源自视神经的畸胎性恶性髓上皮瘤一例
阅读量:2603
发布日期:2024-11-14
作者:
周立军 ,孟永 ,杨华胜 ,李永平 ,颜建华 ,张文忻 ,郑健樑 ,林健贤 ,张平
展开更多 '%20fill='white'%20fill-opacity='0.01'/%3e%3cmask%20id='mask0_3477_29692'%20style='mask-type:luminance'%20maskUnits='userSpaceOnUse'%20x='0'%20y='0'%20width='16'%20height='16'%3e%3crect%20id='&%23232;&%23146;&%23153;&%23231;&%23137;&%23136;_2'%20x='16'%20width='16'%20height='16'%20transform='rotate(90%2016%200)'%20fill='white'/%3e%3c/mask%3e%3cg%20mask='url(%23mask0_3477_29692)'%3e%3cpath%20id='&%23232;&%23183;&%23175;&%23229;&%23190;&%23132;'%20d='M14%205L8%2011L2%205'%20stroke='%23333333'%20stroke-width='1.5'%20stroke-linecap='round'%20stroke-linejoin='round'/%3e%3c/g%3e%3c/g%3e%3c/svg%3e)
关键词
髓上皮瘤
视神经
病理诊断
摘要
髓上皮瘤是源自神经系统的一种少见的恶性肿瘤,多发生在中枢神经系统和睫状体,而源自视神经的恶性髓上皮瘤则很少见,国内尚未有病例报道。此病早期类似胶质瘤,易造成误诊。本文报道了 1 例 3 岁 10 个月的男性患儿,经部分肿物切除活检发现肿瘤具有典型恶性髓上皮瘤的病理特点, 部分瘤细胞向软骨细胞分化,并逐渐形成透明软骨岛,NSE 及 S-100 表达阳性,病理诊断为源自视神经的畸胎性恶性髓上皮瘤。
全文
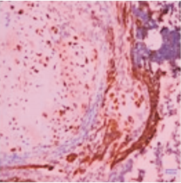
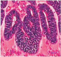
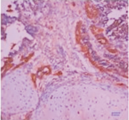
患者男性,3 岁 10 个月。因右眼突出 2 个月来我院就诊。体检:右眼视力可疑光感,眼球运动受限,向前下方明显突出,结膜高度充血水肿,角膜透明,瞳孔直径 3 mm,直接对光反射迟钝。眼底检查示右眼视乳头水肿,边界不清。超声和CT扫描示右眼球后见一约 27.7 x 24.5 mm的不规则肿物,已累及内直肌、上直肌和上斜肌,眶内侧壁受压变形,眶尖部扩大。左眼及全身检查未见异常。为明确肿瘤性质,给病人做了部分肿物切除活检。 病理检查:巨检见肿物 8 × 7 × 7 mm,无包膜,肿物切面质地中等,浅黄褐色,见出血灶并有许多灰白色质韧结节。镜检示部分瘤细胞呈片状排列,细胞椭圆形、短梭形,胞浆较少,核较大,异型性明显,核分裂像常见。部分肿瘤细胞呈柱状、椭圆形,围成管腔样结构,似原始的神经管(图1) ,部分瘤细胞向软骨细胞分化,并逐渐形成透明软骨岛(图2) 。免疫组化染色:神经特异性烯醇化酶(NSE) 染色围成管腔样结构的细胞阳性(图3),S-100 染色透明软骨样细胞阳性(图4) 。细胞角蛋白(CK) 、神经胶质原纤维酸性蛋白(GFAP) 、结蛋白(Desm in)与突触素(SY) 阴性。
病理诊断:右眼眶畸胎性恶性髓上皮瘤,并给病人做了全部肿瘤切除术,术后病理检查肿瘤性质同前。
病理诊断:右眼眶畸胎性恶性髓上皮瘤,并给病人做了全部肿瘤切除术,术后病理检查肿瘤性质同前。
图 1 瘤细胞围成管样结构,似原始的神经管 HE×200 图 2 部分瘤细胞逐渐分化形成透明软骨岛 HE×200
图 3 NSE染色围成管腔样结构的细胞阳性 HE×100 图 4 S-100染色软骨样细胞阳性 HE×10
讨论
髓上皮瘤是源自神经系统的一种少见的恶性肿瘤,多发生在中枢神经系统和睫状体。源自视神经的髓上皮瘤十分罕见[1-2] 。到目前为止,全世界只有 8 例源自视神经的髓上皮瘤病例报告[3],在国内尚未见报道。本文作者参阅了有关源自视神经的髓上皮瘤的文献,并结合我们遇到的这一病例进行总结,发现这种肿瘤的发病年龄多在从出生时到 6 岁之间,平均发病年龄为 34 个月。在这 9 例病人中,男性 8 人,女性 1 人,明显显示出好发于男性 (男:女=8:1) 。9 例病人中,6 例发生在右眼,3 例发生在左眼(右:左=2:1) 。
