返回

线状皮脂腺痣综合征伴双眼多发异常1例

阅读量:7598
DOI:10.3978/j.issn.1000-4432.2021.07.27
发布日期:2023-06-08
作者:
李静 ,柳睿 ,张旭 ,李彬
展开更多

关键词

线状皮脂腺痣综合征
脉络膜骨瘤
临床表现

摘要

线状皮脂腺痣综合征(linear nevus sebaceous syndrome,LNSS)是一种以皮脂腺痣(nevus sebaceous,NS)为特征性改变,同时合并癫痫、智力迟钝、神经缺陷或骨骼畸形等病变的疾病。本文报道1例经病理组织学检查确诊的LNSS患者,同时伴有双眼脉络膜骨瘤和脑部先天发育异常。由于线状皮脂腺综合征伴双眼多发异常较为少见,本文将总结该例患者的临床和病理表现,旨在为临床诊疗提供一定参考资料。

全文

线状皮脂腺痣综合征(linear nevus sebaceous syndrome,LNSS)是一种罕见的先天性综合征,以面部中线皮肤缺损、眼部症状、癫痫和智力缺陷为特征,多数患者因眼部首发症状就诊于眼科,但大多数眼科临床工作者对该病知之甚少。本文报道了1例患儿,以典型的颜面部特征合并双侧脉络膜骨瘤为主要临床表现,并且经过多部位的病理组织学证实为LNSS。本报道展示该患者的临床和病理表现,以期广大眼科临床工作者加深对该病的认识。

1 临床资料

患儿,女,7岁。因“发现左眼视力逐渐下降半年”,于2017年8月18日在北京同仁医院眼科门诊就诊。患儿自出生后家长即发现其双侧颜面部多发不规则黄白色肿物,右侧为著(图1)。该患儿曾于2年余前在外院行双侧眼角及右颞部、下颌、颈部肿物切除术,术后病理示:1)(眼角)皮肤组织及结膜组织显重度慢性炎症,部分区伴急性炎症,乳头状瘤样增生,过度角化及不全角化(图2);2)(右颞部、右下颌、右颈部)皮肤组织,表皮可见乳头状及疣状增生,真皮可见皮脂腺增生,未见毛发,考虑较符合皮脂腺痣(nevus sebaceous,NS)(图3)。全身体格检查示右侧颌面部、颈部、耳部皮肤角化异常,双侧颞上方可见黄白色扁平隆起肿物,表面欠光滑。眼部检查:右眼视力0.7,矫正0.8;左眼视力0.3,矫正0.4;眼压:右眼19 mmHg(1 mmHg=0.133 kPa),左眼23 mmHg;双眼眼位正,眼球运动可,右眼上睑中外1/3处成角畸形,上部球结膜及穹窿结膜可见黄白色增生,位于上部角膜缘上方1 mm处。左眼上睑中内1/3处成角畸形,睫毛倒向角膜,上睑中央部全层缺损,上部颞侧球结膜及穹窿结膜可见黄白色增生,位于颞上部角膜缘上方2 mm处(图4)。双眼眼前节检查未见明显异常。眼底像示双眼视盘颞上方可见不规则形黄白色病灶,右眼大小约6个视盘直径,左眼大小约3个视盘直径(图5)。眼眶CT示双侧眼球后壁鼻侧致密影,脉络膜骨瘤可能?右侧眼上静脉短条形致密影,双侧泪腺睑部增大,右侧筛窦、上颌窦炎,右侧颌面部皮下多发条形软组织密度影(图6)。头部MRI(外院)示双侧眼眶变浅,眼球略呈突出。锁骨外形不对称,双侧脑沟、脑回欠对称,以后脑为著,两侧半卵圆中心大小不对称,左侧脑室较对侧增大。第三脑室略大,小脑扁桃体及延髓延伸至枕骨大孔以下,未见颈髓空洞征象,必要时行颈部MRI除外脊髓空洞。眼部CDI示双眼鼻上方球壁可见局限强回声,声影(+),双眼颞上方周边球壁前可见不规则形隆起病变,内回声不均匀,边界欠清晰,CDFI未见明显血流信号。角膜地形图示双眼角膜中央屈光力大,下方角膜较上方角膜明显变陡,中高度散光。经皮肤科会诊,初步诊断:线状皮脂腺痣综合征,双眼上睑成角畸形,左上睑内翻倒睫,左上睑缺损,双眼圆锥角膜,双眼眶前部肿物,双眼脉络膜骨瘤,双眼屈光不正,脑部先天发育异常。
入院后完善相关检查,经患儿家属同意,于2018年2月2 4日在全身麻醉下行双眼眶前部肿物切除术+左眼部分后结膜囊重建+左眼全眼睑重建术。术后病理示:(右)纤维结缔组织及脂肪组织,并见软骨及泪腺组织,符合皮脂瘤病理改变;(左)纤维结缔组织及脂肪组织,并见泪腺,符合皮脂瘤病理改变(图7 )。密切随访至今肿物未见复发,全身情况良好。
20230608171148_8850.png

