返回

双眼晶状体脱位一例

阅读量:11106
DOI:10.12419/j.issn. 1000-4432.2023.02.13
发布日期:2023-02-24
作者:
陈业胜 ,梁安怡 ,张良
展开更多

关键词

晶状体脱位
人工晶状体脱位
人工晶状体悬吊术
高同型半胱氨酸血症

摘要

晶状体脱位是指由于各种病因引起的悬韧带发育异常及断裂,从而导致晶状体的位置异常。晶状体脱位的类型复杂,临床处理也各不相同。本文报道了一名老年男性,因外伤分别致右眼晶状体全脱位,左眼人工晶状体不全脱位,伴高同型半胱氨酸血症,在入院后行双眼手术,术式不一,但都获得了预期效果。

全文

    晶状体脱位是指由于各种病因引起的悬韧带发育异常及断裂,使得悬韧带对晶状体的固定作用减弱或消失,从而导致晶状体的位置异常,包括晶状体半脱位(Lens Subluxation)或脱位(Dislocation)。晶状体脱位根据病因分为先天性、外伤性以及自发性晶状体脱位,其中眼部外伤尤其是眼球钝挫伤是晶状体脱位最常见的原因[1-2]。此外,对于已植入人工晶状体的患者,也可能由于外伤、激光后囊膜切开术、玻璃体切除手术等原因导致人工晶状体脱位的情况[3-5]。晶状体脱位根据其严重程度可引起不同的并发症,而处理方法根据具体的脱位范围、程度以及并发症有所不同。本文报道了一例特殊的晶状体脱位患者,其右眼晶状体脱位、左眼人工晶状体不全脱位,文章回顾了病例的病程发展及诊治经过,包括手术方案的差异化选择,总结了该类病例的临床特点及诊治要点,旨在加深广大眼科临床医生对晶状体脱位的认识。

1 临床资料

    患者,男性,85岁,因“左眼被砸伤后视力下降5 d”前于2022年09月19日来就诊。患者自诉5 d前被钥匙砸伤眼睛后立即出现视力下降,伴剧烈眼部疼痛,在外院诊断“左眼人工晶状体脱位”,建议患者转至本院进行手术治疗。既往史:右眼20年前因“被钥匙砸伤”致视力下降,当时未诊治。左眼多年前白内障手术史,具体术式不详;否认糖尿病、高血压病史。住院检验结果:血同型半胱氨酸22.12 μmol/L↑,其余检验结果无异常。眼科专科检查结果详见表1。

表1 入院眼科专科检查结果
Table 1 Ophthalmic examinations at admission
20230224101141_1303.png
    光学相干断层扫描 (optical coherence tomogra-phy,OCT) 检查见:右眼黄斑区神经上皮前线状高反射,牵拉视网膜增厚,黄斑中心凹消失。左眼黄斑区视网膜结构大致正常。
    初步诊断:右眼晶状体全脱位,左眼人工晶状体不全脱位,高同型半胱氨酸血症。处理经过:2022-09-20 在球后睫状神经节阻滞麻醉下行左眼手术治疗,术中考虑人工晶状体囊袋复合体脱离范围较大,因此行左眼“前入路玻璃体切割术 + 人工晶状体取出 + 人工晶状体悬吊术”,术中利用灌注将人工晶状体囊袋复合体固定于前房内 (图 4B),取出人工晶状体囊袋复合体后,将新的人工晶状体缝合固定于 2 点、8 点方向。术后予局部抗炎、预防感染处理。左眼术后第 3 天,行右眼“后入路玻璃体切除 + 视网膜病损激光凝固 + 人工晶状体悬吊术”,术中眼内注入四氯化碳将晶状体浮起 (图 4A),避免手术操作时损伤视网膜,再予晶状体切割,将人工晶状体缝合固定于 2 点、8 点方向,对于视网膜浅脱离区域,在四氯化碳辅助下对脱离区域尽可能给予光凝。术后予局部抗炎、防感染处理。术后第 1 天出院时眼科专科检查情况见表 2。术后患者未至门诊复诊,电话随访自诉视力较术前增加。
20230224111955_6655.png
图 1 双眼术前眼前段照相
Figure 1 Anterior segment photography of both eyes at the pre-operation
(A) 右眼结果显示晶状体缺如;(B) 左眼结果显示人工晶状体向下方脱位,下方瞳孔缘可见人工晶状体囊袋复合体的周边部。
(A) In the right eye, the lens was absent; (B) The result of the left eye showed that the IOL was dislocated downward, and the peripheral part of the IOL pocket complex was visible at the lower pupillary margin.

