吲哚青绿血管造影中陈旧性眼底出血的自发荧光分析
阅读量:2946
发布日期:2024-11-11
作者:
左成果 ,黄时洲 ,罗光伟 ,关天芹 ,刘彩娇 ,文峰
展开更多 '%20fill='white'%20fill-opacity='0.01'/%3e%3cmask%20id='mask0_3477_29692'%20style='mask-type:luminance'%20maskUnits='userSpaceOnUse'%20x='0'%20y='0'%20width='16'%20height='16'%3e%3crect%20id='&%23232;&%23146;&%23153;&%23231;&%23137;&%23136;_2'%20x='16'%20width='16'%20height='16'%20transform='rotate(90%2016%200)'%20fill='white'/%3e%3c/mask%3e%3cg%20mask='url(%23mask0_3477_29692)'%3e%3cpath%20id='&%23232;&%23183;&%23175;&%23229;&%23190;&%23132;'%20d='M14%205L8%2011L2%205'%20stroke='%23333333'%20stroke-width='1.5'%20stroke-linecap='round'%20stroke-linejoin='round'/%3e%3c/g%3e%3c/g%3e%3c/svg%3e)
关键词
陈旧性眼底出血
自发荧光
吲哚青绿眼底血管造影
摘要
目的: 观察老年性黄斑变性(Age-related macular degeneration, AMD) 和息肉状脉络膜视网膜病变(Polypoidal choroidal vasculopathy, PCV) 患者眼底陈旧性出血在吲哚青绿血管造影(Indocyanine green angiography, ICGA) 中的自发荧光表现。
方法: 对伴有眼底陈旧性出血的AMD和PCV患者共36例(36只眼)行ICGA检查。受试者在进行ICGA检查前, 均经过详细的眼底镜检查、眼底彩色照相及荧光素眼底血管造影(Fundus fluorescein angiography, FFA) 检查。
结果: 眼底陈旧性出血灶 ICGA 均表现出相应的自发荧光。陈旧性出血灶呈浅灰黄色, 其自发荧光的形态大小与眼底彩色图像所示的陈旧性出血灶相一致, 边界清晰; 造影后期陈旧性出血灶的自发荧光强度最强,与 AMD 的斑状及焦点状脉络膜新生血管 (Choroidal neovasculari-zation, CNV) 及 PCV 的息肉状脉络膜血管扩张灶的荧光表现不同。陈旧性眼底出血的自发荧光多与 CNV 或息肉状病灶重叠或位于其边缘(27只眼, 75%) 。
结论: ICGA 中陈旧性眼底出血所致的自发荧光易与 CNV 及息肉状病灶性强荧光相混淆, 将眼底彩色图像与 ICGA 图像对比分析及掌握其与CNV及息肉状血管扩张灶的不同荧光特性有助于鉴别诊断。
全文
