返回

抗水通道蛋白AQP4单抗的制备及其初步应用

阅读量:6142
DOI:10.3978/j.issn.1000-4432.2021.07.30
发布日期:2023-06-08
作者:
赵迪 ,张玉丽 ,康慧颖 ,曹启江
展开更多

关键词

水通道蛋白4
细胞融合
视神经脊髓炎
单克隆抗体

摘要

目的:制备抗水通道蛋白4(aquaporin 4,AQP4)单克隆抗体,鉴定其免疫学性能为后期临床应用奠定基础。方法:合成AQP4优势抗原表位多肽,经过免疫小鼠、细胞融合及亚克隆筛选,制备可分泌高效价高亲和力的单克隆抗体细胞株,后期获取大量单克隆抗体通过酶联免疫吸附和免疫组织化学实验进行初步实验应用。结果:获得4株杂交瘤细胞株,均能稳定分泌高亲和力抗体,经酶联免疫吸附测定实验和免疫组织化学实验证实均能特异性识别人的AQP4蛋白。结论:成功制备了亲和力高、特异性强的抗人AQP4优势抗原表位的单克隆抗体,为小分子抗体以及抗体人源化制备奠定了基础,进而为治疗视神经脊髓炎相关疾病提供理论依据和技术支持。

全文

视神经脊髓炎(neuromylitis optica,NMO)是一种免疫介导的慢性炎症性疾病,主要累及视神经和脊髓原发性中枢神经系统炎症脱髓鞘[1-3]。国内外研究确认NMO为一种严重的神经系统退行性疾病,但是针对NMO疾病发生的具体分子机制还不明确[4-7]。临床发现绝大多数视神经脊髓炎谱系疾病(neuromyelitis optica spectrum disorder,NMOSD)患者血测可检出水通道蛋白4(aquaporin,AQP4)自身抗体,IgG-AQP4已成为诊断该疾病的重要标志物之一[8-9]。AQP4自身抗体的细胞毒作用与疾病的发生和发展有密切的联系。研究[10-12]发现AQP4自身抗体含量浓度较低的患者能够获得较好的治疗,减轻AQP4自身抗体介导的细胞毒作用将成为治疗NMOSDs的有效方法之一。
目前,针对NMOSDs急性期患者的治疗方法主要为大剂量激素冲击、静脉注射大剂量免疫球蛋白和血浆置换等[13-14]。大剂量糖皮质激素长时间使用会降低机体的免疫能力,增加诱发感染或加重感染的风险;注射大剂量免疫球蛋白目前还缺少足够的证据支持治疗的有效性;血浆置换过程中在减少AQP4自身抗体的同时也降低了其他治疗方式的作用效果[15]。针对NMOSDs缓解期患者的治疗方法主要为使用免疫抑制剂、利妥昔单抗以及个体化治疗或对症治疗,但是不确定能够稳定有效。因此,本研究制备单克隆抗体,经酶联免疫吸附测定实验和免疫组织化学实验证实其能特异性识别人的AQP4蛋白,为后期利用分子生物学技术制备人源化抗体或者小分子抗体打下基础。进而为利用人源化或者小分子抗体结合AQP4表位屏蔽体内自身抗体与AQP4的结合来保护星形胶质细胞免受细胞毒作用,抑制中枢神经系统炎症脱髓鞘,进而达到治疗视神经相关性疾病奠定了理论基础和技术支持。

