返回

眼底疾病临床创新研究模式:六要素,三个一

阅读量:11576
DOI:10.12419/25021301
发布日期:2025-02-28
作者:
文峰 ,张雄泽 ,李妙玲 ,甘雨虹 ,苏永悦
展开更多

关键词

眼底疾病
眼底影像
创新研究
工作模式

摘要

“六要素,三个一”是眼底影像基础阅片工作中进行眼底疾病临床创新性研究的模式要点,即在眼底阅片过程中捕捉到1个异常的病例后,通过积累病例、提炼特征、文献检索、寻同查异,进而扩展到1组病例,最后通过思辨创新,提出或完善1种新的疾病或疾病表征。近二十年来,在此模式的指导下,团队在眼底疾病研究工作中取得了一些原创性的成果:比如息肉状脉络膜血管病变的认识及其在国人新生血管性年龄相关性黄斑变性中发病比例第一,提出点状内层脉络膜病变病灶国际分期和命名新亚型,年龄相关的吲哚菁绿血管造影晚期散在弱荧光点揭示潴留性视网膜色素上皮脱离的发病机制,发现急性黄斑神经视网膜病变是登革热患者视力下降的主要原因,在全球最大的持续性鳞状黄斑病变的病例系列中明确病灶层次等创新性成果。“六要素”框架规范眼底影像研究流程,强调研究过程的严谨性与渐进性,且多次循环后衍生发散出更多研究线索和思路,极大拓展研究深度和广度。“三个一”路径体现了研究的层次性,从个体现象(点)到群体规律(线),最终构建疾病认知的立体网络(面);指导眼底异常影像征象、罕见病、新病种研究,加速疾病谱系完善。以“六要素”为纲,以“三个一”为略,将继续推动眼底疾病临床研究的创新与突破。

全文

文章亮点

1. 关键发现

 • “六要素,三个一”是笔者团队总结自身眼底疾病临床创新研究模式的要点,在眼底阅片过程中捕捉到1个异常的病例后,通过积累病例、提炼特征、文献检索、寻同查异,进而扩展到 1 组病例,最后,通过思辨创新,提出或完善 1 种新的疾病或疾病表征。

2. 已知与发现

 • 近二十年来,在此模式的指导下,团队在眼底疾病研究工作中取得了较丰硕的原创性成果,并获得了国内外同行的广泛认同与赞誉。

3. 意义与改变

 • 以“六要素”为纲,以“三个一”为略,借鉴推广该模式将继续推动眼底疾病临床研究的创新与突破。

       随着眼底影像的繁荣发展,眼底影像研究对眼底学科知识体系的扩充和革新丰富且迅速。眼底影像阅片是眼底医师的基本功,如何在基础的阅片工作中做出眼底疾病的临床创新性研究,笔者团队从自身临床科研工作中不断成熟的工作模式上提炼要点,总结出此文,以资借鉴推广。
       “六要素,三个一”是笔者团队总结多年来眼底疾病临床创新研究模式的要点(图1),其内涵为:在眼底阅片过程中捕捉到1个异常的病例后,通过积累病例、提炼特征、文献检索、寻同查异,进而扩展到1组病例,最后,通过思辨创新,提出或完善1种新的眼底疾病或疾病表征。近二十年来,在此模式的指导下,团队在眼底疾病研究工作中取得了一些原创性的成果,并获得了国内外同行的广泛认同与赞誉。

图 1 眼底疾病临床创新研究的“六要素,三个一”模式 

Figure 1 The "6 Elements, 3 Ones" model for innovative clinical research in ocular fundus diseases

图 1 眼底疾病临床创新研究的“六要素,三个一”模式 Figure 1 The

1 息肉状脉络膜血管病变在国人新生血管性年龄相关性黄斑变性中发病比例第一

       息肉状脉络膜血管病变( poly poidal choroidal vasculopathy, PCV)在20多年前国内鲜有人知,笔者通过吲哚菁绿血管造影(indocyanine green angiography, ICGA)陆续在部分眼底出血量较多的年龄相关性黄斑变性(age-related macular degeneration, AMD)患者中发现影像异常,积累病例后分析认为这部分患眼ICGA早期中有令人印象深刻的特征性囊袋样强荧光,通过文献检索发现国外已有学者将这类疾病命名为PCV。笔者在2001年第九届全国眼底病年会上在国内首次报道15只国人PCV患眼的临床特征(图2),引起广泛关注,此后通过国内不断的学术宣讲向临床眼科医生普及PCV知识。也自此开展团队对PCV的不断思辨创新和探索研究,涉及PCV的人口学特点、发病比例、基因易感性、临床影像学分析、合并症、治疗和预后等诸多领域,2014年获评我国眼底病近5年十大研究进展之一。2004年团队报道了国人新生血管性AMD中PCV的比例为22%[1]。经过多年对PCV的认识加深和多模式眼底影像工具用于PCV诊断,2022年团队更新国人湿性AMD中PCV的比例为58%[2],PCV发病比例成为国人新生血管性AMD亚型中第一位,足见PCV领域研究对眼底病防治的重要性。

