经皮肤切口联合鼻内窥镜入路行泪道肿瘤切除2例并文献复习
阅读量:6412
DOI:10.12419/24092906
发布日期:2025-01-28
作者:
王成美 ,赵一凡 ,王红琳 ,姬大卫 ,曹颖 ,逄作祥
展开更多 '%20fill='white'%20fill-opacity='0.01'/%3e%3cmask%20id='mask0_3477_29692'%20style='mask-type:luminance'%20maskUnits='userSpaceOnUse'%20x='0'%20y='0'%20width='16'%20height='16'%3e%3crect%20id='&%23232;&%23146;&%23153;&%23231;&%23137;&%23136;_2'%20x='16'%20width='16'%20height='16'%20transform='rotate(90%2016%200)'%20fill='white'/%3e%3c/mask%3e%3cg%20mask='url(%23mask0_3477_29692)'%3e%3cpath%20id='&%23232;&%23183;&%23175;&%23229;&%23190;&%23132;'%20d='M14%205L8%2011L2%205'%20stroke='%23333333'%20stroke-width='1.5'%20stroke-linecap='round'%20stroke-linejoin='round'/%3e%3c/g%3e%3c/g%3e%3c/svg%3e)
关键词
泪道肿瘤
鼻内镜
皮肤切口
乳头状瘤
NUT癌
摘要
泪道肿瘤是比较罕见的泪道疾病。文献报道有超过55%的泪道肿瘤为恶性肿瘤,如果肿瘤不能完全切除或已经发生转移,可能会使复发率和死亡率增加。故临床上对表现为泪囊肿物的病例应详细检查,比如眼眶彩色多普勒超声、计算机断层扫描(computed tomography, CT)及磁共振成像(magnetic resonance imaging, MRI)检查,必要时行增强扫描,有条件还可以进行泪道内镜检查,充分预估病情,设计合理的手术入路和切除范围。如肿物较大或病情复杂,经过皮肤或者鼻内镜下入路作单一切口不能完整切除,可以内外路联合手术,以获得良好的视野,对肿物进行充分的游离分离,进行合适的切除。文章汇报了通过皮肤切口联合鼻内镜入路完成的2例泪道肿瘤切除术,1例术后病理为良性的乳头状瘤,术后5个月时复查未见复发,长期观察;另一例为NUT癌,确诊后患者已经至肿瘤科接受了化学治疗。提示表现为泪囊肿物的病例在术前应完善眼眶影像学检查,怀疑为恶性肿瘤时应完善全身重要脏器的检查,以充分评估病情。对于有手术指征的应选择合适的手术方案,尽量完整切除。术后应长期随访,以早期发现复发和转移,及时治疗。
全文
文章亮点
1. 关键发现
• 累及泪囊与鼻泪管的泪道肿瘤可以通过经皮肤切口联合鼻内镜入路进行切除。
2. 已知与发现
• 泪道肿瘤较为罕见,多种类型的良性与恶性肿瘤均可发生于泪道。
• 泪道恶性肿瘤有较高的复发率与死亡率。
3. 意义与改变
• 泪道肿瘤术前应充分评估,做好手术方案设计,尽量完整切除,减少术后复发。如为恶性肿瘤,应及时转诊到肿瘤科会诊,并做好宣教和随访。
泪道肿瘤比较罕见,但泪道恶性肿瘤可能会危及生命,因此早诊断早治疗尤其重要[1-2]。根据文献报道,超过55%的泪道肿瘤为恶性肿瘤,往往具有局部侵袭性,复发率高[3-21],根据肿瘤大小和分期不同,局部的复发率和死亡率也不同[22]。泪道肿瘤可以是原发于泪道系统的肿瘤,也可为继发于结膜、泪点、眼眶、鼻腔等邻近组织病变,或者是全身疾病(如淋巴瘤、韦格纳肉芽肿、结节病等)的局部表现[23]。
Valenzuelae等[24]提出的泪道肿瘤治疗原则:非侵袭性癌及巨大的乳头状瘤需要完全切除泪道系统,而侵袭性癌需要完全切除泪道系统并长期随访,以及时发现复发。本文对2例经皮肤切口联合鼻内镜入路行泪道肿瘤切除术病例情况进行报告,第1例为良性的乳头状瘤,第2例为伴睾丸核蛋白(nuclear protein in testis, NUT)基因重排的中线癌,即NUT癌(NUT carcinoma, NC)。
NC是一种罕见的具有高度侵袭性的恶性肿瘤,发病机制不明,常发生于头颈部、纵隔等中线器官,可累及鼻窦[25-26]。
1 临床资料
1.1 病例一
患者女,62岁,因左眼内眦肿胀1年于2024年8月19日入院。体格检查:左眼内眦部下方隆起,扪及直径约1.6 cm×1.8 cm的包块,质硬,轻微压痛,肿物自泪囊窝处向眶内延续。泪道冲洗:右眼上下泪小管内冲水通畅。左眼下泪小管冲水少量入咽,大部原路返流;上泪小管冲水全部原路反流,不能探入泪囊。眼眶彩色多普勒超声(彩超)检查(图1):左眼泪囊区可见低回声区,范围约2.4 cm×2.2 cm×1.8 cm,边界清,内回声欠均匀。彩色多普勒血流显像(color doppler flow imaging, CDFI):内可见树枝样较丰富血流信号。眼眶计算机断层扫描(computed tomography, CT)检查(图2):1)左侧泪囊鼻泪管及下鼻道内异常密度影,考虑肿瘤性病变可能大;2)左侧骨性鼻泪管增宽。眼眶磁共振成像(magnetic resonance imaging, MRI)检查(图3)示左侧泪囊鼻泪管及下鼻道内异常信号,考虑肿瘤性病变可能大。实验室检查结果未见明显异常。于2024年8月20日在全身麻醉下经皮肤切口联合鼻内镜入路行左眼眶泪道肿物切除术,先自内眦部肿物表面皮肤做切口,见肿物有完整致密薄膜,呈灰白色,向泪囊窝内延续;转至鼻内镜下,自泪颌缝前约6~7 mm纵向切开鼻黏膜向下切至下鼻甲黏膜,向后剥离鼻黏膜,暴露上颌骨额突及下鼻甲,使用咬骨钳及动力磨钻去除骨性鼻泪管内侧壁,见泪囊、鼻泪管膨大,将泪囊、鼻泪管连同鼻泪管口附近部分下鼻甲、下鼻道黏膜充分游离,其间见鼻泪管受挤压后鼻泪管口有不规则的灰白色软性颗粒样物质溢出;经内眦切口将肿物摘除。