白塞病性葡萄膜炎并发视网膜新生血管的临床及影像学特征分析
关键词
摘要
目的:探讨白塞病性葡萄膜炎(Behçet's uveitis, BU)并发视盘新生血管(neovascularization of the optic disc, NVD)和(或)视盘以外视网膜新生血管(retinal neovascularization elsewhere, NVE)的临床及影像特征。方法:回顾性分析2022年1月—2024年9月就诊的BU并发NVD和(或)NVE患者的临床资料和眼底影像学检查结果,包括眼底彩照、荧光素眼底血管造影(fluorescein fundus angiography, FFA)、光学相干断层成像(optical coherence tomography, OCT)和光学相干断层血管成像(OCT angiography, OCTA)。并分析NVD和(或)NVE面积与患眼的改良的眼后段炎症评分以及视网膜血管渗漏评分的相关性。结果:共纳入27例患者(30只眼),年龄为(27.70±12.58)岁,男女比例约为1:1。3例(11%)患者双眼并发NVD和(或)NVE;25只眼(83%)存在NVD:17只眼(57%)仅有NVD;8只眼(27%)存在NVD和NVE。仅2只眼(7%)存在视网膜无灌注区,7只眼(23%)同时发生玻璃体积血。FFA眼后段炎症评分为(20.93±4.37)分。FFA血管渗漏评分为(7.57±1.25)分。NVD和(或)NVE面积与眼后段炎症评分(rs = 0.403,P = 0.027)及视网膜血管渗漏评分(rs = 0.518,P = 0.003)均呈正相关。FFA与OCTA在检测NVD和NVE上表现完全一致(κ= 1.0)。结论:BU并发NVD和(或)NVE并不罕见,以NVD为主,绝大多数与视网膜无灌注不相关,可能由BU炎症诱发。
全文
文章亮点
1. 关键发现
2. 已知与发现
3. 意义与改变
白塞病(Behçet's disease, BD)是一种复杂的系统性自身免疫性疾病,主要包括反复发作的口腔溃疡、生殖器溃疡、皮肤损害、关节炎和眼部炎症等。BD的确切病因尚未明确,可能与遗传、环境和免疫因素相互作用有关[1]。 根据流行病学研究,BD的全球平均患病率估计为每10万人中有10.3人。但BD在不同地区的发病率存在显著差异。在地中海沿岸、东亚和中东地区,BD的发病率较高,而在西方国家相对较低[2-3]。在中国,约有8.7%的葡萄膜炎患者可能患有BD[4]。 白塞病性葡萄膜炎(Behcet's uveitis, BU)是BD眼部表现的重要特征之一,其发生率约为70%~90%,在眼后段主要表现为复发性视网膜血管炎。BU患者中,既往国外研究显示约4%~5%的患者可能会出现视网膜新生血管(retinal neovascularization, RNV),包括视盘视网膜新生血管(neovascularization of the optic disc, NVD)和(或)视盘以外视网膜新生血管(retinal neovascularization elsewhere, NVE),最常见的为NVD[5-7]。其中NVD指累及视盘及视盘旁1个视盘直径范围的RNV。
RNV常发生在视网膜局部缺血的背景下,如在增殖性糖尿病视网膜病变(proliferative diabetic retinopathy, PDR)和视网膜静脉阻塞(retinal vein occlusion, RVO)等缺血性视网膜疾病中[8-9]。 BU患者中,视网膜血管炎导致炎症因子持续释放和刺激在RNV形成中也可能起到了重要的作用。
BU并发RNV可引起视网膜前出血、玻璃体积血等不良后果。既往BU并发RNV诊断的金标准是荧光素眼底血管造影(fundus fluorescein angiography, FFA)检测新生血管的形态、范围和是否存在活动性的荧光素渗漏。同时,FFA还可以检测与RNV形成相关的是否存在视网膜无灌注、视网膜血管炎以及黄斑水肿程度。由于BU容易复发,利用FFA随访辅助诊疗计划是目前临床上最常见的方法;但该检查有创,使其具有一定局限性。随着无创性光学相干断层扫描(optical coherence tomography, OCT)及其血管成像技术(OCT angiography, OCTA)的出现与发展,以及近年来广角成像技术的加持,使得评估眼底血管疾病变得更为便捷,且有利于随访。OCTA的分层成像和无视网膜血管渗漏的干扰更有利于检测和观察RNV形态轮廓,但难于检测BU视网膜血管通透性改变以评估炎症程度[10]。
目前尚无BU并发RNV的多模式影像研究,国内亦缺乏BU并发RNV的系列观察。本研究通过分析国人BU并发RNV的临床资料和多模式影像特征,尝试为临床上提供BU发生RNV的概况、规律和相关影响因素,为其早期诊断和治疗提供参考依据。
1 资料与方法
1.1 研究设计
