返回

眼囊尾蚴病7例的临床病理分析

阅读量:8813
DOI:10.3978/j.issn.1000-4432.2021.07.17
发布日期:2023-06-08
作者:
秦晓怡 ,杨顺海 ,王友沛 ,杨开颜 ,张炎 ,方敏敏
展开更多

关键词

囊尾蚴病
眼囊尾蚴病
病理诊断
石灰小体

摘要

目的:探讨眼囊尾蚴病的临床病理学特点。方法:回顾性分析7例眼囊尾蚴病的临床资料、大体与镜下病理改变。结果:男女性别比1:6,平均年龄24.7(中位数20)岁。临床以眼睑与眼周红肿、肿胀为主要症状3例,视物不清、视力下降2例,复视1例,结膜红肿1例。囊尾蚴寄生于球结膜1例,寄生于眼球内2例,寄生于眼眶内4例。7例均见到猪囊尾蚴,均在虫体内找到石灰小体,其中2例伴有坏死,可在坏死物中找到石灰小体。结论:眼囊尾蚴病以青少年女性多见,眼内型以视力下降为主要症状,眼眶型以眼睑与眼周红肿、肿胀为主要症状。找到囊尾蚴虫体与头节是眼囊尾蚴病明确诊断依据之一,石灰小体是该病重要病理诊断线索。

全文

猪囊尾蚴病,又称囊虫病,是一种寄生虫病,寄生虫虫体是猪带绦虫幼虫——囊尾蚴。本病呈世界性分布,主要流行于东亚、南亚、拉丁美洲以及撒哈拉以南的非洲等中、低收入发展中国家及地区,全球约有5 000万人感染囊尾蚴病[1]。本病曾在我国广泛流行。1992年首次全国人体寄生虫分布调查结果显示:囊尾蚴病分布于我国27个省(市、自治区)[2] 。2001~2004年第二次全国人体重要寄生虫病现状调查结果显示:有8个省(市、自治区)人群血清抗囊尾蚴抗体阳性率高于全国平均水平0.58%,主要分布在中西部地区[2]。猪囊尾蚴易寄生于人体多个器官,如肌肉、皮肤、中枢神经系统与眼,从而引起机体不同反应及症状。如神经系统囊尾蚴病患者可出现头痛、癫痫等症状甚至致死,眼囊尾蚴患者可引起复视、眼周肿胀、视力下降等症状甚至致盲。眼囊尾蚴病的临床特点及影像特征已有较多报道[3-4],但对临床病理分析报道较少。本文对7例眼囊尾蚴病的临床病理学表现进行回顾性总结,以期提高对这一寄生虫感染性疾病的认识。

1 对象与方法

1.1 对象

收集温州医科大学附属眼视光医院病理科与天津市眼科医院病理科1983年1月至2020年12月眼囊尾蚴病7例,其中1例为结膜下囊尾蚴病,2例为眼球内囊尾蚴病,4例为眼眶囊尾蚴病。

1.2 方法

对7例眼囊尾蚴病标本的临床资料、大体表现以及常规HE切片光学显微镜下的形态学表现进行复习总结,其中临床资料与大体表现均来自于病理检查申请单。

2 结果

2.1 临床资料

患者男1例,女6例,年龄5~56(平均年龄24.7,中位数20)岁,病程10 d到2年余不等,多在5个月内,平均8.3个月,中位数4个月。临床表现为视物不清1例,视力下降1例,复视1例,结膜红肿1例,眼睑肿胀1例,眼睑与眼周红肿2例。囊尾蚴寄生于颞下方球结膜1例;寄生于眼球内2例,其中寄生于玻璃体1例,寄生于视盘及相邻视网膜下1例;寄生于眼眶内4例,其中寄生于眶前部1例,同时寄生于眶前部与眼睑1例,寄生于眼外肌2例。其中年龄最大的患者病史2年余,虫体寄生于眶前部,但在1年前曾切除同侧结膜肿物并诊断为“结膜寄生虫”,具体类型不详。1例眼眶囊尾蚴病10 d前诊断为“眶蜂窝织炎”,曾给予氢化泼尼松、头孢唑啉钠抗感染消肿治疗1周。眼外肌、眶前部共4例行计算机断层扫描(computed tomography,CT)检查,其中累及内直肌病例CT示眶内上方中等密度影,并沿内直肌向后延伸;累及下直肌病例CT示眶下方中等密度影;累及眶前部2例CT示眶周及眼睑低密度软组织肿胀影,软组织肿块内示点状高密度阴影。

