返回

医用自交联透明质酸钠凝胶在内窥镜下泪囊鼻腔吻合术中的应用

阅读量:12437
DOI:/j.issn.1000-4432.2022.07.05
发布日期:2022-12-06
作者:
郑海生 ,徐家窈 ,陈海燕 ,欧阳博文 ,钟兴武
展开更多

关键词

鼻内镜下泪囊鼻腔吻合术
医用自交联透明质酸钠凝胶
慢性泪囊炎
肉芽肿
瘢痕

摘要

目的:探讨医用自交联透明质酸钠凝胶对鼻内窥镜下泪囊鼻腔吻合术(endonasal endoscopic dacryocystorhinostomy,En-DCR)后的影响。方法:将219例单侧慢性泪囊炎(chronic dacryocystitis CD)患者随机分为医用自交联透明质酸钠凝胶组(A组)和对照组(B组)。所有患者行En-DCR。A组将医用自交联透明质酸钠凝胶填充吻合口,B组不做任何处理。随访12个月。比较创面黏膜上皮化、肉芽形成情况、渗血情况及吻合口通畅成功率。结果:A组98例,B组102例。随访2周,A组86例患者鼻腔吻合口黏膜上皮完整,B组77例患者鼻腔吻合口黏膜上皮完整。随访12个月,A组有7例患者存在瘢痕(7.1%),8例患者出现肉芽肿(8.2%),而B组有17例患者存在瘢痕(16.7%),18例患者出现肉芽肿(17.6%)。两组瘢痕形成及出现肉芽肿差异均有统计学意义(P<0.05)。A组的吻合口通畅成功率达到90.8%(89/98),而B组的成功率为78.4%(80/102)(P<0.05)。B组患者术后渗血情况A组相当(P>0.05)。结论:医用自交联透明质酸钠凝胶填充吻合口可通过促进En-DCR术后吻合口黏膜上皮愈合和降低伤口瘢痕及肉芽肿生成率,提高En-DCR治疗CD的成功率。

全文

      慢性泪囊炎是一种常见病、多发病,多因鼻泪管发生阻塞,泪液引流不畅无法排出而积存于泪囊,同时合并细菌感染所致。患者多表现为流泪、眼分泌物多,给患者带来极大不适和痛苦。鼻腔泪囊吻合手术是治疗慢性泪囊炎行之有效的方法,其中传统的鼻腔泪囊吻合术经面部泪囊区皮肤切口,手术创伤较大,同时会在面部留下疤痕,这是患者特别是年轻的女性患者所不能接受的。而鼻内窥镜下鼻腔泪囊吻合术因其术中创伤小、出血少、住院时间短、避免面部瘢痕等优点而越来越受欢迎。然而,En-DCR的成功率存在较大差异[1-5],虽然经过各种方法改进如改变骨窗大小[6]、丝裂霉素的应用[7-9]、泪道置管[9]、鼻黏膜瓣与泪囊瓣的缝合[10]等,但鼻腔泪囊吻合口仍有闭塞导致手术失败。而导致吻合口闭塞的原因主要有吻合口处凝血块堵塞、过多疤痕粘连或肉芽形成[11]。医用自交联透明质酸钠凝胶具有抑制纤维增生、止血、隔离创面和促进创面愈合等效果,其在耳鼻喉科、妇产科及脊柱外科等外科手术中应用较广[12-14],但在En-DCR中的应用较少。因此本研究旨在探讨在En-DCR中,医用自交联透明质酸钠凝胶填充鼻腔泪囊吻合口是否会刺激伤口黏膜再生及吻合口周围的黏膜上皮化,并了解其对En-DCR术后渗血以及吻合口通畅情况,明确在En-DCR术中辅助使用医用自交联透明质酸钠凝胶对治疗慢性泪囊炎成功率的影响。

