Back

A man with asymmetric bilateral choroidal melanocytosis: a case report and literature review

Views:1244
DOI:10.12419/es25022304
Publication Date:2025-09-20
Author(s):
Yuhong Gan(甘雨虹) ,Feng Wen(文峰) ,Xiaolai Zhou(周孝来)
View More

Keywords

choroidal melanocytosis
pectral-domain optical coherence tomography(SD-OCT)
pigmentary fundus lesions
multimodal imaging

Abstract

Objective: The study aimed to report the distinctive fundus appearance of bilateral asymmetric choroidal melanocytosis and reviewed the clinical and multimodal imaging characteristics to differentiate choroidal melanocytosis from malignant pigmented retinal lesions. Methods: An observational case report and literature review.  Results: A 60-year-old patient underwent comprehensive ophthalmologic examinations.Underfunduscopic examination, bilateral choroidal melanocytosis with asymmetry choroidal pigmentation change was observed. In the right eye, there was diffuse darker coloration extending from posterior pole to the mid-peripheral retina. In the left eye, flat patches of choroidal hyperpigmentation were present, involving superior and inferior hemisphere region, while other regions were depigmented. Spectral-domain optical coherence tomography revealed that the layers of retina and choroid were basically normal, with no elevation of the retinal pigment epithelium.Near infrared reflectance images provided a clearer view of mottled focal hyperpigmentation area, which corresponded to the choroidal hyperpigmentation. Conclusions: This case highlights the effectiveness of multimodal imaging in distinguishing choroidal melanocytosis from malignant entities. It emphasizes the crucial role of multimodal imaging in guiding clinical management to prevent vision-threatening complications and monitor potential malignant transformation.

Article

HIGHLIGHTS

· This case report presents a rare, bilateral, and asymmetrical presentation of isolated choroidal melanocytosis (ICM) utilizing multimodal imaging techniques. Importantly, it summarizes the differential diagnosis between ICM and other fundus pigmentary lesions, while highlighting ICM's established association with an increased lifetime risk of uveal melanoma.
· The report highlights the diagnostic efficacy of multimodal imaging, particularly Spectral-Domain Optical Coherence Tomography (SD-OCT) and Near-Infrared Reflectance (NIR), in characterizing ICM. SD-OCT ruled out mass elevation and showed choroidal thickening, while NIR superiorly delineated the geographic borders of the pigmented lesions, providing a non-invasive method to differentiate the pigmentary fundus lesions.
· Future application involves utilizing this multimodal imaging protocol for the accurate diagnosis and longitudinal monitoring of pigmentary fundus lesions. Research directions should focus on elucidating the pathogenesis of ICM and identifying molecular biomarkers to stratify the risk of malignant transformation into choroidal melanoma, thereby guiding personalized management strategies.

Pigmentary ocular fundus lesions usually involved in retinal pigment epithelial (RPE) and the choroid. It’s crucial to differentiate between various pigmented fundus lesions, as their nature ranges from benign to malignant and requires different clinical  management strategies[1].

Isolated choroidal melanocytosis(ICM) is a rare condition characterized by the flat, discrete, patch choroidal melanotic hyperpigmentation, without ipsilateral iridic or anterior scleral melanocytosis[2–5]. Although choroidal melanocytosis was usually considered a benign condition, several studies have found a close relationship between choroidal melanocytosis and choroidal melanoma[2,4,6–8]. Therefore, an accurate diagnosis of choroidal melanocytosis and its differentiation from other pigmented fundus lesions are essential aspects of clinical practice to mitigate vision-threatening complications and ensure early intervention for potential malignant progression.

In this case, we presented unusual manifestations of bilateral choroidal melanocytosis, along with its defining characteristics through multimodal imaging. To differentiate pigmentary ocular fundus lesions, we summarized the clinical and multimodal imaging features of various diseases.

