返回

活体共聚焦显微镜诊断角膜后部真菌感染与病理诊断的比较研究

阅读量:7704
DOI:10.3978/j.issn.1000-4432.2021.07.15
发布日期:2023-06-07
作者:
孙大鹏 ,李东芳 ,孔倩倩 ,刘廷
展开更多

关键词

共聚焦显微镜
病理
角膜
真菌感染

摘要

目的:比较活体共聚焦显微镜和病理检查在角膜后部真菌感染的诊断阳性率,探讨两种检查方法在角膜后部真菌感染诊断中的价值。方法:回顾性病例对照研究。收集2009年11月至2020年12月在青岛眼科医院就诊并进行穿透性角膜移植手术治疗角膜后部真菌感染患者,术前均进行角膜刮片KOH涂片检查和活体共聚焦显微镜检查,术后病变角膜进行病理组织切片、过碘酸-Schiff法(PAS)染色和六亚甲基四胺银法(GMS)染色检查,比较不同检查方法诊断的阳性率。结果:18例角膜后部真菌感染患者角膜刮片KOH涂片均未检查到真菌菌丝,其中有16例患者经活体共聚焦显微镜检查到真菌菌丝(88.9%),而2例患者在术前活体共聚焦显微镜检查中未查到病原体。术后病理检查PAS染色联合GMS染色,18例患者中18例均可检查到真菌菌丝,角膜后部真菌感染患者病理切片中可见角膜深基质层变性坏死,大量炎症细胞浸润,PAS染色和GMS染色可见典型真菌菌丝侵犯角膜基质深层,而角膜基质浅层及上皮层均未查见真菌菌丝。结论:活体共聚焦显微镜诊断角膜后部真菌感染具有一定的局限性,联合术后病理组织切片和特殊染色检查有助于提高角膜后部真菌感染的诊断率。

全文

真菌性角膜炎(fungal keratitis,FK)是世界范围内常见的致盲性眼病,在我国北方地区真菌感染是感染性角膜病的首位致病因素[1]。临床常见的角膜真菌感染患者通常伴有植物外伤史,可因角膜上皮和基质层的损伤形成角膜溃疡,感染早期在未进行刮除和抗真菌药物等治疗手段时,真菌菌丝生长比较表浅,活体共聚焦显微镜可较容易在浅基质层查见典型的菌丝。文献[2-3]中报道,活体共聚焦显微镜诊断真菌感染的阳性率达90%以上,明显高于其他检查方法。虽然活体共聚焦显微镜在诊断角膜基质浅层真菌感染中具有很高的阳性率,但当临床上遇到角膜感染病灶位于深基质及内皮面的真菌感染患者,即角膜后部真菌感染患者时,真菌感染常较难确诊。由于角膜浅基质层常缺乏明显溃疡病灶,角膜刮片检查通常为阴性,且角膜后部真菌感染病灶可引起角膜基质水肿和混浊,给活体共聚焦显微镜检查增加了诊断难度。部分患者最终需要通过术后病理标本检查来得到确诊。本研究对比角膜后部真菌感染的活体共聚焦显微镜检查阳性率与临床病理检查结果,以期对角膜后部真菌感染的诊断有所帮助。

1 对象与方法

1.1 对象

回顾性分析2009年11月至2020年12月因FK在青岛眼科医院就诊并行穿透性角膜移植手术治疗的18例角膜后部真菌感染患者的临床资料,其中男11例,女7例。年龄23~73(平均53.5)岁。视力为0.1至FC20 cm,眼压15~20 mmHg(1 mmHg=0.133 kg)。所有患者行活体共聚焦显微镜检查前均知情同意,本研究符合青岛眼科医院伦理委员会要求。
入选标准:选择就诊时角膜表面无明显溃疡,角膜病灶位于深基质及内皮面的患者,术前经共聚焦显微镜或术后经病理检查诊断明确,包括病史、裂隙灯检查符合典型的角膜后部感染体征。术前均行角膜刮片KOH涂片检查和活体共聚焦显微镜检查,术后病变角膜片进行病理组织切片和特殊染色检查,根据角膜共聚焦显微镜检查联合术后病理确诊为角膜后部真菌感染患者。排除标准:1)伴有全身免疫性疾病和感染性疾病;2)排除角膜前部感染性病变的患者。