图1 双侧颜面部多发不规则黄白色肿物,以右侧为著
Figure 1 Multiple irregular yellowish white masses are on bilateral face, centered on the right side

20230608171256_8542.png

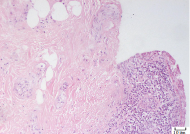
图2 (眼角)皮肤组织及结膜组织显示重度慢性炎症,部分区伴急性炎症,乳头状瘤样增生,过度角化及不全角化(HE,×200)
Figure 2 The skin tissue and conjunctival tissue showed severe chronic inflammation, some areas with acute inflammation,papillomatous hyperplasia, hyperkeratosis and incomplete keratosis (HE, ×200)

20230608171437_9046.png
图3 (A)右颞部、(B)右下颌、(C)右颈部的皮肤组织:表皮可见乳头状及疣状增生,真皮可见皮脂腺增生,未见毛发,考虑较符合皮脂腺痣(HE,×200)
Figure 3 Skin tissues of (A) right temporal, (B) right mandibular, (C) r ight neck : papillar y and verr ucous hyperplasia could be seen in epidermis, sebaceous gland hyperplasia could be seen in dermis, no hair, which was considered to be more consistent with sebaceous nevus(HE, ×200)
20230608171553_5498.png

图4 患者大体像示右眼上睑中外1/3处成角畸形,上部球结膜及穹窿结膜可见黄白色增生,位于上部角膜缘上方1 mm处;左眼上睑中内1/3处成角畸形,睫毛倒向角膜,上睑中央部全层缺损,上部颞侧球结膜及穹窿结膜可见黄白色增生,位于颞上部角膜缘上方2 mm处
Figure 4 General image of the patient showed angulation deformity in the outer 1/3 of the upper eyelid of the right eye;there was yellowish white hyperplasia in the upper bulbar conjunctiva and fornix conjunctiva, located 1 mm above the upper limbus of the cornea; an angle deformity in the outer 1/3 of the upper eyelid of the left eye, eyelash inverted to the cornea, full-thickness defect in the central part of the upper eyelid, yellow and white hyperplasia in the conjunctiva and fornix of the upper temporal side, located 2 mm above the upper temporal corneal limbus

20230608171723_0369.png

图5 眼底像示双眼视盘颞上方可见不规则形黄白色病灶,右眼大小约6个视盘直径,左眼大小约3个视盘直径
Figure 5 Fundus image showed irregular yellowish white lesions above the temporal of optic disc in both eyes; the right eye was about 6 optic disc diameters, and the left eye was about 3 optic disc diameters
(A)右眼;(B)左眼。
(A) Right eye; (B) left eye.

20230608171815_6308.png

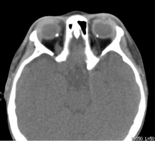
图6 患者眼眶CT检查显示:双侧眼球后壁鼻侧致密影,右侧眼上静脉短条形致密影,双侧泪腺睑部增大,右侧筛窦、上颌窦炎,右侧颌面部皮下多发条形软组织密度影
Figure 6 CT examination of the patient’s orbit showed dense shadows on the nasal side of the posterior wall of bilateral eyeballs,short strip dense shadows on the right superior ocular vein, enlarged eyelid of bilateral lacrimal glands, right sigmoid sinus and maxillary sinusitis, and multiple strip soft tissue density shadows under the skin of right maxillofacial area

20230608171902_1636.png

图7 患者病变组织病理组织学表现(HE染色)
Figure 7 Histopathological findings of the patient (HE staining)
(A)纤维结缔组织及脂肪组织,并见软骨及泪腺组织,符合皮脂瘤病理改变(×100);(B)纤维结缔组织及脂肪组织,并见泪腺,符合皮脂瘤病理改变(×200)。
(A) Fibrous connective and adipose, cartilage and lacrimal gland, consistent with the pathological changes of steatoadenoma (×100); (B)Fibrous connective tissue and adipose tissue with lacrimal glands, consistent with the pathological changes of steatoadenoma (×200).

