球形晶状体白内障术后合并黄斑水肿一例
阅读量:12937
DOI:10.12419/j.issn. 1000-4432.2023.02.12
发布日期:2023-02-01
作者:
肖瑶瑶 ,蒋永祥
展开更多 '%20fill='white'%20fill-opacity='0.01'/%3e%3cmask%20id='mask0_3477_29692'%20style='mask-type:luminance'%20maskUnits='userSpaceOnUse'%20x='0'%20y='0'%20width='16'%20height='16'%3e%3crect%20id='&%23232;&%23146;&%23153;&%23231;&%23137;&%23136;_2'%20x='16'%20width='16'%20height='16'%20transform='rotate(90%2016%200)'%20fill='white'/%3e%3c/mask%3e%3cg%20mask='url(%23mask0_3477_29692)'%3e%3cpath%20id='&%23232;&%23183;&%23175;&%23229;&%23190;&%23132;'%20d='M14%205L8%2011L2%205'%20stroke='%23333333'%20stroke-width='1.5'%20stroke-linecap='round'%20stroke-linejoin='round'/%3e%3c/g%3e%3c/g%3e%3c/svg%3e)
关键词
球形晶状体
黄斑水肿
晶状体不全脱位
晶状体悬韧带病变
前段玻璃体切除术
摘要
球形晶状体是一种罕见的先天性晶状体悬韧带疾病,表现为晶状体前后径增加,赤道半径减小,类似球形。临床特点包括浅前房、晶状体源性高度近视、晶状体脱位及继发青光眼等。治疗上早期可以通过验光配镜提高视力,当继发晶状体脱位及青光眼时需尽早进行手术治疗。本例报道一例72岁男性患者,因右眼视力下降2年入院。既往近视,近视逐渐加深,近2年患者双眼配镜-10D,视力无明显改善。就诊后考虑球形晶状体所致晶状体不全脱位合并白内障,入院后行囊袋拉钩固定下白内障超声乳化+人工晶状体悬吊+前段玻璃体切除术。患者术后1个月后复诊,发现黄斑水肿,予以复方平地木颗粒口服,溴芬酸钠滴眼液滴眼。2周后复诊视力及黄斑水肿明显好转。
全文
球形晶状体是一种罕见的先天性晶状体悬韧带疾病,多为双眼发病,临床表现为晶状体前后径增加,赤道半径减小,类似球形,充分散瞳后可见到晶状体赤道部边缘[1]。由于悬韧带广泛松弛,球形晶状体可并发晶状体脱位或不全脱位、继发性青光眼。因此,有学者将浅前房、晶状体源性高度近视和闭角型青光眼三联征作为诊断的主要依据[2-4]。球形晶状体患者往往具有家族聚集性,也可以散发;可独立发病,也可能继发于马方综合征[5]、马切山尼综合征[6]、同型半胱氨酸尿症[7]等全身性疾病。球形晶状体的治疗方式多种多样,包括保守治疗和手术治疗。当患者只出现高度近视视力下降且不合并严重并发症时,可以通过佩戴眼镜或角膜接触镜来改善视觉质量。当出现晶状体不全脱位或继发性青光眼、白内障时,应考虑手术治疗[1]。传统手术治疗为晶状体切除联合前段玻璃体切除术+人工晶状体(intraocular lens,IOL)悬吊术,但近年来出现了微创球形晶状体手术,如晶状体吸除+改良型囊袋张力环(modified capsular tension ring,MCTR)+IOL植入术[8],能有效避免扰动玻璃体,减少玻璃体视网膜并发症的产生。
黄斑水肿(macular edema,ME)是导致白内障术后视力不佳的主要并发症之一,发生率约为0.2%~2.35%。黄斑水肿多数为自限性疾病,但仍有部分患者视力损伤随着时间推移加重。由于球形晶状体手术复杂,常合并前段玻璃体切割术,且手术时间相对较长,术后黄斑水肿发生率增高。另外,晚期球形晶状体患者常继发青光眼,增加手术难度以及并发症风险。因此,球形晶状体患者需要尽早行手术治疗,减少黄斑水肿的发生,提高视力预后。
