返回

眼眶副神经节瘤1例

阅读量:6155
DOI:10.3978/j.issn.1000-4432.2021.07.20
发布日期:2023-06-08
作者:
柳晓辉 ,柴昌 ,李晓华 ,尹瑞杰 ,袁敏 ,李雪
展开更多

关键词

眼眶肿瘤
副神经节瘤
病理组织学

摘要

眼眶部副神经节瘤极为罕见,多属非功能性肿瘤。本病例为1位中年女性,以右眼眼睑抬举无力为主诉就诊,眼眶计算机断层扫描(computed tomography,CT)和磁共振成像(magnetic resonance imaging,MRI)检查发现右眼眼眶内肿物,手术完整切除,结合HE染色和免疫组织化学检查,病理组织学诊断为眼眶副神经节瘤,随访3年,肿瘤无复发。

全文

眶部副神经节瘤(orbital paraganglioma,OP)在临床上极为罕见[1-2],Fisher和Mazzard于1952年报道了第1例OP患者[3],继后多为个案或例数不多的病例报告[4]。该病临床表现多变,可发生在各个年龄段患者,常表现为眼球突出、视力下降、眼外肌运动受限或复视等,眼眶计算机断层扫描(computed tomography,CT)和磁共振成像(magnetic resonance imaging,MRI)在肿瘤的定位和大小判断方面具有重要作用[2,5],但很难单纯依靠影像学表现确诊。本文报告了1例以上睑抬举无力为首发症状的中年女性患者,回顾总结该患者的临床病例特点和影像学资料,并分析其病理组织学和免疫组织化学染色特征,以期加深对该疾病的认识。

1 临床资料

患者,女,53岁,因“右眼眼睑抬举无力2个月,发现右眼眼眶肿物1周”,于2018年2月2 7日收住河南省立眼科医院。就诊前2个月,患者无明显诱因出现右眼眼睑抬举无力,行头颅及眼眶核磁共振检查时发现右眼眼眶内肿物,考虑血管瘤可能,无疼痛、压痛,无眼痛、复视、视物模糊、流泪,无头痛、恶心、呕吐等不适,今来河南省立眼科医院就诊。既往2 5年前曾患甲状腺功能亢进,高血压病史2个月,血压控制良好,其他无异常。眼部检查:视力右眼1.2,左眼1.2;右眼眼睑无充血,无水肿,上睑不全性上睑下垂(图1);眼前节检查和眼底检查均未见明显异常;眼压13.1 mmHg(1 mmHg=0.133 kPa),眶压Tn,眼球运动自如。左眼检查未见明显异常。眼突度右眼18 mm,左眼16 mm,眶间距100 mm。眼眶C T示双侧眼球无突出,眼环对称无增厚,右眼球后方可见类圆形均匀密度影,边界清,大小约1.4 cm×1.5 cm×1.4 cm,邻近视神经、内直肌及上直肌受压,左眼球后及眼球内未见异常密度影及占位病变。提示右眼眶内占位性病变(图2A)。眼眶MRI示右侧眼眶内球后可见一类圆形等T1稍长T2异常信号影,大小约1.4 cm×1.4 cm×1.3 cm,其内信号均匀,边界清晰。病灶与眼球分界清,眼球受压向前稍突出,视神经受压向右侧偏移,右眼上、内直肌亦受压移位。经静脉注入钆喷酸葡胺(gadolinium diethylenetriamine pentaacetic acid,GD-DTPA)后扫描,该病灶呈明显尚均匀强化,左侧眼眶内未见明显异常,考虑右眼眶占位性病变,血管瘤可能(图2B)。临床诊断:右眼眶内肿瘤。
20230608164541_2554.png

图1 患者右眼上睑不全性上睑下垂
Figure 1 Incomplete blepharoptosis of the patient’s right eye

20230608164729_6619.png

图2 眼眶CT和MRI检查结果
Figure 2 Orbital CT and MRI images
(A)眼眶CT示右眼球后方可见类圆形均匀密度影,边界清;(B)眼眶MRI示右侧眼眶内球后可见一类圆形异常信号影,其内信号均匀,边界清晰,内直肌和视神经受压。
(A) Orbital CT shows that the tumor is quasi-circular with homogenous density and clear boundaries; (B) Orbital MRI shows that the tumor is quasi-circular, well-circumscribed and with homogenous intensity. Note the medial rectus and optic nerve is compressed.

入院后完善相关辅助检查,经患者同意后于2018年3月1日在全身麻醉下行右眼眼眶内肿物切除。术中见肿物位于肌锥内,紧邻上直肌、提上睑肌和视神经。病理大体检查:灰白灰红色组织1块,质地较韧,肿物破裂,大小18 mm×17 mm×8 mm,切面灰白色实性。病理检查显微镜下结构:肿瘤细胞呈巢状或围绕血管呈条索状分布,大小一致,圆形或多角形,界限不清,细胞质丰富,嗜伊红性,颗粒感,胞核圆形或卵圆形位于中央,染色质细小,可见核仁结构,间质内含有丰富扩张的毛细血管结构,周围有散在淋巴细胞浸润(图3 )。免疫组织化学检查结果(图4 )示:嗜铬素A(chromogranin A,CgA)(+)、神经元特异性烯醇化酶(neuron specific enolase,NSE)(+)、Ki-67散在(+)、p53少量胞核(+)、CD31、CD34血管壁(+)、波形蛋白血管壁(+)、广谱型细胞角蛋白(cytokeratin CK)(?)、突触素(synaptophysin,Syn)(?)。病理诊断:符合右眼眶副神经节瘤。术后1周出院,眼部检查右眼上睑完全下垂,其他未见明显异常,嘱其定期复诊。1年后复查,右眼上睑下垂症状消失,随访3年,肿瘤无复发。
20230608164901_5060.png