2 讨论

LNSS,也被称为Schimmelpenning综合征,是一种以NS为特征性改变,同时合并癫痫、智力迟钝、神经缺陷或骨骼畸形等病变的疾病。此病是一种先天性的罕见病例,国内外研究多为病例报道,其发病率占新生儿的0.1%~0.3%[1-2]。LNSS发病原因和机制还不明确,可能与胚胎早期接触放射线、药物或病毒感染造成外胚叶发育异常有关[3]。研究发现其发病机制可能与HRAS、KRAS、NRAS、PRKRIR和RRP7A基因突变相关[1,4-6]
LNSS的特征表现是头面部中线部位NS,表现为无毛、黄色-橙色斑块,大小和形状各不相同。NS是一种错构瘤,主要发生在表皮、毛囊、皮脂腺和顶泌腺。其一般病理改变:1期在婴儿期和儿童期,皮脂腺较小,数目较少,可见小的毛囊或毛胚叶上皮索;2期发生在青春期,皮脂腺大量发育,表皮呈乳头瘤样;3期可发生恶性转化,形成各种错构瘤和肿瘤:基底细胞错构瘤,外毛根鞘瘤,乳头状汗腺瘤等[7-8]。因此,此病早期发现和治疗十分必要,以降低恶性肿瘤发生的风险。
超过60%的LNSS患者表现出神经系统异常,癫痫和智力低下的发生率分别为67%和61%[9-10]。脑电图和头部MRI检查可协助诊断神经系统异常。LNSS患者中眼部病变发生率为50%~59%,仅次于皮肤损害,其中眼部肿瘤性病变发生率占15%~20%,以基底细胞癌最多见,约占90%;其次是眼睑缺损、结膜皮样瘤、虹膜或脉络膜缺损,斜视,眼球震颤,视网膜及视神经病变或异常等[11-13]。而骨骼发育异常和骨畸形的发生率为15%~70%,相对少见[14]。本文报道的是1例典型LNSS,主要表现为颌面部NS,伴有眼睑畸形、双眼结膜皮样瘤、眼睑缺损、睑内翻、倒睫、双眼圆锥角膜、双眼脉络膜骨瘤、双眼屈光不正、脑部先天发育异常等症状。本例患者较既往病例报道患者并发症发生较多,仍具有发生其他恶性肿瘤的风险,因此患儿预后还需要长期随访观察。
NS的组织病理学表现为真皮内有棘皮病和大量成熟/接近成熟的皮脂腺,表皮乳头瘤样增生,角化过度。眼部肿物的组织病理学基本相似,以泪腺、肌肉、神经纤维为主[3]。眼底橘红色病灶,彩色多普勒超声成像示强回声病变,CT检查示眼环后缘条形高密度影可提示脉络膜骨瘤[15]。LNSS的脉络膜骨瘤不易继发脉络膜新生血管,这与典型原发性脉络膜骨瘤不同[16]。因此LNSS的诊断除主要依靠典型的临床表现外,其伴随症状还要根据眼科学检查如角膜地形图、眼底检查、彩色多普勒检查、CT或MRI等,以及组织病理学检查进行全面诊断和鉴别。
NS以早期激光、电切、冷冻或手术切除为主,眼睑缺损可在患儿6个月至2岁时完成整复手术,综合治疗应视疾病情况合理选择个性化治疗方式。研究发现角结膜肿物若对患儿视力、外观无影响,建议2岁以后行手术切除;术中不可过于牵拉,也不要勉强将病变全部切除,将可视范围内的前部肿物切除即可,尽可能保留健康结膜组织[12]。本例患者进行了眼眶前部肿物切除术、左眼部分后结膜囊重建以及左眼全眼睑重建术,随访至今预后较好。

基金

1. 国家自然科学青年基金 (81800864)。
This work was supported by the National Natural Science Youth Foundation of China (81800864).

