返回

视盘周围高反射卵圆形团块样结构的研究进展

阅读量:14987
DOI:10.12419/j.issn.1000-4432.2023.03.10
发布日期:2023-03-24
作者:
刘佩 ,吴松笛
展开更多

关键词

视盘周围高反射卵圆形团块样结构
视盘玻璃疣
光学相干断层扫描
神经眼科
综述

摘要

随着光学相干断层扫描(optical coherence tomography,OCT)的快速发展和广泛应用,视盘周围高反射卵圆形团块样结构(peripapillary hyper-reflective ovoid mass-like structure,PHOMS)已成为神经眼科临床实践中OCT检查的常见征象之一。该结构是生理性改变还是病理性改变目前尚无定论,推测可能与视乳头轴浆瘀滞有关。该文针对PHOMS的形态特征做一综述,总结各种疾病相关的PHOMS,并提出一些针对PHOMS的疑点及研究方向,旨在为临床医生及早辨别PHOMS、早期治疗眼底疾病提供依据。

全文

近年来,随着频谱光学相干断层扫描(optical coherence tomography,OCT),特别是增强深部成像OCT(enhanced-depth imaging OCT,EDI-OCT)的快速发展和广泛应用,视盘周围区域和筛板前视盘结构的成像更为清晰[1-2]。视盘周围高反射卵圆形团块样结构(peripapillary hyper-reflective ovoid mass-like structure,PHOMS)是在此基础上,新近神经眼科临床实践中OCT检查的现象之一[3-5]
本文针对EDI-OCT显示的PHOMS形态特征作以综述,概述PHOMS谱系的特征,讨论PHOMS的组织病理学特征,提出一些针对PHOMS的疑点及未来可能的研究方向。

1 PHOMS的定义

PHOMS的每一个字母都表明了该结构的本质特征[4]。其位置是视乳头周围Bruch膜开口(Bruch membrane opening,BMO)上方的部分圆环体结构。眼底镜下可见视盘鼻侧苍白的“C”形视乳头周围“晕”,使视盘边缘模糊不清。OCT二维横截面图像(B-scan)扫描光束散射下呈弥漫性、高反射性的卵圆形结构,提示该结构具有不均质的光学密度的特征。从三维构象上看,PHOMS类似一个立体圆环体的一部分,或者像轮胎内胎的一部分。PHOMS在OCT断面上为一团块样结构,在视盘周围具有占位效应,往往使其表面被覆的视网膜组织向上或向外各方向偏移,使得被覆膜形成斜坡。

2 诊断标准及OCT特征

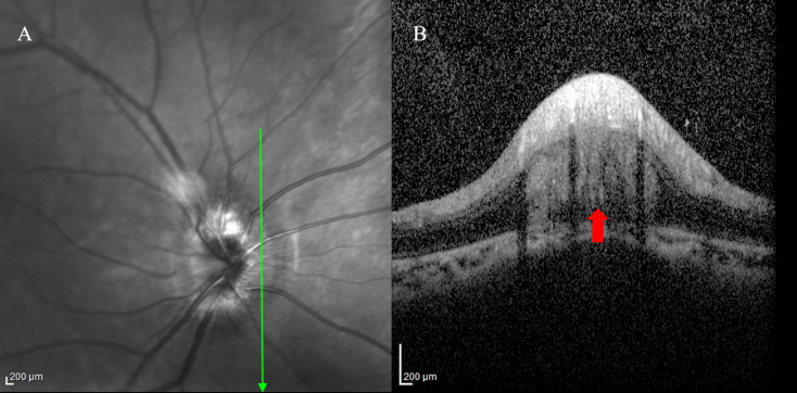
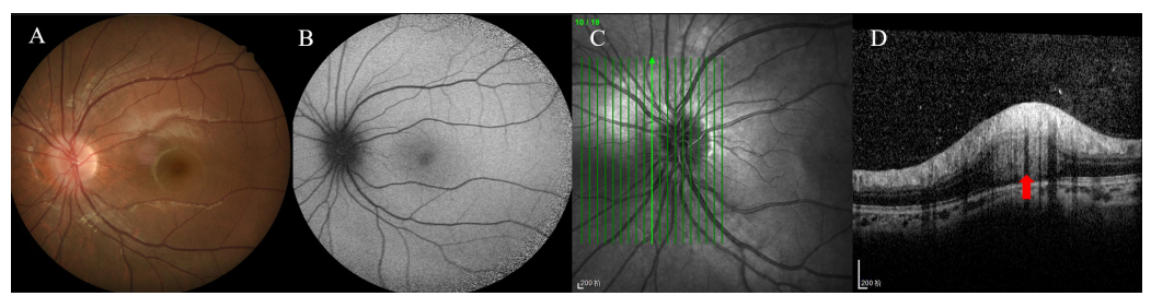
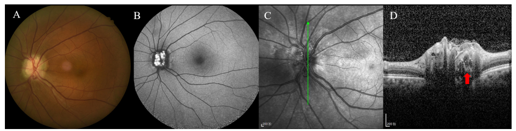
2020年视盘玻璃疣研究国际协作组(Optic Disc Drusen Studies Consortium),通过对患者OCT扫描检出的PHOMS进行经验性判断和分析,最终形成了关于PHOMS的定义及OCT特征的共识[3]。共识采用了Delphi的技术方法,其一致性分析Kappa值高达0.701,较2018年该组织提出的PHOMS定义及OCT特征,其一致性分析Kappa值明显提高[5]。PHOMS的位置:在OCT B-scan上,位于Bruch膜上方,多数在视盘鼻侧周围。PHOMS在OCT上的信号表现:视盘周围的连续扫描可见高反射性卵圆形团块样结构(图1);以视盘为中心的单线扫描(无论水平或垂直扫描)模式及视盘星形扫描模式不如鼻侧容积扫描对PHOMS检出率高(图2)。PHOMS对临近视网膜的占位效应:将至少2层被覆视网膜向上推挤,形成斜坡。被覆膜偏移的程度取决于扫描切线和视盘中心的距离。这一结构在眼球超声上表现为眼球后壁视乳头(视盘前)隆起结构,无高回声信号,和视网膜纤维层、节细胞层的反射信号相似(图3)。
20230328095803_0427.png