1 材料与方法

1.1 材料

1.1.1 实验动物
    
6~8周龄BALB/c小鼠购自北京维通利华实验动物技术有限公司,实验过程中所有处置均按照动物伦理学标准执行。
1.1.2 实验试剂与仪器
牛血清白蛋白(bovine serum albumin,BSA、卵清蛋白购自德国默克BDH公司;RPMI-1640细胞培养基、Freund不完全弗氏佐剂、HAT、H T选择性培养基、聚乙二醇PEG、碱性磷酸酯酶(alkaline phosphatase,AP)、5-溴-4-氯-3-吲哚基-磷酸盐(5-bromo-4-chloro-3-indolyl phosphate,BCIP) 、四唑淡蓝(nitro-blue-tetrazolium ,NBT)、山羊抗小鼠IgG-FITC和辣根过氧化物酶标记山羊抗小鼠IgG-HRP均购自默克中国Sigma公司;磷酸盐缓冲液PBS、PBST、封闭液以及显色底物等为本重点实验室配制和留存;细胞培养瓶、吸管、试管、滴管、培养皿、烧杯、1 mL注射器、9 6孔细胞培养板、眼科剪、眼科镊、E P微量移液器均购自耗材公司;科研超净工作台购自苏州净化设备公司;CO2恒温培养箱购自日本Sanyo公司;DW-60W451EU超低温冰箱、BCD-257 SL低温冰箱(Haier);纯水装置(Millpore);SHZ-III型循环水真空泵购自上海亚荣生化仪器厂;GF-300电子天平购自赛多利斯科学仪器(北京)有限公司;Eppendorf centrifuge5810R离心机购自德国Eppendorf公司;PCR仪购自美国Thermofisher公司;Power Wave XS2酶标仪德国BioTek公司;Ti-U DS-2 CCD尼康倒置荧光显微镜购自日本Nikon公司;石蜡切片机购自德国Leica公司。

1.2 方法

1.2.1 AQP4优势抗原表位多肽合成
AQP4蛋白氨基酸序列多达6个跨膜区,原核表达蛋白难度相对很高,我们通过蛋白表位分析抗原优势表位后[16],借助普健生物科技有限公司(武汉),采用多肽合成的方法偶联KLH作为抗原,合成多肽选择的氨基酸序列如表1所示。

表1 合成多肽氨基酸序列
Table 1 Amino acid sequence of AQP4 synthetic peptide

20230608112228_4165.png
1.2.2 动物免疫
将合成的多肽1和多肽2等体积与完全佐剂充分混合,对BALB/c雌性小鼠背部皮下4~6点注射50 μg蛋白/只,共免疫5只小鼠。初次免疫2周后注射25 μg/只加强免疫,再过两周后再次注射25 μg/只加强免疫,再过1周后进行抗血清效价检测,选取效价>32 000小鼠1周后进行4免(表2)后断尾采血10 μL,加入到990 μL PBS缓冲液中,混匀5 000 r/min离心10 min,保留上清备用。间接ELISA测定血清效价,选择效价高和灵敏度好的小鼠进行下一步细胞融合。

表2 小鼠4次免疫时间与抗原剂量安排
Table 2 Four times of immunization and the schedule of antigen dosage

20230608112309_2606.png
1.2.3 细胞融合及筛选
挑选血清免疫结果较好的小鼠进行细胞融合,融合1~2次,每次融合进行2~3轮ELISA筛选,得到单克隆后建株,至少建株4株。
1.2.4 腹水生产及纯化
将得到的阳性单克隆细胞株打小鼠腹水,每株纯化2~5 mg抗体,利用蛋白免疫印迹以及ELISA进行抗体效价检验测定。
1.2.5 单抗亲和力和特异性鉴定
1.2.5.1 AQP4单抗ELISA检测
用合成多肽2.5 μg/L包被96孔板,100 μL/孔,37 ℃ 2 h或者4 ℃过夜。然后PBS漂洗5次,加入3%BSA-PBS 4 ℃封闭过夜,300 μL/孔,PBST洗3~5次,300 μL/孔。将各个单抗加入酶标板,100 μL/孔,室温反应1 h,PBST洗3次。加入带有辣根过氧化物酶HRP标记的亲和纯化山羊抗小鼠IgG的二抗,100 μL/孔,37 ℃ 30 min,PBST洗3次。加入底物显色液四甲基联苯胺(TMB),100 μL/孔,室温显色5~15 min,加入稀硫酸终止反应,50 μL/孔。酶标仪测OD450数值。
1.2.5.2 AQP4单抗蛋白免疫印迹检测
合成多肽加入2×Sodium dodecyl sulfate (SDS)裂解液,每泳道10 μL上样。SDS聚丙烯酰胺凝胶电泳后,利用硝酸纤维素膜进行转膜,5%脱脂奶粉室温封闭2 h,利用获得的单抗4℃孵育过夜。次日,利用PBST洗3次,加入带有A P标记的羊抗鼠IgG,室温孵育1 h,0.5%脱脂奶粉清洗3次,加入碱性磷酸酯酶显色,将BCIP/NBT用AP缓冲液稀释10显色5~15 min。
1.2.5.3 AQP4单抗免疫组织化学实验
将患者与正常人的石蜡切片在55 ℃恒温箱中烘烤30 min,组织切片置于二甲苯中浸泡15 min,更换新的二甲苯再浸泡7 min,通过梯度酒精从100%、95%、90%、75%乙醇中分别浸泡5 min,然后将切片置于0.01 mol/L枸橼酸钠缓冲液中(pH 6.0),经过封闭液室温封闭10 min,滴加一抗,4 ℃孵育过夜或者37 ℃ 1 h,PBS洗3次,每次3 min,滴加生物素标记的二抗,室温孵育30 min后,PBS洗3次,每次3 min;滴加链霉卵白素,室温30 min后,PBS洗3次,每次3 min;DAB显色,蒸馏水水洗后苏木素复染,水洗后梯度酒精脱水,二甲苯透明,中性树胶封片镜检。

