返回

鼻内镜下泪囊鼻腔吻合术疗效的影响因素分析

阅读量:5588
DOI:10.12419/24062201
发布日期:2025-01-28
作者:
姚月姣 ,莫亚
展开更多

关键词

鼻内镜下泪囊鼻腔吻合术
泪道引流管
下鼻甲肥厚

摘要

目的:分析鼻内镜下泪囊鼻腔吻合术手术疗效的影响因素。方法:纳入2021年1月—2023年7月在成都中医药大学附属医院眼科行鼻内镜下泪囊鼻腔吻合术(endoscopic dacryocystorhinostomy, En-DCR)治疗的单眼慢性泪囊炎患者90例(90只眼)。所有患者均进行泪道CT造影检查及鼻内镜下泪囊鼻腔吻合术,术后随访6个月,评估手术疗效,分析手术疗效的影响因素。结果:本研究显示,慢性泪囊炎患者中女性占比为90%,平均年龄为(49.97±13.10)岁。单因素分析结果显示,术中是否置入引流管、下鼻甲肥厚与EnDCR手术疗效有关(< 0.05)。Logistic多因素回归分析结果显示,下鼻甲肥厚为En-DCR手术疗效的危险因素(P < 0.05)。结论:慢性泪囊炎多发生于中老年女性。下鼻甲肥厚为En-DCR手术疗效的危险因素。

全文

文章亮点

1. 关键发现

 • 通过回顾性分析鼻内镜下泪囊鼻腔吻合术 (endoscopic dacryocystorhinostomy, En-DCR) 手术疗效的影响因素,发现下鼻甲肥厚为 En-DCR 手术疗效的危险因素。

2. 已知与发现

 • En-DCR 是治疗慢性泪囊炎的有效手术方式,手术成功率高。因 En-DCR 具有无面部瘢痕,不损伤眼轮匝肌,保留泪泵的功能,保持正常的瞬目机制等优点,得到了广泛应用。

3. 意义与改变

 • 回顾性分析发现下鼻甲肥厚为影响 En-DCR 手术疗效的危险因素,为临床提高 En-DCR 手术成功率及改善慢性泪囊炎患者预后提供参考和依据。

       慢性泪囊炎为眼科的多发及常见疾病。患者会出现溢泪,泪囊部皮肤潮红、糜烂,按压泪囊区会有黏液或脓性分泌物自泪点溢出等症状,困扰患者正常生活。多继发于鼻泪管狭窄或堵塞[1]。鼻泪管发生堵塞的原因尚未明确,可能与骨性鼻泪管狭窄、鼻腔结构异常、血管因素、局部激素失调等有关[2]。慢性泪囊炎为器质性疾病,手术是治疗慢性泪囊炎的主要方法。目前存在多种手术方式,鼻内镜下泪囊鼻腔吻合术(endoscopic dacryocystorhinostomy, En-DCR)为治疗慢性泪囊炎的有效手术方式之一。整个手术过程在鼻内镜下操作,术野直观,创伤小,无颜面部瘢痕[3]。并且En-DCR的手术成功率高[4]。为了进一步提高En-DCR手术成功率,改善患者预后,本研究收集慢性泪囊炎患者的一般资料、泪道电子计算机断层扫描(computed tomography, CT),来分析鼻内镜下泪囊鼻腔吻合术疗效的影响因素,现报道如下。

1 资料与方法

1.1 研究对象

       回顾性分析2021年1月—2023年7月在成都中医药大学附属医院眼科行En-DCR治疗单眼慢性泪囊炎患者90例(90眼)的临床资料。其中男性9例(9眼),女性81例(81眼)。左眼39眼,右眼51眼。年龄为24~81岁,平均年龄为(49.97±13.10)岁。本研究已通过医院伦理委员会批准(批件号:2022SL-031),已征得患者知情同意。