从临床症状来看,大部分受累的患者有眼球突出,但出现眼球运动受限和(或) 斜视的很少。如果肿瘤侵犯至眼球内可表现为白瞳症,虹膜红变,继发性青光眼。发生于视神经的髓上皮瘤与发生于睫状体的髓上皮瘤相比,其恶性程度更高,更容易向眶内组织扩散。由于早期肿瘤生长于视神经内,CT 片上表现为视神经增粗,所以临床上需与视神经胶质瘤和视神经脑膜瘤相鉴别,其鉴别点如下[4] : 首先,源自视神经髓上皮瘤生长速度快、不对称,而且它突破视神经鞘膜后,在视神经周围呈侵袭性生长、没有包膜。其次,源自视神经的髓上皮瘤发病较早,多在 3 岁左右,好发于男性。而 75%的视神经胶质瘤发病年龄小于 10 岁,90%小于 20岁[5]。而视神经脑膜瘤的发病高峰年龄为 30~40 岁,平均 38 岁[6],且后两种肿瘤发生均无明显性别差异。
源自视神经的髓上皮瘤的病理特征为[7]:肿瘤没有包膜,有许多由立方和柱状上皮细胞构成的管状和乳头状结构,类似于原始的髓板和神经管;有未分化的间充质细胞,呈侵袭性生长,常见出血和坏死。源自视神经的髓上皮瘤同样可分为畸胎性和非畸胎性髓上皮瘤[8]。非畸胎性髓上皮瘤只含有髓上皮成分和间质成分,含有一种或多种异源性成分的髓上皮瘤则称为畸胎性髓上皮瘤[9],最常见的异源性成分是软骨,较少见的异源性成分是脑样组织和骨骼肌组织[7]。本例患者,肿瘤有许多类似于原始髓板和神经管的成分,并且有许多透明软骨样组织,且肿瘤发生于眼球后,所以考虑该肿瘤为源自视神经的畸胎性恶性髓上皮瘤。
基金
暂无基金信息
参考文献
1. Biswas J, Bhushan B, Jayakumar N, et al. Teratoid malignant medulloepithelioma of the optic nerve: report of a case and review of the literature.Orbit, 1999; 18(3) :191- 196.
2. Pradhan SB, Adhikari RC, Shrestha B, et al. Malignant teratoid medulloepithelioma in eye. Kathmandu Univ Med J(KUMJ) , 2003; 1(1) : 42- 44.
3. Molloy PT, Yachinis AT, Rorke LB, et al. Central nervous system medulloepithelioma: a series of eight cases including two arising in the pons. J Neurosurg, 1996; 84 (3) : 430- 436.
4. 程华怡, 丁美修. 视神经胶质瘤. 国外医学.神经病学神经外科学分册, 2000; 27(5) : 233- 235.
5. Tow SL, Chandela S, Miller NR, et al. Long-term outcome in children with gliomas of the anterior visual pathway. Pediatric Neurology, 2003; 28(4) : 262- 270.
6. Mafee MF, Goodwin J, Dorodi S. Optic nerve sheat meningiomas: role of Mrimaging. Radiol Clin North Am, 1999; 37(1) : 37- 58.
7. Chavez M, Mafee MF, Castillo B, et al. Medulloepithelioma of the optic nerve. Pediatr Ophthalmol Strabismus,2004; 41(1) : 48- 52.
8. 孙为荣. 眼科病理学. 北京: 人民卫生出版社出版,1997; 299- 302.
9. Sundaram C, Vydehi BV, Reddy JJ, et al. Medulloepithelioma: A case report. Neurol India, 2003; 51 (4) : 546-547.