1.2 活体共聚焦显微镜检查方法

使用海德堡激光共聚焦显微镜(HRTIII德国海德堡公司),观察视野为400 μm ×400 μm,放大倍数为800,分辨率为1 μm。简要检查步骤:应用0.4%奥布卡因滴眼2次进行表面麻醉,开睑器撑开眼睑,患者坐位固定头部,移动共聚焦显微镜物镜对齐患者角膜病灶中央,微调物镜看到角膜表层上皮定位为0 μm,匀速旋转调节物镜向前推进,间隔约10 μm深度采集各层角膜图像,采集图像最深度至约770 μm。所有检查由同一名特检科高年资医师进行。

1.3 手术方式

    综合FK患者病情考虑,术前应用抗真菌药物治疗无效,感染症状持续进展,视力明显下降。18例患者因感染严重侵犯角膜深基质层,前房炎症反应重,前房积脓行穿透性角膜移植术。所有患者接受PKP手术,首先测量Fleischer环直径的大小以确定钻切植床的环钻直径,角膜环钻钻取,再以钻石刀切透全层,前房注入缩瞳剂,以角膜剪取下病变角膜组织,将制备好的较植床直径大0.25 mm角膜植片应用10-0尼龙缝线间断缝合。在手术显微镜的自动散光盘指导下调整缝线,消除术中散光[4]

1.4 角膜组织病理组织学检查

穿透性角膜移植手术在术中切除病变角膜组织,组织经4%甲醛固定24 h以后,经病灶中心取材,从80%乙醇开始进行梯度乙醇脱水,二甲苯透明,浸蜡,石蜡包埋后切片,切片厚度4 μm,切片经二甲苯脱蜡后,梯度乙醇复水,苏木精伊红染色,中性树胶封片。

1.5 组织过碘酸-Schiff法(periodic acid-schiff,PAS)

病变角膜组织切取4 μm石蜡切片进行PAS染色,简略步骤如下:石蜡切片经二甲苯脱蜡,梯度乙醇复水,过碘酸染色10 min,水洗1 min,雪夫氏染色20 min,硫代硫酸钠洗2 min,苏木精复染细胞核,中性树胶封片。观察角膜内浸润的真菌菌丝,发现有红色菌丝为真菌感染阳性。

1.6 角膜组织六亚甲基四胺银法(GMS)染色

病变角膜组织切取4 μm石蜡切片进行过六胺银(Grocott Methenamine silver,GMS)染色,简略步骤如下:石蜡切片经二甲苯脱蜡,梯度乙醇复水,8%铬酸水溶液染色20 min,水洗1 min,0.5%偏重亚硫酸钠液处理1 min,水洗后放入六胺银工作液于60 ℃温箱内60 min,至切片呈黄褐色,见角膜基质内真菌菌丝呈黑褐色为阳性。

2 结果

2.1 角膜后部真菌感染临床表现和活体共聚焦显微镜检查结果

患者发病前均有眼部角膜外伤病史,包括板栗刺伤、植物划伤和异物碰伤等,最长病史达3个月,最短病史约1个月,平均为2个月。发病初期均有反复发作的眼红、痛、视力轻度下降,刺激症状等表现。经治疗后迁延不愈,病程后期症状加重,出现流泪、不能睁眼等体征,视力下降显著,定位和红绿色觉正常,角膜后部真菌感染患者体征表现为球结膜混合充血,可见角膜上皮尚完整,角膜水肿,病灶位于角膜中央或边缘深基质内,病灶的内皮面可见白色圆形混浊浸润,角膜病灶区内皮面大量脓液附着(内皮斑),前房内渗出细胞,前房下方积脓。前节OCT检查可见角膜基质水肿,炎细胞浸润,深层基质混浊区域无法穿透。到本院就诊后1 8例角膜后部真菌感染患者角膜刮片KOH涂片均未检查到真菌菌丝,其中有1 6例患者经活体共聚焦显微镜检查到真菌菌丝(88.9%),活体共聚焦显微镜检查在基质浅层未见树枝状菌丝,在深基质和内皮层查见典型的真菌菌丝伴炎细胞浸润(图1,2)。
大多数角膜后部真菌感染的病例在共聚焦显微镜下检查均发现典型的深基质或内皮面菌丝,形态呈分枝状,少数病例的共聚焦显微镜检查图片中最终仅查见单根菌丝(图3 )。术后真菌培养1 8例患者中有1 0例患者培养阳性(55.5%),其中镰刀菌占5例,曲霉菌占3例,链格孢霉菌占2例。

