视网膜母细胞瘤钙化容积 CT 影像特征和临床应用价值
关键词
摘要
全文
文章亮点
1. 关键发现关键发现
· RB瘤内钙化沉积水平随着病程推进,在眼球内期、青光眼期至眼外期的不同阶段呈现逐级升高的态势。晶状体位置变化随病情进展、RB患者钙化程度逐渐增加。2. 已知与发现已知与发现
· RB患者眼球内有肿块和钙化的占比高达95%,随着RB病情进展,肿瘤及瘤内钙化生长速度较快,受到免疫反应及血液供应不足等因素影响,极易造成组织细胞的坏死,从而产生钙化复合体或钙质沉着等使肿瘤内钙化灶体积不断增大;多层螺旋CT(multi-slice computed tomography, MSCT)对钙化灶高敏感性,且具有多方位快速成像的优势,能对肿瘤内钙化程度和肿瘤的空间位置,与临近组织关系准确判断,在RB诊断和临床治疗中提供重要依据。3. 意义与改变意义与改变
· 本文通过容积测量实现定量分析肿瘤容积和肿瘤内钙化容积在RB病情进展过程中不同分期的影像特征。旨在通过多参数、多角度分析RB肿瘤和肿瘤内钙化容积的CT影像特征获取更多的肿瘤的生长规律,以做到早期诊断,进一步提高患者生存率,保存眼球甚至视功能。1 资料与方法
1.1 临床资料
1.2 研究方法
1.3 影像检查设备及检查方法
表1 设备及参数表
Table 1 Equipment and parameters table
|
工作站/软件 |
扫描范围 |
扫描条件 |
算法/矩阵 |
层厚/间距 |
窗宽/窗位 |
|
|
Philips Access CT |
IntelliSpaceIX/LX /Volume软件 |
眶上缘至硬腭平面 |
120kV /173mAs |
SB/512 |
1mm /0.5 mm |
300Hu /40 Hu |
1.4 统计学方法
2 结 果
2.1 眼别结果
2.2 性别结果
2.3 年龄分组结果
2.4 影像分期组结果
2.5 晶状体位置变化结果
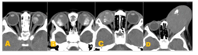
2.6 眼内期、青光眼期、眼外期、全身转移期不同分期的CT影像。
表2 不同眼别视网膜母细胞瘤患者影像学参数比较
Table 2 Comparison of imaging parameters for retinoblastoma patients with different eye
|
OD (n=60) |
OS (n=67) |
Statistic值 |
P值 |
|
|
钙化最高CT值 |
523.28 ± 285.26 |
565.13 ± 350.53 |
t(125)= -0.73 |
0.470 |
|
TV单位(mm³) |
2 338.78 ± 1 845.20 |
1 927.55 ± 1 168.92 |
t(125)= 1.52 |
0.130 |
|
CRV单位(mm³) |
215.40 (54.05-580.15) |
221.60 (78.90-702.70) |
Z= -0.93 |
0.35 |
|
EV单位(mm³) |
5 846.67 ± 1272.06 |
5 637.31 ± 892.36 |
t(125)= 1.08 |
0.280 |
|
CRV/EV |
0.041 (0.009-0.090) |
0.040 (0.014-0.125) |
Z= -0.88 |
0.38 |
|
TV/EV |
0.386 ± 0.207 |
0.343 ± 0.201 |
t(125)= 1.19 |
0.240 |
|
CRV/TV |
0.173 ± 0.169 |
0.234 ± 0.195 |
t(123)= -1.84 |
0.068 |
OD:右眼;OS:左眼;TV:肿瘤体积;CRV:钙化区域体积;EV:眼球总体积。
OD: right eye; OS: left eye; TV: tumor volume; CRV: calcified region volume within the tumor; EV: total eye volume.
表3 不同性别视网膜母细胞瘤患者影像学参数比较
Table 3 Comparison of imaging parameters between genders in retinoblastoma patients
|
女性 (n=56) |
男性 (n=71) |
Statistic值 |
P值 |
|
|
钙化最高CT值 |
533.13 ± 297.55 |
555.01 ± 339.78 |
t(125)= -0.38 |
0.700 |
|
TV/mm³ |
1948.80 (1022.10-2527.15) |
2341.00 (1250.60-3095.00) |
Z= -1.53 |
0.13 |
|
CRV/mm³ |
270.55 (96.15-641.85) |
175.00 (68.50-576.20) |
Z= 1.10 |
0.27 |
|
EV/mm³ |
5 439.29 ± 775.23 |
5 970.42 ± 1 239.40 |
t(125)= -2.80 |
0.006 |
|
CRV/EV |
0.047 (0.019-0.126) |
0.029 (0.011-0.087) |
Z= 1.44 |
0.15 |
|
TV/EV |
0.344 ± 0.193 |
0.379 ± 0.212 |
t(125)= -0.96 |
0.340 |
|
CRV/TV |
0.199 (0.087-0.311) |
0.099 (0.041-0.294) |
Z= 1.62 |
0.11 |
TV:肿瘤体积;CRV:钙化区域体积;EV:眼球总体积。
TV: tumor volume; CRV: calcified region volume within the tumor; EV: total eye volume.