2 结果

2.1 AQP4多肽合成

将合成质量20 mg,纯度90%以上的两个多肽偶联KLH后用作抗原免疫小鼠,合成多肽的鉴定结果如图1所示。
20230608112541_6539.png

图1 合成多肽的质谱鉴定结果
Figure 1 Mass spectrometry identification results of AQP4 synthetic peptides

2.2 抗AQP4单抗的纯化及亚克隆

用合成的抗原肽免疫小鼠后,分离B细胞经过与骨髓瘤细胞融合和克隆筛选,最终获得4株杂交瘤细胞株(图2A所示为杂交瘤细胞)。收集小鼠腹水后进行抗体纯化,利用SDS聚丙烯酰胺凝胶电泳电泳对其纯度进行鉴定分析没有其他杂蛋白,说明抗体纯度较好(图2B)。
20230608112646_4331.png

图2 杂交瘤细胞和抗AQP4单克隆抗体的纯化
Figure 2 Hybridoma cell and Purification of AQP4 specific monoclonal antibody
(A)抗AQP4杂交瘤细胞光镜图片(标尺为50 μm);(B) SDS-PAGE电泳图。1为对照;2~6为从5只小鼠获取的抗体。
(A) Hybridoma cell of anti-AQP4 (bar, 50 μm); (B) SDS-PAGE. 1CK, 2–6 respectively represent antibody obtained form 5 mouse.

2.3 间接ELISA血清学效价检测

利用酶联免疫吸附测定实验中的间接实验方法,将合成的多肽包埋在固相载体表面,加入获得的抗体反应后再加入二抗,进行抗体血清效价,测定结果表明该抗体具有较高的效价(表3)。

表3 抗AQP4单克隆抗体的血清效价检测
Table 3 Serum titer of AQP4 specific monoclonal antibody

20230608112734_3850.png

2.4 抗AQP4单抗与AQP4反应的特异性检测

为检测所获单抗与AQP4反应的特异性,利用绿色荧光蛋白(green fluorescent protein,GFP)空蛋白作为对照,合成多肽蛋白作为抗原跑SDS聚丙烯酰胺凝胶电泳电泳,转膜后利用获得的抗AQP4单克隆抗体和抗GFP的抗体进行蛋白免疫印迹实验,结果显示抗体可与相应的AQP4特异结合(图3)。
20230608112810_6030.png

图3 抗AQP4单克隆抗体与AQP4反应的特异性检测
Figure 3 Detection specificity of AQP4 specific monoclonal antibody reacting with AQP4
1为对照;2和3分别为AQP4蛋白。
1:GFP,2:18000211A-1,3:18000194A-2。

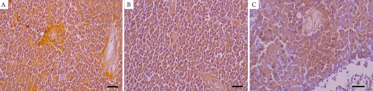
2.5 抗AQP4单抗与组织切片免疫组织化学实验

对眼部组织石蜡切片进行免疫组织化学实验(图4 ),抗AQP4单克隆抗体可以标记结合组织切片中的相应抗原,尤其在眼部肿瘤患者组织切片中标记的量明显高于正常人的眼组织。
20230608112859_9772.png

图4 抗AQP4单克隆抗体的免疫组织化学(标尺50 μm)
Figure 4 AQP4 specific monoclonal antibody practise via immunohistochemical staining (bar, 50 μm)
(A)视网膜母细胞瘤的组织切片;(B)为大肠癌的组织切片;(C)为正常眼组织的组织切片。
(A) Retinoblastoma eye tissue section; (B) Colorectal cancer section; (C) Normal eye tissue.

