返回

泪腺腺样囊性癌不同病理组织学分型和分级间骨质破坏、神经侵犯和预后的差异

阅读量:8185
DOI:10.3978/j.issn.1000-4432.2021.07.25
发布日期:2023-06-07
作者:
柳睿 ,张璇 ,李静 ,葛心 ,张敬学 ,马建民
展开更多

关键词

泪腺腺样囊性癌
病理组织学
分型
分级
预后

摘要

目的:研究泪腺腺样囊性癌不同病理组织学分型和分级间骨质破坏、神经侵犯和预后的差异。方法:回顾性分析2010年4月至2019年4月首都医科大学附属北京同仁医院眼肿瘤科收治并经病理组织学检测确诊的30例泪腺腺样囊性癌患者的完整病历资料。分析患者的一般病历资料、医学影像学资料、病理组织学检查结果以及预后情况等,并系统研究泪腺腺样囊性癌病理组织学分型和分级与患者预后的关系。结果:30例患者中,病理组织学分型为筛状型9例(30.0%),实体型10例(33.3%),混合型11例(36.7%),其中实性和腺管混合型4例(13.3%)、实性和筛状混合型4例(13.3%)、筛状和腺管混合型3例(10.0%)。病理组织学分级为I级12例(40.0%);II级4例(13.3%);III级14例(46.7%)。不同病理组织学分型肿瘤骨质破坏发生率差异有统计学意义(P=0.046);不同病理组织学分级肿瘤骨质破坏发生率差异无统计学意义(P=0.513)。不同病理组织学分型与分级肿瘤神经侵犯、远处转移发生均无相关性(均P>0.05)。在行手术联合放射治疗后,不同病理组织学分型肿瘤的无复发率差异有统计学意义(P<0.05);实体型的无复发率在36个月内最低(P=0.037);而病理学分级与手术联合放射治疗后的无复发率无关(P=0.059)。结论:泪腺腺样囊性癌病理组织学分型与骨质破坏发生率和复发率显著相关,其中实体型肿瘤较易复发。而病理学分型与神经侵犯和远处转移发生率无关。病理组织学分级与骨质破坏、神经侵犯、远处转移和复发率无显著相关性。

全文

腺样囊性癌(adenoid cystic carcinoma,ACC)是泪腺区最常见的恶性上皮性肿瘤,约占泪腺上皮性肿瘤的25%~30%,占泪腺恶性肿瘤的60%~75%[1-3]。ACC病理组织学改变以腺上皮和肌上皮双向分化为特征,根据肿瘤细胞类型和排列方式不同可分为筛状型、腺管型、实体型和混合型[4-5]。泪腺腺样囊性癌(lacrimal gland adenoid cystic carcinoma,LGACC)是一种较为常见的发生于泪腺组织的腺样囊性癌,具有较高的复发率、转移率和病死率,预后较差。影响LGACC预后的因素有多种,但LGACC的病理组织学分型和分级与患者预后之间的确切关系仍需明确。本研究旨在探讨LGACC不同病理组织学分型和分级间骨质破坏、神经侵犯和预后的差异。

1 对象与方法

1.1 对象

回顾性分析2010年4月至2019年4月首都医科大学附属北京同仁医院眼肿瘤科收治的3 0例LGACC患者的临床资料,所有患者的病变组织经病理组织学检测结果确诊为LGACC,其中男14例,女16例;年龄15~70(41.7±13.7)岁;左眼发病16例,右眼1 4例。本研究经首都医科大学附属北京同仁医院伦理委员会批准,获得患者及家属知情同意并签署知情同意书。
纳入标准:1 )光学显微镜下病变组织的形态学改变符合经典ACC的病理学诊断标准;2 )由两位高年资病理学专业医师进行镜检,并对肿瘤组织进行病理学分型和分级;3 )患者的病历资料完整。排除标准:1 )病理组织学或病历资料不完整的病例;2 )根据病理学形态结果不能明确诊断LGACC或诊断为其他类型泪腺肿瘤者。