图 1 A 一例 8 岁男性假性视乳头水肿患者的右眼视盘 OCT 扫描 ( 图 A,绿色箭头 )。可见视盘周围高反射性卵圆形团块样结构 ( 图 B,红色箭头 ),其上方被覆视网膜向上、外方偏移。行视盘 OCT 检查 ( 范围 15 ° ×15 ° )ART(7),选取视盘区单线扫描模式 (6 mm) 对视盘鼻侧扫描。
Figure 1 A The OCT scanning (figure A,green arrow) revealed PHOMS (figure B,red arrow) in the right optic disc of an 8-year-old boy with pseudopapilledema. The overlying retinal layers were deflected anteriorly and radially outward. The single line scanning mode of optic disc (range 15° ×15° , ART 7, 6mm) was selected for the scanning of nasal optic disc.

20230328100054_0639.png

图 2 一例 8 岁男性假性视乳头水肿患者的右眼视盘 OCT 扫描。
Figure 2 The OCT scanning revealed PHOMS in the right optic disc of an 8-year-old boy with pseudopapilledema.
PHOMS 三维重建 (3D View) 立体视 ( 图 A) 和断面观 ( 图 B)。行视盘 OCT 检查 ( 范围 15 ° ×15 ° ),选取加密精细扫描模式 (6 mm×6 mm, 间隔 11 μm),采用 Spectralis OCT 自带软件对加密精细扫描模式结果进行三维重建。
The three-dimensional reconstruction stereogram (figure A) and cross-section view (figure B) of PHOMS. The precision scan mode (range 15 ° ×15 ° ,6mm×6mm,interval 11μm) was selected, and PHOMS was reconstructed by Spectralis OCT software.

20230328100244_4106.png

图 3 一例 8 岁男性假性视乳头水肿患者的右眼视盘 OCT 扫描。
Figure 3 The OCT scanning revealed PHOMS in the right optic disc of an 8-year-old boy with pseudopapilledema.
(A-H) 通过 OCT B-scan 扫描成像技术对视盘周围连续扫描,可见 PHOMS( 红色箭头 )。行视盘 OCT 检查 ( 范围15° ×15° ),选取加密精细扫描模式 (6mm×6mm, 间隔 11μm),对兴趣区进行选择扫描。
Continuous scanning of OCT B-scan in the optic disc showed PHOMS (A-H,red arrow). OCT scanning of optic disc(range 15° ×15° )was performed with the precision scan mode(6mm×6mm,interval 11μm)for scanning of the region of interest.

