返回

白内障术眼低视力原因分析

阅读量:9012
DOI:10.3978/j.issn.1000-4432.2020.04.02
发布日期:2022-09-27
作者:
张文丽 ,张铭志
展开更多

关键词

白内障手术
低视力
光学相干断层扫描
高度近视性脉络膜视网膜病变

摘要

目的:探索白内障术眼低视力的原因。方法:对2011年10月至2013年3月在汕头国际眼科中心行白内障手术,术前无法窥清眼底,术后1周最佳矫正视力<0.3的患者进行视力、最佳矫正视力、眼压测量、裂隙灯检查、眼底镜检查、眼底照相及光学相干断层扫描(optical coherence tomography,OCT),若未发现任何视网膜器质性病变,再进行视觉诱发电位检查及视野检查。由2位医生对检查结果进行分析,对不同的眼底病变做出诊断,统计分析白内障术眼低视力的原因。结果:共纳入行白内障手术患者5 608例,术后1周最佳矫正视力<0.3的患者共49例(共49眼),其中男20例,女29例,右眼31只,左眼18只,年龄(69.11±12.05)岁。白内障术后低视力比例为0.87%。其中高度近视性脉络膜视网膜病变12例(24.5%),椭圆体带连续性破坏10例(20.4%),糖尿病性视网膜病变8例(16.3%),黄斑孔5例(10.2%),老年性黄斑变性4例(8.1%),黄斑前膜3例(6.1%),黄斑区视网膜厚度变薄1例(2.0%),视网膜色素变性1例(2.0%),视网膜劈裂症1例(2.0%),视网膜分支动脉阻塞1例(2.0%),白塞氏病1例(2.0%),缺血性视神经病变1例(2.0%),视网膜前膜1例(2.0%)。结论:在本组白内障术眼低视力的患者中,高度近视性脉络膜视网膜病变占主要部分,为24.5%,其次分别为椭圆体带连续性破坏、糖尿病性视网膜病变、黄斑孔、老年性黄斑变性和黄斑前膜。利用OCT可发现影响白内障术后视力的细微视网膜结构变化,对于白内障术前眼底可见的患者常规行OCT有利于判断手术预后,便于医患沟通,提高手术满意度。

全文

白内障是全球首位致盲性眼病[1-3],目前全球白内障患者约2000万,其中大部分为年龄相关性白内障[3],中国每年新增白内障人数约45万,预计2020年我国白内障盲人数将达506.25万[4]。手术是治疗白内障的唯一有效方法。2010年我国白内障手术量达119万例,白内障手术率达915/100万[5]根据世界卫生组织(World Health Organization,WHO)的标准,最佳矫正视力低于0.3为低视力,白内障术后最佳矫正视力超过0.3的患者应占90%以上[6]。由于各个地区的社会经济学背景、人口统计学、医学资源的可利用性及各研究的研究方法各不相同,其白内障手术后结果在各个国家和地区都不相同[1-2,7-10]。即使在白内障手术已相当完善的发达地区及国家,白内障术后出现视力损害的患者仍占一定比例。目前国内外关于白内障术眼低视力原因的研究都是基于流行病学调查,关注于手术并发症及术前已知眼部共存疾病导致的白内障术眼低视力[1-2,7-16]。术前检眼镜下未发现眼底病变(可能是因为细微的视网膜结构改变无法通过常规的检眼镜发现或因屈光介质太混浊),术眼出现低视力的患者,约占2.1%~13.2%[1-2,7-10,17],对于影响这部分患者白内障术后视力的具体原因却鲜有报道。光学相干断层扫描(optical coherence tomography,OCT)是一种全新的高分辨率、非接触性、非损伤性的视网膜成像技术,对白内障术后早期视力矫正不良的患者进行OCT检查,可发现手术前未能发现的黄斑区病变。本研究利用OCT对白内障术后早期视力不良的原因进行鉴定,分析不同眼底疾病在白内障术眼低视力患者中的分布情况。

