曲安奈德在治疗慢性泪囊炎鼻内镜术后造瘘口肉芽增生中的应用
关键词
摘要
目的:分析慢性泪囊炎患者鼻内镜下泪囊鼻腔造瘘口术后的远期肉芽增生情况,评价物理清除联合曲安奈德(triamcinolone acetonide,TA)局部注射治疗慢性泪囊炎鼻内镜术后造瘘口肉芽组织增生的效果。方法:回顾性分析接受鼻内镜手术的慢性泪囊炎患者98例115眼。随访收集术后造瘘口肉芽组织增生发生情况,分析肉芽增生与无肉芽增生患者的临床特征。对有肉芽增生的患者26例31眼,根据治疗方式分为物理清除联合TA局部注射组13例16眼和单纯物理清除组13例15眼,比较2组间治疗有效率。结果:鼻内镜术后造瘘口肉芽增生病例共31眼(26.96%)。物理清除联合TA组的治愈率、好转率分别为93.75%、6.25%,物理清除组相应为60%、33.33%,组间比较差异有统计学意义(P < 0.05)。结论:物理清除联合TA局部注射治疗泪囊炎鼻内镜术后造瘘口肉芽组织增生安全、有效。
全文
文章亮点
1. 关键发现
2. 已知与发现
3. 意义与改变
慢性泪囊炎是眼科常见疾病,鼻内镜下泪囊鼻腔造口术( endonasal endoscopic dacryocystorhinostomy,EES-DCR ) 作为治疗慢性泪囊炎的微创术式,因其损伤小、定位准确、面部无瘢痕等优势,已广泛应用于临床[1-3]。然而既往研究报道中,鼻内镜手术的失败率大约为6%~14%,其中术后造瘘口肉芽增生是导致手术失败的重要原因之一[4-9]。肉芽增生不仅影响手术效果,还可能造成造瘘口狭窄或闭锁,导致症状复发。因此,后期对造瘘口肉芽组织增生的清理、鼻腔护理,直至造瘘口处鼻黏膜上皮化,是减少局部瘢痕增生、提高手术成功率、防止复发的关键[10]。曲安奈德(triamcinolone acetonide, TA)是一种长效肾上腺皮质激素,具有较强的抗炎和抗纤维化作用。与其他皮质激素药物相比,TA在局部注射后能够更持久地作用于病灶,减少肉芽组织的复发。因此,TA被广泛应用于治疗各种增生性疾病,如眼睑肉芽肿、乳腺增生、外伤性瘢痕等[11]。目前针对术后造瘘口肉芽组织增生的随访处理报道较少,曾有研究者单纯在肉芽组织内注射TA治疗造瘘口肉芽增生,其成功率为85.9%,仍有少数病例需要鼻内镜下清除治疗[12-13]。本研究旨在探讨慢性泪囊炎鼻内镜术后造瘘口肉芽增生的发生率及其影响因素,并评估物理清除联合TA局部注射的治疗效果,以期为慢性泪囊炎术后肉芽增生的处理提供有效方法。
1 资料与方法
1.1 一般资料
收集2018年12月—2023年1月在聊城市人民医院行EES-DCR的慢性泪囊炎患者98例(115眼)。其中男性20例(23眼)、女性78例(92眼),患者年龄为23~82岁,平均为(56.64±12.75)岁。术后造瘘口肉芽组织增生26例31眼(26.96%),分析肉芽组织增生患者与非增生患者之间的临床特征。其中肉芽组织增生患者根据治疗方式分为2组:物理清除联合TA局部注射组13例16眼,患者年龄为28~79岁,平均为(52.92±14.81)岁。单纯物理清除组13例15眼,患者年龄为年龄28~76岁,平均为(51.54±13.48)岁。所有患者在术前均接受了全面的眼科检查,包括裂隙灯检查、诊断性泪道冲洗和鼻内镜检查。本研究获得聊城市人民医院机构审查委员会的伦理批准(批件号2024280),并且患者或家属均在术前签署知情同意书。纳入标准:1)患者有长期溢泪伴脓性分泌物史;2)泪道冲洗,自下泪小点冲洗,冲洗针头触及骨壁,从上泪小点反流,反流液见黏性或脓性分泌物。排除标准:1)既往有DCR失败史;2)其他原因引起的溢泪,如泪点闭塞、外翻或面神经麻痹;3)合并严重的鼻腔病变,如鼻中隔严重偏曲、鼻腔肿物等;4)随访时间小于6个月。1.2 方法
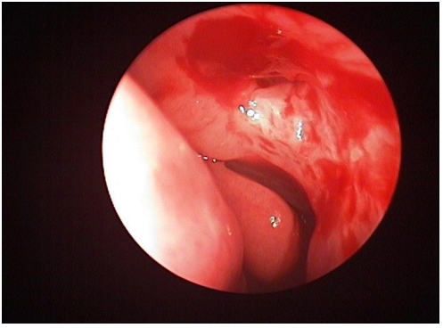