CASE PRESENTATION

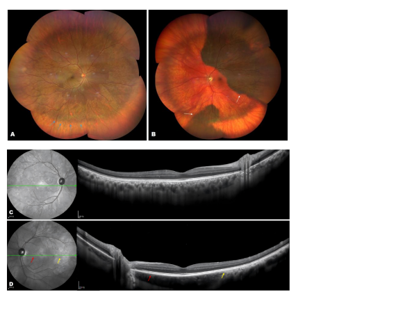
A 60-year-old man of Asian descent presented for regular medical examinations. His best corrected visual acuity was 20/25 OD and 20/25 OS. Slit-lamp examination revealed mild nuclear and cortical cataracts as well as slightly vitreous opacities. The anterior segments shown no other features of ocular melanocytosis. During funduscopic examination, bilateral choroidal melanocytosis with an asymmetry choroidal pigmentation changes was observed. In the right eye, there was diffuse darker coloration from posterior pole to the mid-peripheral retina (Fig 1-A). In the left eye, flat patches of choroidal hyperpigmentation were present, involving the  superior and inferior hemisphere regions, while other regions was depigmented (Fig1-B).The margin of hyperpigmentation area on the fundus were indicated by arrow heads in Figure 1.Spectral-domain optical coherence tomography (SD-OCT) revealed normal retinal layers with slightly increased choroidal thickening (Fig 1-C, D). There is no elevation of the retinal pigment epithelium (RPE) or any choroidal mass.Changes in choroidal pigmentation (either an increase or a decrease) led to alterations in OCT findings. Figure 1-D clearly shown an indistinct Sattler’s layer and Haller’s layer at the area of hypopigmentation (red arrow ) and slightly thickened choroid with a distinct structure in the area of hyperpigmentation(yellow arrow).Near infrared reflectance (NIR) images provide a clearer view of mottled focal hyperpigmentation corresponding to the choroidal hyperpigmentation (Fig 1-C, D). The patient denied any ocular history, especially past episodes of uveitis. Additionally,  the patient had no other systemic diseases, including dermatological disease such as vitiligo. After a physical examination, no other skin melanocytosis, cutaneous hypopigmentation, or white forelock was found. Based on the medical history, systemic examination, and fundus multimodal imaging, the patient was diagnosed with choroidal melanocytosis with asymmetric fundus manifestations. Although choroidal melanocytosis is typically benign, several studies have identified a potential association between choroidal melanocytosis and choroidal melanoma[4,6-7]. Therefore, the patients requires lifelong follow-up.

Figure 1 Multimodal imaging demonstrated bilateral choroidal melanocytosis with asymmetric pigmentation patterns

Figure 1

 

On wide-field fundus photography, the right eye displays diffuse posterior-to-midperipheral choroidal hyperpigmentation (A, indicated by the blue arrowhead), while the left eye shows patchy hyperpigmentation in the superior hemisphere and inferior midzone (B, indicated by the white arrowhead). Near-infrared reflectance imaging reveals slight mottled focal hyperreflective area in the right eye (C) and patchy hyperreflective area with clear border in the left eye that corresponds to the choroidal hyperpigmentation (D). The SD-OCT findings for both eyes show no elevation of the RPE or choroid. Figure D clearly illustrates the indistinct Sattlers layer and Haller’s layer in the area of hypopigmentation (red arrow), along with slight thickening of the choroid and well-defined choroidal structure in the area of hyperpigmentation (yellow arrow).

DISCUSSION

A comprehensive search of the PubMed platform was conducted up to December 20, 2024, using the search terms “choroidal melanocytosis”. The search yielded 15 articles, as shown in Table 1. To date, a total of 100 cases of isolated choroidal melanocytosis have been reported.Although, according to Augsburger et al.,most cases of ICM were unilateral[2], 31 cases of bilateral ICM have been documented. In contrast to our case, these cases with bilateral involvement exhibit symmetrical lesions of ICM[5,9–13].

Table 1 Synopsis of cases of isolated choroidal melanocytosis published in Pubmed, 1974–2024

No./Author

Country/Year

Number of patients

Gender

Age

 

Race

Laterality

Multimodal imaging findings

Complications

Intervention

1.Pamela Martin, et al.[5]

USA/2022

1

Female

40

Asia

Bilateral

FP: Extensive bilateral choroidal melanosis

-

Long-term follow-up

2.Arun D Singh, et al. [30]

Australia/2021

22

15 males/7 females

-

White: 14 cases (64%).

