返回

应用光学相干断层扫描血管成像评估视网膜血流的可重复性及再现性

阅读量:11143
DOI:10.3978/j.issn.1000-4432.2021.06.02
发布日期:2023-05-23
作者:
王婷婷 ,朱益华 ,范梦杰 ,高茹心 ,黄星星 ,张达人 ,吴仁毅 ,樊宁 ,刘旭阳
展开更多

关键词

光学相干断层扫描血管成像
视网膜浅层血流
血流定量
重复性
再现性

摘要

目的:应用Cirrus HD-OCT 5000对正常眼黄斑及视盘血流参数进行血管成像测量,评估其可重复性及再现性。方法:纳入40只正常眼进行前瞻性研究。操作者A于一周内3天的同一时段(T1,T2,T3)对正常受试者的同一眼黄斑及视盘进行3次血管成像扫描,扫描过程中均开启FastTracTM图像跟踪功能,操作者B在T 2时间点再次对受试者同一眼进行相同程序扫描,使用Angio PlexMetrixTM量化软件(版本10.0)自动测量黄斑和视盘的血管长度密度(vessel length density,VD)和血管灌注密度(vascular perfusion density,PD)。应用单因素方差分析或非参数检验比较3次扫描的VD、PD是否有差异。采用组内相关系数(intraclass correlation coefficient,ICC)、变异系数(coefficient of variation,CV)评价操作者A的可重复性,采用一致性相关系数(consistent correlation coefficient,CCC)、重复性系数(repeatability coefficient,CR)、C V评价操作者间的再现性。结果:操作者A对黄斑及视盘各区域3次扫描的V D、P D之间差异无统计学意义(P >0.05)。操作者A对黄斑和视盘V D、PD 3次扫描的ICC值分别为0.260~0.517、0.362~0.898,黄斑及视盘各区域V D、P D的C V值均<8.1%。黄斑和视盘V D、P D的操作者间CCC值分别为0.3130~0.5665、0.5149~0.7801;黄斑VD和PD的CR值分别为3.2212~4.6399、0.0574~0.0832;视盘VD和PD的CR值分别为2.0675~4.0630、0.0447~0.0730。黄斑CV值均<9.0%,视盘CV值均<6.9%。结论:非同日的同一时段视盘浅层血流参数具有较好的重复性及再现性,黄斑浅层血流参数的重复性及再现性相对较差。

全文

光学相干断层扫描血管成像(optical coherence tomography angiography,OCTA)是一项无创检测眼底血流变化的成像新技术,具有扫描速度快、轴向分辨率高的特点,能够清晰地显示眼底视网膜和脉络膜不同层面的血流信息[1],是目前最实用的无创检查人体血流微循环的方法。眼底荧光素钠血管造影(fundus fluorescein angiography,FFA)是一项有创的传统视网膜血管成像检查技术,需要静脉注射荧光素钠造影剂,轻度过敏可出现恶心、呕吐、皮疹,严重过敏时可出现休克等不良反应,不宜用于对患者的反复检查。此外,FFA在微血管循环异常部位发生荧光素快速渗漏,使检查人员无法捕获病灶的大小、形态、深度等量化信息,而OCTA可提供视网膜各层血流量化指标,为临床分析和科研带来极大的便利[2]
重复性研究是指同一操作者使用同一台仪器对同一批受试者进行重复测量的一致性分析,再现性研究是指不同操作者使用同一台仪器对同一批受试者进行测量的一致性对比。OCTA作为一种新兴的眼底血流成像技术,在青光眼、糖尿病视网膜病变、年龄相关性黄斑变性等多种疾病的辅助诊断中有着重要的参考价值和临床应用前景。面对这项新技术,为评估其可靠性,有必要对其进行重复性和再现性研究,以便更好地将OCTA技术运用于临床与科研工作中。
本研究应用Cirrus HD-OCT 5000(蔡司AngioPlexTM Cirrus HD-OCT 5000,版本10.0,德国)对正常受试者的黄斑及视盘3mm×3mm区域的浅层视网膜血管进行成像测量,对获取的血流参数进行分析,重点评估其可重复性及再现性。