本研究回顾分析了2022年1月—2024年9月于中山大学中山眼科中心初诊并确诊为BU并发RNV的患者资料,收集他们在初诊时的基本信息,包括年龄、性别、病程、既往史以及全身患病情况等,并收集了详细的眼科检查结果,包含最佳矫正视力(best corrected visual acuity, BCVA)、眼底彩照(Visucam 524,蔡司,德国)、FFA(Spectralis HRA,海德堡,德国)、OCT和OCTA(BM-400k;图湃医疗科技有限公司,中国)等。本研究已获得中山大学中山眼科中心医学伦理委员会批准(批件号:2023KYPJ116),遵守《赫尔辛基宣言》。1.2 纳入与排除标准
纳入标准:符合国际BD研究组织(International Study Group for Behçet's Disease, ISGBD)的诊断标准[11]确诊为BD, 有明确的葡萄膜炎体征,FFA检测出有BU并发的NVD和(或)NVE。排除以下患者:1)其他已知可能导致视盘或视网膜新生血管的眼部疾病患者,如PDR、RVO、Eales病等;2)FFA、OCT和OCTA等检查结果缺失的患者。1.3 数据收集
1.3.1 FFARNV定义为静脉早期显示的视网膜前点状或襻样血管网,随即迅速有荧光素渗漏。同时本研究采用5~10 min后极部及各个象限中周部的FFA图像对BU引起的眼后段炎症以及荧光素血管渗漏(fluorescein vascular leakage, FVL)依据标准评分系统进行评估(图1)[12-13]。改良的FFA眼后段炎症评分系统(排除RNV相关评分)以颞侧血管弓为界,将眼底分为后极部和中周部,并以视盘为中心的十字分界线将中周部进一步划分为四个象限。评分标准包括评估后极部视盘染色类型(0~3分)、不同类型的黄斑水肿(1~4分)、视网膜血管染色及渗漏(1~3分)、视网膜毛细血管渗漏(1~2分),视网膜毛细血管无灌注(0~2分)。四个象限中周部评分:视网膜血管染色及渗漏(1~3分)、视网膜毛细血管渗漏(1~2分)。FVL评分系统以视盘、黄斑和周边视网膜3个部位的 FVL 程度按 0~3 级进行评分(无为0分,轻度为1分,中度为2分,重度为3分)。每例患者的FFA图像均由2位研究者独立评分和测量,评分的测量结果的一致性通过统计学检验,κ< 0.05,表明具有良好的一致性。此外,通过眼底彩照和FFA图像评估是否存在其他并发症,如玻璃体积血和视网膜无灌注等。
图 1 RNV面积的测量、改良的FFA眼后段炎症和FVL评分
Figure 1 Measurement of RNV areas, the modified FFA posterior segment inflammation & FVL scoring

Late-stage FFA image (A) demonstrating modified FFA posterior segment inflammation and FVL scores, along with RNV area measurement using OCTA vitreous cavity blood flow en face imaging. The modified FFA posterior segment inflammation score for this FFA image (A) is calculated as follows: diffuse optic disc staining (2 points) + diffuse perimacular leakage (3 points) + diffuse retinal capillary leakage (2 points) = 7 points; while the FVL score is: optic disc (2 points) + macular area (2 points) + peripheral retinal leakage (3 points) = 7 points. OCTA en face image on vitreous blood flow layer reveals the morphological outline of NVD (B), with researchers manually delineating the boundaries of NVD using a polygonal selection tool (C). RNV = retinal neovascularization; FFA = fundus fluorescein angiography; FVL = fluorescein vascular leakage; OCTA = optical coherence tomography angiography; NVD = neovascularization of the optic disc.
