首诊眼科的 4 例 2 型神经纤维瘤病眼部病变特征
关键词
摘要
全文
文章亮点
1. 关键发现
• 通过总结 2 型神经纤维瘤病患者眼部影像学特征并结合国内外研究现状,发现眼部病变在 2 型神经纤维瘤病的早期诊断中具有一定的提示意义。2. 已知与发现
• 视网膜前膜、视网膜错构瘤和晶状体混浊等可成为年轻 2 型神经纤维瘤病患者的特征性早期表现。3. 意义与改变
• 2 型神经纤维瘤病的眼部表现可先于神经症状和听力损失,详细的眼科影像学检查对年轻患者的早期诊断具有重要意义。2型神经纤维瘤病(neurofibromatosis type 2, NF2)是一种罕见的多发性肿瘤综合征,由22q12.1染色体基因突变并编码一种名为Merlin或Schwannomin的蛋白质引起[1],其发病率约为1/25 000-1/60 000,没有性别差异,于1822年首先由Wishart报道[2-3]。NF2常表现为发生于第8对颅神经的双侧或单侧神经鞘瘤,其占比可达90%~95%[4],但与前庭神经鞘瘤相关的症状和体征并不总是NF2的表现特征,同时也可见皮肤和眼部异常,例如,非典型咖啡斑、扁平的皮肤斑块或球形皮下结节性肿物[5-6],而与NF2相关的眼部异常包括后囊膜下/囊膜或皮质晶状体混浊、视网膜错构瘤、视网膜前膜、麻痹性斜视和视神经鞘脑膜瘤等[7]。年轻患者可能会在出现神经症状和听力损失之前因视力下降和/或复视而首诊于眼科,因此NF2的早期诊断和全面随访具有挑战性[8-10]。本研究回顾首诊于眼科的4例NF2患者的眼部表现,分析NF2眼部病变的临床和影像学特征,报道如下。
1 资料与方法
收集2008年11月至2023年6月因眼部受累就诊于深圳市眼科医院(1例)和中山眼科中心(3例)的4例NF2患者病史资料。本研究遵循《赫尔辛基宣言》,已获得深圳市眼科医院伦理委员会审核批准(批件号:2024KYPJ141),患者及其家属对本研究方案知情,并签署知情同意书。其中男性2例,女性2例,均无亲本关系。所有患者均符合曼彻斯特NF2标准且接受了头颅MRI及详细的眼部检查,包括验光、裂隙灯检查、眼底检查、眼底光学相干断层成像、视野、VEP等。2 结果
2.1 人口统计学
4例患者均为散发型,其中3例表型严重,1例可能为早发型重型。从出现眼部症状到诊断为NF2之间的总体时间平均为13个月。在4例患者中,3例NF2早发型(<20岁),1例NF2晚发型(>20岁),平均诊断年龄14.25岁。3例患者因视力下降、1例患者因复视首诊于眼科。其中3例发现皮肤病变,3例发现中枢神经系统性病变,见表1。
表 1 人口统计学数据
Table 1 Demographic data
|
患者 性别 确诊年龄 延迟诊断 神经系统病变 皮肤病变 |
|||||
|
1
2
3
4 |
男
女
女
男 |
6岁
7岁
15岁
29岁 |
-
4年
-
- |
两侧小脑钙化灶
多发中枢及周围神经系统肿瘤 颅内多发肿瘤
颅内多发肿瘤 |
腹部、手臂见咖啡斑 腹部见乳头状肿物 -
胸腹部乳头状肿物,
乳晕色素沉着 |
2.2 眼部表现
4例患者均伴有视力下降,最佳矫正视力从手动到0.8。3例患者行眼底光学相干断层成像(optical coherence tomography, OCT)检查(图1)显示视网膜错构瘤2例,视网膜前膜2例,视盘隆起2例,视网膜神经纤维层和节细胞层变薄1例。其他表现包括麻痹性斜视1例,复视1例,白内障1例,球后段视神经增粗1例,眼眶肿瘤1例(见表2)。
图1 OCT图像
Figure 1 Optical coherent tomography of the fundus
(B) 视网膜前膜,右眼黄斑中心凹颞侧神经上皮层前见中低信号膜状物。
(C) 视网膜前膜伴视网膜错构瘤,左眼黄斑中心凹颞上方神经上皮层增厚,各层分界不清,表面信号粗糙,可见火焰状膜状物附着。
(A) Anterior retinal membrane with dystoma. The nerve epithelial of the concave nasal in the center of the macular of the right eye showed thickening, the boundaries of each layer were unclear, and the surface signal was rough.