1 对象与方法

1.1 对象

本研究为前瞻性临床研究。收集2020年6月至9月来自厦门大学附属厦门眼科中心的正常受试者49例。正常受试者来源于本院职工及其亲属。
所有受试者进行病史采集,包括外伤史、眼部疾病史和手术史、家族史、全身性疾病史等,排除以上因素对眼底血流的影响;行常规眼部检查,包括裸眼视力、医学验光、最佳矫正视力(BCVA)、裂隙灯显微镜、非接触眼压计(佳能TX-20,日本)、眼轴(蔡司IOL-Master 700,德国)、中央角膜厚度(拓普康SP-1P,日本)、眼底照相(蔡司Visucam 524,德国)、视野检查(蔡司Humphrey 860,德国)、视网膜神经纤维层(retinal nerve fiber layer,RNFL)厚度及神经节细胞复合体厚度(ganglion cell complex thickness,GCCT)(蔡司AngioPlexTM Cirrus HD-OCT 5000,德国)。其中,采用Cirrus OCT的Optic Disc 200×200和Macular Cube 512×128扫描模式对视盘及黄斑进行扫描后,应用Pano Map分析模式,计算神经节层(ganglion cell layer,GCL)、内丛状层(inner plexiform layer,IPL)与RNFL厚度之和,即GCCT值;使受试者平静后,记录其血压及心率。
Humphrey视野计的可靠性要求及纳入标准:固视丢失<33%,假阳性和假阴性误差均<25%,视野检测总偏差概率图上至少3个连续点的水平<2%。正常视野的定义:模式标准差(pattern standard deviation,PSD)>5%,且青光眼半侧视野(glaucoma hemifield test,GHT)在正常范围。
正常受试者纳入标准:1)年龄18~55岁;2)最佳矫正视力≥1.0;3)屈光度?5.50~+1.50 D;4)非接触式眼压值<21 mmHg (1 mmHg=0.133 kPa)(经中央角膜厚度校正后),无眼压升高史;5)眼轴长度22.0~28.0 mm;6)中央角膜厚度470~580 μm;7)裂隙灯显微镜及眼底检查眼部结构正常;8 )双眼位正常,中心固视好;9)Humphery视野检查正常;10)无青光眼家族史;11)无糖尿病、高血压及其他全身病病史。排除标准:1)存在任何内眼疾病;2)眼球外伤或眼内手术史(除无并发症的白内障手术外);3)球镜≤?6.0或≥+1.5 D、柱镜绝对值>1.5 D;4 )存在可能影响黄斑、视盘功能和结构的疾病或药物治疗;5)最近1周内使用眼药(无防腐剂人工泪液除外);6)无法配合检查者。
若双眼符合纳入标准,则选择左眼,若单眼符合纳入标准,则选择该眼。所有受试者均经过2位专业眼科医生筛查,两人意见一致则纳入,否则排除。所有检查均由2位经过培训并有一定经验的操作者完成。此外,为避免散瞳药物对眼底血流的影响[3],以及个体之间对药物的反应差异,本研究涉及的检查均未对受试者散瞳。本研究遵循赫尔辛基宣言,获得厦门大学附属厦门眼科中心医学伦理委员会批准(批准号:XMYKZX-LW-2020-004)并取得受试者知情同意。