1 对象与方法

1.1 对象

收集2011年10月至2013年3月就诊于汕头国际眼科中心并行白内障手术的患者。纳入标准:术前眼底窥不清,术后1周最佳矫正视力<0.3。排除标准:白内障手术联合其他内眼手术,既往内眼手术史,先天性白内障,外伤性白内障,角膜病变,葡萄膜炎,青光眼,视网膜病变,出现严重的术中或术后并发症,如晶状体核沉入玻璃体腔、爆发性脉络膜上腔出血、化脓性眼内炎等。

1.2 方法

对纳入的研究对象进行术前和术后全面的眼科检查,如视力、最佳矫正视力、眼压、裂隙灯、眼底镜、眼底照相、OCT,对于眼底检查没有发现异常的患者,再进行视觉诱发电位(visual evoked potential,VEP)检查、视野检查。由2位医生对检查结果进行分析,并结合临床资料对不同的眼底疾病做出诊断,统计分析白内障术后低视力的原因及其分布情况。

1.3 统计学处理

统计白内障术眼低视力患者所患眼部疾病的例数及百分比。按单个疾病进行例数及百分比统计,对合并有多个疾病的患者,做出主要诊断后按主要诊断进行例数及百分比统计。

2 结果

2.1 受试者基本情况

共纳入49例患者,其中单眼患者47例,双眼患者2例,双眼患者仅纳入右眼,共计49眼,其中男20例,女29例,右眼31只,左眼18只,年龄(69.11±12.05)岁。其中白内障超声乳化摘除联合人工晶体植入术45例,白内障囊外摘除(中切口无缝线白内障囊外摘除)联合人工晶体植入术4例。

2.2 术眼低视力的比例

2011年10月至2013年3月,汕头国际眼科中心共有行白内障手术的患者5608例,白内障术眼低视力比例为0.87%。

2.3 观察到各类疾病的例数及百分比

在白内障术眼低视力的人群中,黄斑前膜18 例 (36.7%) ,高度近视性脉络膜视网膜病变12例(24.5%),黄斑水肿1 1例(22.4%),视网膜劈裂症10例(20.4%),椭圆体带连续性破坏10例(20.4%),黄斑孔8例(16.3%),糖尿病性视网膜病变(diabetic retinopathy,DR)8例(16.3%),老年性黄斑变性(age-related macular degeneration,AMD)4例(8.1%),视网膜前膜3例(6.1%),黄斑区视网膜厚度变薄1例(2.0%),视网膜色素变性1例(2.0%),视网膜分支动脉阻塞1例(2.0%),视网膜脱离1例(2.0%),白塞氏病1例(2.0%),缺血性视神经病变1例(2.0%)。

2.4 合并多个疾病做出主要诊断的例数及百分比

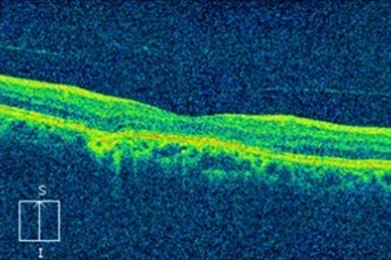
在白内障术眼低视力的患者中,高度近视性脉络膜视网膜病变1 2例(24.5%),椭圆体带连续性破坏1 0例(20.4%),糖尿病性视网膜病变8例(16.3%),黄斑裂孔5例(10.2%),老年性黄斑变性4例(8.1%),黄斑前膜3例(6.1%),黄斑区视网膜厚度变薄1例(2.0%),视网膜色素变性1例(2.0%),视网膜劈裂症1例(2.0%),视网膜分支动脉阻塞1例(2.0%),白塞氏病1例(2.0%),缺血性视神经病变1例(2.0%),视网膜前膜1例(2.0%)。将仅在OCT上发现椭圆体带连续性中断,其他临床检查未发现异常者归类为椭圆体带连续性破坏(图1,图2)。本研究共发现10例患者出现椭圆体带连续性破坏,占20.4%,排在第2位。另外还有1例患者仅在OCT检查上发现黄斑区视网膜厚度变薄,其他检查结果未见明显异常。本组病例有1眼眼底镜下视杯不明显,进行VEP及视野检查,视野检查提示生理盲点扩大,局部暗点,VEP提示P100潜伏期中度延迟,P100振幅轻度下降,结合临床资料,诊断为缺血性视神经病变。
20230203091804_9745.png
图1 椭圆体带大面积缺失
Figure 1 Large area of ellipsoidal band defect
20230203091830_7566.png
图2 对应的眼底照
Figure 2 Corresponding fundus photograph

