爱先蓝和细胞角蛋白双重染色技术在泪腺腺样囊性癌 诊断中的应用
阅读量:3379
DOI:doi: 10.3978/ j.issn.1000-4432.2017.04.02
发布日期:2024-12-26
作者:
高欢欢 ,林健贤 ,李扬杵 ,张文忻 ,陈丽红 ,唐丽娟 ,张平
展开更多 '%20fill='white'%20fill-opacity='0.01'/%3e%3cmask%20id='mask0_3477_29692'%20style='mask-type:luminance'%20maskUnits='userSpaceOnUse'%20x='0'%20y='0'%20width='16'%20height='16'%3e%3crect%20id='&%23232;&%23146;&%23153;&%23231;&%23137;&%23136;_2'%20x='16'%20width='16'%20height='16'%20transform='rotate(90%2016%200)'%20fill='white'/%3e%3c/mask%3e%3cg%20mask='url(%23mask0_3477_29692)'%3e%3cpath%20id='&%23232;&%23183;&%23175;&%23229;&%23190;&%23132;'%20d='M14%205L8%2011L2%205'%20stroke='%23333333'%20stroke-width='1.5'%20stroke-linecap='round'%20stroke-linejoin='round'/%3e%3c/g%3e%3c/g%3e%3c/svg%3e)
关键词
双重染色
泪腺腺样囊性癌
爱先蓝
细胞角蛋白
摘要
目的:探讨爱先蓝(Alcian Blue,AB)和细胞角蛋白(cytokeratin,CK)双重染色技术在泪腺腺样囊性癌组织中的应用, 提高泪腺腺样囊性癌染色效率。方法:选取中山大学中山眼科中心临床病理科2015年1月至2017年1月期间诊断为泪腺腺样囊性癌病例标本23例,在同一张切片上先进行AB染色,再进行CK染色,观察染色效果。结果:23例泪腺腺样囊性癌标本组织中黏液物质全部呈蓝色;癌细胞胞质CK阳性,呈棕黄色。结论:AB和CK双重染色方法稳定,颜色对比鲜明,能够良好显示癌细胞及黏液的关系,并且比分开的两次单种染色省时、经济。
全文
双重染色技术是在同一张切片上,同时或先后进行两种不同染色以显示不同物质的方法[1],近年来逐渐受到病理工作者的重视,如免疫组织化学与免疫组织化学、特殊染色与特殊染色、特殊染色与免疫组织化学等双重染色[2-4]。与单种染色相比,双重染色弥补了单一染色方法着色在2张或多张切片上、位置分离的不足。最明显的优点是可以显示组织中不同成分的相互关系,给病理诊
断带来更多信息。
泪腺腺样囊性癌(adenoid cystic carcinoma)起源于泪腺腺体,是最常见的泪腺恶性上皮性肿瘤,其恶性程度高、浸润性极强,预后很差[5]。病理诊断中,为鉴定其筛状小囊内所含黏液物质和肿瘤细胞产生的抗原物质,常连续切片进行分别染色。但是由于部分泪腺腺样囊性癌标本组织较小,多次切片导致显色后不易找到同一对照位置,分别染色又耗时、耗材。检索文献发现,廖洪锋等[6]在同一张切片中同时采用免疫组织化学及黏液染色,其结果对转移性腺癌的诊断比在不同切片中分别做染色更有可比性,同时为转移性腺癌的诊断提供依据。吕莉等[7]选取经手术切除的大肠黏膜行黏液染色与免疫组织化学双染,效果明显,定位清晰,并且两种染色方法不互相干扰。而类似研究在泪腺腺样囊性癌中未见报道。
爱先蓝染色是一般黏液染色的常用方法[8]。CK是上皮细胞来源肿瘤细胞的肿瘤标志物。本研究利用爱先蓝染色和细胞角蛋白免疫组织化学相结合的方法,对泪腺腺样囊性癌组织进行双重染色观察,为泪腺腺样囊性癌的病理诊断寻找一种快速良好的方法。
爱先蓝染色是一般黏液染色的常用方法[8]。CK是上皮细胞来源肿瘤细胞的肿瘤标志物。本研究利用爱先蓝染色和细胞角蛋白免疫组织化学相结合的方法,对泪腺腺样囊性癌组织进行双重染色观察,为泪腺腺样囊性癌的病理诊断寻找一种快速良好的方法。
1 对象与方法
1.1 对象
收集中山大学中山眼科中心临床病理科2015年1月至2017年1月经病理医生镜下确诊为泪腺腺样囊性癌病例标本23例,所有标本经10%甲醛固定、常规脱水、透明、石蜡包埋,每个蜡块重新切片、裱片,切片厚4 μm。将切片分为3组:1)常规HE染色组;2 )对照组,分别做AB染色和CK染色;3)实验组,AB+CK染色。