1.2 方法

详细收集和记录患者的病理组织学资料、骨质破坏和神经受累情况以及预后随访结果,并对相关资料进行分析。
1.2.1 病理组织学资料的判断标准
1)根据肿瘤细胞类型和排列方式判断病理组织学类型。2)LGACC的病理组织学分级:按照Szanto等[6]提出的标准分为3级。I级以管状或筛状-管状混合型为主、无实性区,II级以筛状型为主或含实性区<30%,III级为实性区≥30%。3)肿瘤大体标本分型:按照肿物标本的最大径值可分为小型(径值<2 cm)、中型(径值2~4 cm)和大型(径值>4 cm)。
1.2.2 骨质破坏和神经受累的评估
根据眼眶影像学扫描结果、术中所见和病理组织学检查结果,综合判断肿瘤是否对其周围骨质产生破坏和/或发生神经侵犯等情况。
1.2.3 预后情况评估
1 )记录患者的治疗方式、肿瘤有无复发、转移或死亡等情况;2 )观察患者局部放疗后的并发症:早期并发症为0~6个月,中期并发症为6 ~36个月,晚期并发症为3年以上,根据上述情况综合评价LGACC患者的预后。

1.3 统计学处理

采用Graphpad Prism 8.0及SPSS 25.0软件,根据具体实验数据采用不同的统计学方法进行分析。计量资料以均数±标准差(x±s)表示;计数资料比较采用Fisher确切概率法。肿瘤无复发率曲线采用Kaplan-Meier法制作,采用log-rank检验比较无复发率曲线。P<0.05为差异有统计学意义。

2 结果

2.1 入选患者的基本情况

30例LGACC患者的症状主要包括眼睑肿胀、眼球突出、眶周疼痛、视力下降等。患者发病年龄在10~20岁3例(10.0%);20~30岁3例(10.0%);30~40岁8例(26.7%);40~50岁8例(26.7%);50~60岁6例(20.0%);60~70岁2例(6.7%)。3例(10.0%)患者拒绝接受放射治疗故仅行单纯手术切除治疗,17例(56.7%)行手术切除联合131I粒子放射治疗,10例(33.3%)行手术切除联合外部放射治疗。

2.2 病理组织学分型和分级与骨质破坏和神经侵犯发生的关系

肿瘤最长径值为1~2 cm者4例(13.3%);2~4 cm者23例(76.7%);>4 cm者3例(10.0%)。术中可见肿瘤切面呈灰白或灰黄色、质地中等,与周围组织粘连者24例(80.0%)。手术切除病变标本的病理组织学形态表现多样(图1),癌巢内可见大小不等的孔状腔隙,为筛状型9例(30.0%);癌细胞紧密团块状排列,形成圆性或椭圆形实性癌巢,为实体型10例(33.3%);混合型11例,其中实性和腺管混合型4例(13.3%)、实性和筛状混合型4例(13.3%)、筛状和腺管混合型3例(10.0%)。病理组织学分级为I级12例(40.0%);II级4例(13.3%);III级14例(46.7%)。
根据医学影像学、术中所见和病理组织学检测结果,肿瘤细胞浸润骨质,造成骨质破坏者18例(60.0%)。发生骨质破坏者,筛状型6例(33.3%)、实体型7例(38.9%)、实性-筛状混合型4例(22.2%)、实性-腺管混合型1例(5.6%)、筛状-腺管混合型0例;病理学分级I级6例(33.3%)、II级2例(11.1%)、III级1 0例(55.6%)。不同病理组织学分型的骨质破坏发生率差异具有统计学意义(P=0.046),而不同病理组织学分级的骨质破坏发生率差异无统计学意义(P =0.513,表1 )。发生神经侵犯者共1 2例(40.0%),筛状型4例(33.3%)、实体型3例(25.0%)、实性-筛状混合型2例(16.7%)、实性-腺管混合型2例(16.7%)、筛状-腺管混合型2例(16.7%);病理分级I级5例(41.7%)、II级3例(25.0%)、III级4例(33.3%);不同病理组织学分型和分级的神经侵犯发生率差异均无统计学意义(P=0.934,P=0.350;表1)。
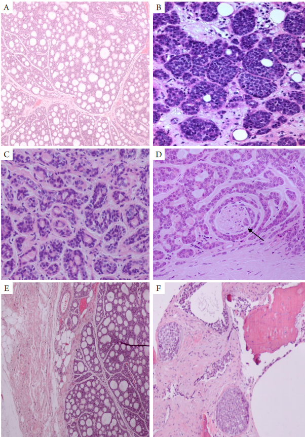
20230607154343_2057.png