3 讨论

本研究通过合成多肽抗原,免疫小鼠获得抗AQP4优势抗原表位的B细胞,将该B细胞与骨髓瘤细胞进行细胞融合,对杂交瘤细胞筛选和亚克隆,经过蛋白免疫印迹实验和血清学效价检测鉴定筛选出4株能够分泌特异性较好的单克隆抗体的杂交瘤细胞株。利用该单克隆抗体进行免疫组织化学实验,发现AQP4在患者眼组织切片中被标记的显著高于正常人组织切片,实验表明该单克隆抗体与AQP4具有较高的亲和力和特异性。
视神经脊髓炎是一种免疫介导的慢性炎症性疾病,主要累及视神经和脊髓原发性中枢神经系统炎症脱髓鞘。结合体液免疫的理论知识,抗体可通过激活补体经典途径而引发对抗体结合的靶细胞发生细胞毒作用,或者通过调理作用激活巨噬细胞发挥吞噬作用以及激活NK细胞发生抗体依赖性细胞介导的细胞毒作用来破坏抗体结合的靶细胞,这是从免疫学角度揭示细胞毒作用发生的机制。IgG-AQP4已成为诊断该疾病的重要标志物之一,其中绝大多数患者血测可检出AQP4自身抗体。而目前,关于AQP4的国内外研究主要集中在该蛋白相关疾病的研究[4,17-18]。关于抗AQP4的抗体研究的比较少,也主要注重该抗体的发病机制研究[19]。从免疫学抗体拮抗的角度出发,利用体外获得的抗体拮抗体内已经产生的自身抗体和利用小分子抗体结合AQP4来屏蔽自身抗体的结合位点。由于小分子抗体不具有Fc片段,进而大大降低或抑制自身抗体的细胞毒作用。实验后期利用单克隆抗体应用于动物模型,统计分析该抗体的作用效果后制备小分子抗体。尽管大量使用小分子抗体可能会增加机体相关血清病的发生,如果后期将人源化的抗体进行片段化或者生产人源化的小分子抗体就可以避免这种情况的发生。
综上,本研究大胆推测后期通过利用人源化小分子抗体结合自身AQP4蛋白,抑制体内自身抗体特异结合抗原,降低或抑制抗体Fc片段引发的细胞毒作用,进而阻止视神经脱髓鞘的发生,达到预防或治疗视神经相关性疾病的目的。因此,本研究中制备高亲和力,高效价以及特异性强的AQP4-mAb,为后期制备抗AQP4的小分子抗体以及人源化小分子抗体奠定了理论基础,并提供了技术支撑,为后期探索视神经脊髓炎相关疾病的治疗方式提供思路。

基金

1. 辽宁省自然科学基金 (20180551129);沈阳市中青年科技创新人才支持计划 (RC180254)。
This work was supported by the Liaoning Natural Science Foundation (20180551129) and Shenyang Young and Middle-aged Scientific and Technological Innovation Talents Support Program (RC180254), China.