Middle Eastern/Asian: 8 cases (36%)

3 unilateral/

19bilateral

FP: Sectoral and temporal CM

-

Long-term follow-up

3.Maura Di Nicola, et al.[8]

USA/2020

3

-

-

White

Unilateral

 

FP: Darkly pigmented choroidal tumor with prominent overlying lipofuscin and a large associated area of choroidal melanocytosis;

AF:Prominent lipofuscin pigment along the posterior margin of the lesion;

A-scan and B-scan ultrasonography demonstrated nodular choroidal tumor with low internal reflectivity.

Developed multifocal uveal melanoma

Plaque brachytherapy

4.James J Augsburger, et al.[4]

USA/2020

37

15 males /22 females

Mean age: 31.5 years old 

-

Unilateral in 36 cases; 1 bilateral case with partial iris melanocytosis in the fellow eye

FP: Homogeneous, flat choroidal hyperpigmentation.

B-scan ultrasonography: Flat lesions with no measurable thickness compared to adjacent choroid.

Absence of acoustic shadowing or intrinsic vascularity.

AF:Absence of lipofuscin/drusen overlying ICM (except in melanoma-associated cases)

3/37 (8.1%) developed melanoma within ICM; 1/37 (2.7%) had melanoma in the fellow eye

Plaque radiotherapy

5.Jae Kyoung Lee ,et al.[16]

India/2020

1

-

-

Asians

Bilateral

FP: Central hypopigmentation with peripheral choroidal hyperpigmentation around the 360° field in both eyes

FFA/AF/OCT:NAD

-

Long-term follow-up

6.Amador-Patarroyo et al.[10]

USA/2019

1

Female

50

Latin-American

Bilateral

FP: Extensive, diffuse, midperipheral hyperpigmentation in an annular pattern, sparing the macula and optic nerve

OCT: NAD

-

Long-term follow-up

7.Samuel J Fallon, et al.[21]

USA/2019

1

Female

48

Caucasian

Bilateral

FP: Diffuse bilateral scleral pigmentation and choroidal darkening

Developed multifocal choroidal melanoma

Enucleation

8.Kevin D. Heinze, et al.[9]

USA/2019

1

Female

44

American Indian

Bilateral

FP:Bilateral 360° conffuent annular pattern of isolated choroidal melanocytosis.

OCT/AF/ B-scan ultrasonography:NAD

-

Long-term follow-up

9.Patricia Hrynchak, et al. [31]

Canada/2018

1

Male

34

Greece

Bilateral

FP: Large area of flat, confluent choroidal hyperpigmentation with feathered boarders

OCT/AF:NAD

-

Long-term follow-up

10.Lauren B Mason, et al.[32]

USA/2016

1

Female

24

African American

Bilateral

OCT:Remarkable for increased choroidal thickness with a normal inner and outer retina.

-

Long-term follow-up

11.Marco Pellegrini, et al.[17]

USA/2014

15

9 males /6 females

Mean age 28 years old 

 

 

EDI-OCT: Choroidal melanocytosis shows increased subfoveal choroidal thickness with an apparent increase in the choroidal perivascular stromal tissue and minimal effect on the overlying retina.

-

Long-term follow-up

12.Juan P. Velazquez-Martin, et al.[11]

Canada/2013

2

-

-

White

Bilateral

FP: Flat choroidal pigmented lesions

FFA/OCT:NAD

-

Long-term follow-up

13.Howard F Fine, et al.[13]

USA/2009

1

Female

43

White

Bilateral

FP:Diffuse patchy melanocytic choroidal hyperpigmentation B-scan ultrasonography :NAD

-

Long-term follow-up

14.T A Kovoor, et al.[12]

USA/2008

1

Female

40

Indian

Bilateral

FP: An area of flat

choroidal hyperpigmentation with indistinct margins involving

most of the posterior pole

FFA:NAD

-

Long-term follow-up

15.James J Augsburge, et al.[2]

UK/2006

11

3 males/7females

Median

 age:17 years old

Caucasian

Unilateral

FP:An area of flat

choroidal hyperpigmentation

-

Long-term follow-up

ICM = Isolated Choroidal Melanocytosis, NAD=No Abnormality Detected, FP=Fundus Photography, AF= Fundus Autofluorescence ;FFA= Fluorescein Fundus Angiograph, OCT= Optical Coherence Tomography