1.2 慢性泪囊炎诊断标准

       1) 溢泪,用手挤压泪囊区,有黏液或黏液脓性分泌物自泪点流出;2) 泪道冲洗,冲洗液自上、下泪点反流,同时有黏液脓性分泌物,无冲洗液流入鼻腔或咽部[5]。

1.3 纳入标准

       1) 符合上述诊断标准;2) 接受泪道CT造影检查以及鼻内镜下泪囊鼻腔吻合术治疗;3) 术后随访至少6个月及以上。

1.4 排除标准

       1) 因继发性获得性鼻泪管堵塞(外伤、鼻咽癌等)而致慢性泪囊炎的患者;2) 患有严重的全身性疾病,例如严重的心血管、造血系统及精神系统疾病等;3) 术后未能按时随访的患者;4) 年龄小于18岁的患者。

1.5 研究方法

       1.5.1 术前处理
       1) 术前为患者进行冲洗泪道并记录泪道冲洗情况,泪道冲洗完成后并灌入造影剂(100 mL∶35 g碘海醇注射液),直至泪点有造影剂溢出或部分造影剂进入泪道后即停止注入。造影剂灌入完成后嘱患者行泪道CT检查。
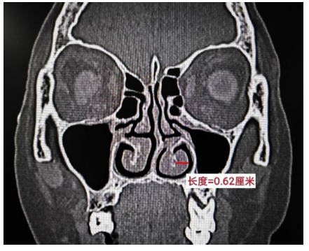
       2) 应用美国GE公司64排螺旋CT对患者进行鼻窦平扫并薄层重建,并对患者泪囊、鼻泪管、鼻窦进行完整成像。然后由专业的影像科医生读片、上传结果。在冠状位CT图像上,本研究将鼻中隔超过下鼻甲平面的偏曲归为鼻中隔偏曲,鼻腔内的鼻甲组织显示为明显增厚的软组织区域且厚度>4 mm,归为鼻甲肥厚。见图1。
图 1 鼻中隔偏曲及下鼻甲肥厚
Figure 1 Deviation of nasal septum and inferior turbinate hypertrophy
        1.5.2 手术方法
        所有手术均由同一位医师操作完成。患者取仰卧位,行全身麻醉后,取盐酸利多卡因注射液(5 mL∶0.1 g)+罗哌卡因注射液(10 mL∶100 mg)+盐酸肾上腺素注射液(1 mL∶1 mg),于中鼻道鼻腔外侧壁前段行鼻黏膜局部浸润麻醉。在鼻内镜下用黏膜刀于中鼻道鼻腔外侧壁前段全层切开鼻黏膜,钝性分离鼻黏膜至泪颌缝,用咬骨钳凿一大小约10 mm×8 mm的骨孔,完整暴露泪囊区,探针从上泪点进入泪囊,在探针的定位下,用12号刀片切开泪囊,吸引器吸除泪囊中脓性分泌物,V或M型剪开鼻黏膜瓣,将鼻黏膜瓣与泪囊瓣吻合,形成泪道。根据术中情况,如患者出现泪点狭窄,泪小管、泪总管堵塞,鼻中隔严重偏曲等,则置入引流管,分别从上下泪点、经吻合口处,环形置入泪道引流管,末端置入鼻腔内。最后将鼻黏膜瓣与泪囊瓣区域填塞吸收性明胶海绵止血。
       1.5.3 术后处理
       术后予以普拉洛芬滴眼液、氟米龙滴眼液、洛美沙星滴眼液滴术眼3次/天;氟米龙滴眼液术后用量逐渐减量,3周后停用;糠酸莫米松喷鼻剂1次/天,4周后停用;普拉洛芬滴眼液持续使用3个月。术后3周门诊随访复诊,进行泪道冲洗以及鼻内镜下检查,及时清理未完全吸收的明胶海绵、血痂及鼻腔异常分泌物。
       术后3周、6周、3个月、6个月规律随访,每次进行泪道冲洗和鼻内镜下检查,观察并记录泪道冲洗情况和吻合口开放情况。引流管置入患者,术后3个月取出引流管。术后至少随访6个月,评估手术疗效。
       1.5.4 临床疗效评定
       1) 有效:溢泪、溢脓症状消失;泪道冲洗通畅;鼻内镜下吻合口黏膜上皮化良好,鼻内镜下荧光素钠染色试验阳性;吻合口开放。
       2) 无效:仍有溢泪、溢脓症状;泪道冲洗不通畅伴反流;鼻内镜下未见吻合口或吻合口闭锁,鼻内镜下荧光素钠染色试验阴性。