1 对象与方法

1.1 对象

      本研究于2017年12月至2021年7月在海南省眼科医院进行。根据《赫尔辛基宣言》的原则,本研究获得海南省眼科医院机构审查委员会的伦理批准,并且所有患者或患者家属术前同意并签署手术知情同意书。纳入标准[15]:1)患者有溢泪,按压泪囊区有脓性或黏性分泌物排出;2)泪道冲洗:经下泪点进针冲洗从上泪点反流,冲洗针头触及骨壁,反流液见黏性或脓性分泌物。排除标准:1)全身疾病史(如糖尿病、高血压、甲亢、凝血功能障碍者);2)18岁以下患者;3)既往有泪道及鼻部疾病手术史;4)倒睫或眼睑位置异常(如眼睑内翻或外翻);5)眼睑或鼻部外伤;6)鼻疾病(如鼻占位、严重鼻中隔偏曲、息肉、鼻窦炎)。

1.2 方法

所有患者住院后均同一手术医生实施En-DCR。所有入组病例由一名独立的工作人员随机分为医用自交联透明质酸钠凝胶组(A组;千创复,常州百瑞吉生物医药有限公司)和对照组(B组),记录患者的年龄、性别、主诉、症状持续时间和预后。术后1、2周及1、3、6、12个月随访。A组在En-DCR术中使用医用自交联透明质酸钠凝胶填充鼻腔泪囊吻合口及其周围鼻腔黏膜,B组在En-DCR术中未使用医用自交联透明质酸钠凝胶填充鼻腔泪囊吻合口及其周围鼻腔黏膜。En-DCR的手术技术:患者取仰卧位,全身麻醉后进行手术。使用0°4mm鼻内窥镜(德国KarlStorz公司)直接观察,在泪囊窝区切开鼻外侧黏膜并移除(约1cm×1.2cm)(图1A),用金刚砂磨头(XPS3000,Medtronic)磨薄上颌骨额突骨质后再用咬骨钳咬除(图1B),形成约1cm×1.2cm大小骨窗暴露泪囊。经上泪点注入透明质酸钠(爱维,博士伦)撑起泪囊,用3.0mm刀(Beaver Visitec International)于近泪囊上缘处弧形切开泪囊内侧壁形成“C”形泪囊黏膜瓣(图1C),修剪泪囊黏膜瓣及鼻黏膜,使二者切缘对位贴合(图1D)。这是B组患者手术的最后一步。而在A组中则将医用自交联透明质酸钠凝胶填充于吻合口及周围粘膜处(图2,3)。术后予患者每天4次妥布霉素地塞米松眼药水(TobraDex,ALCON)点眼1周,后改为氧氟沙星滴眼液和普拉洛芬滴眼液均为每天4次,持续2个月,每日两次糠酸莫米松喷鼻剂喷鼻(Nasonex,MSD),持续3个月。术后48h观察鼻部及泪点处渗血情况,术后第3天行泪道冲洗及鼻内窥镜检查,术后2周仔细清除所有患者吻合口处的凝血块。术后2周、1个月、3个月、6个月、12个月复诊时均行泪道冲洗,鼻内镜检查评估伤口愈合情况(观察患者吻合口黏膜上皮化、瘢痕、肉芽肿及开放情况)。以上观察指标均一名独立的医生记录下来。

1.3 评价指标

术后渗血情况:观察患者术后眼角和鼻腔渗血的持续时间与渗血量。1)无渗血;2)少量渗血:活动后鼻腔或眼角有少量一过性渗血,待活动停止后渗血停止,术后3d基本无明显渗血;3)较多渗血:静卧时鼻腔或眼角持续性渗血,1~2滴/min,于活动后加重,达6~10滴/min,术后3d渗血量可逐渐减少,持续可达术后7~10d[16]。术后观察吻合口及周围是否出现肉芽组织形成、瘢痕增生及吻合口黏连。在12个月的复查中,En-DCR术后吻合口通畅标准为行泪道冲洗时冲洗液流入咽喉,无反流,吻合口衬有健康黏膜上皮。
20230203160523_3026.png