图1 泪腺腺样囊性癌的病理组织学表现
Figure 1 Histopathological findings of adenoid cystic carcinoma of lacrimal gland
(A)筛状型:癌巢内可见大小不等的孔状腔隙(HE,×100);(B)实体型:癌细胞紧密团块状排列,形成圆性或椭圆形实性癌巢(HE,×200);(C)腺管型:癌细胞排列成腺管状(HE,×200);(D)癌细胞包绕神经生长,部分侵入神经内(箭头所示HE,×200);(E)癌细胞侵犯周围脂肪结缔组织(HE,×100);(F)癌细胞侵及骨组织,造成骨质破坏(HE,×100)。
(A) Cribriform type: various pore like cavities could be seen in the tumor nest (HE, ×100); (B) Solid type: the tumor cells were closely arranged in clusters and blocks, forming round or oval solid tumor nests (HE, ×200); (C) Glandular tube type: tumor cells were arranged into glandular tubes (HE, ×200); (D) Tumor cells grew around the nerve and partially invaded the nerve (arrow; HE, ×200); (E) Tumor cells invaded the surrounding adipose connective tissue (HE, ×100); (F) Tumor cells invaded bone tissue and caused bone destruction (HE, ×100).

表1 不同病理组织学分型和分级泪腺腺样囊性癌骨质破坏、神经侵犯和远处转移的发生率
Table 1 Incidence of bone destruction, nerve invasion and distant metastasis of adenoid cystic carcinoma of lacrimal gland with difffferent pathological types and grades

20230607154504_0981.png

2.3 不同病理组织学分型和分级预后的差异

随访截止至2019年4月,随访时间为12~120个月,中位随访时间为60个月。 30例患者,其中9例(30.0%)为复发性病例,既往仅接受局部肿物手术切除治疗;21例(70.0%)为原发性病例。在经我院治疗后复发患者17例(56.7%);转移患者10例(33.3%),其中骨转移6例、肺转移2例、脑转移4例、淋巴结转移1例。转移死亡者2例、死亡情况不明者2例。2例转移死亡患者存活时间分别为2.5年和7年。
剔除3例仅行局部肿物手术切除治疗病例,17例(63.0%)行手术切除联合131I粒子放射治疗,1 0例(37.0%)行手术切除联合γ射线外放射治疗,131I粒子放射治疗和局部γ射线外放射治疗后的无复发生存率差异无统计学意义(P=0.183,图2)。以行放射治疗为时间节点,不同病理组织学分型肿瘤在行手术联合放射治疗后的无复发生存率差异具有统计学意义(P=0.037),36个月内实体型的无复发生存率最低(图3A)。不同病理学分级肿瘤在行手术联合放射治疗后的无复发生存率差异无统计学意义(P=0.059,图3B)。
发生远处转移1 0例,筛状型5例、实体型2例、实性-筛状混合型2例、实性-腺管混合型1例,I级和III级各5例。不同病理组织学分型和分级肿瘤远处转移发生率差异均无统计学意义(P=0.370和P=0.430;表1)。
手术联合放射治疗后早期并发症表现为眼睑红斑3例、视网膜病变5例、眼底出血1例、复视1例,中期并发症表现为上睑下垂5例、新生血管性青光眼1例、放射性白内障1例、斜视1例,晚期并发症为视力下降22例、眼窝凹陷4例、眼球运动障碍1例。
20230607154605_9302.png

