原发性空泡蝶鞍综合征致双眼视乳头水肿一例
阅读量:2923
发布日期:2024-11-13
作者:
王建明 ,惠娜 ,范雅稚 ,李霞 ,孙乃学
展开更多 '%20fill='white'%20fill-opacity='0.01'/%3e%3cmask%20id='mask0_3477_29692'%20style='mask-type:luminance'%20maskUnits='userSpaceOnUse'%20x='0'%20y='0'%20width='16'%20height='16'%3e%3crect%20id='&%23232;&%23146;&%23153;&%23231;&%23137;&%23136;_2'%20x='16'%20width='16'%20height='16'%20transform='rotate(90%2016%200)'%20fill='white'/%3e%3c/mask%3e%3cg%20mask='url(%23mask0_3477_29692)'%3e%3cpath%20id='&%23232;&%23183;&%23175;&%23229;&%23190;&%23132;'%20d='M14%205L8%2011L2%205'%20stroke='%23333333'%20stroke-width='1.5'%20stroke-linecap='round'%20stroke-linejoin='round'/%3e%3c/g%3e%3c/g%3e%3c/svg%3e)
关键词
视乳头水肿
原发性空泡蝶鞍综合征
摘要
目的: 报道原发性空泡蝶鞍综合征致双眼视乳头水肿病案 1 例。
方法: 回顾性研究1例原发性空泡蝶鞍综合征致双眼视乳头水肿患者的临床表现、眼底改变、CT 和 MRI 影像学检查的特征、治疗方法及疗效。
结果 : 原发性空泡蝶鞍综合征致双眼视乳头水肿除有典型视乳头水肿的临床表现外,蝶鞍 MRI 亦显示垂体窝呈液型信号、垂体上缘受压凹陷、垂体变薄等典型空泡蝶鞍影像学表现。手术治疗后患者视乳头水肿改善、视力提高。
结论: 蝶鞍 MRI 是诊断原发性空泡蝶鞍综合征的首选影像学检查方法。视力下降明显的患者及时行蝶鞍区手术,术后效果良好。
全文
视乳头水肿是眼科常见的体征之一,其常见病因有: 颅内疾病、严重的全身疾病、眼眶内病变和眼压突然降低等,其中颅内疾病以颅内占位性病变最常见。我们确诊一例由原发性空泡蝶鞍综合征所致双眼视乳头水肿,现回顾性报告如下。
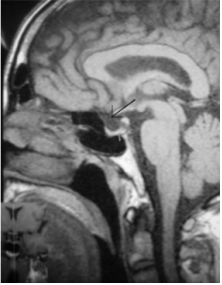
患者, 男, 63 岁,工人,以“双眼视力突然下降 8 d”之主诉于 2007 年 8 月 21 日入院。8 d 前无明显诱因出现双眼视力突然下降,伴左眼前固定黑影,无眼球运动痛,无眼胀,无头痛。在当地某三级甲等医院诊断为 “双眼视乳头水肿? 双眼视乳头炎? ”,给予甲钴铵、复合维生素 B、复明片等药物口服,疗效欠佳。后来我院就诊,门诊检查后以“双眼视乳头水肿”之诊断收住我院。患者有12年高血压病史,口服药物治疗,血压控制良好。入院查体: T 35.6℃,P 62 次 /分 , R 19 次 /分 , BP 140/90(1 mmHg=0.133 kPa) , 心、肺、腹无明显异常。右眼视力(矫正视力, 以下同) 0.5 ,左眼视力 0.25。眼压(Non-contact tonometer, NCT) : 右 10.7 mmHg, 左 10.9 mmHg。双外眼正常,双眼眼球运动及眼位正常。