陈旧性眼底出血是指出血时间在3个月以上的视网膜下出血。国外学者报道陈旧性眼底出血的吲哚青绿血管造影 (Indocyanine green angiography, ICGA) 可发出自发荧光 [1, 2] 。我们在ICGA 中也观察到陈旧性眼底出血引起的自发荧光现象,且易与脉络膜新生血管(Choroidal neova-scularization, CNV) 与息肉状脉络膜病变(Polypoidal choroidal vasculopathy, PCV) 相混淆。为探讨陈旧性自发荧光与CNV、PCV的鉴别特点,本研究观察了36例AMD的CNV及PCV性视网膜下出血的自发荧光表现,并与CNV及PCV的眼底荧光造影(Fundus fluorescein angiography, FFA) 表现进行了对比分析,现将结果报告如下:
回顾分析2003年1月至2007年4月在中山眼科中心就诊患者的临床资料。纳入标准:经询问病史、眼底检查、FFA和ICGA 检查确诊为AMD或PCV,眼底出血病程 3~6 个月。排除标准:因屈光介质混浊或其它原因导致 FFA 和 ICGA 不清的患眼。共观察36例36只眼, 其中 AMD 患者24例 24只眼, PCV 患者12例12只眼; 男性26例, 女性10例; 年龄 43~72 岁, 平均年龄61岁; 视力范围: 数指 /10 cm~0.3, 其中视力≥0.1 者13只眼,视力 < 0.1 者23只眼。
AMD 的诊断参照眼底病学学组制定的标准[3],CNV 的 ICGA 诊断参照文献[4],即 CNV 性强荧光范围≤1 个视盘直径者称为焦点状 (focal) CNV,CNV性强荧光斑范围 >1D D者为斑状(plaque)CNV。焦点状和斑状均存在的 CNV 为结合型(com-bination) CNV。
对象和方法
AMD 的诊断参照眼底病学学组制定的标准[3],CNV 的 ICGA 诊断参照文献[4],即 CNV 性强荧光范围≤1 个视盘直径者称为焦点状 (focal) CNV,CNV性强荧光斑范围 >1D D者为斑状(plaque)CNV。焦点状和斑状均存在的 CNV 为结合型(com-bination) CNV。
PCV 的诊断标准:(1) ICGA 显示有异常分支的脉络膜血管网及血管网末梢有多个息肉状扩张灶,或ICGA显示有散在的息肉状脉络膜血管扩张灶,但无明显可辨的分支状脉络膜血管相连;(2)排除 ICGA 显示的点状(focal) 和斑状(plaque) CNV,排除眼底血管样条纹、高度近视黄斑病变及其他CNV性疾病[5, 6] 。
眼底彩色照相、FFA 和 ICGA 采用 TOPCONTRC-50IX 或 ZeissFF450IR 眼底照相仪。国产20%荧光素钠 3 ml(广州白云山明兴制药有限公司) 和吲哚青绿25 mg(丹东医创药业有限责任公司) , 经过敏预试验后, 5 秒内肘静脉快速注入。FFA 造影观察时间为15 min, ICGA 至少30 min 以上。ICGA 的分期标准为:早期指染料注入5 min 内,中期指染料注射后 5~20 min,后期指染料注射后 20~40 min[7] 。

眼底出血是一种常见的眼底病变,而 ICGA 由于其对出血的高穿透性而被广泛用于眼底出血性疾病的诊断、疗效判断以及预后分析。由于眼底出血性疾病尤其是湿性 AMD 和 PCV 均伴有异常的血管出现,在早期,陈旧性出血的自发荧光可以被误认为是异常充盈的脉络膜血管,中、晚期陈旧性出血的自发荧光可以被误认为 CNV 或息肉状病灶的染料渗漏或者染色,因而容易导致错误的判断。
通过本研究我们认为,ICGA 中陈旧性出血所致的自发荧光易与 CNV 及息肉状病灶荧光相混淆,将眼底彩色图像与 ICGA 图像对比分析及掌握其与 CNV 或息肉状病灶不同的荧光特性有助于相互之间的鉴别,以避免将陈旧性出血的自发荧光误诊为 CNV 或息肉状病灶,这对于指导 CNV 及 PCV的光动力治疗或光凝治疗具有重要意义。