本临床案例报道了一例球形晶状体术后并发黄斑水肿的老年男性患者,回顾并总结了该患者的临床病例特点及检查资料,旨在加深广大眼科临床工作者对该病的认识。
1 临床资料
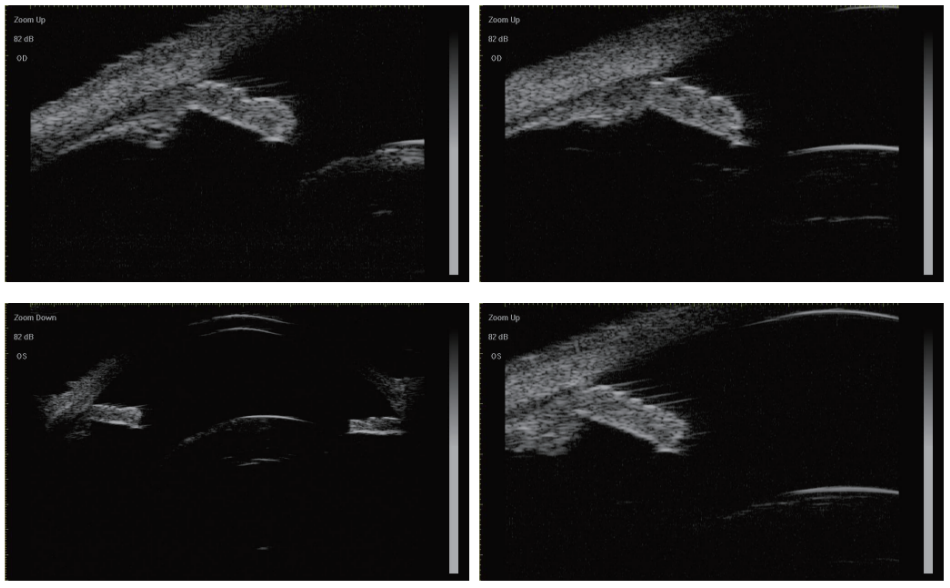
患者,男性,72岁,因“右眼视力下降2年”于2021年1月8日入院。既往史:自幼双眼近视,近视度数逐年加深,近2年患者自诉双眼配镜-10 D,仍无明显视力改善。否认家族遗传病史。体格检查:体态匀称,一般情况良好,发育正常,脊柱四肢无畸形。眼部检查:右眼视力:0.06,矫正无效,左眼视力:0.05,-12.00 DS/-2.50 DC×170= 0.30,眼压:右眼:17.9 mmHg(1 mmHg=0.133 kPa),左眼:18.1 mmHg。右眼结膜无充血,角膜透明,前房深,虹膜震颤,瞳孔圆形居中,晶状混浊C2N4P1,向下方脱位,晶状体震颤明显,余眼部情况窥不清(图1)。左眼结膜无充血,角膜透明,前房深,瞳孔圆形居中,晶状体混浊C2N3P1,360°悬韧带松弛,向后方及颞下方脱位,余眼部情况窥不清。眼部B超示:双眼内异常回声,玻璃体浑浊伴后脱离可能,轻度后巩膜葡萄肿可能。双眼OCT示:隐见左眼黄斑视网膜前膜,右眼中心凹形态可。超声生物显微镜(UBM)示:双眼前房不浅,各方位房角开放。右眼上方,左眼上方、内侧及鼻上悬韧带缺失,睫状突-晶状体间距增大,右眼玻璃体疝至瞳孔区,余方位悬韧带稀疏伴部分缺失。双眼晶状体直径小,前后表面较突(图2)。眼部A超(IOL Master 700)示:右眼:晶状体厚度 5.41 mm,眼轴 25.82 mm,角膜曲率K1 43.06 D,K2 43.93 D。左眼:晶状体厚度 5.27 mm,眼轴 25.30 mm,角膜曲率K1 42.98 D,K243.65 D。心电图:窦性心律、T波改变。诊断:球形晶状体、晶状体不全脱位、并发性白内障、高度近视。使用Haigis公式计算人工晶状体度数,术前规划术后目标屈光度-2 D近视。
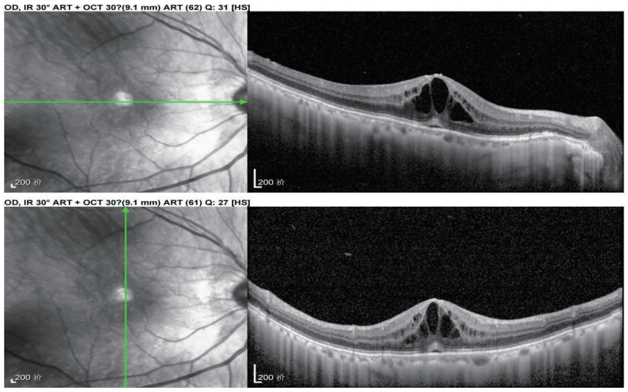
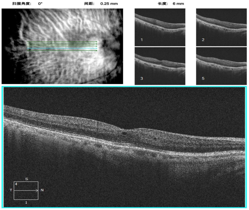
治疗:入院后在局部麻醉下行右眼囊袋拉钩固定下超声乳化+IOL悬吊+前段玻璃体切割术,手术顺利,术后予以左氧氟沙星滴眼液、百利特滴眼液、普拉洛芬滴眼液,每日4次抗感染治疗,术后第一天术眼裸眼视力0.10,矫正-2.00 DS = 0.20,眼压:12 mmHg,角膜透明,前房深浅可,IOL位正。右眼术后1个月患者为行左眼晶状体不全脱位及白内障手术入院,光学相干光断层扫描(OCT)检查示:右眼黄斑区形态改变,中心凹隆起,提示右眼黄斑区囊样水肿(图3)。诊断:右眼人工晶状体植入术后、右眼黄斑水肿。予以复方平地木颗粒口服,溴芬酸钠滴眼液滴眼。2周后复诊视力明显好转,右眼裸眼视力0.40,矫正-3.00 DS/-1.00DC×40 = 0.80,眼压:16 mmHg。黄斑区水肿明显好转。OCT检查示:右眼中心凹局灶色素上皮增厚,可见少许微囊样水肿(见图四)。

图 1 术前右眼眼前节照片,散瞳下可见晶状体位置前移,大范围晶状体脱位伴晶状体浑浊
Figure 1 The preoperative photograph of anterior segment captured by slit lamp microscope showed forward movement of the spherical lens on mydriasis and extensive range of ectopia lentis accompanied by lens opacity in the right eye
图 2 术前双眼超声生物显微镜 (UBM) 提示双眼球形晶状体伴晶状体半脱位
