泪阜部色素痣合并鳞状细胞乳头状瘤10例的临床病理学分析
阅读量:7841
DOI:10.3978/j.issn.1000-4432.2021.07.28
发布日期:2023-06-08
作者:
李静 ,陈陆霞 ,王玉川 ,林锦镛
展开更多 '%20fill='white'%20fill-opacity='0.01'/%3e%3cmask%20id='mask0_3477_29692'%20style='mask-type:luminance'%20maskUnits='userSpaceOnUse'%20x='0'%20y='0'%20width='16'%20height='16'%3e%3crect%20id='&%23232;&%23146;&%23153;&%23231;&%23137;&%23136;_2'%20x='16'%20width='16'%20height='16'%20transform='rotate(90%2016%200)'%20fill='white'/%3e%3c/mask%3e%3cg%20mask='url(%23mask0_3477_29692)'%3e%3cpath%20id='&%23232;&%23183;&%23175;&%23229;&%23190;&%23132;'%20d='M14%205L8%2011L2%205'%20stroke='%23333333'%20stroke-width='1.5'%20stroke-linecap='round'%20stroke-linejoin='round'/%3e%3c/g%3e%3c/g%3e%3c/svg%3e)
关键词
泪阜
色素痣合并鳞状细胞乳头状瘤
组织病理学
摘要
目的:分析泪阜部色素痣合并鳞状细胞乳头状瘤的临床及组织病理学特征。方法:选取2002年1月至2020年6月天津市眼科医院经手术切除的色素痣合并鳞状细胞乳头状瘤1 0例,分析患者的临床及组织病理学特征。结果:10例患者中男性5例(50%),年龄(50.20±19.57)岁,左眼5例,右眼5例,其中7例(70%)为复合痣,3例(30%)皮内痣,未见交界痣,7例复合痣和2例皮内痣可见结膜上皮细胞囊肿;鳞状细胞乳头状瘤中,有蒂型7例(70%),无蒂型3例(30%),9例(90%)含结膜杯状细胞,1例(10%)伴有鳞状上皮角化,3例(30%)伴慢性炎症,2例(20%)伴有轻度非典型增生,所有病例未见明显的弹力纤维变性。结论:泪阜部色素痣合并鳞状细胞乳头状瘤比较少见,外观易误诊为色素痣恶变或黑色素瘤,临床上应注意甄别,确诊有赖于组织病理学检查。
全文
色素痣和鳞状细胞乳头状瘤为两大类常见的结膜良性肿物,但色素痣合并鳞状细胞乳头状瘤的病例国内报道较少[1-3]。由于色素性肿物逐渐增长,且表面或周围伴有低乳头状新生物,容易被误诊为色素痣恶变或黑色素瘤。本研究通过总结分析1 0例泪阜部色素痣合并鳞状细胞乳头状瘤患者的临床及组织病理学资料,旨在为临床医师对此类肿瘤的认识提供依据。
1 对象与方法
1.1 对象
回顾性分析天津市眼科医院2002年1月至2020年6月经手术治疗且组织病理学诊断为泪阜部色素痣合并鳞状细胞乳头状瘤标本10例。所有病例经两位眼科病理医师复核并最终确诊。
1.2 方法
手术及病理学检查:患者均行局部麻醉下泪阜部肿物切除,距离肿物边缘外2~3 mm完整切除,术中避免器械直接接触肿物,术后予以缝合。
切除标本经10%甲醛溶液固定、常规组织脱水、石蜡包埋、切片及HE染色。免疫组织化学染色采用EnVision两步法,切片常规脱蜡、水化,滴加过氧化氢封闭内源性过氧化物酶,微波修复后使用0.3%高锰酸钾脱色素处理,清洗后,滴加1%草酸,中性缓冲液洗片,血清封闭,滴加细胞角蛋白(cytokeratin,CK)及核抗原(Ki-67;北京中衫金桥有限公司)一抗,4 ℃湿盒过夜,中性缓冲液洗片后滴加二抗,室温孵育30 min,二氨基联苯胺显色,苏木精复染,封片。对所有患者进行临床资料及组织病理学分析。
2 结果
在10例患者中,男5例(50%),女5例(50%),年龄21~72(50.20±19.57)岁,左眼5例,右眼5例。患者主诉为泪阜部肿物1~50余年,肿物近期逐渐增长,无明显疼痛。临床表现为泪阜部轻度隆起或扁平的棕褐色肿物,其表面或边缘伴有粉红色乳头状新生物,裂隙灯下可见细小的血管襻。肿物边界比较清楚,邻近结膜伴有轻度充血。肿物体积最大者为8 mm×5 mm×2 mm,最小者为4 mm×3 mm×2 mm(表1)。
表1 10例泪阜部色素痣合并鳞状细胞乳头状瘤的临床病理学特征
Table 1 Clinical pathologic characteristics of pigment nevus of lacrimal caruncle complicated with squamous cell papilloma
