返回

先天性外眦肿物合并眼睑畸形2例

阅读量:6870
DOI:10.3978/j.issn.1000-4432.2021.12.06
发布日期:2021-02-28
作者:
刘雯 ,樊云葳 ,曹文红 ,王媛 ,吴倩
展开更多

关键词

[关键词] 眼睑肿物
眼睑畸形
迷芽瘤

摘要

临床上儿童外眦部肿物合并眼睑畸形及结膜肿物少见,需在切除眼睑、结膜肿物的同时,灵活处置眼睑整复。本文回顾2例就诊于北京儿童医院的先天性外眦肿物合并眼睑缺损的病例。术后病理示皮赘伴结膜皮样脂肪瘤。患儿眼睑肿物切除彻底,眼睑整复后外观满意。

全文

    本文报告了2例较为少见的儿童外眦部眼睑肿物合并眼睑畸形及结膜肿物。在切除眼睑、结膜肿物的同时,针对眼睑缺损进行了个性化的眼睑整复,术后眼睑肿物切除彻底,外观满意。术后病理为皮赘伴结膜皮样脂肪瘤。皮赘可能是某种综合征的皮肤标记,因此需注意患儿的全身情况。本组病例提示我们在临床中遇到儿童眼睑外眦部皮肤肿物合并结膜肿物时,需考虑皮赘伴发结膜脂肪瘤可能,在手术切除肿物的同时灵活进行眼睑畸形的整复,并与皮样瘤、皮样囊肿等疾病相鉴别。

1 临床资料

    病例1,1岁,右眼外眦类圆形肿物,被覆皮肤,大小约10 mm×10 mm,边界清,上睑颞侧睑缘被肿物挤压局限凹陷上移延长,凹陷区域约5 mm,外眦部睑缘及局限皮肤缺损约1 mm(图1)。B超示(右眼外眦肿物探查)皮下可见中等回声结节,大小约0.9 cm×0.9 cm(深)×0.8 cm,边界清,深处似与脂肪层相连,向皮肤表面突出,内回声均匀,可见多发条索高回声,深方可见少量血流信号。
    病例2,2岁,左眼外眦圆柱形肿物,被覆皮肤,表面有毛发生长,大小约10 mm×5 mm,外眦部约5 mm睑缘缺损(图2)。
    其他外眼眼部检查及全身检查未见明显异常。
    2例患儿均行全麻下眼睑肿物切除及眼睑成形术,术中探查见2例眼睑肿物均与颞侧球结膜粘连并延伸至外眦部眼球表面,基底部蒂较宽,眼球表面结膜肿物为淡黄色,质软,包膜薄,表面有毛发,与球结膜及筋膜相粘连(图3),外眦部部分睑缘缺损(图4)。沿肿物与皮肤延续的基底部切除皮肤肿物,同时切除结膜表面肿物,对睑缘凹陷及缺损部位进行对位修补及眼睑成形(图1、图2)。病理检查示:皮赘伴结膜皮样脂肪瘤,结节样肿物表面被覆鳞状上皮,皮下见皮肤附属器及分化成熟的纤维脂肪血管组织(图5),病例2局灶见钙化(图6)。
    术后随诊患儿眼睑整复后外观满意,随诊1年未见肿物复发,未发生斜视及眼球运动异常。
20221226171552_5468.png
图1 病例1术前、术后照片
Figure 1 Preoperative and postoperative presentation of case 1
20221226171625_2472.png
图2 病例2术前、术后照片
Figure 2 Preoperative and postoperative presentation of case 2
20221226171651_3664.png
图3 术中见肿物表面有毛发,基底部蒂宽,与颞侧球结膜及筋膜相粘连
Figure 3 Intraoperative photograph shows the mass has surface hairs and wide base, adhering to the temporal bulbar conjunctiva and fascia
20221226171718_7008.png
图4 术中切除肿物后见外眦部部分睑缘缺损
Figure 4 Lid coloboma at lateral canthus was observed after resection of the mass
20221226171859_9769.png
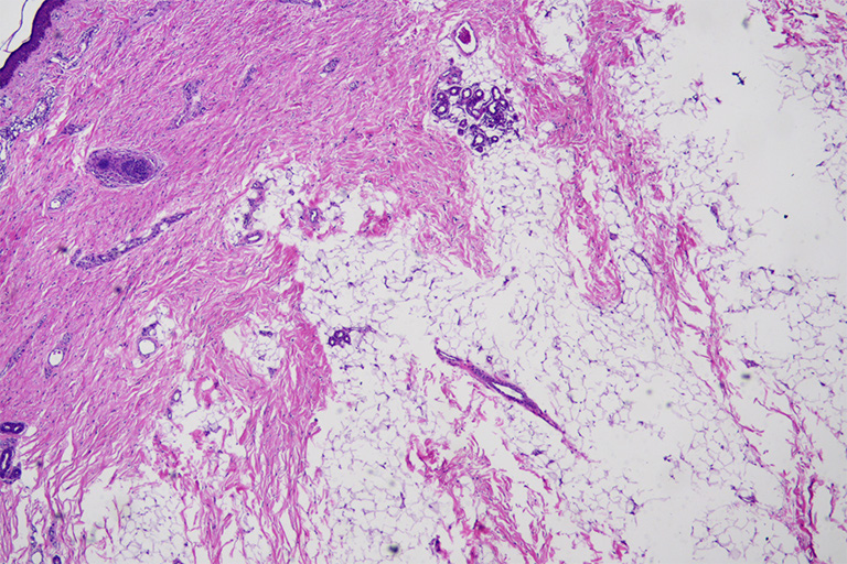
图5 病例1病理示肿物表面被覆鳞状上皮,皮下见皮肤附属器及分化成熟的纤维脂肪血管组织(HE,×40)
Figure5 Histopathological description of the mass photomicrograph of case 1 showing skin appendages and mature fibroadipose vascular tissues were surrounded by squamous epithelium (HE, ×40)
20221226172014_4586.png
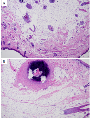
图6 病例2病理示结节样肿物表面被覆皮肤,(A)中间部见增生的脂肪及纤维组织,(B)局灶见钙化(HE,×40)
Figure 6 Section from the lesion of case 2 showing the nodular mass was covered by derma, with (A) hyperplasia of fat and fibrous tissue in the center and (B) focal calcification (HE, ×40)