1.6 统计学方法

       使用SPSS 24.0分析数据。计数资料用例数(%)表示,正态分布的计量资料用均值±标准差(±s)表示,组间比较采用两独立样本 检验,偏态分布的计量资料用中位数和四分位距[M(P25,P75)]表示,组间比较采用Mann-Whitney 检验。单因素分析筛选出P值较小者(P<0.20)纳入多因素分析的自变量,多因素分析采用多因素Logistic 回归分析。P<0.05时,认为差异有统计学意义。

2 结果

2.1 临床疗效

       术后随访6个月,本研究纳入患者的有效率为84.44%(76/90),无效率为15.56%(14/90)。

2.2 影响En-DCR疗效的单因素分析

       结果显示,年龄、眼别、泪道手术史、鼻中隔偏曲、上颌窦炎、中鼻甲肥厚、手术时长、症状持续时间与En-DCR疗效无关(P>0.05)。但下鼻甲肥厚、术中是否置入引流管与En-DCR手术疗效有关(P < 0.05)。见表1。

表 1 影响En-DCR疗效的单因素分析
Table 1 Univariate analysis affecting the efficacy of En-DCR

 

分类

总计=90(%)

有效=76例(%)

无效=14例(%)

Z

P

性别

910.0

911.8

00

-1.265

0.206

 

8190.0

6788.2

14100

年龄(年)

 

 

59.36±13.23

47.29±12.43

-1.019

0.308

眼别

3943.3

3444.7

535.7

-0.623

0.534

 

5156.7

4255.3

964.3

泪道手术史

 

1718.9

1418.4

321.4

-0.263

0.793

鼻中隔偏曲

 

2022.2

1519.7

535.7

-1.314

0.189

上颌窦炎

 

4448.9

3546.1

964.3

-1.247

0.212

中鼻甲肥厚

 

1516.7

1418.4

17.1

-1.035

0.301

下鼻甲肥厚

 

3336.7

2330.3

1071.4

-2.921

0.003

引流管置入

 

3538.9

3343.4

214.3

-2.043

0.041

手术时长(min

 

 

3225~41

32.523~38.50

-0.329

0.742

症状持续时间(年)

 

 

31~10

10.5~6.25

-0.660

0.510

*为 t 值。
*For t-value.

2.3 影响En-DCR疗效的多因素分析

       将En-DCR手术疗效作为因变量(有效=0,无效= 1),单因素分析筛选出P值较小者(P<0.20)纳入多因素分析的自变量。赋值情况如下:无鼻中隔偏曲=0,有鼻中隔偏曲=1;无下鼻甲肥厚=0,有下鼻甲肥厚=1;无引流管置入=0,有引流管置入=1。结果显示,下鼻甲肥厚为En-DCR手术疗效的危险因素(P < 0.05),见表2。

表 2 影响En-DCR疗效的多因素分析
Table 2 Multivariate analysis of the efficacy of En-DCR

 