3 PHOMS相关疾病

PHOMS首次在视盘水肿及儿童倾斜视盘中被发现[1,6]。之后相继在特发性颅高压[7-8]、 视盘玻璃疣(optic disc drusen,ODD)[3,7-10]、非动脉炎性前部缺血性视神经病变(nonarteritic anterior ischemic optic neuropathy,NAION)[7,11-13]、视网膜血管阻塞[7,11]及脱髓鞘性视神经炎[7-8,14]等多种疾病中检出合并PHOMS。PHOMS相关疾病的研究显示,62%的特发性颅内压升高合并PHOMS,47%的ODD合并PHOMS,44%的不规则视盘合并PHOMS,19%的特发性视神经炎合并PHOMS,12%的视神经萎缩合并PHOMS,以及18%的多发性硬化患眼合并PHOMS[8]。依据疾病的不同性质,笔者将从视盘发育异常相关的PHOMS以及疾病相关的PHOMS两方面进行综述。

3.1 视盘发育异常相关PHOMS

3.1.1 视盘倾斜相关PHOMS
视盘倾斜(Tilted disc,TD)是一种先天性视盘发育异常,发生在1%~2%的正常人群中[15]。新近研究显示,该种视盘发育异常可合并PHOMS。Pichi等[6]对20例诊断为倾斜视盘综合征的儿童患者的38眼进行检查,发现15眼的SDI-OCT检查结果中存在Bruch膜和脉络膜上缘视盘鼻缘的突出结构,即PHOMS。Lyu等[16]通过比较112例儿童患者的EDI-OCT检查结果数据,发现近视和视盘倾斜的程度是PHOMS的危险因素,存在PHOMS的66例儿童患者的132眼的球镜度数和视盘倾斜度呈负相关,并推测视盘倾斜是近视和PHOMS发生的中介者。有两个可能导致倾斜视盘患者鼻侧筛板前视神经纤维束受到挤压的推测:一是Bruch膜沿其上部突向视神经,使得视神经纤维在进入巩膜管时骤然弯曲挤压[6];二是Bruch膜开口处筛板向鼻侧牵拉,以及巩膜和筛板被缓慢牵拉,可能会引起鼻侧视盘的视神经纤维在穿过筛板孔时被局部压迫[6,16-17]。随后出现一定程度的慢性轴浆淤滞,引起鼻侧假性乳头水肿和视盘肿胀;OCT断面扫描光晕可以发现与异常视盘相关的PHOMS[6,16]
3.1.2 ODD相关的PHOMS
视盘玻璃疣是造成视神经轴突膨胀隆起的另一原因。一项回顾性研究结果显示1713眼中有31眼存在ODD,5例存在局部盘周视神经轴突膨出(即PHOMS)[18]。Traber等[9]通过总结38例诊断为视盘玻璃疣患者69只眼的EDI-OCT结果,发现了三种形态的视盘异常,分别为PHOMS、颗粒状视盘玻璃疣和ODD,并发现33%的被检眼存在PHOMS。他认为三种OCT形态是视盘异常的一种病理性级联反应过程,即早期视神经轴浆淤滞形成PHOMS;之后钙化的线粒体被释放至细胞外空间,在OCT上表现为颗粒状视盘玻璃疣;后期线粒体内核囊性液化,钙盐沉积在其表面,形成ODD。Lee等[19]支持上述假说,并报道了一例存在PHOMS的患者,OCT检查显示PHOMS出现在ODD的周围,该患者的眼底荧光造影是阳性的,因此认为PHOMS可转化为ODD。另外,也有学者认为ODD继发了PHOMS的形成。当ODD大而多时,可继发轴浆淤滞,造成视神经纤维在紧邻BMO之上的部位向外迂曲形成一个“S”形的膨胀突出,其为组织病理学上ODD相关的PHOMS[18]