1.3.2 OCTA
本研究还收集以黄斑和(或)视盘为中心的24 mm×20 mm或12×12 mm或6 mm×6 mm的OCTA en face图像对NVD和NVE进行详细分析。本研究选取了2个不同的层面进行观察:表层视网膜血流[从内界膜(internal limiting membrane, ILM)到内丛状层的范围]和玻璃体血流层(从玻璃体顶部到ILM之间的区域)。这些层面的选择有助于更清晰地显示NVD及其与周围组织的关系,特别是在评估新生血管生长形态特征提供了重要的影像学依据。同时,在排除了与无灌注区相连的NVE的情况下,本研究选取了OCTA玻璃体血流en face图像进行NVD和NVE面积的测量(图1)。使用ImageJ( Java 1.8.0_172,美国)软件进行分析,每张图像中,由两位研究者手动使用多边形选择工具勾画NVD的边界,并重复绘制3次以确保准确性。随后,使用ImageJ的“测量”功能计算所选区域的面积,并记录3次测量结果的平均值,单位为像素。随后通过OCTA en face图像的面积通过以下公式进行换算,计算出RNV的面积,单位为平方毫米。NVD和NVE面积的测量结果的一致性通过统计学检验,κ < 0.05,表明具有良好的一致性。
1.4 数据统计及分析
本研究采用SPSS 27.0软件进行数据分析。连续性指标数据均利用夏皮洛-威尔克检验进行了正态性检验,符合正态性分布的数据以范围(平均值 ± 标准偏差)或平均值 ± 标准偏差表示;不符合正态性分布的数据以中位数(四分位距)表示;分类数据则以绝对数值或绝对数值(百分比)形式表示。采用Cohen's kappa系数评估FFA与OCTA在检测NVD和NVE方面的一致性。并以FFA为金标准,计算OCTA诊断NVD和NVE的敏感性和特异性。两名作者独立评估所有图像。使用Spearman等级相关性检验分析RNV面积与FFA眼后段炎症评分和FVL评分的相关性。P < 0.05视为差异具有统计意义。2 结果
2.1 基本信息
本研究共纳入27例BU合并RNV患者(30只眼)。男性13例(48%),女性14例(52%)。初诊时的年龄为(27.70±12.58)岁(范围:11 ~ 57岁)。病程为(1.56±0.93)年(范围0.25 ~ 2.91年),所有患者满足2014年BD国际研究小组诊断标准[13],均具有眼外表现,其中口腔溃疡25例(92.59%),生殖器溃疡12例(44.44%),皮肤病变22例(81.48%)。所有患者均为双眼BU,3例(11%)患者双眼并发RNV,24例(89%)患者并发单眼RNV。就诊时的平均BCVA用最小分辨角的对数值(logarithm of the minimum angle of resolution, logMAR)表示为0.607 ± 0.446。2.2 BU并发RNV的影像特征
BU并发RNV患眼中, 25眼(83%)有NVD,其中17眼(57%)仅有NVD(图2),8眼(27%)同时有NVD和NVE(图3);5眼(17%)仅有NVE(图4)。在13发生NVE眼中,所有眼中均存在位于视盘不远处位置的NVE(图3-4);仅2眼(15%)合并位于周边部的NVE(图5),也仅在这2眼并发NVE(7%)中发现有视网膜无灌注,无灌注区位于周边部毗邻NVE。BU合并RNV患眼的FFA眼后段炎症评分范围为11 ~ 29分,平均得分为(20.93± 4.37)分;FVL评分的范围为5 ~ 9分,平均得分为(7.57±1.25)分。RNV面积的中位数为3.03 mm2(四分位距:4.05 mm2)。此外,RNV 7眼(23%)继发玻璃体积血(表1),7眼玻璃体积血量均较少,不妨碍眼底观察。
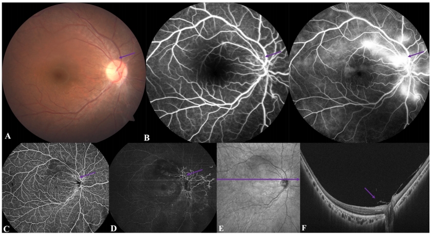
图 2 BU患眼并发NVD的多模式影像表现
Figure 2 Multimodal imaging of NVD in eye with BU

Multimodal imaging findings of a BU-affected eye with concurrent NVD only, including color fundus photography (A), early and late-stage FFA (B), OCTA superficial retinal blood flow en face image (C), OCTA vitreous blood flow en face image (D), IR image (E), and OCT B-scan (F). In the early-stage FFA, the loop-like vascular network morphology of NVD on and around the optic disc surface can be observed, with significant leakage in the late stage. The OCTA vitreous blood flow en face image clearly and completely displays the morphological outline of NVD on the internal limiting membrane (ILM). Purple arrows in the aforementioned images indicate the same NVD location across different modalities. OCT reveals that the NVD remains connected to the ILM. BU = Behçet's uveitis; NVD = neovascularization of the optic disc; FFA = fundus fluorescein angiography; OCT = optical coherence tomography; OCTA = OCT angiography; IR = infrared retinography;ILM = internal limiting membrane.