将鼻黏膜复位覆盖创面,可降解止血棉填塞固定鼻黏膜,分层缝合内眦切口。标本巨检:病变累及泪囊、鼻泪管全长,大小约为3.5 cm×2.5 cm×1.6 cm,外壁呈灰白色,有较厚的包膜结构,局部切开可见内含大量白色质软胶冻状的不规则颗粒样、乳头样结构;病理诊断(图4):(左眼泪囊部)上皮源性肿瘤,囊性结构,衬覆柱状上皮、鳞状样上皮,伴有乳头状结构,可见少量黏液细胞。CK7(部分+)、CK5/6(+)、S-100(少量+)、P63(+)、SOX10(少量+)、Ki-67阳性细胞数约2%、PAS染色(少量+)。结合组织学形态及免疫组化结果,符合泪囊导管囊性扩张伴鳞状细胞化生,伴乳头状瘤形成,伴少量黏液细胞化生。患者术后3周时复诊见鼻黏膜基本愈合,出院后曾到耳鼻喉科会诊建议观察随诊;2024年11月2日第二次复诊见左侧鼻腔黏膜愈合好,未见复发改变(图5),患者除溢泪症状,无其他不适。下一步诊疗计划:定期复诊,术后6个月以上无复发可考虑行使用鼻黏膜再造泪道的结膜-鼻腔吻合置管术。
A hypoechoic area is visible in the left lacrimal sac region, measuring approximately 2.4 cm × 2.2 cm × 1.8 cm, with clear borders and uneven internal echoes. Color Doppler flow imaging reveals a rich, branching pattern of blood flow signals within the area.

Abnormal density shadow in the left lacrimal sac and nasolacrimal duct (white arrow); Widening of the left bony nasolacrimal duct(blue arrow).
Abnormal signals are present in the left lacrimal sac, nasolacrimal duct, and inferior nasal meatus (white arrow).
(Left lacrimal sac region) Epithelial-derived tumor with cystic structure, lined by columnar epithelium, squamous-like epithelium, accompanied by papillary structures, and containing a few mucous cells.
The left nasal cavity exhibits postoperative changes with well-healed mucosa and no signs of recurrence. Black five-pointed star: normal nasal septum; black hexagon: the lateral wall of the nasal cavity shows postoperative changes with localized depression, and the uncinate process has been largely removed during surgery; white five-pointed star: middle turbinate; white hexagon: ethmoid bulla.
图 1 一例泪道乳头状瘤的彩超结果
Figure 1 Color doppler ultrasonography results of a case of lacrimal papilloma
左眼泪囊区可见低回声区,范围约2.4 cm×2.2 cm×1.8 cm,边界清,内回声欠均匀。彩色多普勒血流显像:内可见树枝样较丰富血流信号。A hypoechoic area is visible in the left lacrimal sac region, measuring approximately 2.4 cm × 2.2 cm × 1.8 cm, with clear borders and uneven internal echoes. Color Doppler flow imaging reveals a rich, branching pattern of blood flow signals within the area.

图 2 一例泪道乳头状瘤的眼眶CT结果
Figure 2 Orbital CT results of a case of lacrimal papilloma
左侧泪囊鼻泪管内异常密度影(白箭头);左侧骨性鼻泪管增宽(蓝箭头)。Abnormal density shadow in the left lacrimal sac and nasolacrimal duct (white arrow); Widening of the left bony nasolacrimal duct(blue arrow).
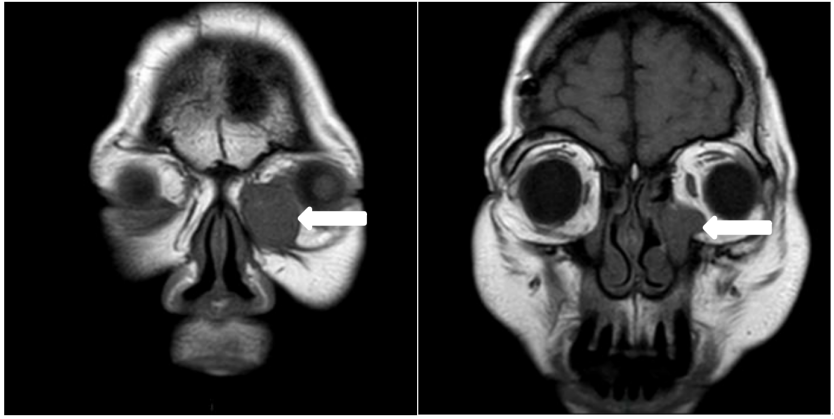
图 3 一例泪道乳头状瘤眼眶磁共振成像结果
Figure 3 Orbital magnetic resonance imaging results of a case of lacrimal papilloma
左侧泪囊鼻泪管及下鼻道内异常信号(白箭头)。Abnormal signals are present in the left lacrimal sac, nasolacrimal duct, and inferior nasal meatus (white arrow).