图2 两种放射治疗方式的无复发生存率对比分析(P=0.183)
Figure 2 Comparative analysis of the recurrence-free survival rate of the two radiotherapy methods (P=0.183)

20230607154632_6480.png

图3 不同病理学分型和分级的LGACC患者放射治疗后的无复发生存率
Figure 3 Recurrence-free survival rate of LGACC patients with difffferent pathological types and grades after radiotherapy
(A)不同病理学分型患者的无复发生存率(P=0.037);(B)不同病理学分级患者的无复发生存率(P=0.059)。
(A) Recurrence-free survival rate of patients with different pathological types (P=0.037); (B) Recurrence-free survival rate of patients with different pathological grades (P=0.059).

3 讨论

LGACC恶性程度较高,临床上具有复发率高、侵袭性强、易远处转移等特点。据报道,头颈部ACC病死率为44.4%~78% ,转移率为16%~40%[7-9]。Hung等[10]报道LGACC的5年和10年总生存率为81.8%和68.2%,5年和10年的无疾病生存率约为54.5%和27.3%。Jang等[11]报道70例头颈部ACC患者的5年和10年的总体生存率为80.4%和61.3%。Akbaba等[12]报道207例涎腺ACC患者的5年总生存率为83%,局部控制率为84%,无进展生存率为56%。ACC预后较差,有关其治疗和预后影响因素应值得临床医师广泛关注。
本研究的30例LGACC患者,以女性单眼发病多见,发病年龄(41.7±13.7)岁,这与文献[13-14]报道的类似。LGACC具有骨质破坏和神经侵犯特性,可以促使肿瘤的复发和转移,研究[15]发现LGACC可通过神经侵袭蔓延到颅内者占15%。侯萍等[16]认为骨质破坏是手术后复发的高危因素。Garden等[17]发现神经侵犯与不良预后之间具有相关性。Vrielinck等[18]研究发现神经侵犯的患者生存率较低,易发生远处转移。王毅等[5]研究发现实体型占比较高的II级和III级LGACC肿瘤神经侵犯的例数明显高于I级筛状型或管状型肿瘤。本研究着重分析LGACC不同病理组织学分型和分级的骨质破坏和神经侵犯发生的差异,发现不同病理组织学分型间骨质破坏发生率差异具有统计学意义;不同病理组织学分型与分级的神经侵犯发生率均无明显差异,提示病理组织学分型和分级可能与LGACC是否发生神经侵袭性生长无关。该结果不排除受样本量较少因素的影响,但不同病理组织学分型和分级均具有发生骨质破坏和神经侵犯的风险是存在的。
不同病理组织学分型和分级的LGACC预后可能具有差异。研究[5]发现实体型预后最差,易复发和远处转移,而筛状型和腺管型预后较好。Lee等[19]研究发现实体型LGACC的生存期较其它病理组织学分型更短。王峰等[20]研究发现实体型LGACC易早期复发和转移。Kawakita等[21]研究发现病理组织学III级是患者总体生存率的独立影响因素。本研究30例LGACC病理组织学分型以实体型和筛状型多见,分级以I级和III级多见。患者经手术切除联合局部放射治疗后,对131I粒子放射治疗和γ射线外放射治疗的疗效进行分析,结果显示其无复发生存率差异无统计学意义,说明两种放射方式的治疗效果相似。本研究分析LGACC经手术联合放射治疗后的复发率和远处转移发生率,发现不同病理组织学分型肿瘤的无复发生存率差异具有统计学意义,其中实体型的复发率最高;不同病理组织学分级肿瘤的无复发生存率差异无统计学意义。不同病理组织学分型和分级肿瘤远处转移发生率无明显差异。
本研究详细分析了LGACC不同病理组织学分型和分级肿瘤的骨质破坏和神经侵犯特点和预后差异,结果发现LGACC不同病理组织学分型间的骨质破坏发生率和复发率有显著差异,而神经侵犯和远处转移发生率无明显差异。不同病理组织学分级间的骨质破坏、神经侵犯发生率、远处转移率和复发率无明显差异。由于本研究受样本量的影响,有些研究结果希望今后在扩大样本量的基础上再加以进一步验证。