手术方法:术中沿中鼻甲前缘附着点上方约8 mm处做弧形切口,形成一约1 cm × 1.2 cm黏膜瓣,钝性分离至泪颌缝,以泪颌缝为标志,用美敦力(Medtronic,美国)IPC刨削动力系统粗磨,咬除上颌骨颈突,造一直径为1 cm大小的骨孔,暴露泪囊,经上泪小点置入探针,撑起泪囊壁,近上缘弧形切开泪囊内侧壁,形成一黏膜瓣,开放前组筛窦,剪开鼻黏膜瓣,使其贴附于泪囊造口周边骨面上,泪囊瓣与鼻黏膜瓣之间无需缝合,周围填充沾有妥布霉素地塞米松眼膏眼药膏的吸收性明胶海绵[14],见瘘口形成良好,检查无出血。合并泪总管、泪小管狭窄时植入泪道引流管,分别自上下泪小点插入引流管,自鼻腔内勾出并打结。术中同期处理鼻腔、鼻窦病变。手术均由同一位经验丰富技术熟练的医师完成。术后随访及处理:术后1个月内用药为布地奈德鼻喷雾剂2次/天,0.1%氟米龙滴眼液滴术眼3次/天。术后每2周复查1次鼻内镜检查,复查3次后根据恢复情况确定随访间隔时间,所有患者随访时间均大于6个月。随访内容包括以下3项:1)鼻内镜下鼻腔处理,清除鼻腔内血痂、分泌物、黏膜粘连及增生的肉芽组织,如发现肉芽组织增生(图1、3),则用枪镊夹除肉芽组织,造瘘口周围涂妥布霉素地塞米松眼膏,其中物理清除联合TA组予鼻黏膜下注射TA注射液(40 mg/mL)0.3 ~ 0.5 mL,保证注射面积覆盖80%肉芽组织创面(图2、4),间隔2周复查,如发现肉芽复发则再次清除并注射TA。2)泪道冲洗,分别经上下泪小点以地塞米松注射液和生理盐水冲洗泪道。3)如术中联合植入泪道引流管,一般于3个月后拔除。
图1 造瘘口肉芽组织增生
Figure 1 Granuloma formation in the ostium
图2 造瘘口肉芽组织增生处理后
Figure 2 After ostium granuloma was excised
图3 合并插管患者造瘘口肉芽组织增生
Figure 3 Ostium granuloma in patient with silicone intubation
图4 清除肉芽后局部注射曲安奈德
Figure 4 Intralesional triamcinolone injections after removed the ostium granuloma

1.3 疗效判定
根据鼻内镜外科学[15]采取以下标准进行疗效判定:1)治愈,指鼻内镜下观察泪囊造孔形成宽敞,黏膜上皮化完成,泪道冲洗通畅,无溢泪和流脓等症状;2)好转,指鼻内镜下观察泪囊造孔形成,较狭窄,上皮化完成,冲洗泪道有阻力或加压后通畅,无溢泪或少量溢泪;3)无效,指鼻内镜下检查泪囊造孔闭锁,冲洗泪道不通或加压后仍不通,症状无缓解。1.4 统计学处理
采用SPSS 26.0软件进行统计分析。符合正态分布的计量资料以x±s表示;两组间比较采用独立样本 t 检验,两组间疗效等级资料比较采用Mann-Whitney U检验。对于计数资料采用频数及百分比描述,采用χ2检验或 Fisher 确切概率法比较组间差异。双侧检验 P < 0.05 为差异有统计学意义。2 结果
2.1 肉芽组织增生情况与临床特征
接受EES-DCR的泪囊炎患者98例(115眼),其中伴泪小管或泪总管狭窄25例(31眼)术中行泪道引流管植入。伴随鼻腔病变2眼。表1列出了EES-DCR术后肉芽组织增生与无肉芽增生两组之间的临床特征,两组患者之间的性别以及术中植入引流管的比例比较差异无统计学意义(P>0.05)。肉芽增生组的年龄低于非增生组(P < 0.05)。
表1 鼻内镜术后肉芽组织增生组与非增生组患者的临床特征
Table 1 Clinical characteristics of study subjects with and without ostium granulomas
分类
总体
肉芽组织增生
t/χ2值
P值
非增生组
增生组
n(%)
115
84 (73.04)
31(26.96)
年龄
56.64±12.75
58.31±11.71
51.55±14.36
2.094
0.039
性别[n(%)]
0.030
0.862
男
23 (20.00)
16 (19.05)
7 (22.58)
女
92 (80.00)
68 (80.95)
24 (77.42)
泪道引流管植入[n(%)]
0.606
0.436
是
31 (26.96)
21 (25.00)
10 (32.26)