图 4 一例泪道乳头状瘤病理检查结果(苏木精-伊红染色,×40)
Figure 4 Pathological findings of a case of lacrimal papilloma(H&E staining, ×40)
(左眼泪囊部)上皮源性肿瘤,囊性结构,衬覆柱状上皮、鳞状样上皮,伴有乳头状结构,可见少量黏液细胞。(Left lacrimal sac region) Epithelial-derived tumor with cystic structure, lined by columnar epithelium, squamous-like epithelium, accompanied by papillary structures, and containing a few mucous cells.
图 5 一例泪道乳头状瘤术后复查鼻内镜所见
Figure 5 Endoscopic picture of a case of lacrimal papilloma after surgery
左侧鼻腔呈术后改变,黏膜愈合好,未见复发征象黑色五角星:正常的鼻中隔;黑色六角形:鼻腔外侧壁呈术后改变,局部凹陷,钩突已经在术中大部去除;白色五角星:中鼻甲;白色六角形:筛泡。The left nasal cavity exhibits postoperative changes with well-healed mucosa and no signs of recurrence. Black five-pointed star: normal nasal septum; black hexagon: the lateral wall of the nasal cavity shows postoperative changes with localized depression, and the uncinate process has been largely removed during surgery; white five-pointed star: middle turbinate; white hexagon: ethmoid bulla.
1.2 病例二
患者男,61岁,因左眼溢泪2个月于2024年9月16日入院。CT检查结果:1)左眼眶内肌锥外肿物,明显强化,考虑恶性肿瘤可能;2)双侧上颌窦炎、筛窦炎;3)左侧骨性鼻泪管扩张。查体:左内眦部下方隆起,扪及硬结,范围约2 cm×3 cm,边界不清,自泪囊区向眶内延续(图6)。泪道冲洗:经左眼上下泪小管冲洗全部对点反流。彩超检查结果:左眼泪囊显示不清,左眼眶内下方可见低回声区,范围约0.6 cm×0.5 cm×1.3 cm,边界不清,内回声不均匀,CDFI:内可见丰富血流信号(图7)。于2024年9月17日在全身麻醉下经皮肤切口联合鼻内镜入路行左眼眶泪道肿物切除术,术中见肿物无明显包膜,呈暗红色,质韧,与周围组织轻度粘连,周围临近软组织质韧;肿物向下附于内眦下方眶骨表面、与眶骨膜不易分离,向泪囊窝及眶内延续,与下斜肌起点处粘连,未累及内直肌、下直肌,将下斜肌起点附近骨膜连同肿物一起切除;鼻内镜下操作,见骨性鼻泪管骨质明显吸收,内壁可见鼻泪管暴露,去除骨性鼻泪管内侧壁、下鼻甲前端,见泪囊、鼻泪管膨大,易于剥离,将泪囊、鼻泪管及骨膜连同鼻泪管口附近部分鼻黏膜充分游离,经内眦切口将肿物摘除。标本巨检:泪囊鼻泪管膨大,呈暗红色,鼻泪管末端包含喇叭口样结构的下鼻甲下鼻道黏膜,大小约为4 cm×2 cm×2 cm。病理检查:(左眼眶肿物)恶性肿瘤,鼻泪管颞侧切缘未见恶性肿瘤;鼻泪管鼻侧切缘及泪囊部鼻侧切缘查见恶性肿瘤(图8)。免疫组化:CK(+)、CK5/6(+)、P40(+)、NUT(+)、P53(野生型)、Ki-67(+,50%)、CD56(局灶+)、CgA(-)、Syn(局灶+)、CD99(-)。诊断:(左眼眶肿物)低分化癌,结合形态及免疫组化,符合鼻窦NUT癌。确诊后嘱患者至综合医院肿瘤科进一步检查、治疗。患者回当地医院肿瘤科接受了化学治疗(具体方案不详),未再复诊。
Extraconal mass in the left orbit(white arrow); Dilatation of the left bony nasolacrimal duct(blue arrow).
The left lacrimal sac is not clearly visualized. A hypoechoic area is seen inferiorly within the left orbit, measuring approximately 2.6 cm × 2.5 cm × 1.3 cm, with ill-defined borders and uneven internal echoes. Color Doppler flow imaging reveals abundant blood flow signals within the area.
(Left lacrimal sac region) Malignant tumor. The tumor cells are arranged in nests and sheets, with cells of moderate size, round or oval nuclei, and clear to lightly stained cytoplasm. Immunohistochemistry: CK(+), CK5/6(+), P40(+), NUT(+), P53 (wild-type), Ki-67(+, 50%), CD56(focal+), CgA(-), Syn(focal+), CD99(-).
图 6 一例泪道癌眼眶CT结果
Figure 6 Orbital CT results of a case of lacrimal carcinoma
左眼眶内肌锥外肿物(白色箭头);左侧骨性鼻泪管扩张(蓝色箭头)。Extraconal mass in the left orbit(white arrow); Dilatation of the left bony nasolacrimal duct(blue arrow).