B

SE

Wald X2

P

OR

95%CI

鼻中隔偏曲

0.253

0.703

0.130

0.719

1.288

0.325~5.110

下鼻甲肥厚

1.534

0.686

5.001

0.025

4.637

1.209~17.790

引流管置入

-1.306

0.821

2.533

0.111

0.271

0.054~1.353

3 讨论

       目前治疗慢性泪囊炎的主要手术方式有多种。常用的术式有外路泪囊鼻腔吻合术(external dacryocystorhinostomy, Ex-DCR)和En-DCR。Toti在1904年首次提出了Ex-DCR。在20世纪,Ex-DCR成为治疗慢性泪囊炎首选的手术方式。在20世纪末,随着可视化内镜技术的快速发展,于1989年进行了首例En-DCR[6]En-DCR是指在泪囊和鼻腔之间创造一条直接通路,在泪囊窝内壁开一个新骨窗,将鼻黏膜与泪囊内壁相吻合,建立新的引流通道,绕过狭窄或堵塞的鼻泪道,让泪囊中收集的眼泪可通过泪囊鼻腔吻合口直接流进鼻腔中,达到引流泪液的目的,能有效解决患者的溢泪、溢脓症状,提高患者生活质量[7]。研究表明,Ex-DCR与En-DCR在手术成功率上未有明显差异[8]并且相较于Ex-DCR,En-DCR从鼻腔内做切口,具有无面部瘢痕,不损伤眼轮匝肌,保留泪泵的功能,保持正常的瞬目机制等优点[3]。En-DCR在鼻内镜下操作,术野直观,还能同时识别和解决鼻腔内的病变。并且,En-DCR术后疼痛和肿胀的消退时间相较于Ex-DCR更快,缩短了恢复时间,降低了治疗费用[8]在泪囊炎急性发作期,早期的En-DCR能够加速蜂窝织炎和脓肿的消退,减少抗菌药物的使用时间[9]。本研究结果显示,En-DCR手术成功率达84.44%,是治疗慢性泪囊炎的有效手术方式。
       本研究显示,慢性泪囊炎患者以中老年女性居多,女性占比为90%,所有患者平均年龄为(49.97±13.10)岁。Yu等[10]也得出了同样的结论,发病患者中女性占比高于男性,发病年龄为(53.32±14.26)岁。本研究还显示,年龄并非手术成功率的影响因素之一。既往研究也表明[11],年龄>65岁的患者与中年患者,即年龄为(44.8±15.4)岁者相比,En-DCR的术后即刻成功率与随访5年的长期成功率相近。张文彬等[12]也发现,年龄因素对患者的手术效果影响无统计学意义。与本研究结果一致。因此,年龄不应成为En-DCR的禁忌证,对于无严重全身性疾病,能够耐受手术治疗的高龄患者,应该为其进行En-DCR手术,解决患者流泪、流脓症状,提高生活质量。
       本研究也未得出鼻中隔偏曲为影响En-DCR疗效的相关因素,Keren等[4]也得出了同样的结论。但有研[12-13]报道鼻中隔偏曲会影响手术疗效。究其原因,可能是本研究仅将超过下鼻甲平面的偏曲定义为鼻中隔偏曲,因此纳入鼻中隔偏曲的患者数量较少,无法得出结论。