2.2 组织病理学PAS和GMS染色检查结果

患者穿透性角膜移植术后行病理检查,病理切片HE染色可见角膜深基质层变性坏死,大量炎症细胞浸润,PAS染色联合GMS染色在18例患者中均可检查到真菌菌丝,角膜后部真菌感染PAS染色可见典型真菌菌丝侵犯角膜基质深层,而角膜基质浅层未查见真菌菌丝,GMS染色也可查见角膜基质中黑色的菌丝(图4)。角膜后部真菌感染患者活体共聚焦显微镜、病理检查和真菌培养诊断阳性率比较见表1。
2例角膜后部真菌感染患者术前无法明确为真菌感染,术前活体共聚焦显微镜检查在内皮面见大量团状高反光,细节视不清,角膜基质水肿,可视图像中未探及明显病原体。角膜移植术后角膜组织病理切片进行PAS染色可见后弹力层后表面大量红染、树枝状的菌丝,内见分隔(图5)。
20230607173322_6058.png

图1 典型角膜后部真菌感染患者裂隙灯、OCT及共聚焦图像
Figure 1 Representitive images of slit lamp, OCT and confocal microscope of retrocorneal fungal infection
(A)角膜后部真菌感染患者裂隙灯下可见角膜上皮层完整,病灶位于较深基质,前房有积脓;(B)光学相干断层扫描显示病灶位于较深基质;(C)活体共聚焦显微镜在深基质查见大量菌丝;(D)活体共聚焦显微镜在内皮层查见典型的菌丝。
Retrocorneal fungal infection near the corneal limbus (A), slit lamp examination showing a deep stroma lesion with intact epithelium (B),and confocal microscopy images showing the hyphae in deep stroma (C), and the hyphae in the endothelium layer (D).

20230607173525_6218.png

图2 典型角膜后部真菌感染患者裂隙灯及共聚焦图像
Figure 2 Representitive images of slit lamp and confocal microscope of retrocorneal fungal infection
(A)裂隙灯下角膜后部真菌感染病灶位于角膜缘部位;(B)裂隙灯下角膜上皮层尚完整,病灶位于深基质;(C)活体共聚焦显微镜在深基质查见大量菌丝;(D)活体共聚焦显微镜在内皮层查见典型的菌丝。
Retrocorneal fungal infection near the corneal limbus (A), slit lamp examination showing a deep stroma lesion with intact epithelium (B),and confocal microscopy images showing the hyphae in deep stroma (C), and the hyphae in the endothelium layer (D).

20230607173645_3560.png

图3 典型角膜后部真菌感染患者的激光共聚焦显微镜检查图像
Figure 3 Representitive images of confocal microscope of retrocorneal fungal infection
(A)深基质粗大呈树枝状的真菌菌丝;(B)可见深基质内纤细的真菌菌丝;(C,D)激光共聚焦显微镜检查示深基质仅能查见数根甚至是单根菌丝。
Thick and dendritic hyphae (A), thin hyphae (B), a few or even single hypha (C, D) in deep stroma.

