返回

眼眶泪腺淋巴上皮癌1例

阅读量:4619
DOI:10.3978/j.issn.1000-4432.2021.07.19
发布日期:2023-06-26
作者:
王玉川 ,李静 ,林锦镛
展开更多

关键词

淋巴上皮癌
泪腺
病理学特征

摘要

眼眶泪腺淋巴上皮癌是一种非常少见的恶性肿瘤。本例为一位46岁女性患者,表现为左眼睑红肿、眼球突出和视力下降,临床和影像学表现类似于泪腺炎型假瘤。手术完整切除后送检病理检查,其特征是未分化的癌巢之间有大量分化成熟的淋巴细胞、浆细胞浸润,确诊为淋巴上皮癌。术后行化学治疗和局部放射治疗,随访6.5年无复发。眼眶泪腺淋巴上皮癌的临床表现容易与泪腺炎型假瘤相混淆,应该进行病理学检查以明确其恶性表型,完整切除后辅助放化学治疗有较好的效果。

全文

眼眶泪腺淋巴上皮癌是一种非常少见的未分化癌,其突出的病理学特征是伴有明显的非肿瘤性淋巴细胞、浆细胞浸润。本文回顾性分析了1例眼眶泪腺淋巴上皮癌,探讨其临床病理学特征。

1 临床资料

患者女,4 6岁,因左眼睑反复红肿1 0个月,眼球突出逐渐加重和视力下降,于2007年10月9日来天津市眼科医院治疗。患者1 0个月前发现左眼上眼睑红肿,在当地医院诊断为眼睑皮肤过敏,治疗半年无好转(具体治疗不详)。1个月前左眼睑肿胀加重、眼球突出和视力下降,在当地医院经眼眶计算机断层扫描(computed tomography,CT)检查,显示眼眶外上方泪腺区椭圆形占位性病变,眶骨壁完整无破坏。磁共振成像(magnetic resonance imaging,MRI)检查显示病变区T1权重像(T1-weighted imaging,T1WI)为中低信号,T2权重像(T2-weighted imaging,T2WI)为中高信号。当地医院结合眼睑红肿、结膜充血的临床表现,诊断为左眼眶内炎性假瘤,泪腺炎型,并给予头孢呋辛钠、地塞米松、丁胺卡那霉素等相关药物治疗。因治疗效果不佳,眼球突出逐渐加重,视力明显下降,转来天津市眼科医院治疗。

1.1 临床检查

患者全身情况尚可,未见其他病变。眼部检查:右眼视力1.0,外眼和眼底检查未见异常;左眼视力指数/20 cm,眼球突出并向鼻下方移位,眼球突出度9 mm,眼球上转不能,内、外、下转受限严重,眼球运动受限,上眼睑高度红肿且有压痛,睑裂闭合不全,结膜高度充血水肿,角膜上皮有点片状灰白色混浊,虹膜正常,瞳孔反射(+),晶状体透明,眼底窥不清。左眼眶外上缘可触及质地较硬的肿物、约呈2 cm × 3 cm,边界不清,有压痛;眶压(++) (图1)。彩色超声波检查显示左眼眶外上方占位性病变,约呈3.08 cm × 1.81 cm,形态不规则,边界不清晰,内回声不均匀,有丰富血流信号,眼球壁受压明显。复查眼眶CT,显示左眼眶泪腺增大,眼眶内不规则团块影,边界欠清,内部密度不均,增强后可见均匀强化,邻近外侧眶骨壁有虫蚀状缺损,眼球受压(图2)。当地MRI显示,眶外上泪腺区椭圆形占位,T1WI为中低信号,T2WI为中高信号(图3)。结合患者的临床表现和天津市眼科医院CT检查结果,考虑为左眼眶部泪腺区占位性病变,不能排除恶性肿瘤。2007年10月12日,患者于全身麻醉下行左眼眶肿物切除术。术中发现眼眶上方充满灰白色肿物,无明显包膜,并侵及提上睑肌和眶上神经。
20230626161503_5399.png

图1 患者外眼像显示左眼上睑高度红肿、结膜充血和眼球突出
Figure 1 Clinical photograph of the patient presenting with a swollen red upper eyelid, conjunctival congestion and proptosis