In this case, we present unusual manifestations of bilateral choroidal melanocytosis. Choroidal melanocytosis was previously considered part of ocular (dermal) melanocytosis (ODM), a congenital disorder characterized by increased pigmentation involving the periorbital area, episclera, sclera, and choroid[14-15].Ausburger et al first defined choroidal melanocytosis as a distinct clinical entity in 2006 to distinguish clinical characteristics 2 , but it is still poorly recognized and reported. Isolated choroidal melanocytosis presents as sector or partial hyperpigmentation of the choroid, without associated iris or scleral melanocytosis[2,4]. In choroidal melanocytosis, the homogeneously melanotic, completely flat lesions usually located posterior to the equator area[4,13]. According to the study with the largest sample size of choroidal melanocytosis, most cases are considered unilateral.[2] Only a few cases have reported bilateral choroidal melanocytosis and the pigmentary lesions in both eyes were symmetrical.[5,16] Bilateral oculodermal melanocytosis is recognized as a risk factor for primary uveal melanoma[7].Therefore, for bilateral choroidal melanocytosis with asymmetric pigmentary lesions, we should utilize multimodal imaging techniques to identify the lesions and avoid misdiagnoses. According to previous studies, racial disparities exist in the phenotypic expression of choroidal melanocytosis, particularly regarding variations in choroidal pigmentation and melanoma incidence across ethnic groups. Jae Kyoung Lee et al.,reported a case of  ICM with coexistence of choroidal hyperpigmentation and hypopigmentation. They pointed out that there is a higher prevalence of hypopigmented fundi and choroidal melanoma in Caucasian populations compared to Asian demographics, and Asian ICM patients may exhibit phenotypic characteristics analogous to Caucasian pigmentary patterns, suggesting the potential pathological coexistence of choroidal hyperpigmentation and hypopigmentation within individual patients[16].Fundus photography, SD-OCT and NIR are non-invasive techniques suitable for evaluating pigmentary lesions of the retina and choroid. Ultra-widefield fundus photography provides details of peripheral lesions. OCT documents layer-by-layer lesion localization and  thickness measurement of choroidal lesions. Shields et al summarized the OCT findings of choroidal melanocytosis, which are characterized by increased subfoveal choroidal thickness, primarily due to thickening of the choroidal perivascular stromal tissue, with minimal impact on the overlying retina[17]. These OCT findings will assist clinicians in distinguishing choroidal melanocytosis from other pigmented choroidal masses with associated elevation, such as choroidal melanocytoma and RPE adenocarcinoma [1,18].Near-infrared reflectance uses light in the near-infrared spectrum, which allows deeper penetration and better visualization of subretinal structures[19].Therefore, NIR enables the detection of outer retinal/choroidal pathologies, especially pigmented lesions[3,20]. In our case, although the OCT findings of the hyperpigmentd area were not very pronounced, NIR imaging was able to clearly delineate the boundaries of the pigment lesions. Other multimodal imaging technigues include fundus autofluorescence(AF), B ultrasonography, fundus fluorescein angiography (FFA), indocyanine green angiography (ICGA) and OCT angiography (OCTA). We summarized the multimodal findings of different pigmentary ocular fundus lesions in Table 2. Recent advancements in the diagnosis and management of choroidal melanocytosis highlight its reliance on multimodal imaging for accurate identification. Key diagnostic modalities include color fundus photography, OCT, and B-scan ultrasonography, which reveal characteristic features such as flat choroidal hyperpigmentation, absence of lipofuscin (in benign cases), and normal retina and choroid layers. While most cases remain asymptomatic and stable, studies report rare malignant transformation (e.g., 8.1% in Augsburger et al., 2020[4,8,21]), necessitating vigilant monitoring. Interventions like plaque brachytherapy are reserved for its most common complication--uveal melanoma. Pathologically, choroidal melanocytosis involves benign proliferation of melanocytes. Current studies advocate for longitudinal surveillance via non-invasive imaging to detect early malignant changes, while molecular research aims to identify biomarkers for risk stratification.

