结核性脉络膜结节联合视网膜结节1例
阅读量:7823
DOI:10.3978/j.issn.1000-4432.2020.11.02
发布日期:2023-03-08
作者:
吉宇莹 ,张雄泽 ,文峰
展开更多 '%20fill='white'%20fill-opacity='0.01'/%3e%3cmask%20id='mask0_3477_29692'%20style='mask-type:luminance'%20maskUnits='userSpaceOnUse'%20x='0'%20y='0'%20width='16'%20height='16'%3e%3crect%20id='&%23232;&%23146;&%23153;&%23231;&%23137;&%23136;_2'%20x='16'%20width='16'%20height='16'%20transform='rotate(90%2016%200)'%20fill='white'/%3e%3c/mask%3e%3cg%20mask='url(%23mask0_3477_29692)'%3e%3cpath%20id='&%23232;&%23183;&%23175;&%23229;&%23190;&%23132;'%20d='M14%205L8%2011L2%205'%20stroke='%23333333'%20stroke-width='1.5'%20stroke-linecap='round'%20stroke-linejoin='round'/%3e%3c/g%3e%3c/g%3e%3c/svg%3e)
关键词
脉络膜结节
视网膜结节
多模式影像
摘要
眼结核的表现形式多样,有时会被误诊漏诊。本病例为一年轻男性,以右眼视力突发下降为主诉就诊,眼部表现可见黄斑区脉络膜占位病灶及视网膜内小病灶,经γ-干扰素释放试验、胸部CT等检查,确诊为血型播散性肺结核,眼部诊断为结核性脉络膜结节联合视网膜结节,全身接受抗结核治疗后,眼部病灶消退。
全文
近年结核发病有回升趋势,20%的结核患者会累及肺外器官,而高达60%的肺外结核患者无肺部表现[1]。眼结核的表现形式多样,又很难依靠取材确诊,给诊断带来一定困难[2]。本文报告了1例年轻患者,以脉络膜结节为主要表现形式,通过回顾该患者的影像资料,分析结核性脉络膜结节及视网膜结节的多模式影像特点,以期加深对该疾病的认识。
1 临床资料
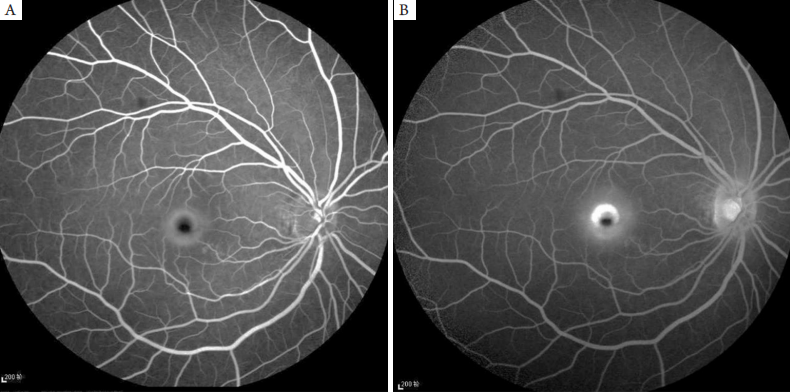
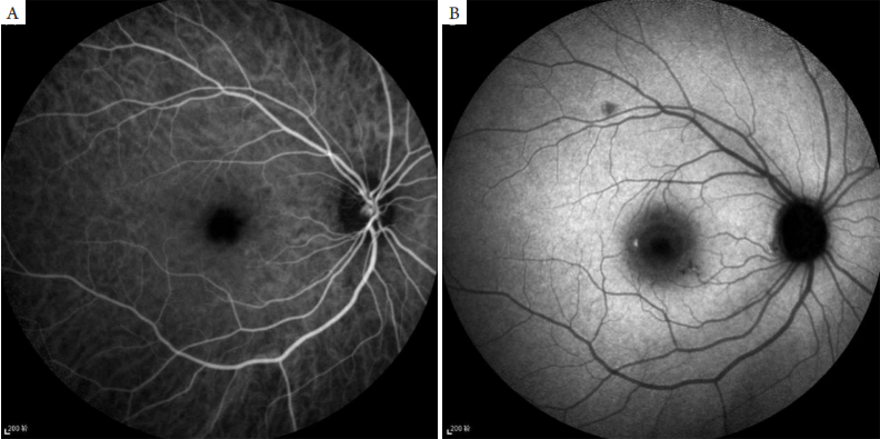
患者,男,19岁,以“右眼突发无痛性视力下降1周”为主诉就诊于中山大学中山眼科中心。眼部检查,裸眼视力,右眼0.1,左眼1.0,矫正视力右眼? 50 DC× 3 5 °无法提高,左眼? 50 D C×160 °→1.0。双眼结膜无充血,角膜透明,前房深浅可,房闪(?),房水细胞(?),晶状体透明,玻璃体未见明显混浊。左眼底检查未见明显异常。右眼底视乳头色淡红界清,C/D=0.3,视网膜血管走行可,A:V=2:3,颞上血管弓处可见小斑状黄白色病灶,类似棉绒斑样表现,黄斑中心凹下可见直径约1/5 PD大小视网膜下病灶,伴周围视网膜水肿(图1 )。余象限视网膜未见明显异常。