20230626161555_8529.png

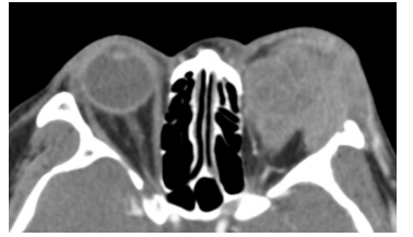
图2 横轴位CT图像显示左眼眶内不规则团块影,侵及邻近软组织和外侧骨壁
Figure 2 Axial CT demonstrating irregular mass involving soft tissue and bone in the left orbit

20230626161642_4157.png

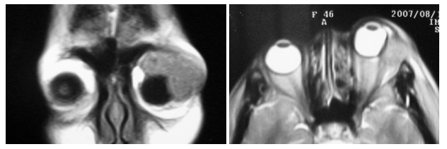
图3 MRI图像显示左眼眶外上方肿物,T1中低信号,T2中高信号
Figure 3 MRI showing mass with iso/hypo-intensity on T1WI, and iso/hyper-intensity on T2WI in the superotemporal aspect of the orbit

1.2 病理检查

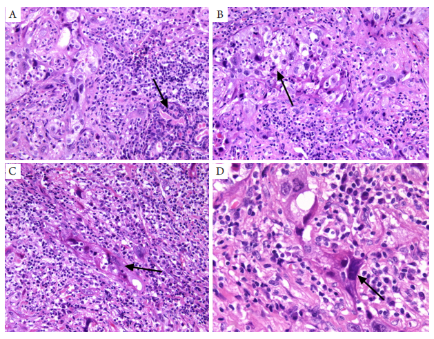
送检肿物呈碎块状,堆积面积呈4 cm × 4 cm ×1.7 cm,灰黄色。镜下肿瘤细胞排列成岛状、片块状或条索状,瘤细胞间有大量分化成熟的淋巴细胞和浆细胞浸润。肿瘤细胞体积较大、多边形或梭形、细胞界限清楚或不清楚,细胞质嗜酸,胞核呈椭圆形,核染色质较淡,有明显的核仁。瘤细胞有明显的异型性,可见较多的病理性核分裂像(图4)。肿瘤细胞侵及眼外肌纤维。部分区域可见残留的泪腺组织,腺泡上皮基本正常,腺泡间有较多的分化成熟的淋巴细胞和浆细胞浸润,未见到良性上皮细胞岛状增生。免疫组织化学染色结果显示:肿瘤细胞细胞角蛋白AE1/AE3和上皮膜抗原(epithelial membrane antigen,EMA)呈阳性表达,增殖细胞核抗原(proliferating cell nuclear antigen,PCNA)阳性细胞>50%,细胞增殖抗原Ki67阳性细胞>30% (图5);肿瘤间质中的淋巴细胞分别对白细胞分化抗原3(cluster of differentiation 3,CD3) 或白细胞分化抗原20(cluster of differentiation 20,CD20)呈阳性表达。病理诊断:左眼眶部泪腺淋巴上皮癌。2014年6月对患者进行电话随访,患者术后在当地医院接受了进一步放射治疗(以下简称放疗)和化学治疗(以下简称化疗)(放疗方案不详;化疗药物为长春新碱、环磷酰胺和卡铂,具体剂量不详),目前除左侧颌下淋巴结肿大外,无眼眶内肿物复发或其他全身病变。
20230626161843_4481.png

图4 泪腺淋巴上皮癌的组织病理学特征(HE染色)
Figure 4 Histopathological characteristics of lymphoepithelial carcinoma of orbital lacrimal gland (HE staining)
(A)瘤体内可见残存的泪腺组织(箭头,×200);(B-D)肿瘤细胞排列成片块状、条索状,异型性明显,肿瘤细胞周围有大量淋巴细胞和浆细胞浸润(箭头示肿瘤细胞;B-C,×200;D,×400)。
(A) The remaining lacrimal gland tissue could be found in the tumor (arrow, ×200); (B-D) Tumor cells with obvious atypia were arranged in lumps and strips, which were surrounded by a lot of lymphocytes and plasma cells (arrows indicate tumor cells; B-C, ×200; D, ×400).