图 2 笔者在国内报道的第一例息肉状脉络膜血管病变 

Figure 2 The first reported case of polypoidal choroidal vasculopathy in China

图 2 笔者在国内报道的第一例息肉状脉络膜血管病变 Figure 2 The first reported case of polypoidal choroidal vasculopathy in China

2 点状内层脉络膜病变病灶分期和新亚型

       点状内层脉络膜病变(punctate inner choroidopathy, PIC)是一种非感染性的视网膜脉络膜炎性疾病[3]。在过去,PIC被认为是一种相对罕见的视网膜脉络膜病变,PIC的发病率被严重低估。笔者团队在国内较早诊断并关注到这一疾病,运用“六要素,三个一”的临床科研模式,对PIC展开了一系列深入的研究。

2.1 “从一例,一组,到一种”,将PIC引入国人视野

       2010年,笔者团队在对比1例PIC和1例多灶性脉络膜炎患者的眼底影像后发现其差异性,随后陆续观察到多例PIC,对其临床特征不断熟悉凝练,积累的病例越来越多,结合文献检索,次年首次总结发表了75例国人PIC患者的临床特征[4]。当时关于中国PIC患者的研究仅限于2例病例报道。团队对PIC病例系列的细致收集积累后,发现PIC在中国人群中并不罕见。PIC主要影响年轻、近视的女性。其特征为多灶、细小、黄白色视网膜下病变,主要位于后极部,病变可进展为点状萎缩,容易继发脉络膜新生血管。该研究是首次针对中国患者进行的PIC临床研究,也是目前关于PIC较大样本量的临床研究,填补了国内在PIC的研究领域空白。
       紧接着1例黄斑区PIC的患者如何界定活动性,是否需要治疗介入的新问题引起团队思考。在平面影像基础上借助频域光学相干断层扫描(optical coherence tomography, OCT)陆续用于后续积累的PIC病例每个病灶的观察,团队认识到PIC病灶断层成像能更精准地判断病灶活动性。检索文献发现尚无此类报道。2013年,团队在眼科顶刊发表了基于OCT对PIC病灶临床病程分期的开创性研究[3]。该研究利用OCT明确了PIC病灶累及的视网膜脉络膜层次,并揭示了其实质上是一种类肉芽肿的脉络膜视网膜炎,而非单纯的内层脉络膜病变。同时,该研究通过高分辨OCT的观察首次在国际上将PIC病灶细分为5期(图3):Ⅰ期脉络膜浸润、Ⅱ期视网膜色素上皮(retinal pigment epithelium, RPE)下结节、Ⅲ期视网膜脉络膜结节、Ⅳ期结节退行病变、Ⅴ期萎缩/视网膜疝。

图 3 PIC病灶的5个分期 

Figure 3 Five stages of PIC lesion

图 3 PIC病灶的5个分期 Figure 3 Five stages of PIC lesion
       从在临床工作中发现“一例‘罕见’”的PIC病例,到“一组”国人大样本量的PIC病例系列,再到对PIC这“一种疾病”从临床影像病理到自然病程分期的逐渐认识,团队关于PIC的临床研究奠定了研究者和临床医生对PIC的理解,同时PIC的OCT分期是现今关于PIC临床诊疗的基础。

