返回

HIV眼部巨细胞病毒性视网膜炎合并脉络膜结核瘤感染1例

阅读量:8315
DOI: 10.3978/j.issn.1000-4432.2022.07.07
发布日期:2022-12-26
作者:
叶红莉 ,焦康为 ,晏平静 ,赵洁 ,冯萧萧 ,熊帅 ,肖丽波
展开更多

关键词

脉络膜结核瘤
巨细胞病毒性视网膜炎
艾滋病
机会性感染
病例报告

摘要

报道1例人类免疫缺陷病毒(human immunodeficiency virus,HIV)眼部巨细胞病毒性视网膜炎(cytomegalovirus retinitis,CMVR)合并脉络膜结核瘤感染患者,主因双眼视物模糊2周就诊。经眼部检查发现右眼底颞侧视网膜广泛黄白色颗粒样病变,病灶边界可见黄白色奶酪样渗出,左眼下方视网膜大片黄白色渗出伴出血。在随访半年后发现左眼视网膜脉络膜隆起病灶,根据其全身及眼部临床特征,诊断为双眼CMVR伴左眼脉络膜结核瘤,予全身抗病毒及结核治疗后随访1年余,全身情况及眼部病灶稳定。

全文

    人类免疫缺陷病毒(human immunodeficiency virus,HIV)患者容易出现眼部机会性感染。巨细胞病毒性视网膜炎(cytomegalovirus retinitis,CMVR)是导致HIV感染者视力丧失最常见的眼部机会性感染,常发生于CD4T细胞<50个/μL的获得性免疫缺陷综合征(acquired immune deficiency syndrome,AIDS)患者中,若没有及时诊断及治疗,CMVR极易发展为全层性视网膜坏死,导致失明[1-2]。肺结核是HIV/AIDS患者最常见的机会性感染之一,结核性眼部病变占全身结核病的1.40%~5.74%,多继发于肺结核[3]。而脉络膜血流丰富,细菌容易滞留,成为眼部结核的易发部[4]。同一眼同时合并两种感染很罕见,现报告1例HIV眼部CMVR合并脉络膜结核瘤患者,回顾分析该患者全身情况及眼部影像学特征,以加强对此类的疾病的认识。