3 讨论

在本研究中,白内障手术后术眼低视力比例为0.87%,较以往其他研究报道的比例较低,分析可能的主要原因如下:一方面是因为本研究排除了青光眼、角膜疾病、术前明确眼底病史及出现手术并发症的患者,这些疾病在其他研究白内障术眼低视力的患者中占有一定比例。以往研究[1-2,7-11,15-17]显示:白内障术眼低视力的患者中青光眼比例为3.8%~20.6%,角膜疾病比例为3.8%~11.8%,视网膜疾病比例为21.9%~51.1%,手术并发症多见于印度等发展中国家。另外,既往研究[1,2,7-11,17]多基于人口流行病学的调查,检查时间距离患者手术时间较长,在随访中部分患者已经发生了后发性白内障(posterior capsular opacification,PCO),其所占的比例为7.4%~30.4%,而本研究选取的观察时间点为术后1周,排除了PCO对视力的影响。且考虑到本研究分析的是疾病类型,双眼眼底疾病存在强关联性,对于双眼白内障术眼低视力的患者,仅纳入右眼。
    本研究结果显示:在白内障术眼低视力的患者中,高度近视性脉络膜视网膜病变1 2例(24.5%),糖尿病性视网膜病变8例(16.3%),黄斑孔5例(10.2%),老年性黄斑变性4例(8.1%),黄斑前膜3例(6.1%),与以往报道[1,2,7-10,17]一致。在12例高度近视性脉络膜视网膜病变中,有8例合并视网膜劈裂,发生率为66.67%,3例已经出现黄斑全层裂孔,OCT显示视网膜劈裂主要发生于视网膜外丛状层。高度近视引发视网膜劈裂并不罕见,其可继发于葡萄肿、视网膜萎缩及玻璃体或视网膜小动脉的牵拉
[18],而发生在中心凹处的视网膜劈裂会严重影响患者视力[19]。Shimada等[20]观察到黄斑部视网膜劈裂2年后50%患者最终发展为黄斑孔和视网膜脱离。糖尿病性视网膜病变8例,6例伴有黄斑前膜,3例伴有黄斑水肿,1例已出现视网膜脱离。DR是由于微血管病变所致视网膜的缺血缺氧性改变,而视网膜血管类疾病可引起继发性视网膜前膜。在DR早期可形成微血管瘤,微血管瘤的渗漏常导致视网膜不同程度的水肿,而长期黄斑弥漫性水肿可导致囊样水肿形成,当病变进入增殖期新生血管形成引起纤维增生及玻璃体牵拉可导致视网膜脱离。老年性黄斑变性有4例,均为渗出型,3例伴有黄斑水肿。渗出型AMD主要表现为新生血管的形成。脉络膜新生血管在OCT图像上表现为视网膜色素上皮层(retinal pigment epithelium,RPE)下及其上不规则边界不清的高反射团块,其渗漏可引起视网膜下、视网膜内或RPE下的液体积聚,导致不同程度的视网膜水肿,在OCT上表现为局限性的低反射团块,伴有出血时表现为高信号反射[21-22],与本研究结果相似。另外,本研究观察到黄斑裂孔8例,其中3例继发于高度近视性脉络膜视网膜病变而将其归入高度近视性脉络膜视网膜病变的诊断中,另外5例则诊断黄斑裂孔;5例主要诊断为黄斑裂孔的病例中有1例伴有视网膜前膜,1例伴有黄斑前膜。黄斑前膜牵拉视网膜可引起黄斑裂孔,而黄斑裂孔也可引起继发性视网膜前膜,其因果关系不明,本研究将其归入黄斑裂孔的诊断中。本研究还观察到黄斑前膜及视网膜前膜共21例,黄斑前膜18例,视网膜前膜3例,其中3例为特发性黄斑前膜,1例为特发性视网膜前膜,1 7例继发于其他疾病,如DR,AMD,白塞氏病,高度近视性脉络膜视网膜病变。