基金

1. 国家自然科学基金 (81800864) ;北京市自然科学基金 (7182038);北京市医院管理中心登峰计划专项基金 (DFL20190201)。
This work was supported by the National Natural Science Foundation (81800864), Natural Science Foundation of Beijing (7182038), and Beijing Hospital Authority’ Ascent Plan (DFL20190201), China.

参考文献

1. Yang J, Zhou C, Wang Y, et al. Multimodal therapy in the management of lacrimal gland adenoid cystic carcinoma[ J]. BMC Ophthalmol, 2019, 19(1): 125.
2. Esmaeli B, Ahmadi MA, Youssef A, et al. Outcomes in patients with adenoid cystic carcinoma of the lacrimal gland[ J]. Ophthalmic Plast Reconstr Surg, 2004, 20(1): 22-26.
3. 马建民, 柳睿. 关注泪腺腺样囊性癌诊断和治疗中需要注意的 问题[ J]. 中华眼科医学杂志电子版, 2020, 10(1): 1-5.
MA J, LIU R. Pay attention to the tissues needing attention in the diagnosis and treatment of adenoid cystic carcinoma of lacrimal gland[ J]. Chinese Journal of Ophthalmologic Medicine (Electronic Edition), 2020, 10(1): 1-5.
4. 张红, 马建民, 张勇, 等. 泪腺腺样囊性癌高级别转化的临床病理 学研究[ J]. 中华眼科医学杂志电子版, 2020, 10(5): 288-293.
ZHANG H,MA JM,ZHANG Y,et al . High - grade transformation in lacrimal adenoid cystic carcinoma: a clinicopathological study[ J]. Chinese Journal of Ophthalmologic Medicine (Electronic Edition), 2020, 10(5): 288-293.
5. 王毅, 李冬梅, 康莉, 等. 泪腺腺样囊性癌的组织病理学特征[ J]. 眼科, 2009, 18(3): 194-198.
WANG Y, LI DM, KANG L, et al. Histopathological features of adenoid cystic carcinoma of the lacrimal gland[ J]. Ophthalmology, 2009, 18(3): 194-198.
6. Szanto PA, Luna MA, Tortoledo ME, et al. Histologic grading of adenoid cystic carcinoma of the salivary glands[ J]. Cancer, 1984, 54(6): 1062-1069.
7. 林婷婷, 何彦津, 张虹, 等. 眼眶腺样囊性癌的治疗与预后分 析[ J]. 中华眼科杂志, 2009, 45(4): 311-315.
LIN TT, HE YJ, ZHANG H, et al. Analysis of treatment and prognosis of orbital adenoid cystic carcinoma[ J]. Chinese Journal of Ophthalmology, 2009, 45(4): 311-315.
8. Zhang R, Qian J, Yuan Y, et al. Atypical clinical presentation of orbital adenoid cystic carcinoma[ J]. J Cancer Res Ther, 2015, 11(4): 1035.
9. 柳睿, 马建民. 泪腺腺样囊性癌的临床治疗方式[ J]. 国际眼科纵 览, 2019, 43(6): 415-420.
LIU R, MA JM. Treatment for adenoid cystic carcinoma of lacrimal gland[ J]. International Review of Ophthalmology, 2019, 43(6): 415-420.
10. Hung JY, Wei YH, Huang CH, et al. Survival outcomes of eye-sparing surgery for adenoid cystic carcinoma of lacrimal gland[ J]. Jpn J Ophthalmol, 2019, 63(4): 344-351.
11. Jang S, Patel PN, Kimple RJ, et al. Clinical outcomes and prognostic factors of adenoid cystic carcinoma of the head and neck[ J]. Anticancer Res, 2017, 37(6): 3045-3052.