       本次研究发现下鼻甲肥厚为En-DCR疗效的危险因素,关于此类结论尚未见报道。下鼻甲肥厚被认为是为了保护呼吸道免受过量空气进入鼻孔及其潜在的负面影响[14]。但已有研究发现,下鼻甲肥厚减少了喷鼻剂在中鼻道鼻腔药物的分布[15]。而泪囊鼻腔吻合口正是位于中鼻道鼻腔外侧壁,因此,下鼻甲肥厚患者术后喷鼻剂的使用情况不佳,喷鼻剂未能分布在吻合口周围。并且下鼻甲肥厚患者,吻合口引流空间较小,鼻腔分泌物更易附着在吻合口周围,刺激鼻黏膜,导致吻合口周围鼻黏膜炎症及肉芽增生,影响手术疗效。 因此,对于鼻腔结构异常的患者,术后应密切门诊随访,及时在鼻内镜下清理吻合口周围的异常分泌物,避免堵塞吻合口。及时发现吻合口周围的肉芽增生及鼻腔粘连,调整用药方案,以此来提高手术成功率。
       关于En-DCR术中使用泪道引流管是否能够提高手术的成功率是否需要常规使用,本研究也进行了观察。单因素分析显示置入引流管与En-DCR手术疗效有关(P = 0.041),但Logistic多因素回归分析结果显示引流管置入并非影响En-DCR手术疗效的危险因素(P = 0.111)。这是由于单因素分析统计方法的局限性而显示出统计学意义,而多因素分析则揭示出实际上对结局变量没有影响。因此,En-DCR术中使用泪道引流管对手术成功率并无改善。并且也有多名学者[16-18]行了相应的临床观察。与本研究得出的结论一致。支持泪道引流管能改善手术结果的证据较少,置入引流管并不能提高手术成功率,反而引流管可能会提高术后并发症的发生率。最常见的术后并发症为肉芽组织增生。长期放置的引流管可刺激吻合口、鼻腔黏膜形成肉芽组织并生成瘢痕,堵塞吻合口,引起泪道手术失败[19]。笔者认为,应当在病情复杂的泪道患者中使用引流管,如慢性泪囊炎合并泪小管、泪总管狭窄或堵塞、小泪囊、复发性泪囊炎等[20]。以及鼻中隔严重偏向病变侧、泪囊纤维化等局部条件不好的情况下置入泪道引流管[16],以此来保障吻合口开口的通畅,避免手术失败。
       术前泪道CT检查不仅提供了鼻腔鼻窦结构情况,还能展现泪道系统的解剖结构,例如鼻泪管狭窄及闭锁的位置,泪囊的大小等等。因Nie等[21]发现,泪囊大小对En-DCR手术疗效也存在影响,小泪囊会导致手术失败的风险增加。赵璐等[22]也得出了同样的结论。小泪囊患者术中只能制作较小的泪囊黏膜,增加了术中鼻黏膜和泪囊黏膜吻合的难度[23]。还因术前反复的泪道冲洗,刺激了泪囊黏膜,造成黏膜增厚甚至挛缩,使泪囊腔变窄[12]。因此,术前行泪道CT检查十分必要,对于小泪囊患者,术中可制作较大的骨窗,在吻合口处放置填充材料或置入泪道引流管,支撑吻合口,以减少手术失败的风险[22]
       影响En-DCR手术疗效的因素有很多,本研究仅对部分影响因素进行了探索。并且存在纳入病例数较少、术后随访时间较短等不足,未来可考虑纳入更多可能影响因素、病例数,延长随访时间,为临床提高En-DCR手术成功率及改善慢性泪囊炎患者预后提供参考和依据。总之,慢性泪囊炎多发生于中老年女性之中,年龄及鼻中隔偏曲并非En-DCR手术疗效的危险因素,但下鼻甲肥厚为手术疗效的危险因素。因此术后应定期复查,以提高手术成功率。