Figure 2 The preoperative ultrasound biomicroscopy (UBM) images illustrated bilateral microspherophakia accompanied by ectopia lentis
图3 右眼术后 1 个月黄斑区形态改变,中心凹隆起,呈囊样水肿改变,提示右眼黄斑区囊样水肿
Figure 3 One month after operation, the morphology of the macular area changed, the central fovea bulged and showed cystic edema, suggesting cystoid macular edema in the right eye
图 4 右眼术后黄斑水肿药物治疗 2 周后,OCT 示右眼中心凹局灶色素上皮增厚,可见微囊样水肿
Figure 4 After two weeks of drug treatment for postoperative macular edema, the OCT of the right eye showed focal pigment epithelium thickening and microcystic edema in macular fovea
2 讨论
黄斑水肿是导致白内障术后视力低下的主要并发症之一,多发生于术后3~12周[9],主要的危险因素包括:1)术中后囊膜破裂和玻璃体丢失;2)糖尿病或术前糖尿病视网膜病变;3 )未经治疗的眼压升高;4)视网膜静脉阻塞病史;5)视网膜前膜病史;6)术前使用前列腺素类似物;5)术后使用前列腺素类似物和β受体阻滞剂。另外,复杂白内障手术中行玻璃体切割术虽然可以预防对玻璃体基底部和视网膜周边部的牵引,但会加重术后黄斑水肿的风险[10]。白内障术后黄斑水肿可能的机制为:眼内微环境改变和炎症反应促进磷脂酶及花生四烯酸的释放,进一步促进前列腺素合成,从而破坏了血-房水屏障和血-视网膜屏障,使视网膜毛细血管丛通透性增高,导致液体溢出并积聚在视网膜内和视网膜下,前者是因为视网膜内血管内皮细胞间的紧密连接受到破坏,后者是因为视网膜色素上皮细胞和光感受器细胞之间的正常连接受到破坏,最终形成黄斑水肿。
本病例自幼双眼近视,且近视度数逐年加深,裂隙灯检查示晶状体不全脱位,UBM及IOL Master 700检查分别提示双眼晶状体不全脱位、悬韧带松弛或缺失及晶状体厚度增加,术前双眼球形晶状体继发晶状体不全脱位诊断明确。值得注意的是,球形晶状体伴晶状体半脱位的患者需要鉴别是否合并有全身系统性综合征。马方综合征是一种常染色体显性遗传的系统性结缔组织疾病,常合并心脏瓣膜异常、主动脉瘤等心血管系统异常,以及身体瘦长、蜘蛛指、鸡胸或漏斗胸、脊柱侧弯等骨骼系统的异常。马切山尼综合征是一种常染色体显性或隐性遗传病,患者多见身材矮小、肌肉发达、短指、眼部异常,眼部主要表现为球形晶状体伴晶状体脱位、高度近视、继发性青光眼。同型半胱氨酸尿症性是一种含硫氨基酸代谢异常引起的常染色体隐性遗传病,该病患者由于体内同型胱氨酸及同型半胱氨酸蓄积,导致出现血栓形成、CEL、中枢神经系统和骨骼系统异常等一系列严重病变。本例患者仅出现眼部特征性改变,不合并心血管系统、骨骼系统和神经系统的异常,因此可以初步排除合并全身系统性疾病。如要进一步明确诊断,需对患者进行基因检测。该患者由于右眼严重的晶状体不全脱位并发玻璃体疝,术中行前段玻璃体切割术,以期减轻前段玻璃体对眼前节损害及对周边视网膜的牵拉,但不可避免会扰动后段玻璃体,造成对黄斑区的牵引。术后30 d右眼OCT检查提示右眼黄斑区水肿,右眼黄斑囊样水肿诊断明确。本例球形晶状体患者术后出现黄斑水肿的原因可能为:1)前段玻璃体切除手术时对黄斑的牵引;2)手术创伤及术后炎症反应,尤其是炎症介质如前列腺素的释放。术后给予溴芬酸钠等前列腺素合成酶抑制剂,抑制前列腺素生成,有效缓解了黄斑囊样水肿。Samuel等[11]报道了一例球形晶状体伴晶状体半脱位的Sturge-Weber综合征患者,术后出现黄斑水肿,在给予局部溴芬酸治疗后黄斑水肿完全恢复。Vasavada等[12]报道了MCTR+IOL植入手术在儿童先天性晶状体半脱位患者中的效果,其中有2例(5.71%)患者出现术后黄斑水肿。上述病例提示,球形晶状体术后存在黄斑水肿的风险,但大多数可以使用局部非甾体抗炎药治疗并恢复。