1 病例资料

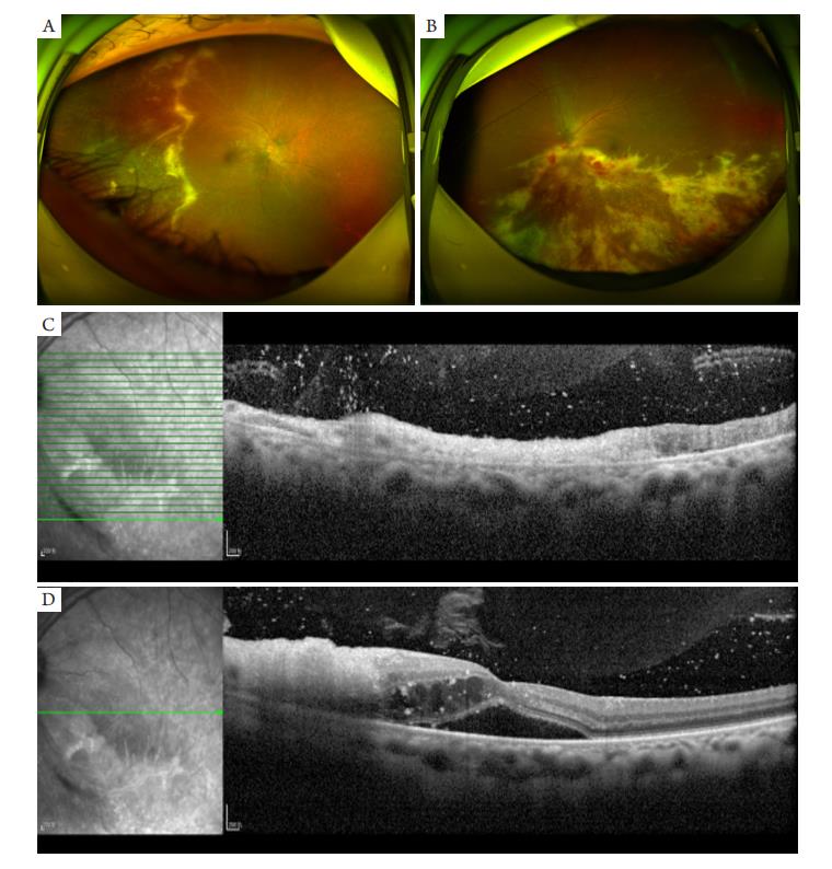
    患者,女,3 7岁,因“双眼视物模糊2周 ”于2021年1月2 2日云南大学附属医院眼科门诊就诊。既往1周前外院确诊为AIDS,确诊时血HIV病毒载量:8.44 × 106 拷贝/mL,CD4+T淋巴细胞计数(CD4值)17个/ μL,在外院口服“齐多夫定(zidovudine,AZT)+ 拉米夫定(lamivudine,3TC)+ 依非韦伦(efavirenz,EFV)”抗反转录病毒治疗(antiretroviral therapy,ART)。眼科体格检查:右眼视力0.6,左眼0.6,眼压正常,双眼角膜后沉淀物(keratic precipitates,KP)(+),晶状体混浊(++),玻璃体混浊。辅助检查:超广角眼底照相示右眼颞侧视网膜黄白色颗粒样病变,病灶边界奶酪样渗出(图1A);左眼视盘边界不清,视盘下方可见沿血管分布走行视网膜大片黄白色奶酪样渗出,其间可见视网膜出血(图1B)。光学相干断层扫(optical coherence tomography,OCT)示:左眼视网膜萎缩、变薄,层次不清;黄斑区视网膜神经上皮下液性暗区,神经感觉层囊样水肿,可见点状强反射(图1C,1D)。初步诊断:双眼CMVR(活动期)。患者随之转诊至传染病专科医院,入院体格检查可见颜面部及四肢、躯干弥漫分布米粒大小中心脐凹样皮疹。外院辅助检查:血HIV病毒载量42 400拷贝/mL,CD4值4 7个/ μL。全自动加抗血培养(真 菌):新型隐球菌生长。血生化:中性粒细胞百分比91.8%;淋巴细胞百分比5.3%;血红蛋白 90 g/L ;血小板78×109/L ;血沉:113 mm/h;血病原学检测:CMV-IgM (+),HCMV-DNA、HIV-RNA(?);血结核分支杆菌、血风疹、梅毒、乙肝、丙肝病毒、单纯疱疹病毒、卡氏肺孢子虫、弓形虫抗体均阴性。诊断为 :1 )艾滋病;2 )隐球菌病;3 )双眼CMVR。住院期间予抗真菌(伏立康唑、两性霉素B)、 抗CMV(更昔洛韦钠)及ART(EFV+3TC+AZT),病情好转后予出院。出院后患者因全身情况变化多次住院治疗。
    
