返回

儿童特发性眼眶炎性假瘤1例

阅读量:6788
DOI:10.3978/j.issn.1000-4432.2021.01.14
发布日期:2023-05-09
作者:
陈芳圆 ,唐浚杰 ,杨媛婷 ,黄紫晴 ,周清
展开更多

关键词

儿童
眼眶疾病
特发性眼眶炎性假瘤

摘要

患儿因“左眼红肿12 d”就诊。左上睑红肿(++++),眼眶鼻侧可触及约黄豆大小硬结,界不清,质地中等,压痛(?),伴上睑下垂,遮盖角膜下缘。双眼眼位正,左眼眼球外转轻度受限。眼眶及视神经MRI显示左眼上睑软组织肿胀,考虑炎性改变。入院诊断为左眼特发性眼眶炎性假瘤(Idiopathic orbital inflammatory pseudotumor,IOIP)。予以激素治疗后症状好转且随访期间无复发。本例患儿为拒绝外院活检而就诊于暨南大学附属第一医院的小儿IOIP病例,提示早期规范治疗是降低此病复发率的关键,尤其是儿童患者。

全文

特发性眼眶炎性假瘤(idiopathic orbital inflammatory pseudotumor,IOIP)是仅次于甲状腺相关性眼病和眼眶血管瘤之后的第3大常见眼眶疾病。此例以无痛性眼部肿物首诊的炎性假瘤,且患儿年龄小,国内尚少见类似报道。

1 临床资料

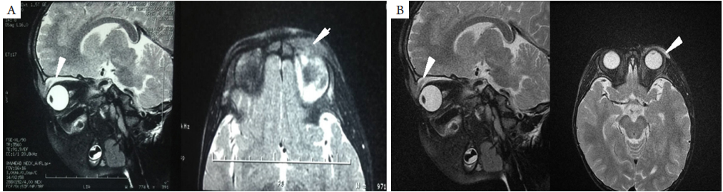
患儿,男, 3岁,因“左眼红肿12 d ”就诊。患儿就诊前1个月有感冒病史。2019年4月1 8日,患者出现左眼眼睑红肿,当地医院诊断“左眼睑炎”,予以头孢咪唑2 g每天1次、地塞米松磷酸钠5 mg每天2次静脉滴注2 d后,症状好转后反复。2019年4月29日再次于外院眼科门诊就诊,眼眶及视神经MRI显示:1)左眼上睑软组织肿胀,考虑炎性改变;2 )左眼上直肌轻度增粗;左侧泪腺较对侧增大(图1A)。建议活检明确诊断。患者家属拒绝活检。同日就诊暨南大学附属第一医院眼科门诊,眼部检查示:左眼眼睑红肿(++++),眼眶鼻侧可触及约黄豆大小硬结,界不清,质地中等,压痛(?),伴上睑下垂,遮盖角膜下缘(图2)。双眼眼位正,左眼眼球外转轻度受限。辅助检查:降钙素原>0.1 ng/mL,循环免疫复合物>110,CRP+风湿4项+免疫球蛋白+补体7项未见异常。结合患者眼部症状及影像学资料,诊断为“左眼特发性眼眶炎性假瘤”。血液内科会诊排除血液系统恶性疾病后,予以全身静滴地塞米松磷酸钠2.5 mg[0.25 mg/(kg·qd)],局部抗炎、护胃等对症治疗。48 h后患者左眼下睑可自行抬高距离角膜下缘约2 mm。治疗6 d后复查,降钙素原<0.1 ng/mL,血常规:WBC<10×1 09/ L,生化八项未见异常。眼部B超(2019年5月5日;图3 ):左眼内上方见1.7 cm×1.9 cm占位病变,边界清,形态欠规则,内回声欠均匀,周边可见少许血流信号;右眼未见明显异常。眼眶及视神经MRI(2019年5月9日;图1B):左眼上直肌、左上眼睑及邻近软组织肿胀较入院时明显好转,呈长T 1、长T 2信号。住院治疗9 d后,患者左眼眼睑炎性症状好转,呈中度上睑下垂,眼眶鼻侧硬结较入院减小,双眼眼位正,左眼眼球运动正常,出院后继续口服泼尼松15 mg[1.5 mg/(kg·qd)],维持1周后每周逐渐减1.25 mg直至停药。患儿出院1周后复诊,查体左眼眼眶鼻侧未触及明显硬结,上睑下垂症状消失,双侧睑裂对称。
20230509104020_8287.png