20230607174300_4198.png

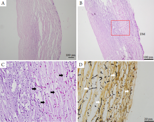
图4 角膜后部真菌感染患者的角膜组织病理学HE、PAS和GMS染色图像
Figure 4 Representitive images of HE, PAS and GMS stain
(A) HE染色可见较多炎细胞浸润,基质变性坏死;(B) PAS染色深基质红框区内大量红染的菌丝接近后弹力层(DM);(C)红框区高倍视野,黑色箭头所示较多红染的菌丝分布在深基质层;(D)GMS染色可见白色箭头所示菌丝染为黑褐色。
(A)Retrocorneal fungal infection with inflammation cells infiltration and storma necrosis, PAS staining shown hyphae in deep stroma and near the DM (B), black arrows shown stained hyphae (C), and white arrows shown black and brown stained hyphae with GMS staining (D).

表1 角膜后部真菌感染患者活体共聚焦显微镜、病理检查和真菌培养诊断阳性率比较
Table 1 Comparison of positive rates of in vivo confocal microscopy, pathological examination and fungal culture in retrocorneal fungal infection

20230607174343_8418.png
20230607174421_4846.png

图5 角膜深层真菌感染患者的裂隙灯、共聚焦及病理PAS图像
Figure 5 Representitive images of slit lamp, confocal microscope and PAS stain
(A)角膜后部真菌感染患者裂隙灯下可见角膜病灶位于较深基质,前房有积脓;(B)活体共聚焦显微镜内皮面见大量团状高反光,细节视不清,边缘基质水肿,内皮面隐见大量炎细胞,可视图像中未探及明显病原体;(C)角膜组织病理学切片进行PAS染色可见后弹力层后表面大量典型的菌丝(黑色箭头示)。
(A) Retrocorneal lesion with hypopyon, no hyphae in deep stroma with confocal microscopy examination (B), and black arrows shown the hyphae on the back of DM with PAS staining (C).