2021年3月25日我科第 2 次就诊。全身情况:双下肢浮肿伴发热、咳嗽1个月余,余无特殊。眼科:右眼视力 0.6 ,左眼 0.4 ,眼底见右眼黄白色渗出吸收;左眼视网膜出血较前明显吸收,视盘鼻下方视网膜出现大小约 2/3PD 黄白色病灶 ( 图 2A) 。辅助检查 ( 表1 ) :HCMV-DNA 为 1.55E+03 拷 贝 /mL( 阴性值<1.00E+03拷 贝/mL);全自动加抗血培养(结核、真菌):结核分支杆菌生长,无真菌生长;胸部CT示 : 1) 肺门影增大,肺门及纵隔淋巴结增大;2 )双肺斑片状、结节状阴影。诊断:1 )艾滋病;2 )肺结核;3 )双眼CMVR(稳定期);4 ) 左眼结核性脉络膜炎 ( 可能性大 ) 。治疗:1)全身治疗因经济原因于2月24日更改为口服“阿巴卡韦(abacavir,ABC)+3TC+克力芝(lopinavir and ritonavir,LPV/r)”抗病毒治疗;2 )抗结核治疗为利福布汀0.3 g、1次/ d,异烟肼片0.3g、1 次 / d ,吡嗪酰胺片 0.5 g 、3 次 / d ,盐酸乙胺丁醇片0.75 g,1次/ d;3 )抗真菌治疗为氟康唑600 mg/d;4)继续抗CMV(更昔洛韦钠)治疗。
    2021 年7月23日我科第3次就诊。右眼视力0.6,左眼0.4,右眼底同前;左眼底渗出及出血吸收,视网膜瘢痕形成,视盘颞下方出现黄白色隆起病灶约5PD,病灶上方视网膜血管迂曲 ( 图 2B) 。隆起病灶区 OCT 示病灶区视网膜各层及脉络膜毛细血管层结构显影不清,脉络膜基质低反射增厚,视网膜圆顶状升高,视网膜下可见不均匀中低反射信号 ( 图 2C) 。病灶区OCTA(optically correlated tomography angiography,OCTA)示脉络膜毛细血管丛缺如,无血流灌注(图2D)。因患者全身情况差,未安排行荧光素眼底血管造影。辅助检查见表1。胸部增强C T示 :1 )右肺门影增大,结节状软组织样密度影;2 )右肺结节,斑点状阴影。拟诊断:1 )艾滋病;2 )肺结核;3 )左眼脉络膜结核瘤;4 )双眼CMVR(稳定期)。治疗:1 )由于药物相互作用,全身治疗于5月2 3日更改为“EFV+3TC+ABC”抗病毒治疗;2 )继续当前抗结核治疗;3 )眼科门诊定期复查。患者随之每月我科复诊,至最新复诊时间2022年5月1 7日为止,眼底病灶均无明显变化,视力趋于稳定。

20221226152042_9279.jpg

图1 初诊
Figure 1 First visit
超广角成像示(A)右眼颞侧视网膜黄白色颗粒样病变,病灶边界奶酪样渗出;(B)左眼视盘下方沿血管分布走行视网膜全层大片黄白色奶酪样渗出,其间可见视网膜出血。OCT示(C)左眼视网膜萎缩、变薄,层次不清,玻璃体腔可见点状强反射;(D)左眼黄斑区视网膜神经上皮下液性暗区,神经感觉层囊样水肿,可见点状强反射。
Ultra-wide-angle photographic shows (A) a yellowish-white granular lesion in the temporal retina of the right eye, with cheese-like exudation at the border of the lesion; (B) large yellowish-white cheese-like exudation in the entire retinal layer along the blood vessels below the optic disc of the left eye. OCT shows (C) retina atrophy and thinning in the left eye, with unclear gradation and strong punctured reflection in the vitreous cavity; (D) the retinal neuroepithelial fluid dark area in the macular area of the left eye, with cystic edema in the neurosensory layer and strong punctured reflection.

20221226152237_2768.jpg

图2 复诊
Figure 2 Subsequent visit
超广角成像示(A)左眼黄白色渗出及出血吸收,下方视网膜出现大小约2/3PD黄白色病灶;(B)视盘鼻下方出现大小约5PD的黄白色隆起病灶(红色三角形),其上视网膜血管迂曲。OCT示(C)病灶区视网膜各层及脉络膜毛细血管层结构显影不清,基质脉络膜低反射增厚,视网膜圆顶状升高,视网膜下可见不均匀中低反射信号;(D)病灶区脉络膜毛细血管丛缺如,无血流灌注。
Ultra-wide-angle photographic shows (A) yellowish-white exudation and hemorrhage absorption in the left eye, and yellowish-white lesions with a size of 2/3PD appeared in the lower retina; (B) a yellow-white elevated lesion of about 5PD below the optic disc nose (red triangle), with tortuous retinal vessels above. OCT shows (C) the structure of the retinal layers and choroid capillary layer in the lesion area was poorly visualized, the stromal choroid was thickened with low reflection, the dome-shaped retina was elevated, the subretinal heterogeneous medium to low reflection signal was visible; (D) the choroid capillary plexus was absent in the lesion and there’s no blood perfusion.