图1 En-DCR手术步骤
Figure 1 Procedure of endonasal endoscopic dacryocystorhinostomy

20230203160854_0083.png

图2 医用自交联透明质酸钠凝胶
Figure 2 Medical self-crosslinking sodium hyaluronate gel

20230203160947_8339.png
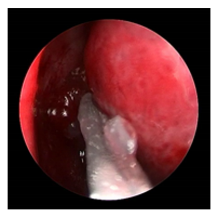
图3 医用自交联透明质酸钠凝胶填充于吻合口
Figure 3 Medical self-crosslinking sodium hyaluronate gel
filling the ostium

1.4 统计学处理

      采用SPSS 22.0统计软件分析数据。计量资料以均数±标准差(x±s)表示,采用独立样本t检验;计数资料以例(%)表示,比较行Pearson’s χ2检验。P<0.05为差异有统计学意义。

2 结果

2.1 术前一般资料比较

      219例患者中,A组共11例患者被排除,其中10例因患者行动不便或路途遥远等原因未能按时回医院复诊,1例患者因术后当天鼻腔出血较多给予膨胀海绵填塞止血;B组共8例患者被排除,其中8例因患者行动不便或路途遥远等原因未能按时回医院复诊。故将98例患者纳入A组,其中男18例,女80例,年龄25~82(54.73±14.62)岁,病程8个月~9年(2.8±1.47年);102例患者纳入B组,其中男19例,女83例,年龄19~84(55.37±15.69)岁,病程8个月~9.5年(3.2±1.57年)。两组年龄、性别和病程差异无统计学意义(P>0.05,表1)。

表1 两组一般资料情况
Table 1 General data of the two groups

20230203161247_4629.png

2.2 患者术后疗效比较

      医用自交联透明质酸钠凝胶在术后2周内大部分被吸收(图4)。在12个月的回顾中,发现EnDCR术后2周A组有86例(87.8%)患者的吻合口黏膜上皮完整,而B组有77例(75.5%)患者;En-DCR术后12个月A组鼻腔通畅的成功率为90.8%,对照组为78.4%(表2)。
20230203161421_1456.png

图4 术后2周内大部分医用自交联透明质酸钠凝胶被吸收
Figure 4 Most of the medical self-cross-linked sodium
hyaluronate gel was absorbed within 2 weeks after surgery

20230203161600_5019.png

表2 两组术后吻合口上皮化及通畅率情况
Table 2 Postoperative anastomotic epithelialization and
patency rate of the two groups

2.3 患者术后并发症发生率比较

      A组36例(36.7%)出现术后渗血,而B组42例(41.2%),差异无统计学意义(P>0.05)。随访12个月后,A组有7例患者存在瘢痕(7.1%;图5A),8例患者出现肉芽肿(8.2%;图5B),而B组有17例患者存在瘢痕(16.7%),18例患者出现肉芽肿(17.6%)。两组瘢痕形成及出现肉芽肿差异均有统计学意义(P<0.05,表3)。
20230203161703_8237.png

图5 术后并发症
Figure 5 Postoperative complications
(A)瘢痕;(B)肉芽肿。
(A) Scar; (B) Granuloma.