图 7 一例泪道癌的眼眶彩超结果
Figure 7 Color doppler ultrasonography results of a case of lacrimal carcinoma
左眼泪囊显示不清,左眼眶内下方可见低回声区,大小约为2.6 cm×2.5 cm×1.3 cm,边界不清,内回声不均匀;彩色多普勒血流显像:内可见丰富血流信号。The left lacrimal sac is not clearly visualized. A hypoechoic area is seen inferiorly within the left orbit, measuring approximately 2.6 cm × 2.5 cm × 1.3 cm, with ill-defined borders and uneven internal echoes. Color Doppler flow imaging reveals abundant blood flow signals within the area.
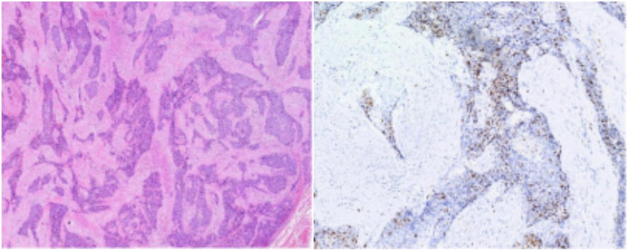
图 8 一例泪道癌病理检查结果(苏木精-伊红染色×100、免疫组化染色×200)
Figure 8 Pathological findings of a case of lacrimal carcinoma(H&E staining ×100, Immumohistochemical staining ×200)
(左泪囊部)恶性肿瘤。肿瘤细胞呈巢片状排列,细胞中等大、圆形或卵圆形细胞核,透明至淡染的胞浆。免疫组化:CK(+)、CK5/6(+)、P40(+)、NUT(+)、P53(野生型)、Ki-67(+,50%)、CD56(局灶+)、CgA(-)、Syn(局灶+)、CD99(-)。(Left lacrimal sac region) Malignant tumor. The tumor cells are arranged in nests and sheets, with cells of moderate size, round or oval nuclei, and clear to lightly stained cytoplasm. Immunohistochemistry: CK(+), CK5/6(+), P40(+), NUT(+), P53 (wild-type), Ki-67(+, 50%), CD56(focal+), CgA(-), Syn(focal+), CD99(-).
2 讨论
泪道肿瘤可大致分为4类:上皮性、淋巴增生性、黑素细胞性和间充质性,每一类均可细分为良性和恶性,一些神经源性肿瘤也有报道。泪道肿瘤也可简单分为上皮性和非上皮性。上皮性肿瘤占泪囊肿瘤的60%~94%;非上皮性肿瘤包括间充质性肿瘤、淋巴细胞增生性肿瘤、黑素细胞性肿瘤和神经源性肿瘤[3-20]。
大多数泪道肿瘤是原发性、上皮性的[3-11, 15, 17, 19-20],在恶性肿瘤中,近90%是上皮性肿瘤[27]。根据文献报道乳头状瘤是最常见的良性肿瘤,淋巴瘤是最常见的恶性肿瘤[9, 11 ,28-29],成年男性最常见,常发生于60岁左右[9]。
恶性上皮病变(癌)主要是新发,也可以由乳头状瘤恶变而来。鳞状细胞癌最常见,其次为移行细胞癌[3-11, 13-18, 21]。人乳头状瘤病毒(human papilloma virus, HPV),特别是低风险的HPV-6和HPV-11感染,与鳞状细胞乳头状瘤有关,而高风险的HPV-16和HPV-18感染与泪囊鳞状细胞癌有关。因此,类似于引起宫颈瘤变[30-31],HPV也被认为是引起上皮性泪囊肿瘤的原因。
淋巴瘤占泪囊肿瘤的2%~8%,通常见于老年患者(中位年龄71岁),可以是原发,更常见是继发于其他部位淋巴瘤的扩散,尤其是白血病或淋巴瘤患者出现溢泪和泪囊炎时应高度怀疑[6, 9, 11, 15, 20, 32-39]。欧洲癌症研究与治疗组织对15例原发性泪囊淋巴瘤的研究显示,33%的病例为弥漫大B细胞淋巴瘤(diffuse large B-cell lymphoma, DLBCL),33%为黏膜相关淋巴组织结外边缘区B细胞淋巴瘤(muco-associated lymphoid tissue, MALT),20%为介于MALT淋巴瘤和DLBCL之间的过渡性MALT淋巴瘤,13%为未分类的B细胞淋巴瘤[15, 17, 20]。
恶性黑色素瘤约占泪囊肿瘤的4%~5%,表现出与黏膜黑色素瘤相似的特征,预后较差,尽管采取积极的治疗措施[如广泛的手术切除、放射治疗和(或)化学治疗],仍有很大的转移可能。黑色素瘤可起源于泪囊表皮层及以下的黑色素细胞,也可以是结膜黑色素瘤沿泪道播散至泪囊;因此,建议对这些患者检查同侧结膜。良性泪囊痣较为少见[6, 9, 11–13, 15, 17, 20]。
泪道的继发性肿瘤可由局部结构(包括鼻腔、鼻窦、眼眶、结膜和皮肤)肿瘤的侵袭或转移引起,也可以由皮肤黑色素瘤、肝细胞癌、肾细胞癌等转移来[40-43]。
乳头状瘤是最常见的泪道良性上皮性病变,约占所有上皮性肿瘤的36%,分为四种类型(鳞状、内翻性、移行细胞或混合性),可能由已存在的炎症引起,可以是外生的(面向囊腔)或内生的(面向囊壁间质)[44]。移行细胞乳头状瘤是一种息肉样病变,保留其层状柱状上皮,带有杯状细胞和纤毛。乳头状瘤有复发的倾向(10%~40%),特别是内生型乳头状瘤,有较高的恶性转化率。