图 1 眼眶 MRI 图像
Figure 1 Orbital magnetic resonance imaging
(A) 治疗前图像示左眼上睑软组织肿胀 ( 箭头所指 ),T2 呈高信号,左眼上直肌轻度增粗 ( 箭头所指 ),左侧泪腺较对侧增大;(B) 治疗后图像示左眼上直肌、左上眼睑及邻近软组织肿胀较入院时明显减轻 ( 箭头所指 ),呈长T1 长T2 信号。
(A) Pretreatment images showed soft tissue swelling of the upper eyelid of the left eye (indicated by arrow) on T2, mild thickening of the superior rectus muscle of the left eye (indicated by arrow), and enlargement of the left lacrimal gland; (B) Post-treatment images showed that the swelling of the left eye rectus muscle, left upper eyelid and soft tissues was a brisk clinical improvement compared with that at admission (indicated by arrows), showing long T1 and long T2 signals.

20230509104244_5009.png

图2 双眼眼外观图像:住院治疗期间患者左眼上睑下垂逐渐好转(按照住院时间依次排列)
Figure 2 Photograph of both eyes: the symptom of ptosis in left eye had gradual improved during hospitalization (arranged by hospitalization time)

20230509104356_9229.png

图 3 治疗后眼部彩色 B 超图像
Figure 3 Color B-ultrasound image of the eye after treatment

2 讨论

IOIP最早由Birch-Hirschfeld于1905年提出,是一种仅次于甲状腺相关性眼病和眼眶血管瘤之后的第3大常见眼眶疾病,约占所有眼眶占位病变的10%。
IOIP的发病机制及病因尚不明确。目前有感染机制和自身免疫机制两大学说。眼眶炎症与感染性疾病存在关联,如上呼吸道感染和流感样病毒疾病,但机制尚不清楚[1]。本文患儿在就诊前1个月有上呼吸道感染病史。
IOIP多见青壮年和老年人,单眼发病,发病特点无明显性别差异和种族倾向。但在儿童期发病少见[2]。目前仅6%~17%的眶炎性假瘤发生在儿童患者中[3],其中1/3为双侧眼眶受累[4]。目前儿童IOIP发病年龄最小为3岁[5],本文患儿年龄也为3岁。
IOIP可发生于眼眶的任何部位,其临床表现多种多样[6]。临床上常根据累及眼眶的不同解剖部位和发病时程将其分为:1 )弥漫性,包括急性型和慢性型,如急性弥漫型眼眶炎性假瘤;2 )局限性,包括肌炎型、泪腺炎型、巩膜周围炎型、视神经周围炎型等[7]。儿童人群中该病多表现为突然或缓慢进行性眼眶及眶周发作性疼痛、伴眼睑水肿、眼球突出和结膜下出血[1]。常见症状表现为视力减退、畏光、复视、上睑下垂和眼球运动受限,伴头痛、呕吐和体重减轻等全身症状。在儿童患者中,葡萄膜炎和嗜酸性粒细胞增多的发生率相对较成年人高[1,8-9]
在大多数情况下,MRI在了解眼眶眼眶炎性假瘤病变的大小、部位、边界和邻近结构关系具有特征性影像学表现,结合实验室检查、糖皮质激素诊断性治疗可对该病进行明确的诊断。
IOIP是排除性诊断疾病,临床上需进行全面的鉴别。结合病史、全身激素的诊断性治疗及借助眼眶MRI和B超扫描排除其他病因[10],可做出诊断。对于临床病程不典型、眼眶有明显占位性病变、对激素反应差、病程复发性、临床进展快(如横纹肌肉瘤)者,排除全身病因后可采取组织活检确诊[11-12]。当儿童出现眼眶炎症及肿物时,应与急性眶蜂窝织炎、甲状腺眼病和恶性肿瘤,如横纹肌肉瘤、视网膜母细胞瘤、视神经胶质瘤、淋巴瘤、白血病(绿色瘤)等鉴别[11]。本文患儿激素治疗1周后症状明显改善,药物治疗效果显著,随访至今无复发。
目前IOIP以全身激素治疗为主,有效率达30%~80%[13],慢性病变者对激素敏感性降低。对激素治疗的敏感性有助于该病的诊断。儿童患者激素用量一般为泼尼松1.0~1.5 mg/(kg·d),维持2~3周疗效满意后可每周逐渐减量至停药。在激素治疗过程中,应注意全身性不良反应及眼压变化。对于激素疗效差、存在用药禁忌或接受药物治疗后复发的患者,可予以低剂量(10~30 Gy)眶外放疗或免疫抑制剂治疗[12]
研究[1,14-15]报道:初次药物治疗后,33%~58%的患者会出现复发的IOIP。患病年龄小、双侧病变是疾病复发的危险因素;影像学上出现“T”字征、视盘水肿、对类固醇治疗的初始反应差、初次发作的3个月内出现复发以及糖皮质激素减量过快都可增加复发的风险[16]。因此,在诊疗过程中,医师应特别注意识别IOIP的高危复发危险因素,必要时对患者进行长期的随访。
综上,IOIP是儿童中少见的一种炎症性疾病,常易误诊为眶蜂窝织炎或眶内肿物。该病影响视力且易复发,因此及时的诊断和规范治疗至关重要。