2.2 PIC临床影像的细致解读

       随着PIC患者病例数量的积累及眼底多模式影像的应用,从个别特殊病例中团队发现了PIC眼底表现的多样化,“六要素”再循环,进一步通过“捕捉异常,提炼特征”,结合眼底影像学的解读“寻同查异”,对PIC病变及其并发症的临床表现及影像特征进行更多的探究。
       眼底阅片中1例黄斑区PIC病灶荧光素眼底血管造影(fundus fluorescein angiography, FFA)显示渗漏而OCT未发现活动性,抓住这个例子通过积累类似病例,团队发现了PIC相关的视网膜囊样空隙(intraretinal cystoid space, ICS)[5]。这种在PIC病灶内出现的视网膜囊样空隙在既往文献中并未被描述。近1/3的PIC患眼可在出现病灶处的ICS,且均为Ⅳ期及Ⅴ期PIC病灶,ICS可累及内层、外层或全层视网膜,是PIC炎性病灶转归的表现。推测其形成机制可能与PIC炎性病灶浸润造成RPE及Müller细胞功能损伤、局部组织缺失、视网膜脉络膜组织间的机械牵引力相关。笔者团队将ICS分为Ⅰ型和Ⅱ型。Ⅰ型ICS伴有RPE的中断,故在FFA上呈现荧光素渗漏,需要注意与活动性炎性病灶、脉络膜新生血管相鉴别。Ⅱ型ICS的RPE完整,在FFA上表现为透见荧光或无明显改变。ICS在形态和临床预后上均比较稳定,不需要临床干预,可作为PIC病灶消退的生物学标记物。
       反复发作的PIC个案让团队思考有无眼底征象可以预测PIC预后,此前尚无文献报道,通过积累PIC 复发病例,笔者团队发现眼底自发荧光(autofluorescence, AF)可能是预测病灶复发的有效手段。团队先系统性观察了短波长自发荧光(shortwave-AF, SW-AF)在PIC病灶的不同分期的特征,活动期病灶的弱AF点伴强AF边缘具有特征性[6]。此后团队总结并发现40% 的PIC病灶会复发,PIC炎性病灶的复发可导致继发脉络膜新生血管的比例增高,且视力预后更差,而斑片状强SW-AF可作为预测复发的眼底影像指征[7],它提示可能存在更广泛、更弥漫的外层视网膜炎症。

2.3 命名一种新的眼底疾病

       黄斑区孤立PIC的病例个案,在团队病例积累中越来越多,有其特征且鲜有报道,通过随访我们命名了一种PIC新亚型——孤立性点状脉络膜视网膜炎(solitary punctate chorioretinitis, SPC)[8]。SPC病灶具有和PIC病灶一致的多模式影像表现、类似的流行病学特征、类似的病灶形态、类似的病程转归,其可能为PIC的一种亚型。然而短期随访的证据显示SPC病灶未转化为多灶病灶,SPC炎症复发主要位于病灶原位,且可形成局灶脉络膜凹陷及脉络膜新生血管,因此这些独特的临床特征提示SPC也可能为一种单独的疾病。SPC虽然是孤立的炎性病灶,但由于其位于黄斑区,可引起患者明显视觉症状;同时,SPC可继发脉络膜新生血管,可能是部分“特发性”脉络膜新生血管及“特发性”局灶脉络膜凹陷的潜在病因。

3 从“年龄相关的吲哚菁绿血管造影晚期散在弱荧光点”深入探索到“潴留性视网膜色素上皮脱离”的机制发现

       ICGA阅片仍然有较多宝藏待开发,遵循“六要素,三个一”模式,团队从一个异常ICGA影像征象衍生出一系列眼底影像研究成果。

3.1 吲哚菁绿血管造影晚期熟视又忽视的弱荧光点

       在临床眼底造影阅片中,笔者团队在ICGA中观察到一种规律排列的弱荧光点,这些弱荧光点常因显现微弱且在造影20 min以后出现而被忽视。随着积累到越来越多ICGA晚期表现有清晰弱荧光点且容易误诊的眼底病例。通过查阅文献,这一异常现象在之前的研究中未有充分描述,鉴于这一现象的普遍性及其可能的临床意义,团队决定深入研究这一异常现象。
       通过积累875例病例,细致分析该征象的发生率、人口学特点、多模式影像表现。研究发现,这些弱荧光斑点主要位于黄斑区域,并可延伸至整个后极部,其发生率和累及范围随着年龄的增长而显著增加。且多模式影像结果显示,弱荧光点仅能在ICGA显现(30 min后更明显),在彩色眼底照相、FFA、AF和OCT中均无对应的异常(图4)。基于这些特点,团队将这种ICGA征象命名为“年龄相关的吲哚菁绿血管造影晚期散在弱荧光点”(age-related scattered hypofluorescent spots on late-phase indocyanine green angiography, ASHSLIA),并对其分布范围进行了程度分级,同时发现其可以存在黄斑融合的特征[9]

图 4 ASHS-LIA多模式影像 

Figure 4 Multimodal imaging of age-related scattered hypofluorescent spots on late-phase indocyanine green angiography (ASHSLIA)

图 4 ASHS-LIA多模式影像 Figure 4 Multimodal imaging of age-related scattered hypofluorescent spots on late-phase indocyanine green angiography (ASHSLIA)
(A)眼底彩照未见异常;(B)FFA未见异常;(C)ICGA早期未见异常荧光;(D)ICGA晚期示黄斑区及视盘周围规律分布,边界模糊的散在弱荧光点,伴黄斑区部分融合;(E)AF未见与ASHS-LIA对应的自发荧光改变;(F)OCT(对应E中绿线所示横断面)未见对应ASHS-LIA的异常。