    既往关于白内障术眼低视力的研究
[1-2,7-10,17]多基于人口流行病学调查,检查手段多为常规的眼科检查,如裂隙灯、检眼镜及眼底照相,少部分由于未发现病变而原因未明,约占2.1%~10.4%。本研究引入了具有非接触性、活体视网膜成像特点的OCT检查,进一步了解了白内障术眼低视力的原因。OCT对观察视网膜各层结构的细微变化拥有独特优势,可以清晰地显示视网膜组织显微形态结构的微小病变,比如视网膜各层连续性的改变、轻度视网膜下积液、及玻璃体牵拉等[23-24],这些细微改变也是许多原发性视网膜脉络膜疾病的早期表现。本研究观察到11例患者在常规眼底镜检查下未见明显异常,而通过OCT检查发现其中10例为视网膜椭圆体带连续性破坏,1例为黄斑区视网膜厚度变薄,占22.4%。这些在既往关于白内障术眼低视力原因的研究中均未被发现。椭圆体带在OCT上表现为高反射带,目前认为是由视细胞内节顶端、视细胞外节基底的交界面以及连接视细胞内、外节的连接绒毛复合组成,椭圆体高反射带是观察视细胞是否健在的唯一标志带,一旦椭圆体带有间断、不连续或者缺失,则提示视细胞有损伤性病变[25-28]。研究[25-28]表明:椭圆体带的完整性与视力呈正相关。而椭圆体带的连续性破坏可见于多种疾病,如DR、AMD、视网膜静脉阻塞、黄斑孔、高度近视性脉络膜视网膜病变、视网膜色素变性等[25-32],本研究可观察到类似结果。本研究观察到多种疾病的OCT图像出现椭圆带异常,其中有高度近视性脉络膜视网膜病变9例,DR 5例,AMD 3例,黄斑前膜2例,黄斑孔1例,视网膜劈裂症1例,视网膜分支动脉阻塞1例,视网膜色素变性1例,白塞氏病1例。因此推测这10例仅出现椭圆体带连续性破坏的病例可能处于这些疾病的早期病变阶段。本研究将仅在OCT检查发现视网膜厚度变薄的病例界定为黄斑区视网膜厚度变薄,本组病例中有1例。研究[33-34]表明:视网膜厚度的改变与视功能不良关系密切,视网膜水肿引起的厚度增厚及视网膜萎缩引起的厚度变薄都会导致视力下降。
    本研究对于早期AMD、DR、高度近视性脉络膜视网膜病变、视网膜前膜、黄斑裂孔等病程较长的疾病,考虑手术前已经存在,但由于术前晶体混浊影响对眼底情况的判断而未能诊断,结合OCT检查有助于疾病诊断。而对于OCT和普通眼底镜检查均未见明显异常的患者,可进行视野及VEP等功能性检查排查视路疾病进一步了解白内障患者术眼低视力的原因。如患者眼部条件允许,应在术前进行视网膜形态和功能检查,使医生和患者都了解视网膜的情况,正确对待手术可能出现的情况和手术预后,提高手术的满意度。
综上所述,在本组白内障术眼低视力的患者中,高度近视性脉络膜视网膜病变为主要病因,占24.5%,其次分别为椭圆体带连续性破坏、糖尿病性视网膜病变、黄斑孔、老年性黄斑变性和黄斑前膜。OCT可发现视网膜细微结构的改变,明确白内障术眼低视力原因。对于白内障术前眼底可见的患者常规行OCT有利于判断手术预后,便于医患沟通,提高手术满意度。