3.2 疾病相关的PHOMS

3.2.1 特发性颅高压相关的PHOMS
    一项横断面研究纳入32例诊断为特发性颅高压的患者,对其进行EDI-OCT检查,结果显示26例(81.3%)的患者存在PHOMS,提示对于特发性颅高压相关的视盘玻璃疣、筛板前高反射线,特发性颅高压相关的PHOMS的发病率最高。该研究指出,颅高压导致的视神经轴突挤压、轴浆淤滞是PHOMS的可能原因[20]。组织学研究发现,视乳头水肿时筛板前的视神经轴突(尤其时视神经的盘周部分)呈现出肿胀、空泡样改变[20]。视神经纤维在BMO上缘向周边膨胀隆起、折叠成“S”形,并且将视盘周围的视网膜层向外、上方推挤,而视网膜色素上皮层和Bruch膜未见移动。这一疝出结构的位置及形态在组织学形态上和OCT上PHOMS的位置和形态完全一致[21]
3.2.2 其他疾病相关的PHOMS
一项横断面研究中,9例NAION患者中5例存在PHOMS,25例视网膜中央静脉阻塞和14例视网膜分支静脉阻塞患者中各3例存在PHOMS[11]。另一项横断面研究显示,65例中年NAION患者的EDI-OCT结果中,28%的受检眼存在PHOMS[12]。上述研究均认为PHOMS可能是NAION和视网膜静脉血管阻塞发病的危险因素。
一项前瞻性研究在212例多发性硬化患者的418患眼中,发现10%存在视神经炎相关的PHOMS,而健康对照组中59例的117眼均未发现PHOMS;并指出多发性硬化相关的PHOMS可能与间断颅内压升高或脑-眼之间通过水通道的淋巴系统功能障碍有关[8]。一项横断面研究按多发性硬化的病程进行分类,纳入66例复发缓解型多发性硬化和65例继发进展型多发性硬化,结果显示18.3%的早期复发缓解型多发性硬化患者存在PHOMS,研究者并且发现PHOMS与疾病病程和残疾进展有关,研究结果提示PHOMS是在视神经变性过程中逐渐形成[14]
一项回顾性研究对26例患者37眼进行OCT扫描,结果显示PHOMS存在于白点综合征(2/37, 5.4%)和黄斑新生血管形成(1/37,2.7%)的患眼中,但其发病机制尚不清楚[22]。Zhang等[23]报道了一例青年女性患者因双眼视力下降就诊,该患者平素有高度近视,眼底照相及OCT检查发现双眼存在PHOMS,他认为PHOMS可能和高度近视有关,指出后期需要密切关注患者的近视下降速度,并应及时给予可能的干预措施。

3.3 PHOMS的病理组织学

以上合并PHOMS的疾病存在的共性是视神经轴突向视盘周围视网膜侧向膨出,视乳头轴浆淤滞[18,21,24]。在组织学上该结构呈现出肿胀、空泡样,在Bruch膜之间以固定的方式突出,使得视网膜内层呈“S”形。“S”形结构的底部褶皱形成卵圆形块状结构,使被覆视网膜离心样移位。电镜结果显示视神经轴突内存在巨大的变性退化的线粒体,小血管扩张、毛细血管嵌入隆起的结构内[21,25]。与其他疾病相关的PHOMS不同,真性视乳头水肿因存在颅内压升高,视神经周围的血管可渗出间质液体,进一步挤压视神经纤维进入BMO附近的乳头周围间隙,造成视神经进一步肿胀屈曲[21]
动物实验通过结扎猴子球后视神经的一部分,筛板前视神经纤维也可以产生一个相同的“S”形肿胀结构。在该实验中,放射性示踪剂研究结果也证实了组织学中视神经轴浆淤滞的特性[26]。类似的现象也可发生在摘除眼球手术中,术中钳夹球后视神经可导致突然的轴浆淤滞和血管阻塞,导致视神经纤维从BMO处离心式疝出,手术医生应当识别这一现象是手术并发症并非病理性改变[4]
在隆起的视神经轴突内部,神经纤维束、血管、毛细血管、组织间液成分产生了多种信号反射和折射,在OCT上呈现出弥漫性高反射性的PHOMS。高分辨率OCT血管成像证实了不同病因的PHOMS内存在致密的小血管网络,提示PHOMS存在自身的脉管系统[27]