短波长自发荧光显示:颞上血管弓处及黄斑区病灶均呈现弱荧光(图2 )。荧光素钠眼底血管造影(fundus fluorescein angiography,FFA)显示,右眼视网膜动静脉充盈回流时间正常。早中期黄斑中心凹下可见弱荧光病灶,随造影时间延长,病灶周围可见染料渗漏,晚期病灶仍为弱荧光;颞上血管弓病灶全程为弱荧光,晚期病灶周围轻微着染色(图3 )。吲哚菁绿眼底血管造影(indocyanine green angiography,ICGA)造影期间,黄斑区及颞上血管弓病灶全程弱荧光(图4)。光学相关断层扫描成像(optical coherence tomography,OCT)示黄斑中心凹下脉络膜隆起,可见中高反射占位向上生长,突破RPE,累及外核层,伴视网膜层间积液(图5A),颞上血管弓病灶可见神经纤维层中高反射物质占位,伴后遮蔽(图5B)。考虑右眼脉络膜结节可能性大,建议患者前往胸科医院排查结核。患者在广州市胸科医院胸部CT检查双肺散在粟粒灶,纵隔淋巴结肿大,γ-干扰素释放试验(interferon gamma release assays,IGRAs)阳性。追问病史,患者近2个月反复腹泻,近1年体重下降约5 kg,最后全身检查诊断为急性血型播散型肺结核,纵隔、肺门、腹腔淋巴结结核,结核性腹膜炎,接受抗结核药物(异烟肼、利福平、乙胺丁醇)治疗,全身症状好转后出院,因为疫情原因抗结核药物后4个月来眼科医院复查。最佳矫正视力右眼0.12,左眼1.0,双眼前节检查无异常,左眼底检查未见明显异常,右眼视乳头色淡红界清,杯盘比0.3,黄斑中心凹下可见黄白色瘢痕,复查OCT可见黄斑中心凹下病灶消退,残余色素增殖(图6A),颞上血管弓处病灶完全消退(图6B)。
图1 右眼底黄斑中心凹下可见直径约1/5PD大小的视网膜下黄色病灶,伴周围视网膜水肿。颞上血管弓出可见小斑状白色病灶,与棉绒斑类似
Figure 1 On color fundus image, a yellow subretinal lesion with one fifth papillary diameter size complicated with surrouding retinal edma can be seen at the fovea. A small white spot mimicing cotton wool spot can be seen at the supratemporal arch
图2 短波长自发荧光可见颞上血管弓处及中心凹处病灶均为弱荧光
Figure 2 On blue fundus autofluorescence image, lesions at the supratemporal arch and the fovea are both hypfluorescent
图3 荧光素钠血管造影显示,中心凹处病灶为弱荧光,周围可见染料渗漏;颞上血管弓处病灶为弱荧光
Figure 3 FFA shows that the lesion at the fovea is hypofluorescent with peripheral leakage; the lesion at the temporal arch is hypofluorescent
(A)早期;(B)晚期。
(A) Early stage; (B) Advanced stage.