2.2 病理学表现

2.2.1 大体表现
4例大体标本为虫体,其中3例为灰白色或淡黄色卵圆形囊性虫体,分别取自颞上方球结膜下、视盘颞下区视网膜下与下直肌,大小6 mm ×2 mm × 2 mm~10 mm × 6 mm × 4 mm,表面光滑,部分半透明,可透见白色头节(图1A),囊内充满液体;1例为不规则形状虫体,取自内直肌及周围,大小9 mm × 3 mm × 3 mm,前部细长可见白色头节,后部有囊样和囊皮样组织(图1B);仔细查找头节内有4个吸盘、1个顶突和2圈小钩。1例为眼球摘除术标本,切开眼球见视网膜完全性脱离,视网膜下为凝胶状黄绿色胶冻物,下方近中央处有一卵圆形白色物,大小约3 mm × 3 mm × 2 mm。2例取自眶前部,其中1例为黄白色无包膜组织,切面实性,黄白色,均质,边缘可见可疑囊性小结节;另1例为灰红色组织,切面实性,灰红色,质偏嫩,灶区见囊性病变,内见乳白色条索状虫体,当时未注意是虫体及查找头节(图1C)。
20230608145203_2647.png

图1 眼囊尾蚴病大体表现
Figure 1 The gross presentation of specimen of ocular cysticercosis
(A)虫体呈卵圆形淡黄色半透明的囊泡状,可透见白色头节;(B)不规则形状虫体;(C)灰红色组织切面见乳白色条索状虫体。
(A) The bladderworm was light yellow, ovoid-shaped and translucent vesicle-like structures and the white scolex was visible; (B) The bladderworm was irregular shape; (C) The milky-white striped bladderworm was seen in the section of grayish-red specimen.

2.2.2 组织病理学表现
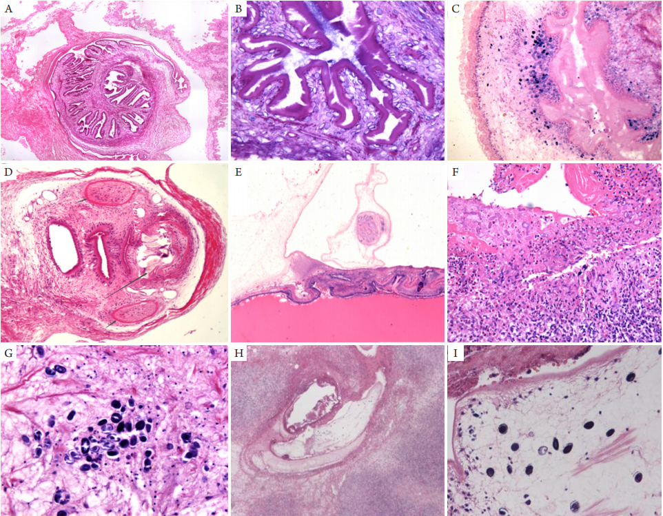
4例大体为虫体的标本,3例镜下均可见猪囊尾蚴头节与虫体(图2A–2C),囊壁外表面扭曲不平呈波浪状,虫体体壁由外向内分别为皮层、细胞核层与实质层:皮层为嗜酸性红染玻璃状薄膜,表面有绒毛状结构;细胞核层为单层至复层细胞,部分区域细胞较密集,部分区域细胞较疏松,细胞分界欠清,核呈椭圆形或长椭圆形,垂直于皮层排列;紧邻细胞核层的实质层内含有大量卵圆形或椭圆形淡蓝染、蓝染石灰小体,深部实质层有卵圆形实质细胞与梭形平滑肌纤维细胞;虫体内腔隙表现为较多大小、粗细不等的“脊”样突起结构,大量淡蓝染石灰小体主要集中在此结构中;1例猪囊尾蚴虫体位于视网膜下,虫体结构与前3例相似伴坏死,引起视网膜炎。头节经连续切片,内可见吸盘和小钩(图2D)。1例眼球标本玻璃体内见猪囊尾蚴,所见虫体及头节与前述3例标本相似,内腔隙呈“脊”样突起结构与皮层、细胞核层及实质层3层,伴有变性、坏死,实质层可见大量蓝染、深蓝染卵圆形石灰小体,周围组织见淋巴细胞、浆细胞、嗜酸性粒细胞浸润和组织细胞、巨噬细胞聚集,伴视网膜前纤维组织增生,形成慢性肉芽肿性视网膜炎、视网膜前炎性纤维膜,并引起牵拉性完全性视网膜脱离和视网膜下大量粉染浆液性渗出(图2E)。2例眼眶囊尾蚴病,其中1例猪囊尾蚴虫体坏死崩解,坏死物内可见较多蓝紫染卵圆形、椭圆形石灰小体,似钙化的虫卵,虫体周围组织大量嗜酸性粒细胞、淋巴细胞、浆细胞浸润伴组织细胞、巨噬细胞聚集,形成慢性肉芽肿性炎(图2F,2G),另1例虫体未见坏死,虫体由外到内分别为皮层、细胞核层与实质层,皮层部分呈波浪状、部分平滑,实质内可见平滑肌纤维与少量蓝染、蓝紫染卵圆形或椭圆形石灰小体,部分石灰小体似钙化的虫卵,虫体周围组织内见大量淋巴细胞、嗜酸性粒细胞、浆细胞浸润伴嗜酸性微脓肿形成(图2H,2I)。
20230608145315_3507.png