20230224153313_5523.png
图2 双眼术前扫描激光眼底照相
Figure 2 Scanning laser ophthalmoscopy of both eyes at the pre-operation
(A) 右眼结果示颞侧周边部视网膜浅脱离,下方视网膜前见浑浊晶状体,红色箭头为脱位晶状体,绿色箭头为视网膜
浅脱离区域;(B) 左眼结果示颞侧周边部视网膜萎缩灶,蓝色箭头为视网膜萎缩灶。
(A) The results of the right eye showed shallow retinal detachment in the temporal peripheral area, and a lens was in the anterior retina below. The red arrows was the dislocation of the lens, and the green arrows was the area of shallow retinal detachment.
(B) The results of the left eye showed the temporal peripheral retinal atrophy, and the blue arrows indicated the retinal atrophy

2 讨论

    眼科医生根据晶状体脱位程度的不同可引起不同的并发症,从而决定患者是否需要手术治疗。保守治疗适合于无并发症的晶状体不全脱位,通过佩戴框架眼镜可以矫正屈光不正并提高视力。当晶状体脱位严重损害视力,尤其是伴有成熟期或过熟期白内障、晶状体陷入前房、晶状体溶解性青光眼、晶状体过敏性葡萄膜炎、瞳孔阻滞性青光眼、保守治疗或单纯青光眼手术不能降低眼压、晶状体浑浊妨碍进行视网膜病变的检查和手术等情况时,则需要紧急手术治疗[1]
    对于晶状体半脱位,根据脱位程度及其引起的并发症,应该选择不同的手术方式。而对于晶状体全脱位的患者,可经睫状体平坦部利用玻切头进行晶状体切割;若晶状体核较硬,可通过注入四氯化碳使其浮起进入前房后予超声乳化[6-7]。后续进行人工晶状体悬吊术将人工晶状体固定于睫状沟,改善患者视力。对于核较软的轻度晶状体不全脱位,可通过抽吸灌注针头将晶状体皮质抽吸干净,必要时可在颞下方角膜加做切口,从颞下方伸入一针头固定脱位晶状体,再进行晶状体抽吸。若术中有后囊膜破裂或玻璃体溢出,可用前段玻璃体切除器切除前段玻璃体及残留皮质。同时可使用眼内灌注使晶状体浮起稳定于瞳孔区,利用前段玻璃体切除器切割晶状体。对于脱离范围较小、囊袋稳定性良好的晶状体不全脱位,可植入囊袋内张力环稳定囊袋后将人工晶状体植入囊袋内[8-11]。对于脱位范围较大、囊袋难以完整保存的患者,可进行人工晶状体悬吊[12]。若脱位的是人工晶状体,可根据不同情况选择直接复位或置换。从长期随访来看,复位与置换的远期最佳矫正视力并没有明显的差别,但人工晶状体置换并发症(如视网膜脱离、脉络膜脱离、黄斑囊样水肿)的发生率更高,在原人工晶状体未出现损伤的情况下及无显著屈光误差的情况下,复位人工晶状体安全性更高[6, 13]。因此,明确的诊断及合适的治疗方法可以帮助患者重获视力。
    针对本例患者的左眼人工晶状体不全脱位,原人工晶状体为一片式人工晶状体,不适宜进行悬吊,因此置换人工晶状体并行人工晶状体悬吊术;右眼晶状体全脱位,因此行经睫状体平坦部的玻璃体切除手术切割脱位晶状体,I期行人工晶状体悬吊术。人工晶状体悬吊术有双襻固定法和巩膜层间固定,而缝线的固定包含内路法、外路法及内外路结合法。由于本例患者囊袋脱离范围大,无法支撑人工晶状体,因此选择双襻固定法,并利用的内外结合将人工晶状体缝合固定于睫状沟,术中选择2点、8点做穹窿部为基底的结膜瓣,将双针10-0聚丙烯缝线的长弯头从在8°巩膜床角膜缘后2 mm处进针,利用OT针头从2°方向角膜缘后2 mm进入眼内,将长针套入OT针头后将缝线引出2°穿刺口外,从主切口牵拉缝线于角膜外并从中间剪断,分别缝合人工晶状体上下襻,利用缝线固定于巩膜处,最后缝合结膜。此外,悬吊对于人工晶状体的类型也是有特殊要求的,利用一片式人工晶状体进行悬吊容易造成众多并发症,例如虹膜刮擦引起色素播散、感染性眼内炎、角膜水肿、晶状体偏位或倾斜等情况,需再次手术的风险高[14]。《中国人工晶状体分类专家共识(2021年)》建议,人工晶状体悬吊应使用专门为睫状沟设计的一片式聚甲基丙烯酸甲酯人工晶状体或硬细襻三片式人工晶状体,并且人工晶状体边缘呈圆形且光学区直径6 mm以上,总直径达13.5 mm以上[15]。对于度数的预估和测量,由于人工晶状体悬吊时位置较植入囊袋的位置靠前,因此容易产生近视偏差,郑丹莹教授团队等在一项回顾性研究中,观察不同人工晶状体计算公式对进行人工晶状体悬吊患者的人工晶状体预测精度,结果显示通过Emmetropia Verifying Optical(EVO)和SRK/T公式进行计算患者屈光度精度最高[16]。本例患者采用Barrett Universal公式基于角膜曲率及眼轴计算出人工晶状体度数,右眼+19.5 D(预留-0.61 D),左眼+20.50 D(预留-0.40 D),术后患者获得较为满意的远视力。
    本例患者另一个特殊点在于右眼晶状体脱位,左眼人工晶状体脱位。尽管患者有明确的外伤病史,但不能忽视其全身情况。高同型半胱氨酸血症(hyperhomocysteinemia,HHcy)是指血浆同型半胱氨酸超过10μmol/L[17]。研究表明,HHcy是多种疾病的触发因素,如动脉粥样硬化、充血性心力衰竭、年龄相关性黄斑变性、晶状体脱位、阿尔茨海默病和听力损失等[18-20]。晶状体脱位是HHcy引起的常见眼部病变之一,Couser等[21]报道了一例双眼晶状体脱位的年轻女性,在双眼症状出现之前曾有轻度的外伤病史,但在进一步检查发现血浆同型半胱氨酸升高,基因检测发现其体内胱硫醚β-合成酶的缺乏是血清同型半胱氨酸升高的原因,考虑其晶状体脱位与HHcy相关,而并非与其眼部轻度外伤史有关。悬韧带主要由弹性微球形成,原纤维蛋白- 1是弹性微球的主要成分,其具有极高的半胱氨酸含量,其中大部分以游离反应性巯基形式出现,也存在于马方综合征相关的组织中,所有这些结构在马方综合征和高半胱氨酸血中都受到损害[22]。原纤维蛋白- 1是同型半胱氨酸化的重要靶点,血浆中的同型半胱氨酸升高,会导致晶状体悬韧带的松弛、断裂[23]。悬韧带的作用是起到维持晶状体保持正常位置的功能,因此HHcy可能导致典型的晶状体不完全脱位或完全脱位。本例患者虽有明确外伤病史,但是在外伤以前可能已经由于持续HHcy导致悬韧带的损伤。值得注意的是,对于HHcy伴有晶状体不全脱位的患者,即使囊袋完整性保存良好,忽视HHcy对悬韧带的进行性损害,也可能导致远期晶状体全脱位的发生。