图4 ICGA造影期间,黄斑区及颞上血管弓病灶全程弱荧光
Figure 4 During the ICGA imaging process, the lesions at the fovea and the supratemporal arch are both hypofluorescent from early to advanced stage
(A)早期;(B)晚期。
(A) Early stage; (B) Advanced stage.
图5 初诊时眼底OCT检查结果
Figure 5 OCT image at the first visit
(A)OCT示黄斑中心凹下脉络膜隆起,可见中高反射占位向上生长,突破RPE,累及外核层,伴视网膜层间积液;(B)颞上血管弓病灶可见神经纤维层中高反射物质占位,伴后遮蔽。
(A) On OCT image, a mass derived from the choroid to the RPE with choroidal elevatoin, bulge and interruption of the RPE can be see at the fovea. The outer nuclear layer is involved and intraretinal fluid can be observed. (B) An intraretinal lesion with middle to hyperreflective signal can be seen at the supratemporal arch. Signals from the deep part of the fundus are blocked.
图6 复查时眼底OCT情况
Figure 6 OCT image at the follow-up time
(A)黄斑中心凹下病灶消退,视网膜色素上皮增殖;(B)颞上血管弓处病灶完全消退。
(A) Regression of the lesion at the fovea with retinal pigment epithelial cell proliferation can be seen; (B) Regression of the lesion at the supratemporal arch can be seen.
2 讨论
眼部结核是结核的眼外表现形式,包括前葡萄膜炎,中间葡萄膜炎,后葡萄膜炎,视网膜血管炎,神经视网膜炎等。临床表现的巨大差异和诊断标准的不统一使眼内结核的诊断变得困难,眼内组织中检测出结核杆菌为金标准,但在临床上具有较大的操作难度。Gupta等[3]指定了临床诊断标准:1 )眼部表现;2 )结核菌素试验阳性,或胸部X线检查显示结核病灶已治愈或活跃的证据,或确诊的活动性肺外结核的证据;3 )排除其他原因引起的葡萄膜炎,如梅毒、弓形体;4 )抗结核治疗4~6周 后有效。按此标准,患者眼结核诊断成立。
既往分类中结核性后葡萄膜炎包括脉络膜结节,脉络膜结核瘤,视网膜下脓肿和匍行性脉络膜炎[1]。2019年,协作眼结核组(Collaborative Ocular Tuberculosis Study,COTS),国际葡萄膜炎研究小组(International Uveitis Study Group,IUSG)和国际眼部炎症学会(International Ocular Inflammation Society,IOIS)为眼结核共同指定了共识命名系统[4],提供了广义的“结核性脉络膜炎”,涵盖以脉络膜炎症为特征的所有疾病,该分类包括结核性匍行性脉络膜炎、结核性多灶性脉络膜炎、结核性局灶性脉络膜炎、结核瘤。脉络膜结节的名字仍然保留,并认为是结核性多灶性脉络膜炎的一种。
脉络膜结节是结核性脉络膜炎最常见的表现,通常来源于结核杆菌的血行播散,可以是全身粟粒性结核病的表现之一。临床上,脉络膜结节表现为边缘不清的圆形或椭圆形小结节,可累及双眼或单眼。通常结节数< 5个,也可多达50~60个,局部可伴有浆液性视网膜脱离,一般不伴有眼前节或者玻璃体炎症[2]。脉络膜结核瘤可以是融合的脉络膜结节形成,常表现为一较大的孤立性团块,可发生于后极部,赤道部或者视盘周围。淡黄色的视网膜下团块,4~14 mm不等,外观类似肿瘤,瘤体表面可以出现视网膜出血,渗出性视网膜脱离[2]。