图 3 BU患眼并发NVD和NVE的多模式影像表现
Figure 3 Multimodal imaging of NVD and NVE in eye with BU

Multimodal imaging findings of a BU-affected eye with concurrent NVD and NVE. Color fundus photography (A): Orange and blue arrows indicate NVD and NVE, respectively. Mid-phase FFA (B): Significant leakage from both NVD and NVE can be observed. OCTA superficial retinal blood flow en face image (C), OCTA vitreous blood flow en face image (D), and IR image (E): The outlines of NVD and NVE are displayed, with the vitreous blood flow en face image providing the most direct and clear visualization. OCT B-scan (F): The orange arrow (corresponding to the orange arrow in Figure E) indicates NVD, while the blue arrow (corresponding to the blue arrow in Figure E) indicates NVE, both of which have breached the ILM and extended into the vitreous cavity. OCT B-scan (G): The red arrow (corresponding to the red arrows in Figures B, C, D, and E) shows the posterior hyaloid membrane extension of NVE. BU = Behçet's uveitis; NVD = neovascularization of the optic disc; NVE = retinal neovascularization elsewhere; FFA = fundus fluorescein angiography; OCT = optical coherence tomography; OCTA = OCT angiography; IR = infrared retinography;ILM = internal limiting membrane.
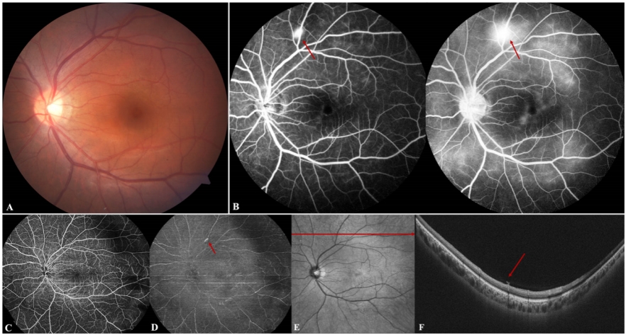
图 4 BU患眼并发NVE的多模式影像表现
Figure 4 Multimodal imaging of NVE in eye with BU

Multimodal imaging of NVE in a BU patient's eye, including color fundus photography (A), early and late phase FFA (B), OCTA superficial retinal blood flow en face image (C), OCTA vitreous blood flow en face image (D), IR image (E), and OCT B-scan (F). Significant leakage from NVE can be observed at the superotemporal vascular arcade in both early and late phase FFA. The OCTA superficial retinal blood flow en face image and IR image do not clearly show the outline of NVE, while the OCTA vitreous blood flow en face image clearly displays the contour of NVE. Red arrows in each image indicate the same location of NVE. The OCT B-scan shows that the NVE in the vitreous cavity remains connected to the ILM. BU = Behçet's uveitis; NVE = retinal neovascularization elsewhere; FFA = fundus fluorescein angiography; OCT = optical coherence tomography; OCTA = OCT angiography; IR = infrared retinography;ILM = internal limiting membrane.
图 5 BU患眼NVD和颞上周边部NVE的多模式影像表现
Figure 5 Multimodal imaging of NVD on the optic disc surface and NVE in the inferior temporal periphery region in Eye with BU

Early (A) and late (B) phase FFA images demonstrate leakage from NVD at the superior margin of the optic disc (yellow arrow) and NVE in the superotemporal periphery (red arrow), as well as peripheral nonperfusion. Color fundus photography (C), OCTA superficial retinal blood flow en face image (D), and OCTA vitreous blood flow en face image (E) display the contour of NVD located on the optic disc (yellow arrow).BU = Behçet's uveitis; NVD = neovascularization of the optic disc; NVE = retinal neovascularization elsewhere; FFA = fundus fluorescein angiography; OCTA = OCT angiography.
