角膜营养不良家系的共焦显微镜观察研究
阅读量:6272
DOI:10.3978/j.issn.1000-4432.2021.08.15
发布日期:2023-06-26
作者:
应方微 ,唐松 ,张醇 ,黎明
展开更多 '%20fill='white'%20fill-opacity='0.01'/%3e%3cmask%20id='mask0_3477_29692'%20style='mask-type:luminance'%20maskUnits='userSpaceOnUse'%20x='0'%20y='0'%20width='16'%20height='16'%3e%3crect%20id='&%23232;&%23146;&%23153;&%23231;&%23137;&%23136;_2'%20x='16'%20width='16'%20height='16'%20transform='rotate(90%2016%200)'%20fill='white'/%3e%3c/mask%3e%3cg%20mask='url(%23mask0_3477_29692)'%3e%3cpath%20id='&%23232;&%23183;&%23175;&%23229;&%23190;&%23132;'%20d='M14%205L8%2011L2%205'%20stroke='%23333333'%20stroke-width='1.5'%20stroke-linecap='round'%20stroke-linejoin='round'/%3e%3c/g%3e%3c/g%3e%3c/svg%3e)
关键词
颗粒状角膜营养不良
角膜激光共焦显微镜
病理学
摘要
目的:采用角膜激光共焦显微镜观察研究颗粒状角膜营养不良家系患者的角膜状况。方法:采用角膜激光共焦显微镜对4例(6只眼)颗粒状角膜营养不良患者的角膜进行扫描检测,对比裂隙灯及普通显微镜观察分析检查情况。结果:颗粒状角膜营养不良患者的病变角膜裂隙灯下呈现面包屑样的灰白色混浊,在苏木精-伊红(hematoxylin-eosin,HE)染色中呈现出伊红染的颗粒,沉积于基质板层之间,在共焦显微镜下则为中高反光的团块,相互融合,并取代了基质细胞。结论:颗粒状角膜营养不良患者角膜病变从裂隙灯到普通HE染色下的显微镜,乃至高倍的共焦显微镜观察到的沉积物,分布情况相吻合,印证角膜病变发展的状况,有利于了解该病变的发展情况。
全文
角膜营养不良是一组与遗传有关的,具有病理组织学特征的疾病[1]。现对深圳地区的一个角膜营养不良家系中的4名患者的患病角膜进行病理及共焦显微镜的观察研究。
1 材料与方法
1.1 材料
深圳地区一个角膜营养不良家系颗粒状角膜营养不良角膜患者4名(6只眼)角膜。
1.2 病例资料
病例1,男,25岁,临床诊断为角膜营养不良,行右眼穿透性角膜移植术+前房成形术,术后病理诊断为“颗粒性角膜营养不良”,目前随访无异常。在问询病史时,得知该患者的数名亲属有类似病症,故对该家庭成员进行了探访,发现了1个颗粒状角膜营养不良的家系。
1.3 HE 染色
对角膜营养不良家系颗粒状角膜营养不良角膜6例角膜进行常规固定脱水后,石蜡包埋、切片后常规HE染色,置于显微镜下观察。
1.4 角膜激光共焦显微镜检查
1.4.1 仪器
角膜激光共焦显微镜(Heidelberg Rostock Cornea Module,Heidelberg Engineering Inc,Germany) 购自德国海德堡公司,主要装置为Rostock角膜纤维物,外部电子部件为Heidelberg Eye Explorer,Heidelberg Eye Explorer License Manager,Heidelberg Retina Tomograph III Cornea Module系统。
1.4.2 主要参数
放大倍数为800×,激光源为670 nm波长,二维图像大小为384×384像素。显微物镜的屈光度设定为+12 D,深度值应在?150 μm和+150 μm之间。
1.4.3 操作步骤
用0.5%爱尔凯因表面麻醉3次;清洁纤维镜头的前表面,镜头的前表面点一大滴Vidisic?凝胶,避免气泡逸入;无菌角膜接触镜安装于物镜头上,患者注视前方的固视光点,调节图像传感器(charge-coupled device,CCD)的光轴与激光扫描摄像头的光轴垂直。将激光扫描摄像头前移,使角膜接触帽接触患者角膜,观察到角膜图像时,微调焦距,扫描角膜各层的图像并记录。
1.4.4 图像及数据处理
应用NAVIS图像软件系统和Heidelberg Retina Tomograph III Cornea Module图像分析软件进行观察、对比。
2 结果
2.1 临床病理情况
该家系共5例患者发病,年龄最小的为25岁男性,年龄最大为76岁女性(拒绝治疗),其余共4例发病患者均进行了单眼或双眼的穿透性角膜移植手术,随访状况均良好。除1例36岁男性患者诉角膜开始出现混浊症状1 0年,其余各位患者均为自幼发病,角膜混浊,视力逐渐模糊。裂隙灯检查可见患者角膜上皮下,基质层均可看到弥散圆形面包屑样点状混浊(图1),有时可见基质融合片状混浊,病变可涉及到基质全层。
图1 裂隙灯下前段照相
Figure 1 Slit lamp front section photography
(A)角膜中周部大量颗粒状混浊,累及角膜基质全层;(B)同一患者PKP术后角膜植片透明与植床对合好。
(A) A large amount of granular turbidity in the middle and periphery of the cornea, involving the whole layer of the corneal stroma; (B) The corneal graft of the same patient after PKP was transparent and well aligned with the transplanted bed.