1.2 试剂
爱先蓝染液(pH2.5)、核固红染液。免疫组织化学试剂:CK抗体(购自北京中杉金桥公司),二抗试剂盒、DAB试剂盒均使用Lecia
公司试剂盒。
1.3 方法
1.3.1 爱先蓝特殊染色
组织切片脱蜡至水,新鲜配置爱先蓝染液染10~20 min,稍水洗,核固红复染10 min,水洗。PBS缓冲液充分冲洗调整至pH7.4~7.8,为下一步 免疫组织化学作准备。
组织切片脱蜡至水,新鲜配置爱先蓝染液染10~20 min,稍水洗,核固红复染10 min,水洗。PBS缓冲液充分冲洗调整至pH7.4~7.8,为下一步 免疫组织化学作准备。
1.3.2 免疫组织化学染色
采用Leica BOND-MAX全自动免疫组织化学机,对特殊染色之后的切片上机进行免疫组织化学染色,制备程序设置时选择“不烤片、不脱蜡”的DAB自动染色程序。3小时后程序结束。清洗染色片,晾干,二甲苯透明,中性树胶封片。
2 结果
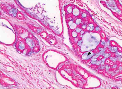
23例泪腺腺样囊性癌HE染色镜下观察,肿瘤
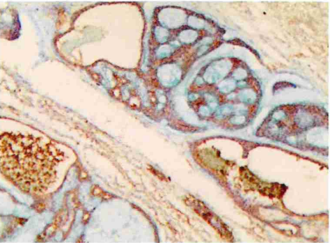
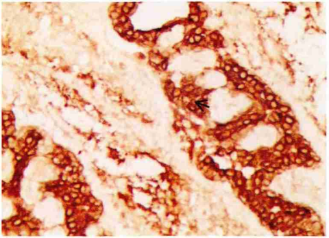
细胞团块中含有许多大小不等的圆形微小囊腔,成筛孔状(图1);对照组中23例AB染色(+)(图2)、CK(+)(图3);实验组中23例AB+CK染色(+)(图4),
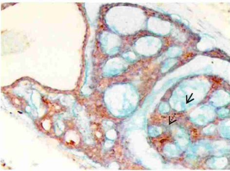
经AB和CK双重染色后癌细胞产生的黏性物质呈蓝色;癌细胞胞质CK阳性,呈棕黄色(图5)。实验组较对照组容易观察,颜色对比鲜明,背景清晰,能够良好显示黏液与癌细胞的关系。
图1 泪腺腺样囊性癌(HE, ×100)
Figure 1 Adenoid cystic carcinoma (HE, ×100)
图2 泪腺腺样囊性癌AB染色显示蓝色黏液(箭头指示)(×200)
Figure 2 AB staining of adenoid cystic carcinoma shows blue
mucus (arrows) (×200)
图3 泪腺腺样囊性癌CK染色(+) (箭头指示)(×200)
Figure 3 CK staining of adenoid cystic carcinoma (+) (arrows)
(×200)
图4 泪腺腺样囊性癌AB+CK染色(+)(×200)
Figure 4 AB and CK double staining of adenoid cystic carcinoma
(+) (×200)
图5 泪腺腺样囊性癌AB+CK染色(+) (×400)
Figure 5 AB and CK double staining of adenoid cystic carcinoma
(+) (×400)
实箭头显示为蓝色黏液,虚箭头显示为癌细胞胞质。
The solid arrow is blue mucinous substance, and the dotted arrow
shows the cytoplasm of the cancer cells.
3 讨论
我们在同一张切片上利用AB和CK双重染色技术同时显示黏液物质与癌细胞,有助于观察了解两种成分在泪腺腺样囊性癌发生发展中的关系及相互作用。
爱先蓝属于阳离子染料,分子中带有正电荷的盐键能够与酸性黏液物质中带负电荷的酸性基团结合而呈蓝色。常采用pH2.5和pH1.0两种爱先蓝染液,用于黏液性上皮肿瘤的鉴别和证明肿 瘤是否含有黏液物质。其中爱先蓝染液(pH2.5)可用于区分黏液肉瘤和脂肪肉瘤,前者阳性而后者阴性。爱先蓝染液 (pH1.0) 显示硫酸化黏液物质。显示一般黏液物质,首先选用爱先蓝(pH2.5)法[8]。泪腺腺样囊性癌筛状小囊内通常充满嗜酸性的黏液物质[9],我们选择爱先蓝(pH2.5)法,效果较好。
爱先蓝属于阳离子染料,分子中带有正电荷的盐键能够与酸性黏液物质中带负电荷的酸性基团结合而呈蓝色。常采用pH2.5和pH1.0两种爱先蓝染液,用于黏液性上皮肿瘤的鉴别和证明肿 瘤是否含有黏液物质。其中爱先蓝染液(pH2.5)可用于区分黏液肉瘤和脂肪肉瘤,前者阳性而后者阴性。爱先蓝染液 (pH1.0) 显示硫酸化黏液物质。显示一般黏液物质,首先选用爱先蓝(pH2.5)法[8]。泪腺腺样囊性癌筛状小囊内通常充满嗜酸性的黏液物质[9],我们选择爱先蓝(pH2.5)法,效果较好。