3.2 ASHS-LIA影像特征至病理本质的研究深入

       ASHS-LIA与年龄密切联系,但其本质为何物?团队进一步纳入345例ASHS-LIA患者,通过对比ASHSLIA与软性玻璃疣的临床特征,探讨ASHS-LIA与眼底脂质沉积的关系[10]。研究结果表明所有患有软性玻璃疣的患眼都同时患有ASHS-LIA,且软性玻璃疣的发生率随着ASHS-LIA的等级增加而增加。软性玻璃疣与ASHS-LIA一样在ICGA中表现为弱荧光,说明两者可能成分相似且可能是同一类型病灶不同病程的表现。根据ASHS-LIA年龄相关性、ICGA表现、分布融合特征及与软性玻璃疣的关系,推测ASHS-LIA可能对应Bruch膜中一种亚临床的弥漫性脂质沉积——基底线性沉积(basal linear deposits, BLinD)或BLinD前体。BLinD为一层随年龄增长而沉积的薄层的疏水中性脂质,可能阻碍RPE及脉络膜间的水液及营养物质运输,BLinD持续进展可发展为软性玻璃疣。ASHS-LIA与BLinD的病理联系使病理中的这一薄层脂质沉积临床可视化,并为后续的疾病研究奠定了深厚基础。

3.3 ASHS-LIA至潴留性PED发现的延伸创新

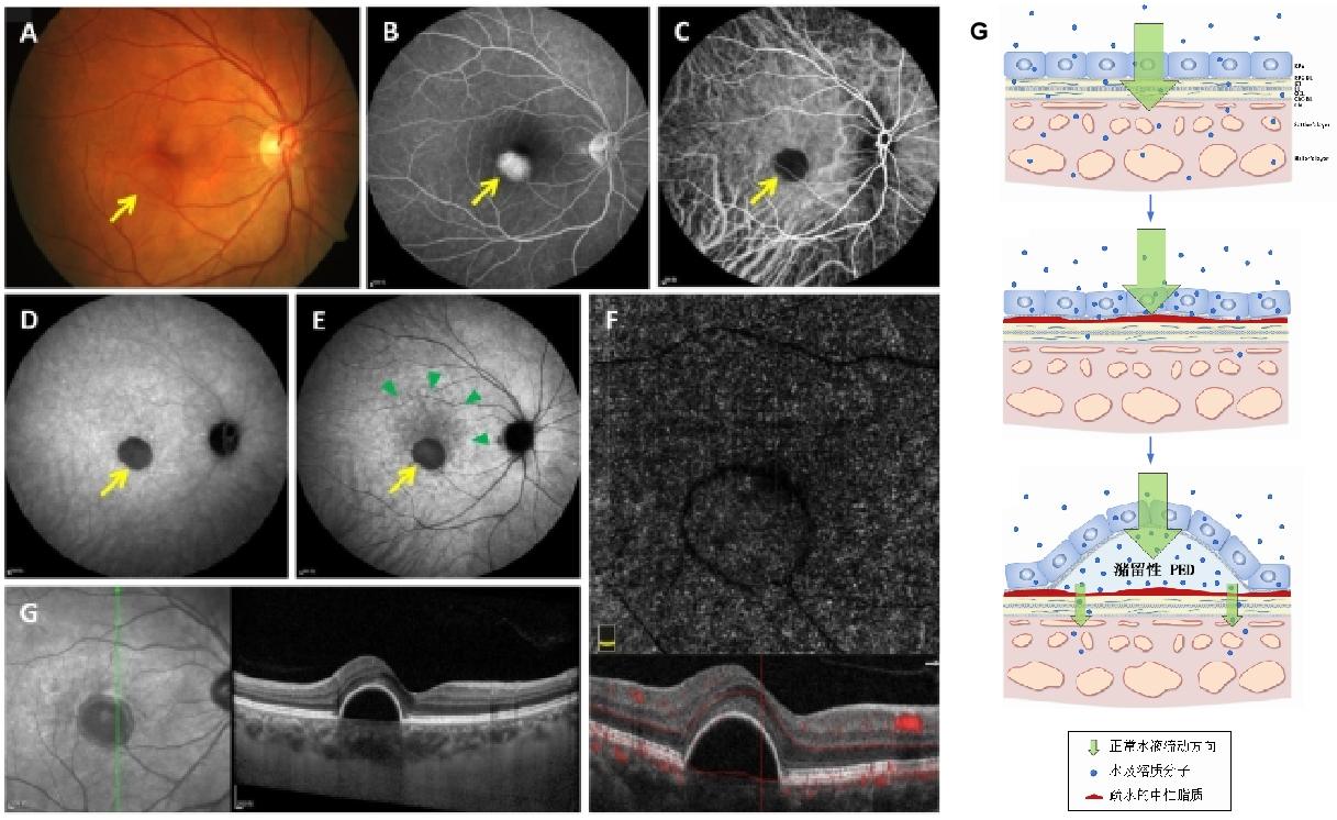
       在ASHS-LIA的研究基础上,团队捕捉到一例老年患者黄斑区非血管性浆液性视网膜色素上皮脱离(pigment epithelial detachment, PED)多次眼内抗血管内皮生长因子治疗无效,但眼底合并有ASHS-LIA。这种非血管性浆液性PED既往称为特发性PED,其浆液积聚的原因尚未完全阐明且难以治疗,对抗血管内皮生长因子治疗基本无应答。因此,团队回顾既往积累的病例,纳入74只50岁以上患有非血管性浆液性PED的患眼,表明91.9%的老年非血管性浆液性PED均合并有ASHS-LIA,且合并有ASHS-LIA的PED位置及面积与ASHS-LIA累及的位置和范围分级显著相关。鉴于ASHS-LIA可能代表Bruch膜中的疏水性中性脂质沉积,团队首次于国际将这种与ASHS-LIA相关的非血管性浆液性PED其命名为“潴留性PED(retentional PED)”[11]
       同时提出其发病的脂质屏障假说,即随着年龄增长而沉积的疏水中性脂质逐渐沉积于Bruch膜(BLinD或其前体),形成脂质屏障而降低Bruch膜导水率,使水液潴留在RPE基底膜和脂质屏障之间(图5)。潴留性PED的提出为非血管性浆液性PED的病理机制提供了新的视角,针对眼底脂质沉积的治疗有望为潴留性PED患者提供有效的治疗手段。