1.2 检查方法

1.2.1 OCTA检查
检查在室内温度为26 ℃的正常照明环境下进行。受试者在1周内的任意3天的同一时段(上午或下午)(即T1、T2、T3)进行OCTA(蔡司AngioPlexTMCirrus HD-OCT 5000,德国)检查,每次检查前使受试者静坐10 min。T1、T2、T3由操作者A重复扫描,操作者B于T 2在操作者A后独立扫描。受试者处于平静状态坐于OCT前,操作者选择Angiography 3 mm × 3 mm扫描模式,嘱受试者将下颌放于颌托,额头紧贴额托,调节下颌托及额托使受试者瞳孔位于OCT内置摄像头中央且虹膜清晰,嘱受试者固视OCT内绿色固视光标,开启FastTrac?图像跟踪功能,该功能应用傅里叶域光学相干断层光线追踪技术,通过基于参考点的短相干层干涉法描绘眼球界面的三维结构,以保证前后2次获取的图像为眼底同一部位,调整屈光度使受试者眼底图像清晰且OCT图像清晰,扫描以黄斑中心凹为中心的3 mm × 3 mm和视盘为中心的3 mm × 3 mm方形区域。
所有扫描图像进行质量评估,排除信号强度(signal strength,SS)低于7分、分割错误、带有投射伪影、由于屈光间质混浊或眼球抖动等导致图像模糊的血流图像[4]
1.2.2 数据分析
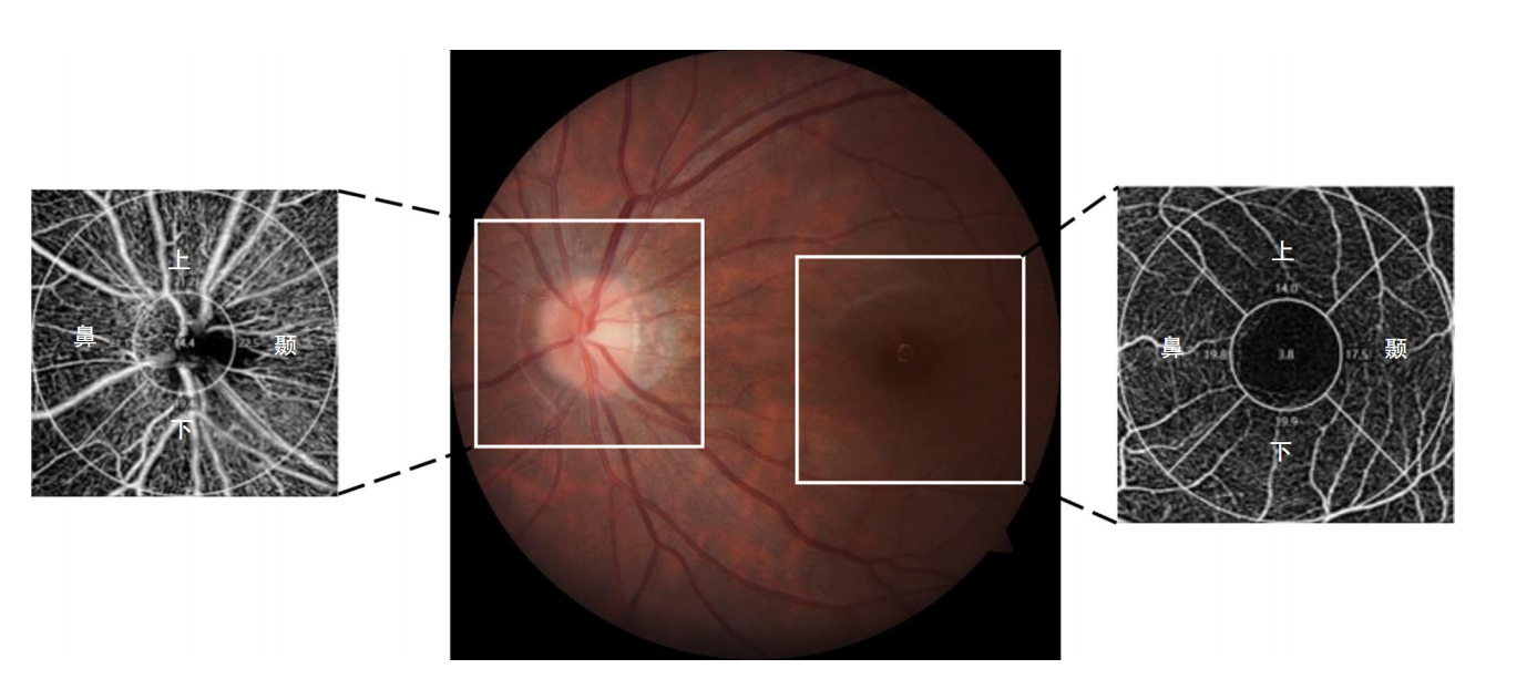
使用机器配套量化分析软件(AngioPlexTMMetrix,版本10.0)分析血流参数,选择视网膜浅层血管层面,图像中以黄斑中心凹和视盘为中心,分别划定直径1 mm(内环)和3 mm(外环)的圆环,并将黄斑及视盘分为上方、下方、鼻侧、颞侧4个象限环形区域(图1 ),获得黄斑及视盘上方、下方、鼻侧、颞侧4个区域的血管长度密度(vessel length density,VD)、血管灌注密度(vascular perfusion density,PD)。
20230523163906_0410.png