4 PHOMS的鉴别诊断

4.1 PHOMS与ODD鉴别

鉴别要点:1)在EDI-OCT上,PHOMS呈弥漫性、高反射性,表明该结构具有不均质的光学密度,但无高反射外缘或低反射的核心;ODD则呈由完整或部分强反射边缘包绕的弱反射核心[3]。二者共存时位置常常相伴相随。2)均作为筛板前结构,但PHOMS位于视盘的更外围。3)浅表型ODD自发荧光检出率较高(图4),PHOMS无自发“异常高荧光”(图5)。4)钙化的ODD,在CT上显示为高密度(图6),在B超上表现为强回声的圆形结构(图6)[3,7,28];而PHOMS在CT上未见异常(图7),在眼球B超上显示为眼球后壁视盘前强回声的圆形构,其间无高回声信号(图7)。5)在非ODD的假性视乳头水肿患者中可见PHOMS的存在。ODD与PHOMS眼底影像鉴亦有差异[29],见(图3)。(6)组织病理学上,PHOMS可能是轴突向视盘周围视网膜的侧向膨出,视乳头轴浆瘀滞所致;而ODD则主要由玻璃样半透明磷酸钙结晶构成[4,18]。少数情况下,在PHOMS结构内部发现少量的高反射性点状结构被认为是微小钙化点,当PHOMS消失时,这些高反射性点也会消失[30-31]
20230327083247_6946.jpg
图 4 一例 9 岁女性浅表 ODD 的眼底影像
Figure 4 Fundus images of ODD of a 9-year-old girl
眼底照相可见突出于视盘表面,呈现结节样隆起 ( 图 A);自发荧光像上 ODD 表现为强自发荧光 ( 图 B);EDI-OCT 上 ( 图
C),ART(16),ODD 呈由完整强反射边缘包绕的弱反射核心 ( 图 D, 箭头 )。
Fundus photography showed that ODD protruding from the surface of optic disc, and presenting as a nodular tuberosity on
the surface of optic disc (figure A). ODD was strong spontaneous fluorescence (figure B), and presented a hypo-reflective core
surrounded by a hyper-reflective shell (figure D) on the EDI-OCT Sscanning (figure C), ART (16).


图 5 一例 13 岁女性 PHOMS 眼底影像
Figure 5 Fundus images of PHOMS
眼底照相可见鼻侧视盘边界不清,视盘呈现出“C”形光晕 ( 图 A);自发荧光像上 ODD 未见自发荧光 ( 图 B);EDI-OCT,通过鼻侧容积扫描检出 PHOMS( 图 C),即视盘周围高反射性卵圆形团块样结构 ( 图 D,红色箭头 )。
Fundus photography showed that the boundary of the nasal optic disc was unclear, and presented as a C-shaped halo (figure A).No spontaneous fluorescence was observed on the spontaneous fluorescence image (figure B). PHOMS (figure D, red arrow) was detected by the nasal volume scan of EDI-OCT (figure C).


图 6 一例 ODD 的 CT 和超声影像
Figure 6 Orbital CT and ultrasound images of ODD.
ODD 患者眼眶 CT 可见点状高密度影 ( 图 A,红色箭头 );眼球超声可见眼球后壁视乳头 ( 视盘 ) 前强回声的圆形结构( 图 B,红色箭头 )。
A hypertensive dot (figure A, red arrow) was identifiable in the orbital CT of a patient with ODD, and a round hyperechoic structure (figure B, red arrow) of optic disc on the posterior wall of the eyeball was observed in the ultrasound.


图 7 一例 PHOMS 的 CT 和超声影像
Figure 7 CT and ultrasound images of PHOMS.
PHOMS 患者眼眶 CT 未见异常 ( 图 A);眼球超声可见眼球后壁视乳头 ( 视盘 ) 前隆起结构 ( 红色箭头 ),其中无高信号回声 ( 图 B)。
Orbital CT of PHOMS of a patient was unremarkable (figure A). The ultrasound showed a tuberosity of optic disc (figure B, red arrow) on the posterior wall of the eyeball, and there was no hyperechoic structure.

4.2 PHOMS与盘周血管鉴别

在EDI-OCT上,二者的表现和位置均不同。虽然冠状扫描切面上血管也是高反射性的卵圆形表现,但是血管的前后缘边界十分清楚,并且在其深部结构上投下长长的阴影。血管位于视盘浅层的内侧面,而非位于视盘周围紧邻Bruch膜之上的位置[3]

5 PHOMS的预后与转归

PHOMS作为一种新确立的OCT上非特异的检查表现,目前对于其是生理性改变还是病理性改变尚无定论,PHOMS本身无需处理,合并相关疾病时主要是治疗原发病。对PHOMS的随访研究也极少。Petzold等通过队列研究对34例多发性硬化患者存在PHOMS的45只眼进行为期26~27个月的随访观察,发现PHOMS的形态变化有三种类型,分别是稳定型、增大型和重新发展型,其中稳定PHOMS占据比例最多[8]