图 5 潴留性PED的多模式影像及病理生理机制示意图
Figure 5 Multimodal imaging and pathophysiological mechanism of retentional PED

20250307171228_9047.png
(A)眼底照相显示黄斑区类圆形呈穹顶状隆起(黄色箭头);(B~F)FFA、ICGA及OCTA证实无黄斑脉络膜新生血管;(B)晚期FFA显示PED内染料积存(黄色箭头);(C、D)早期和中期ICGA显示PED呈弱荧光;(E) 晚期ICGA显示PED(黄色箭头)被部分融合的ASHS-LIA(绿色箭头)包围;(F、G)OCT及OCTA扫描显示对应浆液性PED的RPE下方低反射空间,无黄斑新生血管;(F)潴留性PED可能病理生理机制:在正常情况下,由于渗透梯度,水液沿玻璃体至脉络膜方向流动(绿色箭头)。随着年龄的增长,Bruch膜的RPE基底膜和内胶原层之间疏水性中性脂质积聚。疏水性脂质屏障(红色薄层),尤其存在融合时,降低Bruch膜的有效导水率,导致流体潴留在RPE基底膜和内胶原层之间。
(A) Fundus photography showing a dome-shaped, round elevation in the macula (yellow arrow). (B-F) FFA, ICGA, and OCTA confirming the absence of macular neovascularization. (B) Late-phase FFA showing dye pooling within the PED (yellow arrow). (C-D) Early and mid-phase ICGA showing the PED as hypofluorescent. (E) Late phase ICGA showing the PED (yellow arrow) surrounded by partially confluent ASHS-LIA (green arrows). (F-G) OCT and OCTA scans revealing a hyporeflective space beneath the RPE corresponding to serous PED, with no macular neovascularization. (F) Proposed pathophysiological mechanism of retentional PED: Under normal conditions, fluid flows from the vitreous to the choroid due to osmotic gradients (green arrows). With aging, hydrophobic neutral lipids accumulate between the RPE basement membrane and the inner collagen layer of Bruch's membrane. The hydrophobic lipid barrier (red layer), especially when fused, reduces the effective hydraulic conductivity of Bruch's membrane, leading to fluid retention between the RPE basement membrane and the inner collagen layer.

3.4 潴留性PED自然病程验证脂质屏障假说的挖掘探索

       在前序研究的基础上,为进一步验证脂质屏障假说并探索潴留性PED的临床治疗方向,团队进行了潴留性PED的前瞻性随访研究,从纵向资料挖掘验证潴留性PED的病因假说。通过对55只潴留性PED眼的中位随访时间为18个月的观察,团队详细记录并评估了潴留性PED的病程变化和临床表现。纵向临床数据表明,潴留性PED的自然病程进展和结局(持续存在、消退或继发脉络膜新生血管)与PED边界和ASHS-LIA黄斑融合边界的关系密切相关,验证了前期提出的脂质屏障假说,即ASHS-LIA所代表的眼底Bruch膜上中性脂质沉积在潴留性PED形成和发展中起关键作用[12]。此外,该研究为临床治疗提供了重要的指导意见。基于研究结果,团队提出了一系列改善潴留性PED结构和功能的潜在治疗方法,如脂质沉积清除类药物的开发及手术按摩PED等可能改善疾病的进展。