图1 黄斑、视盘3 mm × 3 mm OCTA成像在眼底照片的对应位置
Figure 1 Corresponding positions of the 3 mm × 3 mm OCTA imaging of macular and peri-papillary superficial capillaries at the fundus photo

1.3 统计学处理

采用SPSS 25.0软件和MedCalc 18.2.1软件进行数据分析。计量资料分别采用Shapiro-Wilk检验和Levene检验进行数据正态性和方差齐性检验,若数据符合正态性和方差齐性,两组以上均数比较采用单因素方差分析,结果以均数±标准差(x±s)表示;若不符合正态性或(和)不符合方差齐性,两组以上均数比较采用非参数Kruskal-Wallis H秩和检验。采用可靠性分析计算组内相关系数(intraclass correlation coefficient,ICC)、变异系数(coefficient of variation,CV)评价操作者内重复性。按Landis和Koch的建议[5],ICC>0.8为良好重复性,0.61~0.80为中等重复性,0.41~0.60为一般重复性,0.11~0.40为较低重复性,ICC<0.1为无重复性。CV<10%代表重复性较好[6]。采用一致性相关系数(consistent correlation coefficient,CCC)、重复性系数(repeatability coefficient,CR)、C V评价操作者间再现性。P<0.05为差异具有统计学意义。

2 结果

2.1 正常受试者的一般资料

本研究1例受试者的扫描图像因SS<7被排除,2例受试者的扫描图像因分割错误被排除,6例受试者的扫描图像因眼球的运动伪影被排除,最终共40只眼纳入研究,其中左眼37只,右眼3只(表1)。所有受试者进行OCTA扫描前的收缩压、舒张压和心率测量(表1),结果显示受试者处于平静状态。

表1 受试者一般资料
Table 1 Characteristics of subjects

20230523164047_0124.png

2.2 同一操作者对黄斑及视盘血流参数测量的重复性分析

经Shapiro-Wilk检验,仅黄斑下方PD测量值符合正态分布,且经Levene检验方差齐(均P>0.05),其余血流参数检测值不符合正态分布(表2 )。比较操作者A对正常受试者黄斑各区域3次扫描的VD和PD均值经单因素方差分析显示:3次扫描之间的黄斑下方P D差异无统计学意义(均P >0.05,表2);非参数Kruskal-Wallis H秩和检验显示:3次扫描之间的黄斑上方VD及PD、下方VD、鼻侧VD及PD、颞侧VD及PD差异无统计学意义(均P>0.05,表2)。
操作者A对黄斑各区域3次扫描的血流参数的重复性分析显示:下方及颞侧V D、P D的ICC值为0.260~0.381,上方和鼻侧V D、P D的ICC值为0.471~0.517。黄斑各区域V D和P D测量值的C V均<8.1%(6.461%~8.037%,表2)。

表2 操作者A在不同时间点对正常眼黄斑血流参数测量的重复性分析
Table 2 Repeatability analysis of the measurements of superficial macular capillaries blood flow parameters at difffferent time points by operator A

