不同病变阶段中心性晕轮状视网膜脉络膜萎缩的临床表现
阅读量:3960
DOI: doi: 10.3978/j.issn.1000-4432.2017.09.03
发布日期:2024-12-24
作者:
李娟娟 ,黎铧
展开更多 '%20fill='white'%20fill-opacity='0.01'/%3e%3cmask%20id='mask0_3477_29692'%20style='mask-type:luminance'%20maskUnits='userSpaceOnUse'%20x='0'%20y='0'%20width='16'%20height='16'%3e%3crect%20id='&%23232;&%23146;&%23153;&%23231;&%23137;&%23136;_2'%20x='16'%20width='16'%20height='16'%20transform='rotate(90%2016%200)'%20fill='white'/%3e%3c/mask%3e%3cg%20mask='url(%23mask0_3477_29692)'%3e%3cpath%20id='&%23232;&%23183;&%23175;&%23229;&%23190;&%23132;'%20d='M14%205L8%2011L2%205'%20stroke='%23333333'%20stroke-width='1.5'%20stroke-linecap='round'%20stroke-linejoin='round'/%3e%3c/g%3e%3c/g%3e%3c/svg%3e)
关键词
中心性晕轮状视网膜脉络膜萎缩
眼底荧光血管造影
视网膜色素上皮细胞
摘要
目的:探讨中心性晕轮状视网膜脉络膜萎缩不同病变阶段的眼底影像学特征。方法:回顾分析中心性晕轮状视网膜脉络膜萎缩患者眼部检查及眼底荧光血管造影(fundus fluorescein angiography,FFA)检查,分析不同病变阶段荧光素眼底血管造影的影像学特征,总结该病发展转归的临床规律。结果:I期:眼底彩色照相:黄斑区轻度色素紊乱,可累及或未累及中心凹。FFA示:中心凹附近高荧光,RPE和脉络膜毛细血管的萎缩面积及程度尚不足以透见下方粗大的脉络膜血管。II期:眼底可见一类圆形的低色素区域,荧光造影可见与眼底彩照对应的高荧光区,随造影过程延长可见萎缩区荧光素渗漏。III期:黄斑区萎缩灶外围边界模糊,其中可见一部分边界清晰、稳定的完全萎缩灶。FFA:萎缩灶内边界清晰的部分视网膜色素上皮细胞(retinal pigment epithelium,RPE)及脉络膜完全萎缩,周边在造影晚期可见未完全萎缩的脉络膜毛细血管渗漏区域。IV期:黄斑区边界清晰的视网膜脉络膜萎缩灶,黄斑中心凹累及。FFA可见与眼底像相对应的脉络膜萎缩灶,其中可透见粗大的脉络膜血管。周围部分未见活动性荧光素渗漏,病变稳定。结论:荧光素眼底血管造影能反映的脉络膜萎缩程度是不同阶段病变阶段的主要指标。
全文
中心性晕轮状视网膜脉络膜萎缩(central
areolar choroidal dystrophy,CACD)是一类以黄斑区视网膜色素上皮细胞(retinal pigment epithelium,RPE)及脉络膜毛细血管进行性萎缩为特征的常染色体显性遗传性眼底变性类疾病[1]。
CACD早期眼底表现无明显特征性,随病变发展,黄斑区可表现为与Stargardts病、年龄相关性黄斑病变等类似黄斑萎缩病变[2]。现有报道多为该病零星的病例报告,未能从疾病发展变化的角度入手,动态分析该病的发展变化规律。因此,为提高对该病的认识及相关疾病的鉴别,本研究回顾分析我院收诊断的CACD,进行分期,总结不同病变阶段特征及其发展转归。
1 对象与方法
1.1 对象
收集2006年1月至2015年5月于云南省第二人
民医院眼科确诊为CACD的26例患者。其诊断标准为:1 ) I期病变不典型,主要依据家族史进行诊断;2)II,III,IV期均较为典型的眼底表现,因此主要依据典型的眼底表现、荧光血管造影、视野及视网膜电图(electroretinogram,ERG)、
眼电图(electrooculography,EOG)异常改变进行综合诊断。男11例,女15例;年龄26~68 (38.5±
6.5)岁。26例患者均为双眼患病,最佳矫正视力数指~ 1.0。所有患者均未合并全身其他系统疾病。并排除因外伤、脉络膜炎症、年龄相关性黄斑病变等所致的继发性脉络膜萎缩。
1.2 方法
对26例患者行最佳矫正视力、裂隙灯、散瞳后眼底检查、眼底彩色照相和眼底荧光血管造影(fundus fluorescein angiography,FFA)的检查。眼底彩色照相采用日本拓普康TRC-50DX眼底照相仪进行,荧光素眼底血管造影检查采用德国海德堡HRA眼底血管造影仪进行。患者散瞳后首先拍摄彩色眼底像,随后采用15%荧光素钠3 mL静脉