20230626161956_0885.png

图5 泪腺淋巴上皮癌的免疫组织化学特征(免疫组织化学染色)
Figure 5 Immunohistochemical characteristics of lymphoepithelial carcinoma of orbital lacrimal gland (immunohistochemistry staining)
(A)癌细胞对细胞角蛋白(AE1/AE3)呈阳性表达(箭头;×400);(B)癌细胞对上皮膜蛋白(EMA)呈阳性表达(箭头;×200);(C)部分癌细胞对Ki67呈阳性表达(箭头;×400)。
(A) AE1/AE3 was positive in tumor cells (arrow; ×400); (B) EMA was positive in tumor cells (arrow; ×200); (C) Ki67 was positive in a part of tumor cells (arrow; ×400).

2 讨论

淋巴上皮癌是一种伴明显的非肿瘤性淋巴浆细胞浸润的未分化癌,非常少见。本病主要发生于腮腺、颌下腺和小唾液腺,约占涎腺肿瘤的0.3%~0.4%,有显著的人种和地理分布特点。本病曾被称为恶性淋巴上皮病变、淋巴上皮瘤样癌等,WHO头颈部肿瘤分类第3版正式统一命名为淋巴上皮癌[1]。眼眶泪腺部淋巴上皮癌的病例报道极其罕见,文献[2-3]中仅查到2例。另外有2例报道分别发生于泪囊和鼻泪管部位[4-5]。淋巴上皮癌的病因还不十分明确,近年来发现,大多数涎腺淋巴上皮癌病程较短,临床上无眼干、口干和类风湿性关节炎等自身免疫性疾病,肿瘤中也未发现良性淋巴上皮病变成分,因此多数学者认为其属于原发性肿瘤,来自于涎腺导管上皮的恶变,部分病例与Epstein-Barr (EB)病毒感染有关[1,6]。本例患者病程仅1 0个月,单眼发病,无眼干、口干、唾液腺肿大或自身免疫性疾病病史,病理检查肿瘤中未见到良性上皮肌上皮岛状增生,因此考虑本例淋巴上皮癌属于原发性肿瘤。
本例患者为中年女性、有近1 0个月的病史,最初表现为左眼上睑红肿和眶部泪腺区肿物,当地医院临床诊断为左眼睑皮肤过敏性炎症和左眼眶非特异性泪腺炎,并采用了相关的药物治疗,但治疗效果不佳,病情逐渐加重,并伴有眼球突出和明显的视力下降。患者转诊到天津市眼科医院后,结合当地医院的影像学检查结果,临床表现与泪腺炎型炎性假瘤十分类似,但复查眼眶C T显示左眼眶外侧骨壁有虫蚀状缺损,因而考虑不能排除眼眶恶性肿瘤性病变。手术标本的病理学检查证实为泪腺淋巴上皮癌。本病例提示:泪腺淋巴上皮癌可表现有眼眶炎性假瘤或非特异性泪腺炎的临床体征;相关的药物治疗无明显效果时应考虑到泪腺肿瘤的可能性;泪腺淋巴上皮癌病程发展较快,后期可引起眼眶骨壁的破坏。患者眼睑红肿和压痛的临床表现可能与肿瘤细胞间存在大量淋巴细胞、浆细胞浸润和泪腺组织的炎症有关。
本例肿瘤主要特征为:1 )临床表现为上眼睑皮肤红肿和泪腺区肿物,对相应的抗炎和皮质类固醇激素治疗效果不佳;2 )肿瘤位于眼眶上方,边界不清,无明显包膜,侵及提上睑肌、眶上神经和眶外侧骨壁;3 )病理学形态与涎腺淋巴上皮癌的特点一致,肿瘤细胞呈多边形或梭形,排列成片块状和小岛状,瘤细胞巢之间有大量分化成熟的淋巴细胞和浆细胞浸润,肿瘤细胞对AE1/AE3和EMA呈阳性表达。患者术后在外院做了化疗和局部放疗,至今已有6.5年,目前除左侧颌下淋巴结肿大外,眶内肿瘤无复发,无明显其他疾病和远处转移性病灶。左侧颌下淋巴结肿大可能是肿瘤局部转移的表现,但未经病理学检查证实。有关涎腺淋巴上皮癌的文献[7-10]指出,本瘤主要是采用手术彻底切除,术后辅以放疗有较好的效果。淋巴上皮癌多呈局部浸润性生长,容易向区域淋巴结转移,远处转移主要是肺、肝和骨组织。泪腺淋巴上皮癌非常罕见,临床上应当了解本瘤的特征,注意和泪腺多形性腺瘤、眶内炎性假瘤、淋巴上皮病变和其他泪腺原发性癌等鉴别。