双眼角膜透明, 直径约 11 mm。前房深度正常,房水闪辉阴性,细胞阴性。双眼瞳孔直径 3 mm,居中,圆,直接光反应和间接光反应灵敏。双眼晶体位置正常、密度增高,双眼玻璃体透明。双眼视盘边界不清,呈绒毛状,色淡红,C/D= 0.3,动脉细,静脉极度充盈, A/V= 1:2, 视盘周围有片状出血,视盘周边网膜水肿,黄斑中心凹反光不清(图1A、图1B) ,左眼眼底情况较右眼严重。视野检查:双眼视野缩小,生理盲点扩大。入院诊断为: 双视乳头水肿原因待查。完善常规检查,血尿粪常规、心电图、胸部 X 线正位片、肝肾功均无异常。血糖、血脂和血流变检查无异常。患者曾在当地某三级甲等医院拍摄颅脑CT(图2),结果无明显异常。入院后当天行颅脑 MRI 检查,未能清楚显示蝶鞍。2007 年 8 月 22 日进行视觉电生理检查: 双眼 ERG-b 波幅稍低,双眼P-VEP峰时稍延长、振幅低,提示双眼视网膜及视传导功能减退。予以葡萄糖、ATP、辅酶 A、胞二磷胆碱、甲钴铵静脉滴注 。2007 年 8 月 24 日复查双眼视力, 右眼视力升至 0.8, 左眼视力升至 0.4。2007 年 8 月 27 日行腰椎穿刺术, 脑脊液测压力为 170 mmH2O, 颅内压正常。脑脊液常规检查结果正常,脑脊液葡萄糖 4.8 mmol/L、氯 117.6 mmol/L、免疫球蛋白 18.1 mg/dL。双下肢神经诱发电位结果大致正常,双侧脑干听觉诱发电位结果可疑,提示Ⅰ~Ⅴ波波间期稍延长。行蝶鞍 MRI(Magnetic resonance imaging, MRI),影像学表现为: 垂体窝呈液型信号,垂体上缘受压凹陷,垂体变薄,信号均匀,垂体柄居中无增粗,视交叉显示无异常,鞍旁未见异常占位性病变,确诊为空泡蝶鞍(图3) 。患者无鞍内或鞍旁区手术放疗病史,考虑为原发性空泡蝶鞍综合征引起的双眼视乳头水肿。2007 年 8 月 31 日转入神经外科,继续予以能量和营养神经药物治疗。于 2007 年 9 月 6 日行全麻下开颅鞍区探查术,术前右眼视力已恢复为 1.0,左眼视力为 0.4。术中见双侧视神经处蛛网膜粘连并疝入鞍内,左侧视神经下陷明显。术中充分松解双侧视神经周围蛛网膜,左侧视神经下垫衬明胶海绵使之抬起。术后患者自觉左眼视物较前清晰,2007 年 9 月 13 日查右眼视力为 1.0,左眼视力为 0.5,眼底表现较前好转。2008 年 5 月 27 日复查时右眼视力为 1.0,左眼视力恢复至 0.8,双眼底表现基本正常(图4A、图4B) ,未能进行蝶鞍MRI检查。
空泡蝶鞍综合症又称鞍隔缺损,鞍内蛛网膜囊肿等,1951 年首先由Busch提出诊断名称,1962 年Colby命名为空泡蝶鞍综合征,分为原发性和继发性。继发性空泡蝶鞍综合征是因手术切除垂体或术后鞍区放疗引起垂体萎缩形成的。原发性指各种原因引起的鞍隔缺损或不完整,蛛网膜下腔及第三脑室前下部在脑脊液压力冲击下突入鞍内,使垂体受压萎缩。病因至今不明,可能与先天性鞍隔不完整或缺如、鞍区蛛网膜粘连、脑脊液压力长期作用、内分泌因素、垂体病变或鞍内非肿瘤性囊肿等有关[2]。临床多见于中年较胖的经产妇,男性患者少见。该病常见症状为头痛、视力减退和视野缺损,少数人有良性颅内压增高症和脑脊液鼻溢。空泡蝶鞍引起视力障碍、视乳头水肿的原因尚不十分明确,大多数人认为视交叉位于蝶鞍上方的蛛网膜下腔,蛛网膜下腔在脑脊液压力下冲入蝶鞍内,形成影像学上可见的蛛网膜疝,视交叉受蛛网膜下腔牵拉亦疝入鞍内,引起视乳头水肿[3]。还有学者认为即使影像学上无明显蛛网膜疝,视交叉受到蛛网膜下腔的牵拉亦可引起视觉障碍[4]。原发性空泡蝶鞍综合征轻微者可暂不处理,应定期随访。视力障碍、脑脊液鼻溢和严重颅内高压是手术指征,若视神经周围粘连,应行粘连松解术[3]。国外文献报道数例因空泡蝶鞍引起视觉障碍、经手术治疗后视觉功能恢复的病例[5, 6]。本病罕见,起病隐匿,症状轻微,发展速度不一,故可疑患者应严密观察,以免漏诊、误诊造成不可逆性失明。