注射,8~10 s后加滤光片进行各个象限拍摄,起初为连续拍摄,后改为间歇拍摄。根据眼底特征及荧光血管造影结果,参照Boon分期法进行眼底分期[3]:I期可见黄斑旁轻微色素改变,通常为年轻患者;II期黄斑区开始呈现出类圆形的轻度萎缩区域,通常为1.5至数个视盘直径。III期黄斑萎缩区边界变得更为清晰,萎缩区内RPE及脉络膜萎缩明显加重,病灶周边可见少数残存的脉络膜毛细血管;IV期萎缩区边界十分清晰,病灶周边残存的脉络膜毛细血管也完全萎缩,仅能看到粗大的血管。本研究分析总结各期患者眼底表现,探讨CACD发展转归的临床特征。
2 结果
3例(6眼)患者处于病变I期,此3例患者无明显视力下降,以眼前黑影等症状就诊。眼底彩色照
相可见黄斑区轻度色素紊乱,其中2例中心凹未被累及,1例中心凹受累。FFA可见中心凹旁散在的高荧光病变,可累及或未及中心凹,RPE和脉络膜毛细血管的萎缩面积及程度尚不明显,但FFA较彩色照片可更为明确的显示病灶情况(图1)。
图1 I期患者眼底影像资料
Figure 1 Fundus imaging of stage I
Figure 1 Fundus imaging of stage I
(A)I期患者眼底彩色照相:黄斑区轻度色素紊乱;(B)患者眼底荧光血管造影:中心凹旁散在的高病变,累及或未及中心凹。
(A) Fundus photography of stage I showed mild macular pigment disorders, foveal involvement; (B) high ffuorescence was close to the
fovea, the area and the extent of RPE and choroidal capillaries atrophy were insufffcient to see through the thick choroidal vessels beneath.
8例(16)患者处于病变II期,8例患者以明显视力下降或中央黑影就诊。此期患者眼底彩色照相可见萎缩区域扩大呈一圆形或类圆形的低色素区域,萎缩区域色素紊乱较I期患者更为明显,边界更为清晰。FFA可见与眼底彩照对应的高荧光区,随造影过程延长可见萎缩区荧光素渗漏(图2)。
图2 II期患者眼底影像资料
Figure 2 Fundus imaging of stage II
(A)II期患者眼底彩色照相:萎缩区域呈类圆形的低色素区域,边界清晰;(B)患者眼底荧光血管造影:与眼底彩照对应的高荧光区,随造影过程延长可见萎缩区荧光素渗漏。
(A) Fundus photography of stage II shows a round of low pigment area; (B) fluorescein angiography of the patient showed high fluorescence
corresponding region, with the angiography procedure the fluorescein leakage could be observed.
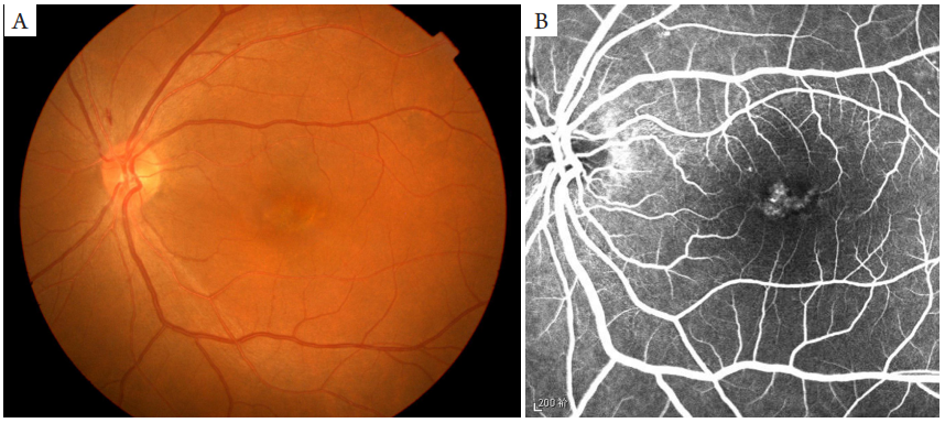
6例(12眼)患者处于病变III期,6例患者均以不同程度视力下降就诊。此期患者黄斑区萎缩灶外围边界清晰,视网膜色素上皮及脉络膜毛细血管萎缩加重,萎缩内部可见脉络膜粗大血管及透见后方巩膜组织。FFA:萎缩灶内边界清晰的部分RPE及脉络膜完全萎缩,周边在造影晚期可见未完萎缩的脉络膜毛细血管渗漏区域(图3)。
图3 III期患者眼底影像资料
Figure 3 Fundus imaging of stage III
(A)III期患者眼底彩色照相:黄斑区萎缩灶外围边界清晰,萎缩内部可见脉络膜粗大血管及透见后方巩膜组织;(B)患者眼袋荧光血管造影:萎缩灶内边界清晰的部分RPE及脉络膜完全萎缩,周边在造影晚期可见未完全萎缩的脉络膜毛细血管渗漏区域。
(A) Fundus photography of stage III. Boundaries of macular atrophy lesions were unclear which showed part of a clear boundary, stable
completely atrophy lesions; (B) fluorescein angiography of the patient: part of RPE and choroidal uncompletely atrophy surrounded was
visible, in the late of angiography choroidal atrophy capillary leakage could be seen.