Choroidal melanocytosis should be differentiated from other melanotic retinochoroidal diseases, including: benign and malignant pigmented neoplasms of the retinal pigment epithelium, such as RPE adenoma or adenocarcinoma; benign and malignant pigmented neoplasms of choroid, such as choroidal nevus and melanoma, freckle, and focal aggregates of normal or near-normal uveal melanocytes (FANNUMs); combined hamartoma of the retina and RPE(CHRRPE), congenital hypertrophy of the RPE(CHRPE), RPE hyperplasia, and acquired bilateral patchy-streaky choroidal melanocytic fundopathy associated with cutaneous vitiligo or therapeutic agents[1,4-5,22].Multimodal imaging can provide essential clues for clinicians to make a diagnosis, as shown in Table 2.There are multiple types of discrete melanocytic choroidal lesions, including choroidal nevus, melanoma, FANNUMs, and choroidal melanocytosis. FANNUMs are usually discrete, small, and flat lesions without RPE changes, whereas choroidal nevus usually has distinct or feathery margins with RPE changes, such as atrophy, RPE hyperplasia, and RPE fibrous metaplasia[4,18,23-24]. Multimodal imaging features also provide clues for the transformation of choroidal nevi into melanoma[25-26].Shields proposed the mnemonic “To Find Small Ocular Melanoma Doing Imaging” to describe risk factors for  the transformation of choroidal nevus into melanoma: thickness > 2 mm on ultrasound, subretinal fluid on OCT, symptoms (visual acuity 20/50 or worse), orange pigment on AF, acoustic hollowness on ultrasound, and tumor diameter>5 mm on fundus photography[27]. Melanocytoma, melanoma, and RPE adenocarcinoma are solid masses with RPE or choroidal elevation, which can be detected by OCT and ultrasound. Choroidal melanoma, the most common primary intraocular malignancy in adults, appears as pigmented or amelanotic lesions with characteristic orange pigment, subretinal fluid, and serous retinal detachment[18].Key imaging findings of choroidal melenoma include acoustic hollowness on ultrasonography, choroidal thickening with shaggy photoreceptors on OCT, and mottled hyperfluorescence with hypocyanescence on angiography (FA/ICGA)[18]. RPE adenoma shares similar clinical features with melanoma and is usually difficult to diagnosis from suspected choroidal melanoma. RPE adenoma usually grows very slowly and invades the overlying retina layers; thus, it often acquires a retinal feeding artery and draining vein[28]. CHRPE is hypertrophic RPE with melanosomes and photoreceptor atrophy. It shows thinning of the overlying retina, loss of photoreceptors, and moderate relative shadowing of the underlying choroid on OCT.[23] CHRRPE appears as gray retinal mass with traction and retinal vessel tortuosity[29]. Choroidal vitiligo can appear as asymmetric bilateral choroidal hypopigmentation, which is similar to our case, but dermatologic examination can often reveal cutaneous vitiligo or white forelock among these patients. In our case, the patient has no history of intraocular inflammation, trauma, dermatological disease, or any systemic illnesses. Expect for the fundus pigmented lesions, there were no other ocular abnormality. Therefore, the diagnosis of choroidal melanocytosis was made. 

Table 2 Clinical and multimodal imaging features of pigmentary fundus lesions

Disease

The nature of the lesion

Pathology

 

Clinical Feature

 

Multimodal imaging features

Management

 

 

 

 

 

Fundus photography

OCT

AF

FFA/ICGA

Ultrasound

 

Choroidal Freckle (FANNUM)

Benign

Focal aggregate of normal choroidal melanocytes

Asymptomatic,middle age or older adulthood

Flat, discrete melanotic choroidal lesion

Hyper-reflective, posterior shadowing; no elevation

IsoAF

-

Non-elevated

None

Choroidal nevus

Benign to Suspect

Benign uveal melanocytes (nevus cells)

Asymptomatic

Pigmented lesion with/without RPE changes /amelanotic;drusen

Thickened choroid; drusen, retinal pigment epithelium detachment,subretinal fluid(SRF)

HypoAF (orange pigment hyperAF)

Hypofluorescent

<2 mm thick; high/low reflectivity

Monitoring follow-up

Choroidal Melanoma

Malignant

Anaplastic uveal melanocytes (uveal malignant melanoma cells)

The most common adult primary intraocular malignancy with vision loss, field defects,
 high metastatic risk