表 1 BU并发RNV的影像特征
Table 1 Imaging characteristics of RNV secondary to BU
|
影像特征 |
数据 |
|
NVD[n(%)] |
25(83) |
|
仅有NVD |
17(57) |
|
NVD合并NVE |
8(27) |
|
仅有NVE[n(%)] |
5(17) |
|
FFA眼后段炎症评分/分 |
11 ~ 29(20.93 ± 4.37) |
|
FVL评分/分 |
5 ~ 9(7.57 ± 1.25) |
|
RNV面积/mm2 |
3.03(4.05) |
|
无灌注区[n(%)] |
2(7) |
|
玻璃体积血[n(%)] |
7(23) |
1)连续性指标数据表示方法:范围(平均值 ± 标准偏差)或中位数(四分位距);2)描述性指标数据表示方法:绝对数值或绝对数值(百分比)。
1) Continuous variable data presentation: Range (mean ± standard deviation) or median (interquartile range). 2) Descriptive variable data presentation: Absolute numbers or absolute numbers (percentage). BU = Behçet 's uveitis; RNV= retinal neovascularization; NVD = neovascularization of the optic disc; NVE = retinal neovascularization elsew here; FFA = f undus f luorescein angiography; FVL = fluorescein vascular leakage.
表 2 RNV面积与FFA眼后段炎症评分和FVL评分的相关性
Table 2 Correlation between RNV area, FFA posterior segment inflammation scores and FVL scores
|
RNV§面积/mm2 |
rs |
P |
|
FFA眼后段炎症评分/分 |
0.403 |
0.027 |
|
FVL评分/分 |
0.518 |
0.003 |
3 讨论
本研究通过对27例BU患者的30只并发RNV眼进行详细的眼底影像特征评估,结果显示BU并发RNV患眼中NVD最为常见(83%),FFA与OCTA的玻璃体血流en face图像在BU并发的RNV诊断上完全一致;BU并发RNV绝大多数与视网膜无灌注不相关,但RNV面积与改良的FFA眼后段炎症评分和FVL评分显著相关,提示BU的RNV生成主要是BU炎症诱发,为这一并发症的诊断和治疗提供了重要参考。新生血管形成是组织损伤愈合过程中的基本要素之一,只要存在促血管生成的刺激,新生血管就可能持续存在[8]。既往普遍认为,RNV的生成和缺血有关。在本研究中,仅2只BU合并RNV患眼(7%)在周边NVE所在处存在视网膜无灌注区,其余患眼RNV均未发现视网膜无灌注区,提示BU并发的RNV与其他视网膜血管性疾病由缺血引起的RNV可能有不同发病机制[9]。 日本学者既往研究显示,在BU并发RNV的患眼中,87% RNV与视网膜无灌注区无关,该研究猜测RNV是BU炎症诱发的[7];本研究同时发现BU并发的RNV面积与改良的FFA眼后段炎症和FVL评分呈正相关,FFA眼后段炎症和FVL评分是用于评估BU的眼后段炎症水平,后者主要评估视网膜血管炎的严重程度,眼后段炎症评分越高,并发的RNV面积越大,这个结果为BU的RNV主要由炎症诱发的这种猜测提供了依据。炎症可能通过多种机制促进上调血管内皮生长因子(vascular endothelial growth factor, VEGF)的表达,从而导致新生血管的形成。既往研究提示,包括BU在内的葡萄膜炎患者玻璃体标本中的VEGF-A的浓度升高[15], 可能促进了BU中RNV的形成。此外,本研究中BU并发RNV的患眼中存在玻璃体积血的比例相对较低(23%)、程度较轻;相比之下,PDR患者中,5年间玻璃体积血的发生率约为46%~48%,而在RVO患者中,这一比例约为10%~40%[16–18]。这种差异提示在炎症或缺血的不同机制下形成的RNV结构和生长速度等可能存在差异。然而,这一假设仍需通过进一步研究来验证,以明确不同机制下RNV的结构和生长特征。