6 展望

由于EDI-OCT技术的广泛应用,高分辨率的光波深入筛板前视盘区域,为神经眼科学者研究PHOMS提供先进的技术支持。对于视盘边界不清的患者,OCT(特别是鼻侧容积扫描)有助于PHOMS的识别和检出。但目前仍存在许多关于PHOMS的疑惑尚未得到解决[5]。推测PHOMS是许多常见神经眼科疾病可能存在轴浆瘀滞的一个标志,但是PHOMS可能是一个附带生理现象,也可能是视力损害的一个独立危险因素。PHOMS的研究还处于早期阶段,对PHOMS更全面的研究还需进一步深入。

开放获取声明

本文适用于知识共享许可协议(Creative Commons),允许第三方用户按照署名(BY)-非商业性使用(NC)-禁止演绎(ND)(CCBY-NC-ND)的方式共享,即允许第三方对本刊发表的文章进行复制、发行、展览、表演、放映、广播或通过信息网络向公众传播,但在这些过程中必须保留作者署名、仅限于非商业性目的、不得进行演绎创作。详情请访问:https://creativecommons.org/licenses/by-nc-nd/4.0/

基金

1. 陕西省科技计划项目 (2022SF-381, 2023-YBSF-048, 2021SF-333)
2. 西安市科技计划项目 [20YXYJ0008(1)]
3. 陕西省科技计划项目 (2022SF-381, 2023-YBSF-048, 2021SF-333);西安市科技计划项目 [20YXYJ0008(1)]。
This work was supported by Science and Technology Program of Shaanxi Province(2021SF-381, 2023-YBSF-048, 2021SF-333); Science and Technology Plan Project of Xi'an City, [20YXYJ0008(1)].