Well demarcated,orange pigment , subretinal fluid, or serous retinal detachment

Thickened choroid, shaggy photoreceptors, SRF; compressed choriocapillaris

HyperAF (orange pigment)

Mottled hyperfluorescence; "hot spots"; hypocyanescent

Dome/mushroom shape; acoustically hollow

Plaque brachytherapy,enucleation,sclerouvectomy,immunotherapy

Choroidal melanocytosis

Benign

Congenital diffuse proliferation of choroidal melanocytes

Asymptomatic,associated with iris/skin hyper pigmentation

Flat,patchy melanotic lesion located at posterior to the equator

Slightly Choroidal thickening

IsoAF

-

Non-elevated

Monitoring follow-up

RPE adenoma

Benign to Suspect

Neoplastic proliferation of rpe cells forming cords or tubules

 Generally diagnosed,more common in female,no predilection for race

Deeply pigmented, unilateral, abruptly elevated or dome shaped, with associated feeder arterioles, exudation, and ocular inflammation

HyperreflectiveRPE elevation

IsoAF

Hypofluorescence with late staining

High reflectivitywith solid mass

Partial lamellar sclerouvectomy or plaque radiotherapy

CHRPE

Benign

Hypertrophic RPE with melanosomes
,Photoreceptor atrophy

Asymptomatic

Flat, black plaque with lacunae/halo,usually located at midperipheral fundus

Retinal thinning, subretinal cleft

Hypoautofluorescent

 

Non-elevated

None

 

CHRRPE

Benign

Gliosis and RPE proliferation Vascular and glial hyperplasia

Gray retinal mass with traction

Gray retinal mass with traction,uxtapapillary/macular
- Retinal vessel tortuosity

 Retinal folds, vitreoretinal traction

IsoAF

 Late staining on FFA

Non-elevated or slightly elevated

Vitrectomy for traction

CONCLUSION

We presented a rare case characterized by bilateral melanocytic hyperpigmentation with different manifestations, which is prone to be misdiagnosis. Although choroidal melanocytosis usually presents asymptomatically, several studies found a close relationship between choroidal melanocytosis and choroidal melanoma[2].Therefore, the patients with this disorder require lifelong follow-up due to its association with the development of choroidal melanoma[2].

Correction Notice

None

Acknowledgements

None

Author Contributions

(I) Conception and design: Xiaolai Zhou, Yuhong Gan
(II) Administrative support: Feng Wen
(III) Provision of study materials or patients:  Xiaolai Zhou
(IV) Collection and assembly of data: Yuhong Gan
(V) Data analysis and interpretation: Yuhong Gan
(VI) Manuscript writing: All authors
(VII) Final approval of manuscript: All authors

Funding

This work was found by the Key Research and Development Program of the Ministry of Science and Technology (2022YFF1202901), the National Natural Science Foundation of China (82171404), the Natural Science Foundation of Guangdong Province of China (2023A1515011529), the Science and Technology Planning Project of Guangzhou City (2023A03J0181, 2024A04J6481), the Fundamental Research Funds for the Central Universities (22yklj04) and the Research Start-up Founds of Sun Yat-sen University (Funded Talent [2020]18).

Conflict of Interests

None of the authors has any conflicts of interest to disclose. All authors have declared in the completed the ICMJE uniform disclosure form.

Patient Consent for Publication

None

Ethics Statement

None

Provenance and Peer Review

This article was a standard submission to our journal. The article has undergone peer review with our anonymous review system.

Data Sharing Statement

None

Open Access Statement

This is an Open Access article distributed in accordance with the Creative Commons AttributionNonCommercial-NoDerivs 4.0 International License (CC BY-NC-ND 4.0), which permits the non-commercial replication and distribution of the article with the strict proviso that no changes or edits are made and the original work is properly cited (including links to both the formal publication through the relevant DOI and the license).

Funding

1. This work was found by the Key Research and Development Program of the Ministry of Science and Technology (2022YFF1202901), the National Natural Science Foundation of China (82171404), the Natural Science Foundation of Guangdong Province of China (2023A1515011529), the Science and Technology Planning Project of Guangzhou City (2023A03J0181, 2024A04J6481), the Fundamental Research Funds for the Central Universities (22yklj04) and the Research Start-up Founds of Sun Yat-sen University (Funded Talent [2020]18).