2 讨论

    在儿童眼睑和眼表肿物中,绝大多数为上皮来源的良性肿物,以角膜皮样瘤和皮样囊肿最为常见,角膜皮样瘤多位于颞下方角膜缘,皮样囊肿多靠近眉弓及眶周皮下,颞上方眉弓处最多见[1]。在儿童中,位于外眦部的眼睑、结膜肿物合并眼睑畸形者少见,本组病例术后病理为皮赘伴结膜皮样脂肪瘤。
    皮赘又称纤维上皮性息肉(fibroepithelial polyp),起源于真皮,但好发于颜面、颈部、胸腹及背部,可单发,也可多发[2]。肿物呈球形、椭圆形或不规则形,突出于皮肤,多呈息肉状悬垂于体表,大小不一。皮赘体积较小、蒂部纤细、基底狭小者,可从根部电灼,或从根部切除,也可因蒂部扭转、基部表皮生长压迫血管造成供血不足或外力摩擦牵拉导致基部断离而脱落。蒂部粗大或基底较广者须与基底一并手术切除[3]。皮赘在成人中多见,但若发生于儿童,其可能是某种综合征的皮肤标记,例如Goldenhar综合征[4](皮赘、骨瘤病、肠息肉病)或BirtHogg Dubé综合征[5][纤维毛囊瘤(fibrofolliculoma)、毛盘状瘤(trichodiscomas)、皮赘],有的患儿还可能合并鼻部、颜面、脊柱畸形、肢体发育异常及心血管系统、呼吸系统、消化系统、生殖泌尿系统异常等病变[6],因此要注意患儿全身情况。本组2例患儿全身其他部位未见异常。
    儿童眼睑外眦部皮赘少见[7],较大的肿物会压迫眼睑或与眼睑皮肤相延续生长,导致局限眼睑缺损及眼睑畸形[8]。需在手术切除肿物的同时进行眼睑的整复。需根据肿物的大小、部位及眼睑畸形的情况,在彻底切除肿物的同时,灵活处置眼睑整复。
皮样脂肪瘤约占儿童眼睑和眼表肿物的12.8%[1],好发于颞上象限近外眦部球结膜下,属于结膜先天性异常,可能是由于胚胎发育早期表面外胚层沿胚胎闭合线异常隔离卷入而造成的,和本组病例中的眼睑皮赘都属于迷芽瘤,病理示肿物为实性,表面被覆皮肤及鳞状上皮,中间部可见分化成熟的脂肪及纤维组织。临床中需与皮样瘤、皮样囊肿等眼表肿物相鉴别。本组2例患儿术前查体时由于结膜面肿物位于外眦处,被外眦部肿物遮挡,因此术前不易发现。术中需仔细探查肿物与眼表组织关系,仔细剥离眼表肿物,尽量切除干净,对于向眶深部延伸的肿物,切除眼球表面、结膜的肿物改善外观即可,不必强求彻底切除,尤其注意不要损伤眼外肌及泪腺组织,还要注意与眶内脂肪关系。本组2例患儿眼睑肿物切除彻底,眼睑整复后外观满意,随诊1年未见复发。
    综上,本组较为少见儿童外眦部肿物合并眼睑畸形及结膜肿物病理示皮赘伴结膜皮样脂肪瘤,需与皮样瘤、皮样囊肿等眼表肿物相鉴别。治疗时需在切除眼睑、结膜肿物的同时,灵活处置眼睑整复,修复眼睑畸形。