基金

1. 国家大学生创新创业训练项目

参考文献

1. Bara?ano AE, Wu J, Mazhar K, et al. Visual acuity outcomes after cataract extraction in adult Latinos. The Los Angeles Latino Eye Study[ J]. Ophthalmology, 2008, 115(5): 815-821
2. Huang W, Huang G, Wang D, et al. Outcomes of cataract surgery in urban southern China: the Liwan Eye Study[ J]. Invest Ophthalmol Vis Sci, 2011, 52(1): 16-20
3. Stürmer J. Cataracts - trend and new developments[ J]. Ther Umsch, 2009, 66(3): 167-171
4. 赵家良. “视觉2020”行动与我国防盲治盲工作[ J]. 中华眼科杂志, 2002, 38(10): 577-579.ZHAO Jialiang. “Vision 2020” action and prevention and treatment of blindness in China[ J]. Chinese Journal of Ophthalmology, 2002, 38(10): 577-579.
5. 赵家良. 在新形势下继续推进我国的防盲治盲工作[ J]. 中华眼科杂志, 2011, 47(9): 769-772.ZHAO Jialiang. To promote “Vision 2020” initiative under the new situation in China[ J]. Chinese Journal of Ophthalmology, 2011, 47(9): 769-772.
6. World Health Organization. Informal consultation on analysis of blindness prevention outcomes[R]. Geneva: WHO, 1998.
7. Liu B, Xu L, Wang YX, et al. Prevalence of cataract surgery and postoperative visual outcome in Greater Beijing: the Beijing Eye Study[ J]. Ophthalmology, 2009, 116(7): 1322-1331.
8. Zhao J, Ellwein LB, Cui H, et al. Prevalence and outcomes of cataract surgery in rural China the China nine-province survey[ J]. Ophthalmology, 2010, 117(11): 2120-2128.
9. Lavanya R, Wong TY, Aung T, et al. Prevalence of cataract surgery and post-surgical visual outcomes in an urban Asian population: the Singapore Malay Eye Study[ J]. Br J Ophthalmol, 2009, 93(3): 299-304.
10. Kandel RP, Sapkota YD, Sherchan A, et al. Cataract surgical outcome and predictors of outcome in Lumbini Zone and Chitwan District of Nepal[ J]. Ophthalmic Epidemiol, 2010, 17(5): 276-281.
11. Kumar K, Gupta VP, Dhaliwal U. Causes of sub-optimal cataract surgical outcomes in patients presenting to a teaching hospital[ J]. Nepal J Ophthalmol, 2012, 4(1): 73-79.
12. Rossetti L, Autelitano A. Cystoid macular edema following cataract surgery[ J]. Curr Opin Ophthalmol, 2000, 11(1): 65-72.
13. Nelson ML, Martidis A. Managing cystoid macular edema after cataract surgery[ J]. Curr Opin Ophthalmol, 2003, 14(1): 39-43.
14. Vivekanand U, Shetty A, Kulkarni C. Cataract surgery outcome at a rural eye care hospital in India[ J]. Trop Doct, 2011, 41(4): 253-256.
15. Pai SG, Kamath SJ, Kedia V, et al. Cataract surgery in camp patients: a study on visual outcomes[ J]. Nepal J Ophthalmol, 2011, 3(2): 159-164.
16. Paracha Q. Cataract surgery at Marie Adelaide Leprosy Centre Karachi: an audit[ J]. J Pak Med Assoc, 2011, 61(7): 688-690.
17. Nangia V, Jonas JB, Gupta R, et al. Prevalence of cataract surgery and postoperative visual outcome in rural central India Central India Eye and Medical Study[J]. J Cataract Refract Surg, 2011, 37(11): 1932-1938.
18. Wang S, Peng Q, Zhao P. SD-OCT use in myopic retinoschisis pre- and post-vitrectomy[ J]. Optom Vis Sci, 2012, 89(5): 678-683.
19. Madjarov B, Hilton GF, Brinton DA, et al. A new classification of the retinoschises[ J]. Retina, 1995, 15(4): 282-285.