临床上发现视乳头水肿的患者注意以下几点:1.视乳头水肿不是一个孤立的疾病,而是一个症状,眼科医生应联系全身疾病,请神经内科、神经外科会诊,积极查明病因,及时去除病因。2.双眼视乳头水肿的病因最常为颅内病变,其中颅内占位性病变引起颅内压升高最常见。当颅脑CT显示颅内无占位病变或腰穿测脑脊液压力不高时,应考虑颅内炎症或颅内其他少见病变如空泡蝶鞍综合征。3.原发性空蝶鞍综合征具有典型的 MRI 表现,MRI 可准确诊断原发性空蝶鞍综合症,应作为首选的影像学检查方法。4.空泡蝶鞍综合征属于罕见病例,起病隐匿,症状不典型,其确诊主要依靠蝶鞍MRI特征的影像学表现。近年来随着影像学设备和技术的发展,空泡蝶鞍 MRI 检出率提高,临床发现的病例也逐渐增多,应引起足够重视。
患者, 男, 63 岁,工人,以“双眼视力突然下降 8 d”之主诉于 2007 年 8 月 21 日入院。8 d 前无明显诱因出现双眼视力突然下降,伴左眼前固定黑影,无眼球运动痛,无眼胀,无头痛。在当地某三级甲等医院诊断为 “双眼视乳头水肿? 双眼视乳头炎? ”,给予甲钴铵、复合维生素 B、复明片等药物口服,疗效欠佳。后来我院就诊,门诊检查后以“双眼视乳头水肿”之诊断收住我院。患者有12年高血压病史,口服药物治疗,血压控制良好。入院查体: T 35.6℃,P 62 次 /分 , R 19 次 /分 , BP 140/90(1 mmHg=0.133 kPa) , 心、肺、腹无明显异常。右眼视力(矫正视力, 以下同) 0.5 ,左眼视力 0.25。眼压(Non-contact tonometer, NCT) : 右 10.7 mmHg, 左 10.9 mmHg。双外眼正常,双眼眼球运动及眼位正常。双眼角膜透明, 直径约 11 mm。前房深度正常,房水闪辉阴性,细胞阴性。双眼瞳孔直径 3 mm,居中,圆,直接光反应和间接光反应灵敏。双眼晶体位置正常、密度增高,双眼玻璃体透明。双眼视盘边界不清,呈绒毛状,色淡红,C/D= 0.3,动脉细,静脉极度充盈, A/V= 1:2, 视盘周围有片状出血,视盘周边网膜水肿,黄斑中心凹反光不清(图1A、图1B) ,左眼眼底情况较右眼严重。视野检查:双眼视野缩小,生理盲点扩大。入院诊断为: 双视乳头水肿原因待查。完善常规检查,血尿粪常规、心电图、胸部 X 线正位片、肝肾功均无异常。血糖、血脂和血流变检查无异常。患者曾在当地某三级甲等医院拍摄颅脑CT(图2),结果无明显异常。入院后当天行颅脑 MRI 检查,未能清楚显示蝶鞍。2007 年 8 月 22 日进行视觉电生理检查: 双眼 ERG-b 波幅稍低,双眼P-VEP峰时稍延长、振幅低,提示双眼视网膜及视传导功能减退。予以葡萄糖、ATP、辅酶 A、胞二磷胆碱、甲钴铵静脉滴注 。2007 年 8 月 24 日复查双眼视力, 右眼视力升至 0.8, 左眼视力升至 0.4。2007 年 8 月 27 日行腰椎穿刺术, 脑脊液测压力为 170 mmH2O, 颅内压正常。脑脊液常规检查结果正常,脑脊液葡萄糖 4.8 mmol/L、氯 117.6 mmol/L、免疫球蛋白 18.1 mg/dL。双下肢神经诱发电位结果大致正常,双侧脑干听觉诱发电位结果可疑,提示Ⅰ~Ⅴ波波间期稍延长。