(B) Anterior retinal membrane. Medium and low signal membranes in front of the concave temporal nerve epithelium in the center of the macula of the right eye.
(C) Anterior retinal membrane with dystoma. The nerve epithelial layer above the concave temporal in the center of the macular of the left eye showed thickening, the boundaries of each layer were unclear, and the surface signal was rough, which could be seen as a flame-like membrane attachment.
表 2 NF2 患者眼部表现及发病率
Table 2 Eye manifestations and morbidity of patients with NF2
|
眼部表现 眼数 患者数 发病率/% |
|||
|
视力受损 |
7 |
4 |
100 |
|
麻痹性斜视 |
2 |
1 |
25 |
|
后囊下白内障 |
1 |
1 |
25 |
|
视网膜前膜 |
3 |
2 |
50 |
|
视网膜错构瘤 |
2 |
2 |
50 |
|
视盘隆起 |
2 |
2 |
50 |
|
视神经增粗 |
1 |
1 |
25 |
|
眼眶肿瘤 |
1 |
1 |
25 |
2.3 神经系统表现
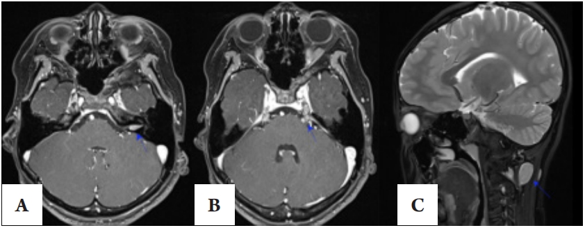
3例患者患有颅内多发神经系统肿瘤,其中1例存在明显头痛。这3例患者均存在双侧桥小脑角区占位性病变,呈T1低信号,T2高信号,增强扫描明显强化且与听神经相连,其中2例患者内听道见明显扩大(图2),同时这3例患者还存在海绵窦区占位性病变,其中有1例眼球运动受限。1例延髓区及周围可见多发小类圆形明显强化小结节影,右侧枕部皮下可见不规则肿块,呈略长T1长T2信号,边界清晰,内见分隔,增强扫描肿块呈明显不均匀化。1例颈后部等T1,稍长T2信号,不均匀异常强化,舌下偏前部信号欠匀伴不规则稍长T2信号影。1例患者右侧视神经球后段局部增粗,视力在1个月内急剧下降,中心视野缺损,行γ刀治疗8个月后,右侧听神经瘤囊变体积稍大,其余肿瘤无较大变化。
图2 眼眶及颅脑MRI
Figure 2 MRI images of the orbit and brain

2.4 皮肤特征
3名患者存在皮肤病变,1例不典型咖啡斑,2例球形皮下结节性肿物,1例晚发型患者皮肤肿物最为明显,且存在2种以上皮肤肿物。3 讨论
NF2是一种罕见的疾病,具有终身不可预测的肿瘤生长的潜力,早期诊断和全面随访具有挑战性。NF2主要以双侧前庭神经鞘瘤伴多发脑膜瘤或神经源性肿瘤如室管膜瘤,以及非常罕见的星形细胞瘤等起病常见[11-12]。NF2的前庭神经瘤在MR典型征象为桥小脑角区的占位性病变,以内听道为中心,可有内听道延伸、扩大,在T1WI上呈低、等信号,在T2WI上呈等、稍高信号,增强扫描不均匀强化[13]。脑膜瘤多为边缘清楚的肿块,可发生在脑内任何位置,最常发生在额叶、顶叶、颞区的幕上区域以及沿着大脑镰的区域,增强扫描明显强化;其他神经源性肿瘤可累及脊柱的后颅窝、颈髓区和脊髓内[14-15]。本文的3例患者中均出现了前庭神经鞘瘤伴颅内其他肿瘤,另1例患者无明显前庭神经鞘瘤病变,但存在颅内钙化灶,有学者认为颅内钙化虽然在NF2中不常见,但可以作为诊断的线索[16]。NF2相关的眼部异常包括白内障、视网膜色素上皮性错构瘤、视网膜错构瘤、视网膜前膜、麻痹性斜视及视神经病变等[17-18],这些症状发展到一定程度均可以引起视力受损。本组患者早发型比例较高,性别比例无差异,可单眼或双眼受累等与文献报道一致[5,17,19]。眼部病变的种类除文献报道的后囊下白内障、视网膜色素上皮性错构瘤、视网膜错构瘤、视网膜前膜、麻痹性斜视及视神经病变等外,还有一例出现了眼眶肿瘤,T1等信号,T2稍长信号,增强后较均匀强化,影像学诊断为神经鞘瘤。本研究4例患者的首发表现为视力下降和复视,视力下降与视网膜前膜、视网膜错构瘤及白内障紧密相关,其中1例患者出现眼球运动受限的同时伴有复视,推测其与左侧海绵窦区不规则占位性病变压迫动眼神经相关,另外两例患者海绵窦区占位性病变体积较小,首诊时暂未出现复视。