CK(pan)为广谱型细胞角蛋白,主要标记腺上皮、黏膜上皮、鳞状上皮,用于各种鳞状细胞癌、腺癌等的标记。阳性染色部位在细胞质。泪腺腺样囊性癌中癌细胞来源于泪腺上皮细胞,因而胞质CK阳性,呈棕黄色。
技术要点是:第一,由于AB染色着色较深、着色面较大,避免黏液染色对免疫组织化学染色中细胞抗原物质阳性表达的遮盖,将黏液特殊染色法放在第1步骤;第二,由于在黏液特殊染色中改变了组织切片的pH值,须在做免疫组织化学染色前用PBS缓冲液充分冲洗调整至pH7.4~7.8。
该方法对于泪腺腺样囊性癌临床病理诊断的意义在于,首先,部分眼科泪腺标本体积较小,分开染色会由于反复切片而导致有诊断意义的病灶部位被切去、无相同部位作对照的情况,在同 一张切片中先进行AB黏液染色然后进行CK免疫组织化学染色,减少了一次切片,避免了组织被反复切片的损失。其次,临床病理诊断中常常因为不同的染色方法显色效果不同,不容易找到相同位置对比观察而影响工作效率。因为分开染色的结果分离,不如双重染色直观。此AB黏液染色与CK免疫组织化学双染就是把细胞内结构和肿 瘤细胞清晰地显示在同一张切片上,易于观察和诊断。此双染技术可以大大方便病理医生判读结果,更有利于观察两者之间的关系。
总之,良好的双重染色结果对于病理医师进行组织和细胞的对比性和相关性观察,从而得出更加准确和客观的病理诊断具有重要意义。而更为准确客观的病理诊断结果将为临床医生的诊断、治疗提供更为可靠的指导意见。本研究双重染色技术操作简便、方法稳定,颜色反差大、染色效果更具可比性,也减少了一次制片操作,经济、省时,值得推广应用。
技术要点是:第一,由于AB染色着色较深、着色面较大,避免黏液染色对免疫组织化学染色中细胞抗原物质阳性表达的遮盖,将黏液特殊染色法放在第1步骤;第二,由于在黏液特殊染色中改变了组织切片的pH值,须在做免疫组织化学染色前用PBS缓冲液充分冲洗调整至pH7.4~7.8。
该方法对于泪腺腺样囊性癌临床病理诊断的意义在于,首先,部分眼科泪腺标本体积较小,分开染色会由于反复切片而导致有诊断意义的病灶部位被切去、无相同部位作对照的情况,在同 一张切片中先进行AB黏液染色然后进行CK免疫组织化学染色,减少了一次切片,避免了组织被反复切片的损失。其次,临床病理诊断中常常因为不同的染色方法显色效果不同,不容易找到相同位置对比观察而影响工作效率。因为分开染色的结果分离,不如双重染色直观。此AB黏液染色与CK免疫组织化学双染就是把细胞内结构和肿 瘤细胞清晰地显示在同一张切片上,易于观察和诊断。此双染技术可以大大方便病理医生判读结果,更有利于观察两者之间的关系。
总之,良好的双重染色结果对于病理医师进行组织和细胞的对比性和相关性观察,从而得出更加准确和客观的病理诊断具有重要意义。而更为准确客观的病理诊断结果将为临床医生的诊断、治疗提供更为可靠的指导意见。本研究双重染色技术操作简便、方法稳定,颜色反差大、染色效果更具可比性,也减少了一次制片操作,经济、省时,值得推广应用。
基金
暂无基金信息
参考文献
1. 刘洪博, 王文智, 邱雷, 等. 免疫组化双染技术在肿瘤分析中的应用[ J]. 临床与实验病理学杂志, 2016, 32(11): 1303-1305.
2. 林婷, 陈惠玲, 李萍, 等. 免疫组化双重染色的应用及体会[ J]. 诊断病理学杂志, 2013, 20(6): 383.
3. 李玉莲, 施琳, 袁宏伟. 六胺银加马松三色双重染色在肾穿刺活检组织中的应用[ J]. 临床与实验病理学杂志, 2015, 31(3): 347-348.
4. 孙淑清, 戴珂, 方静宜, 等. Gomori网状纤维染色与免疫组织化学双重染色技术[ J]. 中华病理学杂志, 2000, 29(5): 385.
5. 王晓鸿. 泪腺肿瘤的诊断与鉴别[ J]. 中外健康文摘, 2013, 10(10): 111.
6. 廖洪锋, 殷平. 黏液染色与免疫组化双重染色在转移性腺癌中的应用[ J]. 诊断病理学杂志, 2011, 18(6): 474-475.
7. 吕莉. 免疫组化与黏液组化染色结合的双重染色技术的应用[ J]. 中国卫生标准管理, 2015, 22(6): 164-165.
8. 梁英杰, 凌启波, 张威. 临床病理学技术[M]. 北京: 人民卫生出版社, 2011: 231.
9. 袁乃芬, 周以浙. 泪腺腺样囊性癌[ J]. 国外医学. 眼科学分册, 1985, (3): 171-173.