表3 两组术后并发症情况
Table 3 Postoperative complications in two groups

20230203161748_2444.png

3 讨论

      近年来,鼻内窥镜下鼻腔泪囊吻合术因其手术出血少、微创、美观等优点比经皮肤切口的鼻腔泪囊吻合术更受广大医生的欢迎。鼻腔吻合口维持通畅是En-DCR手术成功的关键。丝裂霉素C[16-18]、硅胶泪道引流管或支架植入[9,19]、膨胀海绵[20]和美乐胶[21-22]的应用等是较为常用的维持吻合口通畅的方法。然而,以上方法都有局限性,如丝裂霉素C可抑制细胞生长很可能也限制健康上皮细胞的再生[23];硅胶置管有诱导炎症反应刺激肉芽肿增生的可能性[11];膨胀海绵术后需要取出,容易造成二次损伤,引起鼻出血、疼痛、吻合口黏膜损伤[20,24]。术后发生吻合口瘢痕和肉芽增生是造成吻合口堵塞而手术失败的主要原因。因此,理想的吻合口填充材料应可促进吻合口黏膜健康的再上皮化,且不形成过多瘢痕及肉芽肿增生,以确保手术吻合口的通畅。透明质酸钠从发现迄今已有近80年的历史,目前广泛应用于各种腹腔镜手术、妇产科及眼科白内障手术中。医用自交联透明质酸钠凝胶是应用自交联技术,通过激发透明质酸钠分子的内部活性而形成稳定有序的三维交联网状结构,使交联的透明质酸钠凝胶有以下特点:1)实现动力黏度高,呈非流动性的果冻状凝胶,使稳定贴附于创面,解决普通透明质酸钠黏度低、易流动,无法停留在创面的缺点;2)相较于普通的透明质酸钠体内1~2d的降解吸收,其显著延缓体内降解吸收时间,与创伤愈合关键期相匹配(7~14d);3)全面保留透明质酸钠的良好生物相容性,提高使用安全性;4)显著提高透明质酸钠的促进创伤无疤痕愈合的特性。因此自交联透明质酸钠可促进患者减少术后疤痕粘连,促进上皮愈合,从而减少了外科手术后并发症发生的概率[25]。本研究显示:在2周复查时,A组有87.8%的患者吻合口处黏膜上皮完整,高于对照组的75.5%。在12个月的回顾中,A组的吻合口通畅成功率达90.8%,而对照组为78.4%。本研究中A组的瘢痕发生率和肉芽肿形成率显著低于对照组,自交联透明质酸钠凝胶填充吻合口可通过促进En-DCR术后吻合口黏膜上皮愈合和降低伤口瘢痕及肉芽肿生成率,可能是其提高En-DCR治疗CD的成功率的原因。Shin等[26]在En-DCR中应用透明质酸与羧甲基纤维素钠混合液填充入吻合口,术后6个月吻合口通畅成功率达91.5%,并有较好预防吻合口黏连效果。Yu等[25]和王耀华等[27]观察自交联透明质酸钠凝胶在En-DCR中的应用发现,En-DCR术后吻合口通畅成功率可分别达89%和91%,同时促进吻合口黏膜上皮愈合和预防过度肉芽肿。这与本研究的结果基本一致。在En-DCR中泪囊瓣和鼻黏膜瓣贴合非常重要,一般耳鼻喉科医生往往是用线将二者对位缝合,因鼻腔空间较小,所以对术者的操作要求较高,同时缝线还可刺激局部肉芽组织增生不利于创口上皮化。而在我们的手术中只需将泪囊瓣和鼻黏膜瓣铺平创缘对位贴合,再在吻合口及其周围黏膜填充自交联透明质酸钠凝胶即可,术后2周自交联透明质酸钠凝胶可被人体降解吸收,对人体组织无炎症刺激反应,因此术后无需予患者鼻腔清创换药,避免因清创换药造成吻合口及鼻腔黏膜二次损伤出血。自交联透明质酸钠凝胶虽有一定膨胀性,但止血效果不佳,且无塑形功能,所以术后伤口渗血情况较对照组无明显改善,可考虑与有较好塑形和止血功能的可吸收止血凌一起联合应用效果更佳。综上所述,通过促进吻合口的早期上皮化及抑制吻合口纤维化及肉芽组织增生是医用自交联透明质酸钠凝胶维持En-DCR术后吻合口通畅的关键因素。辅助使用医用自交联透明质酸钠凝胶可以提高En-DCR治疗慢性泪囊炎的成功率。

开放获取声明

    本文适用于知识共享许可协议 ( Creative Commons),允许第三方用户按照署名(BY)-非商业性使用(NC)-禁止演绎(ND)(CC BY-NC-ND)的方式共享,即允许第三方对本刊发表的文章进行复制、发行、展览、表演、放映、广播或通过信息网络向公众传播,但在这些过程中必须保留作者署名、仅限于非商业性目的、不得进行演绎创作。详情请访问:https://creativecommons.org/licenses/by-nc-nd/4.0/

基金

1. 海南省自然科学基金 (819MS133);海南省重点研发计划 (ZDYF2020151);海南省临床医学中心。
This work was supported by the Hainan Natural Science Foundation (819MS133); Hainan Provincial Key Research and Development Program (ZDYF2020151); Hainan Province Clinical Medical Center, China