2.2 病例家系图
该家系发病患者5例,女性患者2例,男性患者3例,可查三代内均有患者分布(图2)。
图2 颗粒状角膜营养不良家系图
Figure 2 Family of granular corneal dystrophy
2.3 HE 染色
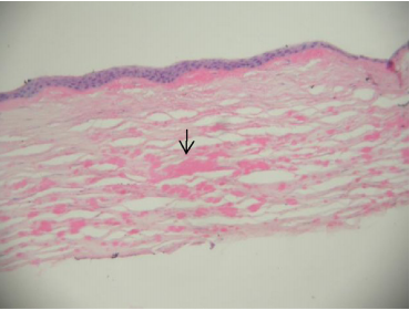
可见角膜上皮变性,厚薄不均,前弹力层消失,自上皮下至全层基质见嗜伊红颗粒状沉积物沉积(图3),诊为颗粒状角膜营养不良。
图3 颗粒状角膜营养不良病理图像(HE,×100)
Figure 3 Pathologic image of granular corneal dystrophy (HE,×100)
角膜上皮层变性,厚薄不均,前弹力层消失,上皮下全层基质见嗜伊红颗粒状沉积物(箭头)。
The corneal epithelium is denatured with uneven thickness, the anterior elastic layer is missing, and eosinophilic granular deposits (arrow) are seen in the subepithelial stromal layer.
2.4 角膜激光共焦显微镜观察
患病角膜上皮细胞往往结构尚清晰,基质可见大片的混浊,基质细胞缺失,颗粒状沉积物表现为中-高反光结构(图4),大量的高反光沉积物占据、替代基质细胞(图5)。
图4 颗粒状角膜营养不良共焦显微镜图像(×800)
Figure 4 Confocal laser scanning microscopy image of granular corneal dystrophy (×800)
角膜基质可见高反光、团块状结构,伴大量、细小、颗粒样、高反光结构(箭头);后方背景隐约可见基质细胞。
Highly reflective and lumpy structures can be seen in the stroma of the cornea, with numerous, fine, granular and highly reflective structures (arrow). Stromal cells are faintly seen in the posterior background.
图5 颗粒状角膜营养不良共焦显微镜图像(×800)
Figure 5 Confocal laser scanning microscopy image of Granular corneal dystrophy (×800)
角膜基质呈中-高反光结构(箭头),被大量沉积物占据,基质细胞缺乏。
The corneal stroma has a medium-high reflective structure (arrow),is occupied by large amounts of sediment, and lacks stromal cells.