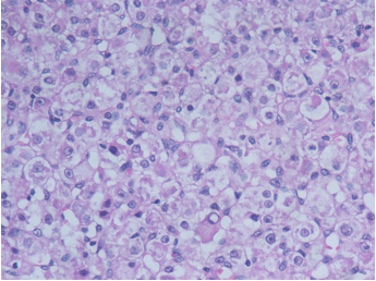
图3 眼眶副神经节瘤HE染色结果(×400)
Figure 3 HE staining of orbital paraganglioma (×400)
肿瘤细胞的细胞质丰富,嗜伊红性,颗粒感,胞核圆形或卵圆形位于中央,染色质细小,可见核仁结构。
The cytoplasm of tumor cell is rich, eosinophilic, and granular, and the nuclei are round or oval in the center and the nucleolus are clear.

20230608164945_5372.png

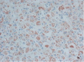
图4 免疫组织化学CgA染色结果(×400)示:肿瘤细胞的细胞质阳性
Figure 4 IHC staining of CgA (×400): the cytoplasm of the tumour cell is positive

2 讨论

副神经节瘤是指体内除肾上腺外散在分布的,与交感或副交感神经有联系的神经上皮样细胞团,起源于原始神经嵴细胞,由具有神经分泌功能的主细胞群构成。腹膜后的副神经节瘤多以功能性为主,头颈部多为非功能性。
眼眶副神经节瘤多位于球后肌锥内、眶尖附近或靠颞侧[2]。临床表现为眶内占位引起的症状,无特异性,难以确诊。本例患者出现上睑下垂,推测原因可能是由于提上睑肌在上直肌上方向前走行受到肿瘤压迫或肿瘤同时压迫动眼神经上支所致。副神经节瘤影像学特点为富血供软组织结节,有完整包膜,CT及MRI增强扫描瘤体强化明显[5-7],但因该肿瘤临床表现多变,单纯根据影像学表现,难以做出正确诊断。本例患者行眼眶MRI检查时增强扫描瘤体强化明显,亦考虑为血管瘤可能。
副神经节瘤的病理组织学虽有特征性器官样构型,但必须借助免疫组织化学染色和/或电镜检查才能确诊[2]。NSE为主细胞标志物,但缺乏特异性,CgA和Syn对副神经节瘤极为敏感,是明确诊断的重要依据。主细胞表达Syn(100%)、S-100(77.8%)、NSE(75%)、CgA(72.7%),少数细胞表达C K及神经纤维细丝蛋白(neurofilament,NF),不表达胶质纤维酸性蛋白、波形蛋白、血清素和嗜铬素[1-2]。需与腺泡状软组织肉瘤、腺泡状横纹肌肉瘤、眶内脑膜瘤(上皮型)等疾病相鉴别。
OP的治疗以手术切除为主[8],可加用或单独选用放射治疗[2]。在WHO 2004分类中,OP属生物学行为不明或交界性肿瘤[1]。预后与其浸润局部组织结构的程度有关,约35.7%的病例有局部复发,但目前尚无转移的报道[2]。极罕见病例可能同时或先后发生双侧或对侧不同部位的副神经节瘤,而并非转移[9]
综上,眼眶副神经节瘤极为罕见,临床表现多样,需结合影像学检查及病理组织学检查尤其是免疫组织化学染色才能做出明确诊断。

基金

暂无基金信息

参考文献

1. Delellis RA, Lloyd RV, Heitz PU, et al. World Health Organization classification of tumors. Pathology and genetics, tumors of endocrine organs[M]. Lyon: IARC Press, 2004: 162-163.
2. Huang N, Rayess HM, Svider PF. et al. Orbital paraganglioma: a systematic review[ J]. J Neurol Surg B Skull Base, 2018, 79(4): 407-412.
3. Fisher ER, Hazard JB. Nonchromaffin paraganglioma of the orbit[ J]. Cancer, 1952, 5(3): 521-524.
4. Salinas-La R osa CM. Orbital paraganglioma and succinate dehydrogenase staining for genetic testing triage and prognosis[ J]. Ocul Oncol Pathol, 2015, 2(1): 36-39.
5. 文阳, 王华, 王伯胤. 肾上腺外副神经节瘤的临床特点与CT诊断 价值[ J]. 中国临床医学影像杂志, 2009, 20(4): 286-289.
WEN Y, WANG H, WANG BY. Clinical features and CT diagnostic value of extradrenal paraganglioma[ J]. Journal of China Clinic Medical Imaging, 2009, 20(4): 286-289.
6. 王关顺, 刘云霞, 廖承德, 等. 副神经节瘤的CT和MRI表现[ J]. 中 国临床医学影像杂志, 2014, 25(8): 542-546.
WANG GS, LIU YX, LIAO CD, et al. CT and MRI findings of paraganglioma[ J]. Journal of China Clinic Medical Imaging, 2014, 25(8): 542-546.
7. Zhu B, Yan J. Orbital paraganglioma[ J]. J Craniofac Surg, 2019, 30(6): e503-e506.
8. Makhdoomi R, Nayil K, Santosh V, et al. Orbital paraganglioma— a case report and review of the literature[ J]. Clin Neuropathol, 2010, 29(2): 100-104.
9. Archer KF, Hurwitz JJ, Balogh JM, et al. Orbital nonchromaffin paraganglioma. A case report and review of the literature[ J]. Ophthalmology, 1989, 96(11): 1659-1666.

相关文章