表4 不同年龄组间影像学参数比较 Table 4 Comparison of imaging parameters among different age groups
|
0~<1岁组(0岁至不满1岁) (n=77) |
1~<2岁组(1岁至不满2岁)(n=30) |
2~<3岁组(2岁至不满3岁) (n=12) |
≥3岁组(3岁及以上) (n=8) |
Statistic值 |
P值 |
|
|
钙化最高CT值 |
538.14±292.03 |
615.63±401.75 |
530.50±334.16 |
373.63±162.59 |
F(3,123)= 1.27 |
0.290 |
|
TV/mm³ |
2179.20 (1088.00-2693.40) |
1982.25 (1100.20-3022.90) |
969.05 (361.55-2849.85) |
3506.50 (2284.85-4104.65) |
Chi2(3)= 7.95 |
0.047 |
|
CRV/mm³ |
328.20 (102.40-642.50) |
27Statistic值8.25 (91.50-652.00) |
92.70 (23.90-180.45) |
84.80 (54.25-104.75) |
Chi2(3)= 11.24 |
0.010 |
|
EV/mm³ |
5 463.64±1 151.53 |
5 870.00±505.25 |
6 416.67±589.04 |
6 837.50±1 507.07 |
F(3,123)= 6.90 |
<0.001 |
|
0.055 (0.017-0.143) |
0.048 (0.014-0.111) |
0.015 (0.003-0.031) |
0.014 (0.008-0.018) |
Chi2(3)= 13.35 |
0.004 |
|
|
TV/EV |
0.413 (0.215-0.523) |
0.353 (0.216-0.509) |
0.168 (0.054-0.464) |
0.481 (0.382-0.626) |
Chi2(3)= 5.85 |
0.12 |
|
CRV/TV |
0.198 (0.070-0.380) |
0.179 (0.043-0.298) |
0.117 (0.022-0.249) |
0.030 (0.012-0.054) |
Chi2(3)= 9.50 |
0.023 |
TV:肿瘤体积;CRV:钙化区域体积;EV:眼球总体积。
TV: tumor volume; CRV: calcified region volume within the tumor; EV: total eye volume.
表5 不同影像分期组间影像学参数比较
Table 5 Comparison of imaging parameters among groups with different imaging stages
|
眼内期组 (n=46) |
青光眼期组 (n=68) |
眼外期组 (n=13) |
Statistic值 |
P值 |
|
|
钙化最高CT值 |
452.09 ± 334.04 |
569.50 ± 303.92 |
749.15 ± 254.30 |
F(2,124)= 5.07 |
0.008 |
|
TV/mm³ |
915.65 (308.00-1407.00) |
2389.00 (1967.20-3020.00) |
3095.00 (2701.50-3385.20) |
Chi2(2)= 47.47 |
<0.001 |
|
CRV/mm³ |
73.95 (17.50-221.60) |
359.00 (126.25-745.00) |
404.20 (314.40-849.50) |
Chi2(2)= 28.14 |
<0.001 |
|
EV/mm³ |
5 756.52 ± 825.34 |
5 552.94 ± 942.76 |
6 623.08 ± 1972.37 |
F(2,124)= 5.67 |
0.004 |
|
CRV/EV |
0.014 (0.003-0.043) |
0.062 (0.024-0.155) |
0.070 (0.050-0.102) |
Chi2(2)= 26.65 |
<0.001 |
|
TV/EV |
0.157 (0.057-0.255) |
0.462 (0.371-0.540) |
0.544 (0.403-0.584) |
Chi2(2)= 47.95 |
<0.001 |
|
CRV/TV |
0.137 (0.025-0.248) |
0.179 (0.055-0.336) |
0.119 (0.084-0.250) |
Chi2(2)= 1.41 |
0.49 |
TV:肿瘤体积;CRV:钙化区域体积;EV:眼球总体积。
TV: tumor volume; CRV: calcified region volume within the tumor; EV: total eye volume.
图3 分期影像特征示图
Figure 3 Diagram of staging CT imaging features

图2容积测量步骤示图
Figure 2 Diagram of volume - measurement steps

图3分期影像特征示图
Figure 3 Diagram of staging CT imaging features