4 急性黄斑神经视网膜病变是登革热患者视力下降的主要原因

       2014年发生在广东省的由1型登革热病毒引起的登革热疫情,是中国过去 30 年来最严重的登革热疫情,全年报告病例数超过4万例。团队注意到第一例登革热急性期患者眼科就诊出现黄斑病变后,通过详细眼底影像检查,确认其红外光(infrared, IR)成像和外层视网膜光感受器层有特征性OCT表现,引起警惕。疫情期间陆续收治积累了一批登革热患者出现了突发单眼或双眼一个或多个中心或中心旁暗点。眼底表现正常或黄斑区有楔形/斑片状病变,颜色为黄白色/褐色。FFA检查发现,所有患眼均无异常表现。IR检查发现,所有患眼表现为局灶性弱反射病灶。OCT检查发现,所有患眼光感受器层可见局灶性强反射病灶,并使其正常反射结构中断,强反射病灶于初诊后2周内开始消退。随着光感受器层强反射病灶的消退,外核层出现不可逆变薄,外界膜和椭圆体带开始修复,两者的连续性于随访终点基本恢复,但交叉带连续性仍然中断(图6)。符合“急性黄斑神经视网膜病变”(acute macular neuroretinopathy, AMN)的临床表现。除 AMN 病变外,本系列中的所有患眼均被发现具有既往已报道的登革热黄斑病变,例如视网膜内出血和渗出。笔者进行文献检索,发现登革热相关的AMN尚无报道。

图 6 登革热患者AMN病灶随访
Figure 6 Follow-up of AMN lesions in a dengue fever patient

20250307171335_3241.png
(A)发病2天,OCT 显示高反射从 Henle 纤维层延伸到椭圆体带,交叉带出现局灶缺失(箭头)。(B)2 周后OCT 显示高反射带的大小和强度减小,同时伴有外核层轻微变薄以及外界膜、椭圆体带和交叉带的破坏(箭头)。(C)6个月随访时, OCT 显示病灶高反射持续减少,以及外界膜和椭圆体带重建;交叉带仍然受到破坏(箭头)。随访期间,黄斑区褐色楔形病灶颜色逐渐加深。
(A) Two days after onset, OCT shows hyperreflectivity extending from Henle's fiber layer to the ellipsoid zone, with local loss at the interdigitation zone (arrow). (B) Two weeks later, OCT shows reduced size and intensity of the hyperreflective band, accompanied by mild thinning of the outer nuclear layer and disruption of the external limiting membrane, ellipsoid zone, and interdigitation zone (arrow). (C) At six-month follow-up, OCT shows continued reduction in hyperreflectivity of lesion, with reconstruction of the external limiting membrane and ellipsoid zone; the interdigitation zone remains disrupted (arrow). During follow-up, the brown wedge-shaped lesion in the macula gradually darkened.

5 全球最大“持续性鳞状黄斑病变”病例系列揭示病灶位置

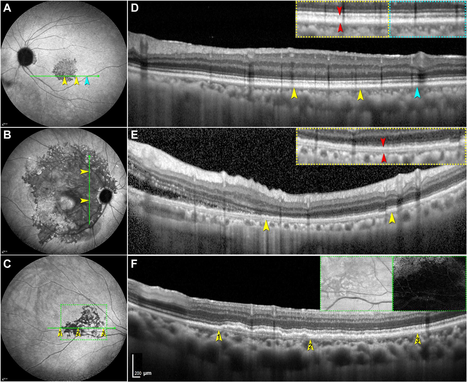
       2013年团队收治了一例单眼黄斑区脉络膜新生血管的老年患者,其辗转国内各大医院且眼内多次抗血管内皮生长因子治疗效果差。经过详细的眼底检查,笔者团队关注到该患者ICGA检查中脉络膜新生血管病灶周围有不寻常的弱荧光病灶,弱荧光病灶的轮廓细碎具有特征性。通过文献检索,团队认定该患者诊断是持续性鳞状黄斑病变(persistent placoid maculopathy, PPM)继发脉络膜新生血管。PPM是罕见眼底疾病,以往仅在白人中有个位数病例报道,亚洲尚无病例报道。同时团队注意到PPM的病灶定位不清,多年来发表的研究莫衷一是。认识到该特殊眼底病例后,团队长期积累类似表现的病例,在不断分析验证中发现PPM病灶一致的准确定位。2024年经过10年的病例积累,团队首次报道了亚洲人群的16例PPM病例系列,同时是国际上最大的PPM病例系列[14]。揭示了PPM病变所在的真正层次以及迁徙进展的特性,完善了分型和描述术语,为国际上关于病变层次的争论提供翔实的影像学依据。
       此前,由于病例罕见,PPM的主要受累层次众说纷纭。团队借助最大的病例系列分析和高分辨率OCT,首次观察到PPM的地衣样ICGA弱荧光病灶对应于RPE-Bruch膜复合体的增厚或裂隙状、丘状的RPE与Bruch膜层间病灶(图7),为国际上关于PPM病变所在真正层次的争论提供新的确实影像学依据。同时鉴于PPM病灶特征,团队建议使用“地衣样(lichenoid)”来代替“鳞状(placoid)”来准确描述PPM在 ICGA 上弱荧光的独特轮廓和 PPM病灶在RPE下的扁平生长模式。病变在 RPE 和 Bruch膜之间的潜在空间中迁徙和延伸可能是地衣样外观和进展模式的原因。