志谢

    感谢首都医科大学附属北京儿童医院病理科张楠在本文撰写过程中所给予的帮助。

开放获取声明

    本文适用于知识共享许可协议 (Creative Commons),允许第三方用户按照署名(BY)-非商业性使用(NC)-禁止演绎(ND)(CC BY-NC-ND)的方式共享,即允许第三方对本刊发表的文章进行复制、发行、展览、表演、放映、广播或通过信息网络向公众传播,但在这些过程中必须保留作者署名、仅限于非商业性目的、不得进行演绎创作。详情请访问:https://creativecommons.org/licenses/by-nc-nd/4.0/

基金

暂无基金信息

参考文献

1. 赵云, 赵红, 林锦镛, 等. 儿童眼部肿瘤504例临床病理学分析[ J].中华眼科杂志, 2016, 52(10): 764-768.
ZHAO Yun, ZHAO Hong, LIN Jinyong, et al. Clinical and pathological analysis of ocular tumors in 504 children cases[ J]. Chinese Journal of Ophthalmology, 2016, 52(10): 764-768.
2. Vatansever M, Din? E, Dursun ?, et al. Atypical presentation of fibroepithelial polyp: a report of two cases[J]. Arq Bras Oftalmol, 2019, 82(3): 239-241.
3. Ludwig DJ, Buddingh KT, Kums JJ, et al. Treatment and outcome of fibroepithelial ureteral polyps: a systematic literature review[J]. Can Urol Assoc J, 2015, 9(9/10): E631-E637.
4. Seymeno?lu G, Ba?er E, Tansu? N, et al. An unusual association of Goldenhar syndrome[J]. Int Ophthalmol, 2013, 33(1): 91-94.
5. Furuya M, Yao M, Tanaka R, et al. Genetic, epidemiologic and clinicopathologic studies of Japanese Asian patients with Birt-Hogg-Dubé syndrome[J]. Clin Genet, 2016, 90(5): 403-412.
6. Melo RC, Ribeiro C, Sanches A, et al. A rare benign tumor of tracheobronchial tree: endobronchial fibroepithelial polyp[J]. Rev Port Pneumol, 2015, 21(4): 221-222.
7. Swanson JW, Swanson MA. Strengthening evidence in cleft and craniofacial surgery[J]. J Craniofac Surg, 2018, 29(2)302-303.
8. Paul S, Vo DT, Silkiss RZ. Malignant and benign eyelid lesions in San Francisco: study of a diverse urban population[J]. Am J Clin Med, 2011, 8: 40-46.

相关文章