References

1.  Verbeek S, Dalvin LA. Advances in multimodal imaging for diagnosis of pigmented ocular fundus lesions. Can J Ophthalmol. 2024, 59(4): 218-233. DOI:10.1016/j.jcjo.2023.07.005.
2. Augsburger JJ, Trichopoulos N, Corrêa ZM, et al. Isolated choroidal melanocytosis: a distinct clinical entity?[J]. Graefe’s Arch Clin Exp Ophthalmol. 2006, 244(11): 1522-1527. DOI:10.1007/s00417-006-0276-8.
3. Shields CL, Qureshi A, Mashayekhi A, et al. Sector (partial) oculo(dermal) melanocytosis in 89 eyes. Ophthalmology. 2011, 118(12): 2474-2479. DOI:10.1016/j.ophtha.2011.05.023.
4. Augsburger JJ, Brooks CC, Correa ZM. Isolated choroidal melanocytosis: clinical update on 37 cases. Graefes Arch Clin Exp Ophthalmol. 2020, 258(12): 2819-2829. DOI:10.1007/s00417-020-04919-x.
5. Martin P, Yang J, Khurshid G. Bilateral benign isolated choroidal melanocytosis. Can J Ophthalmol. 2022, 57(6): e196. DOI:10.1016/j.jcjo.2022.02.005.
6. Catapano TM, Bansal R, Shields CL. Multifocal choroidal melanoma in sector melanocytosis on autofluorescence. Ophthalmol Retina. 2024, 8(12): e50. DOI:10.1016/j.oret.2024.05.006.
7. Angelidis CD, Petrou P, Kandarakis SA, et al. Simultaneous bilateral primary choroidal melanoma linked to bilateral ocular melanocytosis: a rare case study. Am J Case Rep. 2024, 25: e946129. DOI:10.12659/AJCR.946129.
8. Di Nicola M, Ebert JJ, Hagen MC, et al. Unilateral multifocal choroidal melanoma with underlying isolated choroidal melanocytosis. Ocul Oncol Pathol. 2022, 8(2): 100-104. DOI:10.1159/000522262.
9.  Chheda P, Ramamurthy S, Raval V, et al. Oculodermal melanocytosis in Asian Indian patients: Prevalence, clinical presentation, and association with choroidal melanoma. Indian J Ophthalmol. 2025, 73(Suppl 1): S88-S94. DOI:10.4103/IJO.IJO_1445_24.
10. Lee JK, Kim YC. Bilateral isolated choroidal melanocytosis with hypopigmented posterior pole. Indian J Ophthalmol. 2020, 68(11): 2507-2509. DOI:10.4103/ijo.IJO_1731_20.
11. Pellegrini M, Shields CL, Arepalli S, et al. Choroidal melanocytosis evaluation with enhanced depth imaging optical coherence tomography. Ophthalmology. 2014, 121(1): 257-261. DOI:10.1016/j.ophtha.2013.08.030.
12. Shields CL, Manalac J, Das C, et al. Choroidal melanoma: clinical features, classification, and top 10 pseudomelanomas. Curr Opin Ophthalmol. 2014, 25(3): 177-185. DOI:10.1097/ICU.0000000000000041.
13.  Ghassemi F, Ebrahimiadib N, Riazi-Esfahani H, et al. A solitary choroidal mass with spontaneous resolution. Case Rep Ophthalmol Med. 2020, 2020: 8882617. DOI:10.1155/2020/8882617.
14. Wang H, Ly A, Yapp M, et al. Multimodal imaging characteristics of congenital grouped hyper- and hypo-pigmented fundus lesions. Clin Exp Optom. 2020, 103(5): 641-647. DOI:10.1111/cxo.12984.
15. Fallon SJ, Shields CN, Di Nicola M. Trifocal choroidal melanoma in an eye with oculodermal melanocytosis: a case report. Indian J Ophthalmol. 2019, 67(12): 2092-2094. DOI:10.4103/ijo.IJO_493_19.
16. Canestraro J, Jaben KA, Wolchok JD, et al. Progressive choroidal thinning (leptochoroid) and fundus depigmentation associated with checkpoint inhibitors. Am J Ophthalmol Case Rep. 2020, 19: 100799. DOI:10.1016/j.ajoc.2020.100799.
17.  Li HK, Shields CL, Mashayekhi A, et al. Giant choroidal nevus. Ophthalmology. 2010, 117(2): 324-333. DOI:10.1016/j.ophtha.2009.07.006.
18. Augsburger JJ. Focal aggregates of normal or near normal uveal melanocytes (FANNUMs) in the choroid: a distinct clinical and histopathological entity?. Graefe’s Arch Clin Exp Ophthalmol. 2021, 259(1): 191-196. DOI:10.1007/s00417-020-04851-0.
19.  Singh AD, Kalyani P, Topham A. Estimating the risk of malignant transformation of a choroidal nevus. Ophthalmology. 2005, 112(10): 1784-1789. DOI:10.1016/j.ophtha.2005.06.011.
20. Shields JA, Shields CL. Tumors and related lesions of the pigmented epithelium. Asia Pac J Ophthalmol. 2017, 6(2): 215-223. DOI:10.22608/APO.201705.
21. Arepalli S, Pellegrini M, Ferenczy SR, et al. Combined hamartoma of the retina and retinal pigment epithelium: findings on enhanced depth imaging optical coherence tomography in eight eyes. Retina. 2014, 34(11): 2202-2207. DOI:10.1097/IAE.0000000000000220.
22. Singh AD, Raval V, Bellerive C, et al. Choroidal melanocytic lesions in children: focal aggregates and melanocytosis. J Am Assoc Pediatr Ophthalmol Strabismus. 2021, 25(6): 327.e1-327.e5. DOI:10.1016/j.jaapos.2021.07.009.
23. Hrynchak P, Hugh J, Labreche T. Bilateral isolated choroidal melanocytosis with isoautofluorescence. CanJOphthalmol. 2018, 53(3):e97-e99. DOI: 10.1016/j.jcjo.2017.09.008.
24. Mason LB, MasonJO. Bilateral isolated choroidal melanocytosis. Retin Cases Brief Rep. 2016, 10(2): 112-114. DOI : 10.1097/icb.0000000000000178