参考文献

1. Pan C, Zhou X, Hong A, et al. Identification of KRAS mutation in a patient with linear nevus sebaceous syndrome: a case report[ J]. BMC Med Genomics, 2020, 13(1): 188.
2. Wang H, Qian Y, Wu B, et al. KRAS G12D mosaic mutation in a Chinese linear nevus sebaceous syndrome infant[ J]. BMC Med Genet, 2015, 16: 101.
3. 张红, 刘兵, 王玉颖, 等. 线状皮脂腺痣综合征1例[ J]. 临床皮肤 科杂志, 2004, 33(11): 679-681.
ZHANG H, LIU B, WANG YY, et al. A case of linear sebaceous nevus syndrome[ J]. Journal of Clinical Dermatology, 2004, 33(11): 679-681.
4. Kuroda Y, Ohashi I, Enomoto Y, et al. A postzygotic NRAS mutation in a patient with Schimmelpenning syndrome[ J]. Am J Med Genet A, 2015, 167A(9): 2223-2225.
5. Groesser L, Herschberger E, Ruetten A, et al. Postzygotic HRAS and KRAS mutations cause nevus sebaceous and Schimmelpenning syndrome[ J]. Nat Genet, 2012, 44(7): 783-787.
6. Sun BK, Saggini A, Sarin KY, et al. Mosaic activating RAS mutations in nevus sebaceus and nevus sebaceus syndrome[ J]. J Invest Dermatol, 2013, 133(3): 824-827.
7. 颜美荣, 王连元, 周一鸣. 眼睑皮脂腺痣伴眶颅骨畸形1例[ J]. 眼 科新进展, 2007, 27(6): 480.
YAN MR, WANG LY, ZHOU YM. A case of eyelid sebaceous nevus with orbital skull deformity[ J]. Recent Advances in Ophthalmology, 2007, 27(6): 480.
8. Yu KC, Lalwani AK. Inner ear malformations and hearing loss in linear nevus sebaceous syndrome[ J]. Int J Pediatr Otorhinolaryngol, 2000, 56: 211-216.
9. Lihua J, Feng G, Shanshan M, et al. Somatic KRAS mutation in an infant with linear nevus sebaceous syndrome associated with lymphatic malformations: A case report and literature review[ J]. Medicine (Baltimore), 2017, 96(47): e8016.
10. Eisen DB, Michael DJ. Sebaceous lesions and their associated syndromes: part II[ J]. J Am Acad Dermatol, 2009, 61: 563-578, quiz 579-580.
11. 曹媛, 丁侠, 林明, 等. 线性皮脂腺痣综合征及其眼部表现[ J]. 临 床眼科杂志, 2019, 27(2): 142-144.
CAO Y, DING X, LIN M, et al. Linear sebaceous nevus syndrome and its ocular manifestations[ J]. Journal of Clinical Ophthalmology, 2019, 27(2): 142-144.
12. 章征, 顼晓琳, 李栋军, 等. 线状皮脂腺痣综合征眼部临床 特征及手术整复效果分析[ J]. 中华眼科杂志, 2020, 56(11): 846-852.
ZHANF Z, XU XL, LI DJ, et al. Clinical features of linear sebaceous nevus syndrome and analysis of the effect of surgical restoration[ J]. Chinese Journal of Ophthalmology, 2020, 56(11): 846-852.
13. Kausar A, Zafar SN, Altaf S, et al. Ophthalmic manifestations of linear nevus sebaceous/organoid nevus syndrome[ J]. J Coll Physicians Surg Pak, 2015, 25(3): 220-222.
14. Caputo R, Tadini G. Atlas of gerodermatoses[M]. London: Taylor & Francis, 2004: 192-193.
15. 佟柏楠, 肖骏. 皮脂腺痣综合征合并脉络膜骨瘤一例[ J]. 中华眼 底病杂志, 2017, 33(3): 306.
TONG BN, XIAO J. A case of sebaceous nevus syndrome with choroidal osteoma[ J]. Chinese Journal of Ocular Fundus Diseases, 2017, 33(3): 306.
16. Lambert HM, Sipperley JO, Shore JW, et al. Linear nevus sebaceous syndrome[ J]. Ophthalmology, 1987, 94(3): 278-282.

相关文章