参考文献

1. 王耀华, 金琦, 甘莆英, 等. 不同可吸收吻合口填充材料在鼻内镜下泪囊鼻腔吻合术中的应用疗效[ J]. 国际眼科杂志, 2021,21(10): 1825-1829.
WANG Yaohua, JIN Qi, GAN Puying, et al. Effect of different absorbable anastomotic stoma packing materials on endonasal endoscopic dacryocystorhinostomy[ J]. International Eye Science, 2021, 21(10): 1825-1829.
2. Shin HY, Paik JS, Yang SW. Clinical results of anti-adhesion adjuvants after endonasal dacryocystorhinostomy[ J]. Korean J Ophthalmol, 2018, 32(6): 433-437.
3. Yu B, Tu Y, Zhou G, et al. Self-cross-linked hyaluronic acid hydrogel in endonasal endoscopic dacryocystorhinostomy: a randomized, controlled trial[ J]. J Craniofac Surg, 2021, 32(5): 1942-1945.
4. Burduk PK, Wierzchowska M, Grze?kowiak B, et al. Clinical outcome and patient satisfaction using biodegradable (NasoPore) and non- biodegradable packing, a double-blind, prospective, randomized study[ J]. Braz J Otorhinolaryngol, 2017, 83(1): 23-28.
5. Roozitalab MH, Amirahmadi M, Namazi MR. Results of the application of intraoperative mitomycin C in dacryocystorhinostomy[ J]. Eur J Ophthalmol, 2004, 14(6): 461-463.
6. 李沙, 陈琳, 刘兵, 等. 鼻腔泪囊吻合术中填充美乐胶治疗小泪囊泪囊炎[ J]. 国际眼科杂志, 2019, 19(9): 1615-1618.
LI Sha, CHEN Lin, LIU Bing, et al. Clinical efficacy of MeroGel in the treatment of dacryocystitis with small dacryocyst[ J]. International Eye Science, 2019, 19(9): 1615-1618.
7. Wu W, Cannon PS, Yan W, et al. Effects of Merogel coverage on wound healing and ostial patency in endonasal endoscopic dacryocystorhinostomy for primary chronic dacryocystitis[ J]. Eye (Lond), 2011, 25(6): 746-753.
8. 陈志杰, 包赫, 崔浩. 鼻内窥镜下泪囊鼻腔吻合术中美乐胶与膨胀海绵应用的效果 比较[ J]. 中华眼外伤职业眼病杂志, 2016,38(9): 688-691.
CHEN Zhijie, BAO He, CUI Hao. Comparision of the effects between Merogel and expansion sponge in nasal endoscopic dacryocystor hinostomy[ J]. Chinese Journal of Ocular Trauma and Occupational Eye Disease, 2016, 38(9): 688-691.
9. Fayers T, Dolman PJ. Bicanalicular silicone stents in endonasal dacryocystorhinostomy: Results of a randomized clinical trial[ J]. Ophthalmology, 2016, 123(10): 2255-2259.
10. Jayantha Kedilaya Y, Chacko A, Poorey VK. Improving the results of endonasal dacryocystorhinostomy with mitomycin c application: a prospective case-control study[ J]. Indian J Otolaryngol Head Neck Surg, 2018, 70(4): 477-481.
11. Atkova EL, Fedorov AA, Root AO, et al. Causes of unsatisfactory results of the use of mitomycin-C in endoscopic endonasal dacryocystorhinostomy[ J]. Saudi J Ophthalmol, 2017, 31(3): 150-155.
12. Deka A, Bhattacharjee K, Bhuyan SK, et al. Effect of mitomycin C on ostium in dacryocystorhinostomy[ J]. Clin Experiment Ophthalmol, 2006, 34(6): 557-561.
13. 陈家祺. 泪器病[M]//葛坚. 眼科学. 第三版. 北京: 人民卫生出版社, 2016: 157.
CHEN Jiaqi. Lacrimal apparatus disease[M]//GE Jian. Ophthalmology. Third edition. Beijing: People's Medical Publishing House, 2016: 157.