图2 眼囊尾蚴病的组织病理学表现
Figure 2 Histological manifestations of ocular cysticercosis
(A)囊壁外表面扭曲不平呈波浪状,虫体内腔隙有“脊”样突起结构(HE,×100);(B)高倍镜下虫体内腔隙“脊”样突起结构中见大量淡蓝染石灰小体(HE,×200);(C)虫体体壁由外向内分别为皮层、细胞核层与实质层,实质层内含大量淡蓝染石灰小体(HE,×100);(D)头节内见吸盘(短箭头)和小钩(长箭头)(HE,×200);(E)玻璃体内猪囊尾蚴,虫体坏死,引起肉芽肿性视网膜炎、视网膜前炎性纤维膜、牵拉性视网膜脱离(HE,×10);(F)虫体坏死崩解,坏死物内可见较多蓝紫染卵圆形、椭圆形石灰小体,其周围肉芽肿性炎症中伴有嗜酸性粒细胞(HE,×200);(G)高倍镜下残存虫体实质层内深蓝染石灰小体(HE,×400);(H)虫体周围组织见大量淋巴细胞、浆细胞、嗜酸性粒细胞浸润伴嗜酸性微脓肿形成(HE,×40);(I)高倍镜下虫体内见少量深蓝染石灰小体及平滑肌(HE,×200)。
(A) Outer surface of cyst wall is distorted and wavy, and there is a “ridge-like” protrusion structure in the internal cavity space of the bladderworm (HE, ×100); (B) High magnification shows a large number of light blue calcareous corpuscles in the “ridge-like” protrusion structure of the internal cavity space of the bladderworm (HE, ×200); (C) The body wall of the bladderworm is divided into 3 parts from outside to inside: cortex, nuclear layer and stromal layer. The stromal layer contains a large number of light blue calcareous corpuscles(HE, ×100); (D) The suckers (short arrow) and small hooks (long arrow) are seen in the scolex (HE, ×200); (E) Intravitreal necrotic cysticercus causes granulomatous retinitis, preretinal inflammatory fibrous membrane, and tractional retinal detachment (HE, ×10);(F) The bladderworm is necrotic and disintegrating. Numerous blueviolet ovoid-shaped calcareous corpuscles are found in necroses whose surroundings are granulomatous inflammation with eosinophils (HE, ×200); (G) High magnification shows dark blue calcareous corpuscles in the bladderworm stroma (HE, ×400); (H) A large number of lymphocytes, plasma cells and eosinophils are infiltrated in tissues surrounding bladderworm and eosinophilic microabscess are formed (HE, ×40); (I) High magnification shows a small amount of dark blue calcareous corpuscle and smooth muscle in the bladderworm stroma (HE, ×200).