眼底彩色照相、FFA 和 ICGA 采用 TOPCONTRC-50IX 或 ZeissFF450IR 眼底照相仪。国产20%荧光素钠 3 ml(广州白云山明兴制药有限公司) 和吲哚青绿25 mg(丹东医创药业有限责任公司) , 经过敏预试验后, 5 秒内肘静脉快速注入。FFA 造影观察时间为15 min, ICGA 至少30 min 以上。ICGA 的分期标准为:早期指染料注入5 min 内,中期指染料注射后 5~20 min,后期指染料注射后 20~40 min[7] 。
结果
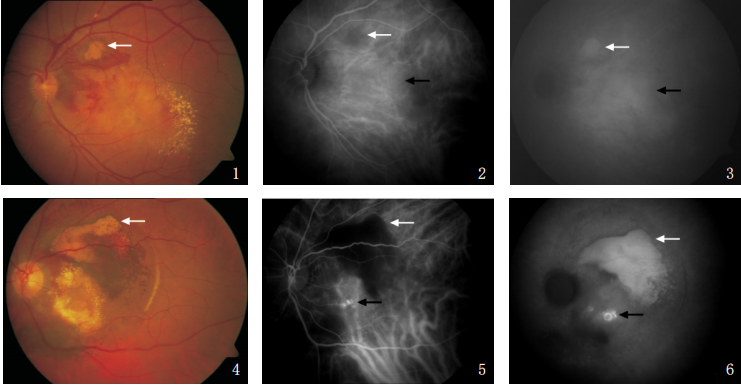
36例36只患眼均可观察到自发荧光表现 。眼底照相陈旧性出血灶呈浅灰白色,ICGA 中可在相应部位观察到边缘较清晰,范围及大小形态与眼底彩照显示陈旧性出血灶(图 1、4) 一致的自发荧光。造影早期部分自发荧光即可辨(图 2、5) , 造影中期陈旧性出血的自发荧光依然存在。造影后期,尤其在30 min 以后, 脉络膜背景荧光逐渐减弱,自发荧光表现更为明显,且强度最强(图 3、6) 。部分患者由于陈旧性出血灶的旁边出现新的出血而被部分遮挡,但仔细观察仍可见与眼底照片中陈旧性出血相一致的边缘。
在所观察的36例眼底陈旧性出血的患眼中,23只眼(64%)为斑状 CNV, 1只眼(3%) 为焦点状CNV,12只眼(33%)有息肉状病灶。75%的病例(27只眼) 自发荧光与 CNV 或息肉状病灶重叠(11只眼) 或位于其边缘 (16只眼) , 自发荧光位于CNV 或息肉状病灶外部者 9 只眼(25%) 。
图 1 69 岁男性渗出性 AMD 眼底彩色像, 颞上血管弓下可见一不规则片状灰白色陈旧性出血灶
图 2 图 1 患眼 ICGA 早期像,黄斑区未见强荧光灶显露(黑箭) , 颞上血管弓下可见与眼底照片中灰白色陈旧性出血灶相对应的弱荧光(白箭)
图 3图 1 患眼 ICGA 晚期像,显示黄斑区约 4DD 大小边界欠清的斑状 CNV(黑箭) , 于颞上血管弓下可见与眼底彩色像中灰白色陈旧性出血灶大小形态相对应边界清晰的自发荧光(白箭)
图 4 72 岁男性 PCV 左眼眼底彩色像,黄斑区上方可见一灰白色陈旧性出血灶(白箭)
图 5图 4 患眼 ICGA 早期像, 显示视盘颞下方数个息肉状病灶(黑箭) , 黄斑区上方可见可见陈旧性出血灶性弱荧光(白箭)
图 6图 4 患眼 ICGA 晚期像, 显示视盘颞下方数个息肉状病灶呈中心弱荧光,周围环状染色的“冲刷”现象(黑箭),黄斑区上方可见与眼底彩色像中灰白色陈旧性出血灶大小形态相对应的自发荧光(白箭)
讨论
根据本组渗出型 AMD 与 PCV 患眼的彩色眼底图像和 ICGA 中陈旧性眼底出血灶的对比分析,可见所有眼底陈旧性出血灶在 ICGA 中均可表现出强度较高的自发荧光。当自发荧光较强时,在 ICGA 造影的早期即可见,但晚期最清楚。眼底陈旧性出血ICGA中显示自发荧光的原因可能与降解的血红蛋白即卟啉的荧光特性有关[1] 。卟啉能在可见波长范围内的长波长光的激发下产生自发荧光,而血红蛋白分解代谢的终产物脱氢胆红素则能产生红色的荧光。这些化合物具有多峰性的吸收和激发光谱,故可在近红外光的激发下产生自发荧光。