NC是一种罕见的起源不明的具有高度侵袭性的恶性肿瘤,以伴有NUTM1基因染色体重排为主要特点,由染色体易位导致的 NUT 融合癌蛋白驱动,最常见的是BRD4-NUT。目前NC的治疗方法尚不明确,其治疗过程多表现为短期缓解,迅速复发,快速死亡的特点[25-26]。2019年有学者对10100例实体瘤进行测序,结果显示NUTM1基因融合发生率为0.21%[45]。2018年有学者对当前已报的119例NUT癌病例进行系统综述,显示NUT癌男女发病率相似(60:58),最常见的发病部位为肺(35.3%),其次为头颈部(35.0%),发病中位年龄为23(0~68 )岁,其中10~30岁患者占45.4%,仅有7例患者超过60岁[46]。
泪道肿瘤发病隐蔽,且临床医生对本病缺乏认识,容易误诊和漏诊,早期可能被误诊为慢性炎症或泪道阻塞而被忽视。恶性肿瘤者多发展较快,病程较短。随着肿物生长,可表现内眦部肿块,并可以向鼻腔、眼眶侵犯,表现为局部皮肤红肿、破溃,眼球突出、移位等。晚期可有区域淋巴结肿大、全身转移[23]。如果临床上怀疑为泪道肿瘤,建议行详细的影像学检查(CT或者MRI)评估,采用增强扫描、三维重建等技术观察肿瘤与周围组织结构的关系[47]。术前仅建议在有明显的外生性或溃疡性病变的情况下部分切除进行活检,对于有恶性可能的肿物应尽可能完整切除,有条件可在术中作快速冰冻切片,以指导切除范围。据报道,泪囊癌的复发率约为50%,死亡率为37%~100%(移行细胞癌高达100%),死亡率随着复发率而增加。泪道恶性肿瘤最常通过浸润到邻近结构而扩散,并可以通过淋巴或血行转移。文献中报道有不到1/3的恶性患者通过淋巴管扩散到耳前、下颌下或颈部淋巴结,在晚期病例中可远处血行转移到肺和食管,以及骨骼和皮肤[12-17, 20]。一旦怀疑为泪道肿瘤,主张摘除泪囊并做快速冰冻切片,恶性者需要根治性切除,并进一步行放射治疗或化学治疗[48-49]。
本文中根据两例患者的主诉、症状、体征及影像学检查,结合文献资料,均考虑为泪道实性肿瘤,第一例患者(均质、界限清、无骨质破坏)为良性的乳头状瘤可能性大,第二例患者术前考虑为恶性可能性大。由于单一的外路或者内窥镜下手术均无法顺利完整地切除累及泪囊及鼻泪管全长的肿物,特别是鼻泪管内部分,故选择经皮肤切口和鼻内镜入路联合手术。
Peer等建议对于泪道广泛的和(或)严重的非上皮源性肿瘤要进行广泛的扩大切除,包括泪小管及鼻泪管[8]。经皮肤切口可以开放上部泪道,包括泪囊及上部鼻泪管,鼻内镜下可以有效分离下部鼻泪管[9],这种方法可以有效地分离并且能够完整地切除泪道内广泛的病变[11, 50]。而单纯经皮肤切口入路手术完整摘除泪囊和鼻泪管需要更大的皮肤切口,并且需要打开上颌窦才能打开骨性鼻泪管。经皮肤切口联合鼻内镜手术入路的优点有:皮肤切口小,出血少;鼻内镜的放大效果,可以充分观察到鼻泪管是否被病变侵及,并且可以取出鼻旁窦内的肿瘤。Matyja等[51]报道采用鼻内镜下经上颌窦泪前隐窝径路联合经眶入路切除泪道良性肿瘤的方法。
显然对于泪道的恶性肿瘤,应以尽量完全切除病灶为首要目的,并且术后有进一步放射治疗、化学治疗的需要,不宜同期行泪道再造术。如术前临床表现可以确定为泪道良性病变或者术中快速冰冻切片病理检查证实泪道肿瘤为良性,且未累及泪小管,则可以考虑同期行泪道重建。Wu等[52]报道了一例发生在泪囊的轻链淀粉样变性患者,该病为具有一定侵袭性的良性病变,可引起骨质破坏,并累及周围软组织,但彩超可见内部缺少血流。该例在术前考虑为泪囊淀粉样变性,实施了经鼻内镜联合皮肤切口入路的泪囊全切并一期行泪道重建术,术后病理检查也证实为轻链淀粉样变性,手术效果满意。淀粉样变常发生在全身多处,局灶性病变较少,发生在泪道的局灶性淀粉样变罕见[53],首例报道见于2006年[54]。
本文第一例患者术前冲洗泪道结果与MRI检查影像并不相符,但经两次冲洗确认确实有少量液体入咽。分析原因:患者病情为乳头状瘤,瘤体结构外观呈颗粒样,自泪囊鼻泪管内壁黏膜向管腔内生长,可能仍然存在一定间隙允许液体流过。术前虽然也考虑良性病变,但病变累及泪囊及鼻泪管,手术创面大,故未同期行泪道重建。
笔者团队曾报道过1例通过鼻内镜下鼻腔泪囊吻合术(Endoscopic nasodacryocystostomy, EnDCR)治疗的巨大泪囊囊肿患者[55],切除囊肿内侧壁即可达到治疗目的,手术过程同常规的EnDCR手术。所以,表现为泪囊肿物的患者在术前应完善辅助检查,比如眼眶彩超、CT及MRI平扫与增强扫描,有条件者还可以进行泪道内镜检查(目前唯一可以直接观察到泪道黏膜的泪道检查设备)[44],如术前怀疑或术后病理证实为恶性肿瘤,应做必要的全身重要脏器检查,了解局部及全身病情,以制定合理的治疗方案。对于有手术指征的应选择合适的手术入路,尽量完整切除。恶性肿瘤一经确诊,需尽快转至肿瘤科治疗。不论良性肿瘤还是恶性肿瘤,在术后都应该进行长期的随访,以早期发现复发和转移,及时治疗。
利益冲突
所有作者均声明不存在利益冲突。开放获取声明
本文适用于知识共享许可协议 (Creative Commons),允许第三方用户按照署名(BY)-非商业性使用(NC)-禁止演绎(ND)(CC BY-NC-ND)的方式共享,即允许第三方对本刊发表的文章进行复制、发行、展览、表演、放映、广播或通过信息网络向公众传播,但在这些过程中必须保留作者署名、仅限于非商业性目的、不得进行演绎创作。
基金
暂无基金信息
参考文献
1. Chu Y C, Tsai C C. Delayed Diagnosis and Misdiagnosis of Lacrimal Sac Tumors in Patients treatment, and outcomes[J]. Diagnostics, 2024, 14(21): 2401. DOI:10.3390/diagnostics14212401.