参考文献

1. Bukhari W, Barnett MH, Prain K, et al. molecular pathogenesis of neuromyelitis optica[ J]. Int J Mol Sci, 2012, 13(10): 12970-12993.
2. Weil MT, M?bius W, Winkler A, et al. Loss of myelin basic protein function triggers myelin breakdown in models of demyelinating diseases[ J]. Cell Rep, 2016, 16(2): 314-322.
3. Wingerchuk DM, Lennon VA, Lucchinetti CF, et al. The spectrum of neuromyelitis optica[ J]. Lancet Neurol, 2007, 6(9): 805-815.
4. Bruscolini A, Sacchetti M, La CM, et al. Diagnosis and management of neuromyelitis optica spectrum disorders-an update[ J]. Autoimmunity Reviews, 2018, 17(3): 195-200.
5. Haruki H, Sano Y, Shimizu F, et al. NMO sera down-regulate AQP4 in human astrocyte and induce cytotoxicity independent of complement[ J]. J Neurol Sci, 2013, 331(1/2): 136-144.
6. Papadopoulos MC, Bennett JL, Verkman A S. Treatment of neuromyelitis optica: state-of-the-art and emerging therapies[ J]. Nat Rev Neurol. 2014, 10(9): 493-506.
7. Phuan PW, Anderson MO, Tradtrantip L, et al. A small-molecule screen yields idiotype-specific blockers of neuromyelitis optica immunoglobulin G binding to aquaporin-4[ J]. J Biol Chem, 2012, 287(44): 36837-36844.
8. Jarius S, Wildemann B. Aquaporin-4 antibodies (NMO-IgG) as a serological marker of neuromyelitis optica: a critical review of the literature[ J]. Brain Pathology, 2013, 23(6): 661-683.
9. Verkman AS, Smith AJ, Phuan P, et al. The aquaporin-4 water channel as a potential drug target in neurological disorders[ J]. Expert Opinion on Therapeutic Targets, 2017, 21(12): 1161-1192.
10. Haruki H, Sano Y, Shimizu F, et al. NMO sera down-regulate AQP4 in human astrocyte and induce cytotoxicity independent of complement[ J]. J Neurol Sci, 2013, 331(1-2): 136-144.
11. Hubbard JA, Szu JI, Binder DK. The role of aquaporin-4 in synaptic plasticity, memory and disease[J]. Brain Res Bull, 2018, 136(3): 118-129.
12. Rump K, Adamzik M. Function of aquaporins in sepsis: a systematic review[ J]. Rump and Adamzik Cell Biosci, 2018, 8(10): 1-7.
13. Verkman AS, Phuan PW, Asavapanumas N, et al. Biology of AQP4 and anti-AQP4 antibody: therapeutic implications for NMO[ J]. Brain Pathology, 2013, 23(6): 684-695.
14. Marignier R , Cobo CA , Vukusic S. Neuromyelitis optica and neuromyelitis optica spectrum disorders[ J]. Current Opinion in Neurology, 2017, 30(3): 208-215.
15. Jasiak-Zatonska M, Kalinowska-Lyszczarz A, Michalak S, et al. The immunology of neuromyelitis optica-current knowledge, clinical implications, controversies and future perspectives[ J]. Int J Mol Sci, 2016, 17(3): 273-303.
16. 曹启江. 一种抗AQP4的小分子抗体及其应用[P]. 中 国, ZL201810030514.X. 2020-12-01.
CAO QJ. The application of a small molecule antibody against AQP4[P]. ZL201810030514.X. 2020-12-01
17. 石云科, 拜承萍. AQP4与神经系统疾病关系的研究进展[ J]. 临 床医药文献电子杂志, 2019, 6(61): 179.
SHI YK. Research progress on the relationship between aquaporin 4 (AQP4) and nervous system diseases[ J]. Electronic Journal of Clinical Medical Literature, 2019, 6(61): 179.
18. 赵朔, 徐全刚, 魏世辉. 视神经脊髓炎相关性视神经炎临床研究 进展[ J]. 中华眼底病杂志, 2015, 31(6): 605-608.
ZHAO S, XU QG, WEI SH. Progress in clinical research on the optic neuromyelitis related optic neuritis[ J]. Chinese Journal of Ocular Fundus Diseases, 2015, 31(6): 605-608.
19. 江小琳, 董会卿. 视神经脊髓炎相关抗AQP4抗体检测的研究进 展[ J]. 中风与神经疾病杂志, 2011, 28(3): 283-284.
JIANG XL, DONG HQ. Research progress on detection of neuromyelitis optica related anti-AQP4 antibody[ J]. J Apoplexy and Nervous Diseases, 2011, 28(3): 283-284.

相关文章