9例(18眼)患者处于病变IV期,9例患者视功能均极为低下。此期黄斑区可见边界清晰的视网膜脉络膜萎缩灶,RPE及脉络膜毛细血管完全萎缩,可见脉络膜大血管。FFA可见与眼底像相对应的脉络膜萎缩灶,其中可透见粗大的脉络膜血管。周围部分未见活动性荧光素渗漏,病变趋于稳定(图4)。
图4 IV期患者眼底影像资料
Figure 4 Fundus imaging of stage IV
(A) IV期患者眼底彩色照相:黄斑区可见边界清晰的视网膜脉络膜萎缩灶,RPE及脉络膜毛细血管完全萎缩,可见脉络膜大血管;(B)患者眼底荧光血管造影:可见与眼底像相对应的脉络膜萎缩灶,其中可透见粗大的脉络膜血管,周围部分未见活动性荧光素渗漏。
(A) Fundus photography of stage IV. Boundary of macular retinal choroidal atrophy was clear, foveal involvement; (B) fluorescein
angiography of the patient: choroidal atrophy lesions was clear which could be seen through the thick choroidal vessels. Fluorescein leakage
disappeared and the disease was stable.
3 讨论
CACD是一类慢性进行性眼底变性类疾病,以黄斑区RPE及脉络膜毛细血管的进行性萎缩为主要特征。目前国内对该病的报道多为例数有限的病例报道[4-5]。国外虽有相关病变发展转归的分期报道,但仅仅立足于眼底表现,未能结合FFA等更深层次的影像学手段进行分析。本研究收集近10年来所收治的CACD患者,根据病变程度对其进行分期,拟总结该病发展转归的临床特征。
本观察结果显示:该病所有萎缩均发生在黄斑区,周边RPE及脉络膜毛细血管未见异常,病变I期仅为小点片状的色素萎缩区,病变轻微患者甚至眼底镜下难以辨认,需借助FFA检查确认。随病变进展,开始逐渐融合成圆形或类圆形的萎缩病灶,但从FFA结果来看,造影过程中有荧光素渗漏,证明此期RPE及脉络膜毛细血管尚未完全萎缩,病变处于活动性阶段。当进入III期后在活动性病灶中逐步出现边界清晰的完全性萎缩部分,该部分无荧光素渗漏,可透见脉络膜大血管,周围可见荧光素渗漏区域,为病变活动部分。IV期为病变发展的最末期阶段,该阶段整个萎缩灶中的RPE及脉络膜毛细血管完全萎缩,造影过程中无荧光素渗漏,病变进入静止稳定阶段。以上形态及结构的变化同样体现在功能学的改变上,Gundogan等[6-7]报道I期患者明适应及暗适应ERG均未见异常,证明轻微的色素异常尚未导致RPE功能异常,II期以后的患者开始出现ERG异常并呈线性加重趋势。同时开始逐步出现视力下降、视野异常、色觉异常等视功能进行性损害改变。
该病容易与同样发生与黄斑区的变性类疾病如Stargardts病、年龄相关性黄斑病变相混淆。其与Stargardts病的主要鉴别诊断依据在于:典型的Stargardts病黄斑区呈规则的椭圆形病灶,其内及其周围可见黄色斑点,同时FFA可见典型的“脉络膜湮没”现象,周边视网膜也可见异常色素改变[8-9]。而对于年龄相关性黄斑病变而言,眼底可见黄斑区色素紊乱, 呈色素脱失和色素沉着共存,病变区以黄斑中心凹为中心,逐渐融合扩大,但眼底病变无明显分界,萎缩区域内可能继发出现脉络膜新生血管[10-11]。
本观察结果显示:该病所有萎缩均发生在黄斑区,周边RPE及脉络膜毛细血管未见异常,病变I期仅为小点片状的色素萎缩区,病变轻微患者甚至眼底镜下难以辨认,需借助FFA检查确认。随病变进展,开始逐渐融合成圆形或类圆形的萎缩病灶,但从FFA结果来看,造影过程中有荧光素渗漏,证明此期RPE及脉络膜毛细血管尚未完全萎缩,病变处于活动性阶段。当进入III期后在活动性病灶中逐步出现边界清晰的完全性萎缩部分,该部分无荧光素渗漏,可透见脉络膜大血管,周围可见荧光素渗漏区域,为病变活动部分。IV期为病变发展的最末期阶段,该阶段整个萎缩灶中的RPE及脉络膜毛细血管完全萎缩,造影过程中无荧光素渗漏,病变进入静止稳定阶段。以上形态及结构的变化同样体现在功能学的改变上,Gundogan等[6-7]报道I期患者明适应及暗适应ERG均未见异常,证明轻微的色素异常尚未导致RPE功能异常,II期以后的患者开始出现ERG异常并呈线性加重趋势。同时开始逐步出现视力下降、视野异常、色觉异常等视功能进行性损害改变。
该病容易与同样发生与黄斑区的变性类疾病如Stargardts病、年龄相关性黄斑病变相混淆。其与Stargardts病的主要鉴别诊断依据在于:典型的Stargardts病黄斑区呈规则的椭圆形病灶,其内及其周围可见黄色斑点,同时FFA可见典型的“脉络膜湮没”现象,周边视网膜也可见异常色素改变[8-9]。而对于年龄相关性黄斑病变而言,眼底可见黄斑区色素紊乱, 呈色素脱失和色素沉着共存,病变区以黄斑中心凹为中心,逐渐融合扩大,但眼底病变无明显分界,萎缩区域内可能继发出现脉络膜新生血管[10-11]。