20230523164151_4202.png
经Shapiro-Wilk检验,视盘颞侧V D、P D测量值符合正态分布,且经Levene检验方差齐(均P >0.05),其余血流参数检测结果不符合正态分布(表3 )。操作者A对正常眼视盘各区域3次扫描的V D和P D均值经单因素方差分析显示:3次扫描之间的视盘颞侧V D 、P D差异均无统计学意义(均P >0.05,表3 );非参数Kruskal-Wallis H秩和检验结果显示:3次扫描之间的视盘上方、下方、鼻侧VD及PD差异无统计学意义(均P>0.05,表3)。
操作者A对视盘各区域3次扫描的血流参数的重复性分析显示:颞侧V D、P D的ICC值为0.863和0.848,上方VD及PD、下方VD、鼻侧VD的ICC值为0.663~0.744,下方P D及鼻侧P D的ICC值为0.599和0.577。操作者A对视盘各区域VD和PD的CV均<5.3%(3.260%~5.260%,表3)。

表3 操作者A在不同时间点对正常眼视盘血流参数测量的重复性分析
Table 3 Repeatability analysis of the measurements of peri-papillary superficial capillaries blood flow parameters at difffferent time points by operator A

20230523164237_0598.png

2.3 不同操作者对黄斑及视盘血流参数测量的再现性分析

两名操作者之间对正常受试者黄斑及视盘区V D、P D测量的再现性见表4,5。黄斑上方和鼻侧的VD、PD的CCC值为0.5125~0.5665,黄斑下方和颞侧的V D、P D的CCC值为3130~3808。黄斑区V D的C R值为3.2212~4.6399,P D的C R值为0.0564~0.0832;黄斑区各区域3次扫描VD和PD的CV值均<9.0%(5.801%~8.999%,表4)。
视盘上方V D 、下方V D及P D 、颞侧V D及P D的CCC值为0.6270~0.7801,视盘上方P D、鼻侧V D及P D的CCC值为0.5149~0.5847。视盘区V D的C R值为2.0675~4.0630,P D的C R值为0.0447~0.0730;视盘区各区域VD和PD的C V值均<7.2%(3.710%~7.121%,表5)。

表4 不同操作者在同一时间点对正常眼黄斑血流参数测量的再现性分析
Table 4 Reproducibility analysis of the measurements of superficial macular capillaries blood flow parameters at the same time point by difffferent operators

20230523164322_8721.png

表5 不同操作者在同一时间点对正常眼视盘血流参数测量的再现性分析
Table 5 Reproducibility analysis of the measurements of peri-papillary superficial capillaries blood flow parameters at the same time point by difffferent operators