否
84 (73.04)
63 (75.00)
21 (67.74)
2.2 肉芽组织的处理及疗效对比
术后造瘘口肉芽组织增生26例31眼(26.96%),根据治疗方式分为物理清除联合TA局部注射组13例16眼和单纯物理清除组13例15眼,物理清除联合TA组的治愈率、好转率分别为93.75%、6.25%,物理清除组相应为60%、33.33%,组间比较差异有统计学意义(P = 0.026)。物理清除联合TA局部注射组患者的造瘘口转归良好(图5),所有病例治疗1 ~ 2次后均未发现肉芽组织复发。
表1 鼻内镜术后肉芽组织增生组与非增生组患者的临床特征
Table 1 Clinical characteristics of study subjects with and without ostium granulomas
|
分类 |
总体 |
肉芽组织增生 |
t/χ2值 |
P值 |
|
|
非增生组 |
增生组 |
|
|||
|
n(%) |
115 |
84 (73.04) |
31(26.96) |
|
|
|
年龄 |
56.64±12.75 |
58.31±11.71 |
51.55±14.36 |
2.094 |
0.039 |
|
性别[n(%)] |
|
|
|
0.030 |
0.862 |
|
男 |
23 (20.00) |
16 (19.05) |
7 (22.58) |
|
|
|
女 |
92 (80.00) |
68 (80.95) |
24 (77.42) |
|
|
|
泪道引流管植入[n(%)] |
|
|
|
0.606 |
0.436 |
|
是 |
31 (26.96) |
21 (25.00) |
10 (32.26) |
|
|
|
否 |
84 (73.04) |
63 (75.00) |
21 (67.74) |
|
|
图5 物理清除联合曲安奈德局部注射组患者造瘘口转归
Figure5 Outcomes of the ostium granuloma in excision combined with triamcinolone injection group

表2 两组患者治疗效果对比
Table 2 The contrast of treatment effects between the two groups
3 讨论
本研究的目的在于评估鼻内镜术后造瘘口肉芽组织增生发生率及临床特征,以及TA局部注射在治疗造瘘口肉芽组织增生中的应用。既往多项研究表明了造瘘口肉芽组织增生是手术失败的常见原因之一[4, 16]。Ali等[12]在2015年对鼻内镜术后肉芽组织增生的位置进行了详细的分类,发现鼻内镜术后造瘘口肉芽组织增生率为30%,常见类型为发生在造瘘口边缘的肉芽肿。在进行局部皮质激素治疗后仍有部分复发病例需接受物理清除治疗。Aerin等[13]在2018年研究了肉芽组织增生对鼻内镜手术成功率的影响,发现肉芽增生的位置对解剖和功能成功率无明显影响。不同类型的肉芽中生长在造瘘口内部的肉芽组织对功能上的成功率有不同的影响[17]。本研究中肉芽增生发生率为26.96%,与文献报道(20%~45.7%)一致[7, 18-20],经物理清除肉芽组织联合TA局部注射的患者均取得了良好的效果。研究表明,造瘘口肉芽增生的主要常见影响因素有以下几种:1)年龄。本研究发现,肉芽增生组的平均年龄低于非增生组(P < 0.05)。年轻患者愈合能力强,术后肉芽组织增生概率较大。这可能与年轻患者体内生长因子水平较高,组织修复能力强有关。此外年轻人因工作原因难以配合术后用药、随访,在一定程度上对造瘘口的修复也会造成影响。2)造瘘口骨窗大小。骨窗直径直接影响造瘘口的通畅性。既往研究指出,骨窗过小易导致造瘘口机械性狭窄,刺激肉芽代偿性增生;而过大则可能破坏鼻腔黏膜血供,增加术后瘢痕风险。此外,骨窗位置需精准定位至泪囊底部,若偏向前组筛窦或鼻丘,可能因局部气流动力学改变诱发炎症反应,间接促进肉芽形成[21-22]。因此,术中需结合泪囊形态及鼻腔结构个体化设计骨窗参数,本研究中制作骨窗直径约1.0~1.5 cm,与泪囊解剖结构匹配。