利益冲突

所有作者均声明不存在利益冲突。

开放获取声明

本文适用于知识共享许可协议(Creative Commons),允许第三方用户按照署名(BY)-非商业性使用(NC)-禁止演绎(ND)(CC BY-NC-ND)的方式共享,即允许第三方对本刊发表的文章进行复制、发行、展览、表演、放映、广播或通过信息网络向公众传播,但在这些过程中必须保留作者署名、仅限于非商业性目的、不得进行演绎创作。详情请访问:https://creativecommons.org/licenses/by-nc-nd/4.0/

基金

暂无基金信息

参考文献

1. Leon Barnes, John W. Eveson, Peter Reichart, 等. 头颈部肿瘤病理 学和遗传学[M]. 刘红刚, 高岩, 主译. 北京:人民卫生出版社, 2006: 292-294.
Leon Barnes, John W. Eveson, Peter Reichart, et al. Pathology and genetics of head and neck tumours[M]. Translated by LIU HG, GAO Y. Beijing: People’s Health Publishing House, 2006: 292-294.
2. Bloching M, Hinze R, Berghaus A. Lymphepithelioma-like carcinoma of the lacrimal gland[ J]. Eur Arch Otorhinolaryngol, 2000, 257(7): 399-401.
3. Rao NA, Kaiser E, Quiros PA, et al. Lymphoepithelial carcinoma of the lacrimal gland[ J]. Arch Ophthalmol, 2002, 120(12): 1745-1748.
4. Liu YT, Lin CI, Kao SC, et al. Lymphoepithelial carcinoma of the lacrimal sac[ J]. Eye (Lond), 2009, 23(7): 1612-1615.
5. Khouchani M, Elmorabit B, Elomrani A, et al. Lymphoepithelial carcinoma of the conjunctiva: an unusual location[ J]. Cancer Radiother, 2012, 16(3): 219-221.
6. Whaley RD, Carlos R, Bishop JA, et al. Lymphoepithelial carcinoma of salivary gland EBV-association in endemic versus non-endemic patients: A report of 16 cases[ J]. Head Neck Pathol, 2020, 14(4): 1001-1012.
7. Leiser Y, Peled M, Wolff A, et al. Lymphoepithelial carcinoma--Review of the treatment modalities and report of a rare case in the sublingual gland[ J]. J Oral Maxillofac Surg, 2014, 72(4): 823-828.
8. Zhang G, Tang J, Pan Y, et al. CT features and pathologic characteristics of lymphoepithelial carcinoma of salivary glands[ J]. Int J Clin Exp Pathol, 2014, 7(3): 1004-1011.
9. 吴静, 林素暇, 杨秋霞, 等. 涎腺淋巴上皮样癌的影像表现[ J]. 中 华放射学杂志, 2012, 46(8): 747-749.
WU J, LIN SX, YANG QX, et al. Imaging features of lymphoepithelioid carcinoma of salivary gland[ J]. Chinese Journal of Radiology, 2012, 46(8): 747-749.
10. 梅银娥, 吴湣, 周春泉, 等. 下颌下腺淋巴上皮癌1例报告及文献 复习[ J]. 口腔颌面外科杂志, 2014, 24(2): 158-161.
MEI Y’e, WU M, ZHOU CQ, et al. Lymphoepithelial carcinoma of submandibular gland: A case report and literature review[ J]. Journal of Oral and Maxillofacial Surgery, 2014, 24(2): 158-161.

相关文章