在血管造影上,脉络膜结节在早期为弱荧光,晚期可因为染料渗漏表现出结节旁的强荧光。非活动的已愈合结节可能仅显示透见荧光[5]。相比之下,较大的脉络膜结核瘤显示早期强荧光,毛细血管床扩张,随造影时间延长可见染料渗漏及积存呈强荧光[6]。
该患者 FFA 可见黄斑下的病灶为全程弱荧光,但在造影期间可见染料渗漏所致病灶边缘强荧光,虽然为孤立病灶,但从彩照、大小、分布、形态、影像特征等方面更符合脉络膜结节的表现[7]。而且患者存在全身血行播散性肺结核,符合脉络膜结节的发病机理。
颞上血管弓的病灶,比较符合视网膜结节的表现。视网膜结核多表现为视网膜血管炎,但也有个别病例报道可以发生视网膜结节[8]。该患者颞上血管弓的病灶OCT显示位于内层视网膜,与文献[9]报道相符。经治疗后该病灶完全消退。
从病程预后上看,患者的病灶对全身抗结核治疗反应好,但令人遗憾的是病灶累及黄斑中心凹,虽然全身得到及时治疗,但右眼视力预后不佳。
综上,本例结核性脉络膜结节和视网膜结节的病例治疗前后的多模式影像表现,加深了对于眼结核的认识。
颞上血管弓的病灶,比较符合视网膜结节的表现。视网膜结核多表现为视网膜血管炎,但也有个别病例报道可以发生视网膜结节[8]。该患者颞上血管弓的病灶OCT显示位于内层视网膜,与文献[9]报道相符。经治疗后该病灶完全消退。
从病程预后上看,患者的病灶对全身抗结核治疗反应好,但令人遗憾的是病灶累及黄斑中心凹,虽然全身得到及时治疗,但右眼视力预后不佳。
综上,本例结核性脉络膜结节和视网膜结节的病例治疗前后的多模式影像表现,加深了对于眼结核的认识。
基金
暂无基金信息
参考文献
1. Basu S, Mittal R , Balne PK , et al. Intraretinal tuberculosis[ J].
Ophthalmology, 2012, 119(10): 2192-2193.
2. Helm CJ, Holland GN. Ocular tuberculosis[ J]. Surv Ophthalmol,
1993, 38(3): 229-256.
3. Lekha T, K ar thikeyan R . Multimodal imaging of choroidal
tubercles[ J]. Indian J Ophthalmol, 2018, 66(7): 995-996.
4. Annamalai R, Biswas J. Bilateral choroidal tuberculoma in miliary
tuberculosis-report of a case[ J]. J Ophthalmic Inflamm Infect, 2015, 5: 4.
5. Mehta S. Fundus fluorescein angiography of choroidal tubercles: case reports
and review of literature[J]. Indian J Ophthalmol, 2006, 54(4): 273-275.
6. Agrawal R, Agarwal A, Jabs DA, et al. Standardization of nomenclature
for ocular tuberculosis—results of collaborative ocular tuberculosis
study (COTS) workshop[ J]. Ocul Immunol Inflamm, 2019, 10: 1-11.
7. Gupta V, Gupta A, Rao NA. Intraocular tuberculosis—an update[ J].
Surv Ophthalmol, 2007, 52(6): 561-587.
8. Gupta V, Shoughy SS, Mahajan S, et al. Clinics of ocular tuberculosis[ J].
Ocul Immunol Inflamm, 2015, 23(1): 14-24.
9. Shakarchi FI. Ocular tuberculosis: current perspectives[ J]. Clin
Ophthalmol, 2015, 9: 2223-2227.