20230523164406_7471.png

3 讨论

OCTA是一项快速、无创、可定量评估视网膜和脉络膜微血管血流情况的血管成像技术,其原理是对眼底血管中流动的红细胞进行快速重复的相干光层析成像,并通过特殊的计算方法,获得眼底视网膜各层面的血流信号[7]。OCTA在眼科临床及科研上有重要意义,研究[8]表明:原发性开角型青光眼(primary open-angle glaucoma,POAG)的发病机制与眼部及全身血流因素相关,但具体机制尚不明确,而OCTA可以确切了解视网膜血流情况,从人眼活体、动态观察眼底血流的角度来认识POAG发病机制,为临床诊疗提供新思路,也因此研究OCTA仪器的重复性和再现性尤为重要。
OCT配有不同的扫描范围、层面分析模式,扫描范围越大,仪器对眼底血流图像的精确分析能力越低[9],因此本研究选择扫描范围3 mm × 3 mm以获取分辨率相对较高和较准确的图像进行分析。当仪器发射出的光波穿透浅层血管到达深层血管并反射回探头时,仪器会把浅层血管的投影(即血管投射伪影)误认为是深层血管,造成血管量化分析误差,因此本研究选择视网膜浅层血管进行检测参数的重复性分析。
Xiao等[10]和赵琦等[11]发现:黄斑3 mm × 3 mm中心、内环的V D、P D测量值的日内重复性良好[ICC=0.87~0.97,CV=(1.2±1.0)%~(4.2±5.5)%],但作者没有研究不同日的重复性及再现性;而在实际临床工作中,眼科医生对患者病情的追踪和随访都不是在同一天,因此本研究选取不同天进行OCTA重复扫描更具有实际意义,也有必要进行间隔时间更长的相关研究。
本研究选取1周内3天的同一时段对黄斑及视盘3 mm × 3 mm血流参数进行重复性和再现性研究,结果显示:非同日的视盘血流参数有较好的重复性及再现性,而黄斑血流参数的重复性及再现性相对较低。与其他作者的前期研究[10-11]相比,本研究黄斑血流参数重复性及再现性略低,可能原因有:1 )眼底图像SS前后不一致。眼底图像质量常以SS来评判,在目前的临床实践和研究中,普遍认为SS≥6代表图像质量好,该图像便被纳入研究中。但多项研究[12-14]发现:SS是影响重复性及再现性的重要因素之一,SS前后差异越大,OCTA参数的可靠性越低。Lei等[14]报道:当SS增加1个单位时,VD增加1.4 mm?1,PD增加0.03。赵琦等[11]报道:黄斑3 mm × 3 mm血流参数重复性好,可能原因是其纳入了SS≥8的图像,而本研究纳入了SS≥7的图像,增大了SS对重复性影响的可能性。但对于视力较差且配合欠佳的患者,采用S S≥8的标准过于苛刻,缺乏实际意义,因此SS≥7相对更符合实际临床工作。Lei等[14]提出在获取OCTA图像时,不仅要提高图像的SS,更要尽量保持前后图像的SS一致,使前后血流参数更具可比性,更有利于在临床中对患者病情的跟踪和随访。2 )OCTA扫描过程中的客观因素多且复杂,而不同日的检查更能代表实际临床工作情况。尽管本研究已尽量控制外界影响因素(如检查时间、室温及环境条件等),但与同一天检查相比,受试者本身的生理变化、情绪波动、配合程度等造成眼底血流的改变较大。同理,非同日条件下操作者的不同生理、心理状态等也会影响测量结果。因此,在OCTA扫描过程中,令受试者闭眼休息、离座走动,必要时提供人工泪液,提高受试者配合程度,可以获取更佳的图像质量,提高重复性及再现性。