图 7 PPM的ICGA弱荧光对应于 OCT 上的RPE下病灶
Figure 7 ICGA hypofluorescence of PPM corresponds to sub-RPE lesions on OCT

20250307171509_2403_thumb.png
( A、B、C)PPM 病变在 ICGA 上表现为地衣样弱荧光,分为融合状(B)和簇状(A、C),其中一个病例的病灶位于后极部以外(C);(D、E、F)它们对应于 OCT 上 RPE-Bruch 膜复合体的增厚(D 中的黄色箭头和黄色框内范围,与蓝色框内范围中正常的 RPE-Bruch膜复合体相比)和RPE下中等反射的裂隙状(E 中的黄色箭头和黄色框内范围)或丘状(F 中的黄色箭头)病灶。 红色箭头,指向 RPE 和 Bruch膜之间。弱荧光的强度与RPE下病灶的厚度相关(C、F),较暗的弱荧光与较厚的RPE 下病灶相关(箭头 1 和 2 之间的区域,与箭头 2 和 3 之间的区域相比)。OCTA在PPM病灶处的RPE下未发现异常血流信号,但在相应的en face OCT 上显示低反射的病灶形态(绿色框内范围)。
(A, B, C) PPM lesions appear as lichen-like hypofluorescence on ICGA, categorized as fused (B) or clustered (A, C), with one case showing lesions outside the posterior pole (C). (D, E, F) These correspond to thickening of the RPE-Bruch's membrane complex on OCT (yellow arrows and inset in D, compared to the normal RPE-Bruch's membrane complex in the blue inset) and sub-RPE medium-reflective slit-like (yellow arrows and inset in E) or mound-like (yellow arrows in F) lesions. Red arrows point to the space between the RPE and Bruch's membrane. The intensity of hypofluorescence correlates with the thickness of sub-RPE lesions (C, F), with deeper hypofluorescence associated with thicker subRPE lesions (area between arrows 1 and 2 compared to the area between arrows 2 and 3). OCTA shows no abnormal blood flow signals at the sub-RPE level in PPM lesions, but en face OCT reveals hyporeflective lesion morphology (green inset).
       根据病灶在ICGA晚期弱荧光的形态和进展模式,PPM的地衣样病灶可分为两型:融合状和簇状。本组PPM患者脉络膜新生血管的发生率为48%,融合状患者因病变具有基底,继发脉络膜新生血管更常见。
       几种类型的脉络膜炎需要与 PPM 相鉴别,包括黄斑型匍行性脉络膜炎、急性后极部多灶鳞状色素上皮病变和急性梅毒性后极部鳞状脉络膜视网膜炎。三者与 PPM 具有一些类似的眼底血管造影特征;然而,PPM具有独特的地衣样外观。此外,OCT显示这些疾病的受影响层次不同。PPM是唯一位于RPE下间隙的病变,而匍行性脉络膜炎、急性后极部多灶鳞状色素上皮病变的病灶位于脉络膜,继发累及光感受器层和RPE层,急性梅毒性后极部鳞状脉络膜视网膜炎的病灶直接累及光感受器层和RPE层。另外ASHS-LIA征象、单侧RPE发育不良等病灶在形态上与PPM有相似处,需要鉴别诊断。
       以上是团队总结的 “六要素,三个一”眼底疾病临床创新研究模式的部分成功范例。 捕捉异常,即发现眼底影像中的异常信息,是研究的起点;积累病例,即将零散病例汇聚成库,形成研究基石;提炼特征,即通过逻辑分析提炼共性特征;文献检索,即追溯前人研究,定位知识空白;寻同查异,即从全局视角对比共性与差异;思辨创新,即扎根数据提出新理论。“六要素”框架规范了眼底疾病的研究流程,强调研究过程的严谨性与渐进性,每一步既独立成章,又彼此联动,形成“观察-积累-分析-检索-对比-创新”的闭环逻辑,且多次循环后衍生发散出更多研究线索和思路,极大拓展研究深度和广度。“三个一”路径体现了研究的层次性,从个体现象(点)到群体规律(线),最终构建疾病认知的立体网络(面);指导眼底异常影像征象、罕见病、新病种的研究,加速疾病谱系完善。以“六要素”为纲,以“三个一”为略,将继续推动眼底疾病临床研究的创新与突破。