3 讨论

眼囊尾蚴病是一种可致盲的寄生虫感染性疾病,是最常见的眼部绦虫感染[5]。当人误食猪带绦虫虫卵或携带卵子的成熟孕节,经24~72 h后,虫卵内的六钩蚴逸出,钻入肠壁静脉或淋巴管,随血液或淋巴液最终可到达眼眶,引起眼眶内局部纤维组织增生,形成纤维囊包绕幼虫,再经约10周六钩蚴发育成成熟的囊尾蚴,呈圆形或椭圆形。六钩蚴可经睫状前动脉、睫状后动脉或视网膜中央动脉进入眼球内,大多寄生在后极部视网膜下或穿入玻璃体内,再发育成囊尾蚴。
本研究中眼囊尾蚴病以青少年人居多、女性多见,与文献[6-7]报道的好发于儿童和青年、无性别差异有所不同,可能是病例数不多所致。该病的临床表现多种多样,取决于囊尾蚴在眼部寄生的部位、数量、和周围组织的关系、病变发展的阶段及宿主的免疫反应。眼眶囊尾蚴病可寄生于眼外肌、结膜下间隙、眶前部、球后间隙、眶前眼睑、视神经、泪腺和泪囊[8],其中以眼外肌最为常见,而眼外肌又以上直肌受累最为常见[9]。眼内囊尾蚴病可寄生于眼前段与眼后段,以视网膜下与玻璃体常见。眼内型较眼眶型多见[10-11]。而本研究中的7例病例则以眼附属器多见,占71.4%(5/7),眼内型占28.6%(2/7),和Sekhar等[12]认为最常见寄生部位是眼附属器一致。该病发病初期症状不明显,随着囊尾蚴数量增多,临床症状逐渐加重,可表现为眼周肿胀、进行性眼球突出、上睑下垂、眼球活动受限、复视、斜视、视力下降、眼睑水肿、眼眶蜂窝织炎等。视神经受累罕见[13],可引起视力下降、视盘水肿、视神经萎缩等。玻璃体内或视网膜下的猪囊尾蚴可引起玻璃体混浊、液化与变性,死亡退变的虫体可引起炎症反应和纤维增殖性病变。本研究中临床表现为视力下降、视物不清的2例为眼球内玻璃体或视网膜受累,其他临床表现的病例为眼眶或结膜受累。有些病例可发生多条眼外肌同时受累或者脑囊尾蚴病与提上睑肌和上直肌同时受累[9,14-15]。本研究中1例左眼眶前部囊尾蚴病曾在1年前切除左结膜寄生虫,可考虑眶前部与结膜同时受累。
CT、磁共振成像(magnetic resonance imaging,MRI)是囊尾蚴病最常用的影像技术之一,其影像学具有特征性,在囊尾蚴病的定位、定性上有一定价值。CT常表现为低到中等密度影,提示炎症性改变,其中点状高密度影可能提示有较多钙化小体或慢性虫体钙化[4]。脑MRI表现为脑实质内单发或多发小圆形囊状长T1长T2信号,内见逗点状稍短T1、短T2信号,增强囊壁强化[16]