25. Heinze KD, Demirci H, Elner VM. Bilateral annular isolated choroidal melanocytosis. Ophthalmic Surg Lasers Imaging Retina. 2019, 50(3): e74-e76. DOI:10.3928/23258160-20190301-15.

26. Amador-Patarroyo MJ, Ahmed E, Chao DL. Bilateral choroidal melanocytosis. Ophthalmology. 2019, 126(2): 220. DOI:10.1016/j.ophtha.2018.12.006.

27. Velazquez-Martin JP, Krema H, Gottlieb CC, et al. Bilateral multifocal choroidal melanosis: a report of two cases. Ophthalmic Surg Lasers Imaging Retina. 2013, 44(2): 193-195. DOI:10.3928/23258160-20130130-03.

28. Kovoor TA, Bahl D, Singh AD, et al. Bilateral isolated choroidal melanocytosis. Br J Ophthalmol. 2008, 92(7): 892, 1008. DOI:10.1136/bjo.2008.138495.

29. Fine HF, Brue C, Eandi C, et al. Bilateral isolated choroidal melanocytosis. Retin Cases Brief Rep. 2009, 3(3): 272-274. DOI:10.1097/ICB.0b013e3181737718.

30. Singh AD, De Potter P, Fijal BA, et al. Lifetime prevalence of uveal melanoma in white patients with oculo(dermal) melanocytosis. Ophthalmology. 1998, 105(1): 195-198. DOI:10.1016/s0161-6420(98)92205-9.

31. Dalvin LA, Shields CL, Ancona-Lezama DA, et al. Combination of multimodal imaging features predictive of choroidal nevus transformation into melanoma. Br J Ophthalmol. 2019, 103(10): 1441-1447. DOI:10.1136/bjophthalmol-2018-312967.

32. Shields CL, Dalvin LA, Ancona-Lezama D, et al. Choroidal nevus imaging features in 3, 806 cases and risk factors for transformation into melanoma in 2, 355 cases: The 2020 Taylor r. Smith and Victor t. Curtin Lecture. Retina. 2019, 39(10): 1840-1851. DOI:10.1097/iae.0000000000002440.

Related Articles