3 讨论

FK是国内角膜感染致盲的首要原因,及时诊断和治疗是预防FK并发症发生的关键。在活体共聚焦显微镜发明之前,角膜组织刮片进行KOH涂片是术前诊断FK的主要方法,而病理诊断是手术后诊断的唯一金标准。临床常用的活体共聚焦显微镜是德国海德堡公司生产,其图像最佳分辨率精度达1 μm,放大倍率达800倍[5]。活体共聚焦角膜显微镜具有快速、无创伤和可多次进行的优点,迅速在角膜组织观察和病原体的诊断中发挥主导作用[4,6]
活体共聚焦显微镜在诊断角膜真菌、阿米巴等感染性角膜病有独特的优势[7-9],为临床医生提供手术依据,同时活体共聚焦显微镜对判断抗真菌药物治疗效果,调整临床治疗方案也都提供客观依据[10]。FK患者的感染病灶如果位于角膜深基质或内皮面,则称为角膜后部真菌感染[11]。在我们报道的角膜后部真菌感染患者大多数具有明确的植物、飞虫或者金属等外伤病史,都应小心细致的检查。角膜深层真菌感染患者通常角膜病灶混浊较严重,由于病灶位于深基质层,以及炎症和内皮损害引起角膜水肿,影响了激光的穿透性和成像清晰度,因此病灶中心区域在活体共聚焦显微镜下往往成像不清晰,首先应着重针对病灶边缘水肿较轻的区域进行扫描,其次应对患者角膜全层进行细致的扫描,特别是有明显的角膜内皮面和前房积脓的患者,根据病灶的深度确定重点扫描的角膜后部范围。
活体共聚焦显微镜对FK诊断的敏感性和特异性在不同文献中报道略有差异[12],Kanavi等[13]对133例感染性角膜炎患者进行检查,活体共聚焦显微镜对FK诊断的敏感率约为94%,特异性为78%。Chidambaram等[14]的研究纳入239例患者,活体共聚焦显微镜对F K诊断的敏感性和特异性分别为85.74%和81.4%。本研究纳入的病例是真菌感染中较为少见的角膜后部真菌感染,其中有两例患者在术前活体共聚焦显微镜未能明确诊断,诊断率大约为88.9%,究其原因最大可能性是由于患者炎症反应重,角膜基质混浊明显,菌丝位于基质贴近后弹力层甚至在前房内,深度可能超出活体共聚焦显微镜激光穿透能力以及仪器成像分辨率。在这种情况下,术后病理检查就显得尤为重要。
病理特殊染色PAS染色和GMS染色可将基底膜和糖原成分进行特异性染色,高欢欢等[15]使用了PAS染色和GMS染色可良好地显示角结膜原位癌基底膜,其中PAS染色显色更为鲜明,与背景反差更明显,操作更为方便,认为其是一种理想的基底膜染色方法。在本研究的组织病理检查PAS染色中可以清楚看到树枝状有分隔的菌丝结构。应用GMS染色也可观察到对比清晰的菌丝。因此对于角膜后部真菌感染,病理学特殊染色检查仍是不可或缺的检查手段。因为真菌菌丝在HE切片中不能清晰的显示,因此在临床病理检查中针对角膜切片中的菌丝常采用PAS染色,可以将真菌富含多糖的细胞壁清晰显示,另外对角膜标本病灶区域的多张切片进行PAS染色,并结合GMS染色可明显提高真菌检出的阳性率,在18例角膜后部真菌感染患者中均检查到菌丝。
有研究表明活体共聚焦显微镜诊断真菌感染阳性率与医师临床经验有关系,Kheirkhah等[16]采集同一批真菌性和细菌性角膜炎患者的共聚焦图像,比较不同临床经验的医师应用共聚焦显微镜诊断FK的差别,临床经验丰富的诊断医师发现共聚焦图像中菌丝的敏感性为71.4%,而临床经验较少的诊断医师发现菌丝敏感性仅为42.9%。表明诊断医师的临床经验对共聚焦显微镜检查结果有明显的影响。活体共聚焦显微镜还可依据菌丝的形态进行初步的菌种鉴定[17],活体共聚焦显微镜能观察到镰刀菌和曲霉菌感染的菌丝分枝夹角有差别,可通过菌丝分枝的角度来初步区分镰刀菌和曲霉菌感染,曲霉菌为有隔菌丝组成,菌丝分叉呈4 5°,而镰刀菌菌丝分叉角度为9 0°。但是也有新近研究[18]对98例FK患者进行研究,共聚焦显微镜下镰刀菌分叉角度59.7°和曲霉菌分叉角度63.3°之间并无明显差距,不能作为区分的标准。
综上所述,共聚焦显微镜在F K的诊断具有无创、快速、可重复进行等独到优势,但在角膜后部感染病变的诊断中有一定的局限性,其次由于活体共聚焦显微镜无法对角膜组织进行染色显影,不能确定真菌的种属、类别,因此仍然需要与培养及组织病理检查等手段结合起来,共同提高对FK的诊断率。

基金

1. 山东省自然科学基金 (ZR2015YL026);青岛市市南区科技发展资金项目 (2018-4-030-YY)。
This work was supported by the Natural Science Foundation of Shandong (ZR2015YL026) and the Science and Technology Program of Qingdao South District (2018-4-030- YY), China.