行蝶鞍 MRI(Magnetic resonance imaging, MRI),影像学表现为: 垂体窝呈液型信号,垂体上缘受压凹陷,垂体变薄,信号均匀,垂体柄居中无增粗,视交叉显示无异常,鞍旁未见异常占位性病变,确诊为空泡蝶鞍(图3) 。患者无鞍内或鞍旁区手术放疗病史,考虑为原发性空泡蝶鞍综合征引起的双眼视乳头水肿。2007 年 8 月 31 日转入神经外科,继续予以能量和营养神经药物治疗。于 2007 年 9 月 6 日行全麻下开颅鞍区探查术,术前右眼视力已恢复为 1.0,左眼视力为 0.4。术中见双侧视神经处蛛网膜粘连并疝入鞍内,左侧视神经下陷明显。术中充分松解双侧视神经周围蛛网膜,左侧视神经下垫衬明胶海绵使之抬起。术后患者自觉左眼视物较前清晰,2007 年 9 月 13 日查右眼视力为 1.0,左眼视力为 0.5,眼底表现较前好转。2008 年 5 月 27 日复查时右眼视力为 1.0,左眼视力恢复至 0.8,双眼底表现基本正常(图4A、图4B) ,未能进行蝶鞍MRI检查。
图 1 双眼视乳头水肿:双眼视盘边界不清,呈绒毛状,色淡红,动脉细,静脉极度充盈,A/V=1:2,视盘周边网膜水肿,黄斑中心凹反光不清。
图 2 颅脑 CT:未见明显异常
讨论
视乳头水肿以往称为淤血乳头,为各种原因引起视神经周围鞘间隙内压增高,压迫视神经纤维及中央血管,引起视神经纤维轴浆流回流和静脉回流障碍。由于非原发性炎症改变,故属于一种被动性水肿[1]。它不是一个独立的疾病,多为全身性疾病的眼部表现。其常见病因有:1. 颅内疾病是最常见和最主要的原因,如颅内占位性病变、炎症时脑脊液增多或流通受阻、颅腔容积太小(如尖头畸形) 等, 其中约 80% 为颅内肿瘤。2. 严重的全身疾病, 如急性进行性高血压病、肾性高血压等, 可因脑水肿等原因引起颅内压增高。3. 眶内原因: 眶内肿物、炎症、出血、视神经本身的肿瘤,直接压迫视神经引起血液、淋巴液回流障碍。4. 眼压突然降低:如角膜瘘,眼球穿通伤、抗青光眼手术后、视网膜脱离复位术后导致的眼内压过低。颅内疾病和严重的全身疾病多引起双眼视乳头水肿,眶内原因和眼压突然降低多发生单眼视乳头水肿。
本病例为双眼视乳头水肿,无眼科外伤手术史,排除眼科原因引起视乳头水肿。患者虽有高血压病史 12 年,但长期规律口服降压药,血压控制良好,无引起血压急剧升高的肾脏、内分泌疾病,除外急性进行性高血压病引起双视乳头水肿。病因检查的重点放在颅内疾病,患者在外院行颅脑CT检查未见异常,在本院行颅脑MRI未能清晰显示蝶鞍。行腰椎穿刺测脑脊液压力结果正常,脑脊液常规、生化、免疫球蛋白检查结果排除颅内炎症病变引起颅内高压致视乳头水肿。神经诱发电位结果大致正常,结合患者神经系统无异常体征,排除多发性硬化视神经脊髓型。神经外科会诊认为颅脑MRI片蝶鞍视神经处显示不清,建议蝶鞍MRI检查,结果提示空泡蝶鞍。故考虑患者双视乳头水肿为空泡蝶鞍引起,即转入神经外科手术治疗。术中所见与术前分析一致,术后患者左眼视力提高。经药物治疗后,右眼视力在术前已恢复正常。空泡蝶鞍综合症又称鞍隔缺损,鞍内蛛网膜囊肿等,1951 年首先由Busch提出诊断名称,1962 年Colby命名为空泡蝶鞍综合征,分为原发性和继发性。继发性空泡蝶鞍综合征是因手术切除垂体或术后鞍区放疗引起垂体萎缩形成的。原发性指各种原因引起的鞍隔缺损或不完整,蛛网膜下腔及第三脑室前下部在脑脊液压力冲击下突入鞍内,使垂体受压萎缩。病因至今不明,可能与先天性鞍隔不完整或缺如、鞍区蛛网膜粘连、脑脊液压力长期作用、内分泌因素、垂体病变或鞍内非肿瘤性囊肿等有关[2]。