3)术中对黏膜瓣的处理。黏膜瓣的完整性与固定方式是影响术后愈合的关键因素。术中黏膜瓣对位不良或撕裂,可能暴露骨创面,激活成纤维细胞增殖,最终导致肉芽增生。因此,术中应尽量减少对黏膜的损伤,保持黏膜的完整性,避免暴露过多骨质,可应用吸收性明胶海绵或缝合法对泪囊瓣及鼻黏膜定型、止血,抑制瘢痕纤维形成促进创口愈合[14]。本研究中,泪囊瓣与鼻黏膜瓣采用无缝合贴附法,辅以吸收性明胶海绵填塞。4)术后的随访处理。术后的定期复查也必不可少,因为手术后所产生的分泌物、血凝块、黏膜的水肿、肉芽组织增生很容易阻塞造瘘口,造成鼻腔内粘连,导致手术失败。术后复查时鼻内镜下的处理,如曲安奈德局部注射、肾上腺皮质激素药物鼻部填塞、术后透明质酸钠凝胶填充吻合口、应用布地奈德鼻喷雾剂、丝裂霉素滴眼液等,均有报道指出可减少肉芽组织增生[23-27]。因此,后期对造瘘口肉芽组织增生的清理、鼻腔护理,直至造瘘口处鼻黏膜上皮化,是减少局部瘢痕增生、提高手术成功率、防止复发的关键。曲安奈德注射液是一种长效肾上腺皮质激素药物,药物半衰期约为5 h,局部注射吸收缓慢,其抗炎作用强而持久,作用可维持2~3周[11]。可抑制成纤维细胞增生和炎性肉芽组织形成,从而达到有效的抗增生、抗纤维化作用。其在外科临床上常用于治疗一些增生性疾病,如眼睑肉芽肿、乳腺增生、婴幼儿先天性肌性斜颈、外伤性瘢痕等。但药物必须作用到病灶内才能起到明显的作用。既往研究证实,鼻内镜术后常规应用曲安奈德鼻部填塞、曲安奈德喷鼻等局部用药可提高手术成功率,患者的症状也得到明显改善[5, 28]。但关于肉芽组织随访处理的研究很少。本研究中,物理清除联合TA局部注射组在术后随访采用鼻内镜下清理肉芽组织后进行鼻黏膜下注射曲安奈德,使药物作用到病灶内,经过1~2次注射,造瘘口处肉芽组织增生均可治愈。此外,暂时没有发现曲安奈德鼻黏膜下注射有任何严重不良反应。
本次研究也存在很多不足。第一,因肉芽组织发生率较低导致样本量较少,这使得进行更细致的亚组分析(如肉芽组织大小及位置对疗效的影响)变得具有挑战性。第二,既往国外有研究表明单纯局部注射曲安奈德效果有限,成功率为85.9%,仍有部分持续增生的肉芽需进行物理清除,因此本次研究没有设置单纯药物注射的对照组。第三,因该研究着重于观察曲安奈德局部注射对造瘘口肉芽增生疗效的观察,病例的临床特征没有描述泪囊大小。第四,由于本研究是基于已接受EES-DCR的泪囊炎患者的回顾性研究,可能存在潜在的选择偏倚及信息偏倚。研究可能未能包括所有符合条件的患者,不能代表所有接受EES-DCR的泪囊炎患者的真实情况。此外,患者的手术细节、术后随访等信息记录可能存在误差,从而影响研究结果的准确性。虽然既往有一些文章提到局部应用肾上腺皮质激素药物治疗造瘘口肉芽组织增生,但是临床上缺乏标准建议,曲安奈德的合适剂量和注射间隔仍然需要进一步研究。因此,将来的研究中需要努力扩大样本量,优化数据收集方法,并收集更多关于肉芽组织特征和位置的数据,以便能够更准确地分析这些因素对疗效的潜在影响。设置相应对照组来确定曲安奈德的应用剂量和时间,为造瘘口肉芽增生的治疗提供更多的依据。
总之,慢性泪囊炎鼻内镜术后造瘘口肉芽增生是影响手术成功率的重要因素之一。物理清除联合曲安奈德局部注射治疗造瘘口肉芽增生安全有效,因此,在EES-DCR术后随访中,应密切关注造瘘口肉芽增生情况,并采取有效措施进行处理。同时,术后定期复查和鼻腔护理对于预防肉芽增生、提高手术成功率具有重要意义。
声明
本稿件在研究和论文撰写中未使用了生成式人工智能(GenAI),所有作者对内容的真实性、完整性和科学性负责。所有科学贡献和智力劳动由所有作者共同完成。利益冲突
所有作者均声明不存在利益冲突。开放获取声明
本文适用于知识共享许可协议(Creative Commons),允许第三方用户按照署名(BY)-非商业性使用(NC)-禁止演绎(ND)(CC BY-NC-ND)的方式共享,即允许第三方对本刊发表的文章进行复制、发行、展览、表演、放映、广播或通过信息网络向公众传播,但在这些过程中必须保留作者署名、仅限于非商业性目的、不得进行演绎创作。基金
参考文献