2. Ryan SJ, Font RL. Primary epithelial neoplasms of the lacrimal sac[J]. Am J Ophthalmol, 1973, 76(1): 73-88. DOI:10.1016/0002-9394(73)90014-7.
3. Yanoff M, Sassani JW. Skin and lacrimal drainage system[M]//Ocular Pathology. Amsterdam: Elsevier, 2015: 147-197.e11. DOI:10.1016/b978-1-4557-2874-9.00006-5.
4. Ashton N, Choyce DP, Fison LG. Carcinoma of the lacrimal sac[J]. Br J Ophthalmol, 1951, 35(6): 366-376. DOI:10.1136/bjo.35.6.366.
5. Meng FX, Yue H, Yuan YQ, et al. Lacrimal sac lymphoma: a case series and literature review[J]. Int J Ophthalmol, 2022, 15(10): 1586-1590. DOI:10.18240/ijo.2022.10.04.
6. Radnót M, Gáll J. Tumors of the lacrimal sac[J]. Ophthalmologica, 1966, 151(1): 2-22.
7. Ni C, D’Amico DJ, Fan CQ, et al. Tumors of the lacrimal sac: a clinicopathological analysis of 82 cases[J]. Int Ophthalmol Clin, 1982, 22(1): 121-140. DOI:10.1097/00004397-198202210-00010.
8. Flanagan JC, Stokes DP. Lacrimal sac tumors[J]. Ophthalmology, 1978, 85(12): 1282-1287. DOI:10.1016/s0161-6420(78)35554-8.
9. Stefanyszyn MA, Hidayat AA, Pe’er JJ, et al. Lacrimal sac tumors[J]. Ophthalmic Plast Reconstr Surg, 1994, 10(3): 169-184. DOI:10.1097/00002341-199409000-00005.
10. Pe’er J, Hidayat AA, Ilsar M, et al. Glandular tumors of the lacrimal sac. Their histopathologic patterns and possible origins[J]. Ophthalmology, 1996, 103(10): 1601-1605. DOI:10.1016/s0161-6420(96)30457-0.
11. Pe’er JJ, Stefanyszyn M, Hidayat AA. Nonepithelial tumors of the lacrimal sac[J]. Am J Ophthalmol, 1994, 118(5): 650-658. DOI:10.1016/s0002-9394(14)76580-8.
12. Bi YW, Chen RJ, Li XP. Clinical and pathological analysis of primary lacrimal sac tumors[J]. Zhonghua Yan Ke Za Zhi, 2007, 43(6): 499-504.
13. Schenck NL, Ogura JH, Pratt LL. Cancer of the lacrimal sac. Presentation of five cases and review of the literature[J]. Ann Otol Rhinol Laryngol, 1973, 82(2): 153-161. DOI:10.1177/000348947308200211.
14. Anderson NG, Wojno TH, Grossniklaus HE. Clinicopathologic findings from lacrimal sac biopsy specimens obtained during dacryocystorhinostomy[J]. Ophthalmic Plast Reconstr Surg, 2003, 19(3): 173-176. DOI:10.1097/01.iop.0000066646.59045.5a.
15. Parmar DN, Rose GE. Management of lacrimal sac tumours[J]. Eye, 2003, 17(5): 599-606. DOI:10.1038/sj.eye.6700516.
16. Jordan DR. Re: “Clinicopathologic findings from lacrimal sac biopsy specimens obtained during dacryocystorhinostomy”[J]. Ophthalmic Plast Reconstr Surg, 2004, 20(2): 176-177. DOI:10.1097/01.iop.0000116373.95078.8f.
17. Kim HJ, Langer PD. Lacrimal sac tumors: diagnosis and treatment[M]//Smith and Nesi’s Ophthalmic Plastic and Reconstructive Surgery. Cham: Springer International Publishing, 2020: 497-503. DOI:10.1007/978-3-030-41720-8_30.
18. Schaefer JL, Schaefer DP. Acquired causes of lacrimal system obstructions[M]//Smith and Nesi’s Ophthalmic Plastic and Reconstructive Surgery. Cham: Springer International Publishing, 2020: 521-543. DOI:10.1007/978-3-030-41720-8_33.
19. Heindl LM, Jünemann AGM, Kruse FE, et al. Tumors of the lacrimal drainage system[J]. Orbit, 2010, 29(5): 298-306. DOI:10.3109/01676830.2010.492887.