12. Akbaba S, Bostel T, Lang K, et al. Large German multicenter experience on the treatment outcome of 207 patients with adenoid cystic carcinoma of the major salivary glands[ J]. Front Oncol, 2020, 10: 593379.
13. 曾宪焕, 韩泽民. 头颈部腺样囊性癌的研究进展[ J]. 国际口腔医 学杂志, 2017, 44(1): 79-82.
ZENG XH, HAN ZM. Research progress on adenoid cystic carcinoma of the head and neck[ J]. International Journal of Stomatology, 2017, 44(1): 79-82.
14. 王磊峰, 黑砚, 肖利华. 泪腺腺样囊性癌的研究现状[ J]. 眼科研 究, 2007, 25(6): 477-480.
WANG LF, HEI Y, XIAO LH. Current research in adenoid cystic carcinoma of lacrimal gland[ J]. Chinese Ophthalmic Research, 2007, 25(6): 477-480.
15. Terasaki M, Tokutomi T, Maruiwa H, et al. High-grade adenoid cystic carcinoma originating from the lacrimal gland[ J]. Brain Tumor Pathol, 2000, 17(3): 159-163.
16. 侯萍, 张虹. 泪腺腺样囊性癌93例临床分析[ J]. 天津医科大学学 报, 2016, 22(6): 528-530.
HOU P, ZHANG H. Clinical analysis of 93 cases of adenoid cystic carcinoma of lacrimal gland[ J]. Journal of Tianjin Medical University, 2016, 22(6): 528-530.
17. Garden AS, Weber RS, Morrison WH, et al. The influence of positive margins and nerve invasion in adenoid cystic carcinoma of the head and neck treated with surgery and radiation[ J]. Int J Radiat Oncol Biol Phys, 1995, 32(3): 619-626.
18. Vrielinck LJ, Ostyn F, van Damme B, et al. The significance of perineural spread in adenoid cystic carcinoma of the major and minor salivary glands[ J]. Int J Oral Maxillofac Surg, 1988, 17(3): 190-193.
19. Lee DA, Campbell RJ, Waller RR, et al. A clinicopathologic study of primary adenoid cystic carcinoma of the lacrimal gland[ J]. Ophthalmology, 1985,92(1):128-134.
20. 王峰, 孙丰源, 唐东润. 26例原发泪腺腺样囊性癌的临床病理分 析[ J]. 中国实用眼科杂志, 2017, 35(10): 1016-1019.
WANG F, SUN FY, TANG DR. A clinicopathologic study of primary adenoid cystic carcinoma of the lacrimal gland[ J]. Chinese Journal of Practical Ophthalmology, 2017, 35(10): 1016-1019.
21. Kawakita D, Murase T, Ueda K, et al. The impact of clinicopathological factors on clinical outcomes in patients with salivary gland adenoid cystic carcinoma: a multi-institutional analysis in Japan[ J]. Int J Clin Oncol, 2020, 25(10): 1774-1785.

施引文献

1. 误诊为睑板腺癌的泪腺腺样囊性癌1例. 胡亚光;裴澄;葛心;马建民.临床眼科杂志,2023
2. 内镜经鼻手术治疗鼻颅底腺样囊性癌的疗效分析. 危维;刘俊其;齐岩;李晓敏;孟繁玥;任沁展;严波;王振霖;张秋航.中华耳鼻咽喉头颈外科杂志,2023
3. 危维,刘俊其,齐岩等.内镜经鼻手术治疗鼻颅底腺样囊性癌的疗效分析[J].中华耳鼻咽喉头颈外科杂志,2023,58(5):438-444.
4. 胡亚光,裴澄,葛心等.误诊为睑板腺癌的泪腺腺样囊性癌1例[J].临床眼科杂志,2023,31(3):272-273.

相关文章