Qin ZY,Liang ZJ,Luo YJ. Endoscopic dacryocystorhinostomy for the treatment of lacrimal obstructive disease observation[ J]. Chin J Ophthalmol Med ( Electroni Ed) ,2018,8(4):170-174.
Zhou Bing, Han Demin, Huang Qian, et al. Long-term followup for outcomes of intranasal endoscopic dacryocystorhinostomy[ J]. Chine Otorhinolaryngol Head Neck Surg,2008,43(1):13-17. DOI:10.3321/j.issn:1673-0860.2008.01.005.
LIU Nan, PANG Mingjie. Review of factors influencing the prognosis of endoscopic dacryocystorhinostomy[J]. Journal of Otolaryngology and Ophthalmology of Shandong University, 2023,37(5):149-155.
Oculoplastic Surgery and Orbital Disease Group of the Ophthalmology Society, Chinese Medical Association. Chinese Expert Consensus on Endoscopic Tacryocysthinostomy for the Treatment of Chronic Hacryocystitis (2020). Chin J Ophthalmol, 2020,56(11):820-823.
Shao TJ, Jin LL, Wang S, et al. Research progress in the route of administration and corresponding dosage form of triamcinolone acetonide[ J]. China Pharma, 2024,35(7):896-900.DOI:10.6039/ j.issn.1001-0408.2024.07.23.
Han DM. Nasal endoscopic surgery[M]. Beijing: People’s Medical Publishing House, 2001.
Wang YB, Zhao YZ, Gao Y, et al. Clinical effect of improved endoscopic dacryocystorhinostomy for chronic dacryocystitis[ J]. Int Eye Sc, 2020, 20(5): 901-903. DOI: 10.3980/j.issn.1672-5123.2020.5.36.
Zheng HS, Xu JY, Chen HY, et al. Application of medical selfcrosslinking sodium hyaluronate gel in endonasal endoscopic dacryocystorhinostomy[ J]. Yan Ke Xue Bao, 2022,37(11):849-855. DOI:10.3978/j.issn.1000-4432.2022.07.05.
Qi ZW, Yuan YJ, Guan LY, et al. Effect of different courses of Budesonide on endoscopic dacryocystorhinostomy[ J]. Int Eye Sci, 2023,23(7):1215-1217.DOI:10.3980/j.issn.1672-5123.2023.7.30.