14. Cassano M, Russo GM, Granieri C, et al. Cytofunctional changes in nasal ciliated cells in patients treated with hyaluronate after nasal surgery[ J]. Am J Rhinol Allergy, 2016, 30(2): 83-88.
15. 方淑英, 孙欢瑾, 张晖, 等. 自交联透明质酸钠凝胶预防中重度宫腔粘连分离术后再粘连[ J]. 中国微创外科杂志, 2020, 26(6):494-497.
FANG Shuying, SUN Huanjin, ZHANG Hui, et al. Self-crosslinked sodium hyaluronate gel for the prevention of re-adhesion after separation of moderate to severe intrauterine adhesion[ J]. Chinese Journal of Minimally Invasive Surgery, 2020, 26(6): 494-497.
16. Liu H, Li HF, Wang JY. Prevention effect of medical self-crosslinking sodium hyaluronate gel on epidural scar adhesion after laminectomy[ J]. Asian Pac J Trop Med, 2014, 7(6): 501-504.
17. Unlu HH, Gunhan K, Baser EF, et al. Long-term results in endoscopic dacryocystorhinostomy: is intubation really required?[ J]. Otolaryngol Head Neck Surg, 2009, 140(4): 589-595.
18. Mueller SK, Freitag SK, Lefebvre DR, et al. Endoscopic DCR using bipedicled interlacing mucosal flaps[ J]. Laryngoscope, 2018, 128(4): 794-797.
19. Tabatabaie SZ, Heirati A, Rajabi MT, et al. Silicone intubation with intraoperative mitomycin C for nasolacrimal duct obstruction in adults: a prospective, randomized, double-masked study[ J]. Ophthal Plast Reconstr Surg, 2007, 23(6): 455-458.
20. Atkova EL, Fedorov AA, Root AO, et al. Causes of unsatisfactory results of the use of mitomycin-C in endoscopic endonasal dacryocystorhinostomy[ J]. Saudi J Ophthalmol, 2017, 31(3): 150-155.
21. Dolmetsch AM, Gallon MA, Holds JB. Nonlaser endoscopic endonasal dacryocystorhinostomy with adjunctive mitomycin C in children[ J]. Ophthal Plast Reconstr Surg, 2008, 24(5): 390-393.
22. Mann BS , Wormald PJ. Endoscopic assessment of the dacr yocystorhinostomy ostium after endoscopic surger y[ J]. Laryngoscope, 2006, 116(7): 1172-1174.
23. Onerci M, Orhan M, Ogretmenoglu O, et al. Long-term results and reasons for failure of intranasal endoscopic dacryocystorhinostomy[ J]. Acta Oto Laryngol, 2000, 120(2): 319-322.
24. Ben Simon GJ, Joseph J, Lee S, et al. External versus endoscopic dacryocystorhinostomy for acquired nasolacrimal duct obstruction in a tertiary referral center[ J]. Ophthalmology, 2005, 112(8): 1463-1468.
25. Zenk J, Karatzanis AD, Psychogios G, et al. Long-term results of endonasal dacryocystorhinostomy[ J]. Eur Arch Otorhinolaryngol, 2009, 266(11): 1733-1738.
26. Jawaheer L, MacEwen CJ, Anijeet D. Endonasal versus external dacryocystorhinostomy for nasolacrimal duct obstruction[ J]. Cochrane Database Syst Rev, 2017, 2: CD007097.
27. Longari F, Dehgani Mobaraki P, Ricci AL, et al. Endoscopic dacryocystorhinostomy with and without silicone intubation: 4 years retrospective study[ J]. Eur Arch Otorhinolaryngol, 2016, 273(8): 2079-2084.

施引文献

1. 李海涛,王广科,高宇飞.医用自交联透明质酸钠凝胶对慢性泪囊炎鼻内镜下泪囊鼻腔吻合术效果观察[J].社区医学杂志,2023,21(19):1006-1009+1015.

相关文章