表1 患者全身CD4值及HIV病毒载量变化情况
Table 1 Changes in CD4 value and HIV viral load of patients

20221226152529_5047.jpg

2 讨论

    HIV/AIDS感染是一种以特异性免疫系统功能受损为主要特点的全身性疾病,可以导致多器官受累。此例患者合并肺结核、播散性隐球菌病、巨细胞病毒等多重感染,全身情况处于重度免疫功能缺陷状态,属于世界卫生组织分期IV期[5]
    CMVR是AIDS患者晚期常见的眼部机会性感染,可导致不同程度的视力下降、视野缺损、视物模糊等眼部病变[6]。杜葵芳等[7]将CMVR超广角眼底像分为经典型、颗粒型、霜样树枝状血管炎、视神经视网膜炎。CMVR经典型眼底表现为“番茄奶酪酱样”改变,沿血管分布的浓厚的白色视网膜渗出,其上有片状出血[8]。非典型CMVR包含颗粒型,其表现为呈颗粒状分布的视网膜病变,病变边界清晰,可见白色片状或簇状视网膜坏死病灶,无或少许出血[7]。国外有研究[9]认为颗粒型CMVR是CMVR病灶进展过程中的初发期。此例患者CMV抗体阳性,具有典型的眼底及OCT图像特征表现,即可诊断患者左眼为经典型CMVR,右眼为颗粒型CMVR。
    眼结核以结核性葡萄膜炎最为常见,而脉络膜结核瘤是葡萄膜炎的一种类型[10]。脉络膜结核菌的确诊为脉络膜活检找到结核杆菌,属有创治疗,此患者拒绝行眼部活检。此外,典型脉络膜结核瘤患者可伴有视力下降,前房炎性细胞以及角膜后沉着物,眼底表现为黄白色结节状隆起,直径多为2~6PD,隆起病灶表面视网膜血管迂曲,晚期可见灰白色斑块,周围有色素沉着[11],OCT可见与周围视网膜下液和深层炎性反应浸润有关的“接触征”[12]。本例患者因CMVR导致视网膜全层坏死,瘢痕形成,OCT可见脉络膜高度隆起、基质增厚,内部密度不均匀回声,因此“接触征”并不明显。
    对于AIDS的患者,脉络膜结核瘤需要与其他感染性脉络膜病变相鉴别,包括隐球菌、弓形虫、卡式肺孢子虫病、梅毒螺旋体等,确诊只能通过脉络膜活检进行[13]。隐球菌性脉络膜炎表现为眼底多发黄白色边界清楚的脉络膜病灶,常合
并有视乳头水肿及脑膜刺激征[13-14]。眼弓形虫病典型眼底表现为伴有色素增殖的灰白色视网膜脉络膜病灶与较重的视网膜血管炎、脉络膜炎及玻璃体炎,常被称之为“雾中头灯”[15]。卡氏肺孢子虫性脉络膜炎为多发性黄色边界清晰的斑片病灶,多无隆起生长倾向[16]。梅毒性眼病患者有梅毒病史,在眼后节主要表现为脉络膜视网膜炎、视网膜血管炎、视神经炎[17]。该患者有HIV伴肺结核病史,在对患者进行抗结核治疗后,左眼视网膜病灶变化稳定,进一步根据其全身及眼部体征,故诊断为左眼脉络膜结核瘤伴CMVR。
    此患者在ART已1年余,CD4T细胞仍不足200个/μL,虽然血液HIV病毒载量为阴性,但仍表明患者抗病毒成功但存在免疫重建不全的情况[18]。免疫重建不全的机制目前尚不明确,可能与胸腺输出减少、细胞水平因子紊乱(IL-7)、Th17与Treg细胞比例失衡以及免疫异常激活等相关[19]。HIV/AIDS患者尤其是CD4值<200个/μL或合并多重机会性感染者的眼部表现常不典型,多为隐匿起病,无自觉症状,早期的眼底筛查排除眼内感染性疾病及尽早干预,是提高患者生存质量的关键。此病例通过眼部多模式影像学系统长期观察了HIV患者眼部CMVR合并脉络膜结核瘤感染的发生发展规律,可以帮助传染科医生根据全身及眼部情况,尽早确定免疫缺陷状态的严重程度以及预后,及时调整ART、抗CMV及抗结核治疗方案,协同诊治,在降低发病率和病死率的同时可有效降低眼部并发症的机率。