20. Montalban A, Liétin B, Louvrier C, et al. Malignant lacrimal sac tumors[J]. Eur Ann Otorhinolaryngol Head Neck Dis, 2010, 127(5): 165-172. DOI:10.1016/j.anorl.2010.09.001.
21. Koturović Z, Knežević M, Rašić DM. Clinical significance of routine lacrimal sac biopsy during dacryocystorhinostomy: a comprehensive review of literature[J]. Bosn J Basic Med Sci, 2017, 17(1): 1-8. DOI:10.17305/bjbms.2016.1424.
22. 朱丽娟, 朱豫, 冯沛贝, 等. 泪囊实性肿物的临床病理分析[J]. 眼科新进展, 2019, 39(4): 363-365.
Zhu LJ, Zhu Y, Feng PB, et al. Clinicopathological analysis of tumors of the lacrimal sac[J]. Recent Adv Ophthalmol, 2019, 39(4): 363-365.
Zhu LJ, Zhu Y, Feng PB, et al. Clinicopathological analysis of tumors of the lacrimal sac[J]. Recent Adv Ophthalmol, 2019, 39(4): 363-365.
23. Skinner HD, Garden AS, Rosenthal DI, et al. Outcomes of malignant tumors of the lacrimal apparatus: the University of Texas MD Anderson Cancer Center experience[J]. Cancer, 2011, 117(12): 2801-2810. DOI:10.1002/cncr.25813.
24. Valenzuela AA, McNab AA, Selva D, et al. Clinical features and management of tumors affecting the lacrimal drainage apparatus[J]. Ophthalmic Plast Reconstr Surg, 2006, 22(2): 96-101. DOI:10.1097/01.iop.0000198457.71173.7b.
25. French CA. NUT Carcinoma: Clinicopathologic features, pathogenesis, and treatment[J]. Pathol Int, 2018, 68(11): 583-595. DOI:10.1111/pin.12727.
26. 王艺贝, 赵建辉, 周小林, 等. 鼻腔鼻窦NUT癌1例并文献复习[J]. 临床耳鼻咽喉头颈外科杂志, 2024, 38(6): 530-533,540. DOI: 10.13201/j.issn.2096-7993.2024.06.014.
Wang YB, Zhao JH, Zhou XL, et al. NUT cancer of nasal cavity and sinuses: a case report and literature review[J]. J Clin Otorhinolaryngol Head Neck Surg, 2024, 38(6): 530-533,540. DOI: 10.13201/j.issn.2096-7993.2024.06.014.
Wang YB, Zhao JH, Zhou XL, et al. NUT cancer of nasal cavity and sinuses: a case report and literature review[J]. J Clin Otorhinolaryngol Head Neck Surg, 2024, 38(6): 530-533,540. DOI: 10.13201/j.issn.2096-7993.2024.06.014.
27. Krishna Y, Coupland SE. Lacrimal sac tumors: a review[J]. Asia Pac J Ophthalmol (Phila), 2017, 6(2): 173-178. DOI:10.22608/apo.201713.
28. Nakamura K, Uehara S, Omagari J, et al. Primary non-Hodgkin’s lymphoma of the lacrimal sac: a case report and a review of the literature[J]. Cancer, 1997, 80(11): 2151-2155. DOI:10.1002/(sici)1097-0142(19971201)80:11<2151::aid-cncr15>3.0.co;2-y.
29. Kheterpal S, Chan SY, Batch A, et al. Previously undiagnosed lymphoma presenting as recurrent dacryocystitis[J]. Arch Ophthalmol, 1994, 112(4): 519-520. DOI:10.1001/archopht.1994.01090160095027.
30. Madreperla SA, Green WR, Daniel R, et al. Human papillomavirus in primary epithelial tumors of the lacrimal sac[J]. Ophthalmology, 1993, 100(4): 569-573. DOI:10.1016/s0161-6420(93)31629-5.
31. Sjö NC, von Buchwald C, Cassonnet P, et al. Human papillomavirus: cause of epithelial lacrimal sac neoplasia[J]. Acta Ophthalmol Scand, 2007, 85(5): 551-556. DOI:10.1111/j.1600-0420.2007.00893.x.
32. Gao HW, Lee HS, Lin YS, et al. Primary lymphoma of nasolacrimal drainage system: a case report and literature review[J]. Am J Otolaryngol, 2005, 26(5): 356-359. DOI:10.1016/j.amjoto.2005.02.011.
33. Litschel R, Siano M, Tasman AJ, et al. Nasolacrimal duct obstruction caused by lymphoproliferative infiltration in the course of chronic lymphocytic leukemia[J]. Allergy Rhinol, 2015, 6(3): 191-194. DOI:10.2500/ar.2015.6.0130.
34. Yip CC, Bartley GB, Habermann TM, et al. Involvement of the lacrimal drainage system by leukemia or lymphoma[J]. Ophthalmic Plast Reconstr Surg, 2002, 18(4): 242-246. DOI:10.1097/00002341-200207000-00002.
35. Benger RS, Frueh BR. Lacrimal drainage obstruction from lacrimal sac infiltration by lymphocytic neoplasia[J]. Am J Ophthalmol, 1986, 101(2): 242-245. DOI:10.1016/0002-9394(86)90603-3.
36. Ferry JA, Fung CY, Zukerberg L, et al. Lymphoma of the ocular adnexa: a study of 353 cases[J]. Am J Surg Pathol, 2007, 31(2): 170-184. DOI:10.1097/01.pas.0000213350.49767.46.
37. Karesh JW, Perman KI, Rodrigues MM. Dacryocystitis associated with malignant lymphoma of the lacrimal sac[J]. Ophthalmology, 1993, 100(5): 669-673. DOI:10.1016/s0161-6420(93)31590-3.