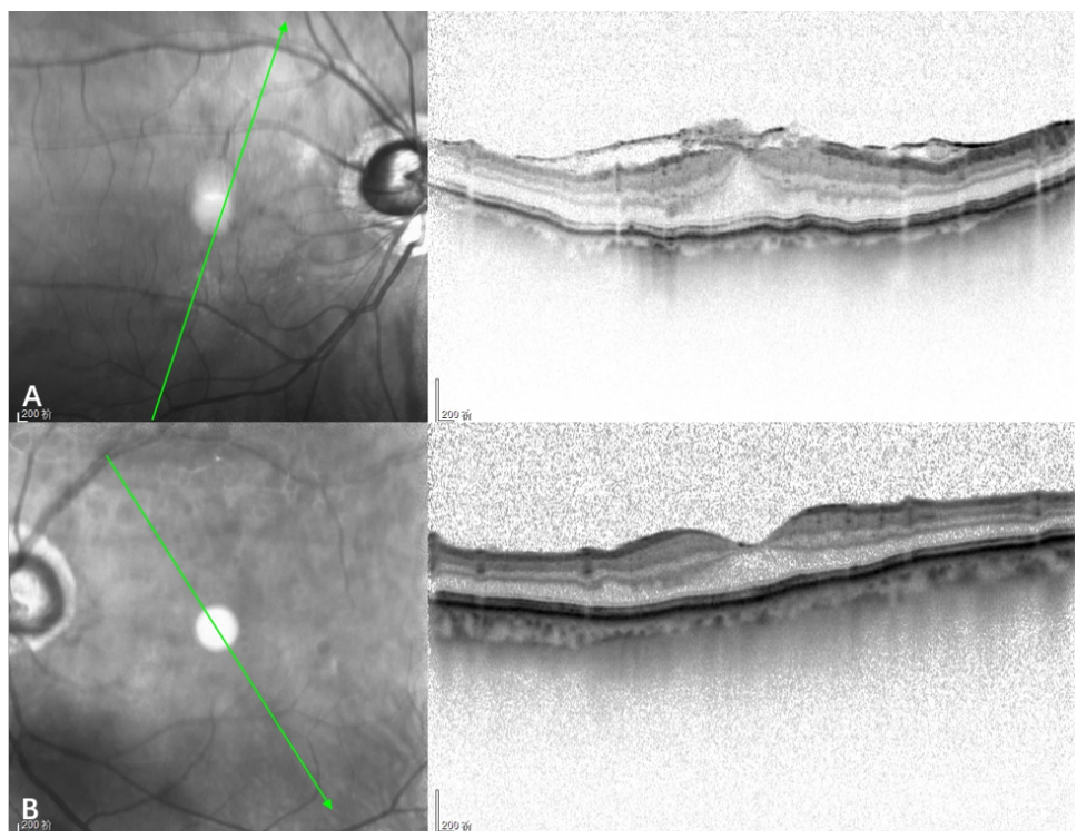
20230224163614_3276.png
图3 双眼术前 OCT
Figure 3 Preoperative OCT of the both eyes
(A) 右眼结果示黄斑前膜形成;(B) 左眼结果示黄斑结构大致正常。
(A) Epiretinal membrane formation in the right eye; (B) Results of the left eye showed roughly normal macular structure.