开放获取声明

    本文适用于知识共享许可协议 (Creative Commons),允许第三方用户按照署名(BY)-非商业性使用(NC)-禁止演绎(ND)(CC BY-NC-ND)的方式共享,即允许第三方对本刊发表的文章进行复制、发行、展览、表演、放映、广播或通过信息网络向公众传播,但在这些过程中必须保留作者署名、仅限于非商业性目的、不得进行演绎创作。详情请访问:https://creativecommons.org/licenses/by-nc-nd/4.0/

基金

1. 云南省眼部临床医学中心开放课题 (YJZX-05);云南省高层次人才培养计划万人计划青年拔尖人才计划(YNWR-QNBJ-2020-267)。This work was supported by the Open project of Yunnan Clinical Eye Medical Center (YJZX-05), and Yunnan High-level Talent Training Program, Ten Thousand Talents Program, Youth Top-notch Talent Program (YNWR-QNBJ-2020-267), China

参考文献

1. 李鹏宇, 陈莉华, 贾皇超, 等. 中医药治疗艾滋病免疫功能重建不 良的现状与思考[ J]. 河南预防医学杂志, 2022, 33(1): 12-16.
LI Pengyu, CHEN Lihua, JIA Huangchao, et al. The current situation and thinking of incomplete immune reconstitution in HIV infection treated with traditional Chinese medicine[ J]. Henan Journal of Preventive Medicine, 2022, 33(1): 12-16.
2. Brice?o O, Chávez-Torres M, Peralta-Prado A, et al. Associations between recent thymic emigrants and CD4+ T-cell recovery after short- term antiretroviral therapy initiation[ J]. AIDS, 2020, 34(4): 501-511.
3. 沈鸿洁, 张嘉桢, 陈雪峰, 等. 以眼后节表现为主的梅毒性眼病临 床分析[ J]. 中国眼耳鼻喉科杂志, 2021, 21(3): 173-177.
SHENG Hongjie, ZHANG Jiazhen, CHEN Xuefeng, et al. Clinical features of ocular posterior segment syphilis[ J]. Chinese Journal of Ophthalmology and Otorhinolaryngology, 2021, 21(3): 173-177.
4. Goldberg DE, Smithen LM, Angelilli A, et al. HIV-associated retinopathy in the HAART era[ J]. Retina, 2005, 25(5): 633-649.
5. Khalili Pour E, Riazi-Esfahani H, Ebrahimiadib N, et al. Acquired immunodef icienc y sy ndrome presented as at y pical ocular toxoplasmosis[ J]. Case Rep Ophthalmol Med, 2021, 2021: 5512408.
6. Flores Herrera MF, Dauby N, Maillart E, et al. Multimodal imaging in AIDS-related ocular cryptococcosis[ J]. Case Rep Ophthalmol Med, 2021, 2021: 8894075.
7. 毛菲菲, 孙挥宇, 李丹. 获得性免疫缺陷综合征合并隐球菌性脑膜 炎的眼部病变特征分析[J]. 中华眼科杂志, 2015, 51(5): 364-368.
MAO Feifei, SUN Huiyu, LI Dan. Ophthalmic manifestations in acquired immune deficiency syndrome patients with cryptococcal meningitis[ J]. Chinese Journal of Ophthalmology, 2015, 51(5): 364-368.
8. Salman A, Parmar P, Rajamohan M, et al. Subretinal fluid analysis in the diagnosis of choroidal tuberculosis[ J]. Retina, 2003, 23(6): 796-799.