通过对比分析陈旧性出血灶与渗出性 AMD 中 CNV 及 PCV 中息肉灶的 ICGA 表现特征,发现以下造影征象有助于陈旧性出血灶的诊断和鉴别诊断:(1) 陈旧性出血灶的形态特征:陈旧性出血灶在ICGA中的形态、大小及范围与眼底彩照所示的灰白色陈旧性出血灶一致,且边缘较清晰。而 AMD 中的 CNV 及 PCV 中的息肉灶则缺乏相应的一致性表现。(2) 病变位置:由本研究结果可以看出,大部分陈旧性出血灶的自发荧光与 AMD 的 CNV 性强荧光及PCV 的息肉灶性强荧光相重叠或相毗邻,容易与 CNV 及 PCV 相混淆,影响病变范围的确定。(3) 造影过程中的病灶变化情况:陈旧性出血灶的自发荧光自造影早期至晚期其形态、大小及范围均无扩大,晚期由于背景荧光的减弱,自发荧光更为明显;焦点状 CNV 于造影早期就呈边界清楚的局灶性强荧光,中后期荧光更强,范围轻扩大;斑状 CNV 早期无明显强荧光显露,中期可见局灶的边界清楚或边界模糊的斑状强荧光,后期该斑状强荧光更加明显;息肉状病灶于 ICGA 早期呈囊袋样强荧光,活动性病灶造影后期染料渗漏或染色,或表现为息肉灶中心弱荧光,周围呈环状染色的“冲刷”现象。眼底出血是一种常见的眼底病变,而 ICGA 由于其对出血的高穿透性而被广泛用于眼底出血性疾病的诊断、疗效判断以及预后分析。由于眼底出血性疾病尤其是湿性 AMD 和 PCV 均伴有异常的血管出现,在早期,陈旧性出血的自发荧光可以被误认为是异常充盈的脉络膜血管,中、晚期陈旧性出血的自发荧光可以被误认为 CNV 或息肉状病灶的染料渗漏或者染色,因而容易导致错误的判断。
通过本研究我们认为,ICGA 中陈旧性出血所致的自发荧光易与 CNV 及息肉状病灶荧光相混淆,将眼底彩色图像与 ICGA 图像对比分析及掌握其与 CNV 或息肉状病灶不同的荧光特性有助于相互之间的鉴别,以避免将陈旧性出血的自发荧光误诊为 CNV 或息肉状病灶,这对于指导 CNV 及 PCV的光动力治疗或光凝治疗具有重要意义。
基金
暂无基金信息
参考文献
1. Piccolino FC, Borgia L, Zinicola E, et al. Pre-injection fluorescence in indocyanine green angiography. Ophthalmology. 1996; 103(11) : 1837- 1845.
2. Weinberger AW, Lappas A, Kirschkamp T, et al. Fundus near infrared fluorescence correlates with fundus near infrared reflectance. Invest Ophthalmol Vis Sci, 2006; 47(7) : 3098- 3108.
3. 中华医学会眼科学会眼底病学组.老年黄斑变性临床诊断标准.眼底病, 1987; 3: 封底.
4. Guyer DR, Yannuzzi LA, Slakter JS, et al. Classification of choroidal neovascularization by digital indocyanine green videoangiography. Ophthalmology, 1996; 103(12) :2054- 2060.
5. 文峰, 吴德正, 李海涛等.息肉状脉络膜血管病变的眼底特征分析.中华眼底病杂志, 2003; 19(5) : 269- 272.
6. Sho K, Takahashi K, Yamada H, et al. Polypoidalchoroidal vasculopathy: incidence, demographic features,and clinical characteristics. Arch Ophthalmol, 2003; 121
(10) : 1392- 1396.