长期以来BU的治疗以全身抗炎为主。为了减少糖皮质激素长期使用的不良反应,通常联合使用免疫抑制剂,如环孢素、阿扎胞苷和甲氨蝶呤。近年来,生物制剂如抗肿瘤坏死因子药物在治疗中显示出良好的疗效,另外,干扰素α-2a也被用于控制BU的炎症和并发症[19]。 而多项临床报道显示,在不存在明显的视网膜无灌注的BU并发的RNV对于抗炎和免疫调节治疗(如糖皮质激素、生物制剂和干扰素α等)具有较好的反应[7, 20-21], 也从侧面证实BU并发的RNV与炎症密切相关。对于视网膜激光光凝治疗对BU并发与无灌注不相关的RNV的效果存在争议,在治疗手段相对缺乏的早期研究中认为其可以有效控制RNV,而新近的研究则提示仅有小部分RNV患眼对该治疗有反应[5, 7]。因此,对于没有视网膜无灌注的BU并发的RNV,炎症仍可能为主要诱发因素。据此,针对BU本身的抗炎治疗应作为这类并发症的核心治疗策略。
BU并发的炎性RNV好发于视盘或视盘附近区域,这可能与视盘区域的特殊解剖结构有关。视盘是视网膜中央血管系统进出眼球的主要通道,存在与睫状血管系统的沟通,血管密度高,是BU血管炎易受累部位,可能有较高的炎症因子释放和聚集;同时视盘及其周围视网膜代谢旺盛,氧耗需求高,炎症后可能刺激更多的VEGF等促血管生成因子的表达[14]。此外,RNV的发生部位还可能由视盘及其周围血管和胶质细胞内VEGF受体的分布所决定[22]。视盘与玻璃体粘连较为紧密但周围存在特殊的玻璃体腔隙,这种解剖结构为炎症因子和VEGF的聚集可能提供了空间[23]。
既往RNV的诊断金标准是FFA检查,典型的BU视网膜血管炎在FFA中表现为视网膜毛细血管的蕨叶样渗漏,一部分面积较小的RNV渗漏容易与视网膜本身的血管渗漏相混淆而被忽略、漏诊。本研究运用OCT和OCTA等无创眼底影像技术对RNV进行了详细观察和测量。因为所有RNV均突破内界膜在玻璃体腔生长,OCTA的玻璃体血流en face图像能清晰呈现RNV的形态轮廓,且提供细节,为临床评估BU并发RNV提供了新的有力工具[10, 24]。同时,本研究发现FFA与OCTA在检测BU相关NVD和NVE方面具有完全一致性,2名研究人员的评估结果也完全一致。这表明OCTA是一种可用于评估BU患者并发RNV的可靠的无创替代方法。BU的RNV以NVD为主,然而,OCTA对以周边NVE为主的其他视网膜病变的RNV检测可能面临挑战,主要由于周边扫描花费的时间与患者配合之间的矛盾。相比之下,FFA在获取周边视网膜图像方面相对更快捷和直接,更有利于全面评估视网膜血管状况,特别是评估周边视网膜的NVE和血管渗漏情况。
在临床实践中,OCTA可作为常规筛查和随访的首选工具,而FFA则适用于需要详细血流动力学评估的复杂病例。两种检查方法的结合使用可为BU患者提供全面的视网膜血管评估。此外,Zeng等[25]发现可以通过OCTA内界膜上的en face平面评估视网膜前的巨噬细胞样细胞密度从而无创性地评估BU视网膜炎症严重程度。同时还有研究通过OCTA发现,活动期和非活动期BU患者的浅层和深层视网膜血管密度均有下降,深层视网膜血管密度下降更明显[26-27]。这些基于OCTA的量化分析与BU并发RNV的关系值得在下一步研究中分析探讨。
本研究仍存在一些局限性。由于本研究为横断面研究,未对患者的治疗进行随访及观察RNV的转归和对不同治疗的反应,未来仍需要进行前瞻性的观察研究,为临床医生提供更多的依据。同时,由于BU并发RNV虽然并不罕见,但也并不十分常见,包括本研究在内的大多数研究的样本量较小,这可能会限制某些研究结果的可推广性和统计效力。尽管存在这些局限性,本研究仍对BU并发RNV的影像特征和临床特点进行了较为详细的总结和讨论。未来需要更多高质量的研究来解决这些局限性,进一步提高临床医生对该疾病的认识和管理水平。
本研究对BU并发RNV的临床和影像特征进行了详细分析,为这一并发症的诊断和治疗提供参考。研究结果表明BU并发RNV并不罕见,NVD是最常见类型;RNV与BU的炎症显著相关,但绝大多数与视网膜无灌注不相关,提示BU炎症在其并发的RNV生成中的作用,以及视盘对于炎症性RNV的位置特殊性,为BU并发RNV的治疗提供依据。