利益冲突

所有作者均声明不存在利益冲突。

开放获取声明

本文适用于知识共享许可协议 (Creative Commons),允许第三方用户按照署名(BY)-非商业性使用(NC)-禁止演绎(ND)(CC BY-NC-ND)的方式共享,即允许第三方对本刊发表的文章进行复制、发行、展览、表演、放映、广播或通过信息网络向公众传播,但在这些过程中必须保留作者署名、仅限于非商业性目的、不得进行演绎创作。

基金

1. 本研究受四川省科技厅科研基金(2024YFFK0149)、四川省中医药管理局课题 (2023MS596)资助。
This work was supported by the Scientific Research Fundation of the Education Department of Sichuan Province, China (2024YFFK0149) and Sichuan Provincial Administration of Traditional Chinese Medicine, China (2023MS596) .

参考文献

1. Heichel J, Struck HG. Lacrimal duct obstruction in adults[ J]. Klin Monbl Augenheilkd, 2021, 238(2): 211-230. DOI: 10.1055/a-1283- 9271.
2. Ali MJ, Paulsen F. Etiopathogenesis of primary acquired nasolacrimal duct obstruction: what we know and what we need to know[ J]. Ophthalmic Plast Reconstr Surg, 2019, 35(5): 426-433. DOI: 10.1097/ IOP.0000000000001310.
3. Herzallah IR , Marglani OA, Muathen SH, et al. Endoscopic and radiologic findings in failed dacryocystorhinostomy: teaching pearls for success[ J]. Am J Rhinol Allergy, 2019, 33(3): 247-255. DOI: 10.1177/1945892418815044.
4. Keren S, Abergel A, Manor A, et al. Endoscopic dacryocystorhinostomy: reasons for failure[ J]. Eye, 2020, 34(5): 948-953. DOI: 10.1038/ s41433-019-0612-y.
5. 赵堪兴, 杨培增. 眼科学[M]. 8版. 北京: 人民卫生出版社, 2013.
Zhao KX, Yang PZ. Ophthalmology[M]. 8th ed. Beijing: People's Medical Publishing House, 2013.
6. Sobel R K , Aakalu V K , Wladis E J ,et al.A Comparison of Endonasal Dacryocystorhinostomy and External Dacryocystorhinostomy[ J]. Ophthalmology, 2019, 126(11) :1580-1585. DOI: 10.1016/ j.ophtha.2019.06.009.
7. Z l o t o O , K o v a l T, Ya k i r e v i c h A , e t a l . E n d o s c o p i c dacryocystorhinostomy with and without mucosal flap-is there any difference?[ J]. Eye, 2020, 34(8): 1449-1453. DOI: 10.1038/s41433- 019-0716-4.
8. Chong KKL, Abdulla HAA, Ali MJ. An update on endoscopic mechanical and powered dacryocystorhinostomy in acute dacryocystitis and lacrimal abscess[ J]. Ann Anat, 2020, 227: 151408. DOI: 10.1016/ j.aanat.2019.07.009.
9. Pakdel F, Soleimani M, Kasaei A, et al. Shifting to very early endoscopic DCR in acute suppurative dacryocystitis[ J]. Eye, 2020, 34(9): 1648- 1653. DOI: 10.1038/s41433-019-0734-2.
10. Yu B, Xia Y, Sun JY, et al. Surgical outcomes in acute dacryocystitis patients undergoing endonasal endoscopic dacryocystorhinostomy with or without silicone tube intubation[ J]. Int J Ophthalmol, 2021, 14(6): 844-848. DOI: 10.18240/ijo.2021.06.08.
11. Tessler I, Warman M, Amos I, et al. Endoscopic dacryocystorhinostomy among the old and oldest-old populations - A case control study[ J]. Auris Nasus Larynx, 2021, 48(5): 898-904. DOI: 10.1016/ j.anl.2021.02.010.
12. 张文彬, 丁芝祥, 廖妙云, 等. 经鼻内窥镜下鼻腔泪囊吻合术治 疗泪囊炎疗效的影响因素分析[ J]. 国际眼科杂志, 2020, 20(9): 1637-1640. DOI: 10.3980/j.issn.1672-5123.2020.9.35.
Zhang WB, Ding ZX, Liao MY, et al. Analysis of influencing factors of curative effect of dacryocystorhinostomy with nasal endoscope in patients with dacryocystitis[ J]. Int Eye Sci, 2020, 20(9): 1637-1640. DOI: 10.3980/j.issn.1672-5123.2020.9.35.