基金

暂无基金信息

参考文献

1. Yuen SJA, Rubin PAD. Idiopathic orbital inflammation - distribution, clinical features, and treatment outcome[ J]. Arch Ophthalmol, 2003, 121(4): 491-499.
2. Yazicioglu T, Kutluturk I. Idiopathic orbital myositis in a 9-year-old girl: a case report[ J]. Iran J Pediatr, 2015, 25(3): e371.
3. Ho VH, Chevez-Barrios P, Jorgensen JL, et al. Receptor expression in orbital inflammatory syndromes and implications for targeted therapy[ J]. Tissue Antigens, 2007, 70(2): 105-109.
4. Mottow LS, Jakobiec FA. Idiopathic inflammatory orbital pseudotumor in childhood. I. Clinical characteristics[ J]. Arch Ophthalmol, 1978, 96(8): 1410-1417.
5. Shehibo A, Admassu F, Bekele T, et al. Bilateral orbital pseudotumor in a 3-year-old child: a case report[ J]. J Trop Pediatr, 2018, 64(3): 241-244.
6. 史季桐, 孙宪丽. 原发眼眶炎性假瘤--诊断与治疗[ J]. 眼科, 2000, 9(5): 314-317.
SHI JT, SUN XL. Primary inflammatory pseudotumor of orbit -- diagnosis and treatment[ J]. Ophthalmology in China, 2000, 9(5): 314-317.
7. 李静. 特发性眼眶炎性假瘤的治疗进展[ J]. 中华实验眼科杂志, 2012, 30(6): 571-576.
LI J. Clinical treatment of idiopathic orbital inflammatory pseudotumor[ J]. Chinese Journal of Experimental Ophthalmology, 2012, 30(6): 571-576.
8. Mottow-Lippa L, Jakobiec FA, Smith M. Idiopathic inflammatory orbital pseudotumor in childhood. II. Results of diagnostic tests and biopsies[ J]. Ophthalmology, 1981, 88(6): 565-574.
9. Berger JW, Rubin PA, Jakobiec FA. Pediatric orbital pseudotumor: case report and review of the literature[ J]. Int Ophthalmol Clin, 1996, 36(1): 161-177.
10. Guerriero S, Di Leo E, Piscitelli D, et al. Orbital pseudotumor in a child: diagnostic implications and treatment strategies[ J]. Clin Exp Med, 2011, 11(1): 61-63.
11. Belanger C, Zhang KS, Reddy AK, et al. Inflammatory disorders of the orbit in childhood: a case series[ J]. Am J Ophthalmol, 2010, 150(4): 460-463.
12. Yesiltas YS, Gunduz AK. Idiopathic orbital inflammation: review of literature and new advances[ J]. Middle East Afr J Ophthalmol, 2018, 25(2): 71-80.
13. Mombaerts I. Efficacy of radiotherapy in the treatment of orbital pseudotumor: in regards to Matthiesen et al. (Int J Radiat Oncol Biol Phys 2011;79:1496-502)[ J]. Int J Radiat Oncol Biol Phys, 2011, 81(3): 901-902.
14. Mombaerts I, Koornneef L. Current status in the treatment of orbital myositis[ J]. Ophthalmology, 1997, 104(3): 402-408.
15. Maurer I, Zierz S. Recurrent orbital myositis: report of a familial incidence[ J]. Arch Neurol, 1999, 56(11): 1407-1409.
16. Braich PS, Kuriakose RK, Khokhar NS, et al. Factors associated with multiple recurrences of nonspecific orbital inflammation aka orbital pseudotumor[ J]. Int Ophthalmol, 2018, 38(4): 1485-1495.

相关文章