眼囊尾蚴病的诊断依据之一是通过大体和镜下病理学检查找到猪囊尾蚴虫体和头节,尤其是头节的特征性双钩结构[17]。本研究中7例病例病理学检查均找到囊尾蚴虫体,其中5例找到头节,占71.4%(5/7),内可见较多大小、粗细不等的“脊”样突起结构伴见大量淡蓝染石灰小体。虫体由表及里分别为皮层、细胞核层与实质层,表面有绒毛状结构,实质层内含有大量卵圆形或椭圆形淡蓝染、蓝染、深蓝染或蓝紫染石灰小体。濒死退变或坏死崩解的囊尾蚴可释放毒素引起严重的炎症反应,如肉芽肿性炎症、大量嗜酸性粒细胞浸润及嗜酸性脓肿形成等。眼内的活囊尾蚴也可发生炎症反应,而位于玻璃体比位于视网膜下更容易发生炎症反应,并发症除严重炎症外,还可以发生继发性渗出性视网膜脱离、增殖性玻璃体视网膜病变、继发性青光眼、并发性白内障等,并最终致盲。
石灰小体是绦虫成虫和幼虫实质组织中的特征性结构与固有成分,为散布的钙和镁的碳酸盐微粒,其外面被以胞膜而呈椭圆形,由虫体实质内的石灰小体细胞形成和释放,具有缓冲和平衡进入体内的酸性物质的作用[18]。当虫体死亡崩解后,石灰小体在相当长的时间内仍然稳定存在、结构清晰,因此,是猪囊尾蚴病的重要诊断线索[19]。本研究7例中有2例虫体有退变或坏死崩解,坏死物内可见较多蓝紫染卵圆形、椭圆形石灰小体,可作为该病的重要病理诊断线索。
眼囊尾蚴病需与眼部其他的绦虫幼虫感染相鉴别,需结合流行地区、大体与镜下病理学检查进行,单纯依靠石灰小体难以鉴别。1 )眼包虫病,又称棘球蚴病,为细粒棘球蚴感染所致,是不常见的眼部绦虫幼虫感染。组织病理学上棘球蚴囊壁由多层无结构物质组成,其生发层可长出许多头节并脱离,使囊腔内含液体和头节,即所谓“棘球砂”,此为其特征性结构。2 )裂头蚴病,为曼氏迭宫绦虫幼虫感染所致,是少见的眼部绦虫幼虫感染,主要依靠头节进行鉴别,虫体头端膨大,中央有一明显凹陷是其特征。3 )牛带绦虫幼虫感染,有专家认为该虫囊尾蚴不在人体内寄生[20],主要依靠头节进行鉴别,其头节无顶突与小钩。后3种寄生虫病主要发生于我国西部牧区,在眼部寄生不常见或罕见。
根据GB/T 18644-2020国标,本病诊断除形态学检查外,尚需结合血液免疫学检查结果综合判定,包括聚合酶链式反应法、间接酶联免疫吸附试验、斑点生物素-亲和素复合物酶联免疫吸附试验检测结果。该血液免疫学结果特异性针对猪囊尾蚴病。
综上所述,在眼球及其附属器内找到猪囊尾蚴虫体与头节是诊断眼囊尾蚴病的确诊依据之一,在严重炎症组织内未找到虫体的情况下,石灰小体可作为眼囊尾蚴病的重要病理诊断线索。
志谢
感谢天津市眼科医院林锦镛教授提供部分病例资料。