9. 曾苗, 陈晓, 宋艳萍, 等. 脉络膜结核瘤1例[ J]. 中华实验眼科杂 志, 2017, 35(9): 791-792.
ZENG Miao, CHEN Xiao, SONG Yanping. Choroid tuberculoma: a case report[ J]. Chinese Journal of Experimental Ophthalmology, 2017, 35(9): 791-792.
10. 毛羽, 彭晓燕. 脉络膜结核瘤的临床特征及疗效观察[ J]. 眼科, 2019, 28(5): 336-340.
MAO Yu, PENG Xiaoyan. Clinical features and therapeutic outcomes of choroidal tuberculoma[ J]. Ophthalmology in China, 2019, 28(5): 336-340.
11. Yashiro S, Nishijima T, Yamamoto Y, et al. Spectral domain optical coherence tomography and fundus autofluorescence findings in cytomegalovirus retinitis in HIV-infected patients[ J]. Jpn J Ophthalmol, 2018, 62(3): 373-389.
12. Shi Y, Lu H, He T, et al. Prevalence and clinical management of cytomegalovirus retinitis in AIDS patients in Shanghai, China[ J]. BMC Infect Dis, 2011, 11: 326.
13. 杜葵芳, 黄晓婕, 陈超, 等. 获得性免疫缺陷综合征合并巨细胞病 毒性视网膜炎超广角眼底影像特征分析[ J]. 中华眼底病杂志, 2020, 36(9): 669-674.
DU Kuifang, HUANG Xiaojie, CHEN Chao, et al. Analysis of ultra- wide-field fundus manifestations of cytomegalovirus retinitis in acquired immunodeficiency syndrome patients[ J]. Chinese Journal of Ocular Fundus Diseases, 2020, 36(9): 669-674.
14. Port AD, Orlin A, Kiss S, et al. Cytomegalovirus retinitis: a review[ J]. J Ocul Pharmacol Ther, 2017, 33(4): 224-234.
15. Sudharshan S, Babu RB, Nair N, et al. Combined infection of ocular tuberculoma and cytomegalovirus retinitis in the same eye of a patient with human immunodeficiency virus[ J]. Indian J Ophthalmol, 2020, 68(9): 1965-1967.
16. Arej N, Fadlallah A, Chelala E. Choroidal tuberculoma as a presenting sign of tuberculosis[ J]. Int Med Case Rep J, 2016, 9: 365-368.
17. 毕晓达, 赵娟, 司艳芳, 等. 脉络膜结核瘤的临床观察[ J]. 临床眼 科杂志, 2020, 28(6): 509-512.
BI Xiaoda, ZHAO Juan, SI Yanfang, et al. The clinical observation of choroidal tuberculoma[ J]. Journal of Clinical Ophthalmology, 2020, 28(6): 509-512.
18. Butler NJ, Thorne JE. Current status of HIV infection and ocular disease[ J]. Curr Opin Ophthalmol, 2012, 23(6): 517-522.
19. Sudharshan S, Kaleemunnisha S, Banu AA, et al. Ocular lesions in 1,000 consecutive HIV-positive patients in India: a long-term study[ J]. Ophthalmic Inflamm Infect, 2013, 3(1): 2.

相关文章