镜下色素痣表面或邻近的结膜上皮细胞呈乳头状增生,这些增生的上皮细胞分化较好,其间可见结膜杯状细胞。结膜上皮呈乳头状,表面上皮细胞层次增多,上皮细胞分化较好,细胞形态和细胞极向排列基本正常,2例伴有轻度上皮细胞非典型增生,乳头内可见细小的纤维血管束,基底膜完整,部分病例基底层细胞可见色素沉着。10例中3例伴有结膜下慢性炎症,1例伴有鳞状上皮角化,9例上皮内含结膜杯状细胞。根据肿瘤基底部的宽窄将鳞状细胞乳头状瘤分为有蒂型和无蒂型两类,其中有蒂型7例,无蒂型3例。10例标本中,7例为复合痣,3例皮内痣,未见交界痣;7例复合痣和2例皮内痣可见微小的结膜上皮细胞囊肿或结膜上皮假腺样增生(表1)。结膜上皮下可见痣细胞排列呈小巢状,浅层痣细胞含有数量不等的黑色素。痣细胞体积较小,胞膜不清,胞核小圆形,无明显核仁,无明显异型性。结膜下组织中未见明显的弹力纤维变性。
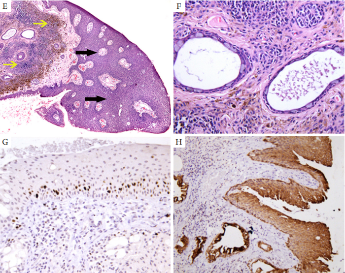
免疫组织化学染色结果显示:CK主要表达于鳞状细胞乳头状瘤细胞中,细胞质呈现黄色或棕黄色着色,色素痣细胞未见阳性染色,基质中结膜上皮细胞囊肿阳性表达;Ki-67主要表达于鳞状细胞乳头状瘤基底部胞核内,色素痣细胞中Ki-67表达指数为1%~2%(图1)。


图1 泪阜部色素痣合并鳞状细胞乳头状瘤的外眼观及病理组织学特征
Figure 1 Clinical appearance and pathological features of pigment nevus of lacrimal caruncle complicated with squamous cell papilloma
(A)右眼泪阜部可见红色肿物,表面粗糙,表面及基底部可见色素沉着。(B)结膜色素痣为复合痣,表面结膜上皮呈乳头状增生(黑色箭头所示),结膜下基质内可见巢状分布的痣细胞,含较多黑色素性颗粒(黄色箭头所示;HE,×100)。(C)乳头状增生的上皮细胞分化较好,上皮内可见结膜杯状细胞(HE,×400)。(D)右眼泪阜部棕黑色肿物,边界清晰,其一侧边缘可见粉白色乳头状肿物。(E)结膜色素痣为皮内痣(黄色箭头所示),表面的结膜上皮呈乳头状增生,乳头内可见纤维血管束(黑色箭头所示;HE,×100)。(F)痣细胞巢之间可见微小的结膜上皮囊肿(HE,×200)。(G)Ki-67主要表达于鳞状细胞乳头状瘤基底部胞核内,阳性指数较低(IHC,×200)。(H)鳞状细胞乳头状瘤的上皮和基质中结膜上皮囊肿的囊壁上皮对CK呈阳性表达,色素痣细胞呈阴性表达(IHC,×200)。
(A) There was a red mass in the lacrimal caruncle, with rough surface and pigmentation on the surface and base. (B) The conjunctival epithelium on the surface of the compound nevus showed papillary hyperplasia (Black arrow). Nestlike nevus cells were found in the subconjunctival matrix, which contained many dark pigmented particles (yellow arrow; HE, ×100). (C) The papillary hyperplasia was well difffferentiated, and the squamous cell papilloma absence of goblet cells (HE, ×400). (D) There was a brown mass in the right lacrimal caruncle, with a clear boundary and a papillary mass of the conjunctiva. (E) The surface of the intradermal nevus (yellow arrow) showed papillary hyperplasia (black arrow). Fibrovascular bundles can be seen in the papilloma (HE, ×100). (F) Conjunctival epithelial cysts can be seen in the stroma of the pigmented nevus (HE, ×200). (G) Ki-67 was mainly expressed in the nucleus of the basement cells of papilloma, and the expression index of Ki-67 was low (IHC, ×200). (H) CK was mainly expressed in papilloma and conjunctival epithelial cysts, and no positive expression was found in nevus cells (IHC, ×200).