3 讨论
由于角膜营养不良是一种遗传性疾病,因此众多学者很早就开始了对其分子遗传学方面的研究。目前确定的与角膜营养不良相关的染色体有1、5、9、1 0、1 2、1 6、1 7、2 0、2 1和X染色体,已经确定的角膜营养不良基因有BIGH3、CHST6、K3、K12、M1S1、GSN等[2]。
角膜营养不良在我国较为常见,我们所掌握的深圳地区的一个家系中三代可查人数为1 8人,颗粒状角膜营养不良患者5人。对该家系的研究结果显示:高、低分子量细胞角蛋白在本角膜营养不良家系患者的角膜中有阳性表达,正常角膜则没有表达[3]。研究[4]显示:颗粒状角膜营养不良角膜超微结构,可见部分角膜上皮基底细胞和实质细胞内外均有高电子密度的梭形物质,上皮的基底细胞及实质细胞参与沉积物的形成。颗粒角膜营养不良的发生与角膜上皮的改变可能有关联,角膜上皮中高分子细胞角蛋白明显增加并可能分泌至周边参与沉积物的形成。复习患病角膜的共焦显微镜观察图像,颗粒状角膜营养不良镜下的沉积物在共焦显微镜下可见呈团块状中高反光,周围可见大量粉末状的反光影,逐步扩展病变达到占据基质层,取代基质细胞。进一步印证了角膜上皮细胞及实质细胞参与了颗粒状角膜营养不良的发展。
共焦显微镜是临床实时观察角膜的高分辨率检查设备,在健康角膜激光共焦显微图像上,前弹力层神经纤维,呈连续走行的高反光条索状结构,走行略迂曲,边界光滑,结构清晰[5]。作为活体无创性的检查手段,共焦显微镜可以观察角膜病变的动态发展情况,不仅能分辨上皮细胞层中的表皮细胞、翼状细胞、基底细胞,还可显示角膜总不同层次的神经形态。活体共焦显微镜借助眼部特殊结构和特性,直接观察角膜及其他眼表结构的细胞图像,不需要传统送检的步骤,任意选取疾病的时间段进行疾病的动态跟踪,有助于优化眼表疾病的诊断治疗,重新定义眼表疾病的特征,可在一定程度替代眼表疾病的病理诊断功能。
角膜营养不良的患病角膜的沉积物从何而来,在发病机制中扮演了什么角色,发生角膜营养不良的原因为何,上述问题目前尚未完全清楚,但是随着科技的不断发展,新的技术手段的问世,我们将获得越来越多先进的手段来进一步研究阐明这些问题。
利益冲突
所有作者均声明不存在利益冲突。
开放获取声明
本文适用于知识共享许可协议(Creative Commons),允许第三方用户按照署名(BY)-非商业性使用(NC)-禁止演绎(ND)(CC BY-NC-ND)的方式共享,即允许第三方对本刊发表的文章进行复制、发行、展览、表演、放映、广播或通过信息网络向公众传播,但在这些过程中必须保留作者署名、仅限于非商业性目的、不得进行演绎创作。详情请访问:https://creativecommons.org/licenses/by-nc-nd/4.0/。
基金
1. 深圳市科技计划项目 ( JCYJ20170306140020487,20170302144011871,JCYJ20160428144605809)。
This work was suppor ted by the Science and Technolog y Program of Shenzhen Cit y, China ( JC Y J20170306140020487, 20170302144011871, JCYJ20160428144605809).
This work was suppor ted by the Science and Technolog y Program of Shenzhen Cit y, China ( JC Y J20170306140020487, 20170302144011871, JCYJ20160428144605809).
参考文献
1. 严密, 李美玉, 吴景天, 等. 眼科学[M]. 4版. 北京: 人民卫生出版社, 1995: 81.
YAN M, LI MY, WU JT, et al. Ophthalmology[M]. 4th ed.
Beijing: People’s Medical Publishing House, 1995: 81.
2. Klintworth GK . Advances in the molecular genetics of corneal
dystrophies[ J]. Am J Ophthalmol, 1999, 128(6): 747-754.
3. 应方微, 黎明, 李志. 角膜营养不良家系患病角膜细胞角蛋白表
达的病理研究[ J]. 中国实用眼科杂志, 2007, 25(13): 120-122.
YING FW, LI M, LI Z. The pathology study of cytokeratin in family cornea dystrophy cases[ J]. Chinese Journal of Practical Ophthalmology, 2007, 25(13): 120-122.
YING FW, LI M, LI Z. The pathology study of cytokeratin in family cornea dystrophy cases[ J]. Chinese Journal of Practical Ophthalmology, 2007, 25(13): 120-122.
4. 李永平, 易玉珍, 郑湖玲. 角膜斑块状, 格子状和颗粒状营养不良
超微组化及结构的研究[ J]. 眼科学报, 1989, 5(3/4): 122-126.
LI YP, YI YZ, ZHENG HL. Macular, lattice and granular dystrophy of the cornea: ultra-histochemistry and ultrastructure study[ J]. Eye Science, 1989, 5(3/4): 122-126.
LI YP, YI YZ, ZHENG HL. Macular, lattice and granular dystrophy of the cornea: ultra-histochemistry and ultrastructure study[ J]. Eye Science, 1989, 5(3/4): 122-126.
5. 黎明, 姚晓明. 共焦显微镜临床应用指南[M]. 北京: 人民卫生出
版社, 2015.
LI M, YAO XM. Clinical reference guide for confocal laser scanning microscopy[M]. Beijing: People’s Medical Publishing House, 2015.
LI M, YAO XM. Clinical reference guide for confocal laser scanning microscopy[M]. Beijing: People’s Medical Publishing House, 2015.