38. Sjö LD, Ralfkiaer E, Juhl BR, et al. Primary lymphoma of the lacrimal sac: an EORTC ophthalmic oncology task force study[J]. Br J Ophthalmol, 2006, 90(8): 1004-1009. DOI:10.1136/bjo.2006.090589.
39. Krishna Y, Irion LD, Karim S, et al. Chronic lymphocytic leukaemia/small-cell lymphocytic lymphoma of the lacrimal sac: a case series[J]. Ocul Oncol Pathol, 2017, 3(3): 224-228. DOI:10.1159/000455148.
40. Perry JD, Singh AD. Clinical ophthalmic oncology: orbital tumors[M]. Berlin: Springer, 2014.
41. Chen H, Li J, Wang L, et al. Hepatocellular carcinoma metastasis to the lacrimal gland: a case report[J]. Oncol Lett, 2014, 8(2): 911-913. DOI:10.3892/ol.2014.2191.
42. Vozmediano-Serrano MT, Toledano-Fernández N, Fdez-Aceñero MJ, et al. Lacrimal sac metastases from renal cell carcinoma[J]. Orbit, 2006, 25(3): 249-251. DOI:10.1080/01676830600575550.
43. Greene DP, Shield DR, Shields CL, et al. Cutaneous melanoma metastatic to the orbit: review of 15 cases[J]. Ophthalmic Plast Reconstr Surg, 2014, 30(3): 233-237. DOI:10.1097/IOP.0000000000000075.
44. 王朋, 陶海, 白芳. 以血泪为首发症状的泪道乳头状瘤1例[J]. 中国中医眼科杂志, 2021, 31(6): 435-436. DOI: 10.13444/j.cnki.zgzyykzz.2021.06.012.
Wang P, Tao H, Bai F. China J Chin Ophthalmol, 2021, 31(6): 435-436. DOI: 10.13444/j.cnki.zgzyykzz.2021.06.012.
Wang P, Tao H, Bai F. China J Chin Ophthalmol, 2021, 31(6): 435-436. DOI: 10.13444/j.cnki.zgzyykzz.2021.06.012.
45. Stevens TM, Morlote D, Xiu J, et al. NUTM1-rearranged neoplasia: a multi-institution experience yields novel fusion partners and expands the histologic spectrum[J]. Mod Pathol, 2019, 32(6): 764-773. DOI:10.1038/s41379-019-0206-z.
46. Giridhar P, Mallick S, Kashyap L, et al. Patterns of care and impact of prognostic factors in the outcome of NUT midline carcinoma: a systematic review and individual patient data analysis of 119 cases[J]. Eur Arch Otorhinolaryngol, 2018, 275(3): 815-821. DOI:10.1007/s00405-018-4882-y.
47. Weber AL, Rodriguez-DeVelasquez A, Lucarelli MJ, et al. Normal anatomy and lesions of the lacrimal sac and duct: evaluated by dacryocystography, computed tomography, and MR imaging[J]. Neuroimaging Clin N Am, 1996, 6(1): 199-217.
48. Hornblass A, Jakobiec FA, Bosniak S, et al. The diagnosis and management of epithelial tumors of the lacrimal sac[J]. Ophthalmology, 1980, 87(6): 476-490. DOI:10.1016/s0161-6420(80)35205-6.
49. Örge FH, Boente CS. The lacrimal system[J]. Pediatr Clin N Am, 2014, 61(3): 529-539. DOI:10.1016/j.pcl.2014.03.002.
50. Sullivan TJ, Valenzuela AA, Selva D, et al. Combined external-endonasal approach for complete excision of the lacrimal drainage apparatus[J]. Ophthalmic Plast Reconstr Surg, 2006, 22(3): 169-172. DOI:10.1097/01.iop.0000214499.11921.27.
51. Matyja G. Possibility and limits of the endonasal approach in sinonasal inverted papilloma cases: the technique and own experience. Preliminary report[J]. Otolaryngol Pol, 2007, 61(6): 926-930. DOI:10.1016/S0030-6657(07)70555-3.
52. Wu P, Tang L, Zhang P, et al. Localized light chain amyloidosis involving the lacrimal sac: a case report[J]. Heliyon, 2024, 10(9): e30035. DOI:10.1016/j.heliyon.2024.e30035.
53. Al Hussain H, Edward DP. Anterior orbit and adnexal amyloidosis[J]. Middle East Afr J Ophthalmol, 2013, 20(3): 193-197. DOI:10.4103/0974-9233.114789.
54. Marcet MM, Roh JH, Mandeville JT, et al. Localized orbital amyloidosis involving the lacrimal sac and nasolacrimal duct[J]. Ophthalmology, 2006, 113(1): 153-156. DOI:10.1016/j.ophtha.2005.09.034.
55. 王成美, 周玉娟, 陈海粟, 等. 鼻泪囊粘液囊肿1例[J]. 临床眼科杂志, 2024, 32(1): 74-75. DOI: 10.3969/j.issn.1006-8422.2024.01.018.
Wang CM, Zhou YJ, Chen HS, et al. Mucocele of nasolacrimal sac: a case report[J]. J Clin Ophthalmol, 2024, 32(1): 74-75. DOI: 10.3969/j.issn.1006-8422.2024.01.018.
Wang CM, Zhou YJ, Chen HS, et al. Mucocele of nasolacrimal sac: a case report[J]. J Clin Ophthalmol, 2024, 32(1): 74-75. DOI: 10.3969/j.issn.1006-8422.2024.01.018.