正常人眼注视目标时,会产生不易察觉的频繁而有规律的细微运动,称为注视性眼球运动[15]。当以更少的扫描时间和开启FastTracTM图像跟踪功能扫描时,可以减少眼球运动伪影对图像质量造成的影响。本研究所用的Cirrus HD-OCT 5000扫描速度为68 000 A扫/s,理想条件下3 mm × 3 mm范围OCTA扫描时间为5 s,扫描过程中需要患者保持最佳固视状态,但因受试者眨眼、不自觉的眼球抖动造成的血流图像质量欠佳,也有可能导致血流参数的重复性降低。Fenner等[16]也提到运动伪影是影响视网膜浅层血管参数重复性的因素之一,因此,每次扫描前嘱受试者眨眼并对其进行固视宣教是有必要的。目前,OCTA扫描中屈光度的调节是通过操作者目测显示器中眼底图像的清晰度来判断的,其受主观因素影响较大,而眼底图像的清晰度直接影响成像质量[17],这也影响检查结果的重复性及再现性。在扫描过程中,正常受试者的瞳孔在光刺激下收缩,若在扫描过程中因为瞳孔收缩导致眼底入射光线不足在眼底图上形成暗区,对应暗区血流密度下降,因此建议进行OCTA检查前常规散瞳。
目前,对视盘3 mm × 3 mm血流参数重复性及再现性的研究不多。Mastropasqua等[18]报道了视盘4.5 mm × 4.5 mm的VD具有良好的重复性及再现性(ICC=0.767及0.762,CCC=0.6590~0.8891)。本研究发现:视盘3 mm × 3 mm血流参数重复性及再现性优于黄斑(ICC=0.577~0.863 ,CCC=0.5149~0.7801),可能是由于视盘存在视网膜中央动脉及睫状后动脉大血管,其血流较黄斑区稳定,而黄斑区由于中心凹无血管区(fovealavascular zone,FAZ)的存在,整体血流密度明显低于视盘区,血流变化对于黄斑区的影响明显大于视盘区,最终导致视盘区比黄斑区重复性及再现性好。
本研究存在一定的局限性。首先,样本量偏小,由于眼部血流变化与生理及环境等多种因素有关,同时检查结果受操作者及受试者当时心理及生理状态影响,故需要进一步扩大样本量,增加检测指标,进一步排除干扰因素。其次,未评估黄斑FAZ的重复性及再现性,原因是机器自动测量FAZ参数的重复性及再现性不如手动测量,存在一定的系统误差[19],本研究也未分析眼轴和体重指数(body mass index,BMI)对OCTA测量视网膜血流参数的重复性及再现性的影响,将在日后的工作中进一步探讨。
综上所述,非同日的同一时段下黄斑3 mm ×3 mm浅层血流参数有一般或较低的重复性及再现性,可能与受试者生理、心理状态、理解及配合程度、瞳孔大小、运动伪像、图像SS、操作者扫描主观判断有关;视盘3 mm × 3 mm浅层血流参数具有较好的重复性及再现性。提示OCTA的检查结果可供临床医生参考,但仍需结合其他辅助检查综合分析以做出正确的判断。