在眼部,早发型NF2常导致白内障和视网膜前膜,约60%~80%的患者患有白内障,通常是隐性后囊下白内障[20]。本组病例后囊下白内障的比例为25%,对视力的影响较轻。Waisberg等[7]认为火焰状视网膜前膜是年轻NF2患者的特异性表现,可以被认为是NF2的一个重要诊断标志。在Emmanouil等[21]的研究中,诊断NF2患者的指标中视网膜错构瘤的灵敏度为35%,特异性为100%,视网膜前膜的特异度为96%,灵敏度为13%。本组病例两例患者(3只眼)患有视网膜前膜,其中有两只眼伴有视网膜错构瘤所以视力较差。与视网膜前膜相比,视网膜和视网膜色素上皮病变的联合错构瘤表现出更大的视网膜组织紊乱、光感受器衰减导致视力相对较差。根据本组患者表现及相关文献报道,视网膜的特异性表现可以辅助我们早期准确地诊断NF2。还有2例患者存在视盘隆起(2只眼),其中1只眼视神经球后段局部增粗,视野中心缺损,视力相对更差。视神经球后段局部增粗的患者在诊断NF2后的1个月内视力急剧下降、中心视野缺损,较其他3例患者视力下降更快,并且是唯一出现神经系统症状的患者,行γ刀治疗8个月后,视力暂未持续下降,但右侧听神经瘤囊变体积稍大。
有研究报道,视神经萎缩、白内障和视网前膜的发病率随着遗传严重性而显著增加,视力随着遗传严重程度而显著下降,同时随着遗传严重程度的增加,颅神经肿瘤患病率增加,且肿瘤体积增长率也增加,其肿瘤快速进展会压迫脑干和小脑等造成危及生命的颅内并发症[8,22,23]。 Meyers等[24]认为约85%早期诊断的NF2患者可以保留听觉和面神经功能,而眼科的表现可能先于双侧前庭神经鞘瘤或中枢神经系统肿瘤数年[25]。因此,对患有视网膜前膜、视网膜错构瘤和晶状体混浊等提示性眼部体征并且排除其他眼部疾病的年轻患者进行神经学和全面的NF2家族史评估。这些评估包括有关局灶性神经症状、皮肤肿瘤和(或)斑点、头痛、视觉症状以及听觉和前庭功能,家族史应探讨所有一级亲属不明原因的神经和听力学症状。特征性的眼部病变可帮助鉴别诊断因视力受损就诊于眼科的NF2患者,鼓励眼科医生与神经科专家合作,追踪眼部病变及肿瘤大小变化,最大程度地保持患者的视力、听力等功能并确定治疗干预的目标。
利益冲突
所有作者均声明不存在利益冲突。开放获取声明
本文适用于知识共享许可协议 (Creative Commons),允许第三方用户按照署名(BY)-非商业性使用(NC)-禁止演绎(ND)(CC BY-NC-ND)的方式共享,即允许第三方对本刊发表的文章进行复制、发行、展览、表演、放映、广播或通过信息网络向公众传播,但在这些过程中必须保留作者署名、仅限于非商业性目的、不得进行演绎创作。基金
This work was supported by Sanming Project of Medicine in Shenzhen(SZSM202411008).
参考文献
Ouyang JM, Gao Y, Yi Z, et al. Identification of neurofibromatosis in retinopathy based on high-throughput sequencing analysis[ J]. Eye Sci, 2024, 39(8): 381-394.
Wang YQ, Xu CB, Wang YH. Imaging features analysis of 1 case of type II neurofibromatosis[ J]. Image Technology, 2024, 36(4): 54-58. DOI: 10.3969/j.issn.1001-0270.2024.04.11.
Sun MX, Xu B, Li H, et al. MR examination of neurofibromatosis and literature analysis[ J]. J Imag Res Med Appl, 2022, 6(4): 118-120+123.