继发性青光眼是球形晶状体常见的并发症,也是白内障术后黄斑水肿的危险因素之一。据报道[13],球形晶状体患者中51%合并继发性青光眼,其中约90%的患者年龄小于30岁,约20%的患者因继发性青光眼致盲。其主要机制为球形晶状体悬韧带360°松弛,前表面高度前凸,引起晶状体向前方移动,与虹膜接触形成瞳孔阻滞,形成急性闭角型青光眼。随着病情发展,虹膜与晶状体前表面长期反复接触造成粘连,形成慢性瞳孔阻滞,反复的瞳孔阻滞导致房角粘连关闭,最终形成慢性闭角型青光眼;同时长期慢性瞳孔阻滞也可能导致不可逆的小梁网破坏。Senthil等[13]对合并继发性青光眼的球形晶状体患者研究显示,仅18%的患者可以单纯依靠抗青光眼药物治疗达到满意效果。Zheng等[14]的一项球形晶状体临床研究发现,术前前房深度1.86 mm为提示术后视力恢复不良的临界值。因此,对于球形晶状体的患者,需要前移手术窗口,在继发青光眼发生之前进行安全有效的晶状体手术[15]。
随着术者手术技巧的不断进步,球形晶状体的手术方式也不断改进。对于并发严重晶状体脱位的球形晶状体患者,可以选择晶状体摘除+前段玻璃体切除+经巩膜缝线固定的后房型人工晶状体植入术,但该手术方式存在一定的并发症,如玻璃体积血、术后低眼压、孔源性视网膜脱离等,进一步增加术后黄斑水肿的风险。超声乳化晶状体吸除+标准张力环/改良张力环/张力段+人工晶状体植入术目前临床上应用较多,手术效果好,在短期随访出现严重并发症的情况较少[16]。另外,Chen等[17]关于球形晶状体的研究表明,超声乳化晶状体吸除+囊袋上人工晶状体悬吊术也是一种有效的手术方式,且未发现术后黄斑水肿等并发症。该手术方式不需要行玻璃体切除,保留囊袋和残留的悬韧带,以保证眼后节完整,可以将玻璃体视网膜并发症的风险降到最低。对于合并白内障的球形晶状体的老年患者,晚期的白内障晶状体核硬、悬韧带松弛,手术难度增加,而无法进行超声乳化者需要进行白内障囊外摘除术合并前段玻璃体切割术,增加术后黄斑水肿的风险,因此建议在白内障早期进行手术治疗。
综上所述,球形晶状体手术复杂,增加术后黄斑水肿的发生风险。为了有效预防术后黄斑水肿,建议提前手术时间窗,避免出现继发性青光眼或严重的白内障等并发症,增加手术难度。另外,采用创新的球形晶状体手术方式可降低晶状体手术对玻璃体的扰动,从而有效预防黄斑囊样水肿等并发症的产生。
开放获取声明
本文适用于知识共享许可协议 (Creative Commons),允许第三方用户按照署名(BY) -非商业性使用(NC) -禁止演绎(ND)(CCBY-NC -ND)的方式 共享,即允许第三方对本刊发表的文章进行复制、 发行、展览、表演、放映、广播或通过信息网络向 公众传播,但在这些过程中必须保留作者署名、仅限于非商业性目的、不得进行演绎创作。详情请访问:https://creativecommons.org/licenses/by-nc-nd/4.0/。
基金
1. 国家自然科学基金 (82070943);上海市科学技术委员会科技创新行动计划(20Y11911000)。
This work was supported by National Natural Science Foundation of China(82070943); Shanghai Science and Technology Commission Scientific in Novation Action Plan (20Y11911000).