8例获得随访资料,随访截止日期2020年11月20日,随访时间6个月至9年,平均随访时间63个月,患者均未复发。
3 讨论
泪阜属于变异的皮肤组织,其表面为非角化的、含杯状细胞的复层鳞状上皮,基质内含有毛囊、皮脂腺、汗腺、副泪腺及脂肪等组织。色素痣为泪阜部最常见的肿物,其次为鳞状细胞乳头状瘤,两种肿物同时并发的情况并不常见[2,4]。这些病例主要表现为泪阜部色素痣边界清楚,裂隙灯下部分病例可见小的透明样囊肿,其上方或边缘可见乳头状或菜花状隆起肿物,表面呈红色或粉红色,其内可见数量不等的细小的血管襻;部分无蒂型鳞状细胞乳头状瘤与色素痣无明显界限,肿物整体外观红色至粉红色,表面有色素沉着(图1)。
显微镜下显示:这些病例中色素痣部分的病理组织学改变与单纯结膜色素痣基本相似,根据痣细胞的位置,将色素痣分为交界痣、皮内痣和复合痣。皮内痣的主要特点是痣细胞巢位于结膜下基质内,其与结膜上皮之间有一薄层胶原纤维分隔,浅层痣细胞巢状或束状分布的,含较多黑色素性颗粒,体积稍大,随着痣细胞向深部生长,痣细胞黑色素颗粒含量越来越少,逐渐变为小梭形或纤维样细胞。交界痣痣细胞巢位于结膜上皮与结膜下基质交界处,痣细胞排列呈小巢状。复合痣则包含交界痣和皮内痣的所有特征。在文献[3,5-6]报道的3例色素痣合并鳞状细胞乳头状瘤病例中,2例为皮内痣,1例为复合痣,本组10例患者中有7例为复合痣,3例为皮内痣,说明鳞状细胞乳头状瘤可以并发于泪阜部复合痣和皮内痣两种色素痣类型中,并且在复合痣中合并鳞状细胞乳头状瘤的比例要高于皮内痣。
皮内痣一般不发生恶变,交界痣及复合痣有一定的恶变概率,5.0%~17.0%的结膜黑色素瘤来源于结膜色素痣,9.4%的复合痣可发展为恶性黑色素瘤[7-8]。泪阜部色素痣合并鳞细胞乳头状瘤的生长是否会增加复合痣恶变的概率,目前尚不清楚,需要更大样本量的研究。研究[9]表明:有65%的色素痣中伴有囊肿,在复合痣中伴有囊肿的比例达70%,且囊肿的存在是鉴别色素痣与黑色素瘤的重要鉴别点,黑色素瘤中很少含有结膜上皮性囊肿。本组复合痣和皮内痣中含结膜上皮囊肿的比例分别为100.0%和66.7%,高于上述文献报道,这可能与泪阜部特殊的组织解剖结构、上皮合并鳞状细胞乳头状瘤增生及研究样本量较少有关。因此若在裂隙灯下发现色素痣中含有透明囊泡样或胶冻状组织,提示为良性肿物可能性较大。
色素痣中囊肿及表面鳞状细胞乳头状瘤的持续生长,导致肿物体积不断增大,这也是本组患者主诉肿物近期均有增大的主要原因,且肿物表面含有丰富的血管攀,外观易误诊为色素痣恶变。根据本组临床观察,色素痣合并鳞状细胞乳头状瘤多位于泪阜部,乳头状瘤的体积较小,位于色素痣表面或邻近部位,仔细观察肿物表面呈红色或粉红色,可见乳头状突起,通常可见囊泡样或胶冻状囊肿结构,肿物边界清晰,生长缓慢,未见肿物表面破溃。组织病理学观察,表现为结膜良性色素痣和鳞状细胞乳头状瘤的形态学特点。而结膜黑色素瘤患者年龄更大,肿瘤有较大的基底部,颜色更深更厚,含囊肿比例较低,肿瘤生长较快,表面易破溃并含有丰富的血管[10]。显微镜下黑色素瘤瘤细胞排列为巢状或片状,细胞排列分散,瘤细胞呈上皮样或多边形,大小不一,细胞质丰富,细胞核较大,核膜厚,可见明显的嗜双色性核仁,瘤细胞具有明显的异型性,可见较多的核分裂象。