20. Shimada N, Ohno-Matsui K, Baba T, et al. Natural course of macular retinoschisis in highly myopic eyes without macular hole or retinal detachment[ J]. Am J Ophthalmol, 2006, 142(3): 497-500.
21. Giovannini A, Amato GP, Mariotti C, et al. OCT imaging of choroidal neovascularisation and its role in the determination of patients' eligibility for surgery[ J]. Br J Ophthalmol, 1999, 83(4): 438-442.
22. Sayanagi K, Sharma S, Yamamoto T, et al. Comparison of spectral-domain versus time-domain optical coherence tomography in management of age-related macular degeneration with ranibizumab[ J]. Ophthalmology, 2009, 116(5): 947-955.
23. Hee MR, Izatt JA, Swanson EA, et al. Optical coherence tomography of the human retina[ J]. Arch Ophthalmol, 1995, 113(3): 325-332.
24. Kim YG, Baek SH, Moon SW, et al. Analysis of spectral domain optical coherence tomography findings in occult macular dystrophy[ J]. Acta Ophthalmol, 2011, 89(1): e52-e56.
25. Baskin DE. Optical coherence tomography in diabetic macular edema[ J]. Curr Opin Ophthalmol, 2010, 21(3): 172-177.
26. Okamoto F, Sugiura Y, Okamoto Y, et al. Associations between metamorphopsia and foveal microstructure in patients with epiretinal membrane[ J]. Invest Ophthalmol Vis Sci, 2012, 53(11): 6770-6775.
27. Ota M, Tsujikawa A, Murakami T, et al. Foveal photoreceptor layer in eyes with persistent cystoid macular edema associated with branch retinal vein occlusion[ J]. Am J Ophthalmol, 2008, 145(2): 273-280.
28. Kim YJ, Joe SG, Lee DH, et al. Correlations between spectral-domain OCT measurements and visual acuity in cystoid macular edema associated with retinitis pigmentosa[ J]. Invest Ophthalmol Vis Sci, 2013, 54(2): 1303-1309.
29. Lee CS, Koh HJ, Lim HT, et al. Prognostic factors in vitrectomy for lamellar macular hole assessed by spectral-domain optical coherence tomography[ J]. Acta Ophthalmol, 2012, 90(8): e597-e602.
30. Kim YM, Kim JH, Koh HJ. Improvement of photoreceptor integrity and associated visual outcome in neovascular age-related macular degeneration[ J]. Am J Ophthalmol, 2012, 154(1): 164-173.e1.
31. Matsumiya W, Kusuhara S, Shimoyama T, et al. Predictive value of preoperative optical coherence tomography for visual outcome following macular hole surgery: effects of imaging alignment[ J]. Jpn J Ophthalmol, 2013, 57(3): 308-315.
32. Sayanagi K, Ikuno Y, Soga K, et al. Photoreceptor inner and outer segment defects in myopic foveoschisis[ J]. Am J Ophthalmol, 2008, 145(5): 902-908.
33. Browning DJ, Glassman AR, Aiello LP, et al. Relationship between optical coherence tomography-measured central retinal thickness and visual acuity in diabetic macular edema[ J]. Ophthalmology, 2007, 114(3): 525-536.
34. Falkner-Radler CI, Glittenberg C, Hagen S, et al. Spectral-domain optical coherence tomography for monitoring epiretinal membrane surgery[ J]. Ophthalmology, 2010, 117(4): 798-805.

施引文献

1. 赵越,张晓峰,宋先德等.探讨合并糖尿病眼底病变患者白内障手术治疗后视力及黄斑水肿情况[J].医学食疗与健康,2021,19(02):197-198.
2. 马元松,张沧霞,杨来庆等.石决明散加减治疗白内障超声乳化联合人工晶体植入术后迟发性葡萄膜炎疗效观察[J].现代中西医结合杂志,2022,31(03):385-388.

相关文章