20230224163704_9457.png
图 4 双眼术中手术录像截图
Figure 4 Screenshots of surgical video of both eyes
(A) 右眼术中,利用四氯化碳将晶状体浮起;(B) 左眼术中,利用灌注将人工晶状体固定于前房内。
(A) In the right eye, carbon tetrachloride was used to float the lens; (B) In the left eye, the IOL was fixed in the anterior chamber by perfusion.
表 2 出院眼科专科检查结果
Table 2 Ophthalmic examinations at discharge
20230224163945_5579.png

20230224164027_3679.png
图 5 双眼术后眼前段照相
Figure 5 Anterior segment photography of both eyes at postoperation
(A) 右眼散瞳下可见人工晶状体位正;(B) 左眼散瞳下可见人工晶状体位正。
(A) The IOL position was normal in the right eye under mydriasis; (B) The IOL position was normal in the left eye under mydriasis.

开放获取声明

    本文适用于知识共享许可协议 (Creative Commons),允许第三方用户按照署名(BY)-非商业性使用(NC)-禁止演绎(ND)(CCBY-NC-ND)的方式共享,即允许第三方对本刊发表的文章进行复制、发行、展览、表演、放映、广播或通过信息网络向公众传播,但在这些过程中必须保留作者署名、仅限于非商业性目的、不得进行演绎创作。详情请访问:https://creativecommons.org/licenses/by-nc-nd/4.0/

基金

1. 广东省基础与应用基础研究基金委员会 (2021A1515010113) 。
This work was supported by Guangdong Basic and Applied Basic Research Foundation (2021A1515010113).