结膜鳞状细胞乳头状瘤是一种上皮内增殖性病变,极少发生恶变,目前的发病机制仍不十分清楚。色素痣合并鳞状细胞乳头状瘤与单纯鳞状细胞乳头状瘤比较,乳头短粗,分支较少,上皮内部分基底细胞内黑色素沉积增多,基质内可见痣细胞分布。与乳头状鳞状细胞癌的鉴别:色素痣合并鳞状细胞乳头状瘤上皮中增生的鳞状上皮细胞形态规则,极向排列正常,基底膜完整,未见瘤细胞向基质中浸润,未见明显的肿瘤性坏死;鳞状细胞乳头状癌细胞体积增大,核形态不规则,有明显嗜酸性核仁,核分裂象多见,基质中可见癌巢浸润,癌巢周围纤维组织增生及炎性细胞浸润。本组病例免疫组织化学染色结果显示:CK标记的阳性细胞主要表达于上皮中,结膜下基质中结膜上皮囊肿的囊壁对CK呈阳性表达,色素痣细胞呈阴性表达,未见C K标记阳性的癌巢,Ki-67主要表达于鳞状细胞乳头状瘤基底层细胞,基质中痣细胞表达指数较低。
研究[11-12]显示:在结膜乳头状瘤中,人乳头瘤病毒(human papillomavirus,HPV)阳性率为81%~100%,推测其病因与HPV感染密切相关。HPV是一种小的环状双链DNA病毒,目前发现有超100多种型别的HPV病毒,根据其致病力大小和致病危险性的大小分为低危型和高危型[13]。结膜鳞状细胞乳头状瘤中常发病于结膜囊内侧及下部,HPV阳性的鳞状细胞乳头状瘤的典型表现包括肿瘤位于角膜缘外、上皮内含有基底样细胞及结膜杯状细胞;而HPV阴性鳞状细胞乳头状瘤的表现包括肿瘤位于角膜缘周围、鳞状上皮角化、上皮内不含杯状细胞及基质内弹性纤维变性[14]。本研究90%的病例中鳞状细胞乳头状瘤含结膜杯状细胞,仅1例伴有鳞状化生,未见弹力纤维变性,进一步支持了本病发生可能与HPV感染相关。HPV传播到泪阜部色素痣的方式尚不清楚,推测与以下方面有关:1 )受污染的物品或手通过间接或直接接触结膜自体接种;2 )泪液的引流方向为外上方至内下方,含有病毒颗粒的泪液在泪阜部停留时间较长,浓度较高,泪阜部色素痣上皮损伤及HPV感染可导致鳞状细胞乳头状瘤的生长。
泪阜部色素痣合并鳞状细胞乳头状瘤的主要治疗方法为手术完整切除,为防止手术造成的病毒扩散引起复发,术中使用的手术器械应避免接触肿瘤,肿瘤边缘外设定安全距离切口,术中创面电凝或灼烧止血,术后冷冻创缘等可有效避免肿瘤复发。本组8例获得随访资料,手术切除后均未见复发。
综上所述,临床上泪阜部色素痣并发鳞状细胞乳头状瘤非常少见,推测与HPV感染相关,通常具有典型的临床和病理特征。本组病例中主要是复合痣和皮内痣,未见交界痣。因为伴发鳞状细胞乳头状瘤,肿物可逐渐增大,表面出现乳头状新生物,其临床上容易误诊为色素痣恶变,应当注意予以鉴别。裂隙灯下检查泪阜部色素痣通常伴有微小的结膜上皮囊肿,有助于与黑色素瘤鉴别。
基金
1. 天津市自然科学基金 (16JCYBJC25800);天津市医药卫生 2015 年度重点攻关项目 (15KG120)。
This work was supported by the Natural Science Foundation of Tianjin (16JCYBJC25800) and Key Project of Tianjin Medical and Health in 2015 (15KG120), China.
This work was supported by the Natural Science Foundation of Tianjin (16JCYBJC25800) and Key Project of Tianjin Medical and Health in 2015 (15KG120), China.
施引文献
1. 李昆,李鹏,刘擎.显微手术切除泪阜部囊肿的疗效观察[J].中国美容医学,2023,32(9):75-77.