer RI. Adenoma of the nonpigmented ciliary epithelium[ J]. Eur J Ophthalmol, 2006, 16(4): 630-633.
11. 钱江, 袁一飞, 陈荣家, 等. 睫状体肿瘤的临床病理分析[ J]. 眼视 光学杂志, 2007, 9(4): 261-264.
QIAN J, YUAN YF, CHEN RJ, et al. Clinical pathology of ciliary body tumors: a retrospective study of 17 cases[ J]. Chinese Journal of Optometry & Ophthalmology, 2007, 9(4): 261-264.
12. Chen ZQ, Fang XY. Adenoma of nonpigmented epithelium in ciliary body: literature review and case report[ J]. J Zhejiang Univ Sci B, 2007, 8(9): 612-615.
13. Appolloni R , Modesti M, Pecorella I, et al. Uncommon cause of juvenile cataract: adenoma of the nonpigmented ciliary epithelium[ J]. J Cataract Refract Surg, 2008, 34(11): 1997-2001.
14. Pecorella I, Ciocci L, Modesti M, et al. Adenoma of the nonpigmented ciliary epithelium: a rare intraocular tumor with unusual immunohistochemical findings[ J]. Pathol Res Pract, 2009, 205(12): 870-875.
15. 齐冬梅, 何为民, 罗清礼. 睫状体占位病变23例临床病理分析[ J]. 中国实用眼科杂志, 2009, 27(10): 1166-1168.
QI DM, HE WM, LUO QL. Clinical and pathological analysis of 23 cases of ciliary body occupation[ J]. Chinese Journal of Practical Ophthalmology, 2009, 27(10): 1166-1168.
16. 蒋永强, 齐冬梅, 陆方, 等. 睫状体无色素上皮腺瘤一例[ J]. 中华 眼底病杂志, 2010, 26(1): 84-86.
JIANG YQ , QI DM, LU F , et al. One case of unpigmented epithelial adenoma of the ciliary body[ J]. Chinese Journal of Ocular Fundus Diseases, 2010, 26(1): 84-86.
17. 苏志涛, 尚利娜, 陈祥义, 等. 睫状体无色素上皮腺瘤一例[ J]. 中 华眼科杂志, 2011, 47(8): 748-749.
SU ZT, SHANG LN, CHEN XY, et al. One case of unpigmented epithelial adenoma of the ciliary body[ J]. Chinese Journal of Ophthalmology, 2011, 47(8): 748-749.
18. 李赟, 殷丽, 谢田华, 等. 睫状体无色素上皮腺瘤一例[ J]. 中国实 用眼科杂志, 2013, 31(7): 941-942.
LI Yun, YIN Li, XIE Tianhua, et al. One case of unpigmented epithelial adenoma of the ciliary body[ J]. Chinese Journal of Practical Ophthalmology, 2013, 31(7): 941-942.
19. Takahashi Y, Takahashi E, Goto H, et al. Adenoma of the nonpigmented ciliary epithelium in the phthisic eye[ J]. Orbit, 2013, 32(3): 184-186.
20. 刘显勇, 张平, 李永平, 等. 睫状体无色素上皮腺瘤诊治分析[ J]. 中国实用眼科杂志, 2015, 33(5): 547-551.
LIU XY, ZHANG P, LI YP, et al. Adenoma of the nonpigmented ciliary epithelium: an analysis of 5 cases[ J]. Chinese Journal of Practical Ophthalmology, 2015, 33(5): 547-551.
21. 李静, 葛心, 马建民. 睫状体无色素上皮腺瘤误诊黑色素瘤一 例[ J]. 中国医师杂志, 2015, 17(5): 781-782.
LI J, GE X, MA JM. Misdiagnosis of melanoma in ciliary unpigmented epithelial adenoma[ J]. Journal of Chinese Physician, 2015, 17(5): 781-782.
22. Ishiahara K, Hashida N, Asao K, et al. Rare histological type of adenoma of the nonpigmented ciliary epithelium[ J]. Case Rep Ophthalmol, 2019, 10(1): 75-80.
23. 赵云, 郭金喜, 魏炜, 等. 睫状体无色素上皮腺瘤一例[ J]. 眼科, 2020, 29(6): 482-483.
ZHAO Y, GUO JX, WEI W, et al. One case of unpigmented epithelial adenoma of the ciliary body[ J]. Ophthalmology in China, 2020, 29(6): 482-483.
24. 杨亚丽, 周虹, 赵霓姗, 等. 睫状体肿瘤18例临床病理分析[ J]. 临 床与实验病理学杂志, 2021, 37(2): 172-176.
YANG YL, ZHOU H , ZHAO NS, et al. Clinical and pathological analysis of 18 cases of primary ciliary body occupation[ J]. Chinese Journal of Clinical and Experimental Pathology, 2021, 37(2): 172-176.
25. 杨洁, 石慧君, 刘立民, 等. 睫状体无色素上皮腺瘤伴发葡萄膜炎 1例[ J]. 中国中医眼科杂志, 2021, 31(11): 815-817.
YANG J, SHI HJ, LIU LM, et al. One case of ciliar y unpigmented epithelial adenoma associated with uveitis[ J]. China Journal of Chinese Ophthalmology, 2021, 31(11): 815-817.
26. 胡蓉, 张科, 朱小华, 等. 睫状体无色素上皮腺瘤1例[ J]. 临床与 病理杂志, 2021, 41(5): 1213-1219.
HU R, ZHANG K, ZHU XH, et al. A case of adenoma of nonpigmented ciliary epithelium[ J]. Journal of Clinical and Pathological Research, 2021, 41(5): 1213-1219.
27. Shields JA , Augsburger JJ, Wallar PH, et al. Adenoma of the nonpigmented epithelium of the ciliary body[ J]. Ophthalmology, 1983, 90(12): 1528-1530.

相关文章