目前对于CACD尚无有效治疗方法,但认识了解其不同病变阶段的眼底表现、FFA特征有助于临床医生正确诊断,并与其他继发性视网膜色素上皮及脉络膜萎缩的疾病进行鉴别诊断,尤其是在病变的晚期阶段。也有助于临床医生判断、预测患者视功能的预后。
基金
暂无基金信息
参考文献
1. Hughes AE, Meng W, Lotery AJ, et al. A novel GUCY2D mutation, V933A, causes central areolar choroidal dystrophy[J]. Invest Ophthalmol Vis Sci, 2012, 53(8): 4748-4753.
2. Hoyng CB, Deutman AF. The development of central areolar choroidal dystrophy[J]. Graefes Arch Clin Exp Ophthalmol, 1996, 234(2): 87-93.
3. Boon CJ, Klevering BJ, Cremers FP, et al. Central areolar choroidal dystrophy[J]. Ophthalmology, 2009, 116(4): 771-782.
4. Ma K, Yang XF, Han C, et al. Clinical features and linkage analysis for a Chinese family with autosomal dominant central areolar choroidal dystrophy[J]. Chin Med J (Engl), 2009, 122(22): 2686-2690.
5. 赵英杰, 唐健, 严密, 等. 中心性晕轮状视网膜脉络膜萎缩的荧光素眼底血管造影[J]. 华西医学, 2002, 17(2): 228-229.
6. Naga s a k a K, Horig uchi M, Shimada Y, e t a l . Multifocal electroretinograms in cases of central areolar choroidal dystrophy[J]. Invest Ophthalmol Vis Sci, 2003, 44(4): 1673-1679.
7. Gundogan FC, Dinç UA, Erdem U, et al. Multifocal electroretinogram and central visual field testing in central areolar choroidal dystrophy[J]. Eur J Ophthalmol, 2010, 20(5): 919-924.
8. Rougier MB, Delyfer MN, Korobelnik JF. Macular pigment distribution in Stargardt macular disease[J]. J Fr Ophtalmol, 2011, 34(5): 287-293.
9. Aguirre-Lamban J, Riveiro-Alvarez R, Cantalapiedra D, et al. Novel human pathological mutations. Gene symbol: ABCA4. Disease: Stargardt disease[J]. Hum Genet, 2010, 127(1): 119.
10. Smailhodzic D, Fleckenstein M, Theelen T, et al. Central areolar choroidal dystrophy (CACD) and age-related macular degeneration (AMD): differentiating characteristics in multimodal imaging[J]. Invest Ophthalmol Vis Sci, 2011, 52(12): 8908-8918.
11. Klevering BJ, van Driel M, van Hogerwou AJ, et al. Central areolar choroidal dystrophy associated with dominantly inherited drusen[J]. Br J Ophthalmol, 2002, 86(1): 91-96.