参考文献

1. Krumdieck CL, Prince CW. Mechanisms of homocysteine toxicity on connective tissues: implications for the morbidity of aging[ J]. J Nutr, 2000, 130(2S Suppl): 365S-368S.
2. Dietz HC, Cutting GR, Pyeritz RE, et al. Marfan syndrome caused by a recurrent de novo missense mutation in the fibrillin gene[ J]. Nature, 1991, 352(6333): 337-339.
3. Couser NL, McClure J, Evans MW, et al. Homocysteinemia due to MTHFR deficiency in a young adult presenting with bilateral lens subluxations[ J]. Ophthalmic Genet, 2017, 38(1): 91-94.
4. Ramakrishnan S, Sulochana KN, Lakshmi S, et al. Biochemistry of homocysteine in health and diseases[ J]. Indian J Biochem Biophys, 2006, 43(5): 275-283.
5. Pinna A, Zaccheddu F, Boscia F, et al. Homocysteine and risk of agerelated macular degeneration: a systematic review and meta-analysis[ J]. Acta Ophthalmol, 2018, 96(3): e269-e276.
6. Kim J, Kim H, Roh H, et al. Causes of hyperhomocysteinemia and its pathological significance[ J]. Arch Pharm Res, 2018,41(4): 372-383.
7. 中国营养学会骨健康与营养专业委员会, 中华医学会肠外肠内营养学分会, 中国老年医学学会北方慢性病防治分会. 高同型半胱氨酸血症诊疗专家共识[ J]. 肿瘤代谢与营养电子杂志, 2020, 7(3): 283-288.
The Bone Health and Nutrition Professional Commiee of the Chinese Nutrition Society, the Parenteral and Enteral Nutrition Branch of the Chinese Medical Association, and the North Chronic Disease Prevention Branch of the Chinese Geriatrics Society. Expert consensus on hyperhomocysteinemia[ J]. Electronic J Meta Nutrition Cancer, 2020, 7(3): 283-288.
8. Lian Z, Cao Q, Qi H, et al. Accuracy of intraocular lens power formulas for eyes with scleral-sutured intraocular lenses in congenital ectopia lentis[ J]. J Cataract Refract Surg, 2022, 48(4): 469-474.
9. 中华医学会眼科学分会白内障及人工晶状体学组. 中国人工晶状体分类专家共识(2021年) [ J]. 中华眼科杂志, 2021(7): 495-501.
Chinese Cataract Society. Chinese expert consensus on classification of intraocular lenses (2021)[ J]. Chin J Ophthalmol,2021,57(7):495-501.
10. Chang DF, Masket S, Miller KM, et al. Complications of sulcus placement of single-piece acrylic intraocular lenses recommendations for backup IOL implantation following posterior capsule rupture[ J]. J Cataract Refract Surg, 2009, 35(8): 1445-1458.
11. Shin YI, Park UC. Surgical outcome of refixation versus exchange of dislocated intraocular lens: a retrospective cohort study[ J]. J Clin Med, 2020, 9(12): 3868.
12. 葛坚, 刘奕志. 眼科手术学(第3版)[M]. 北京: 人民卫生出版社, 2015.
Ge J, Liu YZ. Ophthalmic Surgery. Beijing:People's Medical Publishing House, 2015.
13. 王珏雪, 万修华. 晶状体脱位的手术治疗[ J]. 国际眼科纵览, 2021, 45(6):523-529.
Wang JX, Wan XH. Surgical treatment of lens dislocation. Int Rev Ophthalmol, 2021, 45(6): 523-529.
14. Hoffman RS, Snyder ME, Devgan U, et al. Management of the subluxated crystalline lens[ J]. J Cataract Refract Surg, 2013, 39(12): 1904-1915.
15. Celik E, Koklu B, Dogan E, et al. Indications and clinical outcomes of capsular tension ring implantation in phacoemulsification surgery at a tertiary teaching hospital: a review of 4316 cataract surgeries[ J]. J Fran?ais D'ophtalmologie, 2015, 38(10): 955-959.
16. 刘玉华, 刘奕志, 吴明星. 囊袋张力环在晶状体半脱位超声乳化白内障吸除术中的应用[ J]. 中华眼科杂志, 2002, 38(5): 262-264.
Liu YH, Liu YZ, Wu MX. Clinical use of capsular tension ring during phacoemulsification in subluxated lens[ J]. Chin J Ophthalmol, 2002, 38(5): 262-264.
17. Van Effenterre G, Mer YL, Lacotte JL, et al. Posterior luxation of lens or implant: surgical treatment using a perfluorocarbon solution. Technique and results of 13 cases[ J]. J Fr Ophtalmol, 1992, 15(5): 337-342.
18. Oh SY, Lee SJ, Park JM. Comparision of surgical outcomes of intraocular lens refixation and intraocular lens exchange with perfluorocarbon liquid and fibrin glue-assisted sutureless scleral fixation[ J]. Eye (Lond), 2015, 29(6): 757-763.
19. Durr GM, Ahmed IIK. Intraocular lens complications decentration, uveitis–glaucoma–hyphema syndrome, opacification, and refractive surprises[ J]. Ophthalmology, 2021, 128(11): e186-e194.
20. Singh H, Kwan SL, Tam D, et al. Fracture and dislocation of a glass intraocular lens optic as a complication ofneodymium: YAG laser posterior capsulotomy: case report and literature review[ J]. J Cataract Refract Surg, 2015, 41(10): 2323-2328.
21. Fiorentzis M, Viestenz A, Heichel J, et al. Methods of fixation of intraocular lenses according to the anatomical structures in trauma eyes[ J]. Clin Anat, 2018, 31(1): 6-15
22. Milewicz DM, Braverman AC, De Backer J, et al. Marfan syndrome[ J]. Nat Rev Dis Primers, 2021, 7: 64.
23. 王宁利 黎晓新. 眼科学[M]. 北京:人民卫生出版社: 2016.
Wang NL, Li XX, Ophthalmology[M]. Beijing: People's Medical Publishing House, 2016.

相关文章