This work was supported by National Natural Science Foundation of China(82070943); Shanghai Science and Technology Commission Scientific in Novation Action Plan (20Y11911000).
参考文献
1. Chen ZX, Zhao ZN, Sun Y, et al. Phacoemulsification combined with supra-capsular and scleral-fixated intraocular lens implantation in microspherophakia: a retrospective comparative study[ J]. Front Med (Lausanne), 2022, 9: 869539.
2. Khokhar S, Gupta S, Nayak B, et al. Capsular hook-assisted implantation of modified capsular tension ring[ J]. BMJ Case Rep, 2016, 2016: bcr2015214274.
3. 郑佳蕾, 邓麦可, 蒋永祥. 球形晶状体的治疗进展. 国际眼科纵览, 2021, 45(4): 295-299.
Zheng JL, Deng MK, Jiang YX. Treatment of microspherophakia. Int Rev Ophthalmol, 2021, 45(4): 295-299.
Zheng JL, Deng MK, Jiang YX. Treatment of microspherophakia. Int Rev Ophthalmol, 2021, 45(4): 295-299.
4. Zheng J, Cheng L, Chen Z, et al. Factors related to visual outcomes after lens surgery in isolated microspherophakia[ J]. J Ophthalmol, 2022, 2022: 9089203.
5. Senthil S, Rao HL, Hoang NTQ, et al. Glaucoma in microspherophakia: presenting features and treatment outcomes[ J]. J Glaucoma, 2014, 23(4): 262-267.
6. Vasavada V, Vasavada V A, Hoffman R O, et al. Intraoperative performance and postoperative outcomes of endocapsular ring implantation in pediatric eyes[ J]. J Cataract Refract Surg, 2008, 34(9): 1499-1508.
7. Avalos-Lara SJ, Antonio-Aguirre B, Perez-Ortiz AC, et al. Spherophakia and ectopia lentis in a sturge-weber patient: a case report[ J]. Case Rep Ophthalmol, 2020, 11(2): 356-363.
8. Praveen MR, Vasavada AR, Singh R. Phacoemulsification in subluxated cataract[ J]. Indian J Ophthalmol, 2003, 51(2): 147-154.
9. Holló G, Aung T, Cantor LB, et al. Cystoid macular edema related to cataract surgery and topical prostaglandin analogs: mechanism, diagnosis, and management[ J]. Surv Ophthalmol, 2020, 65(5): 496-512.
10. Cai L, Han X, Jiang Y, et al. Three-year outcomes of cionni-modified capsular tension ring implantation in children under 8 years old with ectopia lentis[ J]. Am J Ophthalmol, 2021, 224: 74-83.
11. Sab ran e I , Saoudi S, Ikhloufi ME , et al . Ectopia lentis in homocystinuria[ J]. J Fr Ophtalmol, 2019, 42(2): 219-220.
12. Faivre L, Dollfus H, Lyonnet S, et al. Clinical homogeneity and genetic heterogeneity in Weill-Marchesani syndrome[ J]. Am J Med Genet A, 2003, 123A(2): 204-207.
13. Chen Z, Chen T, Zhang M, et al. Fibrillin-1 gene mutations in a Chinese cohort with congenital ectopia lentis: spectrum and genotype-phenotype analysis[ J]. Br J Ophthalmol, 2022, 106(12): 1655-1661.
14. Sivakumar P, Vedachalam R, Shivananda N. Diagnosis of a globular lens—a ring in the eye[ J]. JAMA Ophthalmol, 2019,137(4): e184413.
15. Chan R TY, Collin HB. Microspherophakia[ J]. Clin Exp Optom, 2002, 85(5): 294-299.
16. Gupta S, Warjri G, Gupta V. ‘ε’ sign: a clinical clue to the diagnosis of microspherophakia[ J]. Eye (Lond), 2020, 34(3): 597-599.
17. Yu X , Chen W , Xu W. Diagnosis and treatment of microspherophakia[ J]. J Cataract Refract Surg, 2020, 46(12): 1674-1679.