参考文献

1. Torm MEW, Belmouhand M, Munch IC, et al. Migration of an outer retinal element in a healthy child followed by longitudinal multimodal imaging. Am J Ophthalmol Case Rep, 2020, 18: 100637.
2. Saito M, Barbazetto IA, Spaide RF. Intravitreal cellular infiltrate imaged as punctate spots by spectral-domain optical coherence tomography in eyes with posterior segment inflammatory disease. Retina, 2013, 33(3): 559-565.
3. 于洪云, 程沛林. OCT联合FFA对埋藏性视盘玻璃膜疣诊断价 值. 中国实用眼科杂志, 2016, 34(12): 1311-1313.
Yu H, Cheng PL. Diagnosis of buried optic disc drusen by the combination of OCT and FFA. Chin J Pract Ophthalmol, 2016, 34(12): 1311-1313.
4. 谭耀, 高玲. 视盘玻璃疣的研究现状及进展. 中华眼底病杂志, 2020, 36(8): 648-652.
Tan Y, Gao L. Optic disc drusen: a review. Chin J Ocul Fundus Dis, 2020, 36(08): 648-652.
5. Borrelli E, Barboni P, Battista M, et al. Peripapillary hyperreflective ovoid mass-like structures (PHOMS): OCTA may reveal new findings. Eye (Lond), 2021, 35(2): 528-531.
6. Wirtschafter JD. Optic nerve axons and acquired alterations in the appearance of the optic disc. Trans Am Ophthalmol Soc, 1983, 81: 1034-1091.
7. Petzold A. Neurofilament phosphoforms: surrogate markers for axonal injury, degeneration and loss. J Neurol Sci, 2005, 233(1/2): 183-198.
8. Knox DL, Kerrison JB, Green WR. Histopathologic studies of ischemic optic neuropathy. Trans Am Ophthalmol Soc, 2000, 98: 203-222.
9. Zhang W, Bi DG, Peng XY, et al. Peripapillary hyper-reflective ovoid mass-like structure and dome-shaped maculopathy: a case report. Medicine (Baltimore), 2022, 101(3): e28652.
10. Xie X, Liu T, Wang W, et al. Clinical and multi-mode imaging features of eyes with peripapillary hyperreflective ovoid mass-like structures. Front Med (Lausanne), 2022, 9: 796667.
11. Hayreh SS. Pathogenesis of optic disc edema in raised intracranial pressure. Prog Retin Eye Res, 2016, 50: 108-144.
12. Wibroe EA, Malmqvist L, Hamann S. OCT based interpretation of the optic nerve head anatomy and prevalence of optic disc drusen in patients with idiopathic intracranial hypertension (IIH). Life (Basel), 2021, 11(6): 584.
13. Lee KM, Woo SJ, Hwang JM. Peripapillary hyperreflective ovoid masslike structures: is it optic disc drusen or not? J Neuroophthalmol, 2018, 38(4): 567-568.
14. Skougaard M, Heegaard S, Malmqvist L, et al. Prevalence and histopathological signatures of optic disc drusen based on microscopy of 1713 enucleated eyes. Acta Ophthalmol, 2020, 98(2): 195-200.
15. Lee KM, Choung HK, Kim M, et al. Positional change of optic nerve head vasculature during axial elongation as evidence of lamina cribrosa shifting: boramae myopia cohort study report 2. Ophthalmology, 2018, 125(8): 1224-1233.
16. Lyu IJ, Park KA, Oh SY. Association between myopia and peripapillary hyperreflective ovoid mass-like structures in children. Sci Rep, 2020, 10(1): 2238.
17. 范媛媛, 魏文斌. 视盘倾斜及其相关性研究现状. 国际眼科纵览, 2016, 40(2)73-80.
Fan YY, Wei WB. Research progress on morphology and associations of tilted optic disc. Int Rev Ophthalmol, 2016, 40(2): 73-80.
18. Wicklein R , Wauschkuhn J, Giglhuber K , et al. Association of peripapillary hyper-reflective ovoid masslike structures and disease duration in primary progressive multiple sclerosis. Eur J Neurol, 2021, 28(12): 10.1111/ene.15056.
19. Fraser JA, Ruel?kke LL, Malmqvist L, et al. Prevalence of optic disc drusen in young patients with nonarteritic anterior ischemic optic neuropathy: a 10-year retrospective study. J Neuroophthalmol, 2021, 41(2): 200-205.
20. Hamann S, Malmqvist L, Wegener M, et al. Young adults with anterior ischemic optic neuropathy: a multicenter optic disc drusen study. Am J Ophthalmol, 2020, 217: 174-181.
21. Dai A, Malmqvist L, Rothenbuehler SP, et al. OCT based interpretation of the optic nerve head anatomy in young adults with retinal vascular occlusions and ischemic optic neuropathy. Eur J Ophthalmol, 2021, 31(5): 2563-2570.
22. Teixeira FJ, Marques RE, Mano SS, et al. Optic disc drusen in children: morphologic features using EDI-OCT. Eye (Lond), 2020, 34(9): 1577- 1584
23. Traber GL, Weber KP, Sabah M, et al. Enhanced depth imaging optical coherence tomography of optic nerve head drusen: a comparison of cases with and without visual field loss. Ophthalmology, 2017, 124(1): 66-73.
24. Petzold A, Coric D, Balk LJ, et al. Longitudinal development of peripapillary hyper-reflective ovoid masslike structures suggests a novel pathological pathway in multiple sclerosis. Ann Neurol, 2020, 88(2): 309-319.
25. Malmqvist L, Bursztyn L, Costello F, et al. Peripapillary hyperreflective ovoid mass-like structures: is it optic disc drusen or not? J Neuroophthalmol, 2018, 38(4): 568-570.
26. Pichi F, Romano S, Villani E, et al. Spectral-domain optical coherence tomography findings in pediatric tilted disc syndrome. Albrecht Von Graefes Arch Fur Klinische Und Exp Ophthalmol, 2014, 252(10): 1661-1667.
27. Malmqvist L, Bursztyn L, Costello F, et al. The optic disc drusen studies consortium recommendations for diagnosis of optic disc drusen using optical coherence tomography. J Neuroophthalmol, 2018, 38(3): 299- 307.
28. Fraser JA, Sibony PA, Petzold A, et al. Peripapillary hyper-reflective ovoid mass-like structure (PHOMS): an optical coherence tomography marker of axoplasmic stasis in the optic nerve head. J Neuroophthalmol, 2021, 41(4): 431-441.
29. Petzold A, Biousse V, Bursztyn L, et al. Multirater validation of peripapillary hyperreflective ovoid mass-like structures (PHOMS). Neuroophthalmology, 2020, 44(6): 413-414.
30. Kulkarni KM, Pasol J, Rosa PR, et al. Differentiating mild papilledema and buried optic nerve head drusen using spectral domain optical coherence tomography. Ophthalmology, 2014, 121(4): 959-963.
31. Lee KM, Woo SJ, Hwang JM. Differentiation of optic nerve head drusen and optic disc edema with spectral-domain optical coherence tomography. Ophthalmology, 2011, 118(5):971-977.

相关文章