利益冲突

所有作者均声明不存在利益冲突

开放获取声明

本文适用于知识共享许可协议(Creative Commons),允许第三方用户按照署名(BY)-非商业性使用(NC)-禁止演绎(ND)(CC BY-NC-ND)的方式共享,即允许第三方对本刊发表的文章进行复制、发行、展览、表演、放映、广播或通过信息网络向公众传播,但在这些过程中必须保留作者署名、仅限于非商业性目的、不得进行演绎创作。详情请访问:https://creativecommons.org/licenses/by-nc-nd/4.0/。

基金

暂无基金信息

参考文献

1. Rizvi SA, Saleh AM, Frimpong H, et al. Neurocysticercosis: A case report and brief review[ J]. Asian Pac J Trop Med, 2016, 9(1): 100-102.
2. 李焕璋, 臧新中, 钱门宝, 等. 囊尾蚴病流行现况及研究进展[ J]. 中国血吸虫病防治杂志, 2018, 30(1): 99-103.
LI HZ, ZANG XZ, QIAN MB, et al. Current status and research progress of cysticercosis[ J]. Chinese Journal of Schistosomiasis Control, 2018, 30(1): 99-103.
3. Joob B, Wiwanitkit V. Clinical profile of ocular cysticercosis[ J]. Ocul Immunol Inflamm. 2018, 26(4): 558.
4. 吴秀丽. 猪囊尾蚴病影像学表现分析[ J]. 中国临床研究, 2014, 27(11): 1405-1407.
WU XL. Analysis of imaging manifestations of cysticercosis[ J]. Chinese Journal of Clinical Research, 2014, 27(11): 1405-1407.
5. Myron Yanoff, Joseph W. Sassani. Ocular pathology[M]. 8th edition. New York: Elsevier Inc., 2020: 95-96.
6. Lombardo J. Subretinal cysticercosis[ J]. Optom Vis Sci, 2001, 78(4): 188-194.
7. Pushker N, Bajaj MS, Betharia SM. Orbital and adnexal cysticercosis[ J]. Clin Exp Ophthalmol, 2002, 30(5): 322-333.
8. Agrawal S, Ranjan S, Mishra A. Ocular myocysticercosis: An unusual case of ptosis[ J]. Nepal J Ophthalmol, 2013, 5(2): 279-281.
9. Rath S, Honavar SG, Naik M, et al. Orbital cysticercosis: Clinical manifestations,diagnosis,management,and outcome [ J] . Ophthalmology, 2010, 117(3): 600-605.
10. Kruger-Leite E, Jalkh AE, Quiroz H, et al. Intraocular cysticercosis[ J]. Am J Ophthalmol, 1985, 99(3): 252-257.
11. 李亚明, 岳东雷, 朱淮成. 70例猪囊尾蚴病眼部损害的临床分 析[ J]. 中国病原生物学杂志, 2006, 1(2): 161.
YI YM, YUE DL, ZHU HC. Clinicopathological analysis of 70 cases of ocular injury of ocular cysticercosis[ J]. Journal of Pathogen Biology, 2006, 1(2): 161.
12. Sekhar GC, Lemke BN. Orbital cysticercosis[ J]. Ophthalmology, 1997, 104(10): 1599-1604.
13. Madan VS, Dhamija RM, Gill HS, et al. Optic nerve cysticercosis: A case report[ J]. J Neurol Neurosurg Psychiatry, 1991, 54(5): 470-471.
14. Sundaram PM, Jayakumar N, Noronha V. Extraocular muscle cysticercosis - a clinical challenge to the ophthalmologists[ J]. Orbit, 2004, 23(4): 255-262.
15. Verma R, Jaiswal A. Multiple brain parenchymal neurocysticercosis with extraocular muscle cysticercosis affecting levator palpebral superioris and superior rectus complex: An unusual association[ J]. BMJ Case Rep, 2013, 2013: bcr2012007421.
16. 张忠志. 脑囊虫病的影像学诊断[ J]. 中国社区医师(医学专业), 2011, 13(17): 207-208.
ZHANG ZZ. Imaging diagnosis of cerebral cysticercosis[ J]. Chinese Community Doctors, 2011, 13(17): 207-208.
17. 李德本. 脑猪囊尾蚴病的临床病理诊断[ J]. 临床与实验病理学 杂志, 2002, 18(5): 474-476.
LI DB. Clinicopathologic diagnosis of cerebral cysticercosis[J]. Chinese Journal of Clinical and Experimental Pathology, 2002, 18(5): 474-476.
18. Wang JY, Cui G, Chen HT, et al. Current epidemiological profile and features of visceral leishmaniasis in People's Republic of China[ J]. Parasit Vectors, 2012, 5: 31.
19. Khin SS, Kitazawa R , Htet K , et al. Intestinal inflammator y pseudotumor caused by taeniasis: Calcareous corpuscles as a diagnostic clue[ J]. Pathol Int, 2013, 63(3): 193-194.
20. 崔晶, 王中全. 绦虫[M]//周庭银, 章强强. 临床微生物学诊断与 图解(下册). 第4版. 上海: 上海科学技术出版社, 2017: 835-837.
CUI J, WANG ZQ. Tapeworm [M]//ZHOU Tingyin, ZHANG QQ. Diagnosis and illustration of clinical microbiology (volume two). 4th edition. Shanghai: Shanghai Scientific and Technical Publishers, 2017: 835-837.

相关文章