参考文献

1. Xie L, Zhong W, Shi W, et al. Spectrum of fungal keratitis in north China[ J]. Ophthalmology, 2006, 113(11): 1943-1948.
2. Erie JC,Mc Laren JW, Pate l SV.Confocal microscopy in ophthalmology[ J]. Am J Ophthalmol, 2009, 148(5): 639-646.
3. Niederer RL, McGhee CN. Clinical in vivo confocal microscopy of the human cornea in health and disease[ J]. Prog Retin Eye Res, 2010, 29(1): 30-58.
4. 刘瑞, 李冰, 徐鼎, 等. 活体共聚焦显微镜观察视网膜激光光凝术 对角膜上皮下神经的影响[ J]. 眼科学报, 2018, 33(2): 101-107.
LIU R, LI B, XU D, et al. Effect of retinal photocoagulation on corneal sub-basal nerve observed by in vivo confocal microscopy[ J]. Yan Ke Xue Bao, 2018, 33(2): 101-107.
5. Villani E, Baudouin C, Efron N, et al. In vivo confocal microscopy of the ocular surface: from bench to bedside[ J]. Curr Eye Res, 2014, 39(3): 213-231.
6. 王楠, 赵桂秋, 高昂, 等. 刮片镜检法联合激光扫描共焦显微镜快 速诊断真菌性角膜炎的临床评价[ J]. 中华实验眼科杂志, 2013, 31(5): 493-495.
WANG N, ZHAO GQ, GAO A, et al. Clinical evaluation of rapid diagnosis of fungal keratitis by the combination of corneal scraping with laser scanning confocal microscopy[ J]. Chinese Journal of Experimental Ophthalmology, 2013, 31(5): 493-495.
7. Chiou AG, Kaufman SC, Kaufman HE, et al. Clinical corneal confocal microscopy[ J]. Surv Ophthalmol, 2006, 51(5): 482-500.
8. Thomas PA, Kaliamurthy J. Mycotic keratitis: epidemiology, diagnosis and management[ J]. Clin Microbiol Infect, 2013, 19(3): 210-220.
9. Chidambaram JD, Prajna NV, Palepu S, et al. In vivo confocal microscopy cellular features of host and organism in bacterial, fungal, and acanthamoeba keratitis[ J]. Am J Ophthalmol, 2018, 190(6): 24-33.
10. 史伟云, 牛晓光, 王富华, 等. 真菌性角膜炎药物治疗后转归的共 焦显微镜观察[ J]. 中华眼科杂志, 2005, 41(7): 614-619.
SHI WY, NIU XG, WANG FH, et al. Evaluation of antifungal chemotherapeutic effects on fungal keratitis by confocal microscopy[ J]. Chinese Journal of Ophthalmology, 2005, 41(7): 614-619.
11. 程钧, 翟华蕾, 王君怡, 等. 角膜后部真菌感染的临床特点和治疗 策略[ J]. 中华眼科杂志, 2017, 53(10): 758-765.
CHENG J, ZHAI HL, WANG JY, et al. Clinical features and treatments of retrocorneal fungal infection[ J]. Chinese Journal of Ophthalmology, 2017, 53(10): 758-765.
12. 梁庆丰, 孙旭光, Antoine L. 活体共聚焦显微镜在感染性角膜炎 诊治中的应用[ J]. 中华眼科杂志, 2013, 49(10): 951-955.
LIANG QF, SUN XG, LABBE Antoine. Role of in vivo confocal microscopy in the management of infectious keratitis[ J]. Chinese Journal of Ophthalmology, 2013, 49(10): 951-955.
13. Kanavi MR, Javadi M, Yazdani S, et al. Sensitivity and specificity of confocal scan in the diagnosis of infectious keratitis[ J]. Cornea, 2007, 26(7): 782-786.
14. Chidambaram JD, Prajna NV, Larke NL, et al. Prospective study of the diagnostic accuracy of the in vivo laser scanning confocal microscope for severe microbial keratitis[ J]. Ophthalmology, 2016, 123(11): 2285-2293.
15. 高欢欢, 张平, 林健贤, 等. 三种特殊染色方法在角结膜原位癌基 底膜染色中的应用[ J]. 眼科学报, 2018, 33(1): 32-36.
GAO HH, ZHANG P, LIN JX, et al. Application of three special staining methods in the basement membranes in corneal and conjunctival carcinoma in situ[ J]. Eye Science, 2018, 33(1): 32-36.
16. Kheirkhah A, Syed ZA, Satitpitakul V, et al. Sensitivity and specificity of laser-scanning in vivo confocal microscopy for filamentous fungal keratitis: role of observer experience[ J]. Am J Ophthalmol, 2017, 179(7): 81-89.
17. Winchester K, Mathers WD, Sutphin JE. Diagnosis of Aspergillus keratitis in vivo with confocal microscopy[ J]. Cornea, 1997, 16(1): 27-31.
18. Chidambaram JD, Prajna NV, Larke N, et al. In vivo confocal microscopy appearance of Fusarium and Aspergillus species in fungal keratitis[ J]. Br J Ophthalmol, 2017, 101(8): 1119-1123.

施引文献

1. 张晗. 高分辨全视场显微成像方法研究[D].西安工业大学,2023.

相关文章