基金

1. 国家自然科学基金面上项目 (81770924,82070963);深圳市科创委基础研究项目 ( JCYJ20190807153005579); 广东省基础与应用基础研究基金项目 (2019A1515011234)。
This work was supported by the National Science and Technology Major Project Foundation (81770924, 82070963), the Science and Technology Innovation Committee of Shenzhen ( JCYJ20190807153005579) and Guangdong Basic and Applied Basic Research Foundation (2019A1515011234), China.

参考文献

1. Spaide RF, Klancnik JM Jr, Cooney MJ. Retinal vascular layers imaged by fluorescein angiography and optical coherence tomography angiography[ J]. JAMA Ophthalmol, 2015, 133(1): 45-50.
2. 朱铁培. 基于光学相干断层扫描血流成像的视网膜微血管网 量化分析及其在糖尿病视网膜病变中的应用[D]. 杭州: 浙江 大学, 2019.
ZHU TP. Quantitative analysis of optical coherence tomography angiography based retinal microvascular morphology in diabetic retinopathy[D]. Hangzhou: Zhejiang University, 2019.
3. Harazny JM, Schmieder RE, Welzenbach J, et al. Local application of tropicamide 0. 5% reduces retinal capillary blood flow[ J]. Blood Press, 2013, 22(6): 371-376.
4. Tang FY, Chan EO, Sun Z, et al. Clinically relevant factors associated with quantitative optical coherence tomography angiography metrics in deep capillary plexus in patients with diabetes[ J]. Eye Vis (Lond), 2020, 7: 7.
5. Landis JR, Koch GG. The measurement of observer agreement for categorical data[ J]. Biometrics, 1977, 33(1): 159-174.
6. Lee JH, Lee MW, Baek SK, et al. Repeatability of manual measurement of foveal avascular zone area in optical coherence tomography angiography images in high myopia[ J]. Korean J Ophthalmol, 2020, 34(2): 113-120.
7. Ang M, Tan ACS, Cheung CMG, et al. Optical coherence tomography angiography: A review of current and future clinical applications[ J]. Graefes Arch Clin Exp Ophthalmol, 2018, 256(2): 237-245.
8. 田佳鑫, 王宁利. 原发性开角型青光眼与血流异常的关系[ J]. 中 华实验眼科杂志, 2018, 36(8): 643-648.
TIAN JX, WANG NL. The relationship between primary open angle glaucoma and blood flow abnormalities[ J]. Chinese Journal of Experimental Ophthalmology, 2018, 36(8): 643-648.
9. 魏文斌, 曾司彦. 重视光相干断层扫描血流成像的临床应用及 其图像的判读[ J]. 中华实验眼科杂志, 2017, 35(10): 865-870.
WEI WB, ZENG SY. Pay ing attention to the clinical application and image interpretation in optical coherence tomography angiography[ J]. Chinese Journal of Experimental Ophthalmology, 2017, 35(10): 865-870.
10. Xiao H, Liu X, Liao L, et al. Reproducibility of foveal avascular zone and superficial macular retinal vasculature measurements in healthy eyes determined by two different scanning protocols of optical coherence tomography angiography[ J]. Ophthalmic Res, 2020, 63(3): 244-251.
11. 赵琦, 王霄娜, 杨文利, 等. 基于光学微血流成像技术的相干光 断层扫描血流成像对视网膜血流定量分析的可重复性评价[ J]. 眼科, 2018, 27(2): 107-110.
ZHAO Q, WANG XN, YANG WL, et al. Repeatability of quantitative assessment of the retinal microvasculature using optical coherence tomography angiography based on optical microangiography[ J]. Ophthalmology in China, 2018, 27(2): 107-110.
12. Lee MW, Nam KY, Lim HB, et al. Long-term repeatability of optical coherence tomography angiography parameters in healthy eyes[ J]. Acta Ophthalmol, 2020, 98(1): e36-e42.
13. Venugopal JP, Rao HL, Weinreb RN, et al. Repeatability of vessel density measurements of optical coherence tomography angiography in normal and glaucoma eyes[ J]. Br J Ophthalmol, 2018, 102(3): 352-357.
14. Lei J, Durbin MK, Shi Y, et al. Repeatability and reproducibility of superficial macular retinal vessel density measurements using optical coherence tomography angiography en face images[ J]. JAMA Ophthalmol, 2017, 135(10): 1092-1098.
15. 邸悦, 周行涛, 褚仁远, 等. 注视性眼球运动研究进展[ J]. 中华眼 科杂志, 2012, 48(3): 286-288.
DI Y, ZHOU XT, CHU RY, et al. Research progress of fixation eye movement[ J]. Chinese Journal of Ophthalmology, 2012, 48(3): 286-288.
16. Fenner BJ, Tan GSW, Tan ACS, et al. Identification of imaging features that determine quality and repeatability of retinal capillary plexus density measurements in OCT angiography[ J]. Br J Ophthalmol, 2018, 102(4): 509-514.
17. 向金明, 郑琦, 许燕红, 等. Cirrus HD-OCT检测视盘旁视网膜神 经纤维层厚度的可重复性研究[ J]. 中国中医眼科杂志, 2014, 24(4): 262-265.
XIANG JM, ZHENG Q, XU YH, et al. Reproducibility of thickness measurement of peripapillary retinal nerve fiber layer with Cirrus HD-OCT in normal eyes[ J]. China Journal of Chinese Ophthalmology, 2014, 24(4): 262-265.
18. Mastropasqua R, D'Aloisio R, Agnifili L, et al. Functional and structural reliability of optic nerve head measurements in healthy eyes by means of optical coherence tomography angiography[ J]. Medicina (Kaunas), 2020, 56(1): 44.
19. Lin A, Fang D, Li C, et al. Reliability of foveal avascular zone metrics automatically measured by Cirrus optical coherence tomography angiography in healthy subjects[ J]. Int Ophthalmol, 2020, 40(3): 763-773.

施引文献

1. 徐俊.光学相干断层扫描仪检查视网膜疾病中应用护理配合的效果[J].名医,2022(23):120-122.
2. 邓莹,陈希,李宇平.眼底荧光造影检查在筛查糖尿病视网膜病变中的价值分析[J].糖尿病新世界,2022,25(15):176-179.

相关文章