13. 王向东, 陈新军, 郝蕴, 等. 鼻内镜泪囊鼻腔吻合术对不同原因 泪道阻塞的疗效观察[ J]. 临床耳鼻咽喉头颈外科杂志, 2021, 35(8): 677-682. DOI: 10.13201/j.issn.2096-7993.2021.08.002.
Wang XD, Chen XJ, Hao (W/Y), et al. The effect of endoscopic dacryocystorhinostomy on different lacrimal duct obstruction[ J]. China Ind Econ, 2021, 35(8): 677-682. DOI: 10.13201/j.issn.2096- 7993.2021.08.002.
14. Chiesa Estomba C, Rivera Schmitz T, Ossa Echeverri CC, et al. Compensatory hypertrophy of the contralateral inferior turbinate in patients with unilateral nasal septal deviation. A computed tomography study[ J]. Pol Otolaryngol, 2015, 69(2): 14-20. DOI: 10.5604/00306657.1149568.
15. Dowley AC, Homer JJ. The effect of inferior turbinate hypertrophy on nasal spray di str ibution to the midd le meatus[ J]. Clin Otolaryngol Allied Sci, 2001, 26(6): 488-490. DOI: 10.1046/j.1365-2273.2001.00509.x.
16. Cavaliere M, de Luca P, Scarpa A, et al. Longitudinal randomized study to evaluate the long-term outcome of endoscopic primary dacryocystorhinostomy with or without silicone tube[ J]. Eur Arch Otorhinolaryngol, 2022, 279(2): 1105-1109. DOI: 10.1007/s00405- 021-07104-w.
17. Al-Qahtani AS. Primary endoscopic dacryocystorhinostomy with or without silicone tubing: a prospective randomized study[ J]. Am J Rhinol Allergy, 2012, 26(4): 332-334. DOI: 10.2500/ajra.2012.26.3789.
18. Chong KK , Lai FH, Ho M, et al. Randomized trial on silicone intubation in endoscopic mechanical dacryocystorhinostomy (SEND) for primary nasolacrimal duct obstruction[ J]. Ophthalmology, 2013, 120(10): 2139-2145. DOI: 10.1016/j.ophtha.2013.02.036.
19. Longari F, Dehgani Mobaraki P, Ricci AL, et al. Endoscopic dacryocystorhinostomy with and without silicone intubation: 4years retrospective study[ J]. Eur Arch Otorhinolaryngol, 2016, 273(8): 2079-2084. DOI: 10.1007/s00405-015-3876-2.
20. 中华医学会眼科学分会眼整形眼眶病学组. 中国内镜泪囊鼻 腔吻合术治疗慢性泪囊炎专家共识(2020年)[ J]. 中华眼科杂 志, 2020, 56(11): 820-823. DOI: 10.3760/cma.j.cn112142-20200515- 00331.
Chinese Medical Association Ophthalmology Branch Ophthalmology Plastic Surgery and Orbital Diseases Group.Expert consensus of China endoscopic dacryocystorhinostomy for chronic dacryocystitis (2020) [ J]. Chin J Ophthalmol, 2020, 56(11): 820-823. DOI: 10.3760/cma. j.cn112142-20200515-00331.
21. Nie S, Liu Y, Wang W, et al. Clinical utility of digital radiography dacryocystography for preoperative assessment in nasolacrimal duct obstruction prior to endoscopic dacryocystorhinostomy[ J]. Heliyon, 2024, 10(11): e31981. DOI: 10.1016/j.heliyon.2024.e31981.
22. 赵璐,申文婷,张明红,等. 鼻内镜下泪总管暴露治疗小泪囊慢性 泪囊炎的临床分析[ J]. 临床眼科杂志, 2022, 30(1): 54-57. DOI: 10.3969/j.issn.1006-8422.2022.01.013.
Zhao L, Shen WT, Zhang Mh, Clinical analysis of exposing the common lacrimal duct under nasal endoscope in the treatment of chronicdacryocystitis of the small lacrimal sac[ J]. J Clin Ophthalmol, 2022, 30(1): 54-57. DOI: 10.3969/j.issn.1006-8422.2022.01.013.
23. Huang SE , Geng CL , Wang M , et a . Endoscopic dacryocystorhinostomy for refractory nasolacrimal duct obstruction w ith a small lacrimal sac (≤ 5 mm in diameter)[ J]. Eur Arch Otorhinolaryngol, 2022, 279(10): 5025-5032. DOI: 10.1007/s00405- 022-07347-1.

相关文章