临床多见于中年较胖的经产妇,男性患者少见。该病常见症状为头痛、视力减退和视野缺损,少数人有良性颅内压增高症和脑脊液鼻溢。空泡蝶鞍引起视力障碍、视乳头水肿的原因尚不十分明确,大多数人认为视交叉位于蝶鞍上方的蛛网膜下腔,蛛网膜下腔在脑脊液压力下冲入蝶鞍内,形成影像学上可见的蛛网膜疝,视交叉受蛛网膜下腔牵拉亦疝入鞍内,引起视乳头水肿[3]。还有学者认为即使影像学上无明显蛛网膜疝,视交叉受到蛛网膜下腔的牵拉亦可引起视觉障碍[4]。原发性空泡蝶鞍综合征轻微者可暂不处理,应定期随访。视力障碍、脑脊液鼻溢和严重颅内高压是手术指征,若视神经周围粘连,应行粘连松解术[3]。国外文献报道数例因空泡蝶鞍引起视觉障碍、经手术治疗后视觉功能恢复的病例[5, 6]。本病罕见,起病隐匿,症状轻微,发展速度不一,故可疑患者应严密观察,以免漏诊、误诊造成不可逆性失明。
临床上发现视乳头水肿的患者注意以下几点:1.视乳头水肿不是一个孤立的疾病,而是一个症状,眼科医生应联系全身疾病,请神经内科、神经外科会诊,积极查明病因,及时去除病因。2.双眼视乳头水肿的病因最常为颅内病变,其中颅内占位性病变引起颅内压升高最常见。当颅脑CT显示颅内无占位病变或腰穿测脑脊液压力不高时,应考虑颅内炎症或颅内其他少见病变如空泡蝶鞍综合征。3.原发性空蝶鞍综合征具有典型的 MRI 表现,MRI 可准确诊断原发性空蝶鞍综合症,应作为首选的影像学检查方法。4.空泡蝶鞍综合征属于罕见病例,起病隐匿,症状不典型,其确诊主要依靠蝶鞍MRI特征的影像学表现。近年来随着影像学设备和技术的发展,空泡蝶鞍 MRI 检出率提高,临床发现的病例也逐渐增多,应引起足够重视。
图 3 蝶鞍 MRI:垂体窝呈液型信号,垂体上缘受压凹陷,垂体变薄,信号均匀,垂体柄居中无增粗,视交叉显示无异常,鞍旁未见异常占位性病变。显示为空泡蝶鞍。

图 4 双眼底表现正常

图 4 双眼底表现正常
基金
暂无基金信息
参考文献
1. 葛坚. 眼科学( 八年制) . 北京: 人民卫生出版社, 2005:329- 330.
2. 姚莹斐. 空泡蝶鞍综合征1例. 眼科研究 , 2004; 22(3) : 209.
3. Akivama Y, Yamasaki T, Kagawa T, et al. Empty sella syndrome. Nippon Rinsho, 1993; 51(10) : 2731- 2736.
4. Guinto G, del Valle R, Nishimura E, et al. Primary empty sella syndrome: the role of visual system herniation. Surg Neurol, 2002; 58( 1) : 42- 47; discussion 47- 48.
5. Kubo S, Hasegawa H, Inui T, et al. Endonasal endoscopic transsphenoidal chiasmapexy with silicone plates for empty sella syndrome: technical note. Neurol Med Chir (Tokyo) , 2005; 45(8) : 428- 432.
6. Dorotheo EU, Tang RA, Bahrani HM, et al. Her vision was tied down. Surv Ophthalmol, 2005; 50(6) : 588- 597.