利益冲突

所有作者均声明不存在利益冲突。

开放获取声明

本文适用于知识共享许可协议 (Creative Commons),允许第三方用户按照署名(BY)-非商业性使用(NC)-禁止演绎(ND)(CC BY-NC-ND)的方式共享,即允许第三方对本刊发表的文章进行复制、发行、展览、表演、放映、广播或通过信息网络向公众传播,但在这些过程中必须保留作者署名、仅限于非商业性目的、不得进行演绎创作。

基金

暂无基金信息

参考文献

1. Wen F, Chen C, Wu D, et al. Polypoidal choroidal vasculopathy in elderly Chinese patients[ J]. Graefe's Arch Clin Exp Ophthalmol, 2004, 242(8): 625-629. DOI: 10.1007/s00417-003-0667-z.
2. Zhang Y, Gan Y, Zeng Y, et al. Incidence and multimodal imaging characteristics of macular neovascularisation subtypes in Chinese neovascular age-related macular degeneration patients[ J]. Br J Ophthalmol, 2024, 108(3): 391-397. DOI: 10.1136/bjo-2022-322392.
3. Zhang X, Zuo C, Li M, et al. Spectral-domain optical coherence tomographic findings at each stage of punctate inner choroidopathy[ J]. Ophthalmology, 2013, 120(12): 2678-2683. DOI: 10.1016/ j.ophtha.2013.05.012.
4. Zhang X, Wen F, Zuo C, et al. Clinical features of punctate inner choroidopathy in Chinese patients[ J]. Retina, 2011, 31(8): 1680-1691. DOI: 10.1097/iae.0b013e31820a67ad.
5. Gan Y, Zhang X, Chen L, et al. Intraretinal cystoid spaces in regression of punctate inner choroidopathy lesions[ J]. Ocul Immunol Inflamm, 2020, 28(6): 938-946. DOI: 10.1080/09273948.2019.1641210.
6. Li M, Zhang X, Wen F. The fundus autofluorescence spectrum of punctate inner choroidopathy[ J]. J Ophthalmol, 2015, 2015: 202097. DOI: 10.1155/2015/202097.
7. Gan Y, Su Y, Zhang Y, et al. Patchy hyperautofluorescence as a predictive factor for the recurrence of punctate inner choroidopathy[ J]. Photodiagn Photodyn Ther, 2021, 33: 102146. DOI: 10.1016/ j.pdpdt.2020.102146.
8. Gan Y, He G , Zeng Y, et al . SOLITARY PUNCTATE CHORIORETINITIS: a unique subt y pe of punctate inner choroidopathy[ J]. Retina, 2023, 43(9): 1487-1495. DOI: 10.1097/ iae.0000000000003828.
9. Chen L, Zhang X, Liu B, et al. Age-related scattered hypofluorescent spots on late-phase indocyanine green angiography: the multimodal imaging and relevant factors[ J]. Clin Exp Ophthalmol, 2018, 46(8): 908-915. DOI: 10.1111/ceo.13306.
10. Chen L, Zhang X, Li M, et al. Drusen and age-related scattered hypofluorescent spots on late-phase indocyanine green angiography, a candidate correlate of lipid accumulation[ J]. Invest Ophthalmol Vis Sci, 2018, 59(12): 5237-5245. DOI: 10.1167/iovs.18-25124.
11. Su Y, Zhang X, Chen L, et al. Age-related retentional avascular pigment epithelial detachment viewed with indocyanine green angiography[ J]. Retina, 2022, 42(8): 1520-1528. DOI: 10.1097/ iae.0000000000003487.
12. Su Y, Wen F, Gan Y, et al. Natural course of age-related retentional avascular pigment epithelial detachment: Support For The Lipid Barrier Hypothesis[ J]. Retina, 2024, 44(11): 2001-2012. DOI: 10.1097/ iae.0000000000004210.
13. Li M, Zhang X, Ji Y, et al. Acute macular neuroretinopathy in dengue fever: short-term prospectively followed up case series[ J]. JAMA Ophthalmol, 2015, 133(11): 1329-1333. DOI: 10.1001/ jamaophthalmol.2015.2687.
14. Li M, Zhang X, Wen F, et al. Persistent placoid maculopathy: lichenlike lesions growing between retinal pigment epithelium and bruch's membrane[ J]. Ophthalmol Retina, 2024, 8